L-Serine-Modified Poly-L-Lysine as a Biodegradable Kidney-Targeted Drug Carrier for the Efficient Radionuclide Therapy of Renal Cell Carcinoma
Abstract
:1. Introduction
2. Materials and Methods
2.1. Chemicals and Reagents
2.2. Animals
2.3. Synthesis of Ser-Poly-L-Lysine
2.4. Tissue Distribution of 111In-Labeled Ser-Poly-L-Lysine
2.5. In Vivo SPECT/CT Imaging of 111In-Labeled Ser-Poly-L-Lysine Tissue Distribution
2.6. Intrarenal Distribution of FITC-Labeled Ser-Poly-L-Lysine
2.7. Biodegradability of Ser-Poly-L-Lysine
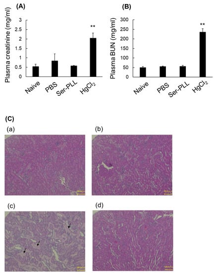
2.8. Ser-Poly-L-Lysine Nephrotoxicity in Mice
2.9. Effects of 90Y-Labeled Ser-Poly-L-Lysine on Tumor Growth in a Mouse Renal Cell Carcinoma Model
2.10. Statistical Analysis
3. Results
3.1. Physicochemical Properties of Ser-Poly-L-Lysine
3.2. Tissue Distribution of 111In-Labeled Ser-Poly-L-Lysine
3.3. Biodistribution Imaging of 111In-Labeled Ser-Poly-L-Lysine
3.4. Intrarenal Distribution of FITC-Labeled Ser-Poly-L-Lysine
3.5. Ser-Poly-L-Lysine Biodegradability
3.6. Ser-Poly-L-Lysine Nephrotoxicity
3.7. Therapeutic Potential and Safety of 90Y-Labeled Ser-Poly-L-Lysine in Mouse Model of Renal Cell Carcinoma (RCC)
4. Discussion
5. Conclusions
Supplementary Materials
Author Contributions
Funding
Institutional Review Board Statement
Informed Consent Statement
Data Availability Statement
Conflicts of Interest
References
- Muglia, V.F.; Prando, A. Renal Cell Carcinoma: Histological Classification and Correlation With Imaging Findings. Radiol. Bras. 2015, 48, 166–174. [Google Scholar] [CrossRef]
- Wood, L.S. Management of Vascular Endothelial Growth Factor and Multikinase Inhibitor Side Effects. Clin. J. Oncol. Nurs. 2009, 13 (Suppl. 1), 13–18. [Google Scholar] [CrossRef]
- Battelli, C.; Cho, D.C. mTOR Inhibitors in Renal Cell Carcinoma. Therapy 2011, 8, 359–367. [Google Scholar] [CrossRef]
- Jung, K.; Zeng, X.; Bilusic, M. Nivolumab-Associated Acute Glomerulonephritis: A Case Report and Literature Review. BMC Nephrol. 2016, 17, 188. [Google Scholar] [CrossRef]
- Huang, X.; Ma, Y.; Li, Y.; Han, F.; Lin, W. Targeted Drug Delivery Systems for Kidney Diseases. Front. Bioeng. Biotechnol. 2021, 9, 683247. [Google Scholar] [CrossRef]
- Liu, D.; Du, Y.; Jin, F.Y.; Xu, X.L.; Du, Y.Z. Renal Cell-Targeted Drug Delivery Strategy for Acute Kidney Injury and Chronic Kidney Disease: A Mini-Review. Mol. Pharm. 2021, 18, 3206–3222. [Google Scholar] [CrossRef]
- Yuan, Z.X.; Shang, Z.; Gu, J.; He, L. Renal Targeting Delivery Systems. Future Med. Chem. 2019, 11, 2237–2240. [Google Scholar] [CrossRef]
