Characterizations of Gelatin from the Skin of American Bullfrog (Rana catesbeiana) as Affected by Extraction Temperature
Abstract
1. Introduction
2. Materials and Methods
2.1. Materials
2.2. Extraction of Gelatin from Bullfrog Skin
2.3. Determination of the Yield and Proximate Composition
2.3.1. Yield Determination
2.3.2. Proximate Analysis
2.4. Determination of Gel Strength
2.5. Rheological Behavior
2.6. Texture Profile Analysis (TPA)
2.7. Electrophoretic Analysis
2.8. Microstructure Analysis of Gelatin
2.9. Amino Acid Composition Analysis
2.10. Statistical Analysis
3. Results and Discussion
3.1. Yield and Proximate Composition
3.2. Gel Strength of Gelatin
3.3. Rheological Properties
3.3.1. Temperature Sweep
3.3.2. Frequency Sweep
3.4. Texture Profile Analysis
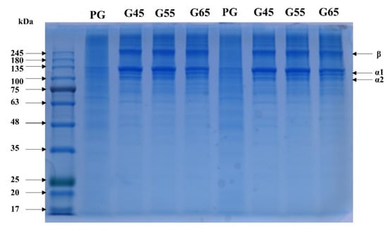
3.5. SDS–Polyacrylamide Gel Electrophoresis (SDS-PAGE)
3.6. Microstructures of Gelatin Gels
3.7. Amino Acid Composition
4. Conclusions
Author Contributions
Funding
Institutional Review Board Statement
Informed Consent Statement
Data Availability Statement
Conflicts of Interest
References
- Sousa, S.C.; Vazquez, J.A.; Perez-Martin, R.I.; Carvalho, A.P.; Gomes, A.M. Valorization of By-Products from Commercial Fish Species: Extraction and Chemical Properties of Skin Gelatins. Molecules 2017, 22, 1545. [Google Scholar] [CrossRef] [PubMed]
- Karnjanapratum, S.; Sinthusamran, S.; Sae-leaw, T.; Benjakul, S.; Kishimura, H. Characteristics and Gel Properties of Gelatin from Skin of Asian Bullfrog (Rana tigerina). Food Biophys. 2017, 12, 289–298. [Google Scholar] [CrossRef]
- Kittiphattanabawon, P.; Benjakul, S.; Visessanguan, W.; Shahidi, F. Effect of Extraction Temperature on Functional Properties and Antioxidative Activities of Gelatin from Shark Skin. Food Bioprocess Technol. 2010, 5, 2646–2654. [Google Scholar] [CrossRef]
- Badii, F.; Howell, N.K. Fish gelatin: Structure, gelling properties and interaction with egg albumen proteins. Food Hydrocoll. 2006, 20, 630–640. [Google Scholar] [CrossRef]
- Aewsiri, T.; Benjakul, S.; Visessanguan, W. Functional properties of gelatin from cuttlefish (Sepia pharaonis) skin as affected by bleaching using hydrogen peroxide. Food Chem. 2009, 115, 243–249. [Google Scholar] [CrossRef]
- Mhd Sarbon, N.; Badii, F.; Howell, N.K. Preparation and characterisation of chicken skin gelatin as an alternative to mammalian gelatin. Food Hydrocoll. 2013, 30, 143–151. [Google Scholar] [CrossRef]
- Rafieian, F.; Keramat, J.; Shahedi, M. Physicochemical properties of gelatin extracted from chicken deboner residue. LWT Food Sci. Technol. 2015, 64, 1370–1375. [Google Scholar] [CrossRef]
- Abedinia, A.; Ariffin, F.; Huda, N.; Mohammadi Nafchi, A. Preparation and characterization of a novel biocomposite based on duck feet gelatin as alternative to bovine gelatin. Int. J. Biol. Macromol. 2018, 109, 855–862. [Google Scholar] [CrossRef]
