Warm Autoimmune Hemolytic Anemia and Pure Red Cell Aplasia during a Severe COVID-19 B.1.1.7 Infection
Abstract
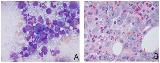
:1. Case Report
2. Discussion
3. Conclusions
Author Contributions
Funding
Institutional Review Board Statement
Informed Consent Statement
Data Availability Statement
Conflicts of Interest
References
- Tang, K.T.; Hsu, B.C.; Chen, D.Y. Autoimmune and Rheumatic Manifestations Associated With COVID-19 in Adults: An Updated Systematic Review. Front. Immunol. 2021, 12, 645013. [Google Scholar] [CrossRef] [PubMed]
- Taherifard, E.; Taherifard, E.; Movahed, H.; Mousavi, M.R. Hematologic autoimmune disorders in the course of COVID-19: A systematic review of reported cases. Hematology 2021, 26, 225–239. [Google Scholar] [CrossRef] [PubMed]
- Abouelkhair, M.A. Non-SARS-CoV-2 genome sequences identified in clinical samples from COVID-19 infected patients: Evidence for co-infections. PeerJ 2020, 8, e10246. [Google Scholar] [CrossRef] [PubMed]
- Ciuca, C.; Fabi, M.; Di Luca, D.; Niro, F.; Ghizzi, C.; Donti, A.; Balducci, A.; Rocca, A.; Zarbo, C.; Gargiulo, G.D.; et al. Myocarditis and coronary aneurysms in a child with acute respiratory syndrome coronavirus 2. ESC Heart Fail. 2021, 8, 761–765. [Google Scholar] [CrossRef] [PubMed]
- Balloy, G.; Magot, A.; Fayet, G.; Bonnemain, B.; Péréon, Y. COVID-19: A putative trigger for neuralgic amyotrophy. Rev. Neurol. 2022, 178, 157–158. [Google Scholar] [CrossRef] [PubMed]
- Patil, N.R.; Herc, E.S.; Girgis, M. Cold agglutinin disease and autoimmune hemolytic anemia with pulmonary embolism as a presentation of COVID-19 infection. Hematol. Oncol. Stem Cell Ther. 2020. [Google Scholar] [CrossRef] [PubMed]
- Lai, P.Y.; Vu, A.; Sarva, S.T.; Jayaraman, G.; Kesavan, R. Parvovirus Reactivation in COVID-19. Cureus 2021, 13, e17796. [Google Scholar] [CrossRef] [PubMed]
- Kanduc, D.; Shoenfeld, Y. Molecular mimicry between SARS-CoV-2 spike glycoprotein and mammalian proteomes: Implications for the vaccine. Immunol. Res. 2020, 68, 310–313. [Google Scholar] [CrossRef] [PubMed]
- Kanduc, D.; Shoenfeld, Y. On the molecular determinants of the SARS-CoV-2 attack. Clin. Immunol. 2020, 215, 108426. [Google Scholar] [CrossRef] [PubMed]
- Angileri, F.; Legare, S.; Marino Gammazza, A.; Conway de Macario, E.; Macario, A.J.L.; Cappello, F. Is molecular mimicry the culprit in the autoimmune haemolytic anaemia affecting patients with COVID-19? Br. J. Haematol. 2020, 190, e92–e93. [Google Scholar] [CrossRef] [PubMed]
- Barcellini, W.; Fattizzo, B.; Zaninoni, A.; Radice, T.; Nichele, I.; Di Bona, E.; Lunghi, M.; Tassinari, C.; Alfinito, F.; Ferrari, A.; et al. Clinical heterogeneity and predictors of outcome in primary autoimmune hemolytic anemia: A GIMEMA study of 308 patients. Blood 2014, 124, 2930–2936. [Google Scholar] [CrossRef] [PubMed]
