Sign in to use this feature.

Years

Between: -

Subjects

remove_circle_outline
remove_circle_outline
remove_circle_outline

Journals

Article Types

Countries / Regions

Search Results (20)

Search Parameters:
Keywords = pure red cell aplasia

Order results
Result details
Results per page
Select all
Export citation of selected articles as:
6 pages, 526 KB  
Case Report
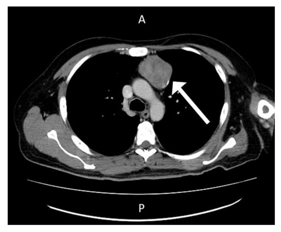
Fatal Early Toxicity After Allogeneic Stem Cell Transplantation in Heavily Pretreated Follicular Lymphoma: Clinical Decision-Making Between Bispecific Antibodies and CAR T-Cell Therapy
by Martina Canichella, Raffaella Cerretti, Monika Malgorzata Trawinska, Mariagiovanna Cefalo, Luca Cupelli, Carla Mazzone, Alessandra Checcoli, Alice Di Rocco, Paolo de Fabritiis and Elisabetta Abruzzese
Targets 2025, 3(4), 37; https://doi.org/10.3390/targets3040037 - 10 Dec 2025
Viewed by 328
Abstract
For patients with relapsed/refractory (R/R) follicular lymphoma (FL) after ≥2 prior lines of therapy, T-cell-redirecting therapies—including the bispecific CD3xCD20 antibody (BsAbs) mosunetuzumab (mosu) and chimeric antigen receptor T-cell (CAR-T) therapies such as axicabtagene ciloleucel (axi-cel), lisocabtagen maraleucel (liso-cel), and tisagenlecleucel (tisa-cel)—are approved by [...] Read more.
For patients with relapsed/refractory (R/R) follicular lymphoma (FL) after ≥2 prior lines of therapy, T-cell-redirecting therapies—including the bispecific CD3xCD20 antibody (BsAbs) mosunetuzumab (mosu) and chimeric antigen receptor T-cell (CAR-T) therapies such as axicabtagene ciloleucel (axi-cel), lisocabtagen maraleucel (liso-cel), and tisagenlecleucel (tisa-cel)—are approved by the FDA and EMA. Treatment selection should consider patient-related factors, prior therapeutic exposure, and toxicity profiles. We describe the 20-year history of a patient with R/R FL. At the fourth relapse, both BsAbs and CAR-T cells were available; however, due to the cumulative toxic burden and the high risk of cytopenias, mosu was selected as the preferred option. During mosu, the patient developed pure red cell aplasia unrelated to infections. Despite achieving a partial response after eight cycles of mosu, this complication led to the decision to proceed with allogeneic stem cell transplantation (allo-HSCT). The course was ultimately complicated by severe early toxicity with massive hemoptysis, acute respiratory failure, and hemorrhagic alveolitis, resulting in a fatal outcome. This case illustrates the delicate balance required in selecting between BsAbs and CAR-T therapy in R/R FL. Contributing factors to the patient’s fragility included profound immune status, transfusion-dependent red cell aplasia, prior cumulative chemotherapy, and pulmonary toxicity associated with conditioning regimens. The case underscores the importance of individualized treatment strategies and suggests that earlier integration of novel T-cell-redirecting therapies may mitigate cumulative toxicity and infection risk. Individualized therapeutic planning is critical in heavily pretreated R/R FL. In select cases, bridging strategies using BsAbs can provide disease control and facilitate transplantation. Still, careful assessment of patient fitness, marrow reserve, and cumulative toxicity is essential to minimize the risk of fatal complications. Full article
Show Figures

