A Stealthiness Evaluation of Main Chain Carboxybetaine Polymer Modified into Liposome
Abstract
1. Introduction
2. Materials and Methods
2.1. Materials
2.2. Animals
2.3. Proton Nuclear Magnetic Resonance (1H NMR) Analysis
2.4. Gel Permeation Chromatography (GPC) Analysis
2.5. Synthesis of PAMPI-Modified Lipids
- A.
- Synthesis of 1
- B.
- Synthesis of 2
- C.
- Synthesis of 3
- D.
- Synthesis of 4
- E.
- Synthesis of 5
2.6. Synthesis of PCB-Modified Lipids
2.7. Preparation of Liposomes
2.8. Transmission Electron Microscope (TEM) Imaging
2.9. Computational Method
2.10. Calculation of Radius of Gyration and Scattering Function
2.11. Evaluation of Blood Retention of Liposomes
2.12. Evaluation of Biodistribution of Liposomes
2.13. Evaluation of Antibody Production by the Liposomes
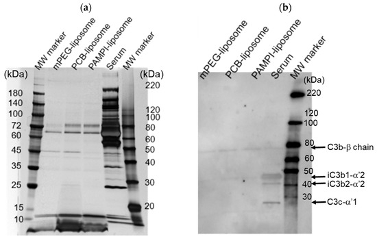
2.14. Evaluation of Serum Protein Adsorption on Liposomes
2.15. Western Blot (WB) Assay of Bound C3 Protein
2.16. Statistical Data Analysis
3. Results and Discussion
4. Conclusions
Supplementary Materials
Author Contributions
Funding
Institutional Review Board Statement
Informed Consent Statement
Data Availability Statement
Conflicts of Interest
References
- Ichihara, M.; Shimizu, T.; Imoto, A.; Hashiguchi, Y.; Uehara, Y.; Ishida, T.; Kiwada, H. Anti-PEG IgM response against PEGylated liposomes in mice and rats. Pharmaceutics 2010, 3, 1–11. [Google Scholar] [CrossRef] [PubMed]
- Laverman, P.; Carstens, M.G.; Boerman, O.C.; Dams, E.T.M.; Oyen, W.J.; van Rooijen, N.; Corstens, F.H.; Storm, G. Factors affecting the accelerated blood clearance of polyethylene glycol-liposomes upon repeated injection. J. Pharmacol. Exp. Ther. 2001, 298, 607–612. [Google Scholar] [PubMed]
- Kozma, G.T.; Mészáros, T.; Vashegyi, I.; Fülöp, T.; Örfi, E.; Dézsi, L.; Rosivall, L.; Bavli, Y.; Urbanics, R.; Mollnes, T.E.; et al. Pseudo-anaphylaxis to polyethylene glycol (PEG)-coated liposomes: Roles of anti-PEG IgM and complement activation in a porcine model of human infusion reactions. ACS Nano 2019, 13, 9315–9324. [Google Scholar] [CrossRef] [PubMed]
- Zhao, Y.; Wang, L.; Yan, M.; Ma, Y.; Zang, G.; She, Z.; Deng, Y. Repeated injection of PEGylated solid lipid nanoparticles induces accelerated blood clearance in mice and beagles. Int. J. Nanomed. 2012, 7, 2891–2900. [Google Scholar]
- Hong, L.; Wang, Z.; Wei, X.; Shi, J.; Li, C. Antibodies against polyethylene glycol in human blood: A literature review. J. Pharmacol. Toxicol. Methods 2020, 102, 106678. [Google Scholar] [CrossRef] [PubMed]
- Xu, H.; Ye, F.; Hu, M.; Yin, P.; Zhang, W.; Li, Y.; Yu, X.; Deng, Y. Influence of phospholipid types and animal models on the accelerated blood clearance phenomenon of PEGylated liposomes upon repeated injection. Drug Deliv. 2015, 22, 598–607. [Google Scholar] [CrossRef]
- Zhang, Z.; Vaisocherová, H.; Cheng, G.; Yang, W.; Xue, H.; Jiang, S. Nonfouling behavior of polycarboxybetaine-grafted surfaces: Structural and environmental effects. Biomacromolecules 2008, 9, 2686–2692. [Google Scholar] [CrossRef]
