The Acid-Buffered Engineered Gel Promotes In Vitro Cutaneous Healing and Fights Resistant Bacteria in Wounds
Abstract
1. Introduction
2. Materials and Methods
2.1. Materials
2.2. Development of Acid-Buffered Gel
2.2.1. Standardization of Sodium Hydroxide Solution
2.2.2. Preparation of Acid-Buffered Solution
2.3. Preparation of Acid-Buffered Gel
2.4. Characterization of Acid-Buffered Gel
2.4.1. Determination of the Acid-Buffering Capacity of the Gel
2.4.2. Dose Determination
2.4.3. Acid-Buffering Effect Against Simulated Wound Fluid
2.4.4. Viscoelastic Properties
2.5. In Vitro Antibacterial Evaluation
2.5.1. Minimum Inhibitory Concentration
2.5.2. In Vitro Wound Biofilm Model
2.6. In Vitro Cytotoxicity Assay
2.7. In Vitro Wound Scratch Assay
2.8. Statistical Analysis
3. Results and Discussion
3.1. Preparation and Characterization of Acid-Buffered Formulation
3.1.1. The Acid-Buffering Capacity of the Developed Gels
3.1.2. Assessing Rheological Properties
3.2. Evaluation of In Vitro Antibacterial Activity
3.2.1. In Vitro Inhibition of Bacterial Growth Using Acid-Buffered Gels
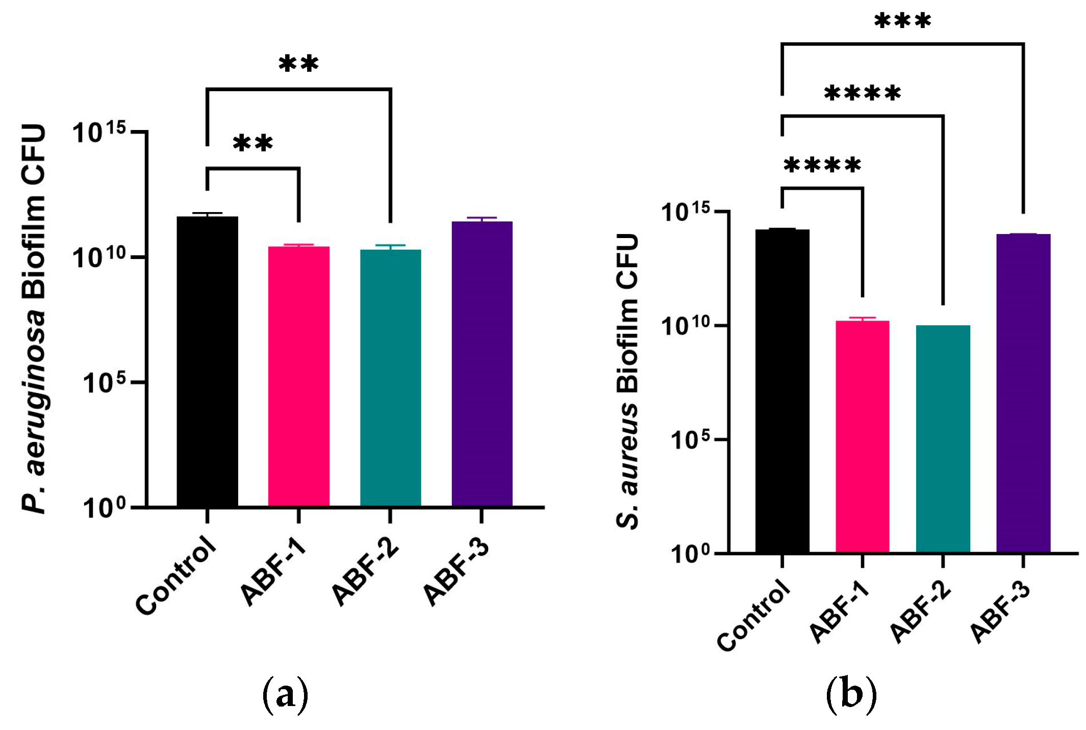
3.2.2. In Vitro Bacterial Wound Biofilm Activity of Acid-Buffered Gels
3.3. In Vitro Assessment of Cytotoxicity Study and Wound Healing Properties
4. Conclusions
Author Contributions
Funding
Institutional Review Board Statement
Informed Consent Statement
Data Availability Statement
Acknowledgments
Conflicts of Interest
References
- Falcone, M.; De Angelis, B.; Pea, F.; Scalise, A.; Stefani, S.; Tasinato, R.; Zanetti, O.; Dalla Paola, L. Challenges in the management of chronic wound infections. J. Glob. Antimicrob. Resist. 2021, 26, 140–147. [Google Scholar] [CrossRef] [PubMed]
- Laxminarayan, R.; Matsoso, P.; Pant, S.; Brower, C.; Røttingen, J.-A.; Klugman, K.; Davies, S. Access to effective antimicrobials: A worldwide challenge. Lancet 2016, 387, 168–175. [Google Scholar] [CrossRef] [PubMed]
- Sen, C.K. Wound healing essentials: Let there be oxygen. Wound Repair. Regen. 2009, 17, 1–18. [Google Scholar] [CrossRef] [PubMed]
- Sen, C.K. Human wound and its burden: Updated 2020 compendium of estimates. Adv Wound Care 2021, 10, 281–292. [Google Scholar] [CrossRef] [PubMed]
- World Health Organization. Prioritization of pathogens to guide discovery, research and development of new antibiotics for drug-resistant bacterial infections, including tuberculosis. In Prioritization of Pathogens to Guide Discovery, Research and Development of New Antibiotics for Drug-Resistant Bacterial Infections, Including Tuberculosis; World Health Organization: Geneva, Switzerland, 2017. [Google Scholar]
- Karinja, S.J.; Spector, J.A. Treatment of infected wounds in the age of antimicrobial resistance: Contemporary alternative therapeutic options. Plast. Reconstr. Surg. 2018, 142, 1082–1092. [Google Scholar] [CrossRef]
- Guo, S.a.; DiPietro, L.A. Factors affecting wound healing. J. Dent. Res. 2010, 89, 219–229. [Google Scholar] [CrossRef]