- Matsuura, S.; Katsumi, H.; Suzuki, H.; Hirai, N.; Hayashi, H.; Koshino, K.; Higuchi, T.; Yagi, Y.; Kimura, H.; Sakane, T.; et al. l-Serine-Modified Polyamidoamine Dendrimer as a Highly Potent Renal Targeting Drug Carrier. Proc. Natl. Acad. Sci. USA 2018, 115, 10511–10516. [Google Scholar] [CrossRef]
- Matsuura, S.; Katsumi, H.; Suzuki, H.; Hirai, N.; Takashima, R.; Morishita, M.; Sakane, T.; Yamamoto, A. l-Cysteine and l-Serine Modified Dendrimer with Multiple Reduced Thiols as a Kidney-Targeting Reactive Oxygen Species Scavenger to Prevent Renal Ischemia/Reperfusion Injury. Pharmaceutics 2018, 10, 251. [Google Scholar] [CrossRef]
- Katsumi, H.; Takashima, R.; Suzuki, H.; Hirai, N.; Matsuura, S.; Kimura, H.; Morishita, M.; Yamamoto, A. S-nitrosylated l-Serine-Modified Dendrimer as a Kidney-Targeting Nitric Oxide Donor for Prevention of Renal Ischaemia/Reperfusion Injury. Free Radic. Res. 2020, 54, 841–847. [Google Scholar] [CrossRef]
- Roberts, J.C.; Bhalgat, M.K.; Zera, R.T. Preliminary Biological Evaluation of Polyamidoamine (PAMAM) Starburst Dendrimers. J. Biomed. Mater. Res. 1996, 30, 53–65. [Google Scholar] [CrossRef]
- Sugyo, A.; Tsuji, A.B.; Sudo, H.; Okada, M.; Koizumi, M.; Satoh, H.; Kurosawa, G.; Kurosawa, Y.; Saga, T. Evaluation of Efficacy of Radioimmunotherapy With 90Y-Labeled Fully Human Anti-transferrin Receptor Monoclonal Antibody in Pancreatic Cancer Mouse Models. PLoS ONE 2015, 10, e0123761. [Google Scholar] [CrossRef]
- Fujiwara, K.; Koyama, K.; Suga, K.; Ikemura, M.; Saito, Y.; Hino, A.; Iwanari, H.; Kusano-Arai, O.; Mitsui, K.; Kasahara, H.; et al. 90Y-Labeled Anti-ROBO1 Monoclonal Antibody Exhibits Antitumor Activity Against Small Cell Lung Cancer Xenografts. PLoS ONE 2015, 10, e0125468. [Google Scholar] [CrossRef]
- Aung, W.; Tsuji, A.B.; Sudo, H.; Sugyo, A.; Ukai, Y.; Kouda, K.; Kurosawa, Y.; Furukawa, T.; Saga, T. Radioimmunotherapy of Pancreatic Cancer Xenografts in Nude Mice Using 90Y-Labeled Anti-α6β4 Integrin Antibody. Oncotarget 2016, 7, 38835–38844. [Google Scholar] [CrossRef]
- Knox, S.J.; Goris, M.L.; Trisler, K.; Negrin, R.; Davis, T.; Liles, T.M.; Grillo-López, A.; Chinn, P.; Varns, C.; Ning, S.C.; et al. Yttrium-90-Labeled Anti-CD20 Monoclonal Antibody Therapy of Recurrent B-Cell Lymphoma. Clin. Cancer Res. 1996, 2, 457–470. [Google Scholar]
- Spies, S.M. Imaging and Dosing in Radioimmunotherapy with Yttrium 90 Ibritumomab Tiuxetan (Zevalin). Semin. Nucl. Med. 2004, 34 (Suppl. 1), 10–13. [Google Scholar] [CrossRef]
- Okuda, T.; Sugiyama, A.; Niidome, T.; Aoyagi, H. Characters of dendritic poly(L-lysine) analogues with the terminal lysines replaced with arginines and histidines as gene carriers in vitro. Biomaterials 2004, 25, 537–544. [Google Scholar] [CrossRef]
- Katsuraya, K.; Jeon, K.J.; Nakashima, H.; Uryu, T. NMR Studies on Structure and Action Mechanism of Sulfated Dodecyl Laminaripentaoside with High Anti-Human Immunodeficiency Virus Activity. Polym. J. 1999, 31, 924–928. [Google Scholar] [CrossRef]
