Intrathymic Hemagioma: A Challenging Case Report with Special Focus on the Importance of Its Multidisciplinary Approach
Abstract
1. Introduction
2. Case Presentation
2.1. General Clinical Considerations
2.2. Radiological and CT Findings
2.3. Surgical Management and Pathologic Evaluation
2.4. Macroscopic and Microscopic Histopathologic Evaluation
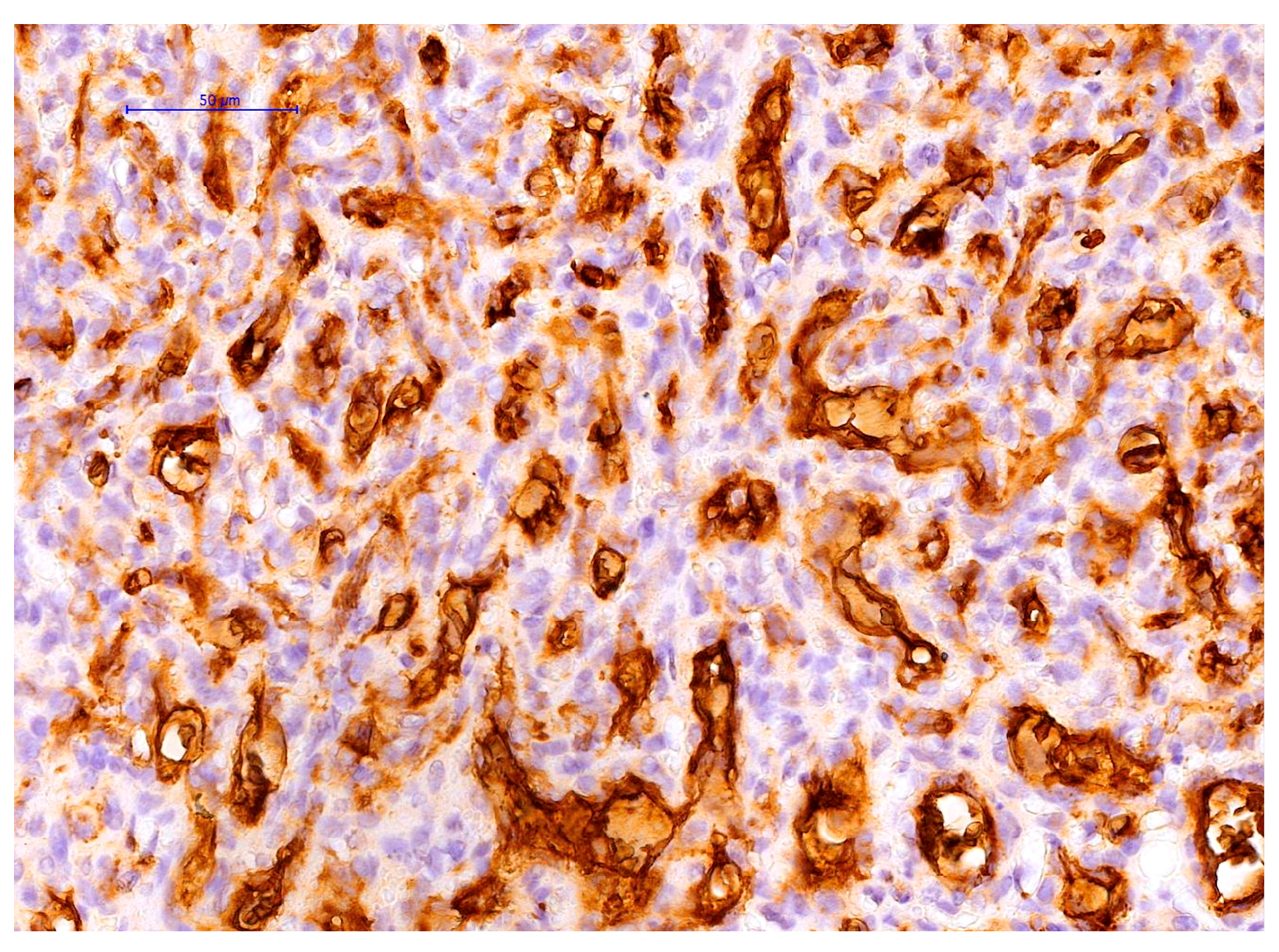
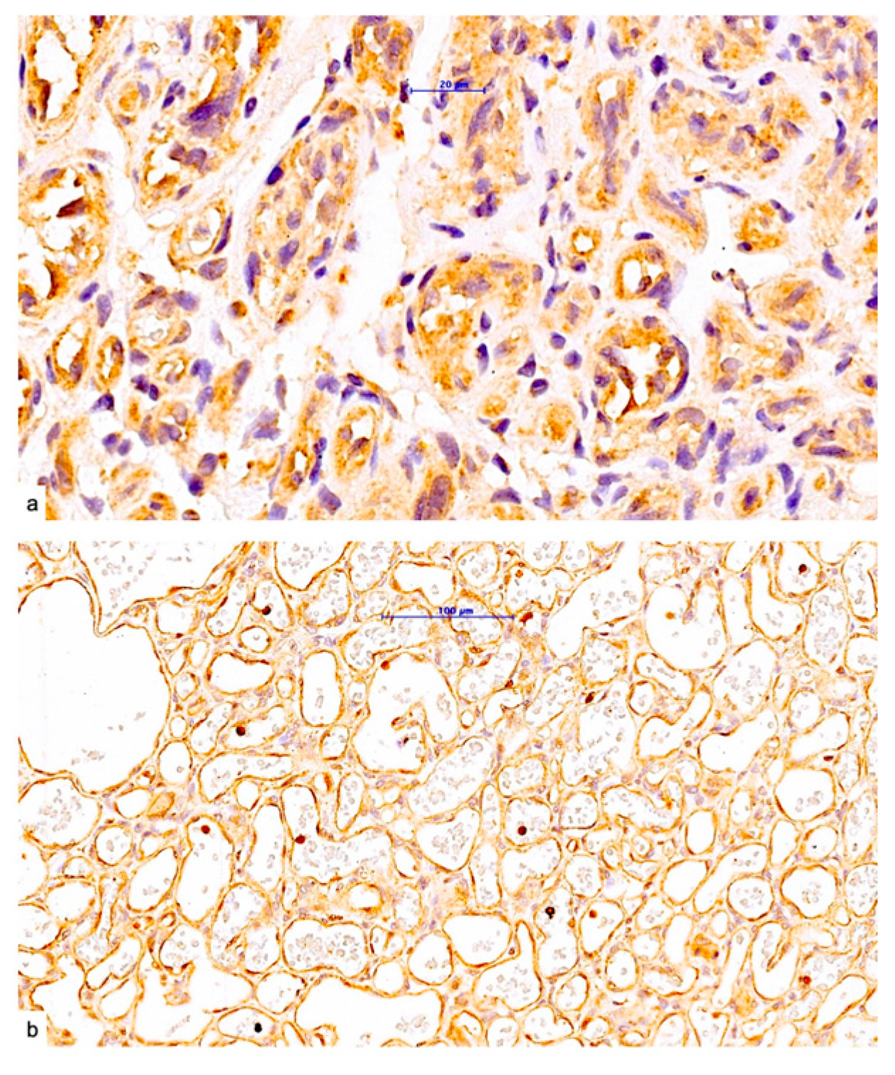
2.5. Immunohistochemistry
3. Discussion
4. Conclusions
Author Contributions
Funding
Institutional Review Board Statement
Informed Consent Statement
Data Availability Statement
Acknowledgments
Conflicts of Interest
References
- Raveglia, F.; Moneghini, L.; Cariati, M.; Baisi, A.; Guttadauro, A.; Cioffi, U.; Scarci, M. Case Report: Multidisciplinary Approach for a Rare Case of Thymic Vascular Malformation. Front. Surg. 2020, 7, 624615. [Google Scholar] [CrossRef] [PubMed]
- Taracena, B.; de los Terreros Amézaga, C.S.; Matos; Benítez. Un caso de angioma congénito de timo, primero de la literatura? [A case of congenital thymus angioma, first in the literature?]. Acta Pediatr. Esp. 1949, 7, 1079–1084. (In Spanish) [Google Scholar] [PubMed]
- Zheng, C.; Zhang, F.; Tu, S.; Zhang, X.; Zhao, C. Cavernous hemangioma of the thymus: A case report and review of the literature. Medicine 2018, 97, e11698. [Google Scholar] [CrossRef] [PubMed]
- Jee, S.; Bang, S.; Kim, H.; Paik, S.S. Cavernous hemangioma arising in left lobe of the thymus. Indian J. Pathol. Microbiol. 2022, 65, 948–949. [Google Scholar] [CrossRef]
- Gindhart, T.D.; Tucker, W.Y.; Choy, S.H. Cavernous hemangioma of the superior mediastinum. Report of a case with electron microscopy and computerized tomography. Am. J. Surg. Pathol. 1979, 3, 353–361. [Google Scholar] [CrossRef]
- Joobeur, S.; Saad, A.B.; Migaou, A.; Njima, M.; Achour, A.; Fahem, N.; Mhamed, S.C.; Rouatbi, N. Rare case of cavernous hemangioma of the thymus. Respir. Med. Case Rep. 2020, 29, 100986. [Google Scholar] [CrossRef]
- Available online: https://pubmed.ncbi.nlm.nih.gov/?term=mediastinal+hemangioma&filter=years.1950-2024 (accessed on 17 August 2024).
- Available online: https://pubmed.ncbi.nlm.nih.gov/?term=thymic%20hemangioma%20thymus (accessed on 17 August 2024).
