In Vitro Evaluation of Aerosol Therapy with Pentamidine-Loaded Liposomes Coated with Chondroitin Sulfate or Heparin for the Treatment of Leishmaniasis
Abstract
1. Introduction
2. Materials and Methods
2.1. Materials
2.2. Liposome Preparation and Pentamidine Quantification
2.3. Characterization of Liposomes
2.4. Drug Release Analysis
2.5. Nebulization of Formulations for the Determination of Aerodynamic Behavior
2.6. Promastigote Growth Inhibition Assay
2.7. Amastigote Growth Inhibition Assay
2.8. Cytotoxicity Assay
2.9. Confocal Fluorescence Microscopy
2.10. Flow Cytometry Analysis
2.11. Statistical Data Analysis
3. Results
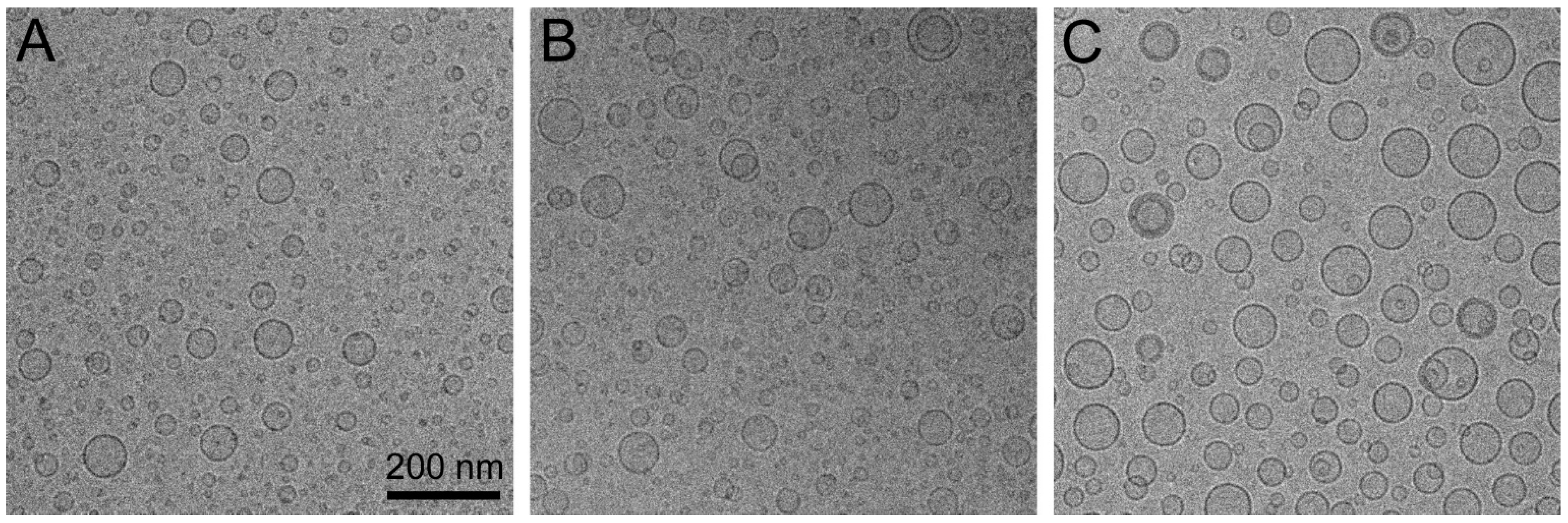
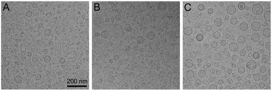
3.1. Liposome Characterization
3.2. Cell Targeting of Liposomes
3.3. In Vitro Activity of Nanoformulations in Leishmania Promastigotes and Amastigotes
3.4. Nebulization of Nanoformulations and Aerodynamic Behavior
4. Discussion
5. Conclusions
Supplementary Materials
Author Contributions
Funding
Institutional Review Board Statement
Informed Consent Statement
Data Availability Statement
Acknowledgments
Conflicts of Interest
References
- Bates, P.A. Transmission of Leishmania metacyclic promastigotes by phlebotomine sand flies. Int. J. Parasitol. 2007, 37, 1097–1106. [Google Scholar] [CrossRef] [PubMed]
- Mougneau, E.; Bihl, F.; Glaichenhaus, N. Cell biology and immunology of Leishmania. Immunol. Rev. 2011, 240, 286–296. [Google Scholar] [CrossRef] [PubMed]
- Oryan, A.; Akbari, M. Worldwide risk factors in leishmaniasis. Asian Pac. J. Trop. Med. 2016, 9, 925–932. [Google Scholar] [CrossRef] [PubMed]
- Burza, S.; Croft, S.L.; Boelaert, M. Leishmaniasis. Lancet 2018, 392, 951–970. [Google Scholar] [CrossRef]
- World Health Organization. World Health Organization Leishmaniasis Factsheet. 2023. Available online: https://www.who.int/news-room/fact-sheets/detail/leishmaniasis (accessed on 20 February 2023).
