Successful Prenatal Treatment of Cardiac Rhabdomyoma in a Fetus with Tuberous Sclerosis
Abstract
1. Introduction
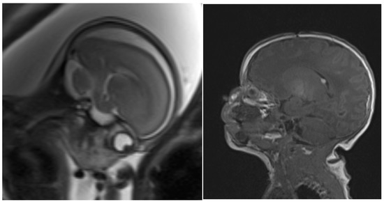
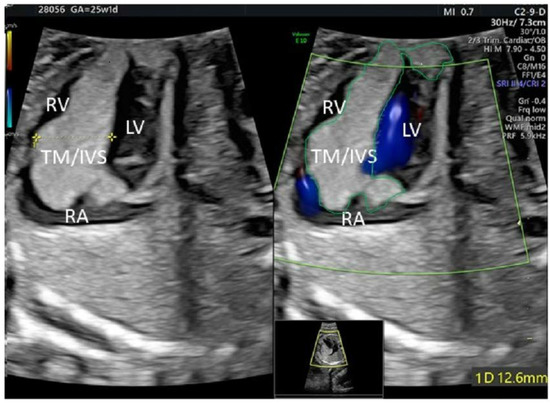
2. Case Description
3. Discussion
4. Conclusions
Supplementary Materials
Author Contributions
Funding
Institutional Review Board Statement
Informed Consent Statement
Data Availability Statement
Acknowledgments
Conflicts of Interest
References
- Borkowska, J.; Schwarz, R.A.; Kotulska, K.; Jozwiak, S. Tuberous sclerosis complex: Tumors and tumorigenesis. Int. J. Dermatol. 2011, 50, 13–20. [Google Scholar] [CrossRef] [PubMed]
 - Morka, A.; Kohut, J.; Radzyminska-Chrusciel, B.; Mroczek, T.; Gladki, M.; Werynski, P.; Rudzinski, A.; Skalski, J.; Szydlowski, L. Echocardiography and newer imaging techniques in diagnosis and long-term follow-up of primary heart tu-mors in children. Int. J. Environ. Res. Public Health 2020, 17, 5471. [Google Scholar] [CrossRef] [PubMed]
 - Shi, L.; Wu, L.; Fang, H.; Han, B.; Yang, J.; Ma, X.; Liu, F.; Zhang, Y.; Xiao, T.; Huang, M.; et al. Identification and clinical course of 166 pediatric cardiac tumors. Eur. J. Pediatr. 2017, 176, 253–260. [Google Scholar] [CrossRef] [PubMed]
 - Chen, J.; Wang, J.; Sun, H.; Gu, X.; Hao, X.; Fu, Y.; Zhang, Y.; Liu, X.; Zhang, H.; Han, L.; et al. Fetal cardiac tumor: Echocardiography, clinical outcome and genetic analysis in 53 cases. Ultrasound Obstet. Gynecol. 2019, 54, 103–109. [Google Scholar] [CrossRef]
 - Curatolo, P.; Bombardieri, R.; Jozwiak, S. Tuberous sclerosis. Lancet 2008, 372, 657–668. [Google Scholar] [CrossRef]
 - Chao, A.S.; Wang, T.H.; Chang, Y.C.; Hsieh, C.C.; Lien, R.; Su, W.J. Outcome of antenatally diagnosed cardiac rhabdomyoma: Case series and a meta-analysis. Ultrasound Obstet. Gynecol. 2008, 31, 289–295. [Google Scholar] [CrossRef] [PubMed]
 - Wander, S.A.; Hennessy, B.T.; Slingerland, J.M. Next-generation mTOR inhibitors in clinical oncology: How pathway complexity informs therapeutic strategy. J. Clin. Investig. 2011, 121, 1231–1241. [Google Scholar] [CrossRef]
 - Jóźwiak, S.; Kotulska, K.; Kasprzyk-Obara, J.; Domańska-Pakieła, D.; Tomyn-Drabik, M.; Roberts, P.; Kwiatkowski, D. Clinical and Genotype Studies of Cardiac Tumors in 154 Patients With Tuberous Sclerosis Complex. Pediatrics 2006, 118, e1146–e1151. [Google Scholar] [CrossRef]
 - Yinon, Y.; Chitayat, D.; Blaser, S.; Seed, M.; Amsalem, H.; Yoo, S.J.; Jaeggi, E.T. Fetal cardiac tumors: A single-center ex-perience of 40 cases. Prenat. Diagn. 2010, 30, 941–949. [Google Scholar] [CrossRef]