- Zhang, P.; Sun, F.; Tsao, C.; Liu, S.; Jain, P.; Sinclair, A.; Hung, H.C.; Bai, T.; Wu, K.; Jiang, S. Zwitterionic gel encapsulation promotes protein stability, enhances pharmacokinetics, and reduces immunogenicity. Proc. Natl. Acad. Sci. USA 2015, 112, 12046–12051. [Google Scholar] [CrossRef]
- Li, B.; Yuan, Z.; Hung, H.C.; Ma, J.; Jain, P.; Tsao, C.; Xie, J.; Zhang, P.; Lin, X.; Wu, K.; et al. Revealing the immunogenic risk of polymers. Angew. Chem. Int. Ed. 2018, 57, 13873–13876. [Google Scholar] [CrossRef]
- Ferapontov, A.; Omer, M.; Baudrexel, I.; Nielsen, J.S.; Dupont, D.M.; Juul-Madsen, K.; Steen, P.; Eklund, A.S.; Thiel, S.; Vorup-Jensen, T.; et al. Antigen footprint governs activation of the B cell receptor. Nat. Commun. 2023, 14, 976. [Google Scholar] [CrossRef] [PubMed]
- Koide, H.; Asai, T.; Hatanaka, K.; Urakami, T.; Ishii, T.; Kenjo, E.; Nishihara, M.; Yokoyama, M.; Ishida, T.; Kiwada, H.; et al. Particle size-dependent triggering of accelerated blood clearance phenomenon. Int. J. Pharm. 2008, 362, 197–200. [Google Scholar] [CrossRef] [PubMed]
- Kempe, K.; Lobert, M.; Hoogenboom, R.; Schubert, U.S. Synthesis and characterization of a series of diverse poly (2-oxazoline) s. J. Polym. Sci. Part A Polym. Chem. 2009, 47, 3829–3838. [Google Scholar] [CrossRef]
- Witte, H.; Seeliger, W. Cyclische imidsäureester aus nitrilen und aminoalkoholen. Justus Liebigs Ann. Chem. 1974, 6, 996–1009. [Google Scholar] [CrossRef]
- Kobayashi, S.; Masuda, E.; Shoda, S.; Shimano, Y. Synthesis of acryl-and methacryl-type macromonomers and telechelics by utilizing living polymerization of 2-oxazolines. Macromolecules 1989, 22, 2878–2884. [Google Scholar] [CrossRef]
- Park, J.S.; Kataoka, K. Precise control of lower critical solution temperature of thermosensitive poly (2-isopropyl-2-oxazoline) via gradient copolymerization with 2-ethyl-2-oxazoline as a hydrophilic comonomer. Macromolecules 2006, 39, 6622–6630. [Google Scholar] [CrossRef]
- Sedlacek, O.; Janouskova, O.; Verbraeken, B.; Hoogenboom, R. Straightforward route to superhydrophilic poly (2-oxazoline) s via acylation of well-defined polyethylenimine. Biomacromolecules 2018, 20, 222–230. [Google Scholar] [CrossRef]
- Mees, M.A.; Hoogenboom, R. Full and partial hydrolysis of poly (2-oxazoline) s and the subsequent post-polymerization modification of the resulting polyethylenimine (co) polymers. Polym. Chem. 2018, 9, 4968–4978. [Google Scholar] [CrossRef]
- Xiao, L.; Sakakibara, K.; Tsujii, Y.; Goto, A. Organocatalyzed living radical polymerization via in situ halogen exchange of alkyl bromides to alkyl iodides. Macromolecules 2017, 50, 1882–1891. [Google Scholar] [CrossRef]
- Ryujin, T.; Shimizu, T.; Miyahara, R.; Asai, D.; Shimazui, R.; Yoshikawa, T.; Kishimura, A.; Mori, T.; Ishida, T.; Katayama, Y. Blood retention and antigenicity of polycarboxybetaine-modified liposomes. Int. J. Pharm. 2020, 586, 119521. [Google Scholar] [CrossRef]
- Chong, Y.K.; Moad, G.; Rizzardo, E.; Thang, S.H. Thiocarbonylthio end group removal from RAFT-synthesized polymers by radical-induced reduction. Macromolecules 2007, 40, 4446–4455. [Google Scholar] [CrossRef]
