Anti-Tumor Activity of Orally Administered Gefitinib-Loaded Nanosized Cubosomes against Colon Cancer
Abstract
1. Introduction
2. Materials and Methods
2.1. Materials
2.2. Animals and Ethical Approval
2.3. Methods
2.3.1. Preparation of Gefitinib Cubosomal Nanoparticles (GFT-CNPs)
2.3.2. Experimental Design
2.3.3. Characterization of Prepared GFT-CNPs
Estimation of Entrapment Efficiency Percentage (EE%)
Morphology of the Prepared GFT-CNPs
GFT-CNP Size and Polydispersity Index (PDI)
Zeta Potential Determination
Differential Scanning Calorimetry (DSC)
Fourier Transform Infrared (FTIR) Spectroscopy
2.3.4. In Vitro GFT-CNPs Release and Kinetic Studies
2.3.5. Selection of the Optimum Formula
2.3.6. GFT-CNP Stability Study
2.3.7. In Vivo Study
Animal Experiments
Serum Specimen Collection
Tissue Specimen
Detection of TIMP-1 and MMP-7 by Real-Time PCR
Estimation of Colon Biomarkers
Histopathological Assessment
Statistical Analysis
3. Results and Discussion
3.1. Fabrication of GFT-CNPs
3.2. DSC Studies
3.3. FTIR Spectroscopy
3.4. GFT-CNPs Morphology
3.5. Response Surface Methodology and Optimization of Formulation Factors
3.5.1. Entrapment Efficiency Percentage (EE%)
3.5.2. Particle Size, PDI, and Zeta Potential
3.5.3. In Vitro GFT-CNP Release and Kinetic Studies
3.6. GFT-CNP Stability Study
3.7. In Vivo Study
3.7.1. Gene Expression Levels of TIMP-1 and MMP-7 by RT-PCR
3.7.2. Serum Levels of CEA and CA19-9
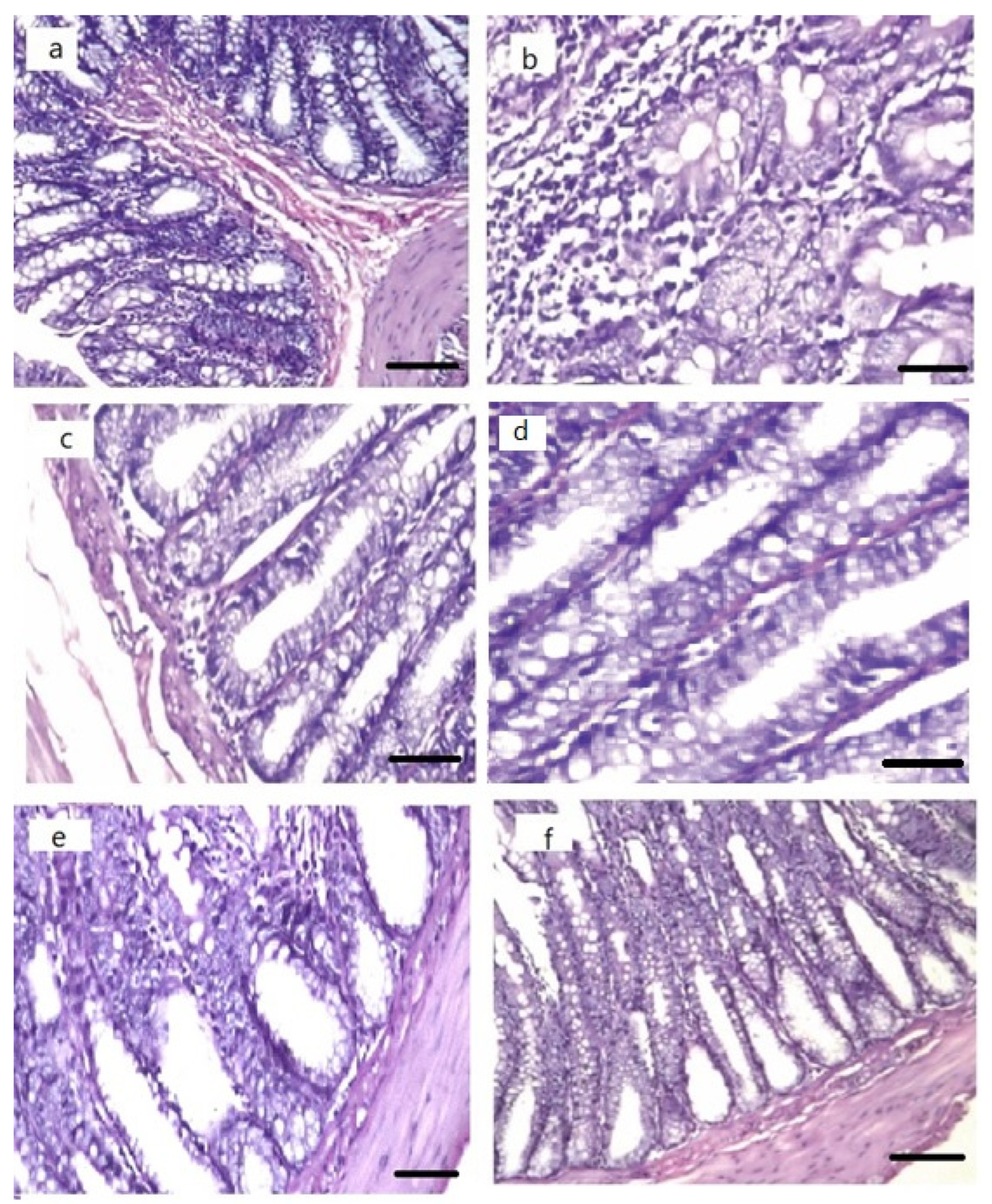
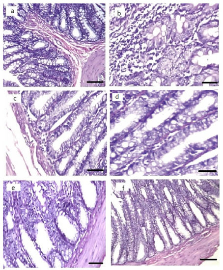
3.7.3. Histopathological Examination
4. Conclusions
Author Contributions
Funding
Institutional Review Board Statement
Informed Consent Statement
Data Availability Statement
Acknowledgments
Conflicts of Interest
References
- Abbas, Z.; Rehman, S. An overview of cancer treatment modalities. Neoplasm 2018, 1, 139–157. [Google Scholar]
- Elsayed, M.M.; Mostafa, M.E.; Alaaeldin, E.; Sarhan, H.A.; Shaykoon, M.S.; Allam, S.; Ahmed, A.R.; Elsadek, B.E. Design and characterisation of novel Sorafenib-loaded carbon nanotubes with distinct tumour-suppressive activity in hepatocellular carcinoma. Int. J. Nanomed. 2019, 14, 8445–8467. [Google Scholar] [CrossRef] [PubMed]
- Hassnine, A.A.; Saber, M.A.; Fouad, Y.M.; Sarhan, H.; Elsayed, M.M.; Zaki, Z.M.; Abdelraheem, E.M.; Abdelhalim, S.M.; Elsayed, A.M. Clinical study on the efficacy of hepatitis B vaccination in hepatitis C virus related chronic liver diseases in Egypt. Virus Res. 2022, 323, 198953. [Google Scholar] [CrossRef] [PubMed]
- Bhandari, A.; Woodhouse, M.; Gupta, S. Colorectal cancer is a leading cause of cancer incidence and mortality among adults younger than 50 years in the USA: A SEER-based analysis with comparison to other young-onset cancers. J. Investig. Med. 2017, 65, 311–315. [Google Scholar] [CrossRef]
- Saddik, M.S.; Elsayed, M.M.; Abdelkader, M.S.A.; El-Mokhtar, M.A.; Abdel-Aleem, J.A.; Abu-Dief, A.M.; Al-Hakkani, M.F.; Farghaly, H.S.; Abou-Taleb, H.A. Novel green biosynthesis of 5-fluorouracil chromium nanoparticles using harpullia pendula extract for treatment of colorectal cancer. Pharmaceutics 2021, 13, 226–243. [Google Scholar] [CrossRef]
