Rickettsia parkeri Rickettsiosis Resembling Sweet Syndrome: A Differential Diagnosis for Critical Discussion
Abstract
1. Introduction
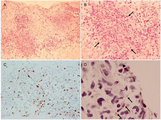
2. Case Presentation
3. Discussion
4. Conclusions
Author Contributions
Funding
Institutional Review Board Statement
Informed Consent Statement
Data Availability Statement
Acknowledgments
Conflicts of Interest
References
- Parola, P.; Paddock, C.D.; Socolovschi, C.; Labruna, M.B.; Mediannikov, O.; Kernif, T.; Abdad, M.Y.; Stenos, J.; Bitam, I.; Fournier, P.E.; et al. Update on tick-borne rickettsioses around the world: A geographic approach. Clin. Microbiol. Rev. 2013, 26, 657–702. [Google Scholar] [CrossRef] [PubMed]
- Alvarez-Hernandez, G.; Roldan, J.F.G.; Milan, N.S.H.; Lash, R.R.; Behravesh, C.B.; Paddock, C.D. Rocky Mountain spotted fever in Mexico: Past, present, and future. Lancet Infect. Dis. 2017, 17, e189–e196. [Google Scholar] [CrossRef] [PubMed]
- Paddock, C.D.; Finley, R.W.; Wright, C.S.; Robinson, H.N.; Schrodt, B.J.; Lane, C.C.; Ekenna, O.; Blass, M.A.; Tamminga, C.L.; Ohl, C.A.; et al. Rickettsia parkeri rickettsiosis and its clinical distinction from Rocky Mountain spotted fever. Clin. Infect. Dis. 2008, 47, 1188–1196. [Google Scholar] [CrossRef] [PubMed]
- Paddock, C.D.; Sumner, J.W.; Comer, J.A.; Zaki, S.R.; Goldsmith, C.S.; Goddard, J.; McLellan, S.L.; Tamminga, C.L.; Ohl, C.A. Rickettsia parkeri: A newly recognized cause of spotted fever rickettsiosis in the United States. Clin. Infect. Dis. 2004, 38, 805–811. [Google Scholar] [CrossRef]
- Silva-Ramos, C.R.; Hidalgo, M.; Faccini-Martinez, A.A. Clinical, epidemiological, and laboratory features of Rickettsia parkeri rickettsiosis: A systematic review. Ticks Tick Borne Dis. 2021, 12, 101734. [Google Scholar] [CrossRef]
- Davis, D.P.; Moschella, S.L. Neutrophilic Dermatoses. In Dermatology, 4th ed.; Bolognia, J.L., Schaffer, J.V., Cerroni, L., Eds.; Elsevier: Philadelphia, PA, USA, 2018; Volume 1, pp. 453–471. [Google Scholar]
- Rochet, N.M.; Chavan, R.N.; Cappel, M.A.; Wada, D.A.; Gibson, L.E. Sweet syndrome: Clinical presentation, associations, and response to treatment in 77 patients. J. Am. Acad. Dermatol. 2013, 69, 557–564. [Google Scholar] [CrossRef]
- Blanton, L.S.; Lea, A.S.; Kelly, B.C.; Walker, D.H. An unusual cutaneous manifestation in a patient with murine typhus. Am. J. Trop. Med. Hyg. 2015, 93, 1164–1167. [Google Scholar] [CrossRef]
- Gaines, D.N.; Operario, D.J.; Stroup, S.; Stromdahl, E.; Wright, C.; Gaff, H.; Broyhill, J.; Smith, J.; Norris, D.E.; Henning, T.; et al. Ehrlichia and spotted fever group rickettsiae surveillance in Amblyomma americanum in Virginia through use of a novel six-plex real-time PCR assay. Vector Borne Zoonotic Dis. 2014, 14, 307–316. [Google Scholar] [CrossRef]
- Sweet, R.D. An acute febrile neutrophilic dermatosis. Br. J. Dermatol. 1964, 76, 349–356. [Google Scholar] [CrossRef]
- von den Driesch, P.; Gomez, R.S.; Kiesewetter, F.; Hornstein, O.P. Sweet’s syndrome: Clinical spectrum and associated conditions. Cutis 1989, 44, 193–200. [Google Scholar]
- Orfaly, V.E.; Shakshouk, H.; Heath, M.; Hamilton, A.; Ortega-Loayza, A.G. Sweet syndrome: A review of published cases. Dermatology 2023, 239, 664–669. [Google Scholar] [CrossRef] [PubMed]