- Romeo, G.P.; Fiedler, P.N.; Hecht, C.S.; Nuñez, D. Thrombosed cavernous hemangioma arising in cervical ectopic thymus tissue: A case report. Conn. Med. 2012, 76, 401–404. [Google Scholar]
- Liu, L.; Zhang, F.; Wu, Z.; Tu, S.; Li, Y. Diagnostic Challenge and Management of Thymic Cavernous Hemangioma: A Case Report and Review of the Literature. Curr. Med. Imaging 2023, 19, 1463–1467. [Google Scholar] [CrossRef]
- Nakada, T.; Akiba, T.; Inagaki, T.; Morikawa, T.; Ohki, T. Thymic Cavernous Hemangioma With a Left Innominate Vein Aneurysm. Ann. Thorac. Surg. 2015, 100, 320–322. [Google Scholar] [CrossRef]
- Ose, N.; Kobori, Y.; Takeuchi, Y.; Susaki, Y.; Taniguchi, S.; Maeda, H. Cavernous hemangioma in the thymus: A case report. Surg. Case Rep. 2016, 2, 10. [Google Scholar] [CrossRef]
- Ralph, C.; Cuello, M.A.; Merino, P.M.; De Barbieri, M.F.; Astudillo, K.; Huete, Á.; García, C.; Pomés, C. Infantile/Capillary Hemangioma of the Uterine Corpus: A Rare Cause of Abnormal Genital Bleeding. J. Pediatr. Adolesc. Gynecol. 2022, 35, 597–600. [Google Scholar] [CrossRef] [PubMed]
- Eibach, S.; Moes, G.; Kim, J.; Zovickian, J.; Vogel, H.; Pang, D. Intracranial infantile hemangioma—Rare entity and common pitfalls: A comprehensive multidisciplinary approach from Neurosurgery, Neurooncology and Neuropathology. Clin. Neuropathol. 2021, 40, 180–188. [Google Scholar] [CrossRef] [PubMed]
- Liang, Y.; Pu, R.; Huang, X.; Li, S.; Chen, Y.; Tang, W. Airway obstruction as the primary manifestation of infantile thyroid hemangioma. Ital. J. Pediatr. 2020, 46, 157. [Google Scholar] [CrossRef] [PubMed]
- Alaoui, N.M.; Lamalmi, N.; Saouab, R.; Gourinda, H.; Dendane, M.A. Synovial hemangioma: A rare case of knee joint tumefaction in children. Ann. Vasc. Surg. 2014, 28, 260.e1–260.e4. [Google Scholar] [CrossRef] [PubMed]
- Ishikawa, K.; Fujita, M.; Takeda, T.; Mitamura, S.; Nishio, T.; Funayama, E.; Hayashi, T.; Osawa, M.; Maeda, T.; Yamamoto, Y.; et al. Ulcerated Infantile Hemangioma of the Hard Palate: Diagnostic Treatment With Oral Propranolol. J. Craniofac. Surg. 2020, 31, e600–e602. [Google Scholar] [CrossRef]