- Ameen, M. Cutaneous and mucocutaneous leishmaniasis: Emerging therapies and progress in disease management. Expert Opin. Pharmacother. 2010, 11, 557–569. [Google Scholar] [CrossRef]
- Sundar, S.; Singh, A. Chemotherapeutics of visceral leishmaniasis: Present and future developments. Parasitology 2018, 145, 481–489. [Google Scholar] [CrossRef]
- Nico, D.; Conde, L.; Palatnik de Sousa, C.B. Classical and modern drug treatments for leishmaniasis. In Antiprotozoal Drug Development and Delivery; Vermelho, A.B., Supuran, C.T., Eds.; Springer: Berlin/Heidelberg, Germany, 2021; Volume 39, pp. 1–21. [Google Scholar]
- Pinart, M.; Rueda, J.R.; Romero, G.A.; Pinzón-Flórez, C.E.; Osorio-Arango, K.; Silveira Maia-Elkhoury, A.N.; Reveiz, L.; Elias, V.M.; Tweed, J.A. Interventions for American cutaneous and mucocutaneous leishmaniasis. Cochrane Database Syst. Rev. 2020, 8, CD004834. [Google Scholar]
- Dumetz, F.; Cuypers, B.; Imamura, H.; Zander, D.; D’Haenens, E.; Maes, I.; Domagalska, M.A.; Clos, J.; Dujardin, J.C.; De Muylder, G. Molecular preadaptation to antimony resistance in Leishmania donovani on the Indian subcontinent. mSphere 2018, 3, e00548-17. [Google Scholar] [CrossRef]
- Ponte-Sucre, A.; Gamarro, F.; Dujardin, J.C.; Barrett, M.P.; López-Vélez, R.; García-Hernández, R.; Pountain, A.W.; Mwenechanya, R.; Papadopoulou, B. Drug resistance and treatment failure in leishmaniasis: A 21st century challenge. PLoS Negl. Trop. Dis. 2017, 11, e0006052. [Google Scholar] [CrossRef]
- Azim, M.; Khan, S.A.; Ullah, S.; Ullah, S.; Anjum, S.I. Therapeutic advances in the topical treatment of cutaneous leishmaniasis: A review. PLoS Negl. Trop. Dis. 2021, 15, e0009099. [Google Scholar] [CrossRef]
- Soto, J.; Rojas, E.; Guzman, M.; Verduguez, A.; Nena, W.; Maldonado, M.; Cruz, M.; Gracia, L.; Villarroel, D.; Alavi, I.; et al. Intralesional antimony for single lesions of bolivian cutaneous leishmaniasis. Clin. Infect. Dis. 2013, 56, 1255–1260. [Google Scholar] [CrossRef]
- Amato, V.S.; Rabello, A.; Rotondo-Silva, A.; Kono, A.; Maldonado, T.P.; Alves, I.C.; Floeter-Winter, L.M.; Neto, V.A.; Shikanai-Yasuda, M.A. Successful treatment of cutaneous leishmaniasis with lipid formulations of amphotericin B in two immunocompromised patients. Acta Trop. 2004, 92, 127–132. [Google Scholar] [CrossRef]
- Chakravarty, J.; Sundar, S. Current and emerging medications for the treatment of leishmaniasis. Expert Opin. Pharmacother. 2019, 20, 1251–1265. [Google Scholar] [CrossRef]
- Mosimann, V.; Neumayr, A.; Paris, D.H.; Blum, J. Liposomal amphotericin B treatment of Old World cutaneous and mucosal leishmaniasis: A literature review. Acta Trop. 2018, 182, 246–250. [Google Scholar] [CrossRef]
- Kumari, S.; Kumar, V.; Tiwari, R.K.; Ravidas, V.; Pandey, K.; Kumar, A. Amphotericin B: A drug of choice for visceral leishmaniasis. Acta Trop. 2022, 235, 106661. [Google Scholar] [CrossRef]
- Davies, C.R.; Kaye, P.; Croft, S.L.; Sundar, S. Leishmaniasis: New approaches to disease control. Br. Med. J. 2003, 326, 377–382. [Google Scholar] [CrossRef]
- Dorlo, T.P.; Balasegaram, M.; Beijnen, J.H.; de Vries, P.J. Miltefosine: A review of its pharmacology and therapeutic efficacy in the treatment of leishmaniasis. J. Antimicrob. Chemother. 2012, 67, 2576–2597. [Google Scholar] [CrossRef]
- Matos, A.P.S.; Viçosa, A.L.; Ré, M.I.; Ricci-Júnior, E.; Holandino, C. A review of current treatments strategies based on paromomycin for leishmaniasis. J. Drug Deliv. Sci. Technol. 2020, 57, 101664. [Google Scholar] [CrossRef]
