Topical Sustained-Release Dexamethasone-Loaded Chitosan Nanoparticles: Assessment of Drug Delivery Efficiency in a Rabbit Model of Endotoxin-Induced Uveitis
Abstract
1. Introduction
2. Materials and Methods
2.1. Chemicals
2.2. Preparation of CSNPs, Surface Coating, and Lyophilization of DEX-CSNPs
2.3. Physical and Physicochemical Characterizations
2.4. In Vitro Drug Release
2.5. In Vivo Animal Study
2.5.1. Ocular Irritation Study
2.5.2. Transcorneal Permeation
2.5.3. Ocular Pharmacokinetics
2.5.4. Effect of DEX-CSNPs on LPS-Induced Ocular Inflammation
Study Design and Animal Model of Experimental Uveitis
Grading System for Ocular Inflammation
Aqueous Humor (AH) Sampling
Total Cell Count
Estimation of Total Protein and Inflammatory Cytokines (TNF-α and IL6)
Western Blot Assay
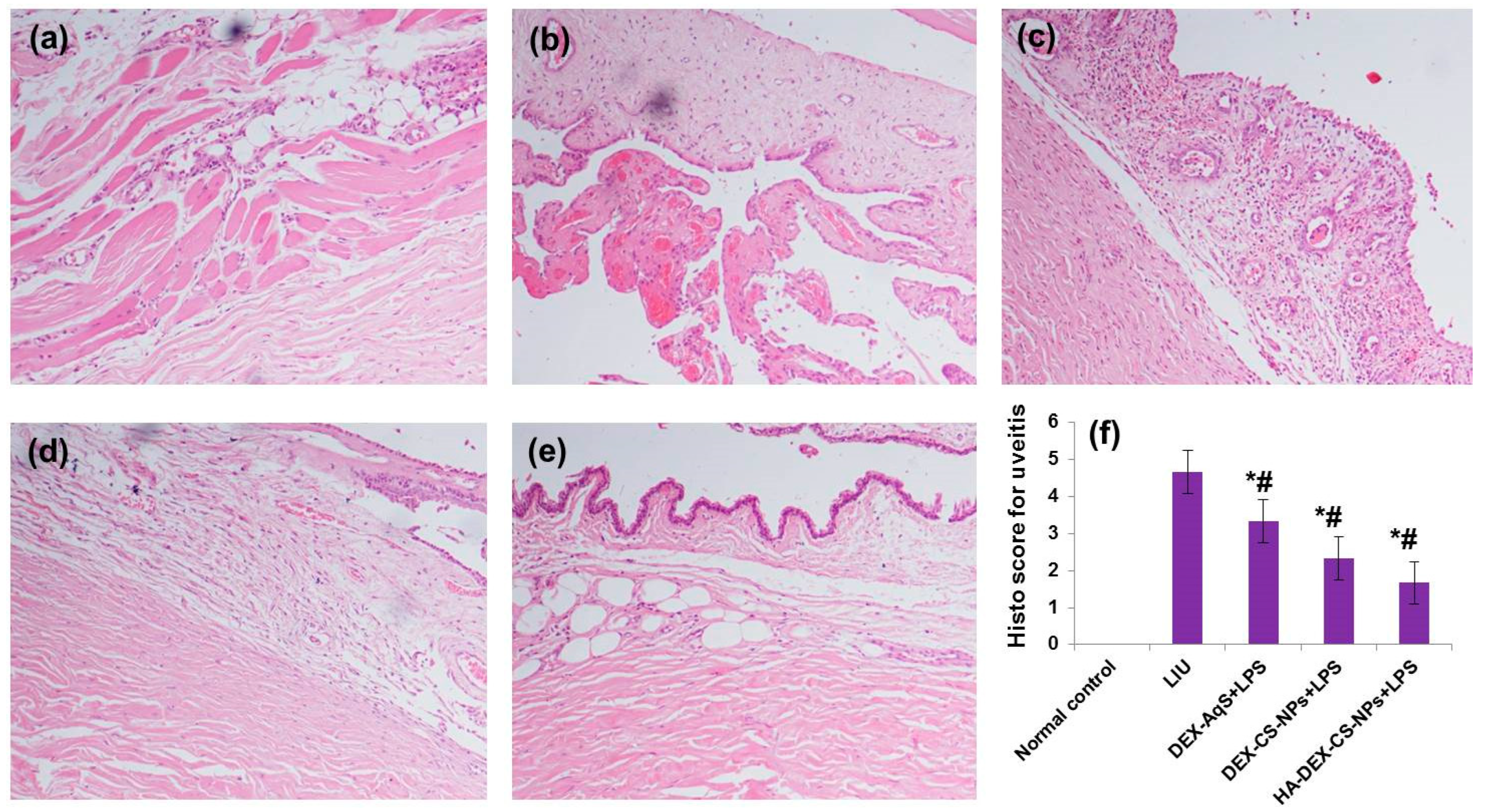
Histopathological Evaluation
2.6. Statistical Analysis
3. Results and Discussion
3.1. Development of DEX-CSNPs and Their Coating
3.2. Characterization of HA-Coated DEX-CSNPs
3.3. In Vitro Drug Release
3.4. Transcorneal Permeation
3.5. Ocular Irritation
3.6. Ocular Pharmacokinetics
3.7. Ocular Pharmacodynamics
4. Conclusions
Author Contributions
Funding
Institutional Review Board Statement
Informed Consent Statement
Data Availability Statement
Acknowledgments
Conflicts of Interest
Abbreviations
| DEX | Dexamethasone sodium phosphate | 
| CS | Chitosan | 
| TPP | Tripolyphosphate sodium | 
| NPs | Nanoparticles | 
| CSNPs | Chitosan nanoparticles | 
| DEX-CSNPs | DEX-loaded chitosan nanoparticles | 
| AqS | Aqueous suspension | 
| ZP | Zeta potential | 
| PDI | Polydispersity index | 
| AH | Aqueous humor | 
| HA | Hyaluronic acid | 
| LPS | Lipopolysaccharide | 
| LIU | Lipopolysaccharide-induced uveitis | 
| PMN | Polymorphonuclear | 
| BCL2 | B-cell lymphoma 2 | 
| MPO | Myeloperoxidase | 
| NF-κB | Nuclear factor kappa B | 
| TNFα | Tumor necrosis factor α | 
| IL | Interleukin | 
| COX-2 | Cyclooxygenase-2 | 
| REC | Research Ethics Committee | 
References
- Chan, C.-C.; Goldstein, D.A.; Davis, J.L.; Sen, H.N. Gender and Uveitis. J. Ophthalmol. 2014, 2014, 818070. [Google Scholar] [CrossRef]
- Acharya, N.R.; Tham, V.M.; Esterberg, E.; Borkar, D.S.; Parker, J.V.; Vinoya, A.C.; Uchida, A. Incidence and prevalence of uveitis: Results from the Pacific Ocular Inflammation Study. JAMA Ophthalmol. 2013, 131, 1405–1412. [Google Scholar] [CrossRef] [PubMed]
- Chan, A.Y.; Conrady, C.D.; Ding, K.; Dvorak, J.D.; Stone, D.U. Factors associated with age of onset of herpes zoster ophthalmicus. Cornea 2015, 34, 535–540. [Google Scholar] [CrossRef] [PubMed]
- Cheng, C.K.; Berger, A.S.; Pearson, P.A.; Ashton, P.; Jaffe, G.J. Intravitreal sustained-release dexamethasone device in the treatment of experimental uveitis. Investig. Ophthalmol. Vis. Sci. 1995, 36, 442–453. [Google Scholar]
- Eom, Y.; Lee, D.Y.; Kang, B.R.; Heo, J.H.; Shin, K.H.; Kim, H.M.; Song, J.S. Comparison of aqueous levels of inflammatory mediators between toxic anterior segment syndrome and endotoxin-induced uveitis animal models. Investig. Ophthalmol. Vis. Sci. 2014, 55, 6704–6710. [Google Scholar] [CrossRef]
- De Vos, A.F.; van Haren, M.A.; Verhagen, C.; Hoekzema, R.; Kijlstra, A. Kinetics of intraocular tumor necrosis factor and interleukin-6 in endotoxin-induced uveitis in the rat. Investig. Ophthalmol. Vis. Sci. 1994, 35, 1100–1106. [Google Scholar]
