Investigation of Sonication Parameters for Large-Volume Focused Ultrasound-Mediated Blood–Brain Barrier Permeability Enhancement Using a Clinical-Prototype Hemispherical Phased Array
Abstract
1. Introduction
2. Materials and Methods
2.1. Experimental Design
2.2. Animal Preparation
2.3. Clinical-Prototype FUS Brain System
2.4. FUS Exposure Protocol
2.5. MRI and Quantification
2.6. Histological Processing and Analysis
2.7. Statistics
3. Results
3.1. Preliminary Evidence for Impact of MB Infusion Method on BBB Permeability Enhancement
3.2. Dual-Strategy Acoustic Emissions-Based Exposure Calibration In Vivo
3.3. Impact of Sonication Parameters on Relative Gd Contrast Enhancement
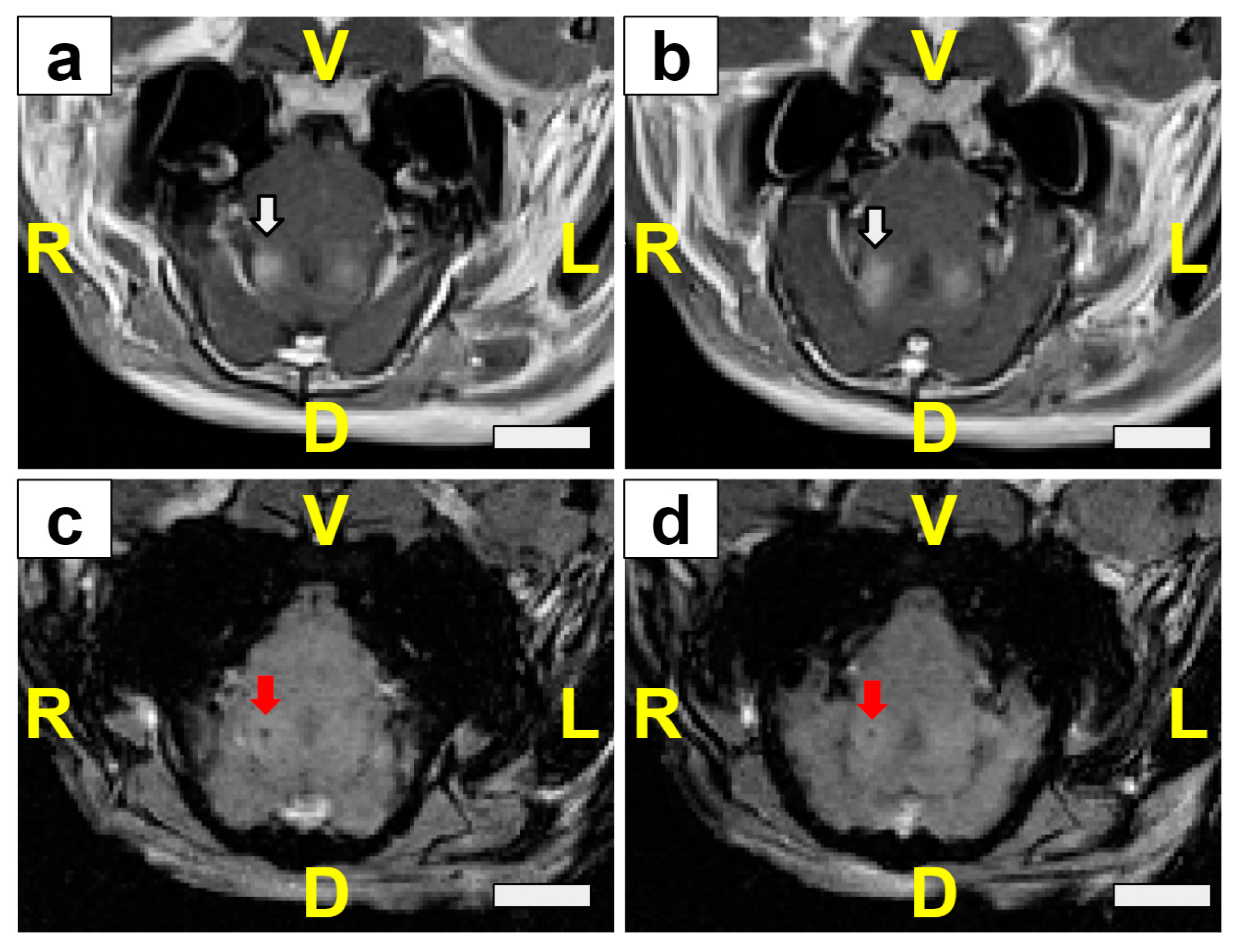
3.4. T2*w MRI Rarely Displayed Signal Hypointensities
3.5. RBC Extravasation Correlated with Relative Gd Contrast Enhancement
3.6. Extravasation of Blood-Borne Proteins Correlated with Relative Gd Contrast Enhancement
4. Discussion
Limitations
5. Conclusions
Author Contributions
Funding
Institutional Review Board Statement
Informed Consent Statement
Data Availability Statement
Acknowledgments
Conflicts of Interest
Abbreviations
Appendix A





References
- Liu, H.-L.; Hua, M.-Y.; Chen, P.-Y.; Chu, P.-C.; Pan, C.-H.; Yang, H.-W.; Huang, C.-Y.; Wang, J.-J.; Yen, T.-C.; Wei, K.-C. Blood-Brain Barrier Disruption with Focused Ultrasound Enhances Delivery of Chemotherapeutic Drugs for Glioblastoma Treatment. Radiology 2010, 255, 415–425. [Google Scholar] [CrossRef] [PubMed]
- Kong, C.; Yang, E.-J.; Shin, J.; Park, J.; Kim, S.-H.; Park, S.-W.; Chang, W.S.; Lee, C.-H.; Kim, H.; Kim, H.-S.; et al. Enhanced Delivery of a Low Dose of Aducanumab via FUS in 5×FAD Mice, an AD Model. Transl. Neurodegener. 2022, 11, 57. [Google Scholar] [CrossRef]
- Nisbet, R.M.; Van der Jeugd, A.; Leinenga, G.; Evans, H.T.; Janowicz, P.W.; Götz, J. Combined Effects of Scanning Ultrasound and a Tau-Specific Single Chain Antibody in a Tau Transgenic Mouse Model. Brain 2017, 140, 1220–1230. [Google Scholar] [CrossRef]
- Dubey, S.; Heinen, S.; Krantic, S.; McLaurin, J.; Branch, D.R.; Hynynen, K.; Aubert, I. Clinically Approved IVIg Delivered to the Hippocampus with Focused Ultrasound Promotes Neurogenesis in a Model of Alzheimer’s Disease. Proc. Natl. Acad. Sci. USA 2020, 117, 32691–32700. [Google Scholar] [CrossRef] [PubMed]
- Lipsman, N.; Meng, Y.; Bethune, A.J.; Huang, Y.; Lam, B.; Masellis, M.; Herrmann, N.; Heyn, C.; Aubert, I.; Boutet, A.; et al. Blood–brain Barrier Opening in Alzheimer’s Disease Using MR-Guided Focused Ultrasound. Nat. Commun. 2018, 9, 2336. [Google Scholar] [CrossRef] [PubMed]
- Carpentier, A.; Canney, M.; Vignot, A.; Reina, V.; Beccaria, K.; Horodyckid, C.; Karachi, C.; Leclercq, D.; Lafon, C.; Chapelon, J.-Y.; et al. Clinical Trial of Blood-Brain Barrier Disruption by Pulsed Ultrasound. Sci. Transl. Med. 2016, 8, 343re2. [Google Scholar] [CrossRef] [PubMed]
