Endoscopic Treatment of Symptomatic Septum Pellucidum Cyst in an Adult Patient—Case Report and Technical Notes
Abstract
1. Introduction
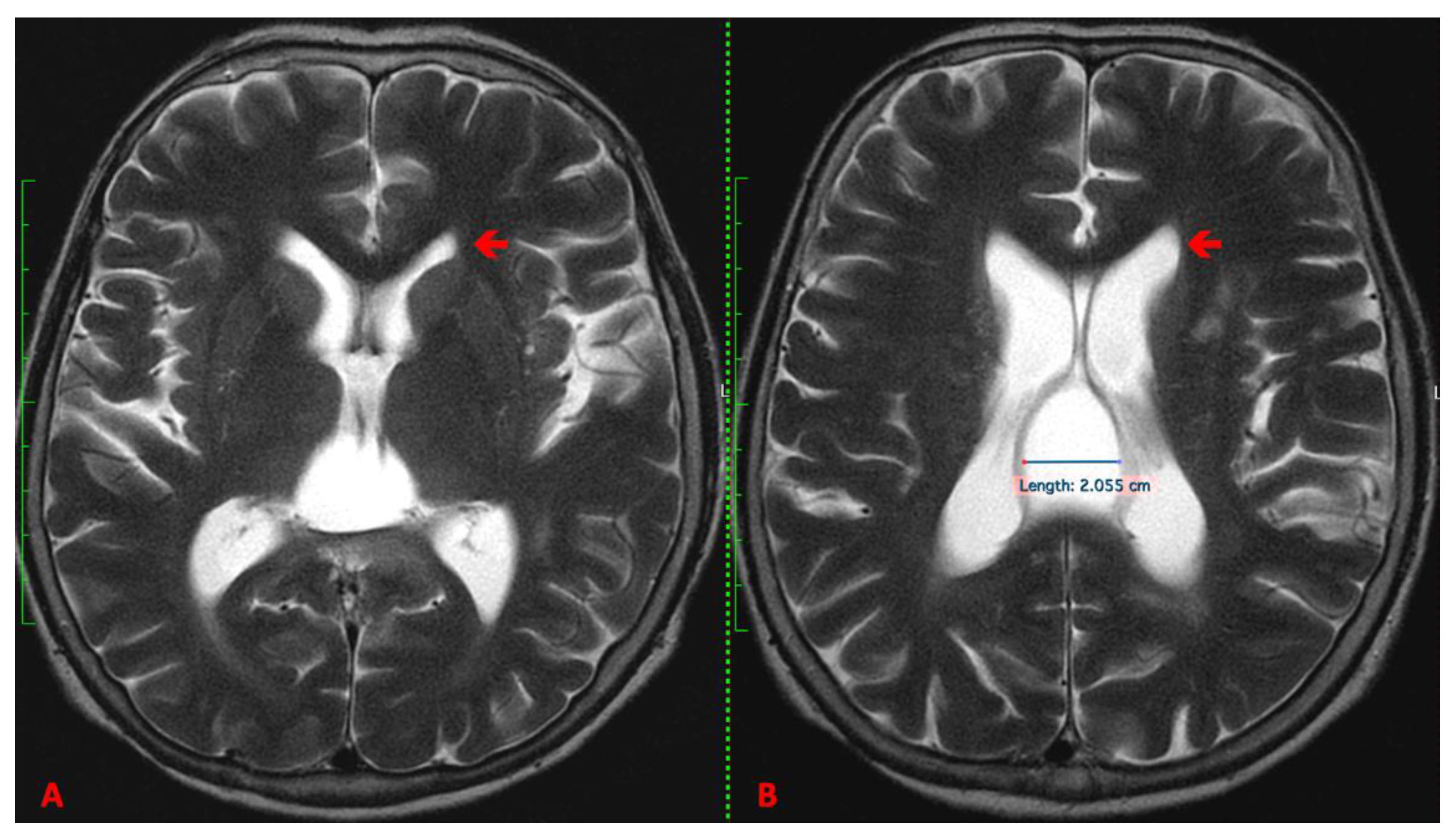
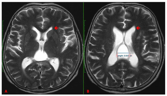
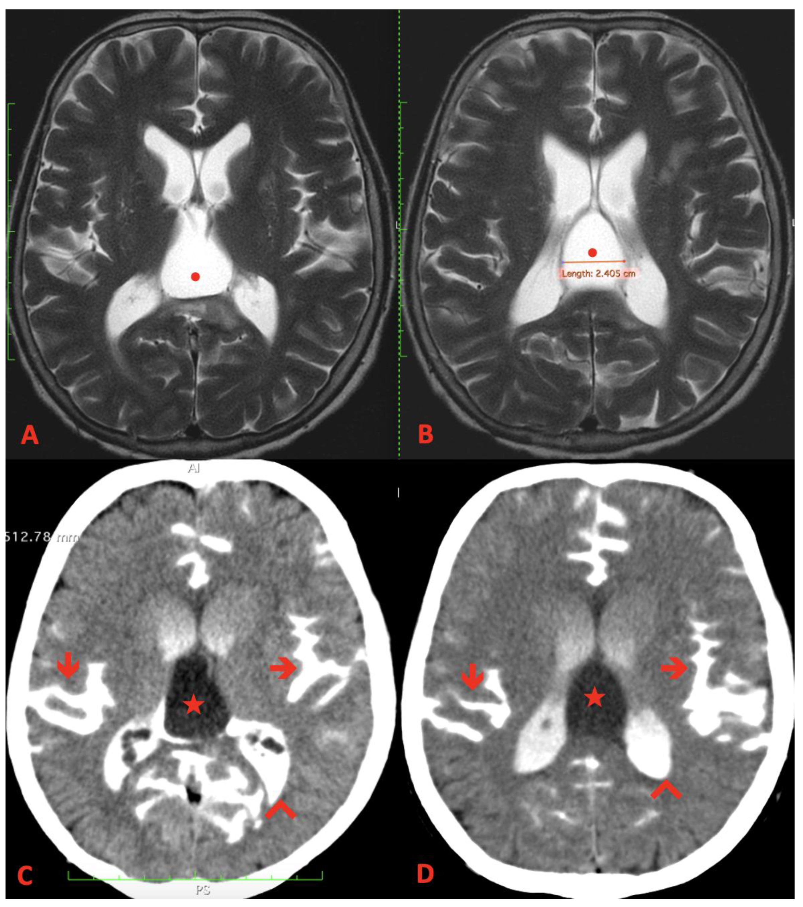
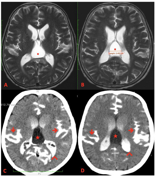
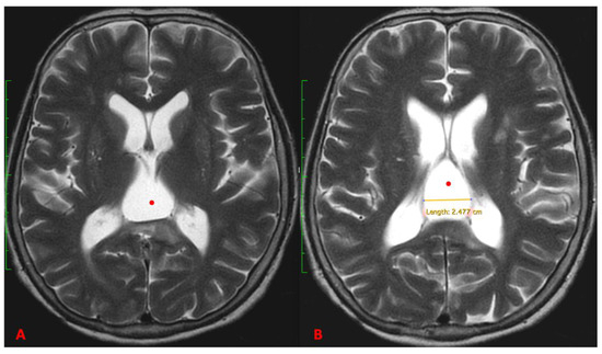
2. Case Report
3. Discussions
3.1. Cavum Vergae
3.2. Imaging
- T1-Weighted Images: Midline cysts typically appear hypointense (dark) on T1-weighted images.
- T2-Weighted Images: These cysts usually appear hyperintense (bright) on T2-weighted images, reflecting their fluid content.
- Fluid-Attenuated Inversion Recovery (FLAIR) Images: The cysts often remain hypointense on FLAIR images but may vary depending on the protein content of the cyst.
- Diffusion-Weighted Imaging (DWI): Most cysts do not show restricted diffusion.
- Contrast Enhancement: Midline cysts generally do not enhance with gadolinium.
3.3. Differential Diagnosis of Midline Cysts
3.4. Treatment
4. Conclusions
Author Contributions
Funding
Institutional Review Board Statement
Informed Consent Statement
Data Availability Statement
Conflicts of Interest
Nomenclature
| movie 1 | 1st surgery |
| movie 2 | 2nd surgery |
References
- Sayama, C.M.; Harnsberger, H.R.; Couldwell, W.T. Spontaneous regression of a cystic cavum septum pellucidum. Acta Neurochir. 2006, 148, 1209–1211. [Google Scholar] [CrossRef] [PubMed]
- Lauretti, L.; Mattogno, P.P.; Bianchi, F.; Pallini, R.; Fernandez, E.; Doglietto, F. Treatment of giant congenital cysts of the midline in adults: Report of two cases and review of the literature. Surg. Neurol. Int. 2015, 6 (Suppl. S13), S371–S374. [Google Scholar] [PubMed]
- Borha, A.; Ponte, K.F.; Emery, E. Cavum septum pellucidum cyst in children: A case-based update. Child’s Nerv. Syst. 2012, 28, 813–819. [Google Scholar] [CrossRef]
- Fratzoglou, M.; Grunert, P.; Leite dos Santos, A.; Hwang, P.; Fries, G. Symptomatic cysts of the cavum septi pellucidi and cavum vergae: The role of endoscopic neurosurgery in the treatment of four consecutive cases. Minim. Invasive Neurosurg. 2003, 46, 243–249. [Google Scholar]
- Yuan Hong, S.C.; Guo, S.-X.; Zhang, J.-M. Spontaneous Resolution of a Cyst of the Septum Pellucidum. Am. J. Med. Sci. 2011, 342, 333–335. [Google Scholar] [CrossRef]
- Wang, K.C.; Fuh, J.L.; Lirng, J.F.; Huang, W.C.; Wang, S.J. Headache profiles in patients with a dilatated cyst of the cavum septi pellucidi. Cephalalgia 2004, 24, 867–874. [Google Scholar] [CrossRef]
- Shrestha, B. Late onset of psychotic symptoms in a patient with cavum septum pellucidum and cavum vergae. J. Neuropsychiatry Clin. Neurosci. 2012, 24, E43–E44. [Google Scholar] [CrossRef]
- Neciga, E.G.; Peralta, A.G.; Polaina, M.; Sureda, B.; Bautista, J. Cyst of the Septum Pellucidum and Korsakoff’s Psychosis. Eur. Neurol. 1989, 29, 99–101. [Google Scholar] [CrossRef]
- Silbert, P.L.; Gubbay, S.S.; Vaughan, R.J. Cavum septum pellucidum and obstructive hydrocephalus. J. Neurol. Neurosurg. Psychiatry 1993, 56, 820–822. [Google Scholar] [CrossRef][Green Version]
- Tubbs, R.S.; Krishnamurthy, S.; Verma, K.; Shoja, M.M.; Loukas, M.; Mortazavi, M.M.; Cohen-Gadol, A.A. Cavum velum interpositum, cavum septum pellucidum, and cavum vergae: A review. Childs Nerv. Syst. 2011, 27, 1927–1930. [Google Scholar] [CrossRef]
- Mourgela, S.; Sakellaropoulos, A.; Gouliamos, A.; Anagnostopoulou, S. Cavum veli interpositi: Why this anatomical variant exist? Int. J. Anat. Var. 2010, 3, 2–5. [Google Scholar]
- Auer, R.N.; Gilbert, J.J. Cavum vergae without cavum septi pellucidi. Arch. Pathol. Lab. Med. 1982, 106, 462–463. [Google Scholar] [PubMed]
- Born, C.M.; Meisenzahl, E.M.; Frodl, T.; Pfluger, T.; Reiser, M.; Möller, H.J.; Leinsinger, G.L. The septum pellucidum and its variants. An MRI study. Eur. Arch. Psychiatry Clin. Neurosci. 2004, 254, 295–302. [Google Scholar] [CrossRef]
- Bogdanoff, B.; Natter, H.M. Incidence of cavum septum pellucidum in adults: A sign of boxer’s encephalopathy. Neurology 1989, 39, 991–992. [Google Scholar] [CrossRef]
- Pierfrancesco, M.; Stefania, F.; Carmelo, M.; Umberto, G. Symptomatic Cyst of the Septum Pellucidum Treated by Stereotactic Intraventricular Drainage. Stereotact. Funct. Neurosurg. 1995, 64, 134–138. [Google Scholar] [CrossRef]
- Lancon, J.A.; Haines, D.E.; Raila, F.A.; Parent, A.D.; Vedanarayanan, V.V. Expanding cyst of the septum pellucidum. Case report. J. Neurosurg. 1996, 85, 1127–1134. [Google Scholar] [CrossRef]
- Aoki, N. Cyst of the septum pellucidum presenting as hemiparesis. Childs Nerv. Syst. 1986, 2, 326–328. [Google Scholar] [CrossRef] [PubMed]
- Dandy, W.E. Congenital Cerebral Cysts of the Cavum Septi Pellucidi (Fifth Ventricle) and Cavum Vergae (Sixth Ventricle). Arch. Neurol. Psychiatry 1931, 25, 44–66. [Google Scholar] [CrossRef]
- Tamburrini, G.; Mattogno, P.P.; Narenthiran, G.; Caldarelli, M.; Di Rocco, C. Cavum septi pellucidi cysts: A survey about clinical indications and surgical management strategies. Br. J. Neurosurg. 2017, 31, 464–467. [Google Scholar] [CrossRef]
- Kansu, T.; Bertan, V. Fifth ventricle with bitemporal hemianopsia. Case report. J. Neurosurg. 1980, 52, 276–278. [Google Scholar] [CrossRef]
- Koçer, N.; Kantarci, F.; Mihmalli, I.; Işlak, C.; Cokyüksel, O. Spontaneous regression of a cyst of the cavum septi pellucidi. Neuroradiology 2000, 42, 360–362. [Google Scholar] [CrossRef] [PubMed]
- Sencer, A.; Sencer, S.; Turantan, I.; Devecioğlu, O. Cerebrospinal fluid dynamics of the cava septi pellucidi and vergae. Case report. J. Neurosurg. 2001, 94, 127–129. [Google Scholar] [CrossRef]
- Jackowski, A.; Kulshresta, M.; Sgouros, S. Laser-assisted flexible endoscopic fenestration of giant cyst of the septum pellucidum. Br. J. Neurosurg. 1995, 9, 527–531. [Google Scholar] [CrossRef]
- Donati, P.; Sardo, L.; Sanzo, M. Giant cyst of the cavum septi pellucidi, cavum Vergae and veli interpositi. Minim. Invasive Neurosurg. 2003, 46, 177–181. [Google Scholar]
- Gangemi, M.; Maiuri, F.; Cappabianca, P.; Alafaci, C.; de Divitiis, O.; Tomasello, F.; de Divitiis, E. Endoscopic fenestration of symptomatic septum pellucidum cysts: Three case reports with discussion on the approaches and technique. Minim. Invasive Neurosurg. 2002, 45, 105–108. [Google Scholar] [CrossRef] [PubMed]
- Miki, T.; Wada, J.; Nakajima, N.; Inaji, T.; Akimoto, J.; Haraoka, J. Operative indications and neuroendoscopic management of symptomatic cysts of the septum pellucidum. Childs Nerv. Syst. 2005, 21, 372–381. [Google Scholar] [CrossRef] [PubMed]
- Chiu, C.D.; Huang, W.C.; Huang, M.C.; Wang, S.J.; Shih, Y.H.; Lee, L.S. Navigator system-assisted endoscopic fenestration of a symptomatic cyst in the septum pellucidum—Technique and cases report. Clin. Neurol. Neurosurg. 2005, 107, 337–341. [Google Scholar] [CrossRef]
- Schroeder, H.W.S. Application of the LOTTA ventriculoscopic system in clinical practice. In Chapter 8 Endoscopic Procedure for Hydrocephalus, 2nd ed.; Endo Press: Tuttlingen, Germany, 2018. [Google Scholar]
- Benninghaus, A.; Balédent, O.; Lokossou, A.; Castelar, C.; Leonhardt, S.; Radermacher, K. Enhanced in vitro model of the CSF dynamics. Fluids Barriers CNS 2019, 16, 11. [Google Scholar] [CrossRef]





Disclaimer/Publisher’s Note: The statements, opinions and data contained in all publications are solely those of the individual author(s) and contributor(s) and not of MDPI and/or the editor(s). MDPI and/or the editor(s) disclaim responsibility for any injury to people or property resulting from any ideas, methods, instructions or products referred to in the content. |
© 2025 by the authors. Licensee MDPI, Basel, Switzerland. This article is an open access article distributed under the terms and conditions of the Creative Commons Attribution (CC BY) license (https://creativecommons.org/licenses/by/4.0/).
Share and Cite
Rotariu, D.I.; Iliescu, B.F.; Buga, R.; Costachescu, B. Endoscopic Treatment of Symptomatic Septum Pellucidum Cyst in an Adult Patient—Case Report and Technical Notes. Surg. Tech. Dev. 2025, 14, 13. https://doi.org/10.3390/std14020013
Rotariu DI, Iliescu BF, Buga R, Costachescu B. Endoscopic Treatment of Symptomatic Septum Pellucidum Cyst in an Adult Patient—Case Report and Technical Notes. Surgical Techniques Development. 2025; 14(2):13. https://doi.org/10.3390/std14020013
Chicago/Turabian StyleRotariu, Daniel Ilie, Bogdan Florin Iliescu, Razvan Buga, and Bogdan Costachescu. 2025. "Endoscopic Treatment of Symptomatic Septum Pellucidum Cyst in an Adult Patient—Case Report and Technical Notes" Surgical Techniques Development 14, no. 2: 13. https://doi.org/10.3390/std14020013
APA StyleRotariu, D. I., Iliescu, B. F., Buga, R., & Costachescu, B. (2025). Endoscopic Treatment of Symptomatic Septum Pellucidum Cyst in an Adult Patient—Case Report and Technical Notes. Surgical Techniques Development, 14(2), 13. https://doi.org/10.3390/std14020013