- Bessa, L.J.; Fazii, P.; Di Giulio, M.; Cellini, L. Bacterial isolates from infected wounds and their antibiotic susceptibility pattern: Some remarks about wound infection. Int. Wound J. 2015, 12, 47–52. [Google Scholar] [CrossRef]
- Percival, S.L.; Finnegan, S.; Donelli, G.; Vuotto, C.; Rimmer, S.; Lipsky, B.A. Antiseptics for treating infected wounds: Efficacy on biofilms and effect of pH. Crit. Rev. Microbiol. 2016, 42, 293–309. [Google Scholar] [CrossRef]
- Haidari, H.; Bright, R.; Strudwick, X.L.; Garg, S.; Vasilev, K.; Cowin, A.J.; Kopecki, Z. Multifunctional ultrasmall AgNP hydrogel accelerates healing of S. aureus infected wounds. Acta Biomater. 2021, 128, 420–434. [Google Scholar] [CrossRef]
- Chung, J.W.; Piao, Z.-H.; Yoon, S.R.; Kim, M.S.; Jeong, M.; Lee, S.H.; Min, J.K.; Kim, J.W.; Cho, Y.-H.; Kim, J.C. Pseudomonas aeruginosa eliminates natural killer cells via phagocytosis-induced apoptosis. PLoS Pathog. 2009, 5, e1000561. [Google Scholar] [CrossRef]
- DeLeon, S.; Clinton, A.; Fowler, H.; Everett, J.; Horswill, A.R.; Rumbaugh, K.P. Synergistic interactions of Pseudomonas aeruginosa and Staphylococcus aureus in an in vitro wound model. Infect. Immun. 2014, 82, 4718–4728. [Google Scholar] [CrossRef] [PubMed]
- Khan, M.; Stapleton, F.; Summers, S.; Rice, S.A.; Willcox, M.D. Antibiotic resistance characteristics of Pseudomonas aeruginosa isolated from keratitis in Australia and India. Antibiotics 2020, 9, 600. [Google Scholar] [CrossRef] [PubMed]
- Trøstrup, H.; Lerche, C.J.; Christophersen, L.J.; Thomsen, K.; Jensen, P.Ø.; Hougen, H.P.; Høiby, N.; Moser, C. Pseudomonas aeruginosa biofilm hampers murine central wound healing by suppression of vascular epithelial growth factor. Int. Wound J. 2018, 15, 123–132. [Google Scholar] [CrossRef] [PubMed]
- Del Pozo, J.; Patel, R. The challenge of treating biofilm-associated bacterial infections. Clin. Pharmacol. Ther. 2007, 82, 204–209. [Google Scholar] [CrossRef]
- Edwards, R.; Harding, K.G. Bacteria and wound healing. Curr. Opin. Infect. Dis. 2004, 17, 91–96. [Google Scholar] [CrossRef]
- Negut, I.; Grumezescu, V.; Grumezescu, A.M. Treatment strategies for infected wounds. Molecules 2018, 23, 2392. [Google Scholar] [CrossRef] [PubMed]
- Gethin, G. The significance of surface pH in chronic wounds. Wounds UK 2007, 3, 52. [Google Scholar]
- Haidari, H.; Vasilev, K.; Cowin, A.J.; Kopecki, Z. Bacteria-activated dual pH-and temperature-responsive hydrogel for targeted elimination of infection and improved wound healing. ACS Appl. Mater. Interfaces 2022, 14, 51744–51762. [Google Scholar] [CrossRef]
- Kumar, P.; Honnegowda, T.M. Effect of limited access dressing on surface pH of chronic wounds. Plast. Aesthet. Res. 2015, 2, 257–260. [Google Scholar] [CrossRef]
- O’Callaghan, S.; Galvin, P.; O’Mahony, C.; Moore, Z.; Derwin, R. ‘Smart’wound dressings for advanced wound care: A review. J. Wound Care 2020, 29, 394–406. [Google Scholar] [CrossRef]
- Power, G.; Moore, Z.; O’connor, T. Measurement of pH, exudate composition and temperature in wound healing: A systematic review. J. Wound Care 2017, 26, 381–397. [Google Scholar] [CrossRef] [PubMed]