- Guery, R.; Henry, B.; Martin-Blondel, G.; Rouzaud, C.; Cordoliani, F.; Harms, G.; Gangneux, J.P.; Foulet, F.; Bourrat, E.; Baccard, M.; et al. Liposomal amphotericin B in travelers with cutaneous and muco-cutaneous leishmaniasis: Not a panacea. PLoS Negl. Trop. Dis. 2017, 11, e0006094. [Google Scholar] [CrossRef]
- Bastos, D.S.S.; Silva, A.C.; Novaes, R.D.; Souza, A.C.F.; Santos, E.C.; Gonçalves, R.V.; Marques-Da-Silva, E.A. Could combination chemotherapy be more effective than monotherapy in the treatment of visceral leishmaniasis? A systematic review of preclinical evidence. Parasitology 2022, 149, 751–764. [Google Scholar] [CrossRef]
- Chechi, F.; Corsi, P.; Bartolozzi, D.; Gaiera, G.; Bartoloni, A.; Zammarchi, L. Case report: Intravenous pentamidine rescue treatment for active chronic visceral leishmaniasis in an HIV-1 infected patient. Am. J. Trop. Med. Hyg. 2021, 106, 639–642. [Google Scholar] [CrossRef] [PubMed]
- Soto, J.A.; Berman, J.D. Miltefosine treatment of cutaneous leishmaniasis. Clin. Infect. Dis. 2021, 73, e2463–e2464. [Google Scholar] [CrossRef] [PubMed]
- Piccica, M.; Lagi, F.; Bartoloni, A.; Zammarchi, L. Efficacy and safety of pentamidine isethionate for tegumentary and visceral human leishmaniasis: A systematic review. J. Travel Med. 2021, 28, taab065. [Google Scholar] [CrossRef] [PubMed]
- Noli, C.; Auxilia, S.T. Treatment of canine Old World visceral leishmaniasis: A systematic review. Vet. Dermatol. 2005, 16, 213–232. [Google Scholar] [CrossRef] [PubMed]
- Olías-Molero, A.I.; Fontán-Matilla, E.; Cuquerella, M.; Alunda, J.M. Scientometric analysis of chemotherapy of canine leishmaniasis (2000–2020). Parasit. Vectors 2021, 14, 36. [Google Scholar] [CrossRef]
- Basile, G.; Cristofaro, G.; Locatello, L.G.; Vellere, I.; Piccica, M.; Bresci, S.; Maggiore, G.; Gallo, O.; Novelli, A.; Di Muccio, T.; et al. Refractory mucocutaneous leishmaniasis resolved with combination treatment based on intravenous pentamidine, oral azole, aerosolized liposomal amphotericin B, and intralesional meglumine antimoniate. Int. J. Infect. Dis. 2020, 97, 204–207. [Google Scholar] [CrossRef]
- Vechi, H.T.; Vasconcelos de Sousa, A.S.; Alves da Cunha, M.; Shaw, J.J.; Luz, K.G. Case report: Combination therapy with liposomal amphotericin B, N-methyl meglumine antimoniate, and pentamidine isethionate for disseminated visceral leishmaniasis in a splenectomized adult patient. Am. J. Trop. Med. Hyg. 2020, 102, 268–273. [Google Scholar] [CrossRef]
- Roatt, B.M.; de Oliveira Cardoso, J.M.; De Brito, R.C.F.; Coura-Vital, W.; de Oliveira Aguiar-Soares, R.D.; Reis, A.B. Recent advances and new strategies on leishmaniasis treatment. Appl. Microbiol. Biotechnol. 2020, 104, 8965–8977. [Google Scholar] [CrossRef]
- Valle, I.V.; Machado, M.E.; Araújo, C.D.C.B.; da Cunha-Junior, E.F.; da Silva Pacheco, J.; Torres-Santos, E.C.; da Silva, L.C.R.P.; Cabral, L.M.; do Carmo, F.A.; Sathler, P.C. Oral pentamidine-loaded poly(d,l-lactic-co-glycolic) acid nanoparticles: An alternative approach for leishmaniasis treatment. Nanotechnology 2019, 30, 455102. [Google Scholar] [CrossRef]
- Tuon, F.F.; Dantas, L.R.; de Souza, R.M.; Ribeiro, V.S.T.; Amato, V.S. Liposomal drug delivery systems for the treatment of leishmaniasis. Parasitol. Res. 2022, 121, 3073–3082. [Google Scholar] [CrossRef]