- MacDougall, M.S.; Afzal, S.Y.; Freedman, M.S.; Han, P. Infant in extremis: Respiratory failure secondary to lower airway infantile hemangioma. BMC Pediatr. 2022, 22, 744. [Google Scholar] [CrossRef]
- Bichsel, C.A.; Goss, J.; Alomari, M.; Alexandrescu, S.; Robb, R.; Smith, L.E.; Hochman, M.; Greene, A.K.; Bischoff, J. Association of Somatic GNAQ Mutation With Capillary Malformations in a Case of Choroidal Hemangioma. JAMA Ophthalmol. 2019, 137, 91–95, Erratum in JAMA Ophtalmol. 2020, 138, 319.. [Google Scholar] [CrossRef]
- Cimpean, A.M.; Raica, M.; Encica, S.; Cornea, R.; Bocan, V. Immunohistochemical expression of vascular endothelial growth factor A (VEGF), and its receptors (VEGFR1, 2) in normal and pathologic conditions of the human thymus. Ann. Anat.-Anat. Anzeiger Off. Organ Anat. Gesellschaft. 2008, 190, 238–245. [Google Scholar] [CrossRef]
- Heredea, R.E.; Melnic, E.; Cirligeriu, L.E.; Berzava, P.L.; Stănciulescu, M.C.; Popoiu, C.M.; Cimpean, A.M. VEGF Pathway Gene Expression Profile of Proliferating versus Involuting Infantile Hemangiomas: Preliminary Evidence and Review of the Literature. Children 2022, 9, 908. [Google Scholar] [CrossRef]
- Cimpean, A.M.; Ceauşu, R.; Encică, S.; Gaje, P.N.; Ribatti, D.; Raica, M. Platelet-derived growth factor and platelet-derived growth factor receptor-α expression in the normal human thymus and thymoma. Int. J. Exp. Pathol. 2011, 92, 340–344. [Google Scholar] [CrossRef]
- Swainson, L.; Kinet, S.; Manel, N.; Battini, J.L.; Sitbon, M.; Taylor, N. Glucose transporter 1 expression identifies a population of cycling CD4+ CD8+ human thymocytes with high CXCR4-induced chemotaxis. Proc. Natl. Acad. Sci. USA 2005, 102, 12867–12872. [Google Scholar] [CrossRef] [PubMed]
- Du, M.J.; Shen, Q.; Yin, H.; Rao, Q.; Zhou, M.X. Diagnostic roles of MUC1 and GLUT1 in differentiating thymic carcinoma from type B3 thymoma. Pathol. Res. Pract. 2016, 212, 1048–1051. [Google Scholar] [CrossRef] [PubMed]
- de Montpréville, V.T.; Quilhot, P.; Chalabreysse, L.; De Muret, A.; Hofman, V.; Lantuéjoul, S.; Parrens, M.; Payan, M.J.; Rouquette, I.; Secq, V.; et al. Glut-1 intensity and pattern of expression in thymic epithelial tumors are predictive of WHO subtypes. Pathol. Res. Pract. 2015, 211, 996–1002. [Google Scholar] [CrossRef]
