Genotypes and Phylogenetic Analysis of Helicobacter pylori Clinical Bacterial Isolates
Abstract
1. Introduction
2. Materials and Methods
2.1. Bacterial Isolates from Gastric Biopsies
2.2. Characterization of Bacterial Isolates
2.2.1. Morphological Characterization
2.2.2. Biochemical Characterization
2.2.3. Molecular Characterization of the Bacterial Genome Isolates
2.3. Statistical Clustering Analysis
2.4. 16S rRNA Gene Phylogenetic Analysis of Helicobacter pylori Strains
2.5. Multilocus Sequence Typing Phylogenetic Analysis of H. pylori Isolates
3. Results
3.1. Bacterial Isolates from Gastric Biopsies
3.2. Microscopic Morphological Characterization of Helicobacter pylori Isolates
3.3. Biochemical Characterization of the Bacterial Isolates
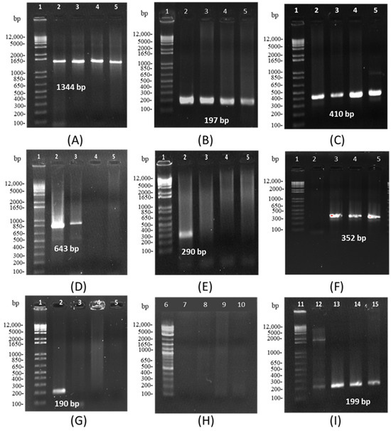
3.4. Genomic Molecular Characterization of Bacterial Isolates
3.5. Clustering Analysis
3.6. Phylogenetic Analysis of the 16S rRNA Gene Bacterial Isolates
3.7. Multilocus Sequence Typing Phylogenetic Analysis
4. Discussion
5. Conclusions
Supplementary Materials
Author Contributions
Funding
Institutional Review Board Statement
Informed Consent Statement
Data Availability Statement
Acknowledgments
Conflicts of Interest
References
- Warren, R.; Marshall, B. Unidentified curved bacilli on gastric epithelium in active chronic gastritis. Lancet 1983, 321, 1273–1275. [Google Scholar]
- Marshall, B.; Warren, R. Unidentified curved bacilli in the stomach of patients with gastritis and peptic ulceration. Lancet 1984, 323, 1311–1314. [Google Scholar] [CrossRef]
- Zou, Q.H.; Wei, W. Phage therapy: Promising for H. pylori infection. Clin. Microbial. 2013, 2, 112. [Google Scholar] [CrossRef]
- Cava, F.; Cobas, G. Dos décadas de Helicobacter pylori. VacciMonitor 2003, 12, 1–10. [Google Scholar]
- Praszkier, J.; Sutton, P.; Ferrero, R.L. Virulence mechanisms of Helicobacter pylori: An overview. In Helicobacter pylori Research: From Bench to Bedside; Backert, S., Yamaoka, Y., Eds.; Springer: Berlin/Heidelberg, Germany, 2016; pp. 57–87. [Google Scholar] [CrossRef]
- Blanchard, T.; Nedrud, J. Laboratory maintenance of Helicobacter species. Curr. Protoc. Microbiol. 2006, 8B.1.1–8B.1.13. [Google Scholar] [CrossRef]
- De Reuse, H.; Labigne, A.; Mengin-Lecreulx, D. The Helicobacter pylori ureC gene codes for a phosphoglucosamine mutase. J. Bacteriol. 1997, 179, 3488–3493. [Google Scholar] [CrossRef] [PubMed]
- Denic, M.; Turlin, E.; Michel, V.; Fischer, F.; Khorasani-Motlagh, M.; Zamble, D.; Vinella, D.; de Reuse, H. A novel mode of control of nickel uptake by a multifunctional metallochaperone. PLoS Pathog. 2021, 17, e1009193. [Google Scholar] [CrossRef]
- Cover, T.L.; Holland, R.L.; Blanke, S.R. Helicobacter pylori vacuolating toxin. In Helicobacter pylori Research; Backert, S., Yamaoka, Y., Eds.; Springer: Tokyo, Japan, 2016; pp. 113–142. [Google Scholar]
- Nakano, M.; Hirayama, T.; Moss, J.; Yahiro, K. Helicobacter pylori VacA exhibits pleiotropic actions in host cell. In Helicobacter pylori; Suzuki, H., Warren, R., Marshall, B., Eds.; Springer: Tokyo, Japan, 2016; pp. 49–66. [Google Scholar]
- Arévalo, A.; Trespalacios, A.A.; Otero, W. Importancia de la proteína CagA en infección por Helicobacter pylori. Rev. Colomb Gastroenterol. 2009, 24, 388–395. Available online: https://www.redalyc.org/articulo.oa?id=337731594009 (accessed on 20 March 2024).
- Ansari, S.; Yamaoka, Y. Helicobacter pylori Virulence Factor Cytotoxin-Associated Gene A (CagA)-Mediated Gastric Pathogenicity. Int. J. Mol. Sci. 2020, 21, 7430. [Google Scholar] [CrossRef]
- Suerbaum, S.; Josenhans, C. Helicobacter pylori evolution and phenotypic diversification in a changing host. Nat. Rev. Microbiol. 2007, 5, 441–452. [Google Scholar] [CrossRef]
- Achtman, M.; Azuma, T.; Berg, D.E.; Ito, Y.; Morelli, G.; Pan, Z.J.; Suerbaum, S.; Thompson, S.A.; van der Ende, A.; van Doorn, L.J. Recombination and clonal groupings within Helicobacter pylori from different geographical regions. Mol. Microbiol. 1999, 32, 459–470. [Google Scholar] [CrossRef]
- Mendoza-Elizalde, S.; Cortés-Márquez, A.; Giono-Cerezo, S.; Zuñiga, G.; Consuelo-Sánchez, A.; Valencia-Mayoral, P.; Vigueras-Galindo, J.C.; Escalona-Venegas, G.; Arellano-Galindo, J.; Velázquez-Guadarrama, N. Analysis of the genotypic diversity of strains of Helicobacter pylori isolated from pediatric patients in Mexico. Infect. Genet. Evol. 2015, 29, 68–74. [Google Scholar] [CrossRef] [PubMed]
- Osaki, T.; Okuda, M.; Ueda, J.; Konno, M.; Yonezawa, H.; Hojo, F.; Yagyu, K.; Lin, Y.; Fukuda, Y.; Kikuchi, S.; et al. Multilocus sequence typing of DNA from faecal specimens for the analysis of intra-familial transmission of Helicobacter pylori. J. Med. Microbiol. 2013, 62, 761–765. [Google Scholar] [CrossRef] [PubMed]
- Nagata, R.; Sato, H.; Takenaka, S.; Yokoyama, J.; Terai, S.; Mimuro, H.; Noiri, Y. Analysis of genetic relatedness between gastric and oral Helicobacter pylori in patients with early gastric cancer using multilocus sequence typing. Int. J. Mol. Sci. 2023, 24, 2211. [Google Scholar] [CrossRef] [PubMed]
- World Medical Association. World Medical Association Declaration of Helsinki. Ethical Principles for Medical Research Involving Human Subjects. Bull. World Health Organ. 2001, 79, 373–374. [Google Scholar]
- Weisburg, W.G.; Barns, S.M.; Pelletier, D.A.; Lane, D.J. 16S ribosomal DNA amplification for phylogenetic study. J. Bacteriol. 1991, 173, 697–703. [Google Scholar] [CrossRef] [PubMed]
- Park, C.; Kim, S.B.; Choi, S.H.; Kim, S. Comparison of 16S rRNA Gene Based Microbial Profiling Using Five Next-Generation Sequencers and Various Primers. Front. Microbiol. 2021, 12, 715500. [Google Scholar] [CrossRef]
- Kamble, A.; Sawant, S.; Singh, H. 16S ribosomal RNA gene-based metagenomics: A review. Biomed. Res. J. 2020, 7, 5–11. [Google Scholar] [CrossRef]
- Edgar, R.C. MUSCLE: Multiple sequence alignment with high accuracy and high throughput. Nucleic Acids Res. 2004, 32, 1792–1797. [Google Scholar] [CrossRef]
- Kumar, S.; Stecher, G.; Li, M.; Knyaz, C.; Tamura, K. MEGA X: Molecular evolutionary genetics analysis across computing platforms. Mol. Biol. Evol. 2018, 35, 1547–1549. [Google Scholar] [CrossRef]
- Chalita, M.; Kim, Y.O.; Park, S.; Oh, H.S.; Cho, J.H.; Moon, J.; Baek, N.; Moon, C.; Lee, K.; Yang, J.; et al. EzBioCloud: A genome-driven database and platform for microbiome identification and discovery. Int. J. Syst. Evol. Microbiol. 2024, 74, 6. [Google Scholar] [CrossRef]
- Thompson, J.D.; Higgins, D.G.; Gibson, T.J. CLUSTAL W: Improving the sensitivity of progressive multiple sequence alignment through sequence weighting, position-specific gap penalties and weight matrix choice. Nucleic Acids Res. 1994, 22, 4673–4680. [Google Scholar] [CrossRef] [PubMed]
- Alzohairy, A. BioEdit: An important software for molecular biology. GERF Bull. Biosci. 2011, 2, 60–61. Available online: https://www.researchgate.net/publication/258565830 (accessed on 11 April 2024).
- Phuc, B.H.; Tuan, V.P.; Binh, T.T.; Tung, P.H.; Tri, T.D.; Dung, H.D.; Thuan, N.P.; Fauzia, K.A.; Tshibangu-Kabamba, E.; Alfaray, R.I.; et al. Comparative genomics of two vietnamese Helicobacter pylori strains, CHC155 from a non-cardia gastric cancer patient and VN1291 from a duodenal ulcer patient. Nat. Sci. Rep. 2023, 13, 8869. [Google Scholar] [CrossRef]
- Letunic, I.; Bork, P. Interactive tree of life (iTOL) v5: An online tool for phylogenetic tree display and annotation. Nucleic Acids Res. 2021, 49, W293–W296. [Google Scholar] [CrossRef]
- Polat, F.R.; Polat, S. The effect of Helicobacter pylori on gastroesophageal reflux disease. JSLS 2012, 16, 260–263. [Google Scholar] [CrossRef] [PubMed]
- Niknam, R.; Lankaran, K.B.; Moghadami, M.; Taghavi, S.A.; Zahiri, L.; Fallahi, M.J. The association between Helicobacter pylori infection and erosive gastroesophageal reflux disease; a cross-sectional study. BMC Infect. Dis. 2022, 22, 267. [Google Scholar] [CrossRef] [PubMed]
- Scida, S.; Russo, M.; Miraglia, C.; Leandro, G.; Franzoni, L.; Meschi, T.; de’ Angelis, G.L.; Di Mario, F. Relationship between Helicobacter pylori infection and GERD. Acta Biomed. 2018, 89, 40–43. [Google Scholar] [CrossRef] [PubMed]
- Palacios-Espinosa, F.; Escobedo-Hinojosa, W.; Romero, I. Panorama actual del estudio de las plantas con actividad anti Helicobacter pylori. TIP 2011, 14, 51–61. Available online: http://www.scielo.org.mx/scielo.php?script=sci_arttext&pid=S1405-888X2011000100006&lng=es (accessed on 20 March 2024).
- Krzyżek, P.; Gościniak, G. Morphology of Helicobacter pylori as a result of peptidoglycan and cytoskeleton rearrangements. Gastroenterol. Rev. 2018, 13, 182–195. [Google Scholar] [CrossRef]
- Atherton, J.C.; Cao, P.; Peek, R.M.; Tummuru, M.K.R.; Blaser, M.J.; Cover, T.L. Mosaicism in vacuolating cytotoxin alleles of Helicobacter pylori. J. Biol. Chem. 1995, 270, 17771–17777. [Google Scholar] [CrossRef]
- Jeyamani, L.; Jayarajan, J.; Leelakrishnan, V.; Swaminathan, M. CagA and VacA genes of Helicobacter pylori and their clinical relevance. Indian J. Pathol. Microbiol. 2018, 61, 66–69. [Google Scholar] [CrossRef] [PubMed]
- Parsonnet, J.; Friedman, G.D.; Orentreich, N.; Vogelman, H. Risk for gastric cancer in people with CagA positive or CagA negative Helicobacter pylori infection. Gut 1997, 40, 297–301. [Google Scholar] [CrossRef] [PubMed]
- Saber, T.; Ghonaim, M.M.; Yousef, A.R.; Khalifa, A.; Al Qurashi, H.; Shaqhan, M.; Samaha, M. Association of Helicobacter pylori cagA gene with gastric cancer and peptic ulcer in Saudi patients. J. Microbiol. Biotechnol. 2015, 25, 1146–1153. [Google Scholar] [CrossRef] [PubMed]
- Nomura, A.M.; Pérez-Pérez, G.I.; Lee, J.; Stemmermann, G.; Blaser, M.J. Relation between Helicobacter pylori cagA status and risk of peptic ulcer disease. Am. J. Epidemiol. 2002, 155, 1054–1059. [Google Scholar] [CrossRef]
- Ohnishi, N.; Yuasa, H.; Tanaka, S.; Sawa, H.; Miura, M.; Matsui, A.; Higashi, H.; Musashi, M.; Iwabuchi, K.; Suzuki, M.; et al. Transgenic expression of Helicobacter pylori CagA induces gastrointestinal and hematopoietic neoplasms in mouse. Proc. Natl. Acad. Sci. USA 2008, 105, 1003–1008. [Google Scholar] [CrossRef]
- Rieder, G.; Merchant, J.L.; Haas, R. Helicobacter pylori cag-type IV secretion system facilitates corpus colonization to induce precancerous conditions in Mongolian gerbils. Gastroenterology 2005, 128, 1229–1242. [Google Scholar] [CrossRef] [PubMed]
- Mendoza-Elizalde, S.; Cortés-Márquez, A.; Zuñiga, G.; Cerritos, R.; Valencia-Mayoral, P.; Sánchez, A.; Olivares-Clavijo, H.; Velázquez-Guadarrama, N. Inference from the analysis of genetic structure of Helicobacter pylori strains isolates from two paediatric patients with recurrent infection. BMC Microbiol. 2019, 19, 184. [Google Scholar] [CrossRef]
- Occhialini, A.; Marais, A.; Urdaci, M.; Sierra, R.; Muñoz, N.; Covacci, A.; MéGraud, F. Composition and gene expression of the cag pathogenicity island in Helicobacter pylori strains isolated from gastric carcinoma and gastritis patients in Costa Rica. Infect Immun. 2001, 63, 1902–1908. [Google Scholar] [CrossRef] [PubMed][Green Version]
- García, A.; Barra, R.; Delgado, C.; Kawaguchi, F.; Trabal, N.; Montenegro, S.; González, C. Genotipificación de aislados clínicos de Helicobacter pylori en base a genes asociados a virulencia cagA, vacA y babA2. Primer aislamiento de una cepa babA2 positiva en pacientes chilenos. Rev Méd Chile. 2006, 134, 981–988. [Google Scholar] [CrossRef]
- Russo, F.; Notarnicola, M.; Di Matteo, G.; Leoci, C.; Caruso, M.; Pirelli, M.; Caradonna, M.; Morandi, M.; Di Leo, A. Detection of Helicobacter pylori cagA gene by polymerase chain reaction in faecal samples. Eur J Gastroenterol. 1999, 11, 251–256. [Google Scholar] [CrossRef]






| Patient | Previous Diagnosis from Endoscopy | Age (Years) | Gender | Urease Test |
|---|---|---|---|---|
| 1 | GERD | 68 | F | + |
| 2 | GERD, FLD | 54 | F | - |
| 3 | Dyspepsia, UGIB | 40 | F | - |
| 4 | Dyspepsia | 70 | F | - |
| 5 | Dysphagia, dyspepsia | 67 | M | - |
| 6 | Esophageal CA | 57 | F | - |
| 7 | GERD | 53 | M | + (no growth) |
| 8 | UGIB | 60 | M | - |
| 9 | Dyspepsia, UGIB | 61 | F | - |
| 10 | GERD | 48 | F | - |
| 11 | Colon CA | 74 | M | - |
| 12 | Dyspepsia | 28 | F | - |
| 13 | Anemia | 83 | F | + |
| 14 | UGIB, ulcer | 72 | F | - |
| 15 | HC | 58 | F | - |
| 16 | Hepatic METS | 54 | F | - |
| 17 | GERD | 60 | F | + |
| 18 | Esophageal stenosis | 49 | F | - |
| 19 | Dyspepsia | 62 | F | - |
| 20 | Dyspepsia | 69 | F | - |
| 21 | UGIB | 77 | F | - |
| 22 | UGIB | 42 | M | - |
| Bacterial Strain | Biochemical Test | ||
|---|---|---|---|
| Urease | Catalase | Oxidase | |
| HCGDL-MR01 | + | + | + |
| HCGDL-MR13 | + | + | + |
| HCGDL-MR17 | + | + | + |
| ATCC 43504 * | + | + | + |
| Bacterial Strain | Genotypes |
|---|---|
| HCGDL-MR01 | ureC (+), cagA (+), 16S (+), tonB (+), ureA (+), vacAs2m2 |
| HCGDL-MR13 | ureC (+), cagA (-), 16S (+), tonB (+), ureA (+), vacAs2m2 |
| HCGDL-MR17 | ureC (+), cagA (-), 16S (+), tonB (+), ureA (+), vacAs2m2 |
| ATCC 43504 * | ureC (+), cagA (+), 16S (+), tonB (+), ureA (+), vacAs1m1 |
Disclaimer/Publisher’s Note: The statements, opinions and data contained in all publications are solely those of the individual author(s) and contributor(s) and not of MDPI and/or the editor(s). MDPI and/or the editor(s) disclaim responsibility for any injury to people or property resulting from any ideas, methods, instructions or products referred to in the content. |
© 2024 by the authors. Licensee MDPI, Basel, Switzerland. This article is an open access article distributed under the terms and conditions of the Creative Commons Attribution (CC BY) license (https://creativecommons.org/licenses/by/4.0/).
Share and Cite
Ríos-Sandoval, M.; Quiñones-Aguilar, E.E.; Solís-Sánchez, G.A.; Bravo-Madrigal, J.; Velázquez-Guadarrama, N.; Rincón-Enríquez, G. Genotypes and Phylogenetic Analysis of Helicobacter pylori Clinical Bacterial Isolates. Microbiol. Res. 2024, 15, 1845-1858. https://doi.org/10.3390/microbiolres15030123
Ríos-Sandoval M, Quiñones-Aguilar EE, Solís-Sánchez GA, Bravo-Madrigal J, Velázquez-Guadarrama N, Rincón-Enríquez G. Genotypes and Phylogenetic Analysis of Helicobacter pylori Clinical Bacterial Isolates. Microbiology Research. 2024; 15(3):1845-1858. https://doi.org/10.3390/microbiolres15030123
Chicago/Turabian StyleRíos-Sandoval, Marcela, Evangelina Esmeralda Quiñones-Aguilar, Guillermo Alejandro Solís-Sánchez, Jorge Bravo-Madrigal, Norma Velázquez-Guadarrama, and Gabriel Rincón-Enríquez. 2024. "Genotypes and Phylogenetic Analysis of Helicobacter pylori Clinical Bacterial Isolates" Microbiology Research 15, no. 3: 1845-1858. https://doi.org/10.3390/microbiolres15030123
APA StyleRíos-Sandoval, M., Quiñones-Aguilar, E. E., Solís-Sánchez, G. A., Bravo-Madrigal, J., Velázquez-Guadarrama, N., & Rincón-Enríquez, G. (2024). Genotypes and Phylogenetic Analysis of Helicobacter pylori Clinical Bacterial Isolates. Microbiology Research, 15(3), 1845-1858. https://doi.org/10.3390/microbiolres15030123