Figure 1

12 pages, 1562 KB  
Article
Intra-Host Evolution During Relapsing Parvovirus B19 Infection in Immunocompromised Patients
by Anne Russcher, Yassene Mohammed, Margriet E. M. Kraakman, Xavier Chow, Stijn T. Kok, Eric C. J. Claas, Manfred Wuhrer, Ann C. T. M. Vossen, Aloys C. M. Kroes and Jutte J. C. de Vries
Viruses 2025, 17(8), 1034; https://doi.org/10.3390/v17081034 - 23 Jul 2025
Viewed by 1203
Abstract
Background: Parvovirus B19 (B19V) can cause severe relapsing episodes of pure red cell aplasia in immunocompromised individuals, which are commonly treated with intravenous immunoglobulins (IVIGs). Few data are available on B19V intra-host evolution and the role of humoral immune selection. Here, we report [...] Read more.
Background: Parvovirus B19 (B19V) can cause severe relapsing episodes of pure red cell aplasia in immunocompromised individuals, which are commonly treated with intravenous immunoglobulins (IVIGs). Few data are available on B19V intra-host evolution and the role of humoral immune selection. Here, we report the dynamics of genomic mutations and subsequent protein changes during relapsing infection. Methods: Longitudinal plasma samples from immunocompromised patients with relapsing B19V infection in the period 2011–2019 were analyzed using whole-genome sequencing to evaluate intra-host evolution. The impact of mutations on the 3D viral protein structure was predicted by deep neural network modeling. Results: Of the three immunocompromised patients with relapsing infections for 3 to 9 months, one patient developed two consecutive nonsynonymous mutations in the VP1/2 region: T372S/T145S and Q422L/Q195L. The first mutation was detected in multiple B19V IgG-seropositive follow-up samples and resolved after IgG seroreversion. Computational prediction of the VP1 3D structure of this mutant showed a conformational change in the proximity of the antibody binding domain. No conformational changes were predicted for the other mutations detected. Discussion: Analysis of relapsing B19V infections showed mutational changes occurring over time. Resulting amino acid changes were predicted to lead to a conformational capsid protein change in an IgG-seropositive patient. The impact of humoral response and IVIG treatment on B19V infections should be further investigated to understand viral evolution and potential immune escape. Full article
(This article belongs to the Collection Parvoviridae)
Show Figures

Figure 1

5 pages, 397 KB  
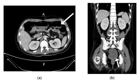
Case Report
Rapid Response with Daratumumab for Pure Red Cell Aplasia in a Case of Aplastic Anemia with Mixed Chimerism After ABO-Mismatched Stem Cell Transplant
by Martina Canichella, Luca Cupelli, Mariagiovanna Cefalo, Cinzia Sparapani, Antonella Matteocci, Giuseppe Ausoni, Paola Zambardi, Flavia Cantoni, Vanessa Velotta, Giovanna Suppo and Paolo de Fabritiis
Targets 2025, 3(2), 12; https://doi.org/10.3390/targets3020012 - 3 Apr 2025
Viewed by 1042
Abstract
Pure red cell aplasia (PRCA) following major ABO-mismatched allogeneic hematopoietic stem cell transplantation (HSCT) is a challenging complication, affecting 7–10% of patients and significantly impacts quality of life. Despite half of patients showing a resolution within three–six months after HSCT, PRCA might require [...] Read more.
Pure red cell aplasia (PRCA) following major ABO-mismatched allogeneic hematopoietic stem cell transplantation (HSCT) is a challenging complication, affecting 7–10% of patients and significantly impacts quality of life. Despite half of patients showing a resolution within three–six months after HSCT, PRCA might require treatment. Various therapeutic approaches have been investigated, including erythropoietin, plasmapheresis or immunomodulatory therapies (rituximab, bortezomib, corticosteroids, donor lymphocyte infusion (DLI), or the early tapering of immunosuppressive drugs), and TPO-mimetic agents, though responses have generally remained suboptimal. Recently, daratumumab has emerged as a promising, safe, and effective treatment for PRCA, documented by numerous case reports and series. We present a case of PRCA arising in a patient with mixed chimerism following a sibling HSCT for aplastic anemia (AA). In line with the literature, our findings highlight the effectiveness of daratumumab in PRCA from the first dose, although daratumumab administrations were delayed by the onset of infectious complications. Our case supports the earlier introduction of daratumumab in the treatment strategy of PRCA to avoid patient exposure to ineffective therapies that carry risks of increased immunosuppression and infections. Indeed, in our specific case, the early introduction of daratumumab may interrupt the immune hematologic mechanism underlying PRCA, which, in the context of mixed chimerism, could increase the risk of graft failure. Full article
Show Figures

Figure 1

10 pages, 235 KB  
Review
Immuno-Hematologic Complexity of ABO-Incompatible Allogeneic HSC Transplantation
by Antonella Matteocci and Luca Pierelli
Cells 2024, 13(10), 814; https://doi.org/10.3390/cells13100814 - 10 May 2024
Cited by 8 | Viewed by 5018
Abstract
ABO incompatibility is not considered a contraindication for hematopoietic stem cell transplantation (HSCT). Approximately 30% of transplants from related donors and up to 50% of transplants from unrelated donors are ABO incompatible. Immuno-hematologic investigations allow to estimate donor/recipient ABO mismatch and anti-A/B isohemagglutinin [...] Read more.
ABO incompatibility is not considered a contraindication for hematopoietic stem cell transplantation (HSCT). Approximately 30% of transplants from related donors and up to 50% of transplants from unrelated donors are ABO incompatible. Immuno-hematologic investigations allow to estimate donor/recipient ABO mismatch and anti-A/B isohemagglutinin (IHA) titration in the pre-HSCT phase. Immediate hemolysis or delayed complications (passenger lymphocyte syndrome and pure red cell aplasia) can occur post HSCT. Some preventive measures take into consideration either decision-making algorithms based on the recipient’s IHA titration or clinical protocols for the removal/reduction of IHAs through plasma exchange or immunoadsorption procedures. Product manipulation through red blood cell (RBC) and/or plasma depletion can also be taken into account. Currently, the best approach in the management of ABO-incompatible transplant is not defined in expert consensus documents or with solid evidence. In addition, the methods for IHA titration are not standardized. A transfusion strategy must consider both the donor’s and recipient’s blood group systems until the RBC engraftment catches on and ABO conversion (forward and reverse typing) is confirmed on two consecutive and independent samples. Therefore, ABO incompatibility in HSCT represents a demanding immuno-hematologic challenge and requires all necessary preventive measures, including the appropriate selection of ABO blood components for transfusion. Full article
9 pages, 1680 KB  
Case Report
A De Novo Frameshift Mutation in RPL5 with Classical Phenotype Abnormalities and Worsening Anemia Diagnosed in a Young Adult—A Case Report and Review of the Literature
by Moritz Dorenkamp, Naomi Porret, Miriam Diepold and Alicia Rovó
Medicina 2023, 59(11), 1953; https://doi.org/10.3390/medicina59111953 - 5 Nov 2023
Cited by 2 | Viewed by 2891
Abstract
Diamond–Blackfan anemia (DBA) is a congenital bone marrow failure syndrome associated with malformations. DBA is related to defective ribosome biogenesis, which impairs erythropoiesis, causing hyporegenerative macrocytic anemia. The disease has an autosomal dominant inheritance and is commonly diagnosed in the first year of [...] Read more.
Diamond–Blackfan anemia (DBA) is a congenital bone marrow failure syndrome associated with malformations. DBA is related to defective ribosome biogenesis, which impairs erythropoiesis, causing hyporegenerative macrocytic anemia. The disease has an autosomal dominant inheritance and is commonly diagnosed in the first year of life, requiring continuous treatment. We present the case of a young woman who, at the age of 21, developed severe symptomatic anemia. Although, due to malformations, a congenital syndrome had been suspected since birth, a confirmation diagnosis was not made until the patient was referred to our center for an evaluation of her anemia. In her neonatal medical history, she presented with anemia that required red blood cell transfusions, but afterwards remained with a stable, mild, asymptomatic anemia throughout her childhood and adolescence. Her family history was otherwise unremarkable. To explain the symptomatic anemia, vitamin deficiencies, autoimmune diseases, bleeding causes, and myeloid and lymphoid neoplasms were investigated and ruled out. A molecular investigation showed the RPL5 gene variant c.392dup, p.(Asn131Lysfs*6), confirming the diagnosis of DBA. All family members have normal blood values and none harbored the mutation. Here, we will discuss the unusual evolution of this case and revisit the literature. Full article
(This article belongs to the Section Hematology and Immunology)
Show Figures