- Shukla, V.; Shukla, D.; Tiwary, S.; Agrawal, S.; Rastogi, A. Evaluation of pH measurement as a method of wound assessment. J. Wound Care 2007, 16, 291–294. [Google Scholar] [CrossRef] [PubMed]
- Bojar, R.; Cunliffe, W.; Holland, K. Disruption of the transmembrane pH gradient—A possible mechanism for the antibacterial action of azelaic acid in Propionibucterium acnes and Staphylococcus epidermidis. J. Antimicrob. Chemother. 1994, 34, 321–330. [Google Scholar] [CrossRef] [PubMed]
- Leveen, H.H.; Falk, G.; Borek, B.; Diaz, C.; Lynfield, Y.; Wynkoop, B.J.; Mabunda, G.A.; Rubricius, J.L.; Christoudias, G.C. Chemical acidification of wounds. An adjuvant to healing and the unfavorable action of alkalinity and ammonia. Ann. Surg. 1973, 178, 745. [Google Scholar] [CrossRef] [PubMed]
- Schneider, L.A.; Korber, A.; Grabbe, S.; Dissemond, J. Influence of pH on wound-healing: A new perspective for wound-therapy? Arch. Dermatol. Res. 2007, 298, 413–420. [Google Scholar] [CrossRef]
- Schreml, S.; Meier, R.J.; Kirschbaum, M.; Kong, S.C.; Gehmert, S.; Felthaus, O.; Küchler, S.; Sharpe, J.R.; Wöltje, K.; Weiß, K.T. Luminescent dual sensors reveal extracellular pH-gradients and hypoxia on chronic wounds that disrupt epidermal repair. Theranostics 2014, 4, 721. [Google Scholar] [CrossRef]
- Sharpe, J.; Harris, K.; Jubin, K.; Bainbridge, N.; Jordan, N. The effect of pH in modulating skin cell behaviour. Br. J. Dermatol. 2009, 161, 671–673. [Google Scholar] [CrossRef]
- Sim, P.; Song, Y.; Abraham, S.; Garg, S. Harnessing the benefits of utilizing the optimal pH in conjunction with a hydrogel for wound care. J. Drug Deliv. Sci. Technol. 2023, 89, 105027. [Google Scholar] [CrossRef]
- Bradshaw, D.; Marsh, P. Analysis of pH–driven disruption of oral microbial communities in vitro. Caries Res. 1998, 32, 456–462. [Google Scholar] [CrossRef]
- Hoštacká, A.; Čižnár, I.; Štefkovičová, M. Temperature and pH affect the production of bacterial biofilm. Folia Microbiol. 2010, 55, 75–78. [Google Scholar] [CrossRef]
- Li, Y.-H.; Hanna, M.N.; Svensäter, G.; Ellen, R.P.; Cvitkovitch, D.G. Cell density modulates acid adaptation in Streptococcus mutans: Implications for survival in biofilms. J. Bacteriol. 2001, 183, 6875–6884. [Google Scholar] [CrossRef] [PubMed]
- Percival, S.L.; McCarty, S.; Hunt, J.A.; Woods, E.J. The effects of pH on wound healing, biofilms, and antimicrobial efficacy. Wound Repair. Regen. 2014, 22, 174–186. [Google Scholar] [CrossRef] [PubMed]
- Bjarnsholt, T.; Alhede, M.; Jensen, P.Ø.; Nielsen, A.K.; Johansen, H.K.; Homøe, P.; Høiby, N.; Givskov, M.; Kirketerp-Møller, K. Antibiofilm properties of acetic acid. Adv. Wound Care 2015, 4, 363–372. [Google Scholar] [CrossRef]
- Halstead, F.D.; Rauf, M.; Moiemen, N.S.; Bamford, A.; Wearn, C.M.; Fraise, A.P.; Lund, P.A.; Oppenheim, B.A.; Webber, M.A. The Antibacterial Activity of Acetic Acid against Biofilm-Producing Pathogens of Relevance to Burns Patients. PLoS ONE 2015, 10, e0136190. [Google Scholar] [CrossRef]
- Malu, R.G.; Nagoba, B.S.; Jaju, C.R.; Suryawanshi, N.M.; Mali, S.A.; Goyal, V.S.; Misal, N.S. Topical use of citric acid for wound bed preparation. Int. Wound J. 2016, 13, 709–712. [Google Scholar] [CrossRef]
- Nagoba, B.; Deshmukh, S.; Wadher, B.; Mahabaleshwar, L.; Gandhi, R.; Kulkarni, P.; Mane, V.; Deshmukh, J. Treatment of superficial pseudomonal infections with citric acid: An effective and economical approach. J. Hosp. Infect. 1998, 40, 155–157. [Google Scholar] [CrossRef] [PubMed]
- Nagoba, B.; Wadher, B.; Selkar, S. Citric acid treatment of chronic wounds in animals. Int. J. Anim. Vet. Adv. 2011, 3, 26–28. [Google Scholar]
- Prabhu, V.; Prasadi, S.; Pawar, V.; Shivani, A.; Gore, A. Does wound pH modulation with 3% citric acid solution dressing help in wound healing: A pilot study. Saudi Surg. J. 2014, 2, 38–46. [Google Scholar] [CrossRef]
- Al-Ibran, E.; Khan, M. Efficacy of topical application of 1% acetic acid in eradicating pseudomonal infections in burn wounds. J. Dow Univ. Health Sci. 2010, 4, 90–93. [Google Scholar]
- Fraise, A.P.; Wilkinson, M.; Bradley, C.; Oppenheim, B.; Moiemen, N. The antibacterial activity and stability of acetic acid. J. Hosp. Infect. 2013, 84, 329–331. [Google Scholar] [CrossRef]
- Nagoba, B.; Deshmukh, S.; Wadher, B.; Patil, S. Acetic acid treatment of pseudomonal postoperative wound infection. J. Hosp. Infect. 1997, 36, 243–244. [Google Scholar] [CrossRef] [PubMed]
- Nagoba, B.; Gandhi, R.; Wadher, B.; Potekar, R.; Kolhe, S. Microbiological, histopathological and clinical changes in chronic infected wounds after citric acid treatment. J. Med. Microbiol. 2008, 57, 681–682. [Google Scholar] [CrossRef] [PubMed]
- Nagoba, B.; Selkar, S.; Wadher, B.; Gandhi, R. Acetic acid treatment of pseudomonal wound infections–a review. J. Infect. Public Health 2013, 6, 410–415. [Google Scholar] [CrossRef] [PubMed]
- Sloss, J.; Cumberland, N.; Milner, S. Acetic acid used for the elimination of Pseudomonas aeruginosa from burn and soft tissue wounds. J. R. Army Med. Corps 1993, 139, 49. [Google Scholar] [CrossRef] [PubMed]
- Coskun, M. Success in treating wounds with local boric acid: A case study. J. Wound Care 2023, 32, 686–690. [Google Scholar] [CrossRef]
- Garg, S.; Zaneveld, L.J.D.; Anderson, R.A., Jr.; Waller, D.P. Compositions and methods for trapping and inactivating pathogenic microbes and spermatozoa. U.S. Patent US6706276B2, 16 March 2004. [Google Scholar]
- Pongjanyakul, T.; Puttipipatkhachorn, S. Xanthan–alginate composite gel beads: Molecular interaction and in vitro characterization. Int. J. Pharm. 2007, 331, 61–71. [Google Scholar] [CrossRef]
- Wade, A.; Weller, P.J. Handbook of pharmaceutical excipients. In Handbook of Pharmaceutical Excipients; Pharmaceutical Press: London, UK, 1994. [Google Scholar]
- Garg, S.; Anderson, R.A.; Chany II, C.J.; Waller, D.P.; Diao, X.H.; Vermani, K.; Zaneveld, L.J. Properties of a new acid-buffering bioadhesive vaginal formulation (ACIDFORM). Contraception 2001, 64, 67–75. [Google Scholar] [CrossRef]
- World Union of Wound Healing Societies (WUWHS). Wound exudate: Effective assessment and management. In Consensus Document; Wounds International: London, UK, 2019. [Google Scholar]