- Campinoti, S.; Gjinovci, A.; Ragazzini, R.; Zanieri, L.; Ariza-McNaughton, L.; Catucci, M.; Boeing, S.; Park, J.E.; Hutchinson, J.C.; Muñoz-Ruiz, M.; et al. Reconstitution of a functional human thymus by postnatal stromal progenitor cells and natural whole-organ scaffolds. Nat. Commun. 2020, 11, 6372. [Google Scholar] [CrossRef] [PubMed]
- Pehlivanoglu, S.; Sahan, O.B.; Pehlivanoglu, S.; Kont, K.A. Epithelial mesenchymal transition regulator TWIST1 transcription factor stimulates glucose uptake through upregulation of GLUT1, GLUT3, and GLUT12 in vitro. In Vitro Cell. Dev. Biol. Anim. 2021, 57, 933–943. [Google Scholar] [CrossRef]
- Kleinman, M.E.; Greives, M.R.; Churgin, S.S.; Blechman, K.M.; Chang, E.I.; Ceradini, D.J.; Tepper, O.M.; Gurtner, G.C. Hypoxia-induced mediators of stem/progenitor cell trafficking are increased in children with hemangioma. Arterioscler. Thromb. Vasc. Biol. 2007, 27, 2664–2670. [Google Scholar] [CrossRef]







| Antibody Name | Source | Clone | Dilution | Detection/Visualization System | Antigen Unmasking | Incubation Time with Primary Antibody |
|---|---|---|---|---|---|---|
| CD34 | Leica Biosystem Newcastle Ltd., Newcastle Upon Tyne, UK | QBEnd 10 | Prediluted | Bond Polymer Refine Detection System (Leica Biosystems, Newcastle Upon Tyne, UK), 15 min | Bond Epitope Retrieval Solution 2, (Leica Biosystems, Newcastle Upon Tyne, UK)—20 min | 30 min, room temperature |
| VEGF | ReliaTech GmbH, Lindener Str. 15, 38300 Wolfenbuttel, Germany | VG1 | Liofilised 1:50 | Bond Polymer Refine Detection System (Leica Biosystems, Newcastle Upon Tyne, UK), 15 min | Bond Epitope Retrieval Solution 2, (Leica Biosystems, Newcastle Upon Tyne, UK)—20 min | 30 min, room temperature |
| FVIII | Leica Biosystem Newcastle Ltd., Newcastle Upon Tyne, UK | 36B11 | Prediluted | Bond Polymer Refine Detection System (Leica Biosystems, Newcastle Upon Tyne, UK), 15 min | Bond Epitope Retrieval Solution 2, (Leica Biosystems, Newcastle Upon Tyne, UK)—20 min | 30 min, room temperature |
| PDGF-A | Santa Cruz Biotechnology, www.scbt.com, accessed on December 6, 2024 | Polyclonal N30 | 1:25 | Bond Polymer Refine Detection System (Leica Biosystems, Newcastle Upon Tyne, UK), 15 min | Bond Epitope Retrieval Solution 2, (Leica Biosystems, Newcastle Upon Tyne, UK)—20 min | 30 min, room temperature |