- Rezai, A.R.; Ranjan, M.; D’Haese, P.-F.; Haut, M.W.; Carpenter, J.; Najib, U.; Mehta, R.I.; Chazen, J.L.; Zibly, Z.; Yates, J.R.; et al. Noninvasive Hippocampal Blood-Brain Barrier Opening in Alzheimer’s Disease with Focused Ultrasound. Proc. Natl. Acad. Sci. USA 2020, 117, 9180–9182. [Google Scholar] [CrossRef]
- Mainprize, T.; Lipsman, N.; Huang, Y.; Meng, Y.; Bethune, A.; Ironside, S.; Heyn, C.; Alkins, R.; Trudeau, M.; Sahgal, A.; et al. Blood-Brain Barrier Opening in Primary Brain Tumors with Non-Invasive MR-Guided Focused Ultrasound: A Clinical Safety and Feasibility Study. Sci. Rep. 2019, 9, 321. [Google Scholar] [CrossRef]
- Rezai, A.R.; D’Haese, P.-F.; Finomore, V.; Carpenter, J.; Ranjan, M.; Wilhelmsen, K.; Mehta, R.I.; Wang, P.; Najib, U.; Vieira Ligo Teixeira, C.; et al. Ultrasound Blood–Brain Barrier Opening and Aducanumab in Alzheimer’s Disease. N. Engl. J. Med. 2024, 390, 55–62. [Google Scholar] [CrossRef]
- Meng, Y.; Reilly, R.M.; Pezo, R.C.; Trudeau, M.; Sahgal, A.; Singnurkar, A.; Perry, J.; Myrehaug, S.; Pople, C.B.; Davidson, B.; et al. MR-Guided Focused Ultrasound Enhances Delivery of Trastuzumab to Her2-Positive Brain Metastases. Sci. Transl. Med. 2021, 13, eabj4011. [Google Scholar] [CrossRef]
- Aryal, M.; Arvanitis, C.D.; Alexander, P.M.; McDannold, N. Ultrasound-Mediated Blood-Brain Barrier Disruption for Targeted Drug Delivery in the Central Nervous System. Adv. Drug Deliv. Rev. 2014, 72, 94–109. [Google Scholar] [CrossRef] [PubMed]
- Huang, Y.; Meng, Y.; Pople, C.B.; Bethune, A.; Jones, R.M.; Abrahao, A.; Hamani, C.; Kalia, S.K.; Kalia, L.V.; Lipsman, N.; et al. Cavitation Feedback Control of Focused Ultrasound Blood-Brain Barrier Opening for Drug Delivery in Patients with Parkinson’s Disease. Pharmaceutics 2022, 14, 2607. [Google Scholar] [CrossRef] [PubMed]
- McDannold, N.; Wen, P.Y.; Reardon, D.A.; Fletcher, S.-M.; Golby, A.J. Cavitation Monitoring, Treatment Strategy, and Acoustic Simulations of Focused Ultrasound Blood-Brain Barrier Disruption in Patients with Glioblastoma. J. Control. Release 2024, 372, 194–208. [Google Scholar] [CrossRef] [PubMed]
- Meng, Y.; Pople, C.B.; Huang, Y.; Jones, R.M.; Ottoy, J.; Goubran, M.; Oliveira, L.M.; Davidson, B.; Lawrence, L.S.P.; Lau, A.Z.; et al. Putaminal Recombinant Glucocerebrosidase Delivery with Magnetic Resonance-Guided Focused Ultrasound in Parkinson’s Disease: A Phase I Study. Mov. Disord. 2022, 37, 2134–2139. [Google Scholar] [CrossRef]
- Kawaguchi, H. Functional Polymer Microspheres. Prog. Polym. Sci. 2000, 25, 1171–1210. [Google Scholar] [CrossRef]