- Haidari, H.; Goswami, N.; Bright, R.; Kopecki, Z.; Cowin, A.J.; Garg, S.; Vasilev, K. The interplay between size and valence state on the antibacterial activity of sub-10 nm silver nanoparticles. Nanoscale Adv. 2019, 1, 2365–2371. [Google Scholar] [CrossRef]
- Haidari, H.; Kopecki, Z.; Bright, R.; Cowin, A.J.; Garg, S.; Goswami, N.; Vasilev, K. Ultrasmall AgNP-impregnated biocompatible hydrogel with highly effective biofilm elimination properties. ACS Appl. Mater. Interfaces 2020, 12, 41011–41025. [Google Scholar] [CrossRef]
- Kennewell, T.; Haidari, H.; Mashtoub, S.; Howarth, G.; Wormald, P.; Cowin, A.; Vreugde, S.; Kopecki, Z. Deferiprone and Gallium-Protoporphyrin Chitogel as an antimicrobial treatment: Preclinical studies demonstrating antimicrobial activity for S. aureus infected cutaneous wounds. Int. J. Biol. Macromol. 2024, 276, 133874. [Google Scholar]
- Thet, N.; Alves, D.; Bean, J.; Booth, S.; Nzakizwanayo, J.; Young, A.; Jones, B.V.; Jenkins, A.T.A. Prototype development of the intelligent hydrogel wound dressing and its efficacy in the detection of model pathogenic wound biofilms. ACS Appl. Mater. Interfaces 2016, 8, 14909–14919. [Google Scholar] [CrossRef] [PubMed]
- Abid, F.; Savaliya, B.; Parikh, A.; Kim, S.; Amirmostofian, M.; Cesari, L.; Song, Y.; Page, S.W.; Trott, D.J.; Garg, S. Nanotechnology and narasin: A powerful combination against acne. Nanoscale 2023, 15, 13728–13739. [Google Scholar] [CrossRef] [PubMed]
- Kennewell, T.L.; Haidari, H.; Mashtoub, S.; Howarth, G.S.; Bennett, C.; Cooksley, C.M.; Wormald, P.J.; Cowin, A.J.; Vreugde, S.; Kopecki, Z. Deferiprone-Gallium-Protoporphyrin Chitogel Decreases Pseudomonas aeruginosa Biofilm Infection without Impairing Wound Healing. Materials 2024, 17, 793. [Google Scholar] [CrossRef]
- Kopecki, Z.; Arkell, R.; Powell, B.C.; Cowin, A.J. Flightless I regulates hemidesmosome formation and integrin-mediated cellular adhesion and migration during wound repair. J. Investig. Dermatol. 2009, 129, 2031–2045. [Google Scholar] [CrossRef]
- Apelblat, A. Properties of citric acid and its solutions. In Citric Acid; Springer: Cham, Switzerland, 2014; pp. 13–141. [Google Scholar]
- Ciriminna, R.; Meneguzzo, F.; Delisi, R.; Pagliaro, M. Citric acid: Emerging applications of key biotechnology industrial product. Chem. Cent. J. 2017, 11, 22. [Google Scholar] [CrossRef]
- Nozawa, S.; Rigoli, I.; Thedei Jr, G.; Rossi, A. Mind the buffering capacity of citric acid. Fungal Genet. Newsl. 1995, 42, 56. [Google Scholar] [CrossRef]
- Tymoczko, J.L.; Berg, J.M.; Stryer, L.; Gatto, G. Biochemistry: A Short Course. In Biochemistry: A Short Course, 4th ed.; Macmillan International Higher Education: London, UK, 2019. [Google Scholar]
- Cardoso, C.O.; Tolentino, S.; Gratieri, T.; Cunha-Filho, M.; Lopez, R.F.V.; Gelfuso, G.M. Topical treatment for scarring and non-scarring alopecia: An overview of the current evidence. Clin. Cosmet. Investig. Dermatol. 2021, 14, 485–499. [Google Scholar] [CrossRef]