| PDGF B | Santa Cruz Biotechnology, www.scbt.com, accessed on December 6, 2024 | Monoclonal, F3 | 1:100 | Bond Polymer Refine Detection System (Leica Biosystems, Newcastle Upon Tyne, UK), 15 min | Bond Epitope Retrieval Solution 2, (Leica Biosystems, Newcastle Upon Tyne, UK)—20 min | 30 min, room temperature |
| PDGFR beta | Santa Cruz Biotechnology, www.scbt.com, accessed on December 6, 2024 | Polyclonal P20, SC -339 | 1:30 | Bond Polymer Refine Detection System (Leica Biosystems, Newcastle Upon Tyne, UK), 15 min | Bond Epitope Retrieval Solution 2, (Leica Biosystems, Newcastle Upon Tyne, UK)—20 min | 30 min, room temperature |
| Ki 67 | Leica Biosystem Newcastle Ltd., Newcastle Upon Tyne, UK | MM1 | Prediluted | Bond Polymer Refine Detection System (Leica Biosystems, Newcastle Upon Tyne, UK), 15 min | Bond Epitope Retrieval Solution 2, (Leica Biosystems, Newcastle Upon Tyne, UK)—20 min | 30 min, room temperature |
| Prox 1 | ReliaTech GmbH, Lindener Str. 15, 38300 Wolfenbuttel, Germany | polyclonal | Liofilized 1: 10 | Bond Polymer Refine Detection System (Leica Biosystems, Newcastle Upon Tyne, UK), 15 min | Bond Epitope Retrieval Solution 2, (Leica Biosystems, Newcastle Upon Tyne, UK)—20 min | 60 min, room temperature |
| Podoplanin | Abcam plc, Discovery Drive, Cambridge Biomedical Campus, Cambridge, CB2 0AX, UK | gp36 | 1:40 | Bond Polymer Refine Detection System (Leica Biosystems, Newcastle Upon Tyne, UK), 15 min | Bond Epitope Retrieval Solution 2, (Leica Biosystems, Newcastle Upon Tyne, UK)—20 min | 30 min, room temperature |
| GLUT 1 | Abcam plc, Discovery Drive, Cambridge Biomedical Campus, Cambridge, CB2 0AX, UK | Monoclonal, EPR3915 | 1:250 | Bond Polymer Refine Detection System (Leica Biosystems, Newcastle Upon Tyne, UK), 15 min | Bond Epitope Retrieval Solution 2, (Leica Biosystems, Newcastle Upon Tyne, UK)—20 min | 30 min, room temperature |
| High Molecular Weight Keratin 34beta E12 | Leica Biosystem Newcastle Ltd., Newcastle Upon Tyne, UK | 34BETA E12 | Prediluted | Bond Polymer Refine Detection System (Leica Biosystems, Newcastle Upon Tyne, UK), 15 min | Bond Enzyme 1 Leica Biosystem Newcastle Ltd., Newcastle Upon Tyne, UK, 5 min | 30 min, room temperature |