- Kawakami, T.; Ohashi, S.; Kawa, Y.; Takahama, H.; Ito, M.; Soma, Y.; Mizoguchi, M. Elevated serum granulocyte colony-stimulating factor levels in patients with active phase of Sweet syndrome and patients with active Behcet disease: Implication in neutrophil apoptosis dysfunction. Arch. Dermatol. 2004, 140, 570–574. [Google Scholar] [CrossRef] [PubMed]
- Tanaka, N.; Fujioka, A.; Tajima, S.; Ishibashi, A.; Hirose, S. Elafin is induced in epidermis in skin disorders with dermal neutrophilic infiltration: Interleukin-1 beta and tumour necrosis factor-alpha stimulate its secretion in vitro. Br. J. Dermatol. 2000, 143, 728–732. [Google Scholar] [CrossRef]
- Biggs, H.M.; Behravesh, C.B.; Bradley, K.K.; Dahlgren, F.S.; Drexler, N.A.; Dumler, J.S.; Folk, S.M.; Kato, C.Y.; Lash, R.R.; Levin, M.L.; et al. Diagnosis and management of tickborne rickettsial diseases: Rocky Mountain spotted fever and other spotted fever group rickettsioses, ehrlichioses, and anaplasmosis-United States. MMWR Recomm. Rep. 2016, 65, 1–44. [Google Scholar] [CrossRef] [PubMed]
- Paddock, C.D.; Karpathy, S.E.; Henry, A.; Ryle, L.; Hecht, J.A.; Hacker, J.K.; Padgett, K.A.; Kjemtrup, A.M.; Bullock, H.; Lane, R.S.; et al. Rickettsia rickettsii subsp. californica subsp. nov., the etiologic agent of Pacific Coast tick fever. J. Infect. Dis. 2024, 231, 849–858. [Google Scholar] [CrossRef]
- Blanton, L.S.; Walker, D.H. Flea-borne rickettsioses and rickettsiae. Am. J. Trop. Med. Hyg. 2017, 96, 53–56. [Google Scholar] [CrossRef]
- Paddock, C.D.; Zaki, S.R.; Koss, T.; Singleton, J., Jr.; Sumner, J.W.; Comer, J.A.; Eremeeva, M.E.; Dasch, G.A.; Cherry, B.; Childs, J.E. Rickettsialpox in New York City: A persistent urban zoonosis. Ann. N. Y. Acad. Sci. 2003, 990, 36–44. [Google Scholar] [CrossRef]
- Gillespie, J.J.; Williams, K.; Shukla, M.; Snyder, E.E.; Nordberg, E.K.; Ceraul, S.M.; Dharmanolla, C.; Rainey, D.; Soneja, J.; Shallom, J.M.; et al. Rickettsia phylogenomics: Unwinding the intricacies of obligate intracellular life. PLoS ONE 2008, 3, e2018. [Google Scholar] [CrossRef]
- Blanton, L.S. The rickettsioses: A practical update. Infect. Dis. Clin. N. Am. 2019, 33, 213–229. [Google Scholar] [CrossRef]
- Paris, D.H.; Dumler, J.S. State of the art of diagnosis of rickettsial diseases: The use of blood specimens for diagnosis of scrub typhus, spotted fever group rickettsiosis, and murine typhus. Curr. Opin. Infect. Dis. 2016, 29, 433–439. [Google Scholar] [CrossRef]
- Teel, P.D.; Ketchum, H.R.; Mock, D.E.; Wright, R.E.; Strey, O.F. The Gulf Coast tick: A review of the life history, ecology, distribution, and emergence as an arthropod of medical and veterinary importance. J. Med. Entomol. 2010, 47, 707–722. [Google Scholar] [CrossRef] [PubMed]
- Ramirez-Garofalo, J.R.; Curley, S.R.; Field, C.E.; Hart, C.E.; Thangamani, S. Established populations of Rickettsia parkeri-infected Amblyomma maculatum ticks in New York City, New York, USA. Vector Borne Zoonotic Dis. 2022, 22, 184–187. [Google Scholar] [CrossRef]
- Jensenius, M.; Han, P.V.; Schlagenhauf, P.; Schwartz, E.; Parola, P.; Castelli, F.; von Sonnenburg, F.; Loutan, L.; Leder, K.; Freedman, D.O. Acute and potentially life-threatening tropical diseases in western travelers—A GeoSentinel multicenter study, 1996–2011. Am. J. Trop. Med. Hyg. 2013, 88, 397–404. [Google Scholar] [CrossRef]
- Denison, A.M.; Amin, B.D.; Nicholson, W.L.; Paddock, C.D. Detection of Rickettsia rickettsii, Rickettsia parkeri, and Rickettsia akari in skin biopsy specimens using a multiplex real-time polymerase chain reaction assay. Clin. Infect. Dis. 2014, 59, 635–642. [Google Scholar] [CrossRef]