- Bangham, A.D.; Horne, R.W. Negative staining of phospholipids and their structural modification by surface-active agents as observed in the electron microscope. J. Mol. Biol. 1964, 8, 660–668, IN2–IN10. [Google Scholar] [CrossRef] [PubMed]
- Thompson, A.P.; Aktulga, H.M.; Berger, R.; Bolintineanu, D.S.; Brown, W.M.; Crozier, P.S.; In’t Veld, P.J.; Kohlmeyer, A.; Moore, S.G.; Nguyen, T.D.; et al. LAMMPS-a flexible simulation tool for particle-based materials modeling at the atomic, meso, and continuum scales. Comput. Phys. Commun. 2022, 271, 108171. [Google Scholar] [CrossRef]
- Senda, N. Development of molecular calculation support system “Winmostar”. Idemitsu Tech. Rep. 2006, 49, 106–111. [Google Scholar]
- Frisch, M.E.; Trucks, G.W.; Schlegel, H.B.; Scuseria, G.E.; Robb, M.; Cheeseman, J.R.; Scalmani, G.; Barone, V.P.G.A.; Menucci, B.; Petersson, G.A.; et al. Gaussian 09; Gaussian Inc.: Wallingford, CT, USA, 2009; Volume 121, pp. 150–166. [Google Scholar]
- Wang, J.; Wolf, R.M.; Caldwell, J.W.; Kollman, P.A.; Case, D.A. Development and testing of a general AMBER force field. J. Comput. Chem. 2004, 25, 1157–1174. [Google Scholar] [CrossRef] [PubMed]
- Bayly, C.I.; Cieplak, P.; Cornell, W.D.; Kollman, P.A. A well-behaved electrostatic potential based method using charge restrains for determining atomcentered chargers: The RESP model. J. Phys. Chem. 1993, 97, 10262–10280. [Google Scholar] [CrossRef]
- Cornell, W.D.; Cieplak, P.; Bayly, C.I.; Kollman, P.A. Application of RESP charges to calculate conformational energies, hydrogen bond energies, and free energies of solvation. J. Am. Chem. Soc. 1993, 115, 9620–9631. [Google Scholar] [CrossRef]
- Abascal, J.L.F.; Vega, C. A general purpose model for the condensed phases of water: TIP4P/2005. J. Chem. Phys. 2005, 123, 234505. [Google Scholar] [CrossRef] [PubMed]
- Bekker, H.; Berendsen, H.J.C.; Dijkstra, E.J.; Achterop, S.; van Drunen, R.; van der Spoel, D.; Sijbers, A.; Kegstra, H. Gromacs: A parallel computer for molecular dynamics simulations. In Proceedings of the 4th International Conference on Computational Physics (PC 92), Prague, Czech Republic, 24–28 August 1992; World Scientific Publishing: Singapore, 1993. [Google Scholar]
- Berendsen, H.J.C.; van der Spoel, D.; van Drunen, R. GROMACS: A message-passing parallel molecular dynamics implementation. Comput. Phys. Commun. 1995, 91, 43–56. [Google Scholar] [CrossRef]
- Lindahl, E.; Hess, V.; van der Spoel, D. GROMACS 3.0: A package for molecular simulation and trajectory analysis. J. Mol. Mod. 2001, 7, 306–317. [Google Scholar] [CrossRef]
- van der Spoel, D.; Lindahl, E.; Hess, B.; Groenhof, G.; Mark, A.E.; Berendsen, H.J.C. GROMACS: Fast, Flexible and Free. J. Comp. Chem. 2005, 26, 1701–1718. [Google Scholar] [CrossRef]
- Hess, B.; Kutzner, C.; van der Spoel, D.; Lindahl, E. GROMACS 4: Algorithms for Highly Efficient, Load-Balanced, and Scalable Molecular Simulation. J. Chem. Theory Comput. 2008, 4, 435–447. [Google Scholar] [CrossRef] [PubMed]
