Introduction
Ethofumesate is a benzofuran herbicide commonly used to control weeds of sugar beet. Its mechanism of action in plants is to inhibit the synthesis of very long chain fatty acids (>C18). Concentration of ethofumesate in surface freshwater vary between 0.5 and 3 µg.L−1 [1,2], but maximal concentration was found in Germany at 51.1 µg.L−1 [3]. Although herbicides are designed to eliminate unwanted plants, they could present toxicity against non-target organisms. Thus, herbicides are considered dangerous at low concentrations to both aquatic invertebrates and vertebrates [4,5]. Therefore, there is an increasing need to understand the toxicity of such chemicals on non-target aquatic organisms. Studying the energy metabolism constitutes an appropriate approach to detect physiological disturbances of organisms linked to their exposure to pollutants. Indeed animal survival depends on the availability of energy necessary to ensure physiological functions as maintenance, growth and reproduction.
The roach (Rutilus rutilus) is a cyprinid species found throughout Europe. Roach can be easily identified and caught and is found in large populations. It is commonly or often used for biological biomonitoring studies of aquatic environments [6] Because of its robustness, it can develop in polluted environments and thus constitute a good bioindicator [7]. The aim of this study was to determine the effect of ethofumesate on energy metabolism in juvenile roach at different (biochemical, molecular and cellular) levels. Additionally, two temperatures were tested (10 and 17°C) to assess potential effects of this environmental parameter on energy metabolism responses to chemicals. Among biological processes involved in cellular energy synthesis, we focused on glycolysis and respiratory chain pathways.
Materials and Methods
Exposure Conditions
Juvenile roach (Rutilus rutilus) were purchased from a commercial pond farm located in Champagne-Ardenne region (France). After 10 days of acclimatization, fish were exposed to 0; 0.5; 5 or 50 µg.L−1 of ethofumesate for seven days, at 10°C and at 17°C. During exposure, water was replaced every day to maintain ethofumesate concentration. Ethofumesate concentrations were checked before and after each water replacement. All along acclimatization and exposure, fish were fed ad libitum every two days with mud worms and photoperiod was kept constant (LD 12:12). No mortality was observed during acclimatization and exposure. Nine fish were sacrificed at the beginning of each experiment (T0) then nine fish per condition were sampled after 1 (T1) and 7 (T7) days. White muscle was sampled, flash frozen in liquid nitrogen and kept at -80°C until biochemical and molecular analyses. For cellular analyses, muscle was fixed with glutaraldehyde.
Analyses
The glycolysis pathway was studied at two regulation levels in white muscle of juvenile roach. First, a biochemical approach was carried out with the glycolytic fluxes measurement. This biochemical spectrophotometric method allows measuring the aerobic (JA) and anaerobic (JB) capacities of the first steps of glycolysis on white muscle homogenate [8]. Glycolytic activity was assessed from the NADH decrease at 340 nm. The reaction was triggered by adding glucose. The system reached a steady state called JA, representative of the aerobic flux of glycolysis, stimulated by free glucose in aerobic conditions. After 5 min of steady state, glucose-6-phosphate (G6P) was added to the mixture, and the system reached a new steady state called JB. JB represents the anaerobic flux of glycolysis, stimulated by glycogen in anaerobic conditions. Secondly, a molecular approach was studied by measurement of the relative expression of 4 genes encoding for glycolysis enzymes (Hexokinase, HK; Phosphofructokinase, PFK; Glyceraldehyde 3-phosphate dehydrogenase, G3PDH and Pyruvate kinase, PK; Table 1) by real-time quantitative PCR according to Livak and Schmittgen [9]. Actin and Ribosomal protein L8 (Rpl8) genes were used as housekeeping genes (Table 1).
Table 1.
Primer sequences used for quantitative real-time polymerase chain reaction.
The respiratory chain pathway was studied at three regulation levels. First, a biochemical approach was carried out with the activity of electron transports system (ETS) according to De Coen and Janssen [10]. This method lies on the saturation of electron flux through mitochondrial membrane by adding high levels of natural substrates (NADH and NADPH). This activity was measured spectrophotometrically and following the formazan production during 6 min at 490 nm. Secondly, a molecular approach was studied by the measurement of the relative expression of cytochrome c oxidase subunit 1 (CCOX1; Table 1). Thirdly, a cellular approach was performed by the observation of mitochondria ultrastructure. Muscle was fixed with glutaraldehyde (3%), included in resin and cut at 50 nm. Ultrathin sections were stained with lead citrate and examined with a transmission electron microscope.