- Brodsky, R.A. Warm Autoimmune Hemolytic Anemia. N. Engl. J. Med. 2019, 381, 647–654. [Google Scholar] [CrossRef] [PubMed]
- Barcellini, W.; Giannotta, J.A.; Fattizzo, B. Are Patients with Autoimmune Cytopenias at Higher Risk of COVID-19 Pneumonia? The Experience of a Reference Center in Northern Italy and Review of the Literature. Front. Immunol. 2020, 11, 609198. [Google Scholar] [CrossRef] [PubMed]
- Jäger, U.; Barcellini, W.; Broome, C.M.; Gertz, M.A.; Hill, A.; Hill, Q.A.; Jilma, B.; Kuter, D.J.; Michel, M.; Montillo, M.; et al. Diagnosis and treatment of autoimmune hemolytic anemia in adults: Recommendations from the First International Consensus Meeting. Blood Rev. 2020, 41, 100648. [Google Scholar] [CrossRef] [PubMed]
- Anderson, M.J.; Higgins, P.G.; Davis, L.R.; Willman, J.S.; Jones, S.E.; Kidd, I.M.; Pattison, J.R.; Tyrrell, D.A. Experimental parvoviral infection in humans. J. Infect. Dis. 1985, 152, 257–265. [Google Scholar] [CrossRef] [PubMed]


| Investigation (Units) | Result (Normal Range) |
|---|---|
| Hematology | |
| Hemoglobin (g/L) | 38 (135–175) |
| Mean corpuscular volume (MCV) (fL) | 98 (80–100) |
| Mean corpuscular hemoglobin concentration (MCHC) (g/L) | 322 (310–360) |
| Leukocytes (×109/L) | 15.8 (4.0–11.0) |
| Platelets (×109/L) | 549 (140–400) |
| General Chemistry | |
| Sodium (mmol/L) | 136 (135–145) |
| Potassium (mmol/L) | 3.4 (3.5–5.0) |
| Chloride (mmol/L) | 98 (98–112) |
| Bicarbonate (mmol/L) | 21 (20–32) |
| Anion gap (mmol/L) | 17 (5–10) |
| Creatinine (μmol/L) | 133 (50–120) |
| eGFR (mL/min/1.73 m2) | 62 (>59) |
| Urea (mmol/L) | 11.2 (3.0–8.0) |
| Osmolality (mmol/kg) | 304 (280–300) |
| Alanine aminotransferase (ALT) (U/L) | 133 (<60) |
| Aspartate aminotransferase (AST) (U/L) | 85 (<40) |
| Alkaline phosphatase (ALP) (U/L) | 58 (40–120) |
| Lipase (U/L) | 143 (0–60) |
| Albumin (g/L) | 33 (30–45) |
| Calcium (mmol/L) | 2.09 (2.10–2.60) |
| Magnesium (mmol/L) | 0.91 (0.70–1.00) |
| Glucose, random (mmol/L) | 11.2 (3.3–11.0) |
| C-reactive protein (CRP) (mg/L) | 117.9 (<8.0) |
| Thyroid stimulating hormone (TSH) (mU/L) | 2.14 (0.20–4.00) |
| Iron (μmol/L) | 45 (8–35) |
| Total iron binding capacity (TIBC) (μmol/L) | 58 (40–75) |
| Iron saturation index | 0.78 (0.12–0.60) |
| Ferritin (μg/L) | 2847 (30–500) |
| Vitamin B12 (pmol/L) | 378 (>110) |
| Folate (nmol/L) | 21.2 (>/=10) |
| Coagulation | |
| International normalized ratio (INR) | 1.3 (0.8–1.2) |
| Partial thromboplastin time (PTT) (s) | 25 (24–39) |
| Fibrinogen (g/L) | 7.9 (2.0–4.0) |
| Hemolytic Workup | |
| Total bilirubin (μmol/L) | 84 (<20) |
| Haptoglobin (g/L) | <0.10 (0.30–2.00) |
| Lactate dehydrogenase (LDH) (U/L) | 1093 (100–225) |
| Plasma hemoglobin (mg/L) | 57 (<50) |
| Reticulocyte absolute count (×109/L) | 13.5 (20–120) |
| Reticulocyte percentage (%) | 1.2 (0.4–2.0) |
