Severe and Atypical Presentation of Takotsubo Cardiomyopathy in a Pediatric Patient after a Serious Crash Injury—Case Report and Literature Review
Abstract
1. Introduction
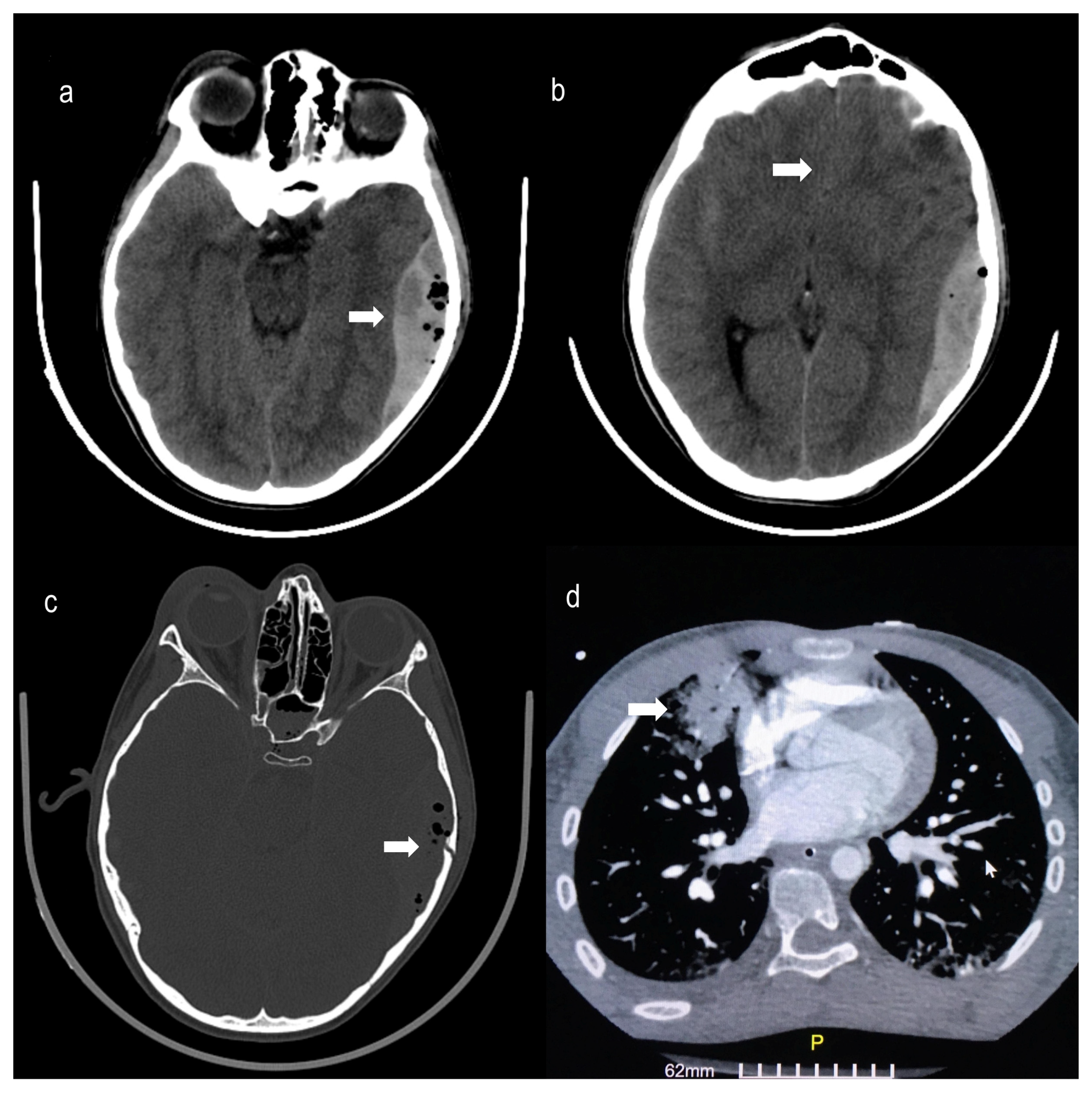
2. Case Presentation
3. Discussion
4. Conclusions
Author Contributions
Funding
Institutional Review Board Statement
Informed Consent Statement
Data Availability Statement
Conflicts of Interest
References
- Wetzel, R.C.; Burns, R.C. Multiple trauma in children: Critical care overview. Crit. Care Med. 2002, 30, S468–S477. [Google Scholar] [CrossRef]
- Brissaud, O.; Botte, A.; Cambonie, G.; Dauger, S.; dsse Saint Blanquat, L.; Durand, P.; Gournay, V.; Guillet, E.; Laux, D.; Leclerc, F.; et al. Experts’ recommendations for the management of cardiogenic shock in children. Ann. Intensive Care 2016, 6, 14. [Google Scholar] [CrossRef] [PubMed]
- Sendi, P.; Martinez, P.; Chegondi, M.; Totapally, B.R. Takotsubo cardiomyopathy in children. Cardiol. Young 2020, 30, 1711–1715. [Google Scholar] [CrossRef]
- Wittekind, S.G.; Yanay, O.; Johnson, E.M.; Gibbons, E.F. Two pediatric cases of variant neurogenic stress cardiomyopathy after intracranial hemorrhage. Pediatrics 2014, 134, e1211–e1217. [Google Scholar] [CrossRef]
- Thomas, C.; Johler, S.M.; Hermann, M.; Fischer, M.; Thorsteinsdottir, J.; Schichor, C.; Haas, N.A. Takotsubo cardiomyopathy in a 12-year-old boy caused by acute brainstem bleeding-a case report. Transl. Pediatr. 2021, 10, 3110–3117. [Google Scholar] [CrossRef] [PubMed]
- Madhavan, M.; Prasad, A. Proposed Mayo Clinic criteria for the diagnosis of Tako-Tsubo cardiomyopathy and long-term prognosis. Herz 2010, 35, 240–243. [Google Scholar] [CrossRef]
- Lyon, A.R.; Bossone, E.; Schneider, B.; Sechtem, U.; Citro, R.; Underwood, S.R.; Sheppard, M.N.; Figtree, G.A.; Parodi, G.; Akashi, Y.J.; et al. Current state of knowledge on Takotsubo syndrome: A Position Statement from the Taskforce on Takotsubo Syndrome of the Heart Failure Association of the European Society of Cardiology. Eur. J. Heart Fail. 2016, 18, 8–27. [Google Scholar] [CrossRef] [PubMed]
- Hernandez, L.E. Takotsubo cardiomyopathy: How much do we know of this syndrome in children and young adults? Cardiol. Young 2014, 24, 580–592. [Google Scholar] [CrossRef]
- Pelliccia, F.; Kaski, J.C.; Crea, F.; Camici, P.G. Pathophysiology of Takotsubo Syndrome. Circulation 2017, 135, 2426–2441. [Google Scholar] [CrossRef]
- Serrano, R.M.; Schamberger, M.; Parent, J.J. Takotsubo cardiomyopathy secondary to non-accidental trauma presenting as an “unwitnessed” arrest. Cardiol. Young 2019, 29, 442–444. [Google Scholar] [CrossRef]