- Ruiz Beltran, R.; Herrero Herrero, J.I. Deleterious effect of trimethoprim-sulfamethoxazole in Mediterranean spotted fever. Antimicrob. Agents Chemother. 1992, 36, 1342–1343. [Google Scholar] [CrossRef] [PubMed]
- Ren, V.; Hsu, S. Why sulfonamides are contraindicated in Rocky Mountain spotted fever. Dermatol. Online J. 2014, 20, doj_21536. [Google Scholar] [CrossRef]
- Blanton, L.S.; Walker, D.H.; Bouyer, D.H. Rickettsia and Orientia. In Manual of Clinical Microbiology, 12th ed.; Carroll, K.C., Pfaller, M.A., Landry, M.L., McAdam, A.J., Patel, R., Richter, S.S., Warnock, D.W., Eds.; ASM Press: Washington, DC, USA, 2019; Volume 1, pp. 1149–1162. [Google Scholar]
- Cragun, W.C.; Bartlett, B.L.; Ellis, M.W.; Hoover, A.Z.; Tyring, S.K.; Mendoza, N.; Vento, T.J.; Nicholson, W.L.; Eremeeva, M.E.; Olano, J.P.; et al. The expanding spectrum of eschar-associated rickettsioses in the United States. Arch. Dermatol. 2010, 146, 641–648. [Google Scholar] [CrossRef] [PubMed]
- Lepidi, H.; Fournier, P.E.; Raoult, D. Histologic features and immunodetection of African tick-bite fever eschar. Emerg. Infect. Dis. 2006, 12, 1332–1337. [Google Scholar] [CrossRef]
- Vyas, N.S.; Shieh, W.J.; Phelps, R.G. Investigating the histopathological findings and immunolocalization of rickettsialpox infection in skin biopsies: A case series and review of the literature. J. Cutan. Pathol. 2020, 47, 451–458. [Google Scholar] [CrossRef]
- Fergie, B.; Basha, J.; McRae, M.; McCrossin, I. Queensland tick typhus in rural New South Wales. Australas. J. Dermatol. 2017, 58, 224–227. [Google Scholar] [CrossRef]

Disclaimer/Publisher’s Note: The statements, opinions and data contained in all publications are solely those of the individual author(s) and contributor(s) and not of MDPI and/or the editor(s). MDPI and/or the editor(s) disclaim responsibility for any injury to people or property resulting from any ideas, methods, instructions or products referred to in the content. |
© 2025 by the authors. Licensee MDPI, Basel, Switzerland. This article is an open access article distributed under the terms and conditions of the Creative Commons Attribution (CC BY) license (https://creativecommons.org/licenses/by/4.0/).
Share and Cite
Blanton, L.S.; Muir, S.E.; Mendell, N.L.; Walker, D.H. Rickettsia parkeri Rickettsiosis Resembling Sweet Syndrome: A Differential Diagnosis for Critical Discussion. Infect. Dis. Rep. 2025, 17, 45. https://doi.org/10.3390/idr17030045
Blanton LS, Muir SE, Mendell NL, Walker DH. Rickettsia parkeri Rickettsiosis Resembling Sweet Syndrome: A Differential Diagnosis for Critical Discussion. Infectious Disease Reports. 2025; 17(3):45. https://doi.org/10.3390/idr17030045
Chicago/Turabian StyleBlanton, Lucas S., Sarah E. Muir, Nicole L. Mendell, and David H. Walker. 2025. "Rickettsia parkeri Rickettsiosis Resembling Sweet Syndrome: A Differential Diagnosis for Critical Discussion" Infectious Disease Reports 17, no. 3: 45. https://doi.org/10.3390/idr17030045
APA StyleBlanton, L. S., Muir, S. E., Mendell, N. L., & Walker, D. H. (2025). Rickettsia parkeri Rickettsiosis Resembling Sweet Syndrome: A Differential Diagnosis for Critical Discussion. Infectious Disease Reports, 17(3), 45. https://doi.org/10.3390/idr17030045