- Al-Hassan, A.A. Gelatin from camel skins: Extraction and characterizations. Food Hydrocoll. 2020, 101, 105457. [Google Scholar] [CrossRef]
- Zilhadia, Y.H.; Irwandi, J.; Effionora, A. Characterization and functional properties of gelatin extracted from goatskin. Int. Food Res. J. 2018, 25, 275–281. [Google Scholar]
- Carvalho, A.M.; Marques, A.P.; Silva, T.H.; Reis, R.L. Evaluation of the Potential of Collagen from Codfish Skin as a Biomaterial for Biomedical Applications. Mar. Drugs 2018, 16, 495. [Google Scholar] [CrossRef] [PubMed]
- Renuka, V.; Rao Ravishankar, C.N.; Zynudheen, A.A.; Bindu, J.; Joseph, T.C. Characterization of gelatin obtained from unicorn leatherjacket (Aluterus monoceros) and reef cod (Epinephelus diacanthus) skins. LWT 2019, 116, 108586. [Google Scholar] [CrossRef]
- Fan, H.; Dumont, M.J.; Simpson, B.K. Extraction of gelatin from salmon (Salmo salar) fish skin using trypsin-aided process: Optimization by Plackett-Burman and response surface methodological approaches. J. Food Sci. Technol. 2017, 54, 4000–4008. [Google Scholar] [CrossRef] [PubMed]
- Seixas, M.J.; Martins, E.; Reis, R.L.; Silva, T.H. Extraction and Characterization of Collagen from Elasmobranch Byproducts for Potential Biomaterial Use. Mar. Drugs 2020, 18, 617. [Google Scholar] [CrossRef]
- Zhang, C.-x.; Huang, K.-k.; Wang, L.; Song, K.; Zhang, L.; Li, P. Apparent digestibility coefficients and amino acid availability of common protein ingredients in the diets of bullfrog, Rana (Lithobates) catesbeiana. Aquaculture 2015, 437, 38–45. [Google Scholar] [CrossRef]
- Zhang, J.; Duan, R. Characterisation of acid-soluble and pepsin-solubilised collagen from frog (Rana nigromaculata) skin. Int. J. Biol. Macromol. 2017, 101, 638–642. [Google Scholar] [CrossRef]
- Aksun Tumerkan, E.T.; Cansu, U.; Boran, G.; Regenstein, J.M.; Ozogul, F. Physiochemical and functional properties of gelatin obtained from tuna, frog and chicken skins. Food Chem. 2019, 287, 273–279. [Google Scholar] [CrossRef]
- Pasteris, S.E.; Bühler, M.I.; Nader-Macías, M.E. Microbiological and histological studies of farmed-bullfrog (Rana catesbeiana) tissues displaying red-leg syndrome. Aquaculture 2006, 251, 11–18. [Google Scholar] [CrossRef]
- Pasteris, S.E.; Vera Pingitore, E.; Roig Babot, G.; Otero, M.C.; Buhler, M.I.; Nader-Macias, M.E. Characterization of the beneficial properties of lactobacilli isolated from bullfrog (Rana catesbeiana) hatchery. Antonie Van Leeuwenhoek 2009, 95, 373–385. [Google Scholar] [CrossRef] [PubMed]
- Mad-Ali, S.; Benjakul, S.; Prodpran, T.; Maqsood, S. Characteristics and Gel Properties of Gelatin from Goat Skin as Affected by Extraction Conditions. J. Food Process Preserv. 2017, 41, e12949. [Google Scholar] [CrossRef]