- Planck, S.R.; Huang, X.N.; Robertson, J.E.; Rosenbaum, J.T. Cytokine mRNA levels in rat ocular tissues after systemic endotoxin treatment. Investig. Ophthalmol. Vis. Sci. 1994, 35, 924–930. [Google Scholar]
- Tsuji, F.; Sawa, K.; Mibu, H.; Shirasawa, E. 16 β-Methyl-17 α,21-diesterified glucocorticoids as partial agonists of glucocorticoid in rat endotoxin-induced inflammation. Inflamm. Res. 1997, 46, 193–198. [Google Scholar] [CrossRef]
- Tanito, M.; Hara, K.; Takai, Y.; Matsuoka, Y.; Nishimura, N.; Jansook, P.; Loftsson, T.; Stefansson, E.; Ohira, A. Topical dexamethasone-cyclodextrin microparticle eye drops for diabetic macular edema. Invest. Ophthalmol. Vis. Sci. 2011, 52, 7944–7948. [Google Scholar] [CrossRef]
- Ohira, A.; Hara, K.; Johannesson, G.; Tanito, M.; Asgrimsdottir, G.M.; Lund, S.H.; Loftsson, T.; Stefansson, E. Topical dexamethasone gamma-cyclodextrin nanoparticle eye drops increase visual acuity and decrease macular thickness in diabetic macular oedema. Acta Ophthalmol. 2015, 93, 610–615. [Google Scholar] [CrossRef]
- Carnahan, M.C.; Goldstein, D.A. Ocular complications of topical, peri-ocular, and systemic corticosteroids. Curr. Opin. Ophthalmol. 2000, 11, 478–483. [Google Scholar] [CrossRef]
- Fardet, L.; Flahault, A.; Kettaneh, A.; Tiev, K.P.; Genereau, T.; Toledano, C.; Lebbe, C.; Cabane, J. Corticosteroid-induced clinical adverse events: Frequency, risk factors and patient’s opinion. Br. J. Dermatol. 2007, 157, 142–148. [Google Scholar] [CrossRef]
- Satyanarayanasetty, D.; Pawar, K.; Nadig, P.; Haran, A. Multiple Adverse Effects of Systemic Corticosteroids: A Case Report. J. Clin. Diagn. Res. 2015, 9, FD01–FD02. [Google Scholar] [CrossRef] [PubMed]
- Wong, G.K.; Poon, W.S.; Chiu, K.H. Steroid-induced avascular necrosis of the hip in neurosurgical patients: Epidemiological study. ANZ J. Surg. 2005, 75, 409–410. [Google Scholar] [CrossRef] [PubMed]
- Rafii, B.; Sridharan, S.; Taliercio, S.; Govil, N.; Paul, B.; Garabedian, M.J.; Amin, M.R.; Branski, R.C. Glucocorticoids in laryngology: A review. Laryngoscope 2014, 124, 1668–1673. [Google Scholar] [CrossRef]
- Fangueiro, J.F.; Andreani, T.; Fernandes, L.; Garcia, M.L.; Egea, M.A.; Silva, A.l.M.; Souto, E.B. Physicochemical characterization of epigallocatechin gallate lipid nanoparticles (EGCG-LNs) for ocular instillation. Colloids Surf. B Biointerfaces 2014, 123, 452–460. [Google Scholar] [CrossRef] [PubMed]
- De la Fuente, M.; Seijo, B.; Alonso, M.J. Novel Hyaluronic Acid-Chitosan Nanoparticles for Ocular Gene Therapy. Investig. Opthalmol. Vis. Sci. 2008, 49, 2016. [Google Scholar] [CrossRef] [PubMed]
- Kalam, M.A. The potential application of hyaluronic acid coated chitosan nanoparticles in ocular delivery of dexamethasone. Int. J. Biol. Macromol. 2016, 89, 559–568. [Google Scholar] [CrossRef] [PubMed]
- Uccello-Barretta, G.; Nazzi, S.; Zambito, Y.; Di Colo, G.; Balzano, F.; Sansò, M. Synergistic interaction between TS-polysaccharide and hyaluronic acid: Implications in the formulation of eye drops. Int. J. Pharm. 2010, 395, 122–131. [Google Scholar] [CrossRef]