- Song, K.-H.; Fan, A.C.; Hinkle, J.J.; Newman, J.; Borden, M.A.; Harvey, B.K. Microbubble Gas Volume: A Unifying Dose Parameter in Blood-Brain Barrier Opening by Focused Ultrasound. Theranostics 2017, 7, 144–152. [Google Scholar] [CrossRef]
- Goertz, D.E.; Wright, C.; Hynynen, K. Contrast Agent Kinetics in the Rabbit Brain during Exposure to Therapeutic Ultrasound. Ultrasound Med. Biol. 2010, 36, 916–924. [Google Scholar] [CrossRef]
- Fletcher, S.-M.P.; Zhang, Y.-Z.; Chisholm, A.; Martinez, S.; McDannold, N.J. The Impact of Pulse Repetition Frequency on Microbubble Activity and Drug Delivery during Focused Ultrasound-Mediated Blood-Brain Barrier Opening. Phys. Med. Biol. 2024, 69, 145002. [Google Scholar] [CrossRef]
- McDannold, N.; Arvanitis, C.D.; Vykhodtseva, N.; Livingstone, M.S. Temporary Disruption of the Blood-Brain Barrier by Use of Ultrasound and Microbubbles: Safety and Efficacy Evaluation in Rhesus Macaques. Cancer Res. 2012, 72, 3652–3663. [Google Scholar] [CrossRef]
- McDannold, N.; Vykhodtseva, N.; Hynynen, K. Targeted Disruption of the Blood--Brain Barrier with Focused Ultrasound: Association with Cavitation Activity. Phys. Med. Biol. 2006, 51, 793–807. [Google Scholar] [CrossRef]
- Tung, Y.-S.; Vlachos, F.; Choi, J.J.; Deffieux, T. In Vivo Transcranial Cavitation Threshold Detection during Ultrasound-Induced Blood–brain Barrier Opening in Mice. Phys. Med. Biol. 2010, 55, 6141–6155. [Google Scholar] [CrossRef] [PubMed]
- Mullin, L.; Gessner, R.; Kwan, J.; Kaya, M.; Borden, M.A.; Dayton, P.A. Effect of Anesthesia Carrier Gas on in Vivo Circulation Times of Ultrasound Microbubble Contrast Agents in Rats. Contrast Media Mol. Imaging 2011, 6, 126–131. [Google Scholar] [CrossRef] [PubMed]
- McDannold, N.; Zhang, Y.; Vykhodtseva, N. The Effects of Oxygen on Ultrasound-Induced Blood-Brain Barrier Disruption in Mice. Ultrasound Med. Biol. 2017, 43, 469–475. [Google Scholar] [CrossRef] [PubMed]
- Ellens, N.P.K.; Lucht, B.B.C.; Gunaseelan, S.T.; Hudson, J.M.; Hynynen, K.H. A Novel, Flat, Electronically-Steered Phased Array Transducer for Tissue Ablation: Preliminary Results. Phys. Med. Biol. 2015, 60, 2195–2215. [Google Scholar] [CrossRef]
- Adams, C.; Jones, R.M.; Yang, S.D.; Kan, W.M.; Leung, K.; Zhou, Y.; Lee, K.U.; Huang, Y.; Hynynen, K. Implementation of a Skull-Conformal Phased Array for Transcranial Focused Ultrasound Therapy. IEEE Trans. Biomed. Eng. 2021, 68, 3457–3468. [Google Scholar] [CrossRef] [PubMed]
- Sun, J.; Hynynen, K. Focusing of Therapeutic Ultrasound through a Human Skull: A Numerical Study. J. Acoust. Soc. Am. 1998, 104, 1705–1715. [Google Scholar] [CrossRef]
- Jones, R.M.; O’Reilly, M.A.; Hynynen, K. Transcranial Passive Acoustic Mapping with Hemispherical Sparse Arrays Using CT-Based Skull-Specific Aberration Corrections: A Simulation Study. Phys. Med. Biol. 2013, 58, 4981–5005. [Google Scholar] [CrossRef]