- Assolini, J.P.; Carloto, A.C.M.; da Silva Bortoleti, B.T.; Gonçalves, M.D.; Tomiotto Pellissier, F.; Feuser, P.E.; Cordeiro, A.P.; Hermes de Araújo, P.H.; Sayer, C.; Miranda Sapla, M.M.; et al. Nanomedicine in leishmaniasis: A promising tool for diagnosis, treatment and prevention of disease—An update overview. Eur. J. Pharmacol. 2022, 923, 174934. [Google Scholar] [CrossRef]
- Rinaldi, F.; Hanieh, P.N.; Chan, L.K.N.; Angeloni, L.; Passeri, D.; Rossi, M.; Wang, J.T.; Imbriano, A.; Carafa, M.; Marianecci, C. Chitosan glutamate-coated niosomes: A proposal for nose-to-brain delivery. Pharmaceutics 2018, 10, 38. [Google Scholar] [CrossRef]
- Khan, M.M.; Zaidi, S.S.; Siyal, F.J.; Khan, S.U.; Ishrat, G.; Batool, S.; Mustapha, O.; Khan, S.; ud Din, F. Statistical optimization of co-loaded rifampicin and pentamidine polymeric nanoparticles for the treatment of cutaneous leishmaniasis. J. Drug Deliv. Sci. Technol. 2023, 79, 104005. [Google Scholar] [CrossRef]
- Kannan, S.; Harel, Y.; Israel, L.L.; Lellouche, E.; Varvak, A.; Tsubery, M.N.; Lellouche, J.P.; Michaeli, S. Novel nanocarrier platform for effective treatment of visceral leishmaniasis. Bioconjug. Chem. 2021, 32, 2327–2341. [Google Scholar] [CrossRef]
- Vyas, S.P.; Kannan, M.E.; Jain, S.; Mishra, V.; Singh, P. Design of liposomal aerosols for improved delivery of rifampicin to alveolar macrophages. Int. J. Pharm. 2004, 269, 37–49. [Google Scholar] [CrossRef]
- Rudokas, M.; Najlah, M.; Alhnan, M.A.; Elhissi, A. Liposome delivery systems for inhalation: A critical review highlighting formulation issues and anticancer applications. Med. Princ. Pract. 2016, 25 (Suppl. 2), 60–72. [Google Scholar] [CrossRef]
- Sakagami, M. In vivo, in vitro and ex vivo models to assess pulmonary absorption and disposition of inhaled therapeutics for systemic delivery. Adv. Drug Deliv. Rev. 2006, 58, 1030–1060. [Google Scholar] [CrossRef]
- Manca, M.L.; Manconi, M.; Valenti, D.; Lai, F.; Loy, G.; Matricardi, P.; Fadda, A.M. Liposomes coated with chitosan-xanthan gum (chitosomes) as potential carriers for pulmonary delivery of rifampicin. J. Pharm. Sci. 2012, 101, 566–575. [Google Scholar] [CrossRef]
- Derendorf, H.; Hochhaus, G.; Möllmann, H. Evaluation of pulmonary absorption using pharmacokinetic methods. J. Aerosol Med. 2001, 14 (Suppl. 1), S9–S17. [Google Scholar] [CrossRef]
- Rubin, B.K. Air and soul: The science and application of aerosol therapy. Respir. Care 2010, 55, 911–921. [Google Scholar]
- Patton, J.S. Mechanisms of macromolecule absorption by the lungs. Adv. Drug Deliv. Rev. 1996, 19, 3–36. [Google Scholar] [CrossRef]
- Prasanna, P.; Kumar, P.; Kumar, S.; Rajana, V.K.; Kant, V.; Prasad, S.R.; Mohan, U.; Ravichandiran, V.; Mandal, D. Current status of nanoscale drug delivery and the future of nano-vaccine development for leishmaniasis—A review. Biomed. Pharmacother. 2021, 141, 111920. [Google Scholar] [CrossRef] [PubMed]
- Agrawal, A.K.; Gupta, C.M. Tuftsin-bearing liposomes in treatment of macrophage-based infections. Adv. Drug Deliv. Rev. 2000, 41, 135–146. [Google Scholar] [CrossRef] [PubMed]
- Banerjee, G.; Nandi, G.; Mahato, S.B.; Pakrashi, A.; Basu, M.K. Drug delivery system: Targeting of pentamidines to specific sites using sugar grafted liposomes. J. Antimicrob. Chemother. 1996, 38, 145–150. [Google Scholar] [CrossRef]
- Wu, F.; Zhou, C.; Zhou, D.; Ou, S.; Liu, Z.; Huang, H. Immune-enhancing activities of chondroitin sulfate in murine macrophage RAW 264.7 cells. Carbohydr. Polym. 2018, 198, 611–619. [Google Scholar] [CrossRef]