- Rawla, P.; Sunkara, T.; Barsouk, A. Epidemiology of colorectal cancer: Incidence, mortality, survival, and risk factors. Przegląd Gastroenterol. 2019, 14, 89–103. [Google Scholar] [CrossRef]
- Saber, M.A.; Sarhan, H.A.-M.; Fouad, Y.M.; Elsayed, M.; Hassnine, A.A. Overview on Hepatitis B vaccination. Egypt. J. Hosp. Med. 2022, 86, 696–699. [Google Scholar] [CrossRef]
- Raskov, H.; Søby, J.H.; Troelsen, J.; Bojesen, R.D.; Gögenur, I. Driver gene mutations and epigenetics in colorectal cancer. Ann. Surg. 2020, 271, 75–85. [Google Scholar] [CrossRef]
- Mirnezami, A.; Mirnezami, R.; Chandrakumaran, K.; Sasapu, K.; Sagar, P.; Finan, P. Increased local recurrence and reduced survival from colorectal cancer following anastomotic leak: Systematic review and meta-analysis. Ann. Surg. 2011, 253, 890–899. [Google Scholar] [CrossRef]
- Nawale, V.; Darekar, A.; Saudagar, R. Micro-RNA: Biomarker for the treatment of cancer. J. Drug Deliv. Ther. 2019, 9, 511–524. [Google Scholar]
- van den Heuvel, M.M.; Verheij, M.; Boshuizen, R.; Belderbos, J.; Dingemans, A.-M.C.; De Ruysscher, D.; Laurent, J.; Tighe, R.; Haanen, J.; Quaratino, S. NHS-IL2 combined with radiotherapy: Preclinical rationale and phase Ib trial results in metastatic non-small cell lung cancer following first-line chemotherapy. J. Transl. Med. 2015, 13, 32. [Google Scholar] [CrossRef] [PubMed]
- Ahmed, M.M. Effect of different formulation variables on release characteristics of gastro-floating microspheres of ethyl cellulose/carbopol 934P encapsulating sorafenib. Int. J. Pharm. Pharm. Sci. 2019, 11, 64–70. [Google Scholar] [CrossRef]
- Chavda, H.; Patel, C.; Anand, I. Biopharmaceutics classification system. Syst. Rev. Pharm. 2010, 1, 62–71. [Google Scholar] [CrossRef]
- Elsayed, M. Controlled release alginate-chitosan microspheres of tolmetin sodium prepared by internal gelation technique and characterized by response surface modeling. Braz. J. Pharm. Sci. 2021, 56, 1–16. [Google Scholar] [CrossRef]
- Ma, S.; Xu, Y.; Deng, Q.; Yu, X. Treatment of brain metastasis from non-small cell lung cancer with whole brain radiotherapy and Gefitinib in a Chinese population. Lung Cancer 2009, 65, 198–203. [Google Scholar] [CrossRef]
- Alshehri, S.; Alanazi, A.; Elzayat, E.M.; Altamimi, M.A.; Imam, S.S.; Hussain, A.; Alqahtani, F.; Shakeel, F. Formulation, in vitro and in vivo evaluation of gefitinib solid dispersions prepared using different techniques. Processes 2021, 9, 1210. [Google Scholar] [CrossRef]
- Hasan, A.; Abd Elghany, M.; Sabry, S. Design and characterization of intra-oral fast dissolving tablets containing diacerein-solid dispersion. J. Appl. Pharm. Sci. 2020, 10, 44–53. [Google Scholar]