Statistical Analysis
Statistical analysis was performed using Minitab 16 software. As all parameters were non-normally distributed (Kolmogorov-Smirnov test), non-parametric Kruskall-Wallis and Mann-Whitney U tests were used. Results are expressed as mean±S.E.M, excepted for molecular analysis where a box plot was used.
Results and Discussion
Focusing on glycolysis pathway, no significant difference in PK, PFK and G3PDH genes expression was observed between conditions or times of exposure. Expression of HK gene tended to decrease at T1 when ethofumesate concentrations increased in fish exposed at 10°C, with a significant decrease in roach exposed to 50 µg.L−1 of ethofumesate (Figure 1). This trend was not observed after seven days of exposure, excepted in roach exposed to 50 µg.L−1 of ethofumesate who showed a lower relative gene expression of HK than control. As HK is the only aerobic enzyme of the glycolysis pathway, its activity in vertebrate muscle is directly related to the respiratory capacity [11]. An under-expression of HK could involve a disturbance in aerobic energy production. In our study, no significant difference in aerobic or in anaerobic flux was observed at enzymatic activity level, suggesting compensatory mechanisms between the two regulation levels when fish were exposed to ethofumesate at 10°C. It is well known that glycolytic flux is essentially regulated at enzymatic activity level, in particular the one of HK, PFK and PK which corresponds to the 3 allosteric enzymes [12,13]. Nevertheless, further investigations are needed to understand the compensatory mechanisms involved in the present study.
Figure 1.
Relative gene expression of hexokinase during ethofumesate exposure at 10°C in white muscle of roach. Different letters indicate significant differences for a same time (P<0.05). *Corresponds to outliers. Bars with ¤ indicate significant differences for a same concentration.
When roach were exposed to ethofumesate at 17°C, no significant difference was observed with control for all glycolysis genes expression, but a decrease in the aerobic flux (JA) and an increase in the anaerobic flux (JB) were observed in contaminated fish at both times of exposure as revealed by JB/JA ratio (Figure 2). The increase in anaerobic flux is no significant due to the high variability between individuals. These results suggest that ethofumesate can act directly on glycolytic enzymes and/or their substrates to disturb the glycolytic flux. Using the anaerobic metabolism involves consequences in terms of energy budget. Indeed, the anaerobic pathway is less effective than aerobic one for producing cellular energy (2 ATP molecules vs 38). Consequently, an increase in anaerobic metabolism may result in an extensive use of energy reserves that can in return affect physiology and survival. The increase in anaerobic flux observed in the present study, could aim to compensate the decrease in aerobic flux to allow a maintained cellular energy production, despite a lowest efficiency. The lower ATP production linked to the activation of the anaerobic pathway may lead to a reduction of energy availability for physiological functions of organism (growth, reproduction, immunity…). Our results suggest that under ethofumesate exposure, energy is produced essentially to ensure fish survival at the expense of others process.
Figure 2.
JB/JA ratio during ethofumesate exposure at 17°C in white muscle of roach. Different letters indicate significant differences (P<0.05).
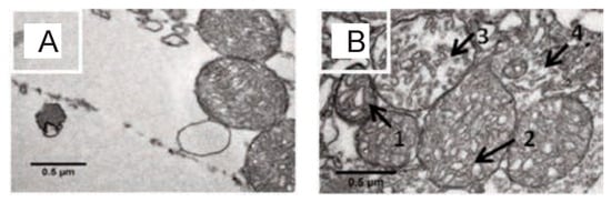
Focusing on respiratory chain pathway, when roach were exposed to ethofumesate at 10°C, no significant difference was observed with control, whether on ETS activity, or on CCOX1 expression. On the other hand, mitochondria disturbances were observed (Figure 3). Indeed, alterations or destructions of mitochondrial structures were observed in the outer membrane, the cristae and in the general mitochondria shape. The cellular regulation level is generally expected to be affected by chemicals after the molecular or biochemical one. Generally, mitochondria disturbances are correlated to respiratory chain and/or oxidative phosphorylation impairments and ROS production [14,15]. In the present study, ethofumesate may act on the oxidative phosphorylation and on the ATP synthase activity.
Figure 3.