- Mulloy, B.; Hogwood, J.; Gray, E.; Lever, R.; Page, C.P. Pharmacology of heparin and related drugs. Pharmacol. Rev. 2015, 68, 76–141. [Google Scholar] [CrossRef]
- Martins, T.V.F.; de Carvalho, T.V.; de Oliveira, C.V.M.; de Paula, S.O.; Cardoso, S.A.; de Oliveira, L.L.; Marques-da-Silva, E.d.A. Leishmania chagasi heparin-binding protein: Cell localization and participation in L. chagasi infection. Mol. Biochem. Parasitol. 2015, 204, 34–43. [Google Scholar] [CrossRef]
- Merida-de-Barros, D.A.; Chaves, S.P.; Belmiro, C.L.R.; Wanderley, J.L.M. Leishmaniasis and glycosaminoglycans: A future therapeutic strategy? Parasit. Vectors 2018, 11, 536. [Google Scholar] [CrossRef]
- Vázquez, J.A.; Fraguas, J.; Novoa-Carballal, R.; Reis, R.L.; Pérez-Martín, R.I.; Valcarcel, J. Optimal isolation and characterisation of chondroitin sulfate from rabbit fish (Chimaera monstrosa). Carbohydr. Polym. 2019, 210, 302–313. [Google Scholar] [CrossRef]
- Frazier, S.B.; Roodhouse, K.A.; Hourcade, D.E.; Zhang, L. The quantification of glycosaminoglycans: A comparison of HPLC, carbazole, and Alcian blue methods. Open Glycosci. 2008, 1, 31–39. [Google Scholar] [CrossRef]
- Manca, M.L.; Valenti, D.; Sales, O.D.; Nacher, A.; Fadda, A.M.; Manconi, M. Fabrication of polyelectrolyte multilayered vesicles as inhalable dry powder for lung administration of rifampicin. Int. J. Pharm. 2014, 472, 102–109. [Google Scholar] [CrossRef]
- Manconi, M.; Manca, M.L.; Valenti, D.; Escribano, E.; Hillaireau, H.; Fadda, A.M.; Fattal, E. Chitosan and hyaluronan coated liposomes for pulmonary administration of curcumin. Int. J. Pharm. 2017, 525, 203–210. [Google Scholar] [CrossRef]
- Martí-Carreras, J.; Carrasco, M.; Gómez-Ponce, M.; Noguera-Julián, M.; Fisa, R.; Riera, C.; Alcover, M.M.; Roura, X.; Ferrer, L.; Francino, O. Identification of Leishmania infantum epidemiology, drug resistance and pathogenicity biomarkers with nanopore sequencing. Microorganisms 2022, 10, 2256. [Google Scholar] [CrossRef]
- Noleto Dias, C.; Nunes, T.A.L.; de Sousa, J.M.S.; Costa, L.H.; Rodrigues, R.R.L.; Araújo, A.J.; Marinho Filho, J.D.B.; da Silva, M.V.; Oliveira, M.R.; de Amorim Carvalho, F.A.; et al. Methyl gallate: Selective antileishmanial activity correlates with host-cell directed effects. Chem. Biol. Interact. 2020, 320, 109026. [Google Scholar] [CrossRef]
- Jain, S.K.; Sahu, R.; Walker, L.A.; Tekwani, B.L. A parasite rescue and transformation assay for antileishmanial screening against intracellular Leishmania donovani amastigotes in THP1 human acute monocytic leukemia cell line. J. Vis. Exp. 2012, 70, e4054. [Google Scholar]
- Vyas, S.P.; Quraishi, S.; Gupta, S.; Jaganathan, K.S. Aerosolized liposome-based delivery of amphotericin B to alveolar macrophages. Int. J. Pharm. 2005, 296, 12–25. [Google Scholar] [CrossRef]
- Debs, R.J.; Straubinger, R.M.; Brunette, E.N.; Lin, J.M.; Lin, E.J.; Montgomery, A.B.; Friend, D.S.; Papahadjopoulos, D.P. Selective enhancement of pentamidine uptake in the lung by aerosolization and delivery in liposomes. Am. Rev. Respir. Dis. 1987, 135, 731–737. [Google Scholar]
- Nahar, K.; Gupta, N.; Gauvin, R.; Absar, S.; Patel, B.; Gupta, V.; Khademhosseini, A.; Ahsan, F. In vitro, in vivo and ex vivo models for studying particle deposition and drug absorption of inhaled pharmaceuticals. Eur. J. Pharm. Sci. 2013, 49, 805–818. [Google Scholar] [CrossRef]