 - Barnes, B.T.; Procaccini, D.; Crino, J.; Blakemore, K.; Sekar, P.; Sagaser, K.G.; Jelin, A.C.; Gaur, L. Maternal Sirolimus Therapy for Fetal Cardiac Rhabdomyomas. N. Engl. J. Med. 2018, 378, 1844–1845. [Google Scholar] [CrossRef]
 - Pluym, I.D.; Sklansky, M.; Wu, J.Y.; Afshar, Y.; Holliman, K.; Devore, G.R.; Walden, A.; Platt, L.D.; Krakow, D. Fetal cardiac rhabdomyomas treated with maternal sirolimus. Prenat. Diagn. 2019, 40, 358–364. [Google Scholar] [CrossRef] [PubMed]
 - Park, H.; Chang, C.S.; Choi, S.-J.; Oh, S.-Y.; Roh, C.-R. Sirolimus therapy for fetal cardiac rhabdomyoma in a pregnant woman with tuberous sclerosis. Obstet. Gynecol. Sci. 2019, 62, 280–284. [Google Scholar] [CrossRef] [PubMed]
 - Vachon-Marceau, C.; Guerra, V.; Jaeggi, E.; Chau, V.; Ryan, G.; Van Mieghem, T. In-utero treatment of large sympto-matic rhabdomyoma with sirolimus. Ultrasound Obstet. Gynecol. 2019, 53, 420–421. [Google Scholar]
 - Ebrahimi-Fakhari, D.; Stires, G.; Hahn, E.; Krueger, D.; Franz, D.N. Prenatal Sirolimus Treatment for Rhabdomyomas in Tuberous Sclerosis. Pediatr. Neurol. 2021, 125, 26–31. [Google Scholar] [CrossRef] [PubMed]
 - Dagge, A.; Silva, L.A.; Jorge, S.; Nogueira, E.; Rebelo, M.; Pinto, L. Fetal Tuberous Sclerosis: Sirolimus for the Treatment of Fetal rhabdomyoma. Fetal. Pediatr. Pathol. 2021, 41, 800–806. [Google Scholar] [CrossRef]
 - Freixo, C.; Ferreira, V.; Martins, J.; Almeida, R.; Caldeira, D.; Rosa, M.; Costa, J.; Ferreira, J. Efficacy and safety of siroli-mus in the treatment of vascular anomalies: A systematic review. J. Vasc. Surg. 2020, 71, 318–327. [Google Scholar] [CrossRef]
 - Panigrahy, N.; Chirla, D.K.; Bagga, N.; Gunda, R.K.; Sukhija, B.; Reddy, L. Sirolimus in infants with congenital hyperinsu-linism (CHI)—A single centre experience. Eur. J. Pediatr. 2022, 181, 407–412. [Google Scholar] [CrossRef]
 - Krueger, D.A.; Wilfong, A.A.; Mays, M.; Talley, C.M.; Agricola, K.; Tudor, C.; Capal, J.; Holland-Bouley, K.; Franz, D.N. Long-term treatment of epilepsy with everolimus in tuberous sclerosis. Neurology 2016, 87, 2408–2415. [Google Scholar] [CrossRef]
 - Northrup, H.; Aronow, M.E.; Bebin, E.M.; Bissler, J.; Darling, T.N.; de Vries, P.J.; Frost, M.D.; Fuchs, Z.; Gosnell, E.S.; Gupta, N.; et al. Updated International Tuberous Sclerosis Complex diagnos-tic criteria and surveillance and management recommendations. Pediatr. Neurol. 2021, 123, 50–66. [Google Scholar] [CrossRef]
 - Choudhry, S.; Nguyen, H.H.; Anwar, S. Rapid resolution of cardiac rhabdomyomas following everolimus therapy. BMJ Case Rep. 2015, 2015, 212946. [Google Scholar] [CrossRef]
