Compritol-Based Nanostrucutured Lipid Carriers (NLCs) for Augmentation of Zolmitriptan Bioavailability via the Transdermal Route: In Vitro Optimization, Ex Vivo Permeation, In Vivo Pharmacokinetic Study
Abstract
1. Introduction
2. Materials and Methods
2.1. Materials
2.2. Methodology
2.2.1. Experimental Design
2.2.2. Preparation of ZMP Loaded NLCs
2.2.3. Characterization of ZMP Loaded NLCs
Determination of Particle Size (PS, nm), Polydispersity Index (PDI) and Zeta Potential (ZP, mV)
Determination of Entrapment Efficiency (EE, %)
Determination of Amount of Drug Released after 6 h (Q6h)
Desirability and Optimization
Thermal Properties Utilizing Differential Scanning Calorimetry
Morphological Visualization of the Candidate Formula (NLC9)
2.2.4. Preparation of ZMP-NLC Loaded Gels
2.2.5. Characterization of NLC9 Loaded Gel
Visual Inspection
Determination of Drug Content
Determination of Gel pH
Rheology Study of All Prepared Gels
2.2.6. Ex Vivo Evaluation of NLC9 Loaded Gels
Skin Preparation
Skin Permeation Procedures
Skin Deposition
2.2.7. Histopathological Examination
2.2.8. In Vivo Pharmacokinetic Study
Animals
Study Design
ZMP Determination in Plasma
Pharmacokinetic Analysis
3. Results
3.1. Characterization of ZMP Loaded NLCs
3.1.1. Analysis of PS Results
3.1.2. Analysis of PDI Results
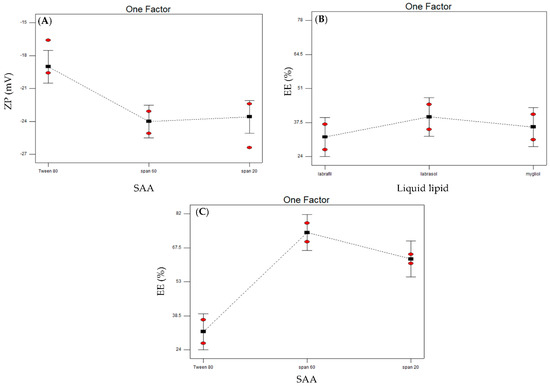
3.1.3. Analysis of ZP Results
3.1.4. Analysis of EE Results
3.1.5. Analysis of Q6h Results
3.2. Selection of the Candidate NLC Formula
3.3. DSC Results
3.4. Morphological Examination of NLC9
3.5. Characterization of NLC9 Loaded Gel
3.6. Rheology Study of the Prepared Gels
3.7. Ex Vivo Evaluation of NLC9 Loaded Gels
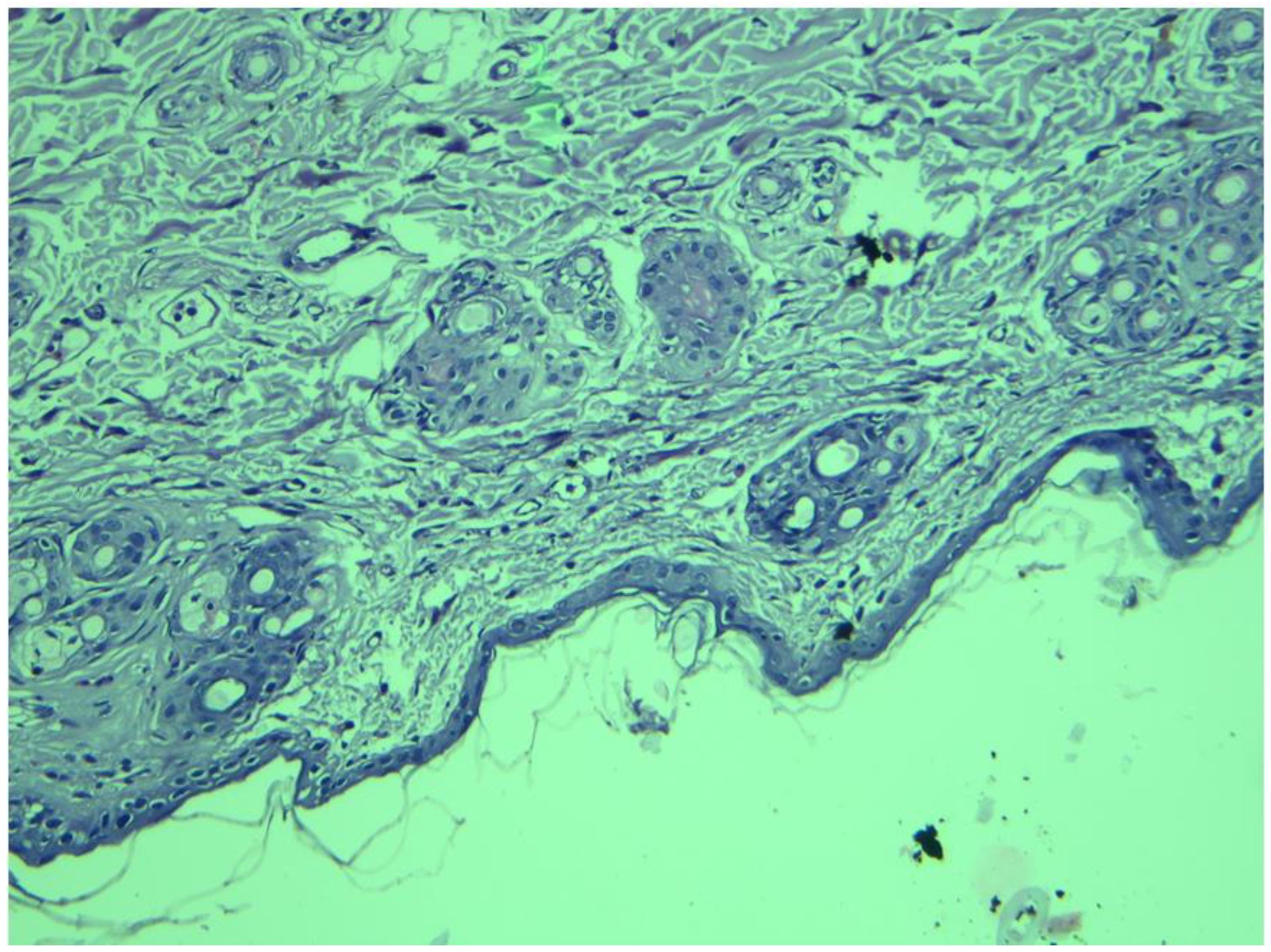
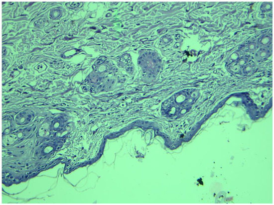
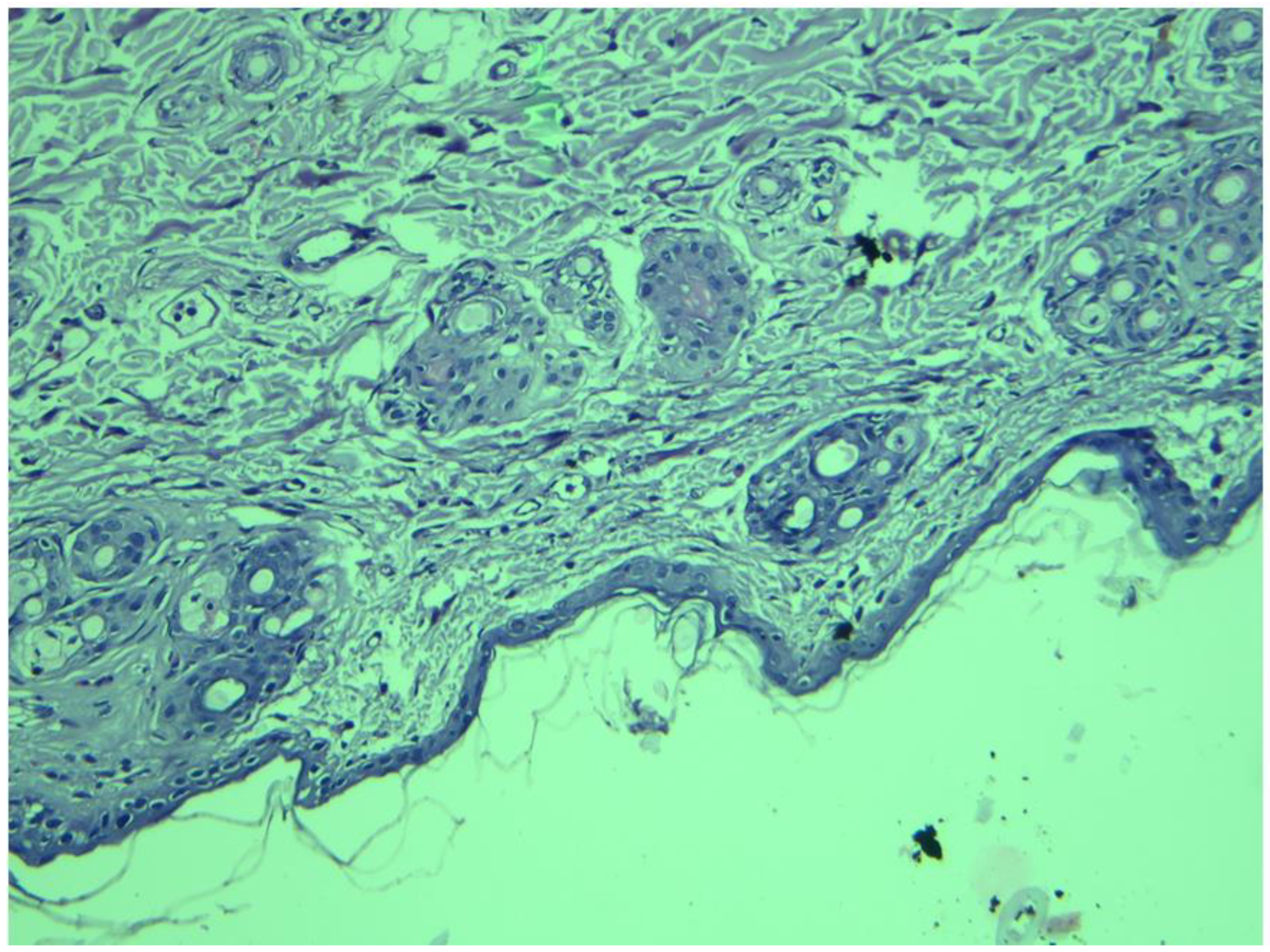
3.8. Histopathological Examination
3.9. In Vivo Pharmacokinetic Study
4. Conclusions
Author Contributions
Funding
Institutional Review Board Statement
Informed Consent Statement
Data Availability Statement
Conflicts of Interest
References
- Burstein, R.; Noseda, R.; Borsook, D. Migraine: Multiple Processes, Complex Pathophysiology. J. Neurosci. 2015, 35, 6619–6629. [Google Scholar] [CrossRef] [PubMed]
- Harriott, A.M.; Schwedt, T.J. Migraine Is Associated with Altered Processing of Sensory Stimuli. Curr. Pain Headache Rep. 2014, 18, 458. [Google Scholar] [CrossRef] [PubMed]
- Lucas, C. Migraine with Aura. Rev. Neurol. 2021, 177, 779–784. [Google Scholar] [CrossRef]
- Edvinsson, L.; Haanes, K.A.; Warfvinge, K.; Krause, D.N. CGRP as the Target of New Migraine Therapies—Successful Translation from Bench to Clinic. Nat. Rev. Neurol. 2018, 14, 338–350. [Google Scholar] [CrossRef] [PubMed]
- Ashina, M.; Hansen, J.M.; Do, T.P.; Melo-Carrillo, A.; Burstein, R.; Moskowitz, M.A. Migraine and the Trigeminovascular System—40 Years and Counting. Lancet Neurol. 2019, 18, 795–804. [Google Scholar] [CrossRef]
- Gendolla, A.; Rauer, N.; Kraemer, S.; Schwerdtner, I.; Straube, A. Epidemiology, Demographics, Triptan Contraindications, and Prescription Patterns of Patients with Migraine: A German Claims Database Study. Neurol. Ther. 2022, 11, 167–183. [Google Scholar] [CrossRef]
- Lombard, L.; Farrar, M.; Ye, W.; Kim, Y.; Cotton, S.; Buchanan, A.S.; Jackson, J.; Joshi, S. A Global Real-World Assessment of the Impact on Health-Related Quality of Life and Work Productivity of Migraine in Patients with Insufficient versus Good Response to Triptan Medication. J. Headache Pain 2020, 21, 41. [Google Scholar] [CrossRef]
- Delva, I.; Delva, M. Successful Treatment of Airplane Headache with Rizatriptan: Case Report. Case Rep. Neurol. 2021, 13, 375–379. [Google Scholar] [CrossRef]
- Ahmad, A.; Butt, M.H.; Misbah, S.; Saleem, R.T.; Waheed, U.; Shamim, Q.U.A.; Zaman, M.; Jamshaid, T.; Jamshaid, M.; Alvi, M.N. Development and Evaluation of Orodispersible Films by Solvent Casting Method Using Eletriptan Hydrobromide as a Model Drug. Lat. Am. J. Pharm. 2020, 39, 1951–1956. [Google Scholar]
- Omar, S.M.; AbdAlla, F.I.; Abdelgawad, N.M. Preparation and Optimization of Fast-Disintegrating Tablet Containing Naratriptan Hydrochloride Using D-Optimal Mixture Design. AAPS PharmSciTech 2018, 19, 2472–2487. [Google Scholar] [CrossRef]
- Ohk, B.; Seong, S.; Lee, J.; Gwon, M.; Kang, W.; Lee, H.; Yoon, Y.; Yoo, H. Evaluation of Sex Differences in the Pharmacokinetics of Oral Sumatriptan in Healthy Korean Subjects Using Population Pharmacokinetic Modeling. Biopharm. Drug Dispos. 2022, 43, 23–32. [Google Scholar] [CrossRef] [PubMed]
- Jillani, U.; Mudassir, J.; Arshad, M.S.; Mehta, P.; Alyassin, Y.; Nazari, K.; Yousef, B.; Patel, M.; Zaman, A.; Sayed, E.; et al. Design and Evaluation of Agarose Based Buccal Films Containing Zolmitriptan Succinate: Application of Physical and Chemical Enhancement Approaches. J. Drug Deliv. Sci. Technol. 2022, 69, 103041. [Google Scholar] [CrossRef]
- Deen, M.; Hougaard, A.; Hansen, H.D.; Schain, M.; Dyssegaard, A.; Knudsen, G.M.; Ashina, M. Association between Sumatriptan Treatment during a Migraine Attack and Central 5-HT1B Receptor Binding. JAMA Neurol. 2019, 76, 834–840. [Google Scholar] [CrossRef]
- Awadeen, R.H.; Boughdady, M.F.; Meshali, M.M. Quality by Design Approach for Preparation of Zolmitriptan/Chitosan Nanostructured Lipid Carrier Particles—Formulation and Pharmacodynamic Assessment. Int. J. Nanomed. 2020, 15, 8553–8568. [Google Scholar] [CrossRef]
- Prajapati, S.; Patel, M.; Patel, C. Preparation and Evaluation of Sublingual Tablets of Zolmitriptan. Int. J. Pharm. Investig. 2014, 4, 27. [Google Scholar] [CrossRef]
- Moffat, A.C.; Osselton, M.D.; Widdop, B.; Watts, J. Clarke’s Analysis of Drugs and Poisons, 4th ed.; The Pharmaceutical Press: London, UK, 2011. [Google Scholar]
- Shelke, S.; Shahi, S.; Jalalpure, S.; Dhamecha, D. Poloxamer 407-Based Intranasal Thermoreversible Gel of Zolmitriptan-Loaded Nanoethosomes: Formulation, Optimization, Evaluation and Permeation Studies. J. Liposome Res. 2016, 26, 313–323. [Google Scholar] [CrossRef]
- González-Hernández, A.; Marichal-Cancino, B.A.; MaassenVanDenBrink, A.; Villalón, C.M. Side Effects Associated with Current and Prospective Antimigraine Pharmacotherapies. Expert Opin. Drug Metab. Toxicol. 2018, 14, 25–41. [Google Scholar] [CrossRef] [PubMed]
- Morade, V.B.; Daga, V.R.; Malpure, P.R. Formulation and Evaluation of Mouth Dissolving Tablets of Zolmitriptan. Asian J. Pharm. Technol. 2018, 8, 35. [Google Scholar] [CrossRef]
- Nadh, T.H.H.; Kumar, P.S.; Ramana, M.V.; Rao, N.R. Formulation and Optimization of Zolmitriptan Orodispersible Tablets. J. Drug Deliv. Ther. 2021, 11, 50–57. [Google Scholar] [CrossRef]
- Kumria, R.; Al-Dhubiab, B.E.; Shah, J.; Nair, A.B. Formulation and Evaluation of Chitosan-Based Buccal Bioadhesive Films of Zolmitriptan. J. Pharm. Innov. 2018, 13, 133–143. [Google Scholar] [CrossRef]
- Kovacic, K.; Li, B.U.K. Cyclic Vomiting Syndrome: A Narrative Review and Guide to Management. Headache 2021, 61, 231–243. [Google Scholar] [CrossRef] [PubMed]
- Mostafa, D.A.E.; Khalifa, M.K.A.; Gad, S.S. Zolmitriptan Brain Targeting via Intranasal Route Using Solid Lipid Nanoparticles for Migraine Therapy: Formulation, Characterization, in-Vitro and in-Vivo Assessment. Int. J. Appl. Pharm. 2020, 12, 86–93. [Google Scholar] [CrossRef]
- Pitta, S.K.; Dudhipala, N.; Narala, A.; Veerabrahma, K. Development of Zolmitriptan Transfersomes by Box–Behnken Design for Nasal Delivery: In Vitro and in Vivo Evaluation. Drug Dev. Ind. Pharm. 2018, 44, 484–492. [Google Scholar] [CrossRef]
- Winner, P.; Farkas, V.; Štillová, H.; Woodruff, B.; Liss, C.; Lillieborg, S.; Raines, S. Efficacy and Tolerability of Zolmitriptan Nasal Spray for the Treatment of Acute Migraine in Adolescents: Results of a Randomized, Double-Blind, Multi-Center, Parallel-Group Study (TEENZ). Headache 2016, 56, 1107–1119. [Google Scholar] [CrossRef]
- Geszke-Moritz, M.; Moritz, M. Solid Lipid Nanoparticles as Attractive Drug Vehicles: Composition, Properties and Therapeutic Strategies. Mater. Sci. Eng. C 2016, 68, 982–994. [Google Scholar] [CrossRef] [PubMed]
- Izza, N.; Suga, K.; Okamoto, Y.; Watanabe, N.; Bui, T.T.; Wibisono, Y.; Fadila, C.R.; Umakoshi, H. Systematic Characterization of Nanostructured Lipid Carriers from Cetyl Palmitate/Caprylic Triglyceride/Tween 80 Mixtures in an Aqueous Environment. Langmuir 2021, 37, 4284–4293. [Google Scholar] [CrossRef] [PubMed]
- Haider, M.; Abdin, S.M.; Kamal, L.; Orive, G. Nanostructured Lipid Carriers for Delivery of Chemotherapeutics: A Review. Pharmaceutics 2020, 12, 288. [Google Scholar] [CrossRef]
- Matarazzo, A.P.; Elisei, L.M.S.; Carvalho, F.C.; Bonfílio, R.; Ruela, A.L.M.; Galdino, G.; Pereira, G.R. Mucoadhesive Nanostructured Lipid Carriers as a Cannabidiol Nasal Delivery System for the Treatment of Neuropathic Pain. Eur. J. Pharm. Sci. 2021, 159, 105698. [Google Scholar] [CrossRef]
- Wang, F.Y.; Chen, Y.; Huang, Y.Y.; Cheng, C.M. Transdermal Drug Delivery Systems for Fighting Common Viral Infectious Diseases. Drug Deliv. Transl. Res. 2021, 11, 1498–1508. [Google Scholar] [CrossRef]
- Leppert, W.; Malec-Milewska, M.; Zajaczkowska, R.; Wordliczek, J. Transdermal and Topical Drug Administration in the Treatment of Pain. Molecules 2018, 23, 681. [Google Scholar] [CrossRef]
- Naguib, M.J.; Elsayed, I.; Teaima, M.H. Simultaneous Optimization of Oral and Transdermal Nanovesicles for Bioavailability Enhancement of Ivabradine Hydrochloride. Int. J. Nanomed. 2021, 16, 2917–2931. [Google Scholar] [CrossRef] [PubMed]
- Alam, A.; Machale, M.U.; Yadav, R.P.; Sharma, M.; Patel, A.K. Role of Transdermal Drug Delivery System. Asian J. Pharm. Res. Dev. 2021, 9, 137–143. [Google Scholar] [CrossRef]
- Benbow, T.; Campbell, J. Microemulsions as Transdermal Drug Delivery Systems for Nonsteroidal Anti-Inflammatory Drugs (NSAIDs): A Literature Review. Drug Dev. Ind. Pharm. 2019, 45, 1849–1855. [Google Scholar] [CrossRef] [PubMed]
- Sharma, G.; Thakur, K.; Raza, K.; Singh, B.; Katare, O.P. Nanostructured Lipid Carriers: A New Paradigm in Topical Delivery for Dermal and Transdermal Applications. Crit. Rev. Ther. Drug Carr. Syst. 2017, 34, 355–386. [Google Scholar] [CrossRef]
- Gu, Y.; Tang, X.; Yang, M.; Yang, D.; Liu, J. Transdermal Drug Delivery of Triptolide-Loaded Nanostructured Lipid Carriers: Preparation, Pharmacokinetic, and Evaluation for Rheumatoid Arthritis. Int. J. Pharm. 2019, 554, 235–244. [Google Scholar] [CrossRef]
- Kang, Q.; Liu, J.; Liu, X.Y.; Mo, N.L.; Wang, Y.J.; Zhao, Y.; Liu, X.; Wu, Q. Application of Quality by Design Approach to Formulate and Optimize Tripterine Loaded in Nanostructured Lipid Carriers for Transdermal Delivery. J. Drug Deliv. Sci. Technol. 2019, 52, 1032–1041. [Google Scholar] [CrossRef]
- Truong, T.H.; Alcantara, K.P.; Bulatao, B.P.I.; Sorasitthiyanukarn, F.N.; Muangnoi, C.; Nalinratana, N.; Vajragupta, O.; Rojsitthisak, P.; Rojsitthisak, P. Chitosan-Coated Nanostructured Lipid Carriers for Transdermal Delivery of Tetrahydrocurcumin for Breast Cancer Therapy. Carbohydr. Polym. 2022, 288, 119401. [Google Scholar] [CrossRef]
- Patil, H.; Kulkarni, V.; Majumdar, S.; Repka, M.A. Continuous Manufacturing of Solid Lipid Nanoparticles by Hot Melt Extrusion. Int. J. Pharm. 2014, 471, 153–156. [Google Scholar] [CrossRef]
- Kar, N.; Chakraborty, S.; De, A.K.; Ghosh, S.; Bera, T. Development and Evaluation of a Cedrol-Loaded Nanostructured Lipid Carrier System for in Vitro and in Vivo Susceptibilities of Wild and Drug Resistant Leishmania Donovani Amastigotes. Eur. J. Pharm. Sci. 2017, 104, 196–211. [Google Scholar] [CrossRef]
- Joseph Naguib, M.; Moustafa Kamel, A.; Thabet Negmeldin, A.; Elshafeey, A.H.; Elsayed, I. Molecular Docking and Statistical Optimization of Taurocholate-Stabilized Galactose Anchored Bilosomes for the Enhancement of Sofosbuvir Absorption and Hepatic Relative Targeting Efficiency. Drug Deliv. 2020, 27, 996–1009. [Google Scholar] [CrossRef]
- Mohamed, M.I.; Abdelbary, A.A.; Kandil, S.M.; Mahmoud, T.M. Preparation and Evaluation of Optimized Zolmitriptan Niosomal Emulgel. Drug Dev. Ind. Pharm. 2019, 45, 1157–1167. [Google Scholar] [CrossRef] [PubMed]
- Nour, S.A.; Abdelmalak, N.S.; Naguib, M.J.; Rashed, H.M.; Ibrahim, A.B. Intranasal Brain-Targeted Clonazepam Polymeric Micelles for Immediate Control of Status Epilepticus: In Vitro Optimization, Ex Vivo Determination of Cytotoxicity, in Vivo Biodistribution and Pharmacodynamics Studies. Drug Deliv. 2016, 23, 3681–3695. [Google Scholar] [CrossRef] [PubMed]
- El-Nabarawy, N.A.; Teaima, M.H.; Helal, D.A. Assessment Of Spanlastic Vesicles Of Zolmitriptan For Treating Migraine In Rats. Drug Des. Dev. Ther. 2019, 13, 3929–3937. [Google Scholar] [CrossRef] [PubMed]
- Taweel, M.M.E.; Aboul-Einien, M.H.; Kassem, M.A.; Elkasabgy, N.A. Intranasal Zolmitriptan-Loaded Bilosomes with Extended Nasal Mucociliary Transit Time for Direct Nose to Brain Delivery. Pharmaceutics 2021, 13, 1828. [Google Scholar] [CrossRef]
- Higuchi, T. Mechanism of Sustained-action Medication. Theoretical Analysis of Rate of Release of Solid Drugs Dispersed in Solid Matrices. J. Pharm. Sci. 1963, 52, 1145–1149. [Google Scholar] [CrossRef]
- Soliman, S.M.; Abdelmalak, N.S.; El-Gazayerly, O.N.; Abdelaziz, N. Novel Non-Ionic Surfactant Proniosomes for Transdermal Delivery of Lacidipine: Optimization Using 23 Factorial Design and in Vivo Evaluation in Rabbits. Drug Deliv. 2016, 23, 1608–1622. [Google Scholar] [CrossRef]
- Prakash, K.; Narendra, C. Development of Nano Particle Encapsulated Pemulen Gel for Aceclofenac Topical Delivery. Afr. J. Pharm. Pharmacol. 2016, 10, 854–864. [Google Scholar] [CrossRef][Green Version]
- Abhaihaidelmonem, R.; El Nabarawi, M.; Attia, A. Development of Novel Bioadhesive Granisetron Hydrochloride Spanlastic Gel and Insert for Brain Targeting and Study Their Effects on Rats. Drug Deliv. 2018, 25, 70–77. [Google Scholar] [CrossRef]
- Khan, N.; Pu, J.; Pu, C.; Xu, H.; Gu, X.; Lei, Z.; Huang, F.; Nasir, M.A.; Ullah, R. Experimental and Mechanism Study: Partially Hydrolyzed Polyacrylamide Gel Degradation and Deplugging via Ultrasonic Waves and Chemical Agents. Ultrason. Sonochem. 2019, 56, 350–360. [Google Scholar] [CrossRef]
- Behrouzian, F.; Razavi, S.M.A. Steady Shear Rheological Properties of Emerging Hydrocolloids. In Emerging Natural Hydrocolloids: Rheology and Functions; John Wiley & Sons Ltd.: Oxford, UK, 2019; pp. 81–100. [Google Scholar] [CrossRef]
- Garg, B.J.; Garg, N.K.; Beg, S.; Singh, B.; Katare, O.P. Nanosized Ethosomes-Based Hydrogel Formulations of Methoxsalen for Enhanced Topical Delivery against Vitiligo: Formulation Optimization, in Vitro Evaluation and Preclinical Assessment. J. Drug Target. 2016, 24, 233–246. [Google Scholar] [CrossRef]
- Rambabu, D.; Bhoomaiah, B.; Phani, R.S.C.; Krishna, K.B. Validated RP- HPLC Method for the Estimation of Zolmitriptan in Formulation. Pharmacophore 2011, 2, 113–118. [Google Scholar]
- Mohammed, M.I.; Makky, A.M.A.; Teaima, M.H.M.; Abdellatif, M.M.; Hamzawy, M.A.; Khalil, M.A.F. Transdermal Delivery of Vancomycin Hydrochloride Using Combination of Nano-Ethosomes and Iontophoresis: In Vitro and in Vivo Study. Drug Deliv. 2016, 23, 1558–1564. [Google Scholar] [CrossRef] [PubMed]
- Abdellatif, M.M.; Khalil, I.A.; Khalil, M.A.F. Sertaconazole Nitrate Loaded Nanovesicular Systems for Targeting Skin Fungal Infection: In-Vitro, Ex-Vivo and in-Vivo Evaluation. Int. J. Pharm. 2017, 527, 1–11. [Google Scholar] [CrossRef]
- Liu, C.; Fang, L. Drug in Adhesive Patch of Zolmitriptan: Formulation and In Vitro /In Vivo Correlation. AAPS PharmSciTech 2015, 16, 1245–1253. [Google Scholar] [CrossRef] [PubMed]
- Badwaik, H.R.; Sakure, K.; Alexander, A.; Ajazuddin; Dhongade, H.; Tripathi, D.K. Synthesis and Characterisation of Poly(Acryalamide) Grafted Carboxymethyl Xanthan Gum Copolymer. Int. J. Biol. Macromol. 2016, 85, 361–369. [Google Scholar] [CrossRef] [PubMed]
- Agrawal, M.; Saraf, S.; Saraf, S.; Dubey, S.K.; Puri, A.; Patel, R.J.; Ajazuddin; Ravichandiran, V.; Murty, U.S.; Alexander, A. Recent Strategies and Advances in the Fabrication of Nano Lipid Carriers and Their Application towards Brain Targeting. J. Control. Release 2020, 321, 372–415. [Google Scholar] [CrossRef] [PubMed]
- Naguib, M.J.; Hassan, Y.R.; Abd-Elsalam, W.H. 3D Printed Ocusert Laden with Ultra-Fluidic Glycerosomes of Ganciclovir for the Management of Ocular Cytomegalovirus Retinitis. Int. J. Pharm. 2021, 607, 121010. [Google Scholar] [CrossRef] [PubMed]
- Palmer, B.C.; DeLouise, L.A. Nanoparticle-Enabled Transdermal Drug Delivery Systems for Enhanced Dose Control and Tissue Targeting. Molecules 2016, 21, 1719. [Google Scholar] [CrossRef]
- Bawazeer, S.; El-Telbany, D.F.A.; Al-Sawahli, M.M.; Zayed, G.; Keed, A.A.A.; Abdelaziz, A.E.; Abdel-Naby, D.H. Effect of Nanostructured Lipid Carriers on Transdermal Delivery of Tenoxicam in Irradiated Rats. Drug Deliv. 2020, 27, 1218–1230. [Google Scholar] [CrossRef]
- Mahdi, W.A.; Bukhari, S.I.; Imam, S.S.; Alshehri, S.; Zafar, A.; Yasir, M. Formulation and Optimization of Butenafine-Loaded Topical Nano Lipid Carrier-Based Gel: Characterization, Irritation Study, and Anti-Fungal Activity. Pharmaceutics 2021, 13, 1087. [Google Scholar] [CrossRef]
- Fernandez, S.; Jannin, V.; Chevrier, S.; Chavant, Y.; Demarne, F.; Carrière, F. In Vitro Digestion of the Self-Emulsifying Lipid Excipient Labrasol® by Gastrointestinal Lipases and Influence of Its Colloidal Structure on Lipolysis Rate. Pharm. Res. 2013, 30, 3077–3087. [Google Scholar] [CrossRef] [PubMed]
- Nowroozi, F.; Almasi, A.; Javidi, J.; Haeri, A.; Dadashzadeh, S. Effect of Surfactant Type, Cholesterol Content and Various Downsizing Methods on the Particle Size of Niosomes. Iran. J. Pharm. Res. 2018, 17, 1–11. [Google Scholar] [PubMed]
- Alyami, H.; Abdelaziz, K.; Dahmash, E.Z.; Iyire, A. Nonionic Surfactant Vesicles (Niosomes) for Ocular Drug Delivery: Development, Evaluation and Toxicological Profiling. J. Drug Deliv. Sci. Technol. 2020, 60, 102069. [Google Scholar] [CrossRef]
- Danaei, M.; Dehghankhold, M.; Ataei, S.; Hasanzadeh Davarani, F.; Javanmard, R.; Dokhani, A.; Khorasani, S.; Mozafari, M. Impact of Particle Size and Polydispersity Index on the Clinical Applications of Lipidic Nanocarrier Systems. Pharmaceutics 2018, 10, 57. [Google Scholar] [CrossRef]
- Safwat, S.; Ishak, R.A.H.; Hathout, R.M.; Mortada, N.D. Nanostructured Lipid Carriers Loaded with Simvastatin: Effect of PEG/Glycerides on Characterization, Stability, Cellular Uptake Efficiency and in Vitro Cytotoxicity. Drug Dev. Ind. Pharm. 2017, 43, 1112–1125. [Google Scholar] [CrossRef]
- Abdel Fadeel, D.A.; Kamel, R.; Fadel, M. PEGylated Lipid Nanocarrier for Enhancing Photodynamic Therapy of Skin Carcinoma Using Curcumin: In-Vitro/in-Vivo Studies and Histopathological Examination. Sci. Rep. 2020, 10, 10435. [Google Scholar] [CrossRef]
- Yang, K.; Liu, Y.; Liu, Y.; Zhