Systematic Pelvic and Paraaortic Lymph Node Dissection in Advanced Ovarian Cancer—Technical Aspects and Current Evidence-Based Data for Clinical Decision-Making
Abstract
1. Introduction
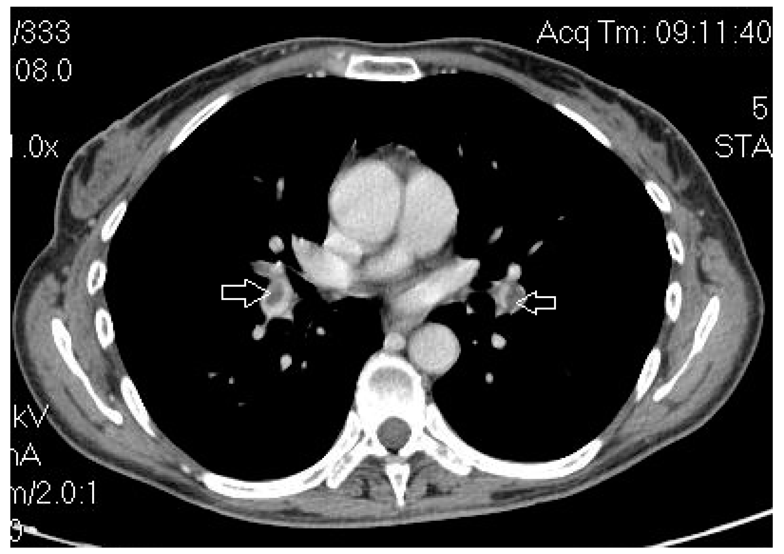
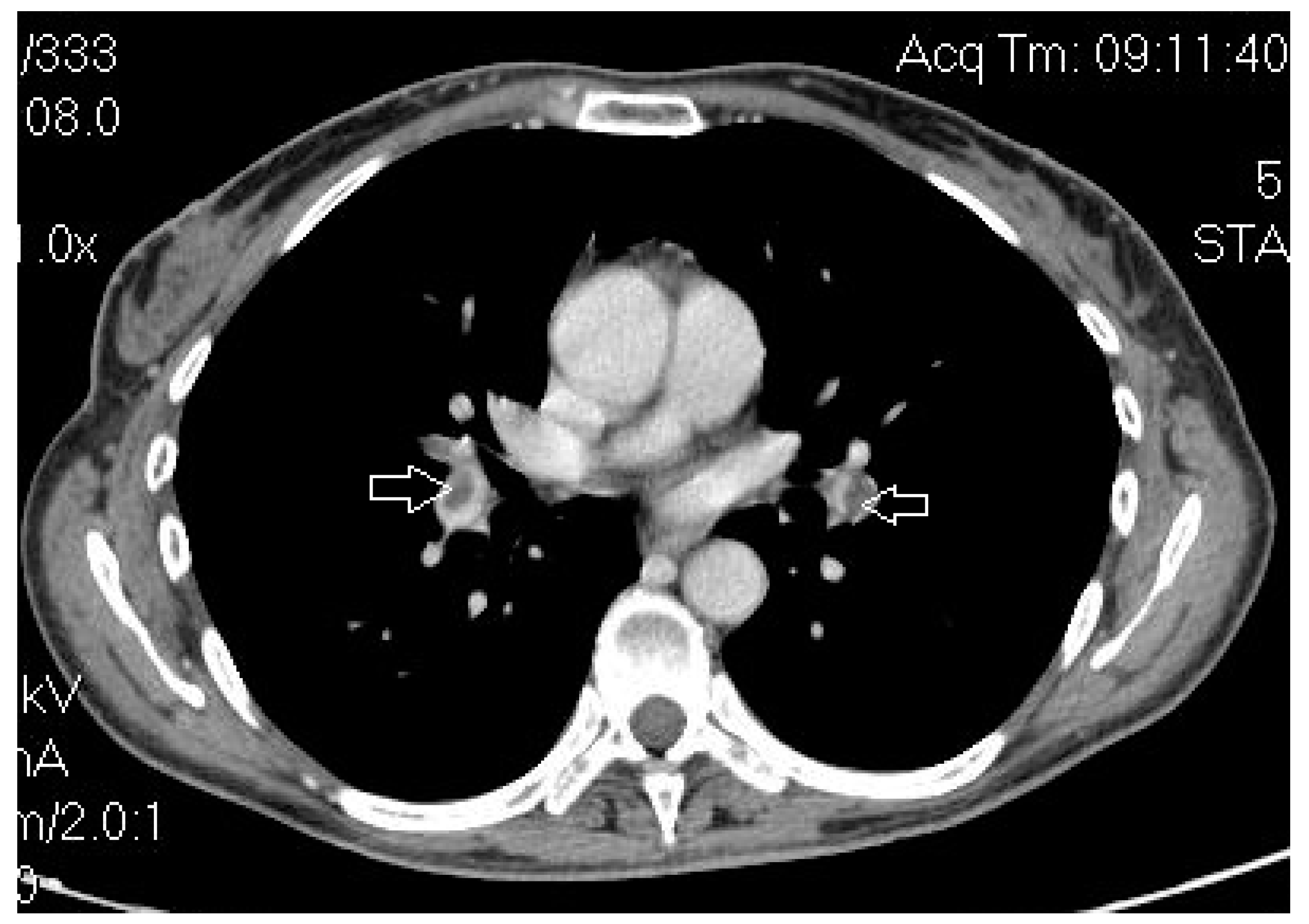
2. The Clinical Impact of Positive Lymph Nodes in AOC
3. Summary of Evidence-Based Literature Data About the Role of SPALND in AOC in a Series of Patients Operated Before the LION Trial Release (2019)
4. The LION Trial [22], a Landmark Study That Changed the Paradigm for the Role of SPALND in AOC
5. Did the LION Trial’s Negative Results [22] Change Surgeons’ Practice Regarding the SPALND in AOC?
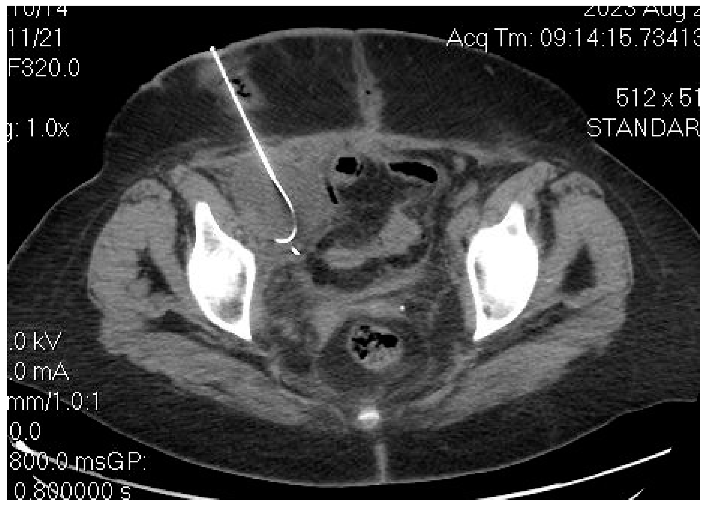
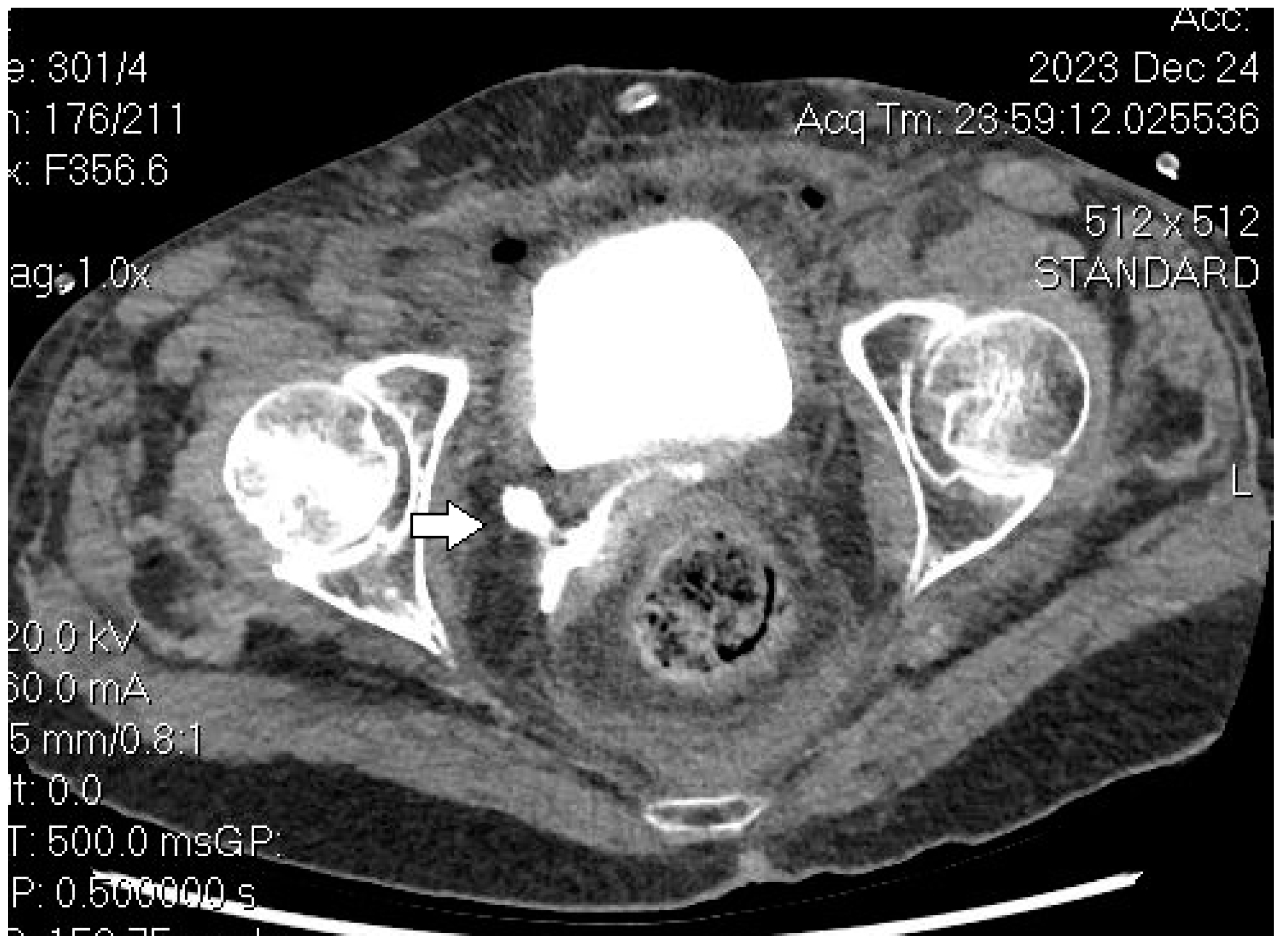
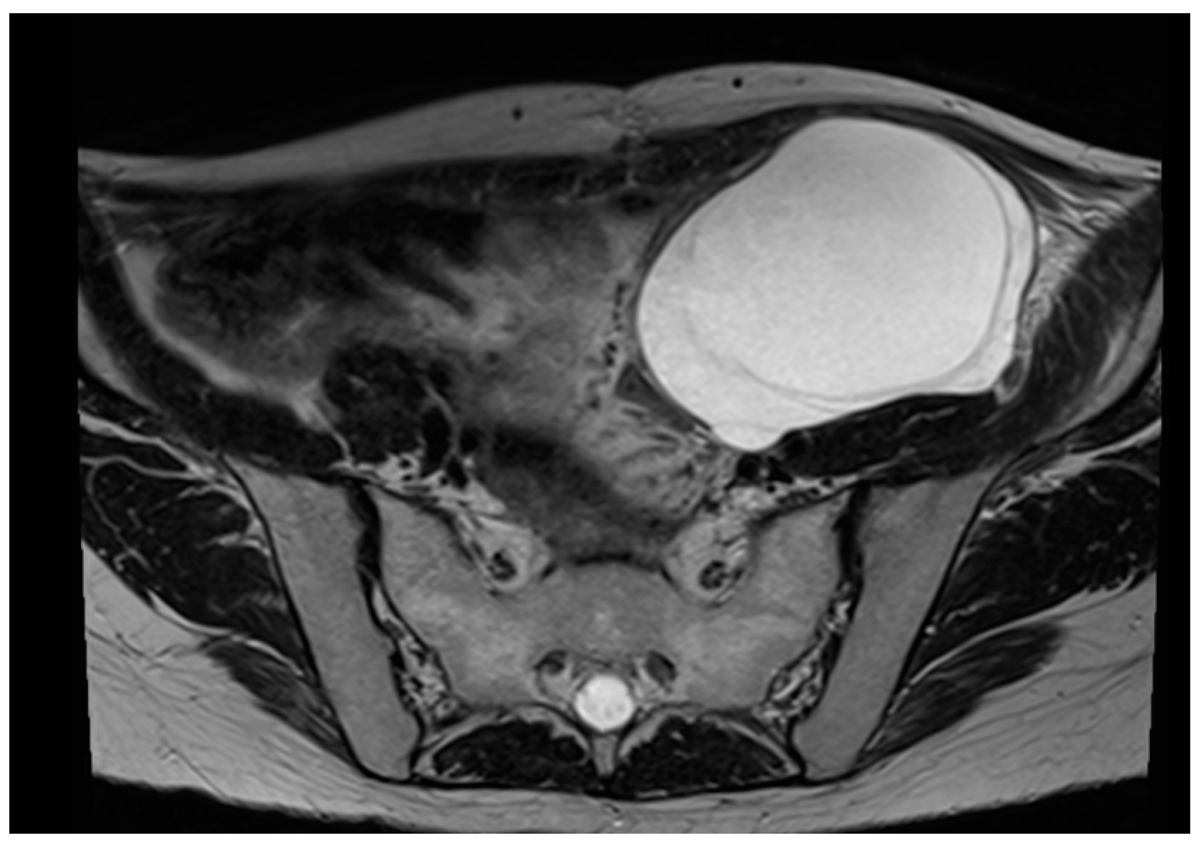
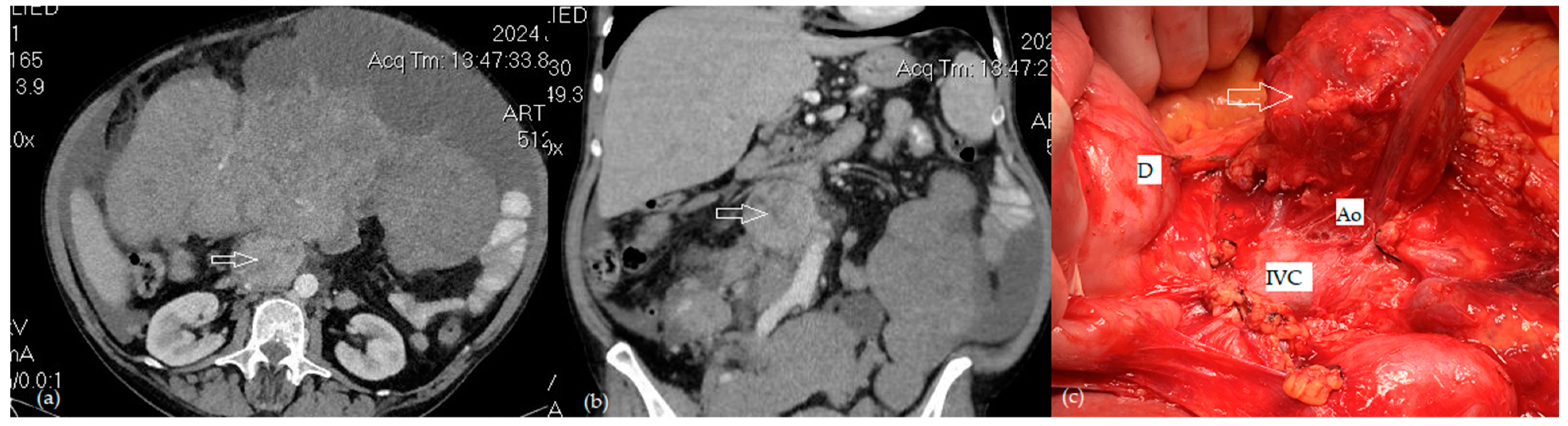
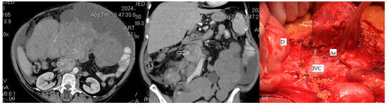
6. Technical Aspects Related to SPALND in AOC
7. Potential Complications Related to SPALND in AOC
8. Conclusions
Funding
Institutional Review Board Statement
Informed Consent Statement
Data Availability Statement
Conflicts of Interest
References
- Torre, L.A.; Trabert, B.; DeSantis, C.E.; Miller, K.D.; Samimi, G.; Runowicz, C.D.; Gaudet, M.M.; Jemal, A.; Siegel, R.L. Ovarian Cancer Statistics, 2018. CA Cancer J. Clin. 2018, 68, 284–296. [Google Scholar] [CrossRef] [PubMed]
- Webb, P.M.; Jordan, S.J. Global Epidemiology of Epithelial Ovarian Cancer. Nat. Rev. Clin. Oncol. 2024, 21, 389–400. [Google Scholar] [CrossRef] [PubMed]
- Chan, J.K.; Urban, R.; Hu, J.M.; Shin, J.Y.; Husain, A.; Teng, N.N.; Berek, J.S.; Osann, K.; Kapp, D.S. The Potential Therapeutic Role of Lymph Node Resection in Epithelial Ovarian Cancer: A Study of 13,918 Patients. Br. J. Cancer 2007, 96, 1817–1822. [Google Scholar] [CrossRef]
- Wang, M.; Bi, Y.; Jin, Y.; Zheng, Z.-J. Global Incidence of Ovarian Cancer According to Histologic Subtype: A Population-Based Cancer Registry Study. JCO Glob. Oncol. 2024, 10, e2300393. [Google Scholar] [CrossRef] [PubMed]
- Porter, J.M.; McFarlane, I.; Bartos, C.; Churchman, M.; May, J.; Herrington, C.S.; Connolly, K.C.; Ryan, N.A.J.; Hollis, R.L. The Survival Benefit Associated with Complete Macroscopic Resection in Epithelial Ovarian Cancer Is Histotype Specific. JNCI Cancer Spectr. 2024, 8, pkae049. [Google Scholar] [CrossRef]
- Trimbos, J.B. Lymphadenectomy in Ovarian Cancer: Standard of Care or Unnecessary Risk. Curr. Opin. Oncol. 2011, 23, 507–511. [Google Scholar] [CrossRef] [PubMed]
- NCCN Ovarian Cancer Guidelines Version 3.2024. Available online: https://www.nccn.org/guidelines/guidelines-detail?category=1&id=1453 (accessed on 1 September 2024).
- Sung, H.; Jiang, C.; Bandi, P.; Minihan, A.; Fidler-Benaoudia, M.; Islami, F.; Siegel, R.L.; Jemal, A. Differences in Cancer Rates among Adults Born between 1920 and 1990 in the USA: An Analysis of Population-Based Cancer Registry Data. Lancet Public Health 2024, 9, e583–e593. [Google Scholar] [CrossRef] [PubMed]
- Bray, F.; Laversanne, M.; Sung, H.; Ferlay, J.; Siegel, R.L.; Soerjomataram, I.; Jemal, A. Global Cancer Statistics 2022: GLOBOCAN Estimates of Incidence and Mortality Worldwide for 36 Cancers in 185 Countries. CA Cancer J. Clin. 2024, 74, 229–263. [Google Scholar] [CrossRef] [PubMed]
- Siegel, R.L.; Giaquinto, A.N.; Jemal, A. Cancer Statistics, 2024. CA Cancer J. Clin. 2024, 74, 12–49. [Google Scholar] [CrossRef]
- Zhu, B.; Gu, H.; Mao, Z.; Beeraka, N.M.; Zhao, X.; Anand, M.P.; Zheng, Y.; Zhao, R.; Li, S.; Manogaran, P.; et al. Global Burden of Gynaecological Cancers in 2022 and Projections to 2050. J. Glob. Health 2024, 14, 04155. [Google Scholar] [CrossRef]
- Timmermans, M.; Sonke, G.S.; Van De Vijver, K.K.; Van Der Aa, M.A.; Kruitwagen, R.F.P.M. No Improvement in Long-Term Survival for Epithelial Ovarian Cancer Patients: A Population-Based Study between 1989 and 2014 in the Netherlands. Eur. J. Cancer 2018, 88, 31–37. [Google Scholar] [CrossRef]
- Mulligan, K.; Corry, E.; Donohoe, F.; Glennon, K.; Vermeulen, C.; Reid-Schachter, G.; Thompson, C.; Walsh, T.; Shields, C.; McCormack, O.; et al. Multidisciplinary Surgical Approach to Increase Survival for Advanced Ovarian Cancer in a Tertiary Gynaecological Oncology Centre. Ann. Surg. Oncol. 2024, 31, 460–472. [Google Scholar] [CrossRef] [PubMed]
- Bachmann, C.; Bachmann, S.; Fehm, T.; Staebler, A.; Becker, S.; Rothmund, R.; Gardanis, C.; Grischke, E.M.; Wallwiener, D.; Solomayer, E.F. Nodal Status—Its Impact on Prognosis in Advanced Ovarian Cancer. J. Cancer Res. Clin. Oncol. 2012, 138, 261–267. [Google Scholar] [CrossRef] [PubMed]
- Bacalbasa, N.; Dima, S.; Balescu, I.; David, L.; Brasoveanu, V.; Popescu, I. Results of Primary Cytoreductive Surgery in Advanced-Stage Epithelial Ovarian Cancer: A Single-Center Experience. Anticancer Res. 2015, 35, 4099–4104. [Google Scholar] [PubMed]
- Iwase, H.; Takada, T.; Iitsuka, C.; Nomura, H.; Abe, A.; Taniguchi, T.; Takizawa, K. Clinical Significance of Systematic Retroperitoneal Lymphadenectomy during Interval Debulking Surgery in Advanced Ovarian Cancer Patients. J. Gynecol. Oncol. 2015, 26, 303. [Google Scholar] [CrossRef] [PubMed]
- Dahm-Kähler, P.; Holmberg, E.; Holtenman, M.; Rådestad, A.F.; Borgfeldt, C.; Hjerpe, E.; Marcickiewicz, J.; Bjurberg, M.; Tholander, B.; Hellman, K.; et al. Implementation of National Guidelines Increased Survival in Advanced Ovarian Cancer—A Population-Based Nationwide SweGCG Study. Gynecol. Oncol. 2021, 161, 244–250. [Google Scholar] [CrossRef] [PubMed]
- Gauthier, T.; Uzan, C.; Lefeuvre, D.; Kane, A.; Canlorbe, G.; Deschamps, F.; Lhomme, C.; Pautier, P.; Morice, P.; Gouy, S. Lymphocele and Ovarian Cancer: Risk Factors and Impact on Survival. Oncologist 2012, 17, 1198–1203. [Google Scholar] [CrossRef]
- Simon, V.; Ngo, C.; Pujade-Lauraine, E.; Ferron, G.; Pomel, C.; Leblanc, E.; Nadeau, C.; Ray-Cocquard, I.; Lecuru, F.; Bonsang-Kitzis, H. Should We Abandon Systematic Pelvic and Paraaortic Lymphadenectomy in Low-Grade Serous Ovarian Cancer? Ann. Surg. Oncol. 2020, 27, 3882–3890. [Google Scholar] [CrossRef]
- Bakır, M.S.; Birge, Ö.; Karadag, C.; Doğan, S.; Tuncer, H.A.; Simsek, T. The Insolvable Problem; Survival Effect of Lymphadenectomy in Advanced Stage Ovarian Cancer. Ginekol. Pol. 2021, 92, 829–836. [Google Scholar] [CrossRef] [PubMed]
- NCCN Ovarian Cancer Guidelines Version 2.2015. Available online: https://www2.tri-kobe.org/nccn/guideline/archive/gynecological2015/english/ovarian.pdf (accessed on 1 September 2024).
- Harter, P.; Sehouli, J.; Lorusso, D.; Reuss, A.; Vergote, I.; Marth, C.; Kim, J.-W.; Raspagliesi, F.; Lampe, B.; Aletti, G.; et al. A Randomized Trial of Lymphadenectomy in Patients with Advanced Ovarian Neoplasms. N. Engl. J. Med. 2019, 380, 822–832. [Google Scholar] [CrossRef] [PubMed]
- Panici, P.B.; Maggioni, A.; Hacker, N.; Landoni, F.; Ackermann, S.; Campagnutta, E.; Tamussino, K.; Winter, R.; Pellegrino, A.; Greggi, S.; et al. Systematic Aortic and Pelvic Lymphadenectomy Versus Resection of Bulky Nodes Only in Optimally Debulked Advanced Ovarian Cancer: A Randomized Clinical Trial. JNCI J. Natl. Cancer Inst. 2005, 97, 560–566. [Google Scholar] [CrossRef]
- Maggioni, A.; Benedetti Panici, P.; Dell’Anna, T.; Landoni, F.; Lissoni, A.; Pellegrino, A.; Rossi, R.S.; Chiari, S.; Campagnutta, E.; Greggi, S.; et al. Randomised Study of Systematic Lymphadenectomy in Patients with Epithelial Ovarian Cancer Macroscopically Confined to the Pelvis. Br. J. Cancer 2006, 95, 699–704. [Google Scholar] [CrossRef] [PubMed]
- Fagotti, A.; De Iaco, P.; Fanfani, F.; Vizzielli, G.; Perelli, F.; Pozzati, F.; Perrone, A.M.; Turco, L.C.; Scambia, G. Systematic Pelvic and Aortic Lymphadenectomy in Advanced Ovarian Cancer Patients at the Time of Interval Debulking Surgery: A Double-Institution Case–Control Study. Ann. Surg. Oncol. 2012, 19, 3522–3527. [Google Scholar] [CrossRef] [PubMed]
- Bund, V.; Lecointre, L.; Velten, M.; Ouldamer, L.; Bendifallah, S.; Koskas, M.; Bolze, P.-A.; Collinet, P.; Canlorbe, G.; Touboul, C.; et al. Impact of Lymphadenectomy on Survival of Patients with Serous Advanced Ovarian Cancer After Neoadjuvant Chemotherapy: A French National Multicenter Study (FRANCOGYN). J. Clin. Med. 2020, 9, 2427. [Google Scholar] [CrossRef] [PubMed]
- Chiyoda, T.; Sakurai, M.; Satoh, T.; Nagase, S.; Mikami, M.; Katabuchi, H.; Aoki, D. Lymphadenectomy for Primary Ovarian Cancer: A Systematic Review and Meta-Analysis. J. Gynecol. Oncol. 2020, 31, e67. [Google Scholar] [CrossRef] [PubMed]
- AlMahdy, A.M.; Elassall, G.M.; Abdelbadee, A.Y.; Abd-Elkariem, A.Y.; Atef, F.; Ahmed, I.A.; Sayed, E.G.; Salah, M.A.; Ali, A.K.; Ragab, E.Y.; et al. Prognostic Value of Systematic Lymphadenectomy in Patients with Ovarian Cancer: A Systematic Review and Meta-Analysis. Eur. J. Obstet. Gynecol. Reprod. Biol. 2021, 267, 179–185. [Google Scholar] [CrossRef] [PubMed]
- Seidler, S.; Koual, M.; Achen, G.; Bentivegna, E.; Fournier, L.; Delanoy, N.; Nguyen-Xuan, H.-T.; Bats, A.-S.; Azaïs, H. Clinical Impact of Lymphadenectomy after Neoadjuvant Chemotherapy in Advanced Epithelial Ovarian Cancer: A Review of Available Data. J. Clin. Med. 2021, 10, 334. [Google Scholar] [CrossRef]
- Caruso, G.; Palaia, I.; Bogani, G.; Tomao, F.; Perniola, G.; Benedetti Panici, P.; Muzii, L.; Di Donato, V. Systematic Lymph Node Dissection during Interval Debulking Surgery for Advanced Epithelial Ovarian Cancer: A Systematic Review and Meta-Analysis. J. Gynecol. Oncol. 2022, 33, e69. [Google Scholar] [CrossRef] [PubMed]
- Nasioudis, D.; Gysler, S.; Latif, N.A.; Giuntoli, R.L.; Kim, S.H.; Ko, E.M. Role of Systematic Lymphadenectomy at the Time of Interval Debulking Surgery for Patients with Advanced-Stage Epithelial Ovarian Carcinoma Who Achieved Complete Gross Resection. Int. J. Gynecol. Cancer 2024, 34, 969–974. [Google Scholar] [CrossRef] [PubMed]
- Connor, J.P.; O’Shea, A.; McCool, K.; Sampene, E.; Barroilhet, L.M. Peri-Operative Allogeneic Blood Transfusion Is Associated with Poor Overall Survival in Advanced Epithelial Ovarian Cancer; Potential Impact of Patient Blood Management on Cancer Outcomes. Gynecol. Oncol. 2018, 151, 294–298. [Google Scholar] [CrossRef] [PubMed]
- Pereira, A.; Irishina, N.; Pérez-Medina, T.; Magrina, J.F.; Magtibay, P.M.; Kovaleva, A.; Rodríguez-Tapia, A.; Iglesias, E. Defining the Optimal Lymphadenectomy Cut-off Value in Epithelial Ovarian Cancer Staging Surgery Utilizing a Mathematical Model of Validation. Eur. J. Surg. Oncol. EJSO 2013, 39, 290–296. [Google Scholar] [CrossRef] [PubMed]
- Benedetti Panici, P.; Giannini, A.; Fischetti, M.; Lecce, F.; Di Donato, V. Lymphadenectomy in Ovarian Cancer: Is It Still Justified? Curr. Oncol. Rep. 2020, 22, 22. [Google Scholar] [CrossRef] [PubMed]
- Di Re, F.; Baiocchi, G.; Fontanelli, R.; Grosso, G.; Cobellis, L.; Raspagliesi, F.; Di Re, E. Systematic Pelvic and Paraaortic Lymphadenectomy for Advanced Ovarian Cancer: Prognostic Significance of Node Metastases. Gynecol. Oncol. 1996, 62, 360–365. [Google Scholar] [CrossRef] [PubMed]
- Aletti, G.D.; Dowdy, S.; Podratz, K.C.; Cliby, W.A. Role of Lymphadenectomy in the Management of Grossly Apparent Advanced Stage Epithelial Ovarian Cancer. Am. J. Obstet. Gynecol. 2006, 195, 1862–1868. [Google Scholar] [CrossRef]
- Rouzier, R.; Bergzoll, C.; Brun, J.; Dubernard, G.; Selle, F.; Uzan, S.; Pomel, C.; Daraï, E. The Role of Lymph Node Resection in Ovarian Cancer: Analysis of the Surveillance, Epidemiology, and End Results (SEER) Database. BJOG Int. J. Obstet. Gynaecol. 2010, 117, 1451–1458. [Google Scholar] [CrossRef] [PubMed]
- Mahdi, H.; Thrall, M.; Kumar, S.; Hanna, R.; Seward, S.; Lockhart, D.; Morris, R.T.; Swensen, R.; Munkarah, A.R. The Prognostic Impact of the Ratio of Positive Lymph Nodes on Survival of Epithelial Ovarian Cancer Patients. J. Surg. Oncol. 2011, 103, 724–729. [Google Scholar] [CrossRef] [PubMed]
- Ataseven, B.; Grimm, C.; Harter, P.; Prader, S.; Traut, A.; Heitz, F.; Du Bois, A. Prognostic Value of Lymph Node Ratio in Patients with Advanced Epithelial Ovarian Cancer. Gynecol. Oncol. 2014, 135, 435–440. [Google Scholar] [CrossRef] [PubMed]
- Li, X.; Xing, H.; Li, L.; Huang, Y.; Zhou, M.; Liu, Q.; Qin, X.; He, M. Clinical Significance of Para-Aortic Lymph Node Dissection and Prognosis in Ovarian Cancer. Front. Med. 2014, 8, 96–100. [Google Scholar] [CrossRef]
- Ayhan, A.; Ozkan, N.T.; Sarı, M.E.; Celik, H.; Dede, M.; Akbayır, Ö.; Güngördük, K.; Şahin, H.; Haberal, A.; Güngör, T.; et al. Impact of Lymph Node Ratio on Survival in Stage III Ovarian High-Grade Serous Cancer: A Turkish Gynecologic Oncology Group Study. J. Gynecol. Oncol. 2018, 29, e12. [Google Scholar] [CrossRef]
- Aslan, K.; Meydanli, M.M.; Akilli, H.; Durmuş, Y.; Gökçü, M.; Kayıkçıoğlu, F.; Demirkiran, F.; Ayhan, A. Does Lymph Node Ratio Have Any Prognostic Significance in Maximally Cytoreduced Node-Positive Low-Grade Serous Ovarian Carcinoma? Arch. Gynecol. Obstet. 2020, 302, 183–190. [Google Scholar] [CrossRef]
- Benoit, L.; Koual, M.; Le Frère-Belda, M.-A.; Zerbib, J.; Fournier, L.; Nguyen-Xuan, H.-T.; Delanoy, N.; Bentivegna, E.; Bats, A.-S.; Azaïs, H. Risks and Benefits of Systematic Lymphadenectomy during Interval Debulking Surgery for Advanced High Grade Serous Ovarian Cancer. Eur. J. Surg. Oncol. 2022, 48, 275–282. [Google Scholar] [CrossRef]
- Yin, Z.; Wang, M. Real-world Study of Lymphadenectomy in Patients with Advanced Epithelial Ovarian Cancer. J. Obstet. Gynaecol. Res. 2024, 50, 663–670. [Google Scholar] [CrossRef] [PubMed]
- Parazzini, F.; Valsecchi, G.; Bolis, G.; Guarnerio, P.; Reina, S.; Polverino, G.; Silvestri, D. Pelvic and Paraortic Lymph Nodal Status in Advanced Ovarian Cancer and Survival. Gynecol. Oncol. 1999, 74, 7–11. [Google Scholar] [CrossRef] [PubMed]
- Fournier, M.; Stoeckle, E.; Guyon, F.; Brouste, V.; Thomas, L.; MacGrogan, G.; Floquet, A. Lymph Node Involvement in Epithelial Ovarian Cancer: Sites and Risk Factors in a Series of 355 Patients. Int. J. Gynecol. Cancer 2009, 19, 1307–1313. [Google Scholar] [CrossRef] [PubMed]
- Dell’ Anna, T.; Signorelli, M.; Benedetti-Panici, P.; Maggioni, A.; Fossati, R.; Fruscio, R.; Milani, R.; Bocciolone, L.; Buda, A.; Mangioni, C.; et al. Systematic Lymphadenectomy in Ovarian Cancer at Second-Look Surgery: A Randomised Clinical Trial. Br. J. Cancer 2012, 107, 785–792. [Google Scholar] [CrossRef] [PubMed]
- Chang, S.-J.; Bristow, R.E.; Ryu, H.-S. Prognostic Significance of Systematic Lymphadenectomy as Part of Primary Debulking Surgery in Patients with Advanced Ovarian Cancer. Gynecol. Oncol. 2012, 126, 381–386. [Google Scholar] [CrossRef] [PubMed]
- Nasioudis, D.; Latif, N.A.; Haggerty, A.F.; Giuntoli Ii, R.L.; Kim, S.H.; Ko, E.M. Outcomes of Comprehensive Lymphadenectomy for Patients with Advanced Stage Ovarian Carcinoma and Rare Histologic Sub-Types. Int. J. Gynecol. Cancer 2021, 31, 1132–1136. [Google Scholar] [CrossRef] [PubMed]
- Zhou, J.; Zhang, W.-W.; Zhang, Q.-H.; He, Z.-Y.; Sun, J.-Y.; Chen, Q.-H.; Wu, S.-G. The Effect of Lymphadenectomy in Advanced Ovarian Cancer According to Residual Tumor Status: A Population-Based Study. Int. J. Surg. 2018, 52, 11–15. [Google Scholar] [CrossRef] [PubMed]
- Wafa, M.; Braicu, E.I.; Muallem, M.Z.; Richter, R.; Taube, E.; Sehouli, J.; Grabowski, J.P. Incidence and Pattern of Spread of Lymph Node Metastasis in Patients with Low-Grade Serous Ovarian Cancer. Anticancer Res. 2019, 39, 5617–5621. [Google Scholar] [CrossRef]
- Morice, P.; Pautier, P.; Gouy, S. Lymphadenectomy in Advanced Ovarian Neoplasms. N. Engl. J. Med. 2019, 380, 2274–2275. [Google Scholar] [CrossRef]
- Benoit, L.; Zerbib, J.; Koual, M.; Nguyen-Xuan, H.; Delanoy, N.; Le Frère-Belda, M.-A.; Bentivegna, E.; Bats, A.-S.; Fournier, L.; Azaïs, H. What Can We Learn from the 10 Mm Lymph Node Size Cut-off on the CT in Advanced Ovarian Cancer at the Time of Interval Debulking Surgery? Gynecol. Oncol. 2021, 162, 667–673. [Google Scholar] [CrossRef] [PubMed]
- Ledermann, J.A.; Matias-Guiu, X.; Amant, F.; Concin, N.; Davidson, B.; Fotopoulou, C.; González-Martin, A.; Gourley, C.; Leary, A.; Lorusso, D.; et al. ESGO–ESMO–ESP Consensus Conference Recommendations on Ovarian Cancer: Pathology and Molecular Biology and Early, Advanced and Recurrent Disease. Ann. Oncol. 2024, 35, 248–266. [Google Scholar] [CrossRef] [PubMed]
- Mimoun, C.; Paoletti, X.; Gaillard, T.; Crestani, A.; Benifla, J.-L.; Mezzadri, M.; Bendifallah, S.; Touboul, C.; Bricou, A.; Dabi, Y.; et al. Using a New Diagnostic Tool to Predict Lymph Node Metastasis in Advanced Epithelial Ovarian Cancer Leads to Simple Lymphadenectomy Decision Rules: A Multicentre Study from the FRANCOGYN Group. PLoS ONE 2021, 16, e0258783. [Google Scholar] [CrossRef] [PubMed]
- Tardieu, A.; Ouldamer, L.; Margueritte, F.; Rossard, L.; Lacorre, A.; Bourdel, N.; Lades, G.; Sallée, C.; Monteil, J.; Gauthier, T. Assessment of Lymph Node Involvement with PET-CT in Advanced Epithelial Ovarian Cancer. A FRANCOGYN Group Study. J. Clin. Med. 2021, 10, 602. [Google Scholar] [CrossRef] [PubMed]
- Yan, H.; Yang, H.; Jiang, P.; Dong, L.; Zhang, Z.; Zhou, Y.; Zeng, Q.; Li, P.; Sun, Y.; Zhu, S. A Radiomics Model Based on T2WI and Clinical Indexes for Prediction of Lateral Lymph Node Metastasis in Rectal Cancer. Asian J. Surg. 2024, 47, 450–458. [Google Scholar] [CrossRef]
- Crestani, A.; Huchon, C.; Mezzadri, M.; Marchand, E.; Place, V.; Cornelis, F.; Touboul, C.; Haddad, B.; Dabi, Y.; Benifla, J.-L.; et al. A Pre-Operative Radiological Score to Predict Lymph Node Metastasis in Advanced Epithelial Ovarian Cancer. J. Gynecol. Obstet. Hum. Reprod. 2022, 51, 102464. [Google Scholar] [CrossRef] [PubMed]
- Mikami, M. Role of Lymphadenectomy for Ovarian Cancer. J. Gynecol. Oncol. 2014, 25, 279. [Google Scholar] [CrossRef]
- Azaïs, H.; Canlorbe, G.; Nikpayam, M.; Gonthier, C.; Belghiti, J.; Uzan, C. Reste-t-il des indications de curage ganglionnaire dans les cancers épithéliaux de l’ovaire après l’essai LION? Bull. Cancer 2020, 107, 707–714. [Google Scholar] [CrossRef]
- Jochum, F.; Angeles, M.A.; Balaya, V.; Drouin, L.; Nikolova, T.; Mathevet, P.; Lécuru, F.; Azais, H.; Betrian, S.; Bolze, P.-A.; et al. Management of Patients with Advanced Epithelial Ovarian Cancer: A European Survey. Arch. Gynecol. Obstet. 2023, 308, 535–549. [Google Scholar] [CrossRef] [PubMed]
- Bourgeois, J.; Peacock, H.M.; Savoye, I.; De Gendt, C.; Leroy, R.; Silversmit, G.; Stordeur, S.; De Sutter, P.; Goffin, F.; Luyckx, M.; et al. Quality of Surgery and Treatment and Its Association with Hospital Volume: A Population-Based Study in More than 5000 Belgian Ovarian Cancer Patients. Eur. J. Surg. Oncol. 2024, 50, 107978. [Google Scholar] [CrossRef]
- Du Bois, A.; Reuss, A.; Harter, P.; Pujade-Lauraine, E.; Ray-Coquard, I.; Pfisterer, J. Potential Role of Lymphadenectomy in Advanced Ovarian Cancer: A Combined Exploratory Analysis of Three Prospectively Randomized Phase III Multicenter Trials. J. Clin. Oncol. 2010, 28, 1733–1739. [Google Scholar] [CrossRef]
- Paik, E.S.; Shim, M.; Choi, H.J.; Lee, Y.-Y.; Kim, T.-J.; Lee, J.-W.; Kim, B.-G.; Bae, D.-S.; Choi, C.H. Impact of Lymphadenectomy on Survival after Recurrence in Patients with Advanced Ovarian Cancer without Suspected Lymph Node Metastasis. Gynecol. Oncol. 2016, 143, 252–257. [Google Scholar] [CrossRef] [PubMed]
- Ercelep, O.; Ozcelik, M.; Gumus, M. Association of Lymphadenectomy and Survival in Epithelial Ovarian Cancer. Curr. Probl. Cancer 2019, 43, 151–159. [Google Scholar] [CrossRef] [PubMed]
- Scarabelli, C.; Gallo, A.; Visentin, M.C.; Canzonieri, V.; Carbone, A.; Zarrelli, A. Systematic Pelvic and Para-Aortic Lymphadenectomy in Advanced Ovarian Cancer Patients with No Residual Intraperitoneal Disease. Int. J. Gynecol. Cancer 1997, 7, 18–26. [Google Scholar] [CrossRef]
- Eoh, K.J.; Yoon, J.W.; Lee, I.; Lee, J.; Kim, S.; Kim, S.W.; Kim, Y.T.; Nam, E.J. The Efficacy of Systematic Lymph Node Dissection in Advanced Epithelial Ovarian Cancer during Interval Debulking Surgery Performed after Neoadjuvant Chemotherapy. J. Surg. Oncol. 2017, 116, 329–336. [Google Scholar] [CrossRef] [PubMed]
- Eoh, K.J.; Lee, J.-Y.; Yoon, J.W.; Ji Nam, E.; Kim, S.; Kim, S.-W.; Kim, Y.T. Role of Systematic Lymphadenectomy as Part of Primary Debulking Surgery for Optimally Cytoreduced Advanced Ovarian Cancer: Reappraisal in the Era of Radical Surgery. Oncotarget 2017, 8, 37807–37816. [Google Scholar] [CrossRef]
- Ignatov, A.; Hassan, S.S.; Ivros, S.; Papathemelis, T.; Ignatova, Z.; Eggemann, H. Survival Advantage of Lymphadenectomy in Patients with Ovarian Cancer. Cancer Investig. 2022, 40, 621–628. [Google Scholar] [CrossRef]
- Ikeda, Y.; Yoshihara, M.; Tamauchi, S.; Yokoi, A.; Yoshikawa, N.; Kajiyama, H. Survival Benefits of Retroperitoneal Lymphadenectomy for Optimally-Resected Advanced Ovarian High-Grade Serous Carcinoma: A Multi-Institutional Retrospective Study. J. Gynecol. Oncol. 2022, 33, e40. [Google Scholar] [CrossRef] [PubMed]
- Kigawa, J.; Minagawa, Y.; Itamochi, H.; Kanamori, Y.; Ishihara, H.; Terakawa, N. Retroperitoneal Lymphadenectomy, Including the Para-Aortic Nodes in Patients with Stage III Ovarian Cancer. Am. J. Clin. Oncol. 1994, 17, 230–233. [Google Scholar] [CrossRef] [PubMed]
- Spirtos, N.M.; Gross, G.M.; Freddo, J.L.; Ballon, S.C. Cytoreductive Surgery in Advanced Epithelial Cancer of the Ovary: The Impact of Aortic and Pelvic Lymphadenectomy. Gynecol. Oncol. 1995, 56, 345–352. [Google Scholar] [CrossRef]
- Abe, A.; Furumoto, H.; Irahara, M.; Ino, H.; Kamada, M.; Naka, O.; Sasaki, M.; Kagawa, T.; Okitsu, O.; Kushiki, N. The Impact of Systematic Para-aortic and Pelvic Lymphadenectomy on Survival in Patients with Optimally Debulked Ovarian Cancer. J. Obstet. Gynaecol. Res. 2010, 36, 1023–1030. [Google Scholar] [CrossRef] [PubMed]
- Sakai, K.; Kajiyama, H.; Umezu, T.; Shibata, K.; Mizuno, M.; Suzuki, S.; Kawai, M.; Nagasaka, T.; Kikkawa, F. Is There Any Association between Retroperitoneal Lymphadenectomy and Survival Benefit in Advanced Stage Epithelial Ovarian Carcinoma Patients? J. Obstet. Gynaecol. Res. 2012, 38, 1018–1023. [Google Scholar] [CrossRef] [PubMed]
- Schwartz, L.; Schrot-Sanyan, S.; Brigand, C.; Baldauf, J.-J.; Wattiez, A.; Akladios, C. Impact of Pelvic and Para-Aortic Lymphadenectomy in Advanced Ovarian Cancer After Neoadjuvant Chemotherapy. Anticancer Res. 2015, 35, 5503–5509. [Google Scholar] [PubMed]
- Song, N.; Gao, Y. Therapeutic Value of Selective Lymphadenectomy in Interval Debulking Surgery for Stage IIIc and IV Epithelial Ovarian Cancer. Int. J. Gynecol. Cancer 2019, 29, 761–767. [Google Scholar] [CrossRef] [PubMed]
- Fang, C.; Zhang, Y.; Zhao, L.; Chen, X.; Xia, L.; Zhang, P. The Relationship between Retroperitoneal Lymphadenectomy and Survival in Advanced Ovarian Cancer Patients. BMC Cancer 2020, 20, 654. [Google Scholar] [CrossRef]
- Kajiyama, H.; Suzuki, S.; Yoshikawa, N.; Tamauchi, S.; Shibata, K.; Kikkawa, F. The Impact of Systematic Retroperitoneal Lymphadenectomy on Long-Term Oncologic Outcome of Women with Advanced Ovarian Clear-Cell Carcinoma. J. Gynecol. Oncol. 2020, 31, e47. [Google Scholar] [CrossRef]
- Lopes, A.; Genta, M.L.N.D.; Da Costa Miranda, V.; Aranha, A.; Lopez, R.V.M.; Piato, D.S.A.M.; Anton, C.; Carvalho, F.M.; Del Pilar Esteves Diz, M.; Carvalho, J.P. Role of Systematic Pelvic and Para-Aortic Lymphadenectomy in Delayed Debulking Surgery after Six Neoadjuvant Chemotherapy Cycles for High-grade Serous Ovarian Carcinoma. J. Obstet. Gynaecol. Res. 2021, 47, 2737–2744. [Google Scholar] [CrossRef] [PubMed]
- Gao, J.; Yang, X.; Zhang, Y. Systematic Lymphadenectomy in the Treatment of Epithelial Ovarian Cancer: A Meta-Analysis of Multiple Epidemiology Studies. Jpn. J. Clin. Oncol. 2015, 45, 49–60. [Google Scholar] [CrossRef] [PubMed]
- Kim, H.S.; Ju, W.; Jee, B.C.; Kim, Y.B.; Park, N.H.; Song, Y.S.; Kim, S.C.; Kang, S.-B.; Kim, J.W. Systematic Lymphadenectomy for Survival in Epithelial Ovarian Cancer: A Meta-Analysis. Int. J. Gynecol. Cancer 2010, 20, 520–528. [Google Scholar] [CrossRef]
- Zhou, J.; Shan, G.; Chen, Y. The Effect of Lymphadenectomy on Survival and Recurrence in Patients with Ovarian Cancer: A Systematic Review and Meta-Analysis. Jpn. J. Clin. Oncol. 2016, 46, 718–726. [Google Scholar] [CrossRef] [PubMed]
- Xu, D.; Xue, J.; Rozan, R.; Li, L. The Role Systematic Lymphadenectomy Plays in Determining the Survival Outcome for Advanced Ovarian Cancer Patients: A Meta- Analysis. Ann. Palliat. Med. 2020, 9, 912–920. [Google Scholar] [CrossRef] [PubMed]
- Lin, Q.; Liu, W.; Xu, S.; Li, J.; Tong, J. The Value of Systematic Lymphadenectomy during Debulking Surgery in the Treatment of Ovarian Cancer: A Meta-Analysis of Randomized Controlled Trials. J. Ovarian Res. 2020, 13, 56. [Google Scholar] [CrossRef] [PubMed]
- Tzanis, A.A.; Antoniou, S.A.; Zacharoulis, D.; Ntafopoulos, K.; Tsouvali, H.; Daponte, A. The Role of Systematic Pelvic and Para-Aortic Lymphadenectomy in the Management of Patients with Advanced Epithelial Ovarian, Tubal, and Peritoneal Cancer: A Systematic Review and Meta-Analysis. Eur. J. Obstet. Gynecol. Reprod. Biol. 2023, 285, 198–203. [Google Scholar] [CrossRef]
- Montero-Macías, R.; Segura-Sampedro, J.J.; Rigolet, P.; Lecuru, F.; Craus-Miguel, A.; Castillo-Tuñón, J.M. The Role of Systematic Lymphadenectomy in Low-Grade Serous Ovarian Cancer: A Systematic Review and Meta-Analysis. Cancers 2024, 16, 955. [Google Scholar] [CrossRef]
- Liu, Y.; Zhao, W.; Huang, C.; Chu, R.; Li, Z.; Wang, Y.; Song, L.; Li, L. The Impact of Lymphadenectomy on the Survival Outcomes of Ovarian Clear Cell Carcinoma: A Retrospective Study of the SEER Database and Chinese Registry. Eur. J. Surg. Oncol. 2024, 50, 107975. [Google Scholar] [CrossRef] [PubMed]