Figure 1

13 pages, 313 KB  
Case Report
Insights from a Case of Good’s Syndrome (Immunodeficiency with Thymoma)
by Roberto Paganelli, Michela Di Lizia, Marika D’Urbano, Alessia Gatta, Alessia Paganelli, Paolo Amerio and Paola Parronchi
Biomedicines 2023, 11(6), 1605; https://doi.org/10.3390/biomedicines11061605 - 1 Jun 2023
Cited by 11 | Viewed by 4217
Abstract
Immunodeficiency with thymoma was described by R.A. Good in 1954 and is also named after him. The syndrome is characterized by hypogammaglobulinemia associated with thymoma and recurrent infections, bacterial but also viral, fungal and parasitic. Autoimmune diseases, mainly pure red cell aplasia, other [...] Read more.
Immunodeficiency with thymoma was described by R.A. Good in 1954 and is also named after him. The syndrome is characterized by hypogammaglobulinemia associated with thymoma and recurrent infections, bacterial but also viral, fungal and parasitic. Autoimmune diseases, mainly pure red cell aplasia, other hematological disorders and erosive lichen planus are a common finding. We describe here a typical case exhibiting all these clinical features and report a detailed immunophenotypic assessment, as well as the positivity for autoantibodies against three cytokines (IFN-alpha, IL-6 and GM-CSF), which may add to known immune abnormalities. A review of the published literature, based on case series and immunological studies, offers some hints on the still unsolved issues of this rare condition. Full article
23 pages, 7342 KB  
Article
Analysis of Immunophenotypic Changes during Ex Vivo Human Erythropoiesis and Its Application in the Study of Normal and Defective Erythropoiesis
by Shobhita Katiyar, Arunim Shah, Khaliqur Rahman, Naresh Kumar Tripathy, Rajesh Kashyap, Soniya Nityanand and Chandra Prakash Chaturvedi
Cells 2023, 12(9), 1303; https://doi.org/10.3390/cells12091303 - 2 May 2023
Cited by 3 | Viewed by 3625
Abstract
Erythropoiesis is a highly regulated process and undergoes several genotypic and phenotypic changes during differentiation. The phenotypic changes can be evaluated using a combination of cell surface markers expressed at different cellular stages of erythropoiesis using FACS. However, limited studies are available on [...] Read more.
Erythropoiesis is a highly regulated process and undergoes several genotypic and phenotypic changes during differentiation. The phenotypic changes can be evaluated using a combination of cell surface markers expressed at different cellular stages of erythropoiesis using FACS. However, limited studies are available on the in-depth phenotypic characterization of progenitors from human adult hematopoietic stem and progenitor cells (HSPCs) to red blood cells. Therefore, using a set of designed marker panels, in the current study we have kinetically characterized the hematopoietic, erythroid progenitors, and terminally differentiated erythroblasts ex vivo. Furthermore, the progenitor stages were explored for expression of CD117, CD31, CD41a, CD133, and CD45, along with known key markers CD36, CD71, CD105, and GPA. Additionally, we used these marker panels to study the stage-specific phenotypic changes regulated by the epigenetic regulator; Nuclear receptor binding SET Domain protein 1 (NSD1) during erythropoiesis and to study ineffective erythropoiesis in myelodysplastic syndrome (MDS) and pure red cell aplasia (PRCA) patients. Our immunophenotyping strategy can be used to sort and study erythroid-primed hematopoietic and erythroid precursors at specified time points and to study diseases resulting from erythroid dyspoiesis. Overall, the current study explores the in-depth kinetics of phenotypic changes occurring during human erythropoiesis and applies this strategy to study normal and defective erythropoiesis. Full article
(This article belongs to the Collection Advances in Red Blood Cells Research)
Show Figures