- Rafie, F.; Javadzadeh, Y.; Javadzadeh, A.R.; Ghavidel, L.A.; Jafari, B.; Moogooee, M.; Davaran, S. In vivo evaluation of novel nanoparticles containing dexamethasone for ocular drug delivery on rabbit eye. Curr. Eye Res. 2010, 35, 1081–1089. [Google Scholar] [CrossRef] [PubMed]
- Johannesson, G.; Moya-Ortega, M.D.; Asgrimsdottir, G.M.; Lund, S.H.; Thorsteinsdottir, M.; Loftsson, T.; Stefansson, E. Kinetics of γ-cyclodextrin nanoparticle suspension eye drops in tear fluid. Acta Ophthalmol. 2014, 92, 550–556. [Google Scholar] [CrossRef]
- Sigurdsson, H.H.; Konraosdottir, F.; Loftsson, T.; Stefensson, E. Topical and systemic absorption in delivery of dexamethasone to the anterior and posterior segments of the eye. Acta Ophthalmol. Scand. 2007, 85, 598–602. [Google Scholar] [CrossRef]
- Hickey, T.; Kreutzer, D.; Burgess, D.J.; Moussy, F. Dexamethasone/PLGA microspheres for continuous delivery of an anti-inflammatory drug for implantable medical devices. Biomaterials 2002, 23, 1649–1656. [Google Scholar] [CrossRef]
- Kalam, M.A. Development of chitosan nanoparticles coated with hyaluronic acid for topical ocular delivery of dexamethasone. Int. J. Biol. Macromol. 2016, 89, 127–136. [Google Scholar] [CrossRef] [PubMed]
- Hosseinnejad, M.; Jafari, S.M. Evaluation of different factors affecting antimicrobial properties of chitosan. Int. J. Biol. Macromol. 2016, 85, 467–475. [Google Scholar] [CrossRef]
- Lerner, L.; Schwartz, D.; Hwang, D.; Howes, E.; Stern, R. Hyaluronan and CD44 in the Human Cornea and Limbal Conjunctiva. Exp. Eye Res. 1998, 67, 481–484. [Google Scholar] [CrossRef] [PubMed]
- Zhu, S.-N.; Nolle, B.; Duncker, G. Expression of adhesion molecule CD44 on human corneas. Br. J. Ophthalmol. 1997, 81, 80–84. [Google Scholar] [CrossRef][Green Version]
- Vanbeek, M.; Jones, L.; Sheardown, H. Hyaluronic acid containing hydrogels for the reduction of protein adsorption. Biomaterials 2008, 29, 780–789. [Google Scholar] [CrossRef] [PubMed]
- Calvo, P.; Remunan Lopez, C.; Vila-Jato, J.L.; Alonso, M.J. Chitosan and chitosan/ethylene oxide-propylene oxide block copolymer nanoparticles as novel carriers for proteins and vaccines. Pharm. Res. 1997, 14, 1431–1436. [Google Scholar] [CrossRef]
- Nasti, A.; Zaki, N.M.; de Leonardis, P.; Ungphaiboon, S.; Sansongsak, P.; Rimoli, M.G.; Tirelli, N. Chitosan/TPP and Chitosan/TPP-hyaluronic Acid Nanoparticles: Systematic Optimisation of the Preparative Process and Preliminary Biological Evaluation. Pharm. Res. 2009, 26, 1918–1930. [Google Scholar] [CrossRef]
- Almalik, A.; Donno, R.; Cadman, C.J.; Cellesi, F.; Day, P.J.; Tirelli, N. Hyaluronic acid-coated chitosan nanoparticles: Molecular weight-dependent effects on morphology and hyaluronic acid presentation. J. Control. Release 2013, 172, 1142–1150. [Google Scholar] [CrossRef]
- Grenha, A.; Seijo, B.a.; Serra, C.; Remunán-López, C. Chitosan Nanoparticle-Loaded Mannitol Microspheres:Â Structure and Surface Characterization. Biomacromolecules 2007, 8, 2072–2079. [Google Scholar] [CrossRef]
- Almalik, A.; Alradwan, I.; Kalam, M.A.; Alshamsan, A. Effect of cryoprotection on particle size stability and preservation of chitosan nanoparticles with and without hyaluronate or alginate coating. Saudi Pharm. J. 2017, 25, 861–867. [Google Scholar] [CrossRef]