- Madias, J.E. Hypotension After a Pediatric Invasive Procedure: Beware of Takotsubo Cardiomyopathy-Correspondence. Indian J. Pediatr. 2019, 86, 399–400. [Google Scholar] [CrossRef]
- Hessel, E.A. Takotsubo cardiomyopathy and its relevance to anesthesiology: A narrative review. Can. J. Anesth. Can. Anesth. 2016, 63, 1059–1074. [Google Scholar] [CrossRef]
- Awad, H.H.; McNeal, A.R.; Goyal, H. Reverse Takotsubo cardiomyopathy: A comprehensive review. Ann. Transl. Med. 2018, 6, 460. [Google Scholar] [CrossRef] [PubMed]
- Roshanzamir, S.; Showkathali, R. Takotsubo cardiomyopathy a short review. Curr. Cardiol. Rev. 2013, 9, 191–196. [Google Scholar] [CrossRef] [PubMed]
- Topal, Y.; Topal, H.; Doğan, C.; Tiryaki, S.B.; Biteker, M. Takotsubo (stress) cardiomyopathy in childhood. Eur. J. Pediatr. 2020, 179, 619–625. [Google Scholar] [CrossRef]
- Morita, S.; Inokuchi, S.; Yamagiwa, T.; Aoki, H.; Nakagawa, Y.; Yamamoto, I. Tako-tsubo-like left ventricular dysfunction with ST-segment elevation after central spinal cord injury: A case report. J. Emerg. Med. 2010, 39, 301–304. [Google Scholar] [CrossRef]
- Huis In ’t Veld, M.A.; Craft, C.A.; Hood, R.E. Blunt Cardiac Trauma Review. Cardiol. Clin. 2018, 36, 183–191. [Google Scholar] [CrossRef]
- Mylonas, K.S.; Tsilimigras, D.I.; Texakalidis, P.; Hemmati, P.; Schizas, D.; Economopoulos, K.P. Pediatric Cardiac Trauma in the United States: A Systematic Review. World J. Pediatr. Congenit. Heart Surg. 2018, 9, 214–223. [Google Scholar] [CrossRef]
- Sangha, G.S.; Pepelassis, D.; Buffo-Sequeira, I.; Seabrook, J.A.; Fraser, D.D. Serum troponin-I as an indicator of clinically significant myocardial injury in paediatric trauma patients. Injury 2012, 43, 2046–2050. [Google Scholar] [CrossRef] [PubMed]
- Boyd, B.; Solh, T. Takotsubo cardiomyopathy: Review of broken heart syndrome. JAAPA 2020, 33, 24–29. [Google Scholar] [CrossRef]
- Rodríguez, M.; Rzechorzek, W.; Herzog, E.; Lüscher, T.F. Misconceptions and Facts About Takotsubo Syndrome. Am. J. Med. 2019, 132, 25–31. [Google Scholar] [CrossRef] [PubMed]
- Fu, K.X.; Ng, B.H.Z.; Chua, M.H.X. A unique case of acute brain haemorrhage with left ventricular systolic failure requiring ECMO. BMC Pediatr. 2019, 19, 278. [Google Scholar] [CrossRef] [PubMed]
- El-Battrawy, I.; Borggrefe, M.; Akin, I. Takotsubo Syndrome and Embolic Events. Heart Fail. Clin. 2016, 12, 543–550. [Google Scholar] [CrossRef] [PubMed]