 - Dabora, S.L.; Jozwiak, S.; Franz, D.N.; Roberts, P.S.; Nieto, A.; Chung, J.; Choy, Y.-S.; Reeve, M.P.; Thiele, E.; Egelhoff, J.C.; et al. Mutational analysis in a cohort of 224 Tuberous Scle-rosis patients indicates increased severity of TSC2, compared with TSC1, disease in multiple organs. Am. J. Hum. Genet. 2001, 68, 64–80. [Google Scholar] [CrossRef] [PubMed]
 - Ogórek, B.; Hamieh, L.; Hulshof, H.M.; Ba, K.L.; Klonowska, K.; Kuijf, H.; Moavero, R.; Hertzberg, C.; Weschke, B.; Riney, K.; et al. TSC2 pathogenic variants are predictive of severe clinical manifestations in TSC infants: Results of the EPISTOP study. Anesth. Analg. 2020, 22, 1489–1497. [Google Scholar] [CrossRef] [PubMed]
 - Webb, D.W.; Thomas, R.D.; Osborne, J.P. Cardiac rhabdomyomas and their association with tuberous sclerosis. Arch. Dis. Child. 1993, 68, 367–370. [Google Scholar] [CrossRef] [PubMed]
 - Coscia, L.A.; Constantinescu, S.; Davison, J.M.; Moritz, M.J.; Armenti, V.T. Immunosuppressive drugs and fetal outcome. Best Pract. Res. Clin. Obs. Gynaecol. 2014, 28, 1174–1187. [Google Scholar] [CrossRef]
 - Hennig, M.; Fiedler, S.; Jux, C.; Thierfelder, L.; Drenckhahn, J.D. Prenatal mechanistic Target of Rapamycin Complex 1 (m TORC1) inhibition by rapamycin treatment of pregnant mice causes intrauterine growth restriction and al-ters postnatal cardiac growth, morphology, and function. J. Am. Heart Assoc. 2017, 6, e005506. [Google Scholar] [CrossRef] [PubMed]
 - Ebbo, M.; Laurence, G.; Carpentier, S.; Vély, F.; Cypowyj, S.; Farnarier, C.; Vince, N.; Malphettes, M.; Fieschi, C.; Oksen-hendler, E.; et al. Low circulating natural killer cell counts are associat-ed with severe disease in patients with common variable immunodeficiency. EBioMedicine 2016, 6, 222–230. [Google Scholar] [CrossRef]
 - Nikam, R.M.; Kandula, V.V.; Yue, X.; Krishnan, V.; Kumbhar, S.S.; Averill, L.W.; Paudyal, B.; Choudhary, A.K. Birth-related subdural hemorrhage: Prevalence and imaging morphology. Pediatr. Radiol. 2021, 51, 939–946. [Google Scholar] [CrossRef]
 




| Parameter | Unit | GA 27 Weeks | GA 31 Weeks | GA 37 Weeks | GA 39 Weeks * | Reference Values | 
|---|---|---|---|---|---|---|
| CD4 cells | /nL | 0.92 | 0.96 | 0.97 | 0.50–1.20 | |
| CD8 cells | /nL | 0.33 | 0.38 | 0.37 | 0.30–0.80 | |
| CD4/CD8 | ratio | 2.8 | 2.5 | 2.6 | 1.1–3.0 | |
| NK cells | /nL | 0.05 | 0.10–0.40 | |||
| Hemoglobin | g/dL | 11.8 | 11.3 | 11.1 | 10.2 | 12.0–15.6 | 
| Erythrocytes | /pL | 3.7 | 3.5 | 3.7 | 3.4 | 3.9–5.2 | 
| Leukocytes | /nL | 8.89 | 7.38 | 7.76 | 7.96 | 3.90–10.50 | 
| Thrombocytes | /nL | 178 | 209 | 193 | 189 | 150–370 | 
| Creatinin | mg/dL | 0.66 | 0.59 | 0.50–0.90 | ||
| GPT (ALT) | U/L | 9 | 15 | 20 | <31 | |
| GOT (AST) | U/L | 16 | 24 | 26 | <35 | |