- Kalam, M.A.; Alkholief, M.; Badran, M.; Alshememry, A.; Alshamsan, A. Technology. Co-encapsulation of metformin hydrochloride and reserpine into flexible liposomes: Characterization and comparison of in vitro release profile. J. Drug Deliv. Sci. Technol. 2020, 57, 101670. [Google Scholar] [CrossRef]
- Kwak, H.W.; D’Amico, D.J. Determination of dexamethasone sodium phosphate in the vitreous by high performance liquid chromatography. Korean J. Ophthalmol. 1995, 9, 79. [Google Scholar] [CrossRef] [PubMed]
- Abul Kalam, M.; Sultana, Y.; Ali, A.; Aqil, M.; Mishra, A.K.; Aljuffali, I.A.; Alshamsan, A. Part I: Development and optimization of solid-lipid nanoparticles using Box-Behnken statistical design for ocular delivery of gatifloxacin. J. Biomed. Mater. Res. A 2013, 101, 1813–1827. [Google Scholar] [CrossRef]
- Pignatello, R.; Bucolo, C.; Ferrara, P.; Maltese, A.; Puleo, A.; Puglisi, G. Eudragit RS100 nanosuspensions for the ophthalmic controlled delivery of ibuprofen. Eur. J. Pharm. Sci. 2002, 16, 53–61. [Google Scholar] [CrossRef]
- Tsai, M.-L.; Chen, R.-H.; Bai, S.-W.; Chen, W.-Y. The storage stability of chitosan/tripolyphosphate nanoparticles in a phosphate buffer. Carbohydr. Polym. 2011, 84, 756–761. [Google Scholar] [CrossRef]
- Alkholief, M.; Kalam, M.A.; Almomen, A.; Alshememry, A.; Alshamsan, A. Thermoresponsive sol-gel improves ocular bioavailability of Dipivefrin hydrochloride and potentially reduces the elevated intraocular pressure in vivo. Saudi Pharm. J. 2020, 28, 1019. [Google Scholar] [CrossRef] [PubMed]
- Abul Kalam, M.; Khan, A.A.; Khan, S.; Almalik, A.; Alshamsan, A. Optimizing indomethacin-loaded chitosan nanoparticle size, encapsulation, and release using Box-Behnken experimental design. Int. J. Biol. Macromol. 2016, 87, 329–340. [Google Scholar] [CrossRef] [PubMed]
- Kumari, A.; Sharma, P.K.; Garg, V.K.; Garg, G. Ocular inserts—Advancement in therapy of eye diseases. J. Adv. Pharm. Technol. Res. 2010, 1, 291–296. [Google Scholar] [CrossRef]
- Box, J.A.; Sugden, J.K.; Younis, N.M.T. An Examination of the Sterilization of Eye Drops Using Ultra-Violet Light. J. Pharm. Sci. Technol. 1984, 38, 115–121. [Google Scholar]
- Draize, J.H.; Woodard, G.; Calvery, H.O. Methods for the study of irritation and toxicity of substances applied topically to the skin and mucous membranes. J. Pharmacol. Exp. Ther. 1944, 82, 377–390. [Google Scholar]
- Diebold, Y.; Jarrin, M.; Saez, V.; Carvalho, E.L.S.; Orea, M.; Calonge, M.; Seijo, B.; Alonso, M.J. Ocular drug delivery by liposome-chitosan nanoparticle complexes (LCS-NP). Biomaterials 2007, 28, 1553–1564. [Google Scholar] [CrossRef]
- Liu, Y.; Liu, J.; Zhang, X.; Zhang, R.; Huang, Y.; Wu, C. In Situ Gelling Gelrite/Alginate Formulations as Vehicles for Ophthalmic Drug Delivery. AAPS PharmSciTech 2010, 11, 610–620. [Google Scholar] [CrossRef] [PubMed]
- Reddy, D.B.; Reddanna, P. Chebulagic acid (CA) attenuates LPS-induced inflammation by suppressing NF-kappaB and MAPK activation in RAW 264.7 macrophages. Biochem. Biophys. Res. Commun. 2009, 381, 112–117. [Google Scholar] [CrossRef]
- Toguri, J.T.; Lehmann, C.; Laprairie, R.B.; Szczesniak, A.M.; Zhou, J.; Denovan-Wright, E.M.; Kelly, M.E. Anti-inflammatory effects of cannabinoid CB(2) receptor activation in endotoxin-induced uveitis. Br. J. Pharmacol. 2014, 171, 1448–1461. [Google Scholar] [CrossRef]