- Sinthusamran, S.; Benjakul, S.; Hemar, Y.; Kishimura, H. Characteristics and Properties of Gelatin from Seabass (Lates calcarifer) Swim Bladder: Impact of Extraction Temperatures. Waste Biomass Valori. 2016, 9, 315–325. [Google Scholar] [CrossRef]
- Nagarajan, M.; Benjakul, S.; Prodpran, T.; Songtipya, P.; Kishimura, H. Characteristics and functional properties of gelatin from splendid squid (Loligo formosana) skin as affected by extraction temperatures. Food Hydrocoll. 2012, 29, 389–397. [Google Scholar] [CrossRef]
- Hafsteinsson, M.G.H. Gelatin from cod skins as affected by chemical treatments. J. Food Sci. 1997, 62, 37. [Google Scholar]
- Fernandez-Daz, M.D.M.P.; Gomez-Guillen, M.C. Gel properties of collagens from skins of cod (Gadus morhua) and hake (Merluccius merluccius) and their modification by the coenhancers magnesium sulphate, glycerol and transglutaminase. Food Chem. 2001, 74, 161–167. [Google Scholar] [CrossRef]
- Huang, T.; Tu, Z.C.; Shangguan, X.; Wang, H.; Sha, X.; Bansal, N. Rheological behavior, emulsifying properties and structural characterization of phosphorylated fish gelatin. Food Chem. 2018, 246, 428–436. [Google Scholar] [CrossRef] [PubMed]
- Laemmli, U.K. Cleavage of Structural Proteins during the Assembly of the Head of Bacteriophage T4. Nature 1970, 227, 680–685. [Google Scholar] [CrossRef]
- GB5009.124-2016, National standards of the People’s Republic of China. In Determination of Amino Acids in Foods (2016); National Health and Family Planning Commission of the People’s Republic of China: China, 2016.
- Kittiphattanabawon, P.; Benjakul, S.; Visessanguan, W.; Shahidi, F. Comparative study on characteristics of gelatin from the skins of brownbanded bamboo shark and blacktip shark as affected by extraction conditions. Food Hydrocoll. 2010, 24, 164–171. [Google Scholar] [CrossRef]
- Sinthusamran, S.; Benjakul, S.; Kishimura, H. Characteristics and gel properties of gelatin from skin of seabass (Lates calcarifer) as influenced by extraction conditions. Food Chem. 2014, 152, 276–284. [Google Scholar] [CrossRef]
- Kaewruang, P.; Benjakul, S.; Prodpran, T. Molecular and functional properties of gelatin from the skin of unicorn leatherjacket as affected by extracting temperatures. Food Chem. 2013, 138, 1431–1437. [Google Scholar] [CrossRef]
- Liu, Y.; Xia, L.; Jia, H.; Li, Q.; Jin, W.; Dong, X.; Pan, J. Physiochemical and functional properties of chum salmon (Oncorhynchus keta) skin gelatin extracted at different temperatures. J. Sci. Food Agric. 2017, 97, 5406–5413. [Google Scholar] [CrossRef]
- Silva, M.A.D.; Bode, F.; Grillo, I.; Dreiss, C.A. Exploring the kinetics of gelation and final architecture of enzymatically cross-linked chitosan/gelatin gels. Biomacromolecules 2015, 16, 1401–1409. [Google Scholar] [CrossRef]
- Kumar, D.P.; Chandra, M.V.; Elavarasan, K.; Shamasundar, B.A. Structural properties of gelatin extracted from croaker fish (Johnius sp.) skin waste. Int. J. Food Prop. 2018, 20, S2612–S2625. [Google Scholar] [CrossRef]