- Singh, N.; Kumar, M.; Singh, R.K. Leishmaniasis: Current status of available drugs and new potential drug targets. Asian Pac. J. Trop. Med. 2012, 5, 485–497. [Google Scholar] [CrossRef]
- Akbari, M.; Oryan, A.; Hatam, G. Application of nanotechnology in treatment of leishmaniasis: A review. Acta Trop. 2017, 172, 86–90. [Google Scholar] [CrossRef]
- Romero, E.L.; Morilla, M.J. Drug delivery systems against leishmaniasis? Still an open question. Expert Opin. Drug Deliv. 2008, 5, 805–823. [Google Scholar] [CrossRef] [PubMed]
- Murray, H.W.; Berman, J.D.; Davies, C.R.; Saravia, N.G. Advances in leishmaniasis. Lancet 2005, 366, 1561–1577. [Google Scholar] [CrossRef] [PubMed]
- Sundar, S.; Rai, M. Treatment of visceral leishmaniasis. Expert Opin. Pharmacother. 2005, 6, 2821–2829. [Google Scholar] [CrossRef] [PubMed]
- Sundar, S.; Jha, T.K.; Thakur, C.P.; Engel, J.; Sindermann, H.; Fischer, C.; Junge, K.; Bryceson, A.; Berman, J. Oral miltefosine for Indian visceral leishmaniasis. N. Engl. J. Med. 2002, 347, 1739–1746. [Google Scholar] [CrossRef]
- Sundar, S.; Mehta, H.; Suresh, A.V.; Singh, S.P.; Rai, M.; Murray, H.W. Amphotericin B treatment for Indian visceral leishmaniasis: Conventional versus lipid formulations. Clin. Infect. Dis. 2004, 38, 377–383. [Google Scholar] [CrossRef]
- Thakur, C.P.; Narayan, S. A comparative evaluation of amphotericin B and sodium antimony gluconate, as first-line drugs in the treatment of Indian visceral leishmaniasis. Ann. Trop. Med. Parasitol. 2004, 98, 129–138. [Google Scholar] [CrossRef]
- European Science Fundation: ESF. Forward Look on Nanomedicine. 2005. Available online: http://www.nanopharmaceuticals.org/files/nanomedicine.pdf (accessed on 6 October 2022).
- Ribeiro, R.R.; Moura, E.P.; Pimentel, V.M.; Sampaio, W.M.; Silva, S.M.; Schettini, D.A.; Alves, C.F.; Melo, F.A.; Tafuri, W.L.; Demicheli, C.; et al. Reduced tissue parasitic load and infectivity to sand flies in dogs naturally infected by Leishmania (Leishmania) chagasi following treatment with a liposome formulation of meglumine antimoniate. Antimicrob. Agents Chemother. 2008, 52, 2564–2572. [Google Scholar] [CrossRef]
- Schettini, D.A.; Costa Val, A.P.; Souza, L.F.; Demicheli, C.; Rocha, O.G.; Melo, M.N.; Michalick, M.S.; Frézard, F. Pharmacokinetic and parasitological evaluation of the bone marrow of dogs with visceral leishmaniasis submitted to multiple dose treatment with liposome-encapsulated meglumine antimoniate. Braz. J. Med. Biol. Res. 2005, 38, 1879–1883. [Google Scholar] [CrossRef]
- Tempone, A.G.; Perez, D.; Rath, S.; Vilarinho, A.L.; Mortara, R.A.; de Andrade, H.F., Jr. Targeting Leishmania (L.) chagasi amastigotes through macrophage scavenger receptors: The use of drugs entrapped in liposomes containing phosphatidylserine. J. Antimicrob. Chemother. 2004, 54, 60–68. [Google Scholar] [CrossRef]
- Valladares, J.E.; Freixas, J.; Alberola, J.; Franquelo, C.; Cristofol, C.; Arboix, M. Pharmacokinetics of liposome-encapsulated meglumine antimonate after intramuscular and subcutaneous administration in dogs. Am. J. Trop. Med. Hyg. 1997, 57, 403–406. [Google Scholar] [CrossRef]
- Kshirsagar, N.A.; Gokhale, P.C.; Pandya, S.K. Liposomes as drug delivery system in leishmaniasis. J. Assoc. Physicians India 1995, 43, 46–48. [Google Scholar]