Ultrastructure of muscular mitochondria in roach exposed to 50 µg.L−1 after one day of ethofumesate exposure at 10°C. (A) Electron micrograph from control roach muscle showing round regular mitochondria. (B) Electron micrograph from contaminated roach muscle showing disrupted outer mitochondrial membrane (1), dilated cristae (2), destroyed cristae and absent matrix (3), and mitochondria entirely destroyed (4).
When roach were exposed to ethofumesate at 17°C, no significant difference was observed for CCOX1 expression between control and contaminated fish and times of exposure. However, a decrease in ETS activity was observed at T1, in roach exposed to ethofumesate compared to control, significant in roach exposed to 5 µg.L−1 of ethofumesate (Figure 4). This decrease was not observed after 7 days. These results suggest that ethofumesate can act directly on respiratory chain enzymes. ETS represents a valid alternative measure to whole animal respiration [11]. It’s assumed that ETS activity is an overestimation of the maximal cellular respiration. Maintaining electron transport activity at a significant level is essential since mitochondrial electron transport chain supplies over 95% of the total ATP requirement [16]. Then the return to the control level after 7 days could correspond to a compensative way to prevent an excessive loss of cellular energy, especially ATP.
Figure 4.
Electron transport system activity during ethofumesate 17°C exposure in white muscle of roach. Different letters indicate significant differences (P<0.05).
The mechanism of action of ethofumesate on cellular energy metabolism in animals remains unknown, but if this molecule affects the lipids synthesis in animals as it does in plants, this could have such consequences on respiratory chain pathway. Indeed, lipids provide substrates of aerobic metabolism (Krebs cycle and respiratory chain pathways) through β-oxidation. If the lipids synthesis is affected by ethofumesate, the aerobic metabolism could potentially be affected, with a decrease in electron transfer through respiratory chain pathway, and thus could potentially activate the anaerobic metabolism.
Moreover, mitochondria disturbances were observed (data not shown) with same effects as mentioned above. However, these effects were observed in contaminated fish but also in control. We can hypothesize that these cellular alterations were linked to a temperature effect, but such disturbances were not observed with other parameters. However, Van Dijk et al. [17] showed that, when fish were fed ad libitum, preferential temperature for roach growth was 26°C and that the optimal temperature range for growth was 20-27°C. However, mitochondria disturbances due to hyperthermia are well-documented, [18,19] showing dilated cristae, swollen mitochondria, and modified shape.
In conclusion, this study revealed disturbances on muscular energy metabolism after ethofumesate exposure on juvenile roach, especially in glycolysis pathway. Moreover, at 17°C an effect on respiratory chain was observed. Ethofumesate induced more effects at 17 than 10°C, what seems consistent, as energy metabolism is known to be more active with increasing temperature [20]. This study underlines the importance of temperature as confounding factor. Thus, environmental temperature is an important parameter to take into account when studying such effects of pesticides.
References
- Berenzen, N.; Kumke, T.; Schulz, H.K.; Schulz, R. Macroinvertebrate community structure in agricultural streams: impact of runoffrelated pesticide contamination. Ecotox Environ Safe 2005, 60, 37–46. [Google Scholar] [CrossRef] [PubMed]
- Herrero-Hernández, E.; Andrades, M.S.; Álvarez-Martín, A.; Pose-Juan, E.; Rodríguez-Cruz, M.S.; Sánchez-Martín, M.J. Occurrence of pesticides and some of their degradation products in waters in a Spanish wine region. J. Hydrol 2013, 486, 234–45. [Google Scholar] [CrossRef]
- Neumann, M.; Liess, M.; Schulz, R. A qualitative sampling method for monitoring water quality in temporary channels or point sources and its application to pesticide contamination. Chemosphere 2003, 51, 509–13. [Google Scholar] [CrossRef] [PubMed]