| Cholesterin | mg/dL | 250 | 294 | 301 | <200 | |
| LDL-Cholesterin | mg/dL | 163 | 200 | 193 | <130 | |
| Triglycerides | mg/dL | 174 | 256 | 351 | <200 | |
| CMV-DNA | copies/mL | 0 | 0 | 0 | ||
| EBV-DNA | copies/mL | 0 | 0 | |||
| Sirolimus | ng/mL | 8.91 | 8.40 | 1.16 ** | 
| Parameter | Unit | Postnatal Day 1 | Postnatal Day 3 | Postnatal Day 5 | Reference Values | 
|---|---|---|---|---|---|
| CD4 cells | /nL | 1.66 | 1.96 | 0.40–3.50 | |
| CD8 cells | /nL | 0.57 | 0.66 | 0.20–1.90 | |
| CD4/CD8 | ratio | 2.9 | 3.0 | 1.0–2.6 | |
| NK cells | /nL | 0.05 | 0.12 | 0.10–1.90 | |
| CRP | mg/L | <0.6 | <5.0 | ||
| IL 6 | ng/L | 2.2 | <66.4 | ||
| Hemoglobin | g/dL | 18.2 | 19.0 | 13.2–21.7 | |
| Erythrocytes | /pL | 4.8 | 5.3 | 3.9–6.3 | |
| Leukocytes | /nL | 14.55 | 6.95 | 9.00–28.20 **  7.20–21.60 ***  | |
| Thrombocytes | /nL | 238 | 2.52 | 220–520 | |
| Sirolimus | ng/mL | 1.59 * | 
Disclaimer/Publisher’s Note: The statements, opinions and data contained in all publications are solely those of the individual author(s) and contributor(s) and not of MDPI and/or the editor(s). MDPI and/or the editor(s) disclaim responsibility for any injury to people or property resulting from any ideas, methods, instructions or products referred to in the content.  | 
© 2023 by the authors. Licensee MDPI, Basel, Switzerland. This article is an open access article distributed under the terms and conditions of the Creative Commons Attribution (CC BY) license (https://creativecommons.org/licenses/by/4.0/).
Share and Cite
Will, J.C.; Siedentopf, N.; Schmid, O.; Gruber, T.M.; Henrich, W.; Hertzberg, C.; Weschke, B. Successful Prenatal Treatment of Cardiac Rhabdomyoma in a Fetus with Tuberous Sclerosis. Pediatr. Rep. 2023, 15, 245-253. https://doi.org/10.3390/pediatric15010020
Will JC, Siedentopf N, Schmid O, Gruber TM, Henrich W, Hertzberg C, Weschke B. Successful Prenatal Treatment of Cardiac Rhabdomyoma in a Fetus with Tuberous Sclerosis. Pediatric Reports. 2023; 15(1):245-253. https://doi.org/10.3390/pediatric15010020
Chicago/Turabian StyleWill, Joachim Carsten, Nina Siedentopf, Oliver Schmid, Teresa Mira Gruber, Wolfgang Henrich, Christoph Hertzberg, and Bernhard Weschke. 2023. "Successful Prenatal Treatment of Cardiac Rhabdomyoma in a Fetus with Tuberous Sclerosis" Pediatric Reports 15, no. 1: 245-253. https://doi.org/10.3390/pediatric15010020
APA StyleWill, J. C., Siedentopf, N., Schmid, O., Gruber, T. M., Henrich, W., Hertzberg, C., & Weschke, B. (2023). Successful Prenatal Treatment of Cardiac Rhabdomyoma in a Fetus with Tuberous Sclerosis. Pediatric Reports, 15(1), 245-253. https://doi.org/10.3390/pediatric15010020
        