- Jones, R.M.; Hynynen, K. Comparison of Analytical and Numerical Approaches for CT-Based Aberration Correction in Transcranial Passive Acoustic Imaging. Phys. Med. Biol. 2016, 61, 23–36. [Google Scholar] [CrossRef]
- Song, J.; Lucht, B.; Hynynen, K. Large Improvement of the Electrical Impedance of Imaging and High-Intensity Focused Ultrasound (HIFU) Phased Arrays Using Multilayer Piezoelectric Ceramics Coupled in Lateral Mode. IEEE Trans. Ultrason. Ferroelectr. Freq. Control 2012, 59, 1584–1595. [Google Scholar] [CrossRef]
- Hynynen, K.; Yin, J. Lateral Mode Coupling to Reduce the Electrical Impedance of Small Elements Required for High Power Ultrasound Therapy Phased Arrays. IEEE Trans. Ultrason. Ferroelectr. Freq. Control 2009, 56, 557–564. [Google Scholar] [CrossRef]
- O’Reilly, M.A.; Jones, R.M.; Hynynen, K. Three-Dimensional Transcranial Ultrasound Imaging of Microbubble Clouds Using a Sparse Hemispherical Array. IEEE Trans. Biomed. Eng. 2014, 61, 1285–1294. [Google Scholar] [CrossRef] [PubMed]
- Leighton, T.G. The Acoustic Bubble; Academic Press: London, UK, 1994; Volume 96. [Google Scholar]
- Goertz, D.E.; de Jong, N.; Van Der Steen, A.F.W. Attenuation and Size Distribution Measurements of Definity and Manipulated Definity Populations. Ultrasound Med. Biol. 2007, 33, 1376–1388. [Google Scholar] [CrossRef] [PubMed]
- Helfield, B.L.; Huo, X.; Williams, R.; Goertz, D.E. The Effect of Preactivation Vial Temperature on the Acoustic Properties of DefinityTM. Ultrasound Med. Biol. 2012, 38, 1298–1305. [Google Scholar] [CrossRef]
- Jones, R.M.; Deng, L.; Leung, K.; McMahon, D.; O’Reilly, M.A.; Hynynen, K. Three-Dimensional Transcranial Microbubble Imaging for Guiding Volumetric Ultrasound-Mediated Blood-Brain Barrier Opening. Theranostics 2018, 8, 2909–2926. [Google Scholar] [CrossRef] [PubMed]
- Chopra, R.; Vykhodtseva, N.; Hynynen, K. Influence of Exposure Time and Pressure Amplitude on Blood-Brain-Barrier Opening Using Transcranial Ultrasound Exposures. ACS Chem. Neurosci. 2010, 1, 391–398. [Google Scholar] [CrossRef]
- McDannold, N.; Vykhodtseva, N.; Hynynen, K. Effects of Acoustic Parameters and Ultrasound Contrast Agent Dose on Focused-Ultrasound Induced Blood-Brain Barrier Disruption. Ultrasound Med. Biol. 2008, 34, 930–937. [Google Scholar] [CrossRef]
- O’Reilly, M.A.; Hynynen, K. Blood-Brain Barrier: Real-Time Feedback-Controlled Focused Ultrasound Disruption by Using an Acoustic Emissions-Based Controller. Radiology 2012, 263, 96–106. [Google Scholar] [CrossRef]
- Jones, R.M.; McMahon, D.; Hynynen, K. Ultrafast Three-Dimensional Microbubble Imaging in Vivo Predicts Tissue Damage Volume Distributions during Nonthermal Brain Ablation. Theranostics 2020, 10, 7211–7230. [Google Scholar] [CrossRef]