Figure 1

4 pages, 193 KB  
Case Report
Hepatitis C Infection Associated with Acquired Pure Red Cell Aplasia
by Destini Teague, Carmelo Gurnari, Hussein Awada, Jaroslaw P. Maciejewski, Ibrahim Ibrahim and Taha Bat
Trop. Med. Infect. Dis. 2023, 8(1), 8; https://doi.org/10.3390/tropicalmed8010008 - 22 Dec 2022
Cited by 1 | Viewed by 2896
Abstract
Acquired pure red cell aplasia is a rare bone marrow failure disorder characterized by many underlying etiologies. The hallmark bone marrow feature is the near absence of erythroid precursors that otherwise exhibit normal cellularity, which has been attributed to both immune- and cellular-mediated [...] Read more.
Acquired pure red cell aplasia is a rare bone marrow failure disorder characterized by many underlying etiologies. The hallmark bone marrow feature is the near absence of erythroid precursors that otherwise exhibit normal cellularity, which has been attributed to both immune- and cellular-mediated mechanisms. Besides being merely speculative and considering the rarity of the disorder, the description of acquired pure red cell aplasia clinical associations represents a unique occasion to improve our current clinical knowledge of the disease, reveal clues on its pathogenesis, and guide therapeutic decisions. The varied clinical scenarios and common acquired pure red cell aplasia associated conditions (i.e., thymoma, T cell/NK-cell large granular lymphocyte leukemia, B cell dyscrasia) suggest a heterogeneity of pathogenic routes. Viral etiologies must always be considered and worked up in the initial assessment of newly diagnosed acquired pure red cell aplasia patients. In this report, we present two cases of hepatitis-C-related acquired pure red cell aplasia and successful use of anti-viral strategies in the achievement of a complete response. Full article
(This article belongs to the Section Infectious Diseases)
10 pages, 432 KB  
Article
Immune Checkpoint Inhibitor-Related Cytopenias: About 68 Cases from the French Pharmacovigilance Database
by Mickaël Martin, Hoan-My Nguyen, Clément Beuvon, Johana Bene, Pascale Palassin, Marina Atzenhoffer, Franck Rouby, Marion Sassier, Marie-Christine Pérault-Pochat, Pascal Roblot, Marion Allouchery and Mathieu Puyade
Cancers 2022, 14(20), 5030; https://doi.org/10.3390/cancers14205030 - 14 Oct 2022
Cited by 12 | Viewed by 2679
Abstract
Immune checkpoint inhibitor (ICI)-related cytopenias have been poorly described. This study aimed to further characterize ICI-related cytopenias, using the French pharmacovigilance database. All grade ≥ 2 hematological adverse drug reactions involving at least one ICI coded as suspected or interacting drug according to [...] Read more.
Immune checkpoint inhibitor (ICI)-related cytopenias have been poorly described. This study aimed to further characterize ICI-related cytopenias, using the French pharmacovigilance database. All grade ≥ 2 hematological adverse drug reactions involving at least one ICI coded as suspected or interacting drug according to the World Health Organization criteria and reported up to 31 March 2022, were extracted from the French pharmacovigilance database. Patients were included if they experienced ICI-related grade ≥ 2 cytopenia. We included 68 patients (75 ICI-related cytopenias). Sixty-three percent were male, and the median age was 63.0 years. Seven patients (10.3%) had a previous history of autoimmune disease. Immune thrombocytopenia (ITP) and autoimmune hemolytic anemia (AIHA) were the most frequently reported (50.7% and 25.3%, respectively). The median time to onset of ICI-related cytopenias was 2 months. Nearly half were grade ≥ 4, and three patients died from bleeding complications of refractory ITP and from thromboembolic disease with active AIHA. Out of 61 evaluable responses, complete or partial remission was observed after conventional treatment in 72.1% of ICI-related cytopenias. Among the 10 patients with ICI resumption after grade ≥ 2 ICI-related cytopenia, three relapsed. ICI-related cytopenias are rare but potentially life-threatening. Further studies are needed to identify risk factors of ICI-related cytopenias. Full article
(This article belongs to the Section Cancer Immunology and Immunotherapy)
Show Figures