- El-Rasoul, A.; Ahmed, M.M. Chitosan polymer as a coat of calcium alginate microcapsules loaded by non-steroidal antiinflammatory drug. Bull. Pharm. Sci. Assiut 2010, 33, 179–186. [Google Scholar] [CrossRef]
- Elsayed, M.; Elgarhy, O.; Abdelkader, H.; Elkhayat, O. Enhancement of Etodolac Solubility Using Solid Dispersion Technique: Full Factorial Design Optimization and In Vitro Release Studies. SJYR 2022, 2, 46–54. [Google Scholar] [CrossRef]
- Ahmed, M.M.; Abd El-Rasoul, S.; Auda, S.H.; Ibrahim, M.A. Emulsification/internal gelation as a method for preparation of diclofenac sodium–sodium alginate microparticles. Saudi Pharm. J. 2013, 21, 61–69. [Google Scholar] [CrossRef]
- Abd El Rasoul, S.; Saleh, K. Emulsion solvent evaporation method for preparing Eudragit RS100 microparticles loaded ketorolac tromethamine. Asian J. Pharm. Health Sci. 2013, 3, 627–639. [Google Scholar]
- Elsayed, M.; El Rasoul, S.A.; Hussein, A.K. Response surface methodology as a useful tool for development and optimization of sustained release ketorolac tromethamine niosomal organogels. J. Pharm. Innov. 2020, 15, 664–677. [Google Scholar] [CrossRef]
- Sabry, S.; Okda, T.; Hasan, A. Formulation, characterization, and evaluation of the anti-tumor activity of nanosized galangin loaded niosomes on chemically induced hepatocellular carcinoma in rats. J. Drug Deliv. Sci. Technol. 2021, 61, 102–116. [Google Scholar] [CrossRef]
- Elsayed, M.M.A.; Okda, T.M.; Atwa, G.M.K.; Omran, G.A.; Abd Elbaky, A.E.; Ramadan, A.E.h. Design and Optimization of Orally Administered Luteolin Nanoethosomes to Enhance Its Anti-Tumor Activity against Hepatocellular Carcinoma. Pharmaceutics 2021, 13, 648. [Google Scholar] [CrossRef] [PubMed]
- Auda, S.H.; El-Rasoul, S.A.; Ahmed, M.M.; Osman, S.K.; El-Badry, M. In-vitro release and in-vivo performance of tolmetin from different topical gel formulations. J. Pharm. Investig. 2015, 45, 311–317. [Google Scholar] [CrossRef]
- Saddik, M.S.; Elsayed, M.M.; El-Mokhtar, M.A.; Sedky, H.; Abdel-Aleem, J.A.; Abu-Dief, A.M.; Al-Hakkani, M.F.; Hussein, H.L.; Al-Shelkamy, S.A.; Meligy, F.Y. Tailoring of novel azithromycin-loaded zinc oxide nanoparticles for wound healing. Pharmaceutics 2022, 14, 111. [Google Scholar] [CrossRef]
- Dhadwal, A.; Sharma, D.R.; Pandit, V.; Ashawat, M.S.; Kumar, P. Cubosomes: A novel carrier for transdermal drug delivery. J. Drug Deliv. Ther. 2020, 10, 123–130. [Google Scholar] [CrossRef]
- Mourelatou, E.A.; Sarigiannis, Y.; Petrou, C.C. Ocular Drug Delivery Nanosystems: Recent Developments and Future Challenges. Drug Deliv. Nanosyst. 2019, 2019, 93–172. [Google Scholar]
- Jain, S.; Jain, V.; Mahajan, S. Lipid based vesicular drug delivery systems. Adv. Pharm. 2014, 2014, 1–16. [Google Scholar] [CrossRef]
- Mathias, N.R.; Hussain, M.A. Non-invasive systemic drug delivery: Developability considerations for alternate routes of administration. J. Pharm. Sci. 2010, 99, 1–20. [Google Scholar] [CrossRef]
- Duttagupta, A.S.; Chaudhary, H.M.; Jadhav, K.R.; Kadam, V.J. Cubosomes: Innovative nanostructures for drug delivery. Curr. Drug Deliv. 2016, 13, 482–493. [Google Scholar] [CrossRef] [PubMed]