- Ding, K.J.; Cammann, V.L.; Szawan, K.A.; Stähli, B.E.; Wischnewsky, M.; Di Vece, D.; Citro, R.; Jaguszewski, M.; Seifert, B.; Sarcon, A.; et al. Intraventricular Thrombus Formation and Embolism in Takotsubo Syndrome: Insights From the International Takotsubo Registry. Arterioscler. Thromb. Vasc. Biol. 2020, 40, 279–287. [Google Scholar] [CrossRef]
- Diaz-Miron, J.L.; Dillon, P.A.; Saini, A.; Balzer, D.T.; Singh, J.; Kolovos, N.S.; Duncan, J.G.; Keller, M.S. Left main coronary artery dissection in pediatric sport-related chest trauma. J. Emerg. Med. 2014, 47, 150–154. [Google Scholar] [CrossRef] [PubMed]


Disclaimer/Publisher’s Note: The statements, opinions and data contained in all publications are solely those of the individual author(s) and contributor(s) and not of MDPI and/or the editor(s). MDPI and/or the editor(s) disclaim responsibility for any injury to people or property resulting from any ideas, methods, instructions or products referred to in the content. |
© 2023 by the authors. Licensee MDPI, Basel, Switzerland. This article is an open access article distributed under the terms and conditions of the Creative Commons Attribution (CC BY) license (https://creativecommons.org/licenses/by/4.0/).
Share and Cite
Tsitsipanis, C.; Miliaraki, M.; Michailou, M.; Geromarkaki, E.; Spanaki, A.-M.; Nyktari, V.; Yannopoulos, A.; Moustakis, N.; Ilia, S. Severe and Atypical Presentation of Takotsubo Cardiomyopathy in a Pediatric Patient after a Serious Crash Injury—Case Report and Literature Review. Pediatr. Rep. 2023, 15, 396-402. https://doi.org/10.3390/pediatric15030036
Tsitsipanis C, Miliaraki M, Michailou M, Geromarkaki E, Spanaki A-M, Nyktari V, Yannopoulos A, Moustakis N, Ilia S. Severe and Atypical Presentation of Takotsubo Cardiomyopathy in a Pediatric Patient after a Serious Crash Injury—Case Report and Literature Review. Pediatric Reports. 2023; 15(3):396-402. https://doi.org/10.3390/pediatric15030036
Chicago/Turabian StyleTsitsipanis, Christos, Marianna Miliaraki, Maria Michailou, Elisavet Geromarkaki, Anna-Maria Spanaki, Vasilia Nyktari, Andreas Yannopoulos, Nikolaos Moustakis, and Stavroula Ilia. 2023. "Severe and Atypical Presentation of Takotsubo Cardiomyopathy in a Pediatric Patient after a Serious Crash Injury—Case Report and Literature Review" Pediatric Reports 15, no. 3: 396-402. https://doi.org/10.3390/pediatric15030036
APA StyleTsitsipanis, C., Miliaraki, M., Michailou, M., Geromarkaki, E., Spanaki, A.-M., Nyktari, V., Yannopoulos, A., Moustakis, N., & Ilia, S. (2023). Severe and Atypical Presentation of Takotsubo Cardiomyopathy in a Pediatric Patient after a Serious Crash Injury—Case Report and Literature Review. Pediatric Reports, 15(3), 396-402. https://doi.org/10.3390/pediatric15030036