Disclaimer/Publisher’s Note: The statements, opinions and data contained in all publications are solely those of the individual author(s) and contributor(s) and not of MDPI and/or the editor(s). MDPI and/or the editor(s) disclaim responsibility for any injury to people or property resulting from any ideas, methods, instructions or products referred to in the content. |
© 2025 by the authors. Licensee MDPI, Basel, Switzerland. This article is an open access article distributed under the terms and conditions of the Creative Commons Attribution (CC BY) license (https://creativecommons.org/licenses/by/4.0/).
Share and Cite
Velimirovici, M.; Popoiu, A.V.; Cerbu, S.; Popoiu, C.M.; Dorobantu, F.R.; Caplar, B.D.; Melnic, E.; Cimpean, A.M.; Tomescu, L.C.; Stanciulescu, M.C. Intrathymic Hemagioma: A Challenging Case Report with Special Focus on the Importance of Its Multidisciplinary Approach. Pediatr. Rep. 2025, 17, 13. https://doi.org/10.3390/pediatric17010013
Velimirovici M, Popoiu AV, Cerbu S, Popoiu CM, Dorobantu FR, Caplar BD, Melnic E, Cimpean AM, Tomescu LC, Stanciulescu MC. Intrathymic Hemagioma: A Challenging Case Report with Special Focus on the Importance of Its Multidisciplinary Approach. Pediatric Reports. 2025; 17(1):13. https://doi.org/10.3390/pediatric17010013
Chicago/Turabian StyleVelimirovici, Milan, Anca Voichita Popoiu, Simona Cerbu, Calin Marius Popoiu, Florica Ramona Dorobantu, Borislav Dusan Caplar, Eugen Melnic, Anca Maria Cimpean, Larisa Cristina Tomescu, and Maria Corina Stanciulescu. 2025. "Intrathymic Hemagioma: A Challenging Case Report with Special Focus on the Importance of Its Multidisciplinary Approach" Pediatric Reports 17, no. 1: 13. https://doi.org/10.3390/pediatric17010013
APA StyleVelimirovici, M., Popoiu, A. V., Cerbu, S., Popoiu, C. M., Dorobantu, F. R., Caplar, B. D., Melnic, E., Cimpean, A. M., Tomescu, L. C., & Stanciulescu, M. C. (2025). Intrathymic Hemagioma: A Challenging Case Report with Special Focus on the Importance of Its Multidisciplinary Approach. Pediatric Reports, 17(1), 13. https://doi.org/10.3390/pediatric17010013