- Pronk, S.; Páll, S.; Schulz, R.; Larsson, P.; Bjelkmar, P.; Apostolov, R.; Shirts, M.R.; Smith, J.C. GROMACS 4.5: A high-throughput and highly parallel open source molecular simulation toolkit. Bioinformatics 2013, 29, 845–854. [Google Scholar] [CrossRef]
- Páll, S.; Abraham, M.J.; Kutzner, C.; Hess, B.; Lindahl, E. Tackling exascale software challenges in molecular dynamics simulations with GROMACS. In Solving Software Challenges for Exascale: International Conference on Exascale Applications and Software, EASC 2014, Stockholm, Sweden, 2–3 April 2014, Revised Selected Papers 2; Markidis, S., Laure, E., Eds.; Springer International Publishing: London, UK, 2015. [Google Scholar]
- Abraham, M.J.; Murtola, T.; Schulz, R.; Páll, S.; Smith, J.C.; Hess, B.; Lindahl, E. GROMACS: High performance molecular simulations through multi-level parallel-ism from laptops to supercomputers. SoftwareX 2015, 1, 19–25. [Google Scholar] [CrossRef]
- Berendsen, H.J.C.; Postma, J.P.M.; van Gunsteren, W.F.; DiNola, A.; Haak, J.R. Molecular-Dynamics with Coupling to an External Bath. J. Chem. Phys. 1984, 81, 3684–3690. [Google Scholar] [CrossRef]
- Parrinello, M.; Rahman, A. Crystal Structure and Pair Potentials: A Molecular-Dynamics Study. Phys. Rev. Lett. 1980, 45, 1196–1199. [Google Scholar] [CrossRef]
- Shuichi, N. A unified formulation of the constant temperature molecular-dynamics methods. J. Chem. Phys. 1984, 81, 511–519. [Google Scholar]
- Hoover, W.G. Canonical dynamics: Equilibrium phase-space distributions. Phys. Rev. A 1985, 31, 1695–1697. [Google Scholar] [CrossRef] [PubMed]
- Darden, T.A.; York, D.M.; Pedersen, L.G. Particle mesh Ewald: An N log (N) method for Ewald sums in large systems. J. Chem. Phys. 1993, 98, 10089–10092. [Google Scholar] [CrossRef]
- Essmann, U.; Perera, L.; Berkowitz, M.L.; Darden, T.; Lee, H.; Pedersen, L.G. A smooth particle mesh Ewald method. J. Chem. Phys. 1995, 103, 8577–8593. [Google Scholar] [CrossRef]
- Ishida, T.; Wang, X.Y.; Shimizu, T.; Nawata, K.; Kiwada, H. PEGylated liposomes elicit an anti-PEG IgM response in a T cell-independent manner. J. Control. Release 2007, 122, 349–355. [Google Scholar] [CrossRef]
- Ishida, T.; Ichihara, M.; Wang, X.; Yamamoto, K.; Kimura, J.; Majima, E.; Kiwada, H. Injection of PEGylated liposomes in rats elicits PEG-specific IgM, which is responsible for rapid elimination of a second dose of PEGylated liposomes. J. Control. Release 2006, 112, 15–25. [Google Scholar] [CrossRef] [PubMed]
- Rouser, G.; Fleischer, S.; Yamamoto, A. Two dimensional thin layer chromatographic separation of polar lipids and determination of phospholipids by phosphorus analysis of spots. Lipids 1970, 5, 494–496. [Google Scholar] [CrossRef] [PubMed]
- Laemmli, U.K. Cleavage of structural proteins during the assembly of the head of bacteriophage T4. Nature 1970, 227, 680–685. [Google Scholar] [CrossRef] [PubMed]
- Price, M.E.; Cornelius, R.M.; Brash, J.L. Protein adsorption to polyethylene glycol modified liposomes from fibrinogen solution and from plasma. Biochim. Biophys. Acta Biomembr. 2001, 1512, 191–205. [Google Scholar] [CrossRef]
