Chitosan-G-Glycidyl Methacrylate/Au Nanocomposites Promote Accelerated Skin Wound Healing
Abstract
1. Introduction
2. Materials and Methods
2.1. Nanocomposites Preparation
2.2. Characterization Studies
2.3. Cellular Viability
2.4. Nitric Oxide Determination
2.5. Evaluation of Cytokine Expression by Flow Cytometry
2.6. Wound Healing Effect
2.7. Cytokine Production
2.8. Statistical Analysis
3. Results
3.1. Size and Stability of AuNPs
3.2. Infrared Spectroscopy
3.3. X-ray Diffraction (XRD)
3.4. Conductivity Measurements
3.5. Cellular Viability
3.6. Nitric Oxide
3.7. Cytokine Production by Flow Cytometry
3.8. Wound Healing Test
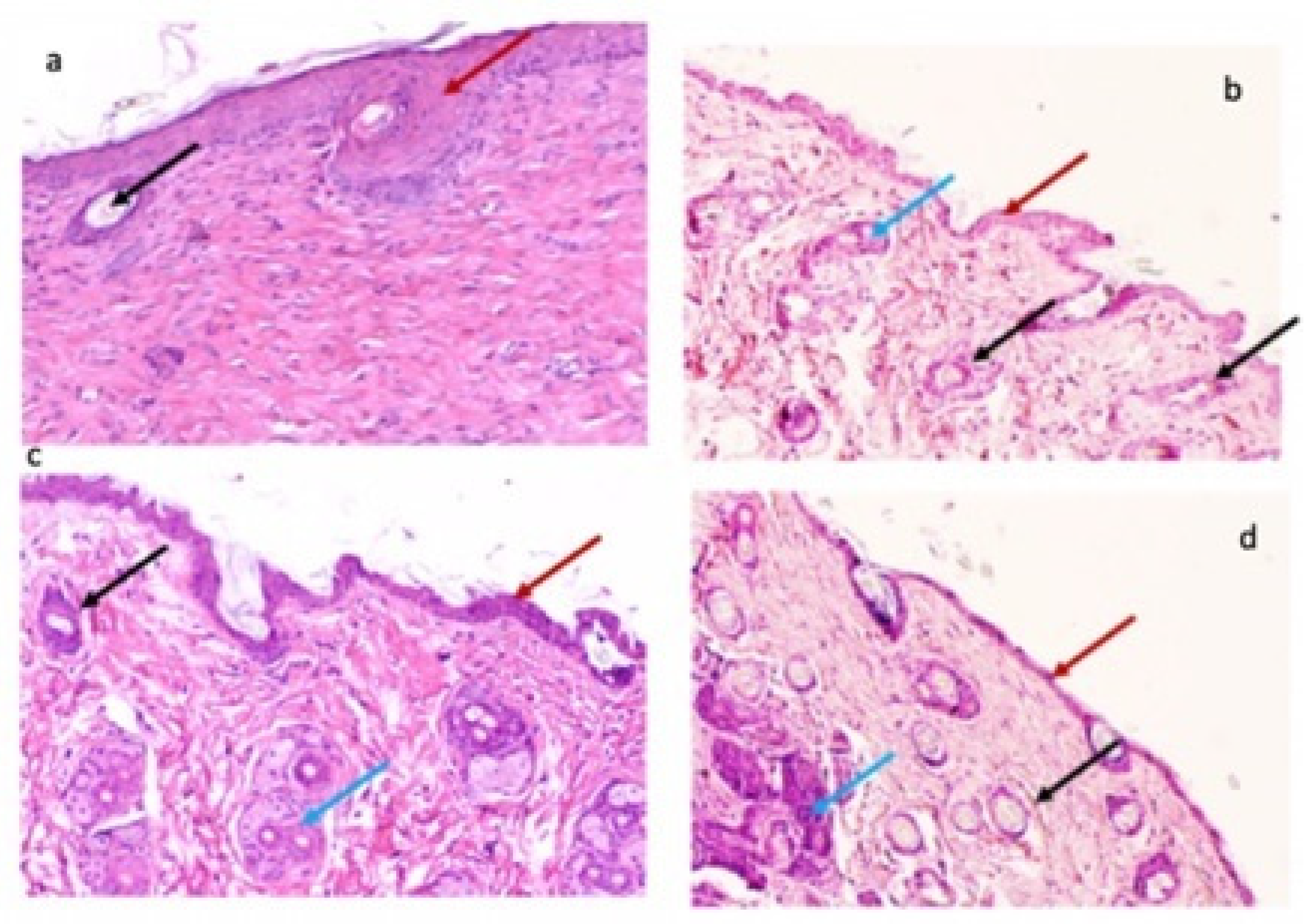
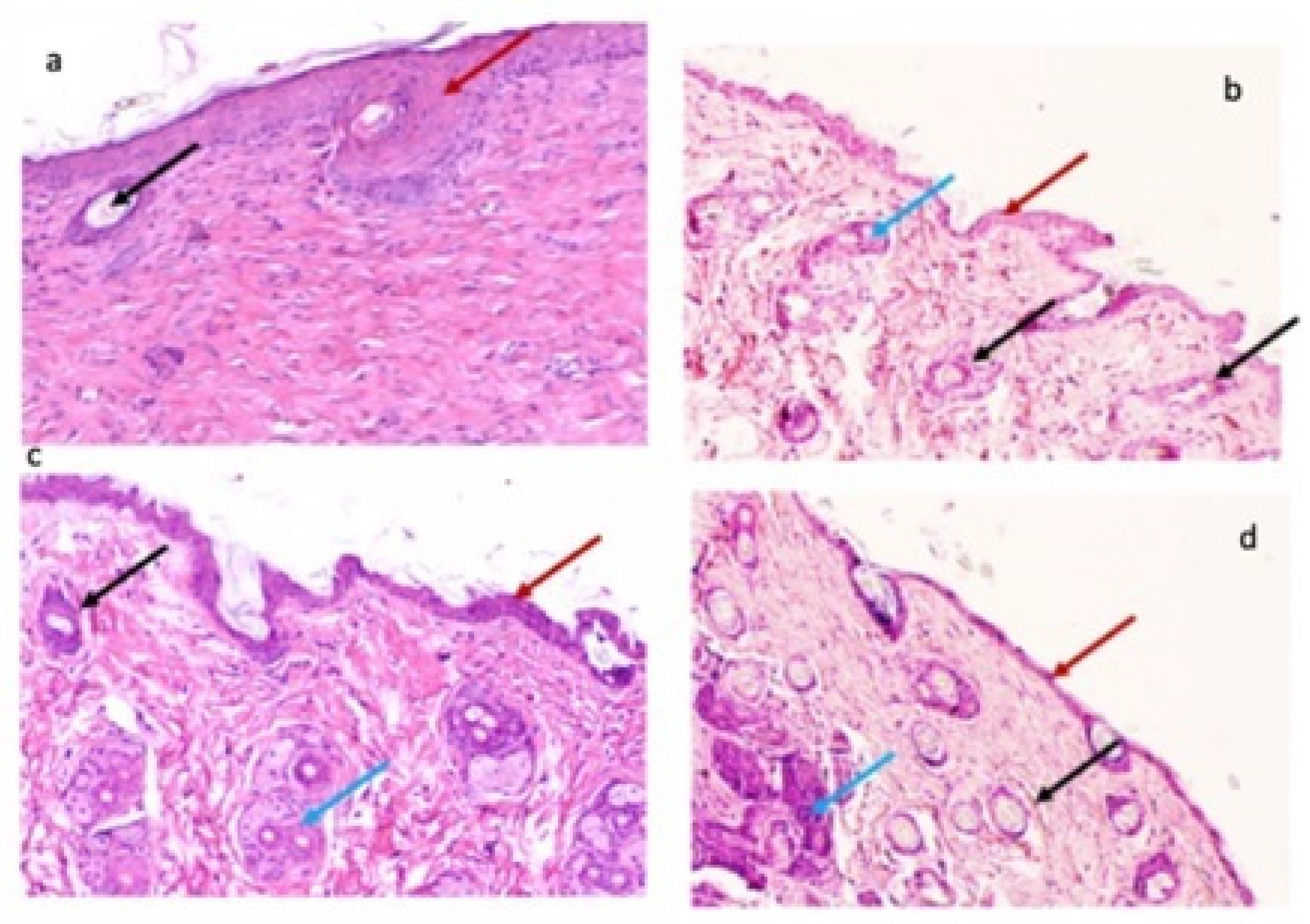
3.9. Histological Tests
4. Discussion
5. Conclusions
Supplementary Materials
Author Contributions
Funding
Institutional Review Board Statement
Informed Consent Statement
Data Availability Statement
Acknowledgments
Conflicts of Interest
References
- Sugunan, A.; Thanachayanont, C.; Dutta, J.; Hilborn, J.G. Heavy-Metal Ion Sensors Using Chitosan-Capped Gold Nanoparticles. Sci. Technol. Adv. Mater. 2005, 6, 335–340. [Google Scholar] [CrossRef]
- Kimling, J.; Maier, M.; Okenve, B.; Kotaidis, V.; Ballot, H.; Plech, A. Turkevich Method for Gold Nanoparticle Synthesis Revisited. J. Phys. Chem. B 2006, 110, 15700–15707. [Google Scholar] [CrossRef]
- Bakeeva, I.V.; Kolesnikova, Y.A.; Kataeva, N.A.; Zaustinskaya, K.S.; Gubin, S.P.; Zubov, V.P. Gold Nanoparticles as Structurizing Agents for the Formation of Hybrid Nanocomposites. Russ. Chem. Bull. 2008, 57, 337–344. [Google Scholar] [CrossRef]
- Zhang, X.D.; Wu, H.Y.; Wu, D.; Wang, Y.Y.; Chang, J.H.; Zhai, Z.B.; Meng, A.M.; Liu, P.X.; Zhang, L.A.; Fan, F.Y. Toxicologic Effects of Gold Nanoparticles in Vivo by Different Administration Routes. Int. J. Nanomed. 2010, 5, 771–781. [Google Scholar] [CrossRef] [PubMed]
- Daraee, H.; Eatemadi, A.; Abbasi, E.; Aval, S.F.; Kouhi, M.; Akbarzadeh, A. Application of Gold Nanoparticles in Biomedical and Drug Delivery. Artif. Cells Nanomed. Biotechnol. 2016, 44, 410–422. [Google Scholar] [CrossRef] [PubMed]