- Banerjee, G.; Medda, S.; Basu, M.K. A novel peptide-grafted liposomal delivery system targeted to macrophages. Antimicrob. Agents Chemother. 1998, 42, 348–351. [Google Scholar] [CrossRef]
- Coukell, A.J.; Brogden, R.N. Liposomal amphotericin B. Therapeutic use in the management of fungal infections and visceral leishmaniasis. Drugs 1998, 55, 585–612. [Google Scholar] [CrossRef]
- Alving, C.R. Liposomes as drug carriers in leishmaniasis and malaria. Parasitol. Today 1986, 2, 101–107. [Google Scholar] [CrossRef]
- Blume, G.; Cevc, G. Liposomes for the sustained drug release in vivo. Biochim. Biophys. Acta 1990, 1029, 91–97. [Google Scholar] [CrossRef]
- Turk, M.J.; Waters, D.J.; Low, P.S. Folate-conjugated liposomes preferentially target macrophages associated with ovarian carcinoma. Cancer Lett. 2004, 213, 165–172. [Google Scholar] [CrossRef]
- Catalán-Latorre, A.; Pleguezuelos-Villa, M.; Castangia, I.; Manca, M.L.; Caddeo, C.; Nácher, A.; Díez-Sales, O.; Peris, J.E.; Pons, R.; Escribano-Ferrer, E.; et al. Nutriosomes: Prebiotic delivery systems combining phospholipids, a soluble dextrin and curcumin to counteract intestinal oxidative stress and inflammation. Nanoscale 2018, 10, 1957–1969. [Google Scholar] [CrossRef]
- Unciti-Broceta, J.D.; Arias, J.L.; Maceira, J.; Soriano, M.; Ortiz-González, M.; Hernández-Quero, J.; Muñoz-Torres, M.; de Koning, H.P.; Magez, S.; Garcia-Salcedo, J.A. Specific cell targeting therapy bypasses drug resistance mechanisms in African trypanosomiasis. PLoS Pathog. 2015, 11, e1004942. [Google Scholar] [CrossRef]
- Ahsan, F.; Rivas, I.P.; Khan, M.A.; Torres Suarez, A.I. Targeting to macrophages: Role of physicochemical properties of particulate carriers—Liposomes and microspheres—On the phagocytosis by macrophages. J. Control. Release 2002, 79, 29–40. [Google Scholar] [CrossRef]
- Gradoni, L.; López-Vélez, R.; Mokni, M. Manual on Case Management and Surveillance of the Leishmaniases in the WHO European Region; World Health Organization: Geneva, Switzerland, 2017. [Google Scholar]
- Andreana, I.; Bincoletto, V.; Milla, P.; Dosio, F.; Stella, B.; Arpicco, S. Nanotechnological approaches for pentamidine delivery. Drug Deliv. Transl. Res. 2022, 12, 1911–1927. [Google Scholar] [CrossRef]
- Awad, W.B.; Asaad, A.; Al-Yasein, N.; Najjar, R. Effectiveness and tolerability of intravenous pentamidine for Pneumocystis carinii pneumonia prophylaxis in adult hematopoietic stem cell transplant patients: A retrospective study. BMC Infect. Dis. 2020, 20, 400. [Google Scholar] [CrossRef] [PubMed]
- Abbadi, A.; Loftis, J.; Wang, A.; Yu, M.; Wang, Y.; Shakya, S.; Li, X.; Maytin, E.; Hascall, V. Heparin inhibits proinflammatory and promotes anti-inflammatory macrophage polarization under hyperglycemic stress. J. Biol. Chem. 2020, 295, 4849–4857. [Google Scholar] [CrossRef] [PubMed]






| Formulation | P90G (mg/mL) | Pentamidine (mg/mL) | CS (mg/mL) | Heparin (mg/mL) |
|---|---|---|---|---|
| Pentamidine-liposomes | 60.0 | 5.0 | - | - |
| Pentamidine-CS-liposomes | 60.0 | 5.0 | 0.5 | - |
| Pentamidine-heparin-liposomes | 60.0 | 5.0 | - | 1.0 |
| Formulations | MD (nm) | PDI | ZP (mV) | EE (%) |
|---|---|---|---|---|
| Plain liposomes | 85 ± 5 | 0.302 ± 0.002 | −9 ± 4 | − |
| CS-liposomes | 79 ± 6 | 0.361 ± 0.006 * | −14 ± 5 ** | − |
| Heparin-liposomes | 81 ± 6 | 0.351 ± 0.004 * | −13 ± 6 ** | − |
| Pentamidine-liposomes | 81 ± 3 | 0.274 ± 0.001 | +34 ± 3 *** | 47 ± 4 |
| Pentamidine-CS-liposomes | 82 ± 4 | 0.282 ± 0.003 | +34 ± 5 *** | 48 ± 5 |