- Vidal, T.; Abrantes, N.; Gonçalves, A.M.M.; Gonçalves, F. Acute and chronic toxicity of Betanal® expert and its active ingredients on nontarget aquatic organisms from different trophic levels. Environ Toxicol 2010, 27, 537–48. [Google Scholar] [CrossRef] [PubMed]
- Moore, M.T.; Pierce, J.R.; Milam, C.D.; Farris, J.L.; Winchester, E.L. Responses of non-target aquatic organisms to aqueous propanil exposure. Bull Environ Contam Toxicol 1998, 61, 169–74. [Google Scholar] [CrossRef] [PubMed]
- Chovanec, A.; Hofer, R.; Schiemer, F. Chapter 18: Fish as bioindicators. In Trace metals and other contaminants in the environment. Vol. 6: Bioindicators & Biomonitors Principles, Concepts and Applications; Markert, B.A., Breure, A.M., Zechmeister, H.G., Eds.; Elsevier: Dordrecht, The Netherlands, 2003; pp. 639–676. [Google Scholar]
- Bruslé, J.; Quignard, J.P. Biologie des poissons d’eau douce européens; Edition TEC&DOC: Paris, France, 2001; pp. 199–211. [Google Scholar]
- Sébert, P.; Peragon, J.; Barroso, J.B.; Simon, B.; Melendez-Hevia, E. High hydrostatic pressure (101 ATA) changes the metabolic design of yellow freshwater eel muscle. Comp Biochem Physiol Biochem Part B 1998, 121, 195–200. [Google Scholar] [CrossRef]
- Livak, K.J.; Schmittgen, T.D. Analysis of relative gene expression data using real-time quantitative PCR and the 2-CT method. Methods 2001, 25, 402–8. [Google Scholar] [CrossRef] [PubMed]
- De Coen, W.M.; Janssen, C.R. The use of biomarkers in Daphnia magna toxicity testing. IV. Cellular Energy Allocation: a new methodology to assess the energy budget of toxicant-stressed Daphnia populations. J Aquat Ecosyst Stress Recovery 1997, 6, 43–55. [Google Scholar]
- Burleigh, J.G.; Schimke, R.T. On the activities of some enzymes concerned with glycogenolysis in extracts of rabbit skeletal muscles. Biochem Biophys Res Commun 1968, 31, 831–6. [Google Scholar] [CrossRef] [PubMed]
- Uyeda, K.; Racker, E. Regulatory mechanisms in carbohydrate metabolism. VII. Hexokinase and Phosphofructokinase. J Biol Chem 1965, 240, 4682–8. [Google Scholar] [CrossRef] [PubMed]
- Purich, D.L.; Fromm, H.J. Studies on factors influencing enzyme responses to adenylate energy charge. J Biol Chem 1972, 247, 249–55. [Google Scholar] [CrossRef] [PubMed]
- Lei, W.; Wang, L.; Liu, D.; Xu, T.; Luo, J. Histopathological and biochemical alternations of the heart induced by acute cadmium exposure in the freshwater crab Sinopotamon yangtsekiense. Chemosphere 2011, 84, 689–94. [Google Scholar] [CrossRef] [PubMed]
- Al Kaddissi, S.; Legeay, A.; Elia, A.C.; Gonzalez, P.; Camilleri, V.; Gilbin, R.; et al. Effects of uranium on crayfish Procambarus clarkii mitochondria and antioxidants responses after chronic exposure: What have we learned? Ecotox Environ Safe 2012, 78, 218–24. [Google Scholar] [CrossRef] [PubMed]
- Ereciska, M.; Wilson, D.F. Regulation of cellular energy metabolism. J Membrane Biol 1987, 70, 1–14. [Google Scholar] [CrossRef] [PubMed]
- Van Dijk, P.L.M.; Staaks, G.; Hardewig, I. The effect of fasting and refeeding on temperature preference, activity and growth of roach, Rutilus rutilus. Oecologia 2002, 130, 496–504. [Google Scholar] [CrossRef] [PubMed]
- Arancia, G.; Crateri Trovalusci, P.; Mariutti, G.; Mondovi, B. Ultrastructural changes induced by hyperthermia in Chinese hamster V79 fibroblasts. Int J Hyperthermia 1989, 5, 341–50. [Google Scholar] [CrossRef] [PubMed]
- Welch, W.J.; Suhan, J.P. Morphological study of the mammalian stress response: characterization of changes in cytoplasmic organelles, cytoskeleton, and nucleoli, and appearance of intranuclear actin filaments in rat fibroblasts after heatshock treatment. J Cell Biol 1985, 101, 1198–211. [Google Scholar] [CrossRef] [PubMed]
- Lemieux, H. Effets de la température sur le métabolisme mitochondrial cardiaque. Thesis, Québec University, Rimouski, QC, Canada, 2007. [Google Scholar]
© Copyright V. Maes et al., 2014. Licensee PAGEPress, Italy. This work is licensed under a Creative Commons Attribution NonCommercial 3.0 License (CC BY-NC 4.0).