Graphical abstract

5 pages, 1209 KB  
Case Report
Efficacy of Eltrombopag in Children with Post-Stem Cell Transplant Prolonged Isolated Thrombocytopenia
by Megumi Matsumoto, Kazuki Terada, Taichiro Tsuchimochi, Satoko Takahashi, Yasushi Noguchi and Shunji Igarashi
Hematol. Rep. 2022, 14(3), 240-244; https://doi.org/10.3390/hematolrep14030033 - 1 Aug 2022
Cited by 2 | Viewed by 2866
Abstract
Prolonged isolated thrombocytopenia (PIT) is a complication following allogeneic hematopoietic cell transplantation that results in prolonged transfusion dependence. Recently, the efficacy of a thrombopoietin receptor agonist (eltrombopag) against PIT has been reported in adults; however, there are few reports in children. A 4-year-old [...] Read more.
Prolonged isolated thrombocytopenia (PIT) is a complication following allogeneic hematopoietic cell transplantation that results in prolonged transfusion dependence. Recently, the efficacy of a thrombopoietin receptor agonist (eltrombopag) against PIT has been reported in adults; however, there are few reports in children. A 4-year-old male pediatric patient diagnosed with congenital pure red cell aplasia underwent allogeneic hematopoietic cell transplantation. Neutrophil engraftment was observed on post-transplant Day 26; however, platelet counts remained <10 × 109/L. Transfusions were required 1–2 times a week for at least 4 months. On post-transplant Day 124, oral eltrombopag (up to 2.4 mg/kg/day) was initiated. Thereafter, the platelet counts were maintained at ≥10 × 109/L, and the patient became transfusion independent. At 2 years and 6 months after the oral administration, no chromosomal abnormalities, thromboembolism, or myelofibrosis was observed. Thus, eltrombopag can be a potential treatment option for pediatric PIT. Full article
Show Figures

Figure 1

7 pages, 917 KB  
Case Report
Warm Autoimmune Hemolytic Anemia and Pure Red Cell Aplasia during a Severe COVID-19 B.1.1.7 Infection
by Anukul Ghimire, Jaye Platnich and Utkarsh Chauhan
Infect. Dis. Rep. 2022, 14(3), 413-419; https://doi.org/10.3390/idr14030044 - 2 Jun 2022
Cited by 6 | Viewed by 3693
Abstract
Warm autoimmune hemolytic anemia (AIHA) is a rare complication of COVID-19 infection. We report a case of warm AIHA in a patient with COVID-19 pneumonia treated with methylprednisolone and several red blood cell transfusions. Despite treatment of the warm AIHA, the patient’s reticulocyte [...] Read more.
Warm autoimmune hemolytic anemia (AIHA) is a rare complication of COVID-19 infection. We report a case of warm AIHA in a patient with COVID-19 pneumonia treated with methylprednisolone and several red blood cell transfusions. Despite treatment of the warm AIHA, the patient’s reticulocyte count remained low, and his biochemical markers were suggestive of pure red cell aplasia, which was later attributed to a concurrent parvovirus B19 infection. This case highlights an unusual situation of two separate hematological processes caused by two separate and simultaneous viral infections. Full article
(This article belongs to the Special Issue Feature Papers in Infectious Diseases)
Show Figures

Figure 1

9 pages, 224 KB  
Review
Anti Thymocyte Globulin-Based Treatment for Acquired Bone Marrow Failure in Adults
by Jennifer M.-L. Tjon, Saskia M. C. Langemeijer and Constantijn J. M. Halkes
Cells 2021, 10(11), 2905; https://doi.org/10.3390/cells10112905 - 27 Oct 2021
Cited by 10 | Viewed by 4034
Abstract
Idiopathic acquired aplastic anemia can be successfully treated with Anti Thymocyte Globulin (ATG)-based immune suppressive therapy and is therefore considered a T cell-mediated auto immune disease. Based on this finding, several other forms of idiopathic acquired bone marrow failure are treated with ATG [...] Read more.
Idiopathic acquired aplastic anemia can be successfully treated with Anti Thymocyte Globulin (ATG)-based immune suppressive therapy and is therefore considered a T cell-mediated auto immune disease. Based on this finding, several other forms of idiopathic acquired bone marrow failure are treated with ATG as well. For this review, we extensively searched the present literature for evidence that ATG can lead to enduring remissions in different forms of acquired multi- or single-lineage bone marrow failure. We conclude that ATG-based therapy can lead to an enduring hematopoietic response and increased overall survival (OS) in patients with acquired aplastic aplasia. In patients with hypocellular myelodysplastic syndrome, ATG can lead to a hematological improvement without changing the OS. ATG seems less effective in acquired single-lineage failure diseases like Pure Red Cell Aplasia, Amegakaryocytic Thrombocytopenia and Pure White Cell Aplasia, suggesting a different pathogenesis in these bone marrow failure states compared to aplastic anemia. T cell depletion is hypothesized to play an important role in the beneficial effect of ATG but, as ATG is a mixture of polyclonal antibodies binding to different antigens, other anti-inflammatory or immunomodulatory effects could play a role as well. Full article
(This article belongs to the Special Issue The Impact of Immune Activation on Hematopoiesis)
8 pages, 2559 KB  
Case Report
Thymoma-Related Paraneoplastic Syndrome Mimicking Reactive Arthritis
by Chang-Hung Liao, Sin-Yi Lyu, Hsiang-Cheng Chen, Deh-Ming Chang and Chun-Chi Lu
Medicina 2021, 57(9), 932; https://doi.org/10.3390/medicina57090932 - 4 Sep 2021
Cited by 4 | Viewed by 3550
Abstract
Background and Objectives: Thymomas are associated with a high frequency of paraneoplastic manifestations. Paraneoplastic syndrome (PNS) with thymoma presents a challenge to clinicians because of the need to decipher the association between the presenting symptoms and the underlying tumor. The condition most [...] Read more.
Background and Objectives: Thymomas are associated with a high frequency of paraneoplastic manifestations. Paraneoplastic syndrome (PNS) with thymoma presents a challenge to clinicians because of the need to decipher the association between the presenting symptoms and the underlying tumor. The condition most commonly noted in patients with PNS with thymoma is myasthenia gravis. Other common autoimmune diseases that may present as PNS include systemic lupus erythematosus, pure red cell aplasia, and Good syndrome. Seventy-six percent of patients with PNS-associated thymoma experience resolution of PNS after curing thymoma. Materials and Methods: A 37-year-old man with a two-month fever accompanied by polyarthritis accidently found thymoma after contrast computed tomography scans of his chest. He accepted Video assisted thoracoscopic surgery with resection of thymoma. Results: Fever and polyarthritis resolved after operation but recurred in five days due to cytomegalovirus viremia, which might be predisposed by previous antibiotics treatment before the diagnosis of thymoma. Conclusion: Patients with a thymoma also have a high frequency of PNS, and the most frequent condition found in patients with PNS-associated thymoma is myasthenia gravis. Fever with polyarthritis has been rarely reported as a symptom of PNS-associated thymoma. Here we reported an unusual case of PNS mimicking reactive arthritis with thymoma, as diagnosed based on the patient’s clinical progression, imaging examination, and laboratory tests. The patient died of his comorbidities, and his death may have been related to long-term antibiotic use and consequent intestinal dysbiosis. This challenging case may help to inform clinicians of the need for detailed work-up of fever with unknown origin in the presence of chronic polyarthritis to prevent the overdiagnosis of inflammatory arthritis or rheumatic disease and avoid further comorbidities. Detailed work-up should include the patient’s history of infections, inflammation, and malignant or nonmalignant tumors. Full article
Show Figures