- Hnatowich, D.J.; Layne, W.W.; Childs, R.L. The Preparation and Labeling of DTPA-Coupled Albumin. Int. J. Appl. Radiat. Isot. 1982, 33, 327–332. [Google Scholar] [CrossRef]
- Katsumi, H.; Nishikawa, M.; Ma, S.F.; Yamashita, F.; Hashida, M. Physicochemical, Tissue Distribution, and Vasodilation Characteristics of Nitrosated Serum Albumin: Delivery of Nitric Oxide In Vivo. J. Pharm. Sci. 2004, 93, 2343–2352. [Google Scholar] [CrossRef]
- Akamatsu, K.; Imai, M.; Yamasaki, Y.; Nishikawa, M.; Takakura, Y.; Hashida, M. Disposition Characteristics of Glycosylated Poly(Amino Acids) as Liver Cell-Specific Drug Carrier. J. Drug Target. 1998, 6, 229–239. [Google Scholar] [CrossRef]
- Norian, L.A.; Kresowik, T.P.; Rosevear, H.M.; James, B.R.; Rosean, T.R.; Lightfoot, A.J.; Kucaba, T.A.; Schwarz, C.; Weydert, C.J.; Henry, M.D.; et al. Eradication of metastatic renal cell carcinoma after adenovirus-encoded TNF-related apoptosis-inducing ligand (TRAIL)/CpG immunotherapy. PLoS ONE 2012, 7, e31085. [Google Scholar] [CrossRef]
- Hyoudou, K.; Nishikawa, M.; Umeyama, Y.; Kobayashi, Y.; Yamashita, F.; Hashida, M. Inhibition of Metastatic Tumor Growth in Mouse Lung by Repeated Administration of Polyethylene Glycol-Conjugated Catalase: Quantitative Analysis with Firefly Luciferase-Expressing Melanoma Cells. Clin. Cancer Res. 2004, 10, 7685–7691. [Google Scholar] [CrossRef]
- Katsumi, H.; Sano, J.; Nishikawa, M.; Hanzawa, K.; Sakane, T.; Yamamoto, A. Molecular Design of Bisphosphonate-Modified Proteins for Efficient Bone Targeting In Vivo. PLoS ONE 2015, 10, e0135966. [Google Scholar] [CrossRef]
- Bayrami, G.; Boskabady, M.H. The Potential Effect of the Extract of Crocus sativus and Safranal on the Total and Differential White Blood Cells of Ovalbumin-Sensitized Guinea Pigs. Res. Pharm. Sci. 2012, 7, 249–255. [Google Scholar]
- Takakura, Y.; Hashida, M. Macromolecular Carrier Systems for Targeted Drug Delivery: Pharmacokinetic Considerations on Biodistribution. Pharm. Res. 1996, 13, 820–831. [Google Scholar] [CrossRef]
- Hashida, M. Role of Pharmacokinetic Consideration for the Development of Drug Delivery Systems: A Historical Overview. Adv. Drug Deliv. Rev. 2020, 157, 71–82. [Google Scholar] [CrossRef]
- Zhang, Z.; Lin, Y.A.; Kim, S.Y.; Su, L.; Liu, J.; Kannan, R.M.; Kannan, S. Systemic Dendrimer-Drug Nanomedicines for Long-Term Treatment of Mild-Moderate Cerebral Palsy in a Rabbit Model. J. Neuroinflammation 2020, 17, 319. [Google Scholar] [CrossRef]
- Williams, R.M.; Shah, J.; Tian, H.S.; Chen, X.; Geissmann, F.; Jaimes, E.A.; Heller, D.A. Selective Nanoparticle Targeting of the Renal Tubules. Hypertension 2018, 71, 87–94. [Google Scholar] [CrossRef]