- Gupta, S.K.; Agarwal, R.; Srivastava, S.; Agarwal, P.; Agrawal, S.S.; Saxena, R.; Galpalli, N. The anti-inflammatory effects of Curcuma longa and Berberis aristata in endotoxin-induced uveitis in rabbits. Investig. Ophthalmol. Vis. Sci. 2008, 49, 4036–4040. [Google Scholar] [CrossRef] [PubMed]
- Ruiz-Moreno, J.M.; Thillaye, B.; de Kozak, Y. Retino-choroidal changes in endotoxin-induced uveitis in the rat. Ophthalmic Res. 1992, 24, 162–168. [Google Scholar] [CrossRef]
- Lennikov, A.; Kitaichi, N.; Noda, K.; Mizuuchi, K.; Ando, R.; Dong, Z.; Fukuhara, J.; Kinoshita, S.; Namba, K.; Ohno, S.; et al. Amelioration of endotoxin-induced uveitis treated with the sea urchin pigment echinochrome in rats. Mol. Vis. 2014, 20, 171–177. [Google Scholar] [PubMed]
- Kanai, K.; Hatta, T.; Nagata, S.; Sugiura, Y.; Sato, K.; Yamashita, Y.; Kimura, Y.; Itoh, N. Luteolin attenuates endotoxin-induced uveitis in Lewis rats. J. Vet. Med. Sci. 2016, 78, 1229–1235. [Google Scholar] [CrossRef]
- Lowry, O.H.; Rosebrough, N.J.; Farr, A.L.; Randall, R.J. Protein measurement with the Folin phenol reagent. J. Biol. Chem. 1951, 193, 265–275. [Google Scholar] [CrossRef]
- Rossi, S.; Di Filippo, C.; Gesualdo, C.; Potenza, N.; Russo, A.; Trotta, M.C.; Zippo, M.V.; Maisto, R.; Ferraraccio, F.; Simonelli, F.; et al. Protection from endotoxic uveitis by intravitreal Resolvin D1: Involvement of lymphocytes, miRNAs, ubiquitin-proteasome, and M1/M2 macrophages. Mediat. Inflamm. 2015, 2015, 149381. [Google Scholar] [CrossRef]
- Almomen, A.; Jarboe, E.A.; Dodson, M.K.; Peterson, C.M.; Owen, S.C.; Janat-Amsbury, M.M. Imiquimod Induces Apoptosis in Human Endometrial Cancer Cells In Vitro and Prevents Tumor Progression In Vivo. Pharm. Res. 2016, 33, 2209–2217. [Google Scholar] [CrossRef] [PubMed]
- Knudson, W.; Chow, G.; Knudson, C.B. CD44-mediated uptake and degradation of hyaluronan. Matrix Biol. 2002, 21, 15–23. [Google Scholar] [CrossRef]
- Almalik, A.; Day, P.J.; Tirelli, N. HA-Coated Chitosan Nanoparticles for CD44-Mediated Nucleic Acid Delivery. Macromol. Biosci. 2013, 13, 1671–1680. [Google Scholar] [CrossRef] [PubMed]
- Chiesa, E.; Dorati, R.; Conti, B.; Modena, T.; Cova, E.; Meloni, F.; Genta, I. Hyaluronic Acid-Decorated Chitosan Nanoparticles for CD44-Targeted Delivery of Everolimus. Int. J. Mol. Sci. 2018, 19, 2310. [Google Scholar] [CrossRef] [PubMed]
- Zimmer, A.; Kreuter, J. Microspheres and nanoparticles used in ocular delivery systems. Adv. Drug Deliv. Rev. 1995, 16, 61–73. [Google Scholar] [CrossRef]
- Kalam, M.A.; Alshamsan, A.; Aljuffali, I.A.; Mishra, A.K.; Sultana, Y. Delivery of gatifloxacin using microemulsion as vehicle: Formulation, evaluation, transcorneal permeation and aqueous humor drug determination. Drug Deliv. 2016, 23, 896–907. [Google Scholar] [CrossRef]
- Coles, W.H.; Jaros, P.A. Dynamics of ocular surface pH. Br. J. Ophthalmol. 1984, 68, 549–552. [Google Scholar] [CrossRef]
- Di Colo, G.; Zambito, Y.; Zaino, C.; Sansò, M. Selected polysaccharides at comparison for their mucoadhesiveness and effect on precorneal residence of different drugs in the rabbit model. Drug Dev. Ind. Pharm. 2009, 35, 941–949. [Google Scholar] [CrossRef]
- Salzillo, R.; Schiraldi, C.; Corsuto, L.; D’Agostino, A.; Filosa, R.; De Rosa, M.; La Gatta, A. Optimization of hyaluronan-based eye drop formulations. Carbohydr. Polym. 2016, 153, 275–283. [Google Scholar] [CrossRef]