- Kierstead, P.H.; Okochi, H.; Venditto, V.J.; Chuong, T.C.; Kivimae, S.; Fréchet, J.M.; Szoka, F.C. The effect of polymer backbone chemistry on the induction of the accelerated blood clearance in polymer modified liposomes. J. Control. Release 2015, 213, 1–9. [Google Scholar] [CrossRef]







| Properties | PCB | PAMPI | PEG |
|---|---|---|---|
| Modification ratio on liposome (mol%) | 10 | 10 | 5 |
| Liposome diameter (nm) | 78 ± 0.39 | 87 ± 0.34 | 81 ± 1.21 |
| Polydispersity index (PDI) of liposome | 0.037 ± 0.01 | 0.031 ± 0.02 | 0.002 ± 0.02 |
| ζ-potential (mV) | −8.3 ± 1.97 | −2.1 ± 1.74 | −2.4 ± 0.03 |
| Type of Polymer | Tacticity | Rg (nm) |
|---|---|---|
| PCB | Syndiotactic | 0.946 |
| Isotactic | 0.940 | |
| PAMPI | Syndiotactic | 1.14 |
| Isotactic | 1.19 | |
| PEG | N/A | 0.603 |
| Properties | PCB | PAMPI | PEG |
|---|---|---|---|
| Molecular weight (Mn) | 6424 A | 19,223 B | 5000 C |
| Molecular weight distribution (Mw/Mn) | 1.08 A | 1.44 B | N/A |
| Degree of polymerization | 20 | 40 | 45 |
Disclaimer/Publisher’s Note: The statements, opinions and data contained in all publications are solely those of the individual author(s) and contributor(s) and not of MDPI and/or the editor(s). MDPI and/or the editor(s) disclaim responsibility for any injury to people or property resulting from any ideas, methods, instructions or products referred to in the content. |
© 2024 by the authors. Licensee MDPI, Basel, Switzerland. This article is an open access article distributed under the terms and conditions of the Creative Commons Attribution (CC BY) license (https://creativecommons.org/licenses/by/4.0/).
Share and Cite
Najmina, M.; Kobayashi, S.; Shimazui, R.; Takata, H.; Shibata, M.; Ishibashi, K.; Kamizawa, H.; Kishimura, A.; Shiota, Y.; Ida, D.; et al. A Stealthiness Evaluation of Main Chain Carboxybetaine Polymer Modified into Liposome. Pharmaceutics 2024, 16, 1271. https://doi.org/10.3390/pharmaceutics16101271
Najmina M, Kobayashi S, Shimazui R, Takata H, Shibata M, Ishibashi K, Kamizawa H, Kishimura A, Shiota Y, Ida D, et al. A Stealthiness Evaluation of Main Chain Carboxybetaine Polymer Modified into Liposome. Pharmaceutics. 2024; 16(10):1271. https://doi.org/10.3390/pharmaceutics16101271
Chicago/Turabian StyleNajmina, Mazaya, Shingo Kobayashi, Rena Shimazui, Haruka Takata, Mayuka Shibata, Kenta Ishibashi, Hiroshi Kamizawa, Akihiro Kishimura, Yoshihito Shiota, Daichi Ida, and et al. 2024. "A Stealthiness Evaluation of Main Chain Carboxybetaine Polymer Modified into Liposome" Pharmaceutics 16, no. 10: 1271. https://doi.org/10.3390/pharmaceutics16101271
APA StyleNajmina, M., Kobayashi, S., Shimazui, R., Takata, H., Shibata, M., Ishibashi, K., Kamizawa, H., Kishimura, A., Shiota, Y., Ida, D., Shimizu, T., Ishida, T., Katayama, Y., Tanaka, M., & Mori, T. (2024). A Stealthiness Evaluation of Main Chain Carboxybetaine Polymer Modified into Liposome. Pharmaceutics, 16(10), 1271. https://doi.org/10.3390/pharmaceutics16101271