| Direct antiglobulin test (DAT) | IgG and C3 Positive (Negative) |
| Cold agglutinin titre | Negative (Negative) |
| Peripheral blood smear | Critical anemia with spherocytes and auto agglutination consistent with immune mediated hemolytic anemia with possible cold reacting autoantibody |
| Urinalysis-Macroscopic | |
| Specific Gravity | 1.020 (1.005–1.030) |
| pH | 5.0 (5.0–8.0) |
| Protein (g/L) | ≥3.0 (Negative) |
| Blood (Ery/μL) | 300 (Negative) |
| Urine was negative for glucose, leukocytes, nitrites, and ketones | |
| Urinalysis-Microscopic | |
| WBC (/HPF) | 11–20 (0–5) |
| RBC (/HPF) | 0–2 (0–2) |
| Bacteria (/HPF) | 0–20 (0–20) |
| Autoimmune | Inflammatory bowel disease (IBD) |
| Rheumatoid arthritis | |
| Systemic sclerosis | |
| Systemic lupus erythematosus (SLE) | |
| Drugs | Antibiotics |
| Anti-malarials | |
| Anti-cancer agents | |
| Non-steroidal anti-inflammatory drugs (NSAIDS) | |
| Others | |
| Immunodeficiencies | Inherited immunodeficiencies (e.g., combined variable immunodeficiency (CVID)) |
| Hypogammaglobulinemia | |
| Post-hematologic stem cell transplant | |
| Post-solid organ transplant | |
| Infections | Epstein Barr virus (EBV) |
| Hepatitis C virus (HCV) | |
| Hepatitis E virus (HEV) | |
| Human immunodeficiency virus (HIV) | |
| Malignancies/Lymphoproliferative Disorders | Chronic lymphocytic leukemia (CLL) |
| Hodgkin/non-Hodgkin lymphoma | |
| Plasma cell dyscrasias | |
| Solid tumors | |
| Other | Babesiosis |
| Brown recluse spider bite | |
| Pregnancy | |
| Idiopathic |
Publisher’s Note: MDPI stays neutral with regard to jurisdictional claims in published maps and institutional affiliations. |
© 2022 by the authors. Licensee MDPI, Basel, Switzerland. This article is an open access article distributed under the terms and conditions of the Creative Commons Attribution (CC BY) license (https://creativecommons.org/licenses/by/4.0/).
Share and Cite
Ghimire, A.; Platnich, J.; Chauhan, U. Warm Autoimmune Hemolytic Anemia and Pure Red Cell Aplasia during a Severe COVID-19 B.1.1.7 Infection. Infect. Dis. Rep. 2022, 14, 413-419. https://doi.org/10.3390/idr14030044
Ghimire A, Platnich J, Chauhan U. Warm Autoimmune Hemolytic Anemia and Pure Red Cell Aplasia during a Severe COVID-19 B.1.1.7 Infection. Infectious Disease Reports. 2022; 14(3):413-419. https://doi.org/10.3390/idr14030044
Chicago/Turabian StyleGhimire, Anukul, Jaye Platnich, and Utkarsh Chauhan. 2022. "Warm Autoimmune Hemolytic Anemia and Pure Red Cell Aplasia during a Severe COVID-19 B.1.1.7 Infection" Infectious Disease Reports 14, no. 3: 413-419. https://doi.org/10.3390/idr14030044
APA StyleGhimire, A., Platnich, J., & Chauhan, U. (2022). Warm Autoimmune Hemolytic Anemia and Pure Red Cell Aplasia during a Severe COVID-19 B.1.1.7 Infection. Infectious Disease Reports, 14(3), 413-419. https://doi.org/10.3390/idr14030044