- Arganda-Carreras, I.; Kaynig, V.; Rueden, C.; Eliceiri, K.W.; Schindelin, J.; Cardona, A.; Sebastian Seung, H. Trainable Weka Segmentation: A Machine Learning Tool for Microscopy Pixel Classification. Bioinformatics 2017, 33, 2424–2426. [Google Scholar] [CrossRef]
- Deng, L.; Yang, S.D.; O’Reilly, M.A.; Jones, R.M.; Hynynen, K. An Ultrasound-Guided Hemispherical Phased Array for Microbubble-Mediated Ultrasound Therapy. IEEE Trans. Biomed. Eng. 2022, 69, 1776–1787. [Google Scholar] [CrossRef]
- Meng, Y.; Abrahao, A.; Heyn, C.C.; Bethune, A.J.; Huang, Y.; Pople, C.; Aubert, I.; Hamani, C.; Zinman, L.; Hynynen, K.; et al. Glymphatics Visualization after Focused Ultrasound Induced Blood-Brain Barrier Opening in Humans. Ann. Neurol. 2019, 86, 975–980. [Google Scholar] [CrossRef] [PubMed]
- Lee, Y.; Choi, Y.; Park, E.-J.; Kwon, S.; Kim, H.; Lee, J.Y.; Lee, D.S. Improvement of Glymphatic-Lymphatic Drainage of Beta-Amyloid by Focused Ultrasound in Alzheimer’s Disease Model. Sci. Rep. 2020, 10, 16144. [Google Scholar] [CrossRef] [PubMed]
- McMahon, D.; Deng, L.; Hynynen, K. Comparing Rapid Short-Pulse to Tone Burst Sonication Sequences for Focused Ultrasound and Microbubble-Mediated Blood-Brain Barrier Permeability Enhancement. J. Control. Release 2020, 329, 696–705. [Google Scholar] [CrossRef]
- Ye, D.; Chen, S.; Liu, Y.; Weixel, C.; Hu, Z.; Yuan, J.; Chen, H. Mechanically Manipulating Glymphatic Transport by Ultrasound Combined with Microbubbles. Proc. Natl. Acad. Sci. USA 2023, 120, e2212933120. [Google Scholar] [CrossRef] [PubMed]
- Hynynen, K.; McDannold, N.; Vykhodtseva, N.; Jolesz, F.A. Noninvasive MR Imaging-Guided Focal Opening of the Blood-Brain Barrier in Rabbits. Radiology 2001, 220, 640–646. [Google Scholar] [CrossRef]
- Abrahao, A.; Meng, Y.; Llinas, M.; Huang, Y.; Hamani, C.; Mainprize, T.; Aubert, I.; Heyn, C.; Black, S.E.; Hynynen, K.; et al. First-in-Human Trial of Blood-Brain Barrier Opening in Amyotrophic Lateral Sclerosis Using MR-Guided Focused Ultrasound. Nat. Commun. 2019, 10, 4373. [Google Scholar] [CrossRef]
- Gong, Y.; Ye, D.; Chien, C.-Y.; Yue, Y.; Chen, H. Comparison of Sonication Patterns and Microbubble Administration Strategies for Focused Ultrasound-Mediated Large-Volume Drug Delivery. IEEE Trans. Biomed. Eng. 2022, 69, 3449–3459. [Google Scholar] [CrossRef]
- Stapleton, S.; Goodman, H.; Zhou, Y.-Q.; Cherin, E.; Henkelman, R.M.; Burns, P.N.; Foster, F.S. Acoustic and Kinetic Behaviour of Definity in Mice Exposed to High Frequency Ultrasound. Ultrasound Med. Biol. 2009, 35, 296–307. [Google Scholar] [CrossRef]
- McMahon, D.; Hynynen, K. Acute Inflammatory Response Following Increased Blood-Brain Barrier Permeability Induced by Focused Ultrasound Is Dependent on Microbubble Dose. Theranostics 2017, 7, 3989–4000. [Google Scholar] [CrossRef]