- Oescher, M.; Keipert, S. Polyacrylic acid/polyvinylpyrrolidone biopolymeric systems: I. Rheological and mucoadhesive properties of formulations potentially useful for the treatment of dry-eye-syndrome. Eur. J. Pharm. Biopharm. 1999, 47, 113–118. [Google Scholar]
- Pires, N.R.; Cunha, P.L.; Maciel, J.S.; Angelim, A.L.; Melo, V.M.; de Paula, R.C.; Feitosa, J.P. Sulfated chitosan as tear substitute with no antimicrobial activity. Carbohydr. Polym. 2013, 91, 92–99. [Google Scholar] [CrossRef]
- Agnihotri, S.A.; Mallikarjuna, N.N.; Aminabhavi, T.M. Recent advances on chitosan-based micro- and nanoparticles in drug delivery. J. Control. Release 2004, 100, 5–28. [Google Scholar]
- Jansook, P.; Ritthidej, G.C.; Ueda, H.; Stefansson, E.; Loftsson, T. yCD/HPyCD mixtures as solubilizer: Solid-state characterization and sample dexamethasone eye drop suspension. J. Pharm. Pharm. Sci. 2010, 13, 336–350. [Google Scholar] [CrossRef]
- Cohen, A.E.; Assang, C.; Patane, M.A.; From, S.; Korenfeld, M. Evaluation of dexamethasone phosphate delivered by ocular iontophoresis for treating noninfectious anterior uveitis. Ophthalmology 2012, 119, 66–73. [Google Scholar] [CrossRef]
- Contreras-Ruiz, L.; de la Fuente, M.; Parraga, J.E.; Lopez-Garcia, A.; Fernandez, I.; Seijo, B.; Sanchez, A.; Calonge, M.; Diebold, Y. Intracellular trafficking of hyaluronic acid-chitosan oligomer-based nanoparticles in cultured human ocular surface cells. Mol. Vis. 2011, 17, 279–290. [Google Scholar]
- Bernatchez, S.F.; Tabatabay, C.; Gurny, R. Sodium Hyaluronate 0.25-Percent Used as a Vehicle Increases the Bioavailability of Topically Administered Gentamicin. Graefes Arch. Clin. Exp. Ophthalmol. 1993, 231, 157–161. [Google Scholar] [CrossRef]
- Denniston, A.K.; Tomlins, P.; Williams, G.P.; Kottoor, S.; Khan, I.; Oswal, K.; Salmon, M.; Wallace, G.R.; Rauz, S.; Murray, P.I.; et al. Aqueous humor suppression of dendritic cell function helps maintain immune regulation in the eye during human uveitis. Investig. Ophthalmol. Vis. Sci. 2012, 53, 888–896. [Google Scholar] [CrossRef] [PubMed]
- Goncu, T.; Oguz, E.; Sezen, H.; Kocarslan, S.; Oguz, H.; Akal, A.; Adibelli, F.M.; Cakmak, S.; Aksoy, N. Anti-inflammatory effect of lycopene on endotoxin-induced uveitis in rats. Arq. Bras. Oftalmol. 2016, 79, 357–362. [Google Scholar] [CrossRef] [PubMed]
- Chen, C.L.; Chen, J.T.; Liang, C.M.; Tai, M.C.; Lu, D.W.; Chen, Y.H. Silibinin treatment prevents endotoxin-induced uveitis in rats in vivo and in vitro. PLoS ONE 2017, 12, e0174971. [Google Scholar] [CrossRef] [PubMed]
- Bhattacherjee, P.; Williams, R.N.; Eakins, K.E. An evaluation of ocular inflammation following the injection of bacterial endotoxin into the rat foot pad. Investig. Ophthalmol. Vis. Sci. 1983, 24, 196–202. [Google Scholar]
- Srivastava, S.K.; Ramana, K.V. Focus on molecules: Nuclear factor-kappaB. Exp. Eye Res. 2009, 88, 2–3. [Google Scholar] [CrossRef] [PubMed]
- Ghosn, C.R.; Li, Y.; Orilla, W.C.; Lin, T.; Wheeler, L.; Burke, J.A.; Robinson, M.R.; Whitcup, S.M. Treatment of experimental anterior and intermediate uveitis by a dexamethasone intravitreal implant. Investig. Ophthalmol. Vis. Sci. 2011, 52, 2917–2923. [Google Scholar] [CrossRef] [PubMed]
