Stable Gastric Pentadecapeptide BPC 157 as Therapy After Surgical Detachment of the Quadriceps Muscle from Its Attachments for Muscle-to-Bone Reattachment in Rats
Abstract
1. Introduction
2. Materials and Methods
2.1. Animals
2.2. Surgery
2.3. Drugs
2.4. Experimental Protocol
2.5. Biomechanical and Functional Tests
2.5.1. Walking Recovery Index (WRI)
2.5.2. Motor Function Index (MFI)
2.5.3. Contracture Assessment
2.5.4. Ultrasonic Imaging and Measurements
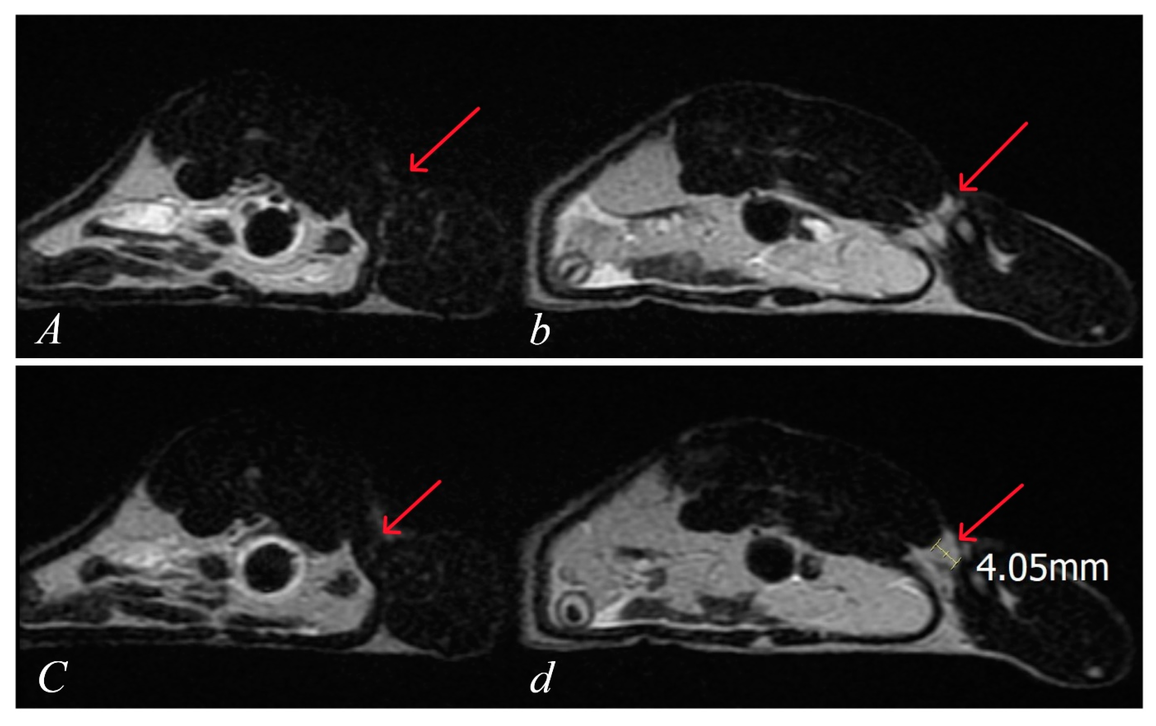
2.5.5. MRI Imaging and Measurements
2.6. Macroscopic Assessment
2.6.1. Hypotrophy of the Thigh Musculature–Recovery of Muscle Diameter
2.6.2. Gap Assessment
2.7. Microscopic Assessment
2.8. Statistical Analysis
3. Results
3.1. Walking
3.2. Contracture
3.3. Motor Function Index (MFI)
3.4. Hypotrophy of the Thigh Musculature: Recovery of Muscle Diameter
3.5. Gap
3.6. Microscopy
3.6.1. HE Assessment
Early Period, Day 1
Early Period, Day 2
Early Period, Day 3 to Day 7
Later Period, Period Until Post-Operative Day 21
Later Period, Final Post-Operative Month Periods
3.6.2. Analysis of the Injured Area with Special Histochemical Sirius Red Staining
3.6.3. Quadriceps Tendon
4. Discussion
Author Contributions
Funding
Institutional Review Board Statement
Data Availability Statement
Conflicts of Interest
References
- Schleifenbaum, S.; Schmidt, M.; Möbius, R.; Wolfskämpf, T.; Schröder, C.; Grunert, R.; Hammer, N.; Prietzel, T. Load and failure behavior of human muscle samples in the context of proximal femur replacement. BMC Musculoskelet. Disord. 2016, 17, 149. [Google Scholar] [CrossRef]
- Coombs, C.J.; O’Sullivan, M.; Theile, R.; Tan, S.C. Method of quadriceps attachment following upper tibial resection. Microsurgery 2006, 26, 106–110. [Google Scholar] [CrossRef] [PubMed]
- Bai, S.; Yu, Y.; Zhang, W.B.; Mao, Y.Q.; Wang, Y.; Mao, C.; Peng, X. Three-dimensional attachment morphometry and volumetric changes of masticatory muscles after free fibular flap reconstruction of the mandibular condyle. Craniomaxillofac. Surg. 2022, 50, 19–25. [Google Scholar] [CrossRef]
- Zebovitz, E. Total temporomandibular joint prosthetic reconstruction: The importance of pterygoid muscle reattachment to lateral excursive and protrusive mandibular movement. J. Oral Maxillofac. Surg. 2021, 79, 1191–1194.e1. [Google Scholar] [CrossRef]
- Ding, R.; Hua, J.; Qin, H.; He, D. Biomechanical analysis of a temporomandibular joint prosthesis for lateral pterygoid muscle reattachment. Oral Surg. Oral Med. Oral Pathol. Oral Radiol. 2022, 134, e245–e255. [Google Scholar] [CrossRef]
- De Meurechy, N.; Verwilghen, D.; De Brucker, Y.; Van Thielen, B.; Mommaerts, M.Y. Lateral pterygoid muscle enthesis reconstruction in total temporomandibular joint replacement: An animal experiment with radiological correlation. J. Craniomaxillofac. Surg. 2021, 49, 256–268. [Google Scholar] [CrossRef]
- Chaushu, G.; Blinder, D.; Taicher, S.; Chaushu, S. The effect of precise reattachment of the mentalis muscle on the soft tissue response to genioplasty. J. Oral Maxillofac. Surg. 2001, 59, 510–516. [Google Scholar] [CrossRef] [PubMed]
- Filinte, G.T.; Hicdonmez, T.; Cicek, C.; Cuce, B.; Aydin, S.O. Reattachment of the temporalis muscle after frontoorbital advancement in craniosynostosis surgery. Turk. Neurosurg. 2021, 31, 472–478. [Google Scholar] [CrossRef]
- Mavrogenis, A.F.; Angelini, A.; Pala, E.; Sakellariou, V.I.; Ruggieri, P.; Papagelopoulos, P.J. Reconstruction of the extensor mechanism after major knee resection. Orthopedics 2012, 35, e672–e680. [Google Scholar] [CrossRef][Green Version]
- Wang, K.; Cole, S.; White, D.C.; Armstrong, M.S. Vastus lateralis transfer for severe hip abductor deficiency: A salvage procedure. Hip. Int. 2014, 24, 180–186. [Google Scholar] [CrossRef] [PubMed]
- Sikiric:, P.; Udovicic, M.; Barisic, I.; Balenovic, D.; Zivanovic Posilovic, G.; Strinic, D.; Uzun, S.; Sikiric, S.; Krezic, I.; Zizek, H.; et al. Stable gastric pentadecapeptide BPC 157 as useful cytoprotective therapy in the heart disturbances, myocardial infarction, heart failure, pulmonary hypertension, arrhythmias, and thrombosis presentation. Biomedicines 2022, 10, 2696. [Google Scholar] [CrossRef] [PubMed]
- Staresinic, M.; Japjec, M.; Vranes, H.; Prtoric, A.; Zizek, H.; Krezic, I.; Gojkovic, S.; Smoday, I.M.; Oroz, K.; Staresinic, E.; et al. Stable gastric pentadecapeptide BPC 157 and striated, smooth, and heart muscle. Biomedicines 2022, 10, 3221. [Google Scholar] [CrossRef] [PubMed]
- Japjec, M.; Horvat Pavlov, K.; Petrovic, A.; Staresinic, M.; Sebecic, B.; Buljan, M.; Vranes, H.; Giljanovic, A.; Drmic, D.; Japjec, M.; et al. Stable gastric pentadecapeptide BPC 157 as a therapy for the disable myotendinous junctions in rats. Biomedicines 2021, 9, 1547. [Google Scholar] [CrossRef]
- Seiwerth, S.; Rucman, R.; Turkovic, B.; Sever, M.; Klicek, R.; Radic, B.; Drmic, D.; Stupnisek, M.; Misic, M.; Vuletic, L.B.; et al. BPC 157 and standard angiogenic growth factors. Gastrointestinal tract healing, lessons from tendon, ligament, muscle and bone healing. Curr. Pharm. Des. 2018, 24, 1972–1989. [Google Scholar] [CrossRef]
- Buvinic, S.; Balanta-Melo, J.; Kupczik, K.; Vasquez, W.; Beato, C.; Toro-Ibacache, V. Muscle-bone crosstalk in the masticatory system: From biomechanical to molecular interactions. Front. Endocrinol. 2021, 11, 606947. [Google Scholar] [CrossRef] [PubMed]
- Kirk, B.; Feehan, J.; Lombardi, G.; Duque, G. Muscle, bone and fat crosstalk: The biological role of myokines, osteokines and adipokines. Curr. Osteoporos. Rep. 2020, 18, 388–400. [Google Scholar] [CrossRef]
- Lu, W.; Xiao, W.; Xie, W.; Fu, X.; Pan, L.; Jin, H.; Yu, Y.; Zhang, Y.; Li, Y. The role of osteokines in sarcopenia: Therapeutic directions and application prospects. Front. Cell Dev. Biol. 2021, 9, 735374. [Google Scholar] [CrossRef] [PubMed]
- Chierici, G.; Miller, A.J. Experimental study of muscle reattachment following surgical detachment. J. Oral Maxtllofac. Surg. 1984, 42, 485–490. [Google Scholar] [CrossRef]
- Chierici, G.; Harvold, E.P.; Dawson, W.J. Morphologic adaptations secondary to the production of experimental cleft palate in primates. Cleft Palate J. 1970, 7, 59–67. [Google Scholar]
- Chierici, G.; Harvold, E.P.; Vargervik, K. Morphogenetic experiments in facial asymmetry: The nasal cavity. Am. J. Phys. Anthropol. 1973, 38, 291–299. [Google Scholar] [CrossRef]
- Harvold, E.P.; Tomer, B.S.; Vargervik, K.; Chierici, G. Primate experiments on oral respiration. Am. J. Orthod. 1981, 79, 359–372. [Google Scholar] [CrossRef] [PubMed]
- Miller, A.J.; Vargervik, K.; Chierici, G. Sequential neuromuscular changes in rhesus monkeys during the initial adaptation to oral respiration. Am. J. Orthod. 1982, 81, 99–107. [Google Scholar] [CrossRef] [PubMed]
- Waligora, A.C.; Johanson, N.A.; Hirsch, B.E. Clinical anatomy of the quadriceps femoris and extensor apparatus of the knee. Clin. Orthop. Relat. Res. 2009, 467, 3297–3306. [Google Scholar] [CrossRef]
- Sikiric, P.; Sever, M.; Krezic, I.; Vranes, H.; Kalogjera, L.; Smoday, I.M.; Vukovic, V.; Oroz, K.; Coric, L.; Skoro, M.; et al. New studies with stable gastric pentadecapeptide protecting gastrointestinal tract. Significance of counteraction of vascular and multiorgan failure of occlusion/occlusion-like syndrome in cytoprotection/organoprotection. Inflammopharmacology 2024, 32, 3119–3161. [Google Scholar] [CrossRef]
- Seiwerth, S.; Milavic, M.; Vukojevic, J.; Gojkovic, S.; Krezic, I.; Vuletic, L.B.; Horvat Pavlov, K.; Petrovic, A.; Sikiric, S.; Vranes, H.; et al. Stable gastric pentadecapeptide BPC 157 and wound healing. Front. Pharmacol. 2021, 12, 627533. [Google Scholar] [CrossRef]
- Stambolija, V.; Stambolija, T.P.; Holjevac, J.K.; Murselovic, T.; Radonic, J.; Duzel, V.; Duplancic, B.; Uzun, S.; Zivanovic Posilovic, G.; Kolenc, D.; et al. BPC 157: The counteraction of succinylcholine, hyperkalemia, and arrhythmias. Eur. J. Pharmacol. 2016, 781, 83–91. [Google Scholar] [CrossRef] [PubMed]
- Krivic, A.; Anic, T.; Seiwerth, S.; Huljev, D.; Sikiric, P. Achilles detachment in rat and stable gastric pentadecapeptide BPC 157: Promoted tendon-to-bone healing and opposed corticosteroid aggravation. J. Orthop. Res. 2006, 24, 982–989. [Google Scholar] [CrossRef]
- Krivic, A.; Majerovic, M.; Jelic, I.; Seiwerth, S.; Sikiric, P. Modulation of early functional recovery of Achilles tendon to bone unit after transection by BPC 157 and methylprednisolone. Inflamm. Res. 2008, 57, 205–210. [Google Scholar] [CrossRef] [PubMed]
- Sikiric, P.; Buljan, M.; Vnuk, D.; Krstonijevic, Z.; Sever, M.; Lojo, N.; Drmic, D.; Zenko Sever, A.; Baric, M.; Starcevic, N.; et al. Effect of pentadecapeptide BPC 157 on rotator cuff tear injury in rat. FASEB J. 2014, 28, 844.9. [Google Scholar] [CrossRef]
- Staresinic, M.; Petrovic, I.; Novinscak, T.; Jukic, I.; Pevec, D.; Suknaic, S.; Kokic, N.; Batelja, L.; Brcic, L.; Boban Blagaic, A.; et al. Effective therapy of transected quadriceps muscle in rat: Gastric pentadecapeptide BPC 157. J. Orthop. Res. 2006, 24, 1109–1117. [Google Scholar] [CrossRef] [PubMed]
- Novinscak, T.; Brcic, L.; Staresinic, M.; Jukic, I.; Radic, B.; Pevec, D.; Mise, S.; Tomasovic, S.; Brcic, I.; Banic, T.; et al. Gastric pentadecapeptide BPC 157 as an effective therapy for muscle crush injury in the rat. Surg. Today 2008, 38, 716–725. [Google Scholar] [CrossRef] [PubMed]
- Pevec, D.; Novinscak, T.; Brcic, L.; Sipos, K.; Jukic, I.; Staresinic, M.; Mise, S.; Brcic, I.; Kolenc, D.; Klicek, R.; et al. Impact of pentadecapeptide BPC 157 on muscle healing impaired by systemic corticosteroid application. Med. Sci. Monit. 2010, 16, 81–88. [Google Scholar]
- Mihovil, I.; Radic, B.; Brcic, L.; Brcic, I.; Vukoja, I.; Ilic, S.; Boban Blagaic, A.; Seiwerth, S.; Sikiric, P. Beneficial effect of pentadecapeptide BPC 157 on denervated muscle in rats. J. Physiol. Pharmacol. 2009, 60, 69. [Google Scholar]
- Brcic, L.; Brcic, I.; Staresinic, M.; Novinscak, T.; Sikiric, P.; Seiwerth, S. Modulatory effect of gastric pentadecapeptide BPC 157 on angiogenesis in muscle and tendon healing. J. Physiol. Pharmacol. 2009, 60, 191–196. [Google Scholar]
- Staresinic, M.; Sebecic, B.; Patrlj, L.; Jadrijevic, S.; Suknaic, S.; Perovic, D.; Aralica, G.; Zarkovic, N.; Borovic, S.; Srdjak, M.; et al. Gastric pentadecapeptide BPC 157 accelerates healing of transected rat Achilles tendon and in vitro stimulates tendocytes growth. J. Orthop. Res. 2003, 21, 976–983. [Google Scholar] [CrossRef] [PubMed]
- Chang, C.H.; Tsai, W.C.; Lin, M.S.; Hsu, Y.H.; Pang, J.H.S. The promoting effect of pentadecapeptide BPC 157 on tendon healing involves tendon outgrowth, cell survival, and cell migration. J. Appl. Physiol. 2011, 110, 774–780. [Google Scholar] [CrossRef] [PubMed]
- Chang, C.H.; Tsai, W.C.; Hsu, Y.H.; Pang, J.H.S. Pentadecapeptide BPC 157 enhances the growth hormone receptor expression in tendon fibroblasts. Molecules 2014, 19, 19066–19077. [Google Scholar] [CrossRef]
- Cerovecki, T.; Bojanic, I.; Brcic, L.; Radic, B.; Vukoja, I.; Seiwerth, S.; Sikiric, P. Pentadecapeptide BPC 157 (PL 14736) improves ligament healing in the rat. J. Orthop. Res. 2010, 28, 1155–1161. [Google Scholar] [CrossRef]
- Sebecic, B.; Nikolic, V.; Sikiric, P.; Seiwerth, S.; Sosa, T.; Patrlj, L.; Grabarevic, Z.; Rucman, R.; Petek, M.; Konjevoda, P.; et al. Osteogenic effect of a gastric pentadecapeptide BPC 157, on the healing of segmental bone defect in rabbits. A comparison with bone marrow and autologous cortical bone implantation. Bone 1999, 24, 195–202. [Google Scholar] [CrossRef] [PubMed]
- Keremi, B.; Lohinai, Z.; Komora, P.; Duhaj, S.; Borsi, K.; Jobbagy-Ovari, G.; Kallo, K.; Szekely, A.D.; Fazekas, A.; Dobo-Nagy, C.; et al. Antiinflammatory effect of BPC 157 on experimental periodontitis in rats. J. Physiol. Pharmacol. 2009, 60 (Suppl. S7), 115–122. [Google Scholar]
- Gamulin, O.; Serec, K.; Bilic, V.; Balarin, M.; Kosovic, M.; Drmic, D.; Brcic, L.; Seiwerth, S.; Sikiric, P. Monitoring the healing process of rat bones using Raman spectroscopy. J. Mol. Struct. 2013, 1044, 303–313. [Google Scholar] [CrossRef]
- Yoshimoto, Y.; Oishi, Y. Mechanisms of skeletal muscle-tendon development and regeneration/healing as potential therapeutic targets. Pharmacol. Ther. 2023, 243, 108357. [Google Scholar] [CrossRef] [PubMed]
- Hsieh, M.J.; Lee, C.H.; Chueh, H.Y.; Chang, G.J.; Huang, H.Y.; Lin, Y.; Pang, J.S. Modulatory effects of BPC 157 on vasomotor tone and the activation of Src-Caveolin-1-endothelial nitric oxide synthase pathway. Sci. Rep. 2020, 10, 17078. [Google Scholar] [CrossRef] [PubMed]
- Hsieh, M.J.; Liu, H.T.; Wang, C.N.; Huang, H.Y.; Lin, Y.; Ko, Y.S.; Wang, J.S.; Chang, V.H.; Pang, J.S. Therapeutic potential of pro-angiogenic BPC157 is associated with VEGFR2 activation and up-regulation. J. Mol. Med. 2017, 95, 323–333. [Google Scholar] [CrossRef] [PubMed]
- Wu, H.; Wei, M.; Li, N.; Lu, Q.; Shrestha, S.M.; Tan, J.; Zhang, Z.; Wu, G.; Shi, R. Clopidogrel-induced gastric injury in rats is attenuated by stable gastric pentadecapeptide BPC 157. Drug Des. Devel. Ther. 2020, 14, 5599–55610. [Google Scholar] [CrossRef] [PubMed]
- Huang, T.; Zhang, K.; Sun, L.; Xue, X.; Zhang, C.; Shu, Z.; Mu, N.; Gu, J.; Zhang, W.; Wang, Y.; et al. Body protective compound-157 enhances alkali-burn wound healing in vivo and promotes proliferation, migration, and angiogenesis in vitro. Drug Des. Devel. Ther. 2015, 9, 2485–2499. [Google Scholar] [CrossRef]
- Tkalcevic, V.I.; Cuzic, S.; Brajsa, K.; Mildner, B.; Bokulic, A.; Situm, K.; Perovic, D.; Glojnaric, I.; Parnham, M.J. Enhancement by PL 14736 of granulation and collagen organization in healing wounds and the potential role of egr-1 expression. Eur. J. Pharmacol. 2007, 570, 212–221. [Google Scholar] [CrossRef]
- Wang, X.Y.; Qu, M.; Duan, R.; Shi, D.; Jin, L.; Gao, J.; Wood, J.D.; Li, J.; Wang, G.D. Cytoprotective mechanism of the novel gastric peptide BPC157 in gastrointestinal tract and cultured enteric neurons and glial cells. Neurosci. Bull. 2019, 35, 167–170. [Google Scholar] [CrossRef]
- Huang, B.S.; Huang, S.C.; Chen, F.H.; Chang, Y.; Mei, H.F.; Huang, H.Y.; Chen, W.Y.; Pang, J.S. Pentadecapeptide BPC 157 efficiently reduces radiation-induced liver injury and lipid accumulation through Kruppel-like factor 4 upregulation both in vivo and in vitro. Life Sci. 2022, 310, 121072. [Google Scholar] [CrossRef]
- Park, J.M.; Lee, H.J.; Sikiric, P.; Hahm, K.B. BPC 157 rescued NSAID-cytotoxicity via stabilizing intestinal permeability and enhancing cytoprotection. Curr. Pharm. Des. 2020, 26, 2971–2981. [Google Scholar] [CrossRef] [PubMed]
- Kang, E.A.; Han, Y.M.; An, J.M.; Park, Y.J.; Sikiric, P.; Kim, D.H.; Kwon, K.A.; Kim, Y.J.; Yang, D.; Tchah, H.; et al. BPC157 as potential agent rescuing from cancer cachexia. Curr. Pharm. Des. 2018, 24, 1947–1956. [Google Scholar] [CrossRef] [PubMed]
- Szabo, S.; Yoshida, M.; Filakovszky, J.; Juhasz, G. “Stress” is 80 years old: From Hans Selye original paper in 1936 to recent advances in GI ulceration. Curr. Pharm. Des. 2017, 23, 4029–4041. [Google Scholar] [CrossRef]
- Gyires, K.; Feher, A. Neuropeptides and gastric mucosa. Curr. Pharm. Des. 2017, 23, 3928–3940. [Google Scholar] [CrossRef]
- Deek, S.A. BPC 157 as potential treatment for COVID-19. Med. Hypotheses 2021, 158, 110736. [Google Scholar] [CrossRef]
- Wood, J.D. The first Nobel prize for integrated systems physiology: Ivan Petrovich Pavlov, 1904. Physiology 2004, 19, 326–330. [Google Scholar] [CrossRef] [PubMed]
- Mózsik, G. Gastric cytoprotection 30 years after its discovery by André Robert: A personal perspective. Inflammopharmacology 2010, 18, 209–221. [Google Scholar] [CrossRef] [PubMed]
- Gwyer, D.; Wragg, N.M.; Wilson, S.L. Gastric pentadecapeptide body protection compound BPC 157 and its role in accelerating musculoskeletal soft tissue healing. Cell. Tissue Res. 2019, 377, 153–159. [Google Scholar] [CrossRef]
- Lee, J.; Park, J.; Chang, Y.; Yoon, J.P.; Chung, S.W. Effect of magnetic microbeads on sustained and targeted delivery of transforming growth factor-beta-1 for rotator cuff healing in a rat rotator cuff repair model. Sci. Rep. 2024, 14, 17632. [Google Scholar] [CrossRef]
- Zhou, Z.; Song, W.; Zhang, G.; Zhan, S.; Cai, Z.; Yu, W.; He, Y. The recombinant human fibroblast growth factor-18 (sprifermin) improves tendon-to-bone healing by promoting chondrogenesis in a rat rotator cuff repair model. J. Shoulder Elbow Surg. 2022, 31, 1617–1627. [Google Scholar] [CrossRef]
- Xu, J.; Ye, Z.; Chen, C.; Zhang, X.; Han, K.; Wu, X.; Li, Z.; Jiang, J.; Yan, X.; Cai, J.; et al. Abaloparatide improves rotator cuff healing via anabolic effects on bone remodeling in a chronic rotator cuff tear model of rat with osteoporosis: A comparison with denosumab. Am. J. Sports Med. 2022, 50, 1550–1563. [Google Scholar] [CrossRef] [PubMed]
- Zhu, M.; Lin Tay, M.; Lim, K.S.; Bolam, S.M.; Tuari, D.; Callon, K.; Dray, M.; Cornish, J.; Woodfield, T.B.F.; Munro, J.T.; et al. Novel growth factor combination for improving rotator cuff repair: A rat in vivo study. Am. J. Sports Med. 2022, 50, 1044–1053. [Google Scholar] [CrossRef]
- Yoon, J.P.; Kim, H.M.; Choi, J.H.; Kang, H.R.; Kim, D.H.; Choi, Y.S.; Kim, K.R.; Kim, J.K.; Baek, S.; Chung, S.W. Effect of a porous suture containing transform growth factor beta 1 on healing after rotator cuff repair in a rat model. Am. J. Sports Med. 2021, 49, 3050–3058. [Google Scholar] [CrossRef]
- Yonemitsu, R.; Tokunaga, T.; Shukunami, C.; Ideo, K.; Arimura, H.; Karasugi, T.; Nakamura, E.; Ide, J.; Hiraki, Y.; Mizuta, H. Fibroblast growth factor 2 enhances tendon-to-bone healing in a rat rotator cuff repair of chronic tears. Am. J. Sports Med. 2019, 47, 1701–1712. [Google Scholar] [CrossRef]
- Kataoka, T.; Mifune, Y.; Inui, A.; Nishimoto, H.; Kurosawa, T.; Yamaura, K.; Mukohara, S.; Matsushita, T.; Niikura, T.; Tabata, Y.; et al. Combined therapy of platelet-rich plasma and basic fibroblast growth factor using gelatin-hydrogel sheet for rotator cuff healing in rat models. J. Orthop. Surg. Res. 2021, 16, 605. [Google Scholar] [CrossRef] [PubMed]
- Majewski, M.; Heisterbach, P.; Jaquiéry, C.; Dürselen, L.; Todorov, A.; Martin, I.; Evans, C.H.; Muller, S.A. Improved tendon healing using bFGF, BMP-12 and TGFβ1 in a rat model. Eur. Cell Mater. 2018, 35, 318–334. [Google Scholar] [CrossRef]
- Charles, J.P.; Cappellari, O.; Spence, A.J.; Hutchinson, J.R.; Wells, D.J. Musculoskeletal geometry, muscle architecture and functional specialisations of the mouse hindlimb. PLoS ONE 2016, 11, e0147669. [Google Scholar] [CrossRef]
- Koka, R.; Hadlock, T.A. Quantification of functional recovery following rat sciatic nerve transection. Exp. Neurol. 2001, 168, 192–195. [Google Scholar] [CrossRef]
- Medici, D.; Olsen, B.R. The role of endothelial-mesenchymal transition in heterotopic ossification. J. Bone Miner. Res. 2012, 27, 1619–1622. [Google Scholar] [CrossRef]
- Gamulin, O.; Oroz, K.; Coric, L.; Krajacic, M.; Skrabic, M.; Dretar, V.; Strbe, S.; Talapko, J.; Juzbasic, M.; Krezic, I.; et al. Fourier transform infrared spectroscopy reveals molecular changes in blood vessels of rats treated with pentadecapeptide BPC 157. Biomedicines 2022, 10, 3130. [Google Scholar] [CrossRef]
- Sikiric, P.; Gojkovic, S.; Krezic, I.; Smoday, I.M.; Kalogjera, L.; Zizek, H.; Oroz, K.; Vranes, H.; Vukovic, V.; Labidi, M.; et al. Stable gastric pentadecapeptide BPC 157 may recover brain-gut axis and gut-brain axis function. Pharmaceuticals 2023, 16, 676. [Google Scholar] [CrossRef]
- Sikiric, P.; Boban Blagaic, A.; Strbe, S.; Beketic Oreskovic, L.; Oreskovic, I.; Sikiric, S.; Staresinic, M.; Sever, M.; Kokot, A.; Jurjevic, I.; et al. The stable gastric pentadecapeptide BPC 157 pleiotropic beneficial activity and its possible relations with neurotransmitter activity. Pharmaceuticals 2024, 17, 461. [Google Scholar] [CrossRef]
- Veljaca, M.; Chan, K.; Guglietta, A. Digestion of h-EGF, h-TGF-alpha, and BPC-15 in human gastric juice. Gastroenterology 1995, 108, 761. [Google Scholar] [CrossRef]
- Grabarevic, Z.; Tisljar, M.; Artukovic, B.; Bratulic, M.; Dzaja, P.; Seiwerth, S.; Sikiric, P.; Peric, J.; Geres, D.; Kos, J. The influence of BPC 157 on nitric oxide agonist and antagonist induced lesions in broiler chicken. J. Physiol. Paris. 1997, 91, 139–149. [Google Scholar] [CrossRef] [PubMed]
- Tlak Gajger, I.; Smodiš Škerl, M.I.; Šoštarić, P.; Šuran, J.; Sikirić, P.; Vlainić, J. Physiological and immunological status of adult honeybees (Apis mellifera) fed sugar syrup supplemented with pentadecapeptide BPC 157. Biology 2021, 10, 891. [Google Scholar] [CrossRef] [PubMed]
- Tlak Gajger, I.; Ribarić, J.; Smodiš Škerl, M.; Vlainić, J.; Sikirić, P. Stable gastric pentadecapeptide BPC 157 in honeybee (Apis mellifera) therapy, to control Nosema ceranae invasions in apiary conditions. J. Vet. Pharmacol. Ther. 2018, 41, 614–621. [Google Scholar] [CrossRef] [PubMed]
- Filosevic, A.; Andretic Waldowski, R.; Sikiric, P.; Drmic, D. Stable gastric pentadecapeptide BPC 157 antagonizes hydrogen peroxide induced oxidative stress in Drosophila melanogaster. FASEB J. 2018, 31 (Suppl. S1). [Google Scholar] [CrossRef]
- Sikiric, P.; Seiwerth, S.; Rucman, R.; Turkovic, B.; Rokotov, D.S.; Brcic, L.; Sever, M.; Klicek, R.; Radic, B.; Drmic, D.; et al. Stable gastric pentadecapeptide BPC 157-NO-system relation. Curr. Pharm. Des. 2014, 20, 1126–1135. [Google Scholar] [CrossRef]
- Sikiric, P.; Drmic, D.; Boban Blagaic, A.; Tvrdeic, A.; Krezic, I.; Gojkovic, S.; Zizek, H.; Sikiric, S.; Strbe, S.; Smoday, I.M.; et al. Stable gastric pentadecapeptide BPC 157 and NO-system. In Nitric Oxide: From Research to Therapeutics; Ray, A., Gulati, K., Eds.; Advances in Biochemistry in Health and Disease 22; Springer: Cham, Switzerland, 2023; pp. 349–376. [Google Scholar] [CrossRef]
- Sikiric, P.; Seiwerth, S.; Grabarevic, Z.; Rucman, R.; Petek, M.; Jagic, V.; Turkovic, B.; Rotkvic, I.; Mise, S.; Zoricic, I.; et al. The influence of a novel pentadecapeptide, BPC 157, on N(G)-nitro-L-arginine methylester and L-arginine effects on stomach mucosa integrity and blood pressure. Eur. J. Pharmacol. 1997, 332, 23–33. [Google Scholar] [CrossRef] [PubMed]
- Turkovic, B.; Sikiric, P.; Seiwerth, S.; Mise, S.; Anic, T.; Petek, M. Stable gastric pentadecapeptide BPC 157 studied for inflammatory bowel disease (PLD-116, PL14736, Pliva) induces nitric oxide synthesis. Gastroenterology 2004, 126, 287. [Google Scholar]
- Stupnisek, M.; Kokot, A.; Drmic, D.; Hrelec Patrlj, M.; Zenko Sever, A.; Kolenc, D.; Radic, B.; Suran, J.; Bojic, D.; Vcev, A.; et al. Pentadecapeptide BPC 157 reduces bleeding and thrombocytopenia after amputation in rats treated with heparin, warfarin, L-NAME and L-arginine. PLoS ONE 2015, 10, e0123454. [Google Scholar] [CrossRef] [PubMed]
- Stupnisek, M.; Franjic, S.; Drmic, D.; Hrelec, M.; Kolenc, D.; Radic, B.; Bojic, D.; Vcev, A.; Seiwerth, S.; Sikiric, P. Pentadecapeptide BPC 157 reduces bleeding time and thrombocytopenia after amputation in rats treated with heparin, warfarin or aspirin. Thromb. Res. 2012, 129, 652–659. [Google Scholar] [CrossRef]
- Konosic, S.; Petricevic, M.; Ivancan, V.; Konosic, L.; Goluza, E.; Krtalic, B.; Drmic, D.; Stupnisek, M.; Seiwerth, S.; Sikiric, P. Intragastric application of aspirin, clopidogrel, cilostazol, and BPC 157 in rats: Platelet aggregation and blood clot. Oxid. Med. Cell. Longev. 2019, 2019, 9084643. [Google Scholar] [CrossRef]
- Veljaca, M.; Pavic Sladoljev, D.; Mildner, B. Safety, tolerability and pharmacokinetics of PL 14736, a novel agent for treatment of ulcerative colitis, in healthy male volunteers. Gut 2003, 51, A309. [Google Scholar]
- Ruenzi, M.; Stolte, M.; Veljaca, M.; Oreskovic, K.; Peterson, J. A multicenter, randomized, double blind, placebo-controlled phase II study of PL 14736 enema in the treatment of mild-to-moderate ulcerative colitis. Gastroenterology 2005, 128, A584. [Google Scholar]
- Lee, E.; Walker, C.; Ayadi, B. Effect of BPC-157 on symptoms in patients with interstitial cystitis: A pilot study. Altern. Ther. Health Med. 2024, 30, 12–17. [Google Scholar]
- Lee, E.; Padgett, B. Intra-articular injection of BPC 157 for multiple types of knee pain. Altern. Ther. Health Med. 2021, 27, 8–13. [Google Scholar]
- DeFoor, M.T.; Dekker, T.J. Injectable therapeutic peptides—And adjunct to regenerative medicine and sports performance? Arthroscopy 2024, 10, S0749-8063(24)00667-S0749-8063(24)00674. [Google Scholar] [CrossRef]
- Xu, C.; Sun, L.; Ren, F.; Huang, P.; Tian, Z.; Cui, J.; Zhang, W.; Wang, S.; Zhang, K.; He, L.; et al. Preclinical safety evaluation of body protective compound-157, a potential drug for treating various wounds. Regul. Toxicol. Pharmacol. 2020, 114, 104665. [Google Scholar] [CrossRef] [PubMed]




















| The Injury Course After Surgical Detachment of the Quadriceps Muscle from Its Attachments | Medication | Tendon Lesions Assessment Min/Med/Max | |||
|---|---|---|---|---|---|
| Collagen Assessment (Score 0–3) | Vascularization Assessment (Score 0–3) | Cellularity Assessment (Score 0–3) | Total Score Assessment (Score 0–9) | ||
| 1 day | Control | 3/3/3 | 3/3/3 | 3/3/3 | 9/9/9 |
| BPC 157 10 µg | 3/3/3 | 3/3/3 | 3/3/3 | 9/9/9 | |
| BPC 157 10 ng | 3/3/3 | 3/3/3 | 3/3/3 | 9/9/9 | |
| 2 days | Control | 3/3/3 | 3/3/3 | 3/3/3 | 9/9/9 |
| BPC 157 10 µg | 3/3/3 | 3/3/3 | 3/3/3 | 9/9/9 | |
| BPC 157 10 ng | 3/3/3 | 3/3/3 | 3/3/3 | 9/9/9 | |
| 3 days | Control | 3/3/3 | 3/3/3 | 3/3/3 | 9/9/9 |
| BPC 157 10 µg | 3/3/3 | 3/3/3 | 3/3/3 | 9/9/9 | |
| BPC 157 10 ng | 3/3/3 | 3/3/3 | 3/3/3 | 9/9/9 | |
| 5 days | Control | 3/3/3 | 3/3/3 | 3/3/3 | 9/9/9 |
| BPC 157 10 µg | 3/3/3 | 2/2/2 * | 2/2/2 * | 7/7/7 * | |
| BPC 157 10 ng | 3/3/3 | 2/2/2 * | 2/2/2 * | 7/7/7 * | |
| 7 days | Control | 3/3/3 | 3/3/3 | 3/3/3 | 9/9/9 |
| BPC 157 10 µg | 3/3/3 | 2/2/2 * | 2/2/2 * | 7/7/7 * | |
| BPC 157 10 ng | 3/3/3 | 2/2/2 * | 2/2/2 * | 7/7/7 * | |
| 14 days | Control | 3/3/3 | 3/3/3 | 3/3/3 | 9/9/9 |
| BPC 157 10 µg | 2/2/2 * | 2/2/2 * | 2/2/2 * | 6/6/6 * | |
| BPC 157 10 ng | 2/2/2 * | 2/2/2 * | 2/2/2 * | 6/6/6 * | |
| 21 days | Control | 3/3/3 | 3/3/3 | 3/3/3 | 9/9/9 |
| BPC 157 10 µg | 1/1/1 * | 2/2/2 * | 2/2/2 * | 5/5/5 * | |
| BPC 157 10 ng | 1/1/1 * | 2/2/2 * | 2/2/2 * | 5/5/5 * | |
| 28 days | Control | 2/2/2 | 3/3/3 | 3/3/3 | 8/8/8 |
| BPC 157 10 µg | 0/0/0 * | 1/1/1 * | 0/0/0 * | 1/1/1 * | |
| BPC 157 10 ng | 0/0/0 * | 1/1/1 * | 0/0/0 * | 1/1/1 * | |
| 60 days | Control | 2/2/2 | 2/2/2 | 2/2/2 | 6/6/6 |
| BPC 157 10 µg | 0/0/0 * | 1/1/1 * | 0/0/0 * | 1/1/1 * | |
| BPC 157 10 ng | 0/0/0 * | 1/1/1 * | 0/0/0 * | 1/1/1 * | |
| 90 days | Control | 2/2/2 | 1/1/1 | 1/1/1 | 4/4/4 |
| BPC 157 10 µg | 0/0/0 * | 1/1/1 * | 0/0/0 * | 1/1/1 * | |
| BPC 157 10 ng | 0/0/0 * | 1/1/1 * | 0/0/0 * | 1/1/1 * | |
Disclaimer/Publisher’s Note: The statements, opinions and data contained in all publications are solely those of the individual author(s) and contributor(s) and not of MDPI and/or the editor(s). MDPI and/or the editor(s) disclaim responsibility for any injury to people or property resulting from any ideas, methods, instructions or products referred to in the content. |
© 2025 by the authors. Licensee MDPI, Basel, Switzerland. This article is an open access article distributed under the terms and conditions of the Creative Commons Attribution (CC BY) license (https://creativecommons.org/licenses/by/4.0/).
Share and Cite
Matek, D.; Matek, I.; Staresinic, E.; Japjec, M.; Bojanic, I.; Boban Blagaic, A.; Beketic Oreskovic, L.; Oreskovic, I.; Ziger, T.; Novinscak, T.; et al. Stable Gastric Pentadecapeptide BPC 157 as Therapy After Surgical Detachment of the Quadriceps Muscle from Its Attachments for Muscle-to-Bone Reattachment in Rats. Pharmaceutics 2025, 17, 119. https://doi.org/10.3390/pharmaceutics17010119
Matek D, Matek I, Staresinic E, Japjec M, Bojanic I, Boban Blagaic A, Beketic Oreskovic L, Oreskovic I, Ziger T, Novinscak T, et al. Stable Gastric Pentadecapeptide BPC 157 as Therapy After Surgical Detachment of the Quadriceps Muscle from Its Attachments for Muscle-to-Bone Reattachment in Rats. Pharmaceutics. 2025; 17(1):119. https://doi.org/10.3390/pharmaceutics17010119
Chicago/Turabian StyleMatek, Danijel, Irena Matek, Eva Staresinic, Mladen Japjec, Ivan Bojanic, Alenka Boban Blagaic, Lidija Beketic Oreskovic, Ivana Oreskovic, Tihomil Ziger, Tomislav Novinscak, and et al. 2025. "Stable Gastric Pentadecapeptide BPC 157 as Therapy After Surgical Detachment of the Quadriceps Muscle from Its Attachments for Muscle-to-Bone Reattachment in Rats" Pharmaceutics 17, no. 1: 119. https://doi.org/10.3390/pharmaceutics17010119
APA StyleMatek, D., Matek, I., Staresinic, E., Japjec, M., Bojanic, I., Boban Blagaic, A., Beketic Oreskovic, L., Oreskovic, I., Ziger, T., Novinscak, T., Krezic, I., Strbe, S., Drinkovic, M., Brkic, F., Popic, J., Skrtic, A., Seiwerth, S., Staresinic, M., Sikiric, P., & Brizic, I. (2025). Stable Gastric Pentadecapeptide BPC 157 as Therapy After Surgical Detachment of the Quadriceps Muscle from Its Attachments for Muscle-to-Bone Reattachment in Rats. Pharmaceutics, 17(1), 119. https://doi.org/10.3390/pharmaceutics17010119