- Kaya, M.; Gregory, T.S., 5th; Dayton, P.A. Changes in Lipid-Encapsulated Microbubble Population during Continuous Infusion and Methods to Maintain Consistency. Ultrasound Med. Biol. 2009, 35, 1748–1755. [Google Scholar] [CrossRef]
- Sun, T.; Zhang, Y.; Power, C.; Alexander, P.M.; Sutton, J.T.; Aryal, M.; Vykhodtseva, N.; Miller, E.L.; McDannold, N.J. Closed-Loop Control of Targeted Ultrasound Drug Delivery across the Blood-Brain/tumor Barriers in a Rat Glioma Model. Proc. Natl. Acad. Sci. USA 2017, 114, E10281–E10290. [Google Scholar] [CrossRef] [PubMed]
- Pascal, A.; Li, N.; Lechtenberg, K.J.; Rosenberg, J.; Airan, R.D.; James, M.L.; Bouley, D.M.; Pauly, K.B. Histologic Evaluation of Activation of Acute Inflammatory Response in a Mouse Model Following Ultrasound- Mediated Blood-Brain Barrier Using Different Acoustic Pressures and Microbubble Doses. Nanotheranostics 2020, 4, 210–223. [Google Scholar] [CrossRef] [PubMed]
- Kinoshita, M.; Mc Dannold, N.; Jolesz, F.A.; Hynynen, K. Noninvasive Localized Delivery of Herceptin to the Mouse Brain by MRI-Guided Focused Ultrasound-Induced Blood–brain Barrier Disruption. Proc. Natl. Acad. Sci. USA 2006, 103, 11719–11723. [Google Scholar] [CrossRef]
- Park, J.; Zhang, Y.; Vykhodtseva, N.; Jolesz, F.A.; McDannold, N.J. The Kinetics of Blood Brain Barrier Permeability and Targeted Doxorubicin Delivery into Brain Induced by Focused Ultrasound. J. Control. Release 2012, 162, 134–142. [Google Scholar] [CrossRef] [PubMed]
- Iliff, J.J.; Wang, M.; Liao, Y.; Plogg, B.A.; Peng, W.; Gundersen, G.A.; Benveniste, H.; Vates, G.E.; Deane, R.; Goldman, S.A.; et al. A Paravascular Pathway Facilitates CSF Flow through the Brain Parenchyma and the Clearance of Interstitial Solutes, Including Amyloid β. Sci. Transl. Med. 2012, 4, 147ra111. [Google Scholar] [CrossRef]
- McMahon, D.; Lassus, A.; Gaud, E.; Jeannot, V.; Hynynen, K. Microbubble Formulation Influences Inflammatory Response to Focused Ultrasound Exposure in the Brain. Sci. Rep. 2020, 10, 21534. [Google Scholar] [CrossRef]
- Mathew, A.S.; Gorick, C.M.; Price, R.J. Multiple Regression Analysis of a Comprehensive Transcriptomic Data Assembly Elucidates Mechanically- and Biochemically-Driven Responses to Focused Ultrasound Blood-Brain Barrier Disruption. Theranostics 2021, 11, 9847–9858. [Google Scholar] [CrossRef]
- McDannold, N.; Zhang, Y.; Supko, J.G.; Power, C.; Sun, T.; Vykhodtseva, N.; Golby, A.J.; Reardon, D.A. Blood-Brain Barrier Disruption and Delivery of Irinotecan in a Rat Model Using a Clinical Transcranial MRI-Guided Focused Ultrasound System. Sci. Rep. 2020, 10, 8766. [Google Scholar] [CrossRef]