- Hunter, R.S.; Lobo, A.M. Dexamethasone intravitreal implant for the treatment of noninfectious uveitis. Clin. Ophthalmol. 2011, 5, 1613–1621. [Google Scholar] [CrossRef]
- Cordle, S.R.; Donald, R.; Read, M.A.; Hawiger, J. Lipopolysaccharide induces phosphorylation of MAD3 and activation of c-Rel and related NF-kappa B proteins in human monocytic THP-1 cells. J. Biol. Chem. 1993, 268, 11803–11810. [Google Scholar] [CrossRef]
- Li, A.; Leung, C.T.; Peterson-Yantorno, K.; Mitchell, C.H.; Civan, M.M. Pathways for ATP release by bovine ciliary epithelial cells, the initial step in purinergic regulation of aqueous humor inflow. Am. J. Physiol. Cell Physiol. 2010, 299, C1308–C1317. [Google Scholar] [CrossRef] [PubMed]
- Yadav, U.C.; Srivastava, S.K.; Ramana, K.V. Aldose reductase inhibition prevents endotoxin-induced uveitis in rats. Investig. Ophthalmol. Vis. Sci. 2007, 48, 4634–4642. [Google Scholar] [CrossRef]
- Yang, W.; Li, H.; Chen, P.W.; Alizadeh, H.; He, Y.; Hogan, R.N.; Niederkorn, J.Y. PD-L1 Expression on Human Ocular Cells and Its Possible Role in Regulating Immune-Mediated Ocular Inflammation. Investig. Ophthalmol. Vis. Sci. 2009, 50, 273–280. [Google Scholar] [CrossRef]
- Joussen, A.M.; Doehmen, S.; Le, M.L.; Koizumi, K.; Radetzky, S.; Krohne, T.U.; Poulaki, V.; Semkova, I.; Kociok, N. TNF-alpha mediated apoptosis plays an important role in the development of early diabetic retinopathy and long-term histopathological alterations. Mol. Vis. 2009, 15, 1418–1428. [Google Scholar] [PubMed]
- Xaus, J.; Comalada, M.; Valledor, A.F.; Lloberas, J.; Lopez-Soriano, F.; Argiles, J.M.; Bogdan, C.; Celada, A. LPS induces apoptosis in macrophages mostly through the autocrine production of TNF-α. Blood 2000, 95, 3823–3831. [Google Scholar] [CrossRef] [PubMed]








| Parameters | Optimized DEX-CS-NPs before Lyophilization | Optimized DEX-CS-NPs after Lyophilization | ||
|---|---|---|---|---|
| Uncoated | HA-Coated | Uncoated | HA-Coated | |
| Particle size (nm) | 310.4 ± 12.4 | 337.3 ± 14.2 | 356.8 ± 14.1 | 368.5 ± 14.4 | 
| Polydispersity Index | 0.142 ± 0.021 | 0.179 ± 0.078 | 0.248 ± 0.041 | 0.325 ± 0.021 | 
| Zeta potential (mV) | +31.4 ± 4.1 | −5.7 ± 1.3 | +32.2 ± 2.1 | −6.2 ± 1.4 | 
| Formulation | Uncoated CS-NPs | HA-Coated CS-NPs | 
|---|---|---|
| (0.4:0.6/TPP:CS) | (0.4:0.6/TPP:CS) | |
| Particle size (nm) | 361.9 ± 14.3 | 379.3 ± 13.9 | 
| Polydispersity Index (PDI) | 0.194 ± 0.075 | 0.209 ± 0.084 | 
| Zeta potential (mV) | +31.2 ± 1.9 | −5.6 ± 1.2 | 
| Encapsulation (%EE) | 73.6 ± 4.6 | 71.1 ± 3.4 | 
| Drug loading (%DL) | 6.9 ± 0.4 | 5.5 ± 0.2 | 
| † Aggregation | # # | # | 
| Parameters | Time Points | Uncoated NPs | HA-Coated NPs | 
|---|---|---|---|
| Clarity | Initially | Clear and transparent | Clear and transparent | 
| After 3 months | Clear and translucent | Clear and transparent | |
| Refractive index | Initially | 1.34 ± 0.07 | 1.35 ± 0.12 | 
| After 3 months | 1.35 ± 0.09 | 1.35 ± 0.31 | |
| pH | Initially | 6.69 ± 0.34 | 6.81 ± 0.21 | 
| After 3 months | 7.15 ± 0.23 | 7.21 ± 0.03 | |
| Viscosity (mPa.s) | Initially | 30.74 ± 1.49 | 33.76 ± 3.12 | 
| After 3 months | 34.73 ± 2.19 | 37.54 ± 2.09 | 
| Corneal Permeation Parameters | DEX-AqS (0.1%, w/v) | Uncoated CS-NPs | HA-Coated CS-NPs | 
|---|---|---|---|
| Cumulative amount of DEX permeated (µgcm−2 at 0.5 h) | 58.44 ± 3.04 | 28.36 ± 2.05 | 11.86 ± 3.12 | 
| Cumulative amount of DEX permeated (µgcm−2 in 6 h) | 66.86 ± 3.51 | 59.52 ± 3.67 | 69.32 ± 4.58 | 
| pH | 7.12 ± 0.08 | 6.69 ± 0.34 | 6.81 ± 0.21 | 
| Steady-state flux, J (µgcm−2h−1) | 1.76 ± 0.13 | 8.27 ± 0.49 | 17.81 ± 0.43 | 
| Enhancement ratio | --- | 4.70 ± 0.39 | 10.14 ± 0.92 | 
| Permeability coefficient, P (cmh−1) | (3.52 ± 0.25) × 10−3 | (16.53 ± 0.99) × 10−3 | (35.62 ± 0.86) × 10−3 | 
| Pharmacokinetic | Numerical Values for | ||
|---|---|---|---|
| Parameters | DEX-AqS (0.1%, w/v) | DEX-CSNPs | HA-Coated DEX-CSNPs | 
| t1/2 (h) | 2.18 ± 0.37 | 5.44 * ± 0.70 | 7.34 * ± 1.22 | 
| Tmax (h) | 4.00 ± 0.00 | 6.00 ± 0.00 | 6.00 ± 0.00 | 
| Cmax (ngmL−1) | 809.26 ± 45.51 | 561.79 ± 40.51 | 584.32 ± 50.74 | 
| AUC0–24 (ngmL−1.h) | 2826.71 ± 219.84 | 5294.19 * ± 687.36 | 6691.48 * ± 570.10 | 
| AUC0-inf (ngmL−1.h) | 2830.95 ± 224.12 | 5727.33 * ± 897.67 | 7774.81 * ± 489.53 | 
| AUC0–24/0-inf | 0.99 ± 0.001 | 0.93 ± 0.02 | 0.86 ± 0.04 | 
| AUMC0-inf (ngmL−1.h2) | 11,458.50 ± 1239.01 | 57,896.82 * ± 14,377.82 | 99,040.13 * ± 15,826.01 | 
| MRT0-inf (h) | 4.04 * ± 0.12 | 10.01 * ± 0.89 | 12.73 * ± 1.77 | 
| Disclaimer/Publisher’s Note: The statements, opinions and data contained in all publications are solely those of the individual author(s) and contributor(s) and not of MDPI and/or the editor(s). MDPI and/or the editor(s) disclaim responsibility for any injury to people or property resulting from any ideas, methods, instructions or products referred to in the content. | 
© 2023 by the authors. Licensee MDPI, Basel, Switzerland. This article is an open access article distributed under the terms and conditions of the Creative Commons Attribution (CC BY) license (https://creativecommons.org/licenses/by/4.0/).
Share and Cite
Alkholief, M.; Kalam, M.A.; Raish, M.; Ansari, M.A.; Alsaleh, N.B.; Almomen, A.; Ali, R.; Alshamsan, A. Topical Sustained-Release Dexamethasone-Loaded Chitosan Nanoparticles: Assessment of Drug Delivery Efficiency in a Rabbit Model of Endotoxin-Induced Uveitis. Pharmaceutics 2023, 15, 2273. https://doi.org/10.3390/pharmaceutics15092273
Alkholief M, Kalam MA, Raish M, Ansari MA, Alsaleh NB, Almomen A, Ali R, Alshamsan A. Topical Sustained-Release Dexamethasone-Loaded Chitosan Nanoparticles: Assessment of Drug Delivery Efficiency in a Rabbit Model of Endotoxin-Induced Uveitis. Pharmaceutics. 2023; 15(9):2273. https://doi.org/10.3390/pharmaceutics15092273
Chicago/Turabian StyleAlkholief, Musaed, Mohd Abul Kalam, Mohammad Raish, Mushtaq Ahmad Ansari, Nasser B. Alsaleh, Aliyah Almomen, Raisuddin Ali, and Aws Alshamsan. 2023. "Topical Sustained-Release Dexamethasone-Loaded Chitosan Nanoparticles: Assessment of Drug Delivery Efficiency in a Rabbit Model of Endotoxin-Induced Uveitis" Pharmaceutics 15, no. 9: 2273. https://doi.org/10.3390/pharmaceutics15092273
APA StyleAlkholief, M., Kalam, M. A., Raish, M., Ansari, M. A., Alsaleh, N. B., Almomen, A., Ali, R., & Alshamsan, A. (2023). Topical Sustained-Release Dexamethasone-Loaded Chitosan Nanoparticles: Assessment of Drug Delivery Efficiency in a Rabbit Model of Endotoxin-Induced Uveitis. Pharmaceutics, 15(9), 2273. https://doi.org/10.3390/pharmaceutics15092273
 
        



 
       