- Abedinia, A.; Ariffin, F.; Huda, N.; Nafchi, A.M. Extraction and characterization of gelatin from the feet of Pekin duck (Anas platyrhynchos domestica) as affected by acid, alkaline, and enzyme pretreatment. Int. J. Biol. Macromol. 2017, 98, 586–594. [Google Scholar] [CrossRef]
- Gomez-Guillen, M.C.; Turnay, J.; Fernandez-Diaz, M.D. Structural and physical properties of gelatin extracted from different marine species a comparative study. Food Hydrocoll. 2002, 16, 25–34. [Google Scholar] [CrossRef]
- Pang, Z.; Deeth, H.; Sopade, P.; Sharma, R.; Bansal, N. Rheology, texture and microstructure of gelatin gels with and without milk proteins. Food Hydrocoll. 2014, 35, 484–493. [Google Scholar] [CrossRef]
- Tan, C.-C.; Karim, A.A.; Uthumporn, U.; Ghazali, F.C. Effect of Extraction Temperature on the Physicochemical Properties of Gelatine from the Skin of Black Tilapia (Oreochromis mossambicus). J. Phys. Sci. 2019, 30, 1–21. [Google Scholar] [CrossRef]
- Benjakul, S.; Oungbho, K.; Visessanguan, W.; Thiansilakul, Y.; Roytrakul, S. Characteristics of gelatin from the skins of bigeye snapper, Priacanthus tayenus and Priacanthus macracanthus. Food Chem. 2009, 116, 445–451. [Google Scholar] [CrossRef]
- Binsi, P.K.; Shamasundar, B.A.; Dileep, A.O.; Badii, F.; Howell, N.K. Rheological and functional properties of gelatin from the skin of bigeye snapperr (Priacanthus hamrur) fish Influence of gelatin on the gel-forming ability of fish mince. Food Hydrocoll. 2009, 23, 132–145. [Google Scholar] [CrossRef]
- Chiesa, E.; Pisani, S.; Colzani, B.; Dorati, R.; Conti, B.; Modena, T.; Braekmans, K.; Genta, I. Intra-Articular Formulation of GE11-PLGA Conjugate-Based NPs for Dexamethasone Selective Targeting-In Vitro Evaluation. Int. J. Mol. Sci. 2018, 19, 2304. [Google Scholar] [CrossRef]
- Duconseille, A.; Astruc, T.; Quintana, N.; Meersman, F.; Sante-Lhoutellier, V. Gelatin structure and composition linked to hard capsule dissolution: A review. Food Hydrocoll. 2015, 43, 360–376. [Google Scholar] [CrossRef]





| Properties | PG | G45 | G55 | G65 | Bullfrog Skin |
|---|---|---|---|---|---|
| Moisture (%) | 10.75 ± 0.67 b | 6.12 ± 0.51 a | 7.26 ± 0.85 a | 6.23 ± 1.01 a | 67.61 ± 0.15 |
| Protein (%) | 87.34 ± 0.09 a | 87.21 ± 0.62 a | 87.75 ± 0.24 a | 87.83 ± 0.22 a | 19.94 ± 0.77 |
| Yield (%) | - | 9.63 ± 0.28 a | 11.69 ± 0.25 b | 12.24 ± 0.36 b | - |
| Gelling temperature (°C) | 23.9 ± 1.7 a | 23.4 ± 0.4 a | 22.8 ± 1.4 a | 19.3 ± 1.4 a | - |
| Melting temperature (°C) | 31.5 ± 1.0 a | 32.3 ± 0.3 a | 31.7 ± 1.6 a | 28.9 ± 0.6 a | - |
| Sample | Hardness (N) | Springiness (mm) | Cohesiveness | Chewiness (mJ) |
|---|---|---|---|---|
| PG | 44.57 ± 2.23 a | 4.29 ± 0.51 a | 0.92 ± 0.02 a | 174.92 ± 13.67 a |