- Williams, R.M.; Jaimes, E.A.; Heller, D.A. Nanomedicines for Kidney Diseases. Kidney Int. 2016, 90, 740–745. [Google Scholar] [CrossRef]
- Zuckerman, J.E.; Davis, M.E. Targeting Therapeutics to the Glomerulus with Nanoparticles. Adv. Chronic Kidney Dis. 2013, 20, 500–507. [Google Scholar] [CrossRef] [PubMed]
- Rolleman, E.J.; Melis, M.; Valkema, R.; Boerman, O.C.; Krenning, E.P.; de Jong, M. Kidney Protection During Peptide Receptor Radionuclide Therapy with Somatostatin Analogues. Eur. J. Nucl. Med. Mol. Imaging 2010, 37, 1018–1031. [Google Scholar] [CrossRef] [PubMed]








| Compound | Diameter (nm) | Zeta Potential (mV) |
|---|---|---|
| Poly-L-lysine | 3.3 ± 0.5 | 8.9 ± 1.6 |
| Ser-poly-L-lysine | 4.1 ± 0.9 | 6.6 ± 3.7 |
Publisher’s Note: MDPI stays neutral with regard to jurisdictional claims in published maps and institutional affiliations. |
© 2022 by the authors. Licensee MDPI, Basel, Switzerland. This article is an open access article distributed under the terms and conditions of the Creative Commons Attribution (CC BY) license (https://creativecommons.org/licenses/by/4.0/).
Share and Cite
Katsumi, H.; Kitada, S.; Yasuoka, S.; Takashima, R.; Imanishi, T.; Tanaka, R.; Matsuura, S.; Kimura, H.; Kawashima, H.; Morishita, M.; et al. L-Serine-Modified Poly-L-Lysine as a Biodegradable Kidney-Targeted Drug Carrier for the Efficient Radionuclide Therapy of Renal Cell Carcinoma. Pharmaceutics 2022, 14, 1946. https://doi.org/10.3390/pharmaceutics14091946
Katsumi H, Kitada S, Yasuoka S, Takashima R, Imanishi T, Tanaka R, Matsuura S, Kimura H, Kawashima H, Morishita M, et al. L-Serine-Modified Poly-L-Lysine as a Biodegradable Kidney-Targeted Drug Carrier for the Efficient Radionuclide Therapy of Renal Cell Carcinoma. Pharmaceutics. 2022; 14(9):1946. https://doi.org/10.3390/pharmaceutics14091946
Chicago/Turabian StyleKatsumi, Hidemasa, Sho Kitada, Shintaro Yasuoka, Rie Takashima, Tomoki Imanishi, Rina Tanaka, Satoru Matsuura, Hiroyuki Kimura, Hidekazu Kawashima, Masaki Morishita, and et al. 2022. "L-Serine-Modified Poly-L-Lysine as a Biodegradable Kidney-Targeted Drug Carrier for the Efficient Radionuclide Therapy of Renal Cell Carcinoma" Pharmaceutics 14, no. 9: 1946. https://doi.org/10.3390/pharmaceutics14091946
APA StyleKatsumi, H., Kitada, S., Yasuoka, S., Takashima, R., Imanishi, T., Tanaka, R., Matsuura, S., Kimura, H., Kawashima, H., Morishita, M., & Yamamoto, A. (2022). L-Serine-Modified Poly-L-Lysine as a Biodegradable Kidney-Targeted Drug Carrier for the Efficient Radionuclide Therapy of Renal Cell Carcinoma. Pharmaceutics, 14(9), 1946. https://doi.org/10.3390/pharmaceutics14091946