Figure 1

19 pages, 906 KB  
Review
Autoimmune Complications in Hematologic Neoplasms
by Wilma Barcellini, Juri Alessandro Giannotta and Bruno Fattizzo
Cancers 2021, 13(7), 1532; https://doi.org/10.3390/cancers13071532 - 26 Mar 2021
Cited by 55 | Viewed by 10470
Abstract
Autoimmune cytopenias (AICy) and autoimmune diseases (AID) can complicate both lymphoid and myeloid neoplasms, and often represent a diagnostic and therapeutic challenge. While autoimmune hemolytic anemia (AIHA) and immune thrombocytopenia (ITP) are well known, other rarer AICy (autoimmune neutropenia, aplastic anemia, and pure [...] Read more.
Autoimmune cytopenias (AICy) and autoimmune diseases (AID) can complicate both lymphoid and myeloid neoplasms, and often represent a diagnostic and therapeutic challenge. While autoimmune hemolytic anemia (AIHA) and immune thrombocytopenia (ITP) are well known, other rarer AICy (autoimmune neutropenia, aplastic anemia, and pure red cell aplasia) and AID (systemic lupus erythematosus, rheumatoid arthritis, vasculitis, thyroiditis, and others) are poorly recognized. This review analyses the available literature of the last 30 years regarding the occurrence of AICy/AID in different onco-hematologic conditions. The latter include chronic lymphocytic leukemia (CLL), lymphomas, multiple myeloma, myelodysplastic syndromes (MDS), chronic myelomonocytic leukemia (CMML), myeloproliferative neoplasms, and acute leukemias. On the whole, AICy are observed in up to 10% of CLL and with higher frequencies in certain subtypes of non-Hodgkin lymphoma, whilst they occur in less than 1% of low-risk MDS and CMML. AID are described in up to 30% of myeloid and lymphoid patients, including immune-mediated hemostatic disorders (acquired hemophilia, thrombotic thrombocytopenic purpura, and anti-phospholipid syndrome) that may be severe and fatal. Additionally, AICy/AID are found in about 10% of patients receiving hematopoietic stem cell transplant or treatment with new checkpoint inhibitors. Besides the diagnostic difficulties, these AICy/AID may complicate the clinical management of already immunocompromised patients. Full article
(This article belongs to the Special Issue Hematologic Malignancy)
Show Figures

Figure 1

18 pages, 2990 KB  
Article
Eltrombopag Improves Erythroid Differentiation in a Human Induced Pluripotent Stem Cell Model of Diamond Blackfan Anemia
by Husam Qanash, Yongqin Li, Richard H. Smith, Kaari Linask, Sara Young-Baird, Waleed Hakami, Keyvan Keyvanfar, John S. Choy, Jizhong Zou and Andre Larochelle
Cells 2021, 10(4), 734; https://doi.org/10.3390/cells10040734 - 26 Mar 2021
Cited by 13 | Viewed by 5829
Abstract
Diamond Blackfan Anemia (DBA) is a congenital macrocytic anemia associated with ribosomal protein haploinsufficiency. Ribosomal dysfunction delays globin synthesis, resulting in excess toxic free heme in erythroid progenitors, early differentiation arrest, and pure red cell aplasia. In this study, DBA induced pluripotent stem [...] Read more.
Diamond Blackfan Anemia (DBA) is a congenital macrocytic anemia associated with ribosomal protein haploinsufficiency. Ribosomal dysfunction delays globin synthesis, resulting in excess toxic free heme in erythroid progenitors, early differentiation arrest, and pure red cell aplasia. In this study, DBA induced pluripotent stem cell (iPSC) lines were generated from blood mononuclear cells of DBA patients with inactivating mutations in RPS19 and subjected to hematopoietic differentiation to model disease phenotypes. In vitro differentiated hematopoietic cells were used to investigate whether eltrombopag, an FDA-approved mimetic of thrombopoietin with robust intracellular iron chelating properties, could rescue erythropoiesis in DBA by restricting the labile iron pool (LIP) derived from excessive free heme. DBA iPSCs exhibited RPS19 haploinsufficiency, reduction in the 40S/60S ribosomal subunit ratio and early erythroid differentiation arrest in the absence of eltrombopag, compared to control isogenic iPSCs established by CRISPR/Cas9-mediated correction of the RPS19 point mutation. Notably, differentiation of DBA iPSCs in the presence of eltrombopag markedly improved erythroid maturation. Consistent with a molecular mechanism based on intracellular iron chelation, we observed that deferasirox, a clinically licensed iron chelator able to permeate into cells, also enhanced erythropoiesis in our DBA iPSC model. In contrast, erythroid maturation did not improve substantially in DBA iPSC differentiation cultures supplemented with deferoxamine, a clinically available iron chelator that poorly accesses LIP within cellular compartments. These findings identify eltrombopag as a promising new therapeutic to improve anemia in DBA. Full article
(This article belongs to the Special Issue iPS Cells (iPSCs) for Modelling and Treatment of Human Diseases)
Show Figures

Figure 1

Back to TopTop