- Mohsen, A.M.; Younis, M.M.; Salama, A.; Darwish, A.B. Cubosomes as a potential oral drug delivery system for enhancing the hepatoprotective effect of coenzyme Q10. J. Pharm. Sci. 2021, 110, 2677–2686. [Google Scholar] [CrossRef] [PubMed]
- Gaballa, S.A.; El Garhy, O.H.; Abdelkader, H. Cubosomes: Composition, preparation, and drug delivery applications. J. Adv. Biomed. Pharm. Sci. 2020, 3, 1–9. [Google Scholar] [CrossRef]
- Refaat, H.; Naguib, Y.W.; Elsayed, M.M.; Sarhan, H.A.; Alaaeldin, E. Modified spraying technique and response surface methodology for the preparation and optimization of propolis liposomes of enhanced anti-proliferative activity against human melanoma cell line A375. Pharmaceutics 2019, 11, 558. [Google Scholar] [CrossRef] [PubMed]
- Morsi, N.M.; Abdelbary, G.A.; Ahmed, M.A. Silver sulfadiazine based cubosome hydrogels for topical treatment of burns: Development and in vitro/in vivo characterization. Eur. J. Pharm. Biopharm. 2014, 86, 178–189. [Google Scholar] [CrossRef] [PubMed]
- Singhal, K.; Kaushik, N.; Kumar, A. Cubosomes: Versatile Nanosized Formulation for Efficient Delivery of Therapeutics. Curr. Drug Deliv. 2022, 19, 644–657. [Google Scholar]
- Saddik, M.S.; Elsayed, M.M.; Abdel-Rheem, A.A.; El-Mokhtar, M.A.; Mosa, E.S.; Al-Hakkani, M.F.; Al-Shelkamy, S.A.; Khames, A.; Daha, M.A.; Abdel-Aleem, J.A. A Novel C@ Fe@ Cu Nanocomposite Loaded with Doxorubicin Tailored for the Treatment of Hepatocellular Carcinoma. Pharmaceutics 2022, 14, 1845. [Google Scholar] [CrossRef]
- Elsayed, M.; Aboelez, M.O.; Elsadek, B.E.; Sarhan, H.A.; Khaled, K.A.; Belal, A.; Khames, A.; Hassan, Y.A.; Abdel-Rheem, A.A.; Elkaeed, E.B.J.P. Tolmetin Sodium Fast Dissolving Tablets for Rheumatoid Arthritis Treatment: Preparation and Optimization Using Box-Behnken Design and Response Surface Methodology. Pharmaceutics 2022, 14, 880. [Google Scholar] [CrossRef]
- Auda, S.H.; Ahmed, M.M.; El-Rasoul, A.; Saleh, K.I. Formulation and physicochemical characterization of piroxicam containing polymer films. Bull. Pharm. Sci. Assiut 2010, 33, 33–42. [Google Scholar] [CrossRef]
- Hesham, M.; Jelan, A.; Mahmoud, A. Development and optimization of itopride hydrochloride fast disintegrating tablets using factorial design and response surface methodology. Int. J. Pharm. Sci. Res. 2015, 6, 1661–1672. [Google Scholar]
- El-Shenawy, A.A.; Ahmed, M.M.; Mansour, H.F.; Abd El Rasoul, S. Torsemide fast dissolving tablets: Development, optimization using Box–Bhenken design and response surface methodology, in vitro characterization, and pharmacokinetic assessment. AAPS PharmSciTech 2017, 18, 2168–2179. [Google Scholar] [CrossRef]
- Ahmed, M.M.; Auda, S.H.; El-Rasoul, A.; Saleh, K.I.; Zayed, G.M. Preparation and Evaluation of Diclofenac Sodium–Cellulose Acetate Microcapsules Using Solvent Evaporation Technique. Bull. Pharm. Sci. Assiut 2010, 33, 43–49. [Google Scholar] [CrossRef]