- Raymond, S.B.; Skoch, J.; Hynynen, K.; Bacskai, B.J. Multiphoton Imaging of ultrasound/Optison Mediated Cerebrovascular Effects in Vivo. J. Cereb. Blood Flow Metab. 2007, 27, 393–403. [Google Scholar] [CrossRef]
- Marty, B.; Larrat, B.; Landeghem, M.V.; Robic, C.; Robert, P.; Port, M.; Bihan, D.L.; Pernot, M.; Tanter, M.; Lethimonnier, F.; et al. Dynamic Study of Blood–Brain Barrier Closure after Its Disruption Using Ultrasound: A Quantitative Analysis. J. Cereb. Blood Flow Metab. 2012, 32, 1948–1958. [Google Scholar] [CrossRef]
- Clement, G.T.; Hynynen, K. A Non-Invasive Method for Focusing Ultrasound through the Human Skull. Phys. Med. Biol. 2002, 47, 1219–1236. [Google Scholar] [CrossRef] [PubMed]
- Jones, R.M.; Huang, Y.; Meng, Y.; Scantlebury, N.; Schwartz, M.L.; Lipsman, N.; Hynynen, K. Echo-Focusing in Transcranial Focused Ultrasound Thalamotomy for Essential Tremor: A Feasibility Study. Mov. Disord. 2020, 35, 2327–2333. [Google Scholar] [CrossRef] [PubMed]
- O’Reilly, M.A.; Hynynen, K. A Super-Resolution Ultrasound Method for Brain Vascular Mapping. Med. Phys. 2013, 40, 110701. [Google Scholar] [CrossRef] [PubMed]






| Cohort | MB Infusion Method | Sonication Parameters | Number of Targets Sonicated | Number of Animals | |||
|---|---|---|---|---|---|---|---|
| Burst Length (ms) | Target Level (%) | Number of Tx Phase Bursts | Target-Wise BRF (Hz) | ||||
| 1 | Continuous manual agitation (1.6 μL/kg/min) | 5 | 75 | 0 | 1.0 | 8 | 2 |
| 5 | 75 | 60 | 8 | ||||
| 5 | 75 | 120 | 8 | ||||
| 5 | 75 | 240 | 8 | ||||
| Gravity drip (1.6 μL/kg/min) | 5 | 50 | 120 | 6 | 2 | ||
| 5 | 70 | 120 | 6 | ||||
| 5 | 80 | 120 | 6 | ||||
| 5 | 90 | 120 | 6 | ||||
| 2 | Continuous manual agitation (1.6 μL/kg/min) | 1 | 75 | 0 | 0.2 | 12 | 3 |
| 1 | 75 | 60 | 12 | ||||
| 1 | 75 | 120 | 12 | ||||
| 1 | 75 | 240 | 12 | ||||
| 5 | 50 | 0 | 12 | 3 | |||
| 5 | 50 | 60 | 12 | ||||
| 5 | 50 | 120 | 12 | ||||
| 5 | 50 | 240 | 12 | ||||
| 5 | 75 | 0 | 16 | 4 | |||
| 5 | 75 | 60 | 16 | ||||
| 5 | 75 | 120 | 16 | ||||
| 5 | 75 | 240 | 16 | ||||
| 10 | 50 | 0 | 12 | 3 | |||
| 10 | 50 | 60 | 12 | ||||
| 10 | 50 | 120 | 12 | ||||
| 10 | 50 | 240 | 12 | ||||
| 10 | 75 | 0 | 20 | 5 | |||
| 10 | 75 | 60 | 20 | ||||
| 10 | 75 | 120 | 20 | ||||
| 10 | 75 | 240 | 20 | ||||
| T2w (Targeting) | T1w (Post-FUS + MBs) | T2*w (Post-FUS + MBs) | |
|---|---|---|---|
| Sequence type | 3D SPACE | TSE | 3D GRE |
| Echo time (ms) | 239 | 8.6 | 15 |
| Repetition time (ms) | 5000 | 616 | 27 |
| Number of averages | 2 | 3 | 2 |
| FOV (mm) | 163 × 163 | 100 × 100 | 100 × 100 |
| Matrix size | 192 × 192 | 256 × 256 | 256 × 256 |
| Slice Thickness (mm) | 1.5 | 1.5 | 1.5 |
| Flip angle (°) | 120 | 150 | 13 |
| Metric | Number of Bursts Included | Mean ± SD | Range [Min, Max] |
|---|---|---|---|