| Pentamidine-heparin-liposomes | 84 ± 4 | 0.285 ± 0.002 | +35 ± 5 *** | 46 ± 6 |
| CC50 HUVECs (µM) | L. infantum | L. pifanoi | |||||
|---|---|---|---|---|---|---|---|
| IC50 Promastigotes (µM) | IC50 Amastigotes 1 (µM) | SI 2 | IC50 Promastigotes (µM) | IC50 Axenic Amastigotes (µM) | SI 2 | ||
| Pentamidine solution | 59.3 ± 4.9 | 25.8 ± 2.2 | 3.5 ± 0.9 | 17.2 | 7.9 ± 3.7 | 10.7 ± 3.8 | 5.5 |
| Pentamidine-liposomes | 112.0 ± 12.0 *** | 11.3 ± 1.7 *** | 2.6 ± 0.4 | 42.9 | 3.5 ± 1.0 | 8.3 ± 0.5 | 13.6 |
| Pentamidine-CS-liposomes | 83.4 ± 9.3 * | 18.7 ± 3.7 * | 2.5 ± 0.4 | 33.6 | 2.0 ± 0.4 * | 10.2 ± 1.2 | 8.2 |
| Pentamidine-heparin-liposomes | 144.2 ± 12.7 **** | 19.7 ± 1.5 * | 3.3 ± 0.8 | 43.3 | 2.4 ± 0.4 * | 9.9 ± 0.7 | 14.5 |
| TMO (%) | FPD (mg) | FPF (%) | MMAD (µm) ± GSD | |
|---|---|---|---|---|
| Pentamidine solution | 72 ± 6 | 4.0.± 3.0 | 53 ± 4 | 2.8 ± 2.0 |
| Pentamidine-liposomes | 74 ± 7 | 5.0 ± 0.5 | 70 ± 3 *** | 1.7 ± 1.4 |
| Pentamidine-CS-liposomes | 82 ± 12 | 5.0 ± 2.0 | 68 ± 4 ** | 1.8 ± 1.5 |
| Pentamidine-heparin-liposomes | 84 ± 3 * | 5.0 ± 2.0 | 65 ± 11 * | 1.4 ± 1.3 |
Disclaimer/Publisher’s Note: The statements, opinions and data contained in all publications are solely those of the individual author(s) and contributor(s) and not of MDPI and/or the editor(s). MDPI and/or the editor(s) disclaim responsibility for any injury to people or property resulting from any ideas, methods, instructions or products referred to in the content. |
© 2023 by the authors. Licensee MDPI, Basel, Switzerland. This article is an open access article distributed under the terms and conditions of the Creative Commons Attribution (CC BY) license (https://creativecommons.org/licenses/by/4.0/).
Share and Cite
Román-Álamo, L.; Allaw, M.; Avalos-Padilla, Y.; Manca, M.L.; Manconi, M.; Fulgheri, F.; Fernández-Lajo, J.; Rivas, L.; Vázquez, J.A.; Peris, J.E.; et al. In Vitro Evaluation of Aerosol Therapy with Pentamidine-Loaded Liposomes Coated with Chondroitin Sulfate or Heparin for the Treatment of Leishmaniasis. Pharmaceutics 2023, 15, 1163. https://doi.org/10.3390/pharmaceutics15041163
Román-Álamo L, Allaw M, Avalos-Padilla Y, Manca ML, Manconi M, Fulgheri F, Fernández-Lajo J, Rivas L, Vázquez JA, Peris JE, et al. In Vitro Evaluation of Aerosol Therapy with Pentamidine-Loaded Liposomes Coated with Chondroitin Sulfate or Heparin for the Treatment of Leishmaniasis. Pharmaceutics. 2023; 15(4):1163. https://doi.org/10.3390/pharmaceutics15041163
Chicago/Turabian StyleRomán-Álamo, Lucía, Mohamad Allaw, Yunuen Avalos-Padilla, Maria Letizia Manca, Maria Manconi, Federica Fulgheri, Jorge Fernández-Lajo, Luis Rivas, José Antonio Vázquez, José Esteban Peris, and et al. 2023. "In Vitro Evaluation of Aerosol Therapy with Pentamidine-Loaded Liposomes Coated with Chondroitin Sulfate or Heparin for the Treatment of Leishmaniasis" Pharmaceutics 15, no. 4: 1163. https://doi.org/10.3390/pharmaceutics15041163
APA StyleRomán-Álamo, L., Allaw, M., Avalos-Padilla, Y., Manca, M. L., Manconi, M., Fulgheri, F., Fernández-Lajo, J., Rivas, L., Vázquez, J. A., Peris, J. E., Roca-Geronès, X., Poonlaphdecha, S., Alcover, M. M., Fisa, R., Riera, C., & Fernàndez-Busquets, X. (2023). In Vitro Evaluation of Aerosol Therapy with Pentamidine-Loaded Liposomes Coated with Chondroitin Sulfate or Heparin for the Treatment of Leishmaniasis. Pharmaceutics, 15(4), 1163. https://doi.org/10.3390/pharmaceutics15041163