- Rad, A.G.; Abbasi, H.; Afzali, M.H. Gold Nanoparticles: Synthesising, Characterizing and Reviewing Novel Application in Recent Years. Phys. Procedia 2011, 22, 203–208. [Google Scholar] [CrossRef]
- Ovais, M.; Ahmad, I.; Khalil, A.T.; Mukherjee, S.; Javed, R.; Ayaz, M. Wound Healing Applications of Biogenic Colloidal Silver and Gold Nanoparticles: Recent Trends and Future Prospects. Appl. Microbiol. Biotechnol. 2018, 102, 4305–4318. [Google Scholar] [CrossRef]
- Lau, P.; Bidin, N.; Islam, Ã.S. Influence of Gold Nanoparticles on Wound Healing Treatment in Rat Model: Photobiomodulation Therapy. Lasers Surg. Med. 2017, 386, 380–386. [Google Scholar] [CrossRef]
- Huang, Y.; Yu, F.; Park, Y.S.; Wang, J.; Shin, M.C.; Chung, H.S.; Yang, V.C. Co-Administration of Protein Drugs with Gold Nanoparticles to Enable Percutaneous Delivery. Biomaterials 2010, 31, 9086–9091. [Google Scholar] [CrossRef]
- Leu, J.G.; Chen, S.A.; Chen, H.M.; Wu, W.M.; Hung, C.F.; Yao, Y.D.; Tu, C.S.; Liang, Y.J. The Effects of Gold Nanoparticles in Wound Healing with Antioxidant Epigallocatechin Gallate and α-Lipoic Acid. Nanomed. Nanotechnol. Biol. Med. 2012, 8, 767–775. [Google Scholar] [CrossRef]
- Muzzarelli, R.A.A. Chitins and Chitosans for the Repair of Wounded Skin, Nerve, Cartilage and Bone. Carbohydr. Polym. 2009, 76, 167–182. [Google Scholar] [CrossRef]
- Elizalde-Peña, E.A.; Zarate-Triviño, D.G.; Nuño-Donlucas, S.M.; Medina-Torres, L.; Gough, J.E.; Sanchez, I.C.; Villaseñor, F.; Luna-Barcenas, G. Synthesis and Characterization of a Hybrid (Chitosan-g-Glycidyl Methacrylate)-Xanthan Hydrogel. J. Biomater. Sci. Polym. Ed. 2013, 24, 1426–1442. [Google Scholar] [CrossRef] [PubMed]
- Elizalde-Peña, E.A.; Flores-Ramirez, N.; Luna-Barcenas, G.; Vásquez-García, S.R.; Arámbula-Villa, G.; García-Gaitán, B.; Rutiaga-Quiñones, J.G.; González-Hernández, J. Synthesis and Characterization of Chitosan-g-Glycidyl Methacrylate with Methyl Methacrylate. Eur. Polym. J. 2007, 43, 3963–3969. [Google Scholar] [CrossRef]
- Elizalde-Peña, E.A.; Quintero-Ortega, I.A.; Zárate-Triviño, D.G.; Nuño-Licona, A.; Gough, J.; Sanchez, I.C.; Medina, D.I.; Luna-Barcenas, G. (Chitosan-g-Glycidyl Methacrylate)-Xanthan Hydrogel Implant in Wistar Rats for Spinal Cord Regeneration. Mater. Sci. Eng. C 2017, 78, 892–900. [Google Scholar] [CrossRef] [PubMed][Green Version]
- Zarate-Triviño, D.G.; Pool, H.; Vergara-Castañeda, H.; Elizalde-Peña, E.A.; Vallejo-Becerra, V.; Villaseñor, F.; Prokhorov, E.; Gough, J.; Garcia-Gaitan, B.; Luna-Barcenas, G. (Chitosan-g-Glycidyl Methacrylate)-Collagen II Scaffold for Cartilage Regeneration. Int. J. Polym. Mater. Polym. Biomater. 2020, 69, 1043–1053. [Google Scholar] [CrossRef]
- Wang, L.; Liang, Q.; Wang, Z.; Xu, J.; Liu, Y.; Ma, H. Preparation and Characterisation of Type i and v Collagens from the Skin of Amur Sturgeon (Acipenser Schrenckii). Food Chem. 2014, 148, 410–414. [Google Scholar] [CrossRef]
- Ågren, M.S.; Schnabel, R.; Christensen, L.H.; Mirastschijski, U. Tumor Necrosis Factor-α-Accelerated Degradation of Type I Collagen in Human Skin Is Associated with Elevated Matrix Metalloproteinase (MMP)-1 and MMP-3 Ex Vivo. Eur. J. Cell Biol. 2015, 94, 12–21. [Google Scholar] [CrossRef]
- Wei, D.; Qian, W. Facile Synthesis of Ag and Au Nanoparticles Utilizing Chitosan as a Mediator Agent. Colloids Surf. B Biointerfaces 2008, 62, 136–142. [Google Scholar] [CrossRef]
- Wei, D.; Qian, W. Chitosan-Mediated Synthesis of Gold Nanoparticles by UV Photoactivation and Their Characterization. J. Nanosci. Nanotechnol. 2006, 6, 2508–2514. [Google Scholar] [CrossRef]
- Da Silva, A.B.; Rufato, K.B.; De Oliveira, A.C.; Souza, P.R.; Da Silva, E.P.; Muniz, E.C.; Vilsinski, B.H.; Martins, A.F. Composite Materials Based on Chitosan/Gold Nanoparticles: From Synthesis to Biomedical Applications. Int. J. Biol. Macromol. 2020, 161, 977–998. [Google Scholar] [CrossRef]
- Huang, H.; Yang, X. Synthesis of Chitosan-Stabilized Gold Nanoparticles in the Absence/Presence of Tripolyphosphate. Biomacromolecules 2004, 5, 2340–2346. [Google Scholar] [CrossRef] [PubMed]
- Bhumkar, D.R.; Joshi, H.M.; Sastry, M.; Pokharkar, V.B. Chitosan Reduced Gold Nanoparticles as Novel Carriers for Transmucosal Delivery of Insulin. Pharm. Res. 2007, 24, 1415–1426. [Google Scholar] [CrossRef] [PubMed]
- Heilmann, A. Electronic Properties. In Polymer Films with Embedded Metal Nanoparticles; Springer: Berlin/Heidelberg, Germany, 2003; Volume 52, ISBN 978-3-662-05233-4. [Google Scholar]
- Strupiechonski, E.; Moreno-Ríos, M.; Ávila-Dávila, E.O.; Román-Doval, R.; Prokhorov, E.; Kovalenko, Y.; Zárate-Triviño, D.G.; Medina, D.I.; Luna-Barcenas, G. Relaxation Phenomena in Chitosan-Au Nanoparticle Thin Films. Polymers 2021, 13, 3214. [Google Scholar] [CrossRef] [PubMed]
- Kwok, A.K.H.; Yeung, C.K.; Lai, T.Y.Y.; Chan, K.P.; Pang, C.P. Effects of Trypan Blue on Cell Viability and Gene Expression in Human Retinal Pigment Epithelial Cells. Br. J. Ophthalmol. 2004, 88, 1590–1594. [Google Scholar] [CrossRef] [PubMed]
- Fidan, I.; Yüksel, S.; Ýmir, T.; Irkeç, C.; Aksakal, F.N. The Importance of Cytokines, Chemokines and Nitric Oxide in Pathophysiology of Migraine. J. Neuroimmunol. 2006, 171, 184–188. [Google Scholar] [CrossRef]
- Sorg, H.; Krueger, C.; Vollmar, B. Intravital Insights in Skin Wound Healing Using the Mouse Dorsal Skin Fold Chamber. J. Anat. 2007, 211, 810–818. [Google Scholar] [CrossRef]
- OECD. 404 Guidelines for the Testing of Chemicals. Acute Dermal Irritation/Corrosion. OECD Guidel. Test. Chem. Sect. 4 Health Eff. 2015, 1–8. [Google Scholar] [CrossRef]
- Mauricio-Sánchez, R.A.; Salazar, R.; Luna-Bárcenas, J.G.; Mendoza-Galván, A. FTIR Spectroscopy Studies on the Spontaneous Neutralization of Chitosan Acetate Films by Moisture Conditioning. Vib. Spectrosc. 2018, 94, 1–6. [Google Scholar] [CrossRef]
- Zhao, J.; Wang, S.; Zhang, L.; Wang, C.; Zhang, B. Kinetic, Isotherm, and Thermodynamic Studies for Ag(I) Adsorption Using Carboxymethyl Functionalized Poly (Glycidyl Methacrylate). Polymers 2018, 10, 1090. [Google Scholar] [CrossRef]
- Fajardo, A.R.; Fávaro, S.L.; Rubira, A.F.; Muniz, E.C. Dual-Network Hydrogels Based on Chemically and Physically Crosslinked Chitosan/Chondroitin Sulfate. React. Funct. Polym. 2013, 73, 1662–1671. [Google Scholar] [CrossRef]
- Wang, K.; Ling, J.; Nie, B.; And, J.; Yu, Q. Synthesis and Characterization of Comb-Type Multifunctional Mac-romonomer as Alternative Monomers for Light-Cured Unfilled Dental Resins. J. Polym. Mater 2016, 33, 379–392. [Google Scholar]
- Ungureanu, C.; Ioniţǎ, D.; Berteanu, E.; Tcacenco, L.; Zuav, A.; Demetrescu, I. Improving Natural Biopolymeric Membranes Based on Chitosan and Collagen for Biomedical Applications Introducing Silver. J. Braz. Chem. Soc. 2015, 26, 458–465. [Google Scholar] [CrossRef]
- Belbachir, K.; Noreen, R.; Gouspillou, G.; Petibois, C. Collagen Types Analysis and Differentiation by FTIR Spectroscopy. Anal. Bioanal. Chem. 2009, 395, 829–837. [Google Scholar] [CrossRef]
- Okuyama, K.; Noguchi, K.; Miyazawa, T.; Yui, T.; Ogawa, K. Molecular and Crystal Structure of Hydrated Chitosan. Macromolecules 1997, 30, 5849–5855. [Google Scholar] [CrossRef]
- Baklagina, Y.G.; Klechkovskaya, V.V.; Kononova, S.V.; Petrova, V.A.; Poshina, D.N.; Orekhov, A.S.; Skorik, Y.A. Polymorphic Modifications of Chitosan. Crystallogr. Rep. 2018, 63, 303–313. [Google Scholar] [CrossRef]
- Prokhorov, E.; Luna-Barcenas, G.; Kumar-Krishnan, S.; Mauricio Sánchez, R.A.; Castillo Reyes, B.E.; Hernández Vargas, J. Probing Molecular Interactions of Polysaccharides in the Presence of Water. J. Mol. Struct. 2020, 1218, 128531. [Google Scholar] [CrossRef]
- Ogawa, K.; Yui, T.; Okuyama, K. Three D Structures of Chitosan. Int. J. Biol. Macromol. 2004, 34, 1–8. [Google Scholar] [CrossRef]
- Ogawa, K.; Hirano, S.; Miyanishi, T.; Yui, T.; Watanabe, T. A New Polymorph of Chitosan. Macromolecules 1984, 17, 973–975. [Google Scholar] [CrossRef]
- Cavaillon, J. Pro-versus Anti-Inflammatory Cytokines: Myth or Reality. Cell. Mol. Biol. 2001, 4, 695–702. [Google Scholar]
- Zhang, J.-M.; An, J. Cytokines, Inflammation and Pain. Int. Anesth. Clin. 2009, 69, 482–489. [Google Scholar] [CrossRef]
- Scheller, J.; Chalaris, A.; Schmidt-Arras, D.; Rose-John, S. The Pro- and Anti-Inflammatory Properties of the Cytokine Interleukin-6. Biochim. Biophys. Acta-Mol. Cell Res. 2011, 1813, 878–888. [Google Scholar] [CrossRef] [PubMed]
- Mahmoud, N.N.; Hikmat, S.; Abu Ghith, D.; Hajeer, M.; Hamadneh, L.; Qattan, D.; Khalil, E.A. Gold Nanoparticles Loaded into Polymeric Hydrogel for Wound Healing in Rats: Effect of Nanoparticles’ Shape and Surface Modification. Int. J. Pharm. 2019, 565, 174–186. [Google Scholar] [CrossRef] [PubMed]
- Laverdet, B.; Danigo, A.; Girard, D.; Magy, L.; Demiot, C.; Desmoulière, A. Skin Innervation: Important Roles during Normal and Pathological Cutaneous Repair. Histol. Histopathol. 2015, 30, 875–892. [Google Scholar] [CrossRef]
- Ouyang, W.; Rutz, S.; Crellin, N.K.; Valdez, P.A.; Hymowitz, S.G. Regulation and Functions of the IL-10 Family of Cytokines in Inflammation and Disease. Annu. Rev. Immunol. 2011, 29, 71–109. [Google Scholar] [CrossRef] [PubMed]
- Eming, S.A.; Krieg, T.; Davidson, J.M. Inflammation in Wound Repair: Molecular and Cellular Mechanisms. J. Investig. Dermatol. 2007, 127, 514–525. [Google Scholar] [CrossRef] [PubMed]
- Arafa, M.G.; El-Kased, R.F.; Elmazar, M.M. Thermoresponsive Gels Containing Gold Nanoparticles as Smart Antibacterial and Wound Healing Agents. Sci. Rep. 2018, 8, 13674. [Google Scholar] [CrossRef]
- Borges, G.Á.; Elias, S.T.; da Silva, S.M.M.; Magalhães, P.O.; Macedo, S.B.; Ribeiro, A.P.D.; Guerra, E.N.S. In Vitro Evaluation of Wound Healing and Antimicrobial Potential of Ozone Therapy. J. Cranio-Maxillofac. Surg. 2017, 45, 364–370. [Google Scholar] [CrossRef]
- Martínez, S.P.H.; González, T.I.R.; Molina, M.A.F.; Bollain Y Goytia, J.J.; Sanmiguel, J.J.M.; Triviño, D.G.Z.; Padilla, C.R. A Novel Gold Calreticulin Nanocomposite Based on Chitosan for Wound Healing in a Diabetic Mice Model. Nanomaterials 2019, 9, 75. [Google Scholar] [CrossRef]
- McFarland-Mancini, M.M.; Funk, H.M.; Paluch, A.M.; Zhou, M.; Giridhar, P.V.; Mercer, C.A.; Kozma, S.C.; Drew, A.F. Differences in Wound Healing in Mice with Deficiency of IL-6 versus IL-6 Receptor. J. Immunol. 2010, 184, 7219–7228. [Google Scholar] [CrossRef]
- King, A.; Balaji, S.; Le, L.D.; Crombleholme, T.M.; Keswani, S.G. Regenerative Wound Healing: The Role of Interleukin-10. Adv. Wound Care 2014, 3, 315–323. [Google Scholar] [CrossRef]
- MacLeod, A.S.; Mansbridge, J.N. The Innate Immune System in Acute and Chronic Wounds. Adv. Wound Care 2016, 5, 65–78. [Google Scholar] [CrossRef] [PubMed]












| Functional Group | Peak Position (cm−1) |
|---|---|
| OH (stretching S.) | 3450 |
| NH (stretching S.) | 3360 |
| CH2 (stretching S.y as glucopyranose) | 2870, 2912, 1430 |
| C=O (stretching As amide I) | 1650 |
| NH2 (deformation As.) | 1560–1590 |
| C=O | 1730 |
| CH2 (amide II) | 1420 |
| CH3 and C-CH3 (amide III) | 1380 |
| C-O | 1255 |
| C-O-C (glycosidic bond) | 1040–1150 |
| C-H | 838–850 |
| OH (stretching S.) | 3450 |
| Serum Cytokines (pg/mL) | |||||||
|---|---|---|---|---|---|---|---|
| Treatment [mM] | IL-2 | IL-4 | IL-6 | INFϒ | TNF | IL-17A | IL-10 |
| TheraForm® | 0.28 | 2.87 | 2.04 | 2.97 | 2.12 | 0 | 1.84 |
| CTS-g-GMA | 3.94 * | 9.5 * | 26.15 * | 11.1 * | 39.84 * | 4.93 * | 31.12 * |
| ((CTS-g-GMA)-AuNPs [0.15] | 0.53 | 2.47 | 17.27 * | 17.3 * | 6.4 * | 1.74 * | 7.5 * |
| ((CTS-g-GMA)-AuNPs)-Col [0.15] | 0.32 | 3.3 | 11.2 * | 4.64 | 13.59 * | 0.93 * | 14.67 * |
| ((CTS-g-GMA)-AuNPs [0.3] | 0.47 | 2.23 | 20.54 * | 4.73 | 5.32 | 0.4 | 16.3 * |
| ((CTS-g-GMA)-AuNPs)-Col [0.3] | 0.32 | 0 | 15.8 * | 4.98 | 15.6 * | 1.55 * | 13.7 * |
| ((CTS-g-GMA)-AuNPs [0.6] | 0.45 | 0 | 2.26 | 5.46 | 4.38 | 0.21 | 1.21 |
| ((CTS-g-GMA)-AuNPs)-Col [0.6] | 0 | 0 | 94.06 ** | 2.34 | 9.86 * | 0.65 | 0 |
| ((CTS-g-GMA)-AuNPs [1.07] | 0 | 0 | 2.44 | 0.83 | 5.59 * | 0 | 0 |
| ((CTS-g-GMA)-AuNPs)-Col [1.07] | 0 | 0 | 2.63 | 0.87 | 7.06 * | 0 | 0 |
| ((CTS-g-GMA)-AuNPs [2] | 0 | 0 | 944.26 ** | 2.44 | 27.21 * | 0.34 | 0 |
| ((CTS-g-GMA)-AuNPs [3] | 0 | 0 | 174.58 ** | 2.98 | 1.78 | 0.11 | 0 |
| Spleen Cytokines (pg/mL) | |||||||
|---|---|---|---|---|---|---|---|
| Treatment [mM] | IL-2 | IL-4 | IL-6 | INFϒ | TNF | IL-17A | IL-10 |
| TheraForm® | 1.79 | 0 | 0.63 | 7.3 | 19.7 | 0 | 0 |
| CTS-g-GMA | 0.67 | 0 | 0.48 | 3.63 | 10.08 | 0 | 1.32 |
| ((CTS-g-GMA)-AuNPs [0.15] | 1.23 | 0 | 1 | 8.58 | 19.95 | 0 | 3.23 |
| ((CTS-g-GMA)-AuNPs)-Col [0.15] | 0.8 | 0 | 0.78 | 3.31 | 9.67 | 0.04 | 0 |
| ((CTS-g-GMA)-AuNPs [0.3] | 1.46 | 0 | 0.92 | 4.86 | 22.2 | 0 | 0 |
| ((CTS-g-GMA)-AuNPs)-Col [0.3] | 0.75 | 0 | 0 | 3.57 | 9.83 | 0.16 | 0 |
| ((CTS-g-GMA)-AuNPs [0.6] | 0.9 | 0 | 0.88 | 3.42 | 29.52 | 0 | 0 |
| ((CTS-g-GMA)-AuNPs)-Col [0.6] | 0.68 | 0 | 0 | 2.76 | 9.41 | 0.11 | 0 |
| ((CTS-g-GMA)-AuNPs [1.07] | 0.71 | 0 | 0 | 4.9 | 7.91 | 0 | 4.91 |
| ((CTS-g-GMA)-AuNPs)-Col [1.07] | 0.7 | 0 | 0.48 | 4.71 | 14.11 | 0 | 0 |
| ((CTS-g-GMA)-AuNPs [2] | 1.25 | 0 | 1.35 | 2.06 | 7.56 | 0.16 | 0 |
| ((CTS-g-GMA)-AuNPs [3] | 0.32 | 0 | 0 | 6.16 | 8.35 | 0 | 0 |
Publisher’s Note: MDPI stays neutral with regard to jurisdictional claims in published maps and institutional affiliations. |
© 2022 by the authors. Licensee MDPI, Basel, Switzerland. This article is an open access article distributed under the terms and conditions of the Creative Commons Attribution (CC BY) license (https://creativecommons.org/licenses/by/4.0/).
Share and Cite
López-Muñoz, H.A.; Lopez-Romero, M.; Franco-Molina, M.A.; Manzano-Ramirez, A.; Velasquillo, C.; España-Sanchez, B.L.; Martinez-Hernandez, A.L.; Vergara-Castañeda, H.; Giraldo-Betancur, A.; Favela, S.; et al. Chitosan-G-Glycidyl Methacrylate/Au Nanocomposites Promote Accelerated Skin Wound Healing. Pharmaceutics 2022, 14, 1855. https://doi.org/10.3390/pharmaceutics14091855
López-Muñoz HA, Lopez-Romero M, Franco-Molina MA, Manzano-Ramirez A, Velasquillo C, España-Sanchez BL, Martinez-Hernandez AL, Vergara-Castañeda H, Giraldo-Betancur A, Favela S, et al. Chitosan-G-Glycidyl Methacrylate/Au Nanocomposites Promote Accelerated Skin Wound Healing. Pharmaceutics. 2022; 14(9):1855. https://doi.org/10.3390/pharmaceutics14091855
Chicago/Turabian StyleLópez-Muñoz, Héctor A., Mauricio Lopez-Romero, Moises A. Franco-Molina, Alejandro Manzano-Ramirez, Cristina Velasquillo, Beatriz Liliana España-Sanchez, Ana Laura Martinez-Hernandez, Hayde Vergara-Castañeda, Astrid Giraldo-Betancur, Sarai Favela, and et al. 2022. "Chitosan-G-Glycidyl Methacrylate/Au Nanocomposites Promote Accelerated Skin Wound Healing" Pharmaceutics 14, no. 9: 1855. https://doi.org/10.3390/pharmaceutics14091855
APA StyleLópez-Muñoz, H. A., Lopez-Romero, M., Franco-Molina, M. A., Manzano-Ramirez, A., Velasquillo, C., España-Sanchez, B. L., Martinez-Hernandez, A. L., Vergara-Castañeda, H., Giraldo-Betancur, A., Favela, S., Rodriguez-Rodriguez, R., Mixteco, J. C., Tapia-Picazo, J. C., Zarate-Triviño, D. G., Prokhorov, E., & Luna-Barcenas, G. (2022). Chitosan-G-Glycidyl Methacrylate/Au Nanocomposites Promote Accelerated Skin Wound Healing. Pharmaceutics, 14(9), 1855. https://doi.org/10.3390/pharmaceutics14091855