| Calibration PNP (MPa) | |||
| All burst lengths | 237 | 0.53 ± 0.09 | [0.38, 0.94] |
| 1 ms burst length | 38 | 0.58 ± 0.08 | [0.45, 0.82] |
| 5 ms burst length | 95 | 0.55 ± 0.10 | [0.38, 0.94] |
| 10 ms burst length | 104 | 0.50 ± 0.07 | [0.38, 0.74] |
| Intra-Grid Calibration PNP Range (MPa) | 237 | 0.23 ± 0.09 | [0.10, 0.45] |
| Calibration Time (s) | 237 | 117 ± 26 | [70, 235] |
| Steering Distance (mm) | 237 | 28 ± 6 | [17, 39] |
| Steering Factor (%) | 237 | 91 ± 2 | [87, 94] |
| PSLR (%) | 206 | 49 ± 13 | [18, 70] |
| Positional Error (mm) | 206 | 2.0 ± 1.0 | [0, 4.2] |
| −3 dB Main Lobe Short Axis (mm) | 197 | 2.2 ± 0.3 | [1.6, 3.4] |
| −3 dB Main Lobe Long Axis (mm) | 197 | 5.4 ± 1.0 | [3.8, 9.0] |
Disclaimer/Publisher’s Note: The statements, opinions and data contained in all publications are solely those of the individual author(s) and contributor(s) and not of MDPI and/or the editor(s). MDPI and/or the editor(s) disclaim responsibility for any injury to people or property resulting from any ideas, methods, instructions or products referred to in the content. |
© 2024 by the authors. Licensee MDPI, Basel, Switzerland. This article is an open access article distributed under the terms and conditions of the Creative Commons Attribution (CC BY) license (https://creativecommons.org/licenses/by/4.0/).
Share and Cite
McMahon, D.; Jones, R.M.; Ramdoyal, R.; Zhuang, J.Y.X.; Leavitt, D.; Hynynen, K. Investigation of Sonication Parameters for Large-Volume Focused Ultrasound-Mediated Blood–Brain Barrier Permeability Enhancement Using a Clinical-Prototype Hemispherical Phased Array. Pharmaceutics 2024, 16, 1289. https://doi.org/10.3390/pharmaceutics16101289
McMahon D, Jones RM, Ramdoyal R, Zhuang JYX, Leavitt D, Hynynen K. Investigation of Sonication Parameters for Large-Volume Focused Ultrasound-Mediated Blood–Brain Barrier Permeability Enhancement Using a Clinical-Prototype Hemispherical Phased Array. Pharmaceutics. 2024; 16(10):1289. https://doi.org/10.3390/pharmaceutics16101289
Chicago/Turabian StyleMcMahon, Dallan, Ryan M. Jones, Rohan Ramdoyal, Joey Ying Xuan Zhuang, Dallas Leavitt, and Kullervo Hynynen. 2024. "Investigation of Sonication Parameters for Large-Volume Focused Ultrasound-Mediated Blood–Brain Barrier Permeability Enhancement Using a Clinical-Prototype Hemispherical Phased Array" Pharmaceutics 16, no. 10: 1289. https://doi.org/10.3390/pharmaceutics16101289
APA StyleMcMahon, D., Jones, R. M., Ramdoyal, R., Zhuang, J. Y. X., Leavitt, D., & Hynynen, K. (2024). Investigation of Sonication Parameters for Large-Volume Focused Ultrasound-Mediated Blood–Brain Barrier Permeability Enhancement Using a Clinical-Prototype Hemispherical Phased Array. Pharmaceutics, 16(10), 1289. https://doi.org/10.3390/pharmaceutics16101289