- Fornasier, M.; Biffi, S.; Bortot, B.; Macor, P.; Manhart, A.; Wurm, F.R.; Murgia, S. Cubosomes stabilized by a polyphosphoester-analog of Pluronic F127 with reduced cytotoxicity. J. Colloid Interface Sci. 2020, 580, 286–297. [Google Scholar] [CrossRef] [PubMed]
- Elsayed, M. Design and optimization of tolmetin sodium microspheres prepared by emulsification-internal gelation using response surface methodology. Al-Azhar J. Pharm. Sci. 2012, 45, 383–398. [Google Scholar] [CrossRef]
- El-Rasoul, A.; Ahmed, M.M. Preparation, characterization and in-vitro release of controlled release ketorolac tromethamine cellulose acetate butyrate microspheres. Bull. Pharm. Sci. Assiut 2010, 33, 187–199. [Google Scholar] [CrossRef]
- Zewail, M.; Gaafar, P.M.E.; Ali, M.M.; Abbas, H. Lipidic cubic-phase leflunomide nanoparticles (cubosomes) as a potential tool for breast cancer management. Drug Deliv. 2022, 29, 1663–1674. [Google Scholar] [CrossRef]
- Teaima, M.; Abdelmonem, R.; Adel, Y.A.; El-Nabarawi, M.A.; El-Nawawy, T.M. Transdermal Delivery of Telmisartan: Formulation, in vitro, ex vivo, Iontophoretic Permeation Enhancement and Comparative Pharmacokinetic Study in Rats. Drug Des. Dev. Ther. 2021, 15, 4603–4621. [Google Scholar] [CrossRef]
- Elsayed, M.M.; Aboelez, M.O.; Mohamed, M.S.; Mahmoud, R.A.; El-Shenawy, A.A.; Mahmoud, E.A.; Al-Karmalawy, A.A.; Santali, E.Y.; Alshehri, S.; Elsadek, M.E.M. Tailoring of Rosuvastatin Calcium and Atenolol Bilayer Tablets for the Management of Hyperlipidemia Associated with Hypertension: A Preclinical Study. Pharmaceutics 2022, 14, 1629. [Google Scholar] [CrossRef]
- El-Shenawy, A.A.; Mahmoud, R.A.; Mahmoud, E.A.; Mohamed, M.S. Intranasal in situ gel of apixaban-loaded nanoethosomes: Preparation, optimization, and in vivo evaluation. AAPS PharmSciTech. 2021, 22, 147. [Google Scholar] [CrossRef] [PubMed]
- Shah, K.U.; Khan, G.M. Regulating drug release behavior and kinetics from matrix tablets based on fine particle-sized ethyl cellulose ether derivatives: An in vitro and in vivo evaluation. Sci. World J. 2012, 2012, 1–8. [Google Scholar] [CrossRef] [PubMed]
- Dash, S.; Murthy, P.N.; Nath, L.; Chowdhury, P. Kinetic modeling on drug release from controlled drug delivery systems. Acta Pol. Pharm. 2010, 67, 217–223. [Google Scholar]
- Kalam, M.A.; Humayun, M.; Parvez, N.; Yadav, S.; Garg, A.; Amin, S.; Sultana, Y.; Ali, A. Release kinetics of modified pharmaceutical dosage forms: A review. Cont. J. Pharm. Sci. 2007, 1, 30–35. [Google Scholar]
- Korsmeyer, R.W.; Gurny, R.; Doelker, E.; Buri, P.; Peppas, N.A. Mechanisms of solute release from porous hydrophilic polymers. Int. J. Pharm. 1983, 15, 25–35. [Google Scholar] [CrossRef]
- Elkot, M.; Elsayed, M.; Alaaeldin, E.; Sarhan, H.; Shaykoon, M.S.A.; Elsadek, B. Accelerated stability testing of microcapsulated sorafenib-loaded carbon nanotubes prepared by emulsification/internal gelation method. Int. J. Pharm. Pharm. Res. 2019, 16, 126–139. [Google Scholar]
- Abass, S.A.; Abdel-Hamid, N.M.; Abouzed, T.K.; El-Shishtawy, M.M. Chemosensitizing effect of Alpinia officinarum rhizome extract in cisplatin-treated rats with hepatocellular carcinoma. Biomed. Pharmacother. 2018, 101, 710–718. [Google Scholar] [CrossRef] [PubMed]
- Nirmala, P.; Ramanathan, M. Effect of myricetin on 1,2 dimethylhydrazine induced rat colon carcinogenesis. J. Exp. Ther. Oncol. 2011, 9, 101–118. [Google Scholar]
- Lubet, R.A.; Szabo, E.; Christov, K.; Bode, A.M.; Ericson, M.E.; Steele, V.E.; Juliana, M.M.; Grubbs, C.J. Effects of gefitinib (Iressa) on mammary cancers: Preventive studies with varied dosages, combinations with vorozole or targretin, and biomarker changes. Mol. Cancer Ther. 2008, 7, 972–982. [Google Scholar] [CrossRef]
- Livak, K.J.; Schmittgen, T.D. Analysis of relative gene expression data using real-time quantitative PCR and the 2(−ΔΔC(T)) Method. Methods 2001, 25, 402–408. [Google Scholar] [CrossRef]
- Bancroft, J.D. Observations on the effect on histochemical reactions of different processing methods. J. Med. Lab. Technol. 1966, 23, 105–108. [Google Scholar]
- Eldeeb, A.E.; Salah, S.; Ghorab, M. Formulation and evaluation of cubosomes drug delivery system for treatment of glaucoma: Ex-vivo permeation and in-vivo pharmacodynamic study. J. Drug Deliv. Sci. Technol. 2019, 52, 236–247. [Google Scholar] [CrossRef]
- Hashem, F.; Nasr, M.; Youssif, M. Formulation and characterization of cubosomes containing REB for improvement of oral absorption of the drug in human volunteers. J. Adv. Pharm. Res. 2018, 2, 95–103. [Google Scholar] [CrossRef]
- Matloub, A.A.; AbouSamra, M.M.; Salama, A.H.; Rizk, M.Z.; Aly, H.F.; Fouad, G.I. Cubic liquid crystalline nanoparticles containing a polysaccharide from Ulva fasciata with potent antihyperlipidaemic activity. Saudi Pharm. J. 2018, 26, 224–231. [Google Scholar] [CrossRef] [PubMed]
- Nasr, M.; Younes, H.; Abdel-Rashid, R.S. Formulation and evaluation of cubosomes containing colchicine for transdermal delivery. Drug Deliv. Transl. Res. 2020, 10, 1302–1313. [Google Scholar] [CrossRef]
- Eissa, E.M.; Elkomy, M.H.; Eid, H.M.; Ali, A.A.; Abourehab, M.A.; Alsubaiyel, A.M.; Naguib, I.A.; Alsalahat, I.; Hassan, A.H. Intranasal delivery of granisetron to the brain via nanostructured cubosomes-based in situ gel for improved management of chemotherapy-induced emesis. Pharmaceutics 2022, 14, 1374. [Google Scholar] [CrossRef] [PubMed]
- Kumar, A.; Hodnett, B.K.; Hudson, S.; Davern, P. Modification of the zeta potential of montmorillonite to achieve high active pharmaceutical ingredient nanoparticle loading and stabilization with optimum dissolution properties. Colloids Surf. B Biointerfaces 2020, 193, 111–120. [Google Scholar] [CrossRef]
- Gaballa, S.A.; El Garhy, O.H.; Moharram, H.; Abdelkader, H. Preparation and evaluation of cubosomes/cubosomal gels for ocular delivery of beclomethasone dipropionate for management of uveitis. Pharm. Res. 2020, 37, 198. [Google Scholar] [CrossRef]