- Prow, T.W.; Grice, J.E.; Lin, L.L.; Faye, R.; Butler, M.; Becker, W.; Wurm, E.M.T.; Yoong, C.; Robertson, T.A.; Soyer, H.P.; et al. Nanoparticles and microparticles for skin drug delivery. Adv. Drug Deliv. Rev. 2011, 63, 470–491. [Google Scholar] [CrossRef] [PubMed]
- Książek, E. Citric acid: Properties, microbial production, and applications in industries. Molecules 2023, 29, 22. [Google Scholar] [CrossRef]
- Nagoba, B.; Davane, M.; Gandhi, R.; Wadher, B.; Suryawanshi, N.; Selkar, S. Treatment of skin and soft tissue infections caused by Pseudomonas aeruginosa—A review of our experiences with citric acid over the past 20 years. Wound Med. 2017, 19, 5–9. [Google Scholar] [CrossRef]
- Nagoba, B.; Gandhi, R.; Wadher, B.; Deshmukh, S.; Gandhi, S. Citric acid treatment of severe electric burns complicated by multiple antibiotic resistant Pseudomonas aeruginosa. Burns 1998, 24, 481–483. [Google Scholar] [CrossRef] [PubMed]
- Tandon, S.; Singh, B.; Kapoor, S.; Mangal, S. Comparison of effect of pH modulation on wound healing with topical application of citric acid versus superoxide ions. Niger. J. Surg. 2020, 26, 122–126. [Google Scholar] [CrossRef] [PubMed]
- Adarchenko, A.; Krasil’nikov, A.; Sobeshchuk, O. Antiseptic sensitivity of clinical strains of Pseudomonas aeruginosa. Antibiot. Chemother. 1989, 34, 902–907. [Google Scholar]
- Kujath, P.; Hügelschäffer, C. Pseudomonas aeruginosa: Pathogenicity, prevention and therapeutic approaches. Zentralblatt Chir. 1987, 112, 558–563. [Google Scholar]
- Phillips, I.; Lobo, A.; Fernandes, R.; Gundara, N. Acetic acid in the treatment of superficial wounds infected by Pseudomonas aeruginosa. Lancet 1968, 291, 11–13. [Google Scholar] [CrossRef]
- Aly, R.; Shirley, C.; Cunico, B.; Maibach, H.I. Effect of prolonged occlusion on the microbial flora, pH, carbon dioxide and transepidermal water loss on human skin. J. Investig. Dermatol. 1978, 71, 378–381. [Google Scholar] [CrossRef]
- Davis, C.P. Normal flora. In Medical Microbiology, 4th ed.; University of Texas Medical Branch at Galveston: Galveston, TX, USA, 1996. [Google Scholar]
- Doores, S. Organic acids. Food Sci. Technol. 2005, 145, 91. [Google Scholar]
- Mani-López, E.; García, H.; López-Malo, A. Organic acids as antimicrobials to control Salmonella in meat and poultry products. Food Res. Int. 2012, 45, 713–721. [Google Scholar] [CrossRef]
- Sood, A.; Granick, M.S.; Tomaselli, N.L. Wound dressings and comparative effectiveness data. Adv. Wound Care 2014, 3, 511–529. [Google Scholar] [CrossRef]
- Benavides, S.; Villalobos-Carvajal, R.; Reyes, J. Physical, mechanical and antibacterial properties of alginate film: Effect of the crosslinking degree and oregano essential oil concentration. J. Food Eng. 2012, 110, 232–239. [Google Scholar] [CrossRef]
- Szekalska, M.; Puciłowska, A.; Szymańska, E.; Ciosek, P.; Winnicka, K. Alginate: Current use and future perspectives in pharmaceutical and biomedical applications. Int. J. Polym. Sc. 2016, 2016, 7697031. [Google Scholar] [CrossRef]
- Yan, G.; Guo, Y.; Yuan, J.; Liu, D.; Zhang, B. Sodium alginate oligosaccharides from brown algae inhibit Salmonella Enteritidis colonization in broiler chickens. Poult. Sci. 2011, 90, 1441–1448. [Google Scholar] [CrossRef]
