The Impact of the Injected Mass of the Gastrin-Releasing Peptide Receptor Antagonist on Uptake in Breast Cancer: Lessons from a Phase I Trial of [99mTc]Tc-DB8
Abstract
1. Introduction
2. Materials and Methods
2.1. Patients
2.2. Radiopharmaceutical and Imaging Protocol
2.3. Statistics
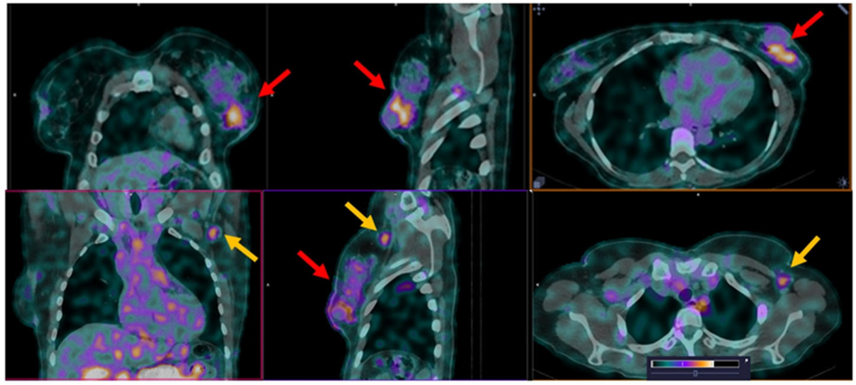
3. Results
Immunohistochemistry Evaluation
4. Discussion
Supplementary Materials
Author Contributions
Funding
Institutional Review Board Statement
Informed Consent Statement
Data Availability Statement
Conflicts of Interest
Abbreviations
| GRPR | gastrin-releasing peptide receptor |
| ER | estrogen receptor |
| SPECT | single photon emission computed tomography |
| PET | positron emission tomography |
| SUVmax | Maximum Standardized Uptake Value |
| IHC | immunohistochemistry |
| FES | 16α-[18F]fluoro-17β-estradiol |
| mRNA | messenger ribonucleic acid |
| CT | computed tomography |
| DAPI | 4′,6-diamidino-2-phenylindole |
References
- Jensen, R.T.; Battey, J.F.; Spindel, E.R.; Benya, R.V. International Union of Pharmacology. LXVIII. Mammalian Bombesin Receptors: Nomenclature, Distribution, Pharmacology, Signaling, and Functions in Normal and Disease States. Pharmacol. Rev. 2008, 60, 1–42. [Google Scholar] [CrossRef] [PubMed]
- Reubi, J.C.; Wenger, S.; Schmuckli-Maurer, J.; Schaer, J.C.; Gugger, M. Bombesin Receptor Subtypes in Human Cancers: Detection with the Universal Radioligand 125I-[D-Tyr6, beta-Ala11, Phe13, Nle14]Bombesin(6–14). Clin. Cancer Res. 2002, 8, 1139–1146. [Google Scholar] [PubMed]
- Maina, T.; Nock, B.; Mather, S. Targeting Prostate Cancer with Radiolabelled Bombesins. Cancer Imaging 2006, 6, 153–157. [Google Scholar] [CrossRef]
- Dalm, S.; Duan, H.; Iagaru, A. Gastrin Releasing Peptide Receptors-Targeted PET Diagnostics and Radionuclide Therapy for Prostate Cancer Management: Preclinical and Clinical Developments of the Past 5 Years. PET Clin. 2024, 19, 401–415. [Google Scholar] [CrossRef]
- D’Onofrio, A.; Engelbrecht, S.; Läppchen, T.; Rominger, A.; Gourni, E. GRPR-Targeting Radiotheranostics for Breast Cancer Management. Front. Med. 2023, 10, 1250799. [Google Scholar] [CrossRef]
- Reubi, C.; Gugger, M.; Waser, B. Co-Expressed Peptide Receptors in Breast Cancer as a Molecular Basis for In Vivo Multireceptor Tumour Targeting. Eur. J. Nucl. Med. Mol. Imaging 2002, 29, 855–862. [Google Scholar] [CrossRef]
- Morgat, C.; MacGrogan, G.; Brouste, V.; Vélasco, V.; Sévenet, N.; Bonnefoi, H.; Fernandez, P.; Debled, M.; Hindié, E. Expression of Gastrin-Releasing Peptide Receptor in Breast Cancer and Its Association with Pathologic, Biologic, and Clinical Parameters: A Study of 1,432 Primary Tumors. J. Nucl. Med. 2017, 58, 1401–1407. [Google Scholar] [CrossRef]
- Dalm, S.U.; Martens, J.W.; Sieuwerts, A.M.; van Deurzen, C.H.; Koelewijn, S.J.; de Blois, E.; Maina, T.; Nock, B.A.; Brunel, L.; Fehrentz, J.A.; et al. In Vitro and In Vivo Application of Radiolabeled Gastrin-Releasing Peptide Receptor Ligands in Breast Cancer. J. Nucl. Med. 2015, 56, 752–757. [Google Scholar] [CrossRef]
- Gugger, M.; Reubi, J.C. Gastrin-Releasing Peptide Receptors in Non-Neoplastic and Neoplastic Human Breast. Am. J. Pathol. 1999, 155, 2067–2076. [Google Scholar] [CrossRef]
- Halmos, G.; Wittliff, J.L.; Schally, A.V. Characterization of Bombesin/Gastrin-Releasing Peptide Receptors in Human Breast Cancer and Their Relationship to Steroid Receptor Expression. Cancer Res. 1995, 55, 280–287. [Google Scholar]
- Kurth, J.; Krause, B.J.; Schwarzenböck, S.M.; Bergner, C.; Hakenberg, O.W.; Heuschkel, M. First-in-Human Dosimetry of Gastrin-releasing Peptide Receptor Antagonist [177Lu]Lu-RM2: A Radiopharmaceutical for the Treatment of Metastatic Castration-Resistant Prostate Cancer. Eur. J. Nucl. Med. Mol. Imaging 2020, 47, 123–135. [Google Scholar] [CrossRef]
- Mansi, R.; Nock, B.A.; Dalm, S.U.; Busstra, M.B.; van Weerden, W.M.; Maina, T. Radiolabeled Bombesin Analogs. Cancers 2021, 13, 5766. [Google Scholar] [CrossRef]
- Harbeck, N.; Gnant, M. Breast Cancer. Lancet 2017, 389, 1134–1150. [Google Scholar] [CrossRef]
- Schrijver, W.A.M.E.; Suijkerbuijk, K.P.M.; van Gils, C.H.; van der Wall, E.; Moelans, C.B.; van Diest, P.J. Receptor Conversion in Distant Breast Cancer Metastases: A Systematic Review and Meta-analysis. J. Natl. Cancer Inst. 2018, 110, 568–580. [Google Scholar] [CrossRef]
- van Kruchten, M.; Glaudemans, A.W.J.M.; de Vries, E.F.J.; Hospers, G.A.P. PET Imaging of Estrogen Receptors as a Diagnostic Tool for Breast Cancer Patients Presenting with a Clinical Dilemma. J. Nucl. Med. 2012, 53, 182–190. [Google Scholar] [CrossRef]
- Boers, J.; Loudini, N.; Brunsch, C.L.; Koza, S.A.; de Vries, E.F.J.; Glaudemans, A.W.J.M.; Hospers, G.A.P.; Schröder, C.P. Value of 18F-FES PET in Solving Clinical Dilemmas in Breast Cancer Patients: A Retrospective Study. J. Nucl. Med. 2021, 62, 1214–1220. [Google Scholar] [CrossRef] [PubMed]
- Chae, S.Y.; Ahn, S.H.; Kim, S.B.; Han, S.; Lee, S.H.; Oh, S.J.; Lee, S.J.; Kim, H.J.; Ko, B.S.; Lee, J.W.; et al. Diagnostic Accuracy and Safety of 16α-[18F]fluoro-17β-oestradiol PET-CT for the Assessment of Estrogen Receptor Status in Recurrent or Metastatic Lesions in Patients with Breast Cancer: A Prospective Cohort Study. Lancet Oncol. 2019, 20, 546–555. [Google Scholar] [CrossRef] [PubMed]
- Hoe, A.L.; Royle, G.T.; Taylor, I. Breast Liver Metastases-Incidence, Diagnosis and Outcome. J. R. Soc. Med. 1991, 84, 714–716. [Google Scholar] [CrossRef] [PubMed]
- Dalm, S.U.; Sieuwerts, A.M.; Look, M.P.; Melis, M.; van Deurzen, C.H.; Foekens, J.A.; de Jong, M.; Martens, J.W.M. Clinical Relevance of Targeting the Gastrin-Releasing Peptide Receptor, Somatostatin Receptor 2, or Chemokine C-X-C Motif Receptor 4 in Breast Cancer for Imaging and Therapy. J. Nucl. Med. 2015, 56, 1487–1493. [Google Scholar] [CrossRef]
- Stoykow, C.; Erbes, T.; Maecke, H.R.; Bulla, S.; Bartholomä, M.; Mayer, S.; Drendel, V.; Bronsert, P.; Werner, M.; Gitsch, G.; et al. Gastrin-Releasing Peptide Receptor Imaging in Breast Cancer Using the Receptor Antagonist 68Ga-RM2 And PET. Theranostics 2016, 6, 1641–1650. [Google Scholar] [CrossRef]
- Michalski, K.; Stoykow, C.; Bronsert, P.; Juhasz-Böss, I.; Meyer, P.T.; Ruf, J.; Erbes, T.; Asberger, J. Association Between Gastrin-Releasing Peptide Receptor Expression as Assessed with [68Ga]Ga-RM2 PET/CT and Histopathological Tumor Regression after Neoadjuvant Chemotherapy in Primary Breast Cancer. Nucl. Med. Biol. 2020, 86–87, 37–43. [Google Scholar] [CrossRef]
- Michalski, K.; Kemna, L.; Asberger, J.; Grosu, A.L.; Meyer, P.T.; Ruf, J.; Sprave, T. Gastrin-Releasing Peptide Receptor Antagonist [68Ga]RM2 PET/CT for Staging of Pre-Treated, Metastasized Breast Cancer. Cancers 2021, 13, 6106. [Google Scholar] [CrossRef] [PubMed]
- Michalski, K.; Müller-Peltzer, K.; Juhasz-Böss, I.; Meyer, P.T.; Ruf, J.; Asberger, J. [68Ga]Ga-RM2 PET/CT Reveals Small Distant Metastases not Detected by Conventional Imaging in Primary Estrogen Receptor-positive Breast Cancer. Arch. Gynecol. Obstet. 2023, 308, 1397–1398. [Google Scholar] [CrossRef]
- Al-Ibraheem, A.; Abdlkadir, A.S.; Shi, H.; Abdel-Razeq, H.; Mansour, A. PET/CT Assessment of Estrogen Receptor Positivity for Breast Cancer using [68Ga]Ga-RM2 Bombesin Receptor Antagonist: A Systematic Review and Meta-Analysis. Semin. Nucl. Med. 2024, 54, 896–903. [Google Scholar] [CrossRef] [PubMed]
- Hricak, H.; Abdel-Wahab, M.; Atun, R.; Lette, M.M.; Paez, D.; Brink, J.A.; Donoso-Bach, L.; Frija, G.; Hierath, M.; Holmberg, O.; et al. Medical Imaging and Nuclear Medicine: A Lancet Oncology Commission. Lancet Oncol. 2021, 22, e136–e172. [Google Scholar] [CrossRef]
- Abiraj, K.; Mansi, R.; Tamma, M.L.; Fani, M.; Forrer, F.; Nicolas, G.; Cescato, R.; Reubi, J.C.; Maecke, H.R. Bombesin Antagonist-Based Radioligands for Translational Nuclear Imaging of Gastrin-Releasing Peptide Receptor-positive Tumors. J. Nucl. Med. 2011, 52, 1970–1978. [Google Scholar] [CrossRef]
- Nock, B.A.; Charalambidis, D.; Sallegger, W.; Waser, B.; Mansi, R.; Nicolas, G.P.; Ketani, E.; Nikolopoulou, A.; Fani, M.; Reubi, J.C.; et al. New Gastrin Releasing Peptide Receptor-Directed [99mTc]Demobesin 1 Mimics: Synthesis and Comparative Evaluation. J. Med. Chem. 2018, 61, 3138–3150. [Google Scholar] [CrossRef]
- Nock, B.A.; Kaloudi, A.; Kanellopoulos, P.; Janota, B.; Brominska, B.; Izycki, D.; Mikołajczak, R.; Czepczynski, R.; Maina, T. [99mTc]Tc-DB15 in GRPR-Targeted Tumor Imaging with SPECT: From Preclinical Evaluation to the First Clinical Outcomes. Cancers 2021, 13, 5093. [Google Scholar] [CrossRef]
- Makris, G.; Bandari, R.P.; Kuchuk, M.; Jurisson, S.S.; Smith, C.J.; Hennkens, H.M. Development and Preclinical Evaluation of 99mTc- and 186Re-Labeled NOTA and NODAGA Bioconjugates Demonstrating Matched Pair Targeting of GRPR-Expressing Tumors. Mol. Imaging Biol. 2021, 23, 52–61. [Google Scholar] [CrossRef]
- Abouzayed, A.; Rinne, S.S.; Sabahnoo, H.; Sörensen, J.; Chernov, V.; Tolmachev, V.; Orlova, A. Preclinical Evaluation of 99mTc-Labeled GRPR Antagonists maSSS/SES-PEG2-RM26 for Imaging of Prostate Cancer. Pharmaceutics 2021, 13, 182. [Google Scholar] [CrossRef]
- Günther, T.; Konrad, M.; Stopper, L.; Kunert, J.P.; Fischer, S.; Beck, R.; Casini, A.; Wester, H.J. Optimization of the Pharmacokinetic Profile of [99mTc]Tc-N4-Bombesin Derivatives by Modification of the Pharmacophoric Gln-Trp Sequence. Pharmaceuticals 2022, 15, 1133. [Google Scholar] [CrossRef]
- Chernov, V.; Rybina, A.; Zelchan, R.; Medvedeva, A.; Bragina, O.; Lushnikova, N.; Doroshenko, A.; Usynin, E.; Tashireva, L.; Vtorushin, S.; et al. Phase I Trial of [99mTc]Tc-maSSS-PEG2-RM26, a Bombesin Analogue Antagonistic to Gastrin-Releasing Peptide Receptors (GRPRs), for SPECT Imaging of GRPR Expression in Malignant Tumors. Cancers 2023, 15, 1631. [Google Scholar] [CrossRef]
- Sörensen, J.; Velikyan, I.; Sandberg, D.; Wennborg, A.; Feldwisch, J.; Tolmachev, V.; Orlova, A.; Sandström, M.; Lubberink, M.; Olofsson, H.; et al. Measuring HER2-Receptor Expression In Metastatic Breast Cancer Using [68Ga]ABY-025 Affibody PET/CT. Theranostics 2016, 6, 262–271. [Google Scholar] [CrossRef] [PubMed]
- Bragina, O.; von Witting, E.; Garousi, J.; Zelchan, R.; Sandström, M.; Orlova, A.; Medvedeva, A.; Doroshenko, A.; Vorobyeva, A.; Lindbo, S.; et al. Phase I Study of 99mTc-ADAPT6, a Scaffold Protein-Based Probe for Visualization of HER2 Expression in Breast Cancer. J. Nucl. Med. 2021, 62, 493–499. [Google Scholar] [CrossRef] [PubMed]
- Bragina, O.; Chernov, V.; Larkina, M.; Rybina, A.; Zelchan, R.; Garbukov, E.; Oroujeni, M.; Loftenius, A.; Orlova, A.; Sörensen, J.; et al. Phase I Clinical Evaluation of 99mTc-Labeled Affibody Molecule for Imaging HER2 Expression in Breast Cancer. Theranostics 2023, 13, 4858–4871. [Google Scholar] [CrossRef] [PubMed]
- Bragina, O.; Chernov, V.; Schulga, A.; Konovalova, E.; Garbukov, E.; Vorobyeva, A.; Orlova, A.; Tashireva, L.; Sörensen, J.; Zelchan, R.; et al. Phase I Trial of 99mTc-(HE)3-G3, a DARPin-Based Probe for Imaging of HER2 Expression in Breast Cancer. J. Nucl. Med. 2022, 63, 528–535. [Google Scholar] [CrossRef]
- Gnesin, S.; Cicone, F.; Mitsakis, P.; Van der Gucht, A.; Baechler, S.; Miralbell, R.; Garibotto, V.; Zilli, T.; Prior, J.O. First in-Human Radiation Dosimetry of the Gastrin-Releasing Peptide (GRP) Receptor Antagonist 68Ga-NODAGA-MJ9. EJNMMI Res. 2018, 8, 108. [Google Scholar] [CrossRef]
- Zang, J.; Mao, F.; Wang, H.; Zhang, J.; Liu, Q.; Peng, L.; Li, F.; Lang, L.; Chen, X.; Zhu, Z. 68Ga-NOTA-RM26 PET/CT in the Evaluation of Breast Cancer: A Pilot Prospective Study. Clin. Nucl. Med. 2018, 43, 663–669. [Google Scholar] [CrossRef]
- Zhang, J.; Niu, G.; Fan, X.; Lang, L.; Hou, G.; Chen, L.; Wu, H.; Zhu, Z.; Li, F.; Chen, X. PET Using a GRPR Antagonist 68Ga-RM26 in Healthy Volunteers and Prostate Cancer Patients. J. Nucl. Med. 2018, 59, 922–928. [Google Scholar] [CrossRef]
- Touijer, K.A.; Michaud, L.; Alvarez, H.A.V.; Gopalan, A.; Kossatz, S.; Gonen, M.; Beattie, B.; Sandler, I.; Lyaschenko, S.; Eastham, J.A.; et al. Prospective Study of the Radiolabeled GRPR Antagonist BAY86-7548 for Positron Emission Tomography/Computed Tomography Imaging of Newly Diagnosed Prostate Cancer. Eur. Urol. Oncol. 2019, 2, 166–173. [Google Scholar] [CrossRef]
- Gruber, L.; Jiménez-Franco, L.D.; Decristoforo, C.; Uprimny, C.; Glatting, G.; Hohenberger, P.; Schoenberg, S.O.; Reindl, W.; Orlandi, F.; Mariani, M.; et al. MITIGATE-NeoBOMB1, a Phase I/IIa Study to Evaluate Safety, Pharmacokinetics, and Preliminary Imaging of 68Ga-NeoBOMB1, a Gastrin-Releasing Peptide Receptor Antagonist, in GIST Patients. J. Nucl. Med. 2020, 61, 1749–1755. [Google Scholar] [CrossRef] [PubMed]
- Sabahi, Z.; Nguyen, A.; Wong, K.; Li, S.; Papa, N.; Lim, E.; Dear, R.F.; Menzies, A.M.; Boyle, F.; Antill, Y.; et al. Diagnostic Potential of 68Ga-NeoB PET/CT with Estrogen Receptor- and Progesterone Receptor-Positive Breast Cancer Undergoing Staging or Restaging for Metastatic Disease. J. Nucl. Med. 2025, 66, 700–706. [Google Scholar] [CrossRef] [PubMed]
- Kähkönen, E.; Jambor, I.; Kemppainen, J.; Lehtiö, K.; Grönroos, T.J.; Kuisma, A.; Luoto, P.; Sipilä, H.J.; Tolvanen, T.; Alanen, K.; et al. In Vivo Imaging of Prostate Cancer Using [68Ga]-Labeled Bombesin Analog BAY86-7548. Clin. Cancer Res. 2013, 19, 5434–5443. [Google Scholar] [CrossRef] [PubMed]
- Sandström, M.; Lindskog, K.; Velikyan, I.; Wennborg, A.; Feldwisch, J.; Sandberg, D.; Tolmachev, V.; Orlova, A.; Sörensen, J.; Carlsson, J.; et al. Biodistribution and Radiation Dosimetry of the Anti-HER2 Affibody Molecule 68Ga-ABY-025 in Breast Cancer Patients. J. Nucl. Med. 2016, 57, 867–881. [Google Scholar] [CrossRef]
- Van de Wiele, C.; Dumont, F.; Vanden Broecke, R.; Oosterlinck, W.; Cocquyt, V.; Serreyn, R.; Peers, S.; Thornback, J.; Slegers, G.; Dierckx, R.A. Technetium-99m RP527, a GRP Analogue for Visualization of GRP Receptor-Expressing Malignancies: A Feasibility Study. Eur. J. Nucl. Med. 2000, 27, 1694–1699. [Google Scholar] [CrossRef]
- Bodei, L.; Ferrari, M.; Nunn, A. 177Lu-AMBA Bombesin Analogue in Hormone Refractory Prostate Cancer Patients: A Phase I Escalation Study with Single-cycle Administrations. Eur. J. Nucl. Med. 2007, 34 (Suppl. S2), S221. [Google Scholar]
- Huang, B.; Law, M.W.; Khong, P.L. Whole-Body PET/CT Scanning: Estimation of Radiation Dose and Cancer Risk. Radiology 2009, 251, 166–174. [Google Scholar] [CrossRef]
- Quinn, B.; Dauer, Z.; Pandit-Taskar, N.; Schoder, H.; Dauer, L.T. Radiation Dosimetry of 18F-FDG PET/CT: Incorporating Exam-Specific Parameters in Dose Estimates. BMC Med. Imaging 2016, 16, 41. [Google Scholar] [CrossRef]
- Schuhmacher, J.; Zhang, H.; Doll, J.; Mäcke, H.R.; Matys, R.; Hauser, H.; Henze, M.; Haberkorn, U.; Eisenhut, M. GRP receptor-targeted PET of a rat pancreas carcinoma xenograft in nude mice with a 68Ga-labeled bombesin(6–14) analog. J. Nucl. Med. 2005, 46, 691–699. [Google Scholar]
- Varasteh, Z.; Velikyan, I.; Lindeberg, G.; Sörensen, J.; Larhed, M.; Sandström, M.; Selvaraju, R.K.; Malmberg, J.; Tolmachev, V.; Orlova, A. Synthesis and characterization of a high-affinity NOTA-conjugated bombesin antagonist for GRPR-targeted tumor imaging. Bioconjugate Chem. 2013, 24, 1144–1153. [Google Scholar] [CrossRef]
- Kooij, P.P.M.; Kwekkeboom, D.J.; Breeman, W.A.P.; Reijs, A.E.M.; vBakker, W.H.; Lamberts, S.W.J.; Visser, T.J.; Krenning, E.P. The Effects of Specific Activity on Tissue Distribution of [In-111-DTPA-D-Phe1]-Octreotide in Humans. J. Nucl. Med. 1994, 35, 226. [Google Scholar]
- Breeman, W.A.; Kwekkeboom, D.J.; Kooij, P.P.; Bakker, W.H.; Hofland, L.J.; Visser, T.J.; Ensing, G.J.; Lamberts, S.W.J.; Krenning, E.P. Effect of Dose and Specific Activity on Tissue Distribution of Indium-111-Pentetreotide in Rats. J. Nucl. Med. 1995, 36, 623–627. [Google Scholar]
- de Jong, M.; Breeman, W.A.; Bernard, B.F.; van Gameren, A.; de Bruin, E.; Bakker, W.H.; van der Pluijm, M.E.; Visser, T.J.; Mäcke, H.R.; Krenning, E.P. Tumour Uptake of the Radiolabelled Somatostatin Analogue [DOTA0, TYR3]Octreotide is Dependent on the Peptide Amount. Eur. J. Nucl. Med. 1999, 26, 693–698. [Google Scholar] [CrossRef]
- Velikyan, I.; Sundin, A.; Eriksson, B.; Lundqvist, H.; Sörensen, J.; Bergström, M.; Långström, B. In Vivo Binding of [68Ga]-DOTATOC to Somatostatin Receptors in Neuroendocrine Tumours-Impact of Peptide Mass. Nucl. Med. Biol. 2010, 37, 265–275. [Google Scholar] [CrossRef]
- Nicolas, G.P.; Schreiter, N.; Kaul, F.; Uiters, J.; Bouterfa, H.; Kaufmann, J.; Erlanger, T.E.; Cathomas, R.; Christ, E.; Fani, M.; et al. Sensitivity Comparison of 68Ga-OPS202 and 68Ga-DOTATOC PET/CT in Patients with Gastroenteropancreatic Neuroendocrine Tumors: A Prospective Phase II Imaging Study. J. Nucl. Med. 2018, 59, 915–921. [Google Scholar] [CrossRef] [PubMed]
















| Age | Body Weight (kg) | Injected Mass (µg) | Clinical Stage Before Imaging | ER/PR | HER2 | Ki67 | Primary Tumor Size US (mm) | Injected Activity (MBq) | |
|---|---|---|---|---|---|---|---|---|---|
| 1 | 61 | 70 | 40 | IIA (cT2cN0 cM0) | ER 8, PR 8 | IHC 1+ | 8% | 32 × 16 × 35 | 307 |
| 2 | 45 | 73.5 | 40 | IIA (cT2cN0 cM0) | ER 8, PR 7 | IHC 2+ FISH negative | 45% | 34 × 16 × 35 | 272 |
| 3 | 31 | 90.3 | 40 | IIB (cT2cN1 cM0), multicentric growth | ER 8, PR 5 | IHC 1+ | 25% | 42 × 20 × 40 | 310 |
| 4 | 34 | 78.6 | 40 | IIB (cT2cN1 cM0) | ER 8, PR 0 | IHC 0 | 25% | 28 × 20 × 33 | 298 |
| 5 | 56 | 64 | 40 | IIA (cT2cN0 cM0) | ER 8, PR 7 | IHC 0 | 15% | 22 × 10 × 16 | 481 |
| 6 | 50 | 78.5 | 80 | IIA (cT2cN0 cM0) | ER 8, PR 4 | IHC 0 | 18% | 24 × 17 × 25 | 410 |
| 7 | 57 | 74 | 80 | IIA (cT2cN0 cM0), multicentric growth | ER 8, PR 5 | IHC 1+ | 17% | 27 × 17 × 30 | 560 |
| 8 | 71 | 91 | 80 | IIA (cT2cN0 cM0) | ER 8, PR 7 | IHC 1+ | 10% | 21 × 14 × 14 | 465 |
| 9 | 54 | 74 | 80 | IIA (cT2cN0 cM0) | ER 6, PR 0 | IHC 1+ | 25–30% | 32 × 16 × 21 | 350 |
| 10 | 76 | 67 | 80 | IIA (cT2cN0 cM0) | ER 8, PR 6 | IHC 0 | 3% | 31 × 17 × 28 | 294 |
| 11 | 40 | 71 | 80 | IIA (cT cN0 cM0) | ER 0, PR 0 | IHC 0 | 5% | 45 × 27 × 40 | 341 |
| 12 | 68 | 91 | 80 | IIB (cT2cN1 cM0) | ER 0, PR 0 | IHC 0 | 40% | 29 × 17 × 25 | 227 |
| 13 | 42 | 63 | 80 | IIA (cT2cN0 cM0) | ER 0, PR 0 | IHC 1+ | 70% | 23 × 15 × 30 | 312 |
| 14 | 54 | 77 | 80 | IIA (cT2cN0 cM0) | ER 0, PR 0 | IHC 1+ | 45% | 25 × 16 × 23 | 324 |
| 15 | 41 | 44 | 120 | IIA (cT2cN0 cM0) | ER 8, PR 8 | IHC 1+ | 18% | 16 × 23 × 25 | 260 |
| 16 | 69 | 54 | 120 | IIA (cT2 N0 cM0) | ER 8, PR 7 | IHC 0 | 7% | 29 × 22 × 25 | 420 |
| 17 | 55 | 102 | 120 | IIA (cT2cN0 cM0) | ER 8, PR 6 | IHC 0 | 8% | 21 × 16 × 25 | 355 |
| 18 | 49 | 74 | 120 | IIA (cT2cN0 cM0) | ER 8, PR 7 | IHC 1+ | 1% | 27 × 19 × 30 | 367 |
| 19 | 50 | 72 | 120 | IIIC (cT2cN3 cM0) | ER 6, PR 8 | IHC 0 | 25% | 29 × 30 × 30 | 448 |
| 2 h | 4 h | 6 h | 24 h | |||||||||
|---|---|---|---|---|---|---|---|---|---|---|---|---|
| 40 μg | 80 μg | 120 μg | 40 μg | 80 μg | 120 μg | 40 μg | 80 μg | 120 μg | 40 μg | 80 μg | 120 μg | |
| Breast | 4.2 ± 1.1 | 6.2 ± 1.9 | 3.5 ± 1.1 | 2.4 ± 0.4 | 3.4 ± 1.7 | 2.0 ± 0.8 | 1.7 ± 0.3 | 2.7 ± 1.2 | 1.3 ± 0.5 | 0.7 ± 0.1 | 0.8 ± 0.4 | 0.6 ± 0.2 |
| Small Intestine | 4.2 ± 1.6 | 3.4 ± 1.1 | 3.3 ± 1.0 | 2.8 ± 1.1 | 2.2 ± 0.6 | 2.1 ± 0.7 | 2.1 ± 0.7 | 1.6 ± 0.6 | 1.8 ± 0.6 | 1.4 ± 0.3 | 0.7 ± 0.4 | 1.1 ± 0.4 |
| Kidney | 3.1 ± 1.9 | 5.1 ± 2.1 | 3.5 ± 1.6 | 2.1 ± 0.9 | 2.8 ± 0.9 | 2.2 ± 1.0 | 1.6 ± 0.5 | 2.2 ± 0.9 | 1.7 ± 0.8 | 0.9 ± 0.2 | 1.2 ± 0.8 | 1.1 ± 0.4 |
| Liver | 3.0 ± 1.6 | 3.3 ± 0.9 | 2.2 ± 0.9 | 2.1 ± 1.1 | 2.2 ± 0.8 | 1.5 ± 0.7 | 1.6 ± 0.8 | 1.4 ± 0.7 | 1.1 ± 0.5 | 0.8 ± 0.4 | 0.7 ± 0.3 | 0.5 ± 0.2 |
| Lungs | 3.8 ± 0.5 | 5.9 ± 1.6 | 3.5 ± 1.3 | 2.3 ± 0.3 | 4.1 ± 1.6 | 2.0 ± 1.0 | 1.6 ± 0.2 | 2.8 ± 1.2 | 1.6 ± 0.7 | 0.7 ± 0.1 | 0.9 ± 0.4 | 0.6 ± 0.2 |
| Pancreas | 1.5 ± 0.5 | 1.2 ± 0.3 | 0.8 ± 0.2 * | 0.9 ± 0.4 | 0.8 ± 0.3 | 0.5 ± 0.1 * | 0.7 ± 0.3 | 0.6 ± 0.3 | 0.34 ± 0.09 | 0.35 ± 0.09 | 0.2 ± 0.1 | 0.15 ± 0.06 |
| 40 µg | 80 µg | 120 µg | |
|---|---|---|---|
| Adrenals | 0.021 ± 0.003 | 0.025 ± 0.010 | 0.027 ± 0.007 |
| Brain | 0.0011 ± 0.0004 | 0.0012 ± 0.0004 | 0.0012 ± 0.0002 |
| Breasts | 0.009 ± 0.002 | 0.015 ± 0.009 | 0.007 ± 0.002 |
| Gallbladder wall | 0.007 ± 0.003 | 0.007 ± 0.003 | 0.006 ± 0.001 |
| Lower large intestine wall | 0.006 ± 0.002 | 0.007 ± 0.002 | 0.007 ± 0.002 |
| Small intestine wall | 0.007 ± 0.003 | 0.006 ± 0.003 | 0.007 ± 0.001 |
| Stomach wall | 0.006 ± 0.002 | 0.007 ± 0.003 | 0.005 ± 0.001 |
| Upper large intestine wall | 0.007 ± 0.003 | 0.007 ± 0.003 | 0.007 ± 0.001 |
| Heart | 0.004 ± 0.001 | 0.005 ± 0.002 | 0.0038 ± 0.0007 |
| Kidneys | 0.011 ± 0.005 | 0.014 ± 0.005 | 0.011 ± 0.004 |
| Liver | 0.004 ± 0.002 | 0.004 ± 0.001 | 0.004 ± 0.001 |
| Lungs | 0.005 ± 0.001 | 0.007 ± 0.002 | 0.005 ± 0.001 |
| Muscle | 0.0020 ± 0.0008 | 0.0022 ± 0.0007 | 0.0022 ± 0.0005 |
| Ovaries | 0.019 ± 0.005 | 0.022 ± 0.007 | 0.028 ± 0.009 |