- Chettupalli, A.K.; Ananthula, M.; Amarachinta, P.R.; Bakshi, V.; Yata, V.K. Design, Formulation, in-vitro and ex-vivo evaluation of atazanavir loaded cubosomal gel. Biointerface Res. Appl. Chem. 2021, 11, 12037–12054. [Google Scholar]
- Nazaruk, E.; Majkowska-Pilip, A.; Bilewicz, R. Lipidic cubic-phase nanoparticles—Cubosomes for efficient drug delivery to cancer cells. Chempluschem 2017, 82, 570–575. [Google Scholar] [CrossRef]
- Wu, L.; Zhou, W.; Lin, L.; Chen, A.; Feng, J.; Qu, X.; Zhang, H.; Yue, J. Delivery of therapeutic oligonucleotides in nanoscale. Bioact. Mater. 2022, 7, 292–323. [Google Scholar] [CrossRef]
- Nithya, R.; Jerold, P.; Siram, K. Cubosomes of dapsone enhanced permeation across the skin. J. Drug Deliv. Sci. Technol. 2018, 48, 75–81. [Google Scholar] [CrossRef]
- Meng, C.; Yin, X.; Liu, J.; Tang, K.; Tang, H.; Liao, J. TIMP-1 is a novel serum biomarker for the diagnosis of colorectal cancer: A meta-analysis. PLoS ONE 2018, 13, e0207039. [Google Scholar] [CrossRef] [PubMed]
- Koskensalo, S.; Louhimo, J.; Nordling, S.; Hagström, J.; Haglund, C. MMP-7 as a prognostic marker in colorectal cancer. Tumor Biol. 2011, 32, 259–264. [Google Scholar] [CrossRef] [PubMed]
- Vukobrat-Bijedic, Z.; Husic-Selimovic, A.; Sofic, A.; Bijedic, N.; Bjelogrlic, I.; Gogov, B.; Mehmedovic, A. Cancer Antigens (CEA and CA 19-9) as Markers of Advanced Stage of Colorectal Carcinoma. Med. Arch. 2013, 67, 397–401. [Google Scholar] [CrossRef] [PubMed]
- Lakemeyer, L.; Sander, S.; Wittau, M.; Henne-Bruns, D.; Kornmann, M.; Lemke, J. Diagnostic and Prognostic Value of CEA and CA19-9 in Colorectal Cancer. Diseases 2021, 9, 21. [Google Scholar] [CrossRef] [PubMed]














| Composition | GC1 | GC2 | GC3 | GC4 | GC5 | GC6 | GC7 | GC8 | GC9 |
|---|---|---|---|---|---|---|---|---|---|
| GFT (mg) | 10 | 10 | 10 | 10 | 10 | 10 | 10 | 10 | 10 |
| GMO/P407 (% w/w) | 2.5 | 5 | 7.5 | 2.5 | 5 | 7.5 | 2.5 | 5 | 7.5 |
| P407 (% w/w) | 5 | 5 | 5 | 10 | 10 | 10 | 15 | 15 | 15 |
| Water to (mL) | 20 | 20 | 20 | 20 | 20 | 20 | 20 | 20 | 20 |
| F. Code | Particle Size (nm) | PDI | Zeta Potential (mV) | Cumulative % Released at 12 h |
|---|---|---|---|---|
| GC1 | 149 ± 24 | 0.157 ± 0.022 | −29 ± 0.925 | 97.74 ± 1.43 |
| GC2 | 132 ± 19 | 0.251 ± 0.052 | −26 ± 0.790 | 84.56 ± 1.54 |
| GC3 | 98± 20 | 0.302 ± 0.041 | −27 ± 0.884 | 88.06 ± 2.01 |
| GC4 | 312 ± 22 | 0.247 ± 0.055 | −25 ± 1.32 | 59.06 ± 1.34 |
| GC5 | 306 ± 16 | 0.137 ± 0.063 | −30 ± 1.008 | 64.07 ± 1.76 |
| GC6 | 291 ± 23 | 0.149 ± 0.041 | −32 ± 1.123 | 73.73 ± 1.86 |
| GC7 | 550 ± 11 | 0.172 ± 0.042 | −36 ± 0.687 | 45.37 ± 1.11 |
| GC8 | 477 ± 18 | 0.352 ± 0.029 | −34 ± 1.009 | 47.32 ± 2.06 |
| GC9 | 365 ± 20 | 0.132 ± 0.052 | −33 ± 0.956 | 52.12 ± 1.36 |
| F. Code | Zero-Order | First-Order | Diffusion | Korsemeyer-Peppas | ||||
|---|---|---|---|---|---|---|---|---|
| R2 | K0 | R2 | K1 | R2 | KH | R2 | n | |
| GFT-Suspension | 0.9616 | 1.4559 | 0.9685 | 0.00707 | 0.9903 | 5.56670 | 0.9919 | 0.7015 |
| GC1 | 0.8040 | 4.5868 | 0.9239 | 0.04450 | 0.9284 | 19.6614 | 0.9526 | 0.1988 |
| GC2 | 0.7779 | 4.6481 | 0.9156 | 0.05003 | 0.9086 | 20.1544 | 0.9255 | 0.1674 |
| GC3 | 0.7676 | 4.8742 | 0.9275 | 0.05908 | 0.9046 | 21.3270 | 0.9514 | 0.1661 |
| GC4 | 0.7884 | 3.3677 | 0.8660 | 0.02397 | 0.9166 | 14.5366 | 0.9194 | 0.1748 |
| GC5 | 0.7746 | 3.5298 | 0.8611 | 0.02640 | 0.9087 | 15.3573 | 0.9256 | 0.1657 |
| GC6 | 0.8138 | 4.2917 | 0.9173 | 0.03730 | 0.9327 | 18.2595 | 0.9246 | 0.1982 |
| GC7 | 0.7793 | 2.5059 | 0.8321 | 0.01520 | 0.9075 | 10.8344 | 0.9273 | 0.1674 |
| GC8 | 0.7520 | 2.6008 | 0.8085 | 0.01620 | 0.8945 | 11.4858 | 0.9530 | 0.1547 |
| GC9 | 0.7683 | 2.8807 | 0.8335 | 0.01885 | 0.9028 | 12.5656 | 0.9042 | 0.1551 |
Disclaimer/Publisher’s Note: The statements, opinions and data contained in all publications are solely those of the individual author(s) and contributor(s) and not of MDPI and/or the editor(s). MDPI and/or the editor(s) disclaim responsibility for any injury to people or property resulting from any ideas, methods, instructions or products referred to in the content. |
© 2023 by the authors. Licensee MDPI, Basel, Switzerland. This article is an open access article distributed under the terms and conditions of the Creative Commons Attribution (CC BY) license (https://creativecommons.org/licenses/by/4.0/).
Share and Cite
El-Shenawy, A.A.; Elsayed, M.M.A.; Atwa, G.M.K.; Abourehab, M.A.S.; Mohamed, M.S.; Ghoneim, M.M.; Mahmoud, R.A.; Sabry, S.A.; Anwar, W.; El-Sherbiny, M.; et al. Anti-Tumor Activity of Orally Administered Gefitinib-Loaded Nanosized Cubosomes against Colon Cancer. Pharmaceutics 2023, 15, 680. https://doi.org/10.3390/pharmaceutics15020680
El-Shenawy AA, Elsayed MMA, Atwa GMK, Abourehab MAS, Mohamed MS, Ghoneim MM, Mahmoud RA, Sabry SA, Anwar W, El-Sherbiny M, et al. Anti-Tumor Activity of Orally Administered Gefitinib-Loaded Nanosized Cubosomes against Colon Cancer. Pharmaceutics. 2023; 15(2):680. https://doi.org/10.3390/pharmaceutics15020680
Chicago/Turabian StyleEl-Shenawy, Ahmed A., Mahmoud M. A. Elsayed, Gamal M. K. Atwa, Mohammed A. S. Abourehab, Mohamed S. Mohamed, Mohammed M. Ghoneim, Reda A. Mahmoud, Shereen A. Sabry, Walid Anwar, Mohamed El-Sherbiny, and et al. 2023. "Anti-Tumor Activity of Orally Administered Gefitinib-Loaded Nanosized Cubosomes against Colon Cancer" Pharmaceutics 15, no. 2: 680. https://doi.org/10.3390/pharmaceutics15020680
APA StyleEl-Shenawy, A. A., Elsayed, M. M. A., Atwa, G. M. K., Abourehab, M. A. S., Mohamed, M. S., Ghoneim, M. M., Mahmoud, R. A., Sabry, S. A., Anwar, W., El-Sherbiny, M., Hassan, Y. A., Belal, A., & Ramadan, A. E. h. (2023). Anti-Tumor Activity of Orally Administered Gefitinib-Loaded Nanosized Cubosomes against Colon Cancer. Pharmaceutics, 15(2), 680. https://doi.org/10.3390/pharmaceutics15020680