- Pereira, A.; Pérez-Medina, T.; Magrina, J.F.; Magtibay, P.M.; Millan, I.; Iglesias, E. The Role of Lymphadenectomy in Node-Positive Epithelial Ovarian Cancer. Int. J. Gynecol. Cancer 2012, 22, 987–992. [Google Scholar] [CrossRef] [PubMed]
- Wang, J.; Li, J.; Chen, R.; Lu, X. Survival Effect of Different Lymph Node Staging Methods on Ovarian Cancer: An Analysis of 10 878 Patients. Cancer Med. 2018, 7, 4315–4329. [Google Scholar] [CrossRef] [PubMed]
- Karadağ, İ.; Karakaya, S. Ideal Lymph Node Number for Ovarian Malignancies. Cureus 2022, 14, e20869. [Google Scholar] [CrossRef] [PubMed]
- Lavoue, V.; Huchon, C.; Akladios, C.; Alfonsi, P.; Bakrin, N.; Ballester, M.; Bendifallah, S.; Bolze, P.-A.; Bonnet, F.; Bourgin, C.; et al. Texte court rédigé à partir de la recommandation nationale de bonnes pratiques cliniques «Conduites à tenir initiales devant des patientes atteintes d’un cancer épithélial de l’ovaire» élaborée par FRANCOGYN, CNGOF, SFOG, GINECO-ARCAGY et labélisée par l’INCa». Bull. Cancer 2019, 106, 354–370. [Google Scholar] [CrossRef] [PubMed]
- Suh, D.H.; Chang, S.-J.; Song, T.; Lee, S.; Kang, W.D.; Lee, S.J.; Roh, J.-W.; Joo, W.D.; Yoon, J.H.; Jeong, D.H.; et al. Practice Guidelines for Management of Ovarian Cancer in Korea: A Korean Society of Gynecologic Oncology Consensus Statement. J. Gynecol. Oncol. 2018, 29, e56. [Google Scholar] [CrossRef] [PubMed]
- Redondo, A.; Guerra, E.; Manso, L.; Martin-Lorente, C.; Martinez-Garcia, J.; Perez-Fidalgo, J.A.; Varela, M.Q.; Rubio, M.J.; Barretina-Ginesta, M.P.; Gonzalez-Martin, A. SEOM Clinical Guideline in Ovarian Cancer (2020). Clin. Transl. Oncol. 2021, 23, 961–968. [Google Scholar] [CrossRef] [PubMed]
- British Gynecological Cancer Society (BGCS) Epithelial Ovarian/ Fallopian Tube/ Primary Peritoneal Cancer Guidelines: Recommendations for Practice. Available online: https://www.bgcs.org.uk/wp-content/uploads/2019/05/BGCS-Guidelines-Ovarian-Guidelines-2017.pdf (accessed on 1 September 2024).
- Gauci, P.-A.; Deluche, E.; Azais, H.; Zaccarini, F.; Guani, B.; Balaya, V.; Kerbage, Y.; Jochum, F.; Sanson, C.; Guyon, F.; et al. Surgical Management of Patients with Advanced Ovarian Cancer: Results of a French National Survey. J. Gynecol. Obstet. Hum. Reprod. 2022, 51, 102463. [Google Scholar] [CrossRef] [PubMed]
- Norell, C.H.; Butler, J.; Farrell, R.; Altman, A.; Bentley, J.; Cabasag, C.J.; Cohen, P.A.; Fegan, S.; Fung-Kee-Fung, M.; Gourley, C.; et al. Exploring International Differences in Ovarian Cancer Treatment: A Comparison of Clinical Practice Guidelines and Patterns of Care. Int. J. Gynecol. Cancer 2020, 30, 1748–1756. [Google Scholar] [CrossRef] [PubMed]
- Camara, O.; Sehouli, J. Controversies in the Management of Ovarian Cancer–Pros and Cons for Lymph Node Dissection in Ovarian Cancer. Anticancer Res. 2009, 29, 2837–2843. [Google Scholar] [PubMed]
- Zhu, C.; Zhu, H.; Wang, Y.; Cui, H.; Li, Y. Para-aortic Lymphadenectomy below Inferior Mesenteric Artery versus Renal Vessels in Stage IIIC Epithelial Ovarian Cancer: A Comparison of Surgical Outcomes. Int. J. Gynecol. Obstet. 2020, 148, 192–197. [Google Scholar] [CrossRef]
- Veys, I.; Pop, F.; Vankerckhove, S.; Barbieux, R.; Chintinne, M.; Moreau, M.; Nogaret, J.; Larsimont, D.; Donckier, V.; Bourgeois, P.; et al. ICG-fluorescence Imaging for Detection of Peritoneal Metastases and Residual Tumoral Scars in Locally Advanced Ovarian Cancer: A Pilot Study. J. Surg. Oncol. 2018, 117, 228–235. [Google Scholar] [CrossRef] [PubMed]
- Jimbo, K.; Nakadaira, U.; Watase, C.; Murata, T.; Shiino, S.; Takayama, S.; Suto, A. Clinical Significance of Discordances in Sentinel Lymph Node Reactivity between Radioisotope and Indocyanine Green Fluorescence in Patients with cN0 Breast Cancer. Asian J. Surg. 2023, 46, 277–282. [Google Scholar] [CrossRef] [PubMed]
- Gurluler, E.; Polatkan, V.; Senol, K.; Gokgoz, M.S. The Feasibility and Added Value of Indocyanine Green Tracing in Guiding Sentinel Lymph Node Biopsy for Breast Cancer. Asian J. Surg. 2024, 47, 5131–5136. [Google Scholar] [CrossRef]
- Sun, Y.; Tang, Z.; Deng, Y.; Xu, Z.; Chen, Z.; Huang, S.; Wang, X.; Zheng, Z.; Lin, H.; Jiang, W.; et al. Safety and Efficacy of Indocyanine Green Fluorescence Imaging-Guided Laparoscopic Para-Aortic Lymphadenectomy for Left-Sided Colorectal Cancer:A Preliminary Case-Matched Study. Asian J. Surg. 2024, 47, 4744–4751. [Google Scholar] [CrossRef] [PubMed]
- Mihara, M.; Murai, N.; Hayashi, Y.; Hara, H.; Iida, T.; Narushima, M.; Todokoro, T.; Uchida, G.; Yamamoto, T.; Koshima, I. Using Indocyanine Green Fluorescent Lymphography and Lymphatic-Venous Anastomosis for Cancer-Related Lymphedema. Ann. Vasc. Surg. 2012, 26, 278.e1–278.e6. [Google Scholar] [CrossRef] [PubMed]
- Pop, C.; Veys, I.; Gomez Galdon, M.; Moreau, M.; Larsimont, D.; Donckier, V.; Bourgeois, P.; Liberale, G. Ex Vivo Indocyanine Green Fluorescence Imaging for the Detection of Lymph Node Involvement in Advanced-stage Ovarian Cancer. J. Surg. Oncol. 2018, 118, 1163–1169. [Google Scholar] [CrossRef] [PubMed]
- Cham, S.; Chen, L.; Clair, C.M.S.; Hou, J.Y.; Tergas, A.I.; Melamed, A.; Ananth, C.V.; Neugut, A.I.; Hershman, D.L.; Wright, J.D. Development and Validation of a Risk-Calculator for Adverse Perioperative Outcomes for Women with Ovarian Cancer. Am. J. Obstet. Gynecol. 2019, 220, 571.e1–571.e8. [Google Scholar] [CrossRef] [PubMed]
- Kengsakul, M.; Nieuwenhuyzen-de Boer, G.M.; Udomkarnjananun, S.; Kerr, S.J.; Niehot, C.D.; Van Beekhuizen, H.J. Factors Predicting Postoperative Morbidity after Cytoreductive Surgery for Ovarian Cancer: A Systematic Review and Meta-Analysis. J. Gynecol. Oncol. 2022, 33, e53. [Google Scholar] [CrossRef] [PubMed]
- Gerestein, C.G.; Damhuis, R.A.M.; Burger, C.W.; Kooi, G.S. Postoperative Mortality after Primary Cytoreductive Surgery for Advanced Stage Epithelial Ovarian Cancer: A Systematic Review. Gynecol. Oncol. 2009, 114, 523–527. [Google Scholar] [CrossRef]
- Di Donato, V.; Kontopantelis, E.; Aletti, G.; Casorelli, A.; Piacenti, I.; Bogani, G.; Lecce, F.; Benedetti Panici, P. Trends in Mortality After Primary Cytoreductive Surgery for Ovarian Cancer: A Systematic Review and Metaregression of Randomized Clinical Trials and Observational Studies. Ann. Surg. Oncol. 2017, 24, 1688–1697. [Google Scholar] [CrossRef]