| Pancreas | 0.016 ± 0.005 | 0.012 ± 0.004 | 0.009 ± 0.002 * |
| Red marrow | 0.003 ± 0.001 | 0.003 ± 0.001 | 0.0029 ± 0.0005 |
| Osteogenic cells | 0.006 ± 0.003 | 0.007 ± 0.003 | 0.006 ± 0.001 |
| Skin | 0.0014 ± 0.0007 | 0.0016 ± 0.0006 | 0.0017 ± 0.0004 |
| Spleen | 0.004 ± 0.001 | 0.005 ± 0.001 | 0.005 ± 0.001 |
| Thymus | 0.008 ± 0.001 | 0.010 ± 0.004 | 0.009 ± 0.002 |
| Thyroid | 0.017 ± 0.003 | 0.023 ± 0.007 | 0.018 ± 0.007 |
| Urinary bladder wall | 0.02 ± 0.01 | 0.02 ± 0.01 | 0.02 ± 0.01 |
| Uterus | 0.010 ± 0.002 | 0.009 ± 0.001 | 0.010 ± 0.003 |
| Effective Dose Equivalent (mSv/MBq) | 0.012 ± 0.001 | 0.015 ± 0.007 | 0.019 ± 0.006 |
| Effective Dose (mSv/MBq) | 0.009 ± 0.001 | 0.011 ± 0.004 | 0.014 ± 0.003 * |
Disclaimer/Publisher’s Note: The statements, opinions and data contained in all publications are solely those of the individual author(s) and contributor(s) and not of MDPI and/or the editor(s). MDPI and/or the editor(s) disclaim responsibility for any injury to people or property resulting from any ideas, methods, instructions or products referred to in the content. |
© 2025 by the authors. Licensee MDPI, Basel, Switzerland. This article is an open access article distributed under the terms and conditions of the Creative Commons Attribution (CC BY) license (https://creativecommons.org/licenses/by/4.0/).
Share and Cite
Bragina, O.; Chernov, V.; Larkina, M.; Varvashenya, R.; Zelchan, R.; Medvedeva, A.; Ivanova, A.; Tashireva, L.; Maina, T.; Nock, B.A.; et al. The Impact of the Injected Mass of the Gastrin-Releasing Peptide Receptor Antagonist on Uptake in Breast Cancer: Lessons from a Phase I Trial of [99mTc]Tc-DB8. Pharmaceutics 2025, 17, 1000. https://doi.org/10.3390/pharmaceutics17081000
Bragina O, Chernov V, Larkina M, Varvashenya R, Zelchan R, Medvedeva A, Ivanova A, Tashireva L, Maina T, Nock BA, et al. The Impact of the Injected Mass of the Gastrin-Releasing Peptide Receptor Antagonist on Uptake in Breast Cancer: Lessons from a Phase I Trial of [99mTc]Tc-DB8. Pharmaceutics. 2025; 17(8):1000. https://doi.org/10.3390/pharmaceutics17081000
Chicago/Turabian StyleBragina, Olga, Vladimir Chernov, Mariia Larkina, Ruslan Varvashenya, Roman Zelchan, Anna Medvedeva, Anastasiya Ivanova, Liubov Tashireva, Theodosia Maina, Berthold A. Nock, and et al. 2025. "The Impact of the Injected Mass of the Gastrin-Releasing Peptide Receptor Antagonist on Uptake in Breast Cancer: Lessons from a Phase I Trial of [99mTc]Tc-DB8" Pharmaceutics 17, no. 8: 1000. https://doi.org/10.3390/pharmaceutics17081000
APA StyleBragina, O., Chernov, V., Larkina, M., Varvashenya, R., Zelchan, R., Medvedeva, A., Ivanova, A., Tashireva, L., Maina, T., Nock, B. A., Kanellopoulos, P., Sörensen, J., Orlova, A., & Tolmachev, V. (2025). The Impact of the Injected Mass of the Gastrin-Releasing Peptide Receptor Antagonist on Uptake in Breast Cancer: Lessons from a Phase I Trial of [99mTc]Tc-DB8. Pharmaceutics, 17(8), 1000. https://doi.org/10.3390/pharmaceutics17081000