- Song, W.; Zhang, M.; Huang, X.; Chen, B.; Ding, Y.; Zhang, Y.; Yu, D.; Kim, I. Smart l-borneol-loaded hierarchical hollow polymer nanospheres with antipollution and antibacterial capabilities. Mater. Today Chem. 2022, 26, 101252. [Google Scholar] [CrossRef]
- Aderibigbe, B.A.; Buyana, B. Alginate in wound dressings. Pharmaceutics 2018, 10, 42. [Google Scholar] [CrossRef]
- Son, E.; Moon, E.; Rhee, D.; Pyo, S. Stimulation of various functions in murine peritoneal macrophages by high mannuronic acid-containing alginate (HMA) exposure in vivo. Int. Immunopharmacol. 2001, 1, 147–154. [Google Scholar] [CrossRef] [PubMed]
- Hirshfield, I.N.; Terzulli, S.; O’Byrne, C. Weak organic acids: A panoply of effects on bacteria. Sci. Prog. 2003, 86, 245–270. [Google Scholar] [CrossRef]
- Lund, P.; Tramonti, A.; De Biase, D. Coping with low pH: Molecular strategies in neutralophilic bacteria. FEMS Microbiol. Rev. 2014, 38, 1091–1125. [Google Scholar] [CrossRef] [PubMed]
- Roe, A.J.; McLaggan, D.; Davidson, I.; O’Byrne, C.; Booth, I.R. Perturbation of anion balance during inhibition of growth of Escherichia coli by weak acids. J. Bacteriol. 1998, 180, 767–772. [Google Scholar] [CrossRef]
- Salmond, C.V.; Kroll, R.G.; Booth, I.R. The effect of food preservatives on pH homeostasis in Escherichia coli. Microbiology 1984, 130, 2845–2850. [Google Scholar] [CrossRef]
- Slonczewski, J.L.; Fujisawa, M.; Dopson, M.; Krulwich, T.A. Cytoplasmic pH measurement and homeostasis in bacteria and archaea. Adv. Microb. Physiol. 2009, 55, 1–79, 317. [Google Scholar]
- Slonczewski, J.L.; Rosen, B.P.; Alger, J.R.; Macnab, R.M. pH homeostasis in Escherichia coli: Measurement by 31P nuclear magnetic resonance of methylphosphonate and phosphate. Proc. Natl. Acad. Sci. USA 1981, 78, 6271–6275. [Google Scholar] [CrossRef] [PubMed]
- Kruse, C.R.; Singh, M.; Targosinski, S.; Sinha, I.; Sørensen, J.A.; Eriksson, E.; Nuutila, K. The effect of pH on cell viability, cell migration, cell proliferation, wound closure, and wound reepithelialization: In vitro and in vivo study. Wound Repair. Regen. 2017, 25, 260–269. [Google Scholar] [CrossRef] [PubMed]
- Li, N.-B.; Xu, W.-H.; Zhao, J.-H.; Xiao, G.-Y.; Lu, Y.-P. The significant influence of ionic concentrations and immersion temperatures on deposition behaviors of hydroxyapatite on alkali-and heat-treated titanium in simulated body fluid. Thin Solid. Film. 2018, 646, 163–172. [Google Scholar] [CrossRef]
- Lönnqvist, S.; Emanuelsson, P.; Kratz, G. Influence of acidic pH on keratinocyte function and re-epithelialisation of human in vitro wounds. J. Plast. Surg. Hand Surg. 2015, 49, 346–352. [Google Scholar] [CrossRef]
- Sim, P.; Song, Y.; Yang, G.N.; Cowin, A.J.; Garg, S. In vitro wound healing properties of novel acidic treatment regimen in enhancing metabolic activity and migration of skin cells. Int. J. Mol. Sci. 2022, 23, 7188. [Google Scholar] [CrossRef]







| Formulation | Citric Acid | Acetic Acid | Boric Acid | Alginic Acid |