| G45 | 28.07 ± 1.61 b | 5.91 ± 0.15 b | 0.92 ± 0.03 a | 151.77 ± 2.28 a |
| G55 | 24.03 ± 0.56 bc | 6.40 ± 0.47 b | 0.88 ± 0.04 a | 135.27 ± 5.24 a |
| G65 | 22.47 ± 2.24 c | 6.38 ± 0.40 b | 0.94 ± 0.02 a | 135.46 ± 19.69 a |
| Amino Acids (g/100 g Protein) | PG | G45 | G55 | G65 |
|---|---|---|---|---|
| Aspartic acid | 5.68 ± 0.12 | 6.07 ± 0.11 | 6.14 ± 0.03 | 6.03 ± 0.01 |
| Threonine | 1.10 ± 0.02 | 1.55 ± 0.09 | 1.62 ± 0.00 | 1.52 ± 0.01 |
| Serine | 2.99 ± 0.05 | 4.45 ± 0.05 | 4.70 ± 0.35 | 4.40 ± 0.01 |
| Glutamic acid | 12.36 ± 0.22 | 12.71 ± 0.02 | 12.62 ± 0.09 | 12.53 ± 0.00 |
| Glycine | 27.46 ± 0.62 | 27.23 ± 0.11 | 27.21± 0.17 | 27.06 ± 0.00 |
| Alanine | 10.85 ± 0.23 | 10.65 ± 0.05 | 10.63 ± 0.10 | 10.59 ± 0.01 |
| Valine | 2.26 ± 0.02 | 1.42 ± 0.01 | 1.42 ± 0.02 | 1.40 ± 0.01 |
| Methionine | 0.69 ± 0.01 | 0.83 ± 0.01 | 0.80 ± 0.01 | 0.54 ± 0.03 |
| Isoleucine | 1.11 ± 0.02 | 0.98 ± 0.01 | 0.97 ± 0.03 | 0.99 ± 0.02 |
| Leucine | 3.32 ± 0.09 | 2.62 ± 0.01 | 2.64 ± 0.02 | 2.61 ± 0.01 |
| Tyrosine | 0.37 ± 0.00 | 0.47 ± 0.02 | 0.45 ± 0.00 | 0.44 ± 0.01 |
| Phenylalanine | 1.83 ± 0.04 | 1.81 ± 0.00 | 1.80 ± 0.00 | 1.79 ± 0.04 |
| Lysine | 3.90 ± 0.06 | 3.89 ± 0.02 | 3.86 ± 0.00 | 3.84 ± 0.00 |
| Histidine | 0.68 ± 0.02 | 0.90 ± 0.00 | 0.91 ± 0.01 | 0.89 ± 0.01 |
| Arginine | 8.24 ± 0.02 | 8.24 ± 0.12 | 8.40 ± 0.18 | 8.29 ± 0.10 |
| Proline | 14.62 ± 0.38 | 13.61 ± 0.21 | 13.43 ± 0.33 | 13.56 ± 0.01 |
| Hydrophobic acid | 20.06 ± 0.34 | 18.32 ± 0.09 | 18.25 ± 0.12 | 17.93 ± 0.02 |
Publisher’s Note: MDPI stays neutral with regard to jurisdictional claims in published maps and institutional affiliations. |
© 2021 by the authors. Licensee MDPI, Basel, Switzerland. This article is an open access article distributed under the terms and conditions of the Creative Commons Attribution (CC BY) license (https://creativecommons.org/licenses/by/4.0/).
Share and Cite
Zhang, W.; Chen, C.; Huang, Z.; Wang, P. Characterizations of Gelatin from the Skin of American Bullfrog (Rana catesbeiana) as Affected by Extraction Temperature. Sustainability 2021, 13, 4390. https://doi.org/10.3390/su13084390
Zhang W, Chen C, Huang Z, Wang P. Characterizations of Gelatin from the Skin of American Bullfrog (Rana catesbeiana) as Affected by Extraction Temperature. Sustainability. 2021; 13(8):4390. https://doi.org/10.3390/su13084390
Chicago/Turabian StyleZhang, Weibo, Chong Chen, Ziyu Huang, and Pengjie Wang. 2021. "Characterizations of Gelatin from the Skin of American Bullfrog (Rana catesbeiana) as Affected by Extraction Temperature" Sustainability 13, no. 8: 4390. https://doi.org/10.3390/su13084390
APA StyleZhang, W., Chen, C., Huang, Z., & Wang, P. (2021). Characterizations of Gelatin from the Skin of American Bullfrog (Rana catesbeiana) as Affected by Extraction Temperature. Sustainability, 13(8), 4390. https://doi.org/10.3390/su13084390