- Xu, Z.; Becerra, A.Z.; Justiniano, C.F.; Aquina, C.T.; Fleming, F.J.; Boscoe, F.P.; Schymura, M.J.; Sinno, A.K.; Chaoul, J.; Morrow, G.R.; et al. Complications and Survivorship Trends After Primary Debulking Surgery for Ovarian Cancer. J. Surg. Res. 2020, 246, 34–41. [Google Scholar] [CrossRef] [PubMed]
- Algera, M.D.; Van Driel, W.J.; Slangen, B.F.M.; Wouters, M.W.J.M.; Kruitwagen, R.F.P.M.; Kruse, A.J.; Yigit, R.; Engelen, M.J.A.; Nooij, L.S.; Mens, J.W.M.; et al. Effect of Surgical Volume on Short-Term Outcomes of Cytoreductive Surgery for Advanced-Stage Ovarian Cancer: A Population-Based Study from the Dutch Gynecological Oncology Audit. Gynecol. Oncol. 2024, 186, 144–153. [Google Scholar] [CrossRef]
- Di Donato, V.; Giannini, A.; D’Oria, O.; Schiavi, M.C.; Di Pinto, A.; Fischetti, M.; Lecce, F.; Perniola, G.; Battaglia, F.; Berloco, P.; et al. Hepatobiliary Disease Resection in Patients with Advanced Epithelial Ovarian Cancer: Prognostic Role and Optimal Cytoreduction. Ann. Surg. Oncol. 2021, 28, 222–230. [Google Scholar] [CrossRef] [PubMed]
- Angeles, M.A.; Hernández, A.; Pérez-Benavente, A.; Cabarrou, B.; Spagnolo, E.; Rychlik, A.; Daboussi, A.; Migliorelli, F.; Bétrian, S.; Ferron, G.; et al. The Effect of Major Postoperative Complications on Recurrence and Long-Term Survival after Cytoreductive Surgery for Ovarian Cancer. Gynecol. Oncol. 2022, 166, 8–17. [Google Scholar] [CrossRef] [PubMed]
- Gauthier, T.; Gouy, S.; Uzan, C.; Kane, A.; Morice, P. Contre le curage lombo-aortique dans le cancer de l’ovaire après 70ans. Gynécologie Obs. Fertil. 2012, 40, 330–332. [Google Scholar] [CrossRef] [PubMed]
- Zikan, M.; Fischerova, D.; Pinkavova, I.; Slama, J.; Weinberger, V.; Dusek, L.; Cibula, D. A Prospective Study Examining the Incidence of Asymptomatic and Symptomatic Lymphoceles Following Lymphadenectomy in Patients with Gynecological Cancer. Gynecol. Oncol. 2015, 137, 291–298. [Google Scholar] [CrossRef] [PubMed]
- Minig, L.; Patrono, M.G.; Cárdenas-Rebollo, J.M.; Martin Marfil, P.; Rodriguez-Tabares, V.; Chuang, L. Use of TachoSil® to Prevent Symptomatic Lymphocele after an Aggressive Tumor Debulking with Lymphadenectomy for Advanced Stage Ovarian Cancer. A Pilot Study. Gynecol. Obstet. Investig. 2016, 81, 497–503. [Google Scholar] [CrossRef] [PubMed]
- Hasenburg, A.; Sehouli, J.; Lampe, B.; Reuss, A.; Schmalfeld, B.; Belau, A.K.; Bossart, M.; Mahner, S.; Hillemanns, P.; Petry, U.; et al. LION-PAW (Lymphadenectomy in Ovarian Neoplasm) Sexual Function Assessment: A Prospective Sub-Study of the LION Trial. Int. J. Gynecol. Cancer 2020, 30, 1548–1553. [Google Scholar] [CrossRef] [PubMed]
- Muallem, M.Z.; Kluge, L.; Sayasneh, A.; Sehouli, J.; Zocholl, D.; Muallem, J.; Miranda, A.A. A Promising Approach for Primary Cytoreductive Surgery for Advanced Ovarian Cancer: Survival Outcomes and Step-by-Step Description of Total Retroperitoneal en-Bloc Resection of Mulivisceral-Peritomneal Packet (TROMP). J. Pers. Med. 2022, 12, 899. [Google Scholar] [CrossRef] [PubMed]
- Wen, Q.; Zhu, Y.; Zhou, H.; Yang, L.; Shao, F.; Zhu, T.; Shao, Z. Para-aortic lymph node dissection with or without nerve-sparing in gynecological malignancies. J. Gynecol. Oncol. 2025, 36, e9. [Google Scholar] [CrossRef] [PubMed]










| Author, Year | Period | No of Analyzed Studies | Histology | FIGO Stages | Complications | DFS | OS | PFS |
|---|---|---|---|---|---|---|---|---|
| Kim et al., 2010 [81] | 1995–2008 | 6 (1 RCT; 5 Obs) | EOC | AOC | - | - | Increased for S | |
| Gao et al., 2015 [80] | 1994–2013 | 7 (1 RCT; 6 Obs) | EOC | AOC | - | - | Increased for S | |
| Zhou et al., 2016 [82] | Up to 2015 | 8 (2 RCT; 6 Obs) | All types | AOC | - | Increased for S | Increased for S | Increased for S |
| Xu et al., 2020 [83] | 1994–2019 | 15 (3 RCT; 11 Obs) | EOC | AOC | - | - | No difference in RCT Increased for S in Obs | No difference in RCT Increased for S in Obs |
| Lin et al., 2020 [84] | Up to 2019 | 4 (RCT) | EOC | All stages | Increased postoperative for S | - | No difference | No difference |
| Chiyoda et al., 2020 [27] | 1967–2018 | 9 (2 RCT; 7 Obs) | All types | AOC | No difference | - | No difference in RCT Increased for S in Obs | No difference |
| AlMahdy et al., 2020 [28] | Up to 2020 | 22 (3 RCT; 19 Obs) | All types | All stages | Increased intraoperative for S No difference for postoperative | - | No difference in RCT Increased for S in Obs | - |
| Caruso et al., 2022 [30] | Up to 2022 | 9 (Obs) | EOC | AOC | Increased postoperative for S | - | No difference | No difference |
| Tzanis et al., 2023 [85] | 1996–2021 | 2 (RCT) | EOC | AOC | Increased postoperative for S | - | No difference | No difference |
| Montero-Macias et al., 2024 [86] | 2000–2022 | 3 (Obs) | EOC (LGSOC) | AOC | - | No difference | No difference | - |
Disclaimer/Publisher’s Note: The statements, opinions and data contained in all publications are solely those of the individual author(s) and contributor(s) and not of MDPI and/or the editor(s). MDPI and/or the editor(s) disclaim responsibility for any injury to people or property resulting from any ideas, methods, instructions or products referred to in the content. |
© 2025 by the author. Licensee MDPI, Basel, Switzerland. This article is an open access article distributed under the terms and conditions of the Creative Commons Attribution (CC BY) license (https://creativecommons.org/licenses/by/4.0/).
Share and Cite
Dumitrascu, T. Systematic Pelvic and Paraaortic Lymph Node Dissection in Advanced Ovarian Cancer—Technical Aspects and Current Evidence-Based Data for Clinical Decision-Making. Surg. Tech. Dev. 2025, 14, 4. https://doi.org/10.3390/std14010004
Dumitrascu T. Systematic Pelvic and Paraaortic Lymph Node Dissection in Advanced Ovarian Cancer—Technical Aspects and Current Evidence-Based Data for Clinical Decision-Making. Surgical Techniques Development. 2025; 14(1):4. https://doi.org/10.3390/std14010004
Chicago/Turabian StyleDumitrascu, Traian. 2025. "Systematic Pelvic and Paraaortic Lymph Node Dissection in Advanced Ovarian Cancer—Technical Aspects and Current Evidence-Based Data for Clinical Decision-Making" Surgical Techniques Development 14, no. 1: 4. https://doi.org/10.3390/std14010004
APA StyleDumitrascu, T. (2025). Systematic Pelvic and Paraaortic Lymph Node Dissection in Advanced Ovarian Cancer—Technical Aspects and Current Evidence-Based Data for Clinical Decision-Making. Surgical Techniques Development, 14(1), 4. https://doi.org/10.3390/std14010004