|---|---|---|---|---|
| ABF-1 | 1% | 1.5% | 1% | 4% |
| ABF-2 | 1.5% | 1% | 1% | 4% |
| ABF-3 | 1% | 1% | 1% | 4% |
| SWF pH | pH Before Titration | pH After Titration (12 h) | pH After Titration (24 h) | ||||||
|---|---|---|---|---|---|---|---|---|---|
| ABF-1 | ABF-2 | ABF-3 | ABF-1 | ABF-2 | ABF-3 | ABF-1 | ABF-2 | ABF-3 | |
| 4 | 4.47 ± 0.02 | 4.47 ± 0.01 | 4.48 ± 0.01 | 4.44 ± 0.01 | 4.45 ± 0.01 | 4.46 ± 0.01 | 4.46 ± 0.01 | 4.41 ± 0.02 | 4.41 ± 0.01 |
| 5.5 | 4.47 ± 0.01 | 4.47 ± 0.01 | 4.48 ± 0.01 | 4.53 ± 0.01 | 4.54 ± 0.00 | 4.56 ± 0.01 | 4.6 ± 0.01 | 4.58 ± 0.00 | 4.60 ± 0.00 |
| 7.5 | 4.47 ± 0.01 | 4.47 ± 0.01 | 4.48 ± 0.01 | 4.72 ± 0.01 | 4.73 ± 0.01 | 4.79 ± 0.01 | 4.91 ± 0.01 | 4.94 ± 0.00 | 5.01 ± 0.01 |
| 8 | 4.47 ± 0.01 | 4.47 ± 0.01 | 4.48 ± 0.01 | 4.67 ± 0.02 | 4.73 ± 0.01 | 4.79 ± 0.01 | 4.93 ± 0.00 | 4.99 ± 0.01 | 5.05 ± 0.02 |
| 10 | 4.47 ± 0.01 | 4.47 ± 0.01 | 4.48 ± 0.01 | 4.81 ± 0.01 | 4.87 ± 0.01 | 4.95 ± 0.02 | 5.16 ± 0.01 | 5.12 ± 0.01 | 5.39 ± 0.02 |
| Treatments | S. aureus (Dilution) | S. epidermidis (Dilution) | P. aeruginosa (Dilution) |
|---|---|---|---|
| ABF-1 | 1/8 | 1/8 | 1/8 |
| ABF-2 | 1/8 | 1/8 | 1/8 |
| ABF-3 | 1/4 | 1/4 | 1/8 |
| Control (Kanamycin) | 6400 μg/mL | ||
Disclaimer/Publisher’s Note: The statements, opinions and data contained in all publications are solely those of the individual author(s) and contributor(s) and not of MDPI and/or the editor(s). MDPI and/or the editor(s) disclaim responsibility for any injury to people or property resulting from any ideas, methods, instructions or products referred to in the content. |
© 2024 by the authors. Licensee MDPI, Basel, Switzerland. This article is an open access article distributed under the terms and conditions of the Creative Commons Attribution (CC BY) license (https://creativecommons.org/licenses/by/4.0/).
Share and Cite
Abid, F.; Virgo, E.; Kennewell, T.L.; Khetan, R.; Haidari, H.; Kopecki, Z.; Song, Y.; Garg, S. The Acid-Buffered Engineered Gel Promotes In Vitro Cutaneous Healing and Fights Resistant Bacteria in Wounds. Pharmaceutics 2024, 16, 1484. https://doi.org/10.3390/pharmaceutics16111484
Abid F, Virgo E, Kennewell TL, Khetan R, Haidari H, Kopecki Z, Song Y, Garg S. The Acid-Buffered Engineered Gel Promotes In Vitro Cutaneous Healing and Fights Resistant Bacteria in Wounds. Pharmaceutics. 2024; 16(11):1484. https://doi.org/10.3390/pharmaceutics16111484
Chicago/Turabian StyleAbid, Fatima, Emmeline Virgo, Tahlia Louise Kennewell, Riya Khetan, Hanif Haidari, Zlatko Kopecki, Yunmei Song, and Sanjay Garg. 2024. "The Acid-Buffered Engineered Gel Promotes In Vitro Cutaneous Healing and Fights Resistant Bacteria in Wounds" Pharmaceutics 16, no. 11: 1484. https://doi.org/10.3390/pharmaceutics16111484
APA StyleAbid, F., Virgo, E., Kennewell, T. L., Khetan, R., Haidari, H., Kopecki, Z., Song, Y., & Garg, S. (2024). The Acid-Buffered Engineered Gel Promotes In Vitro Cutaneous Healing and Fights Resistant Bacteria in Wounds. Pharmaceutics, 16(11), 1484. https://doi.org/10.3390/pharmaceutics16111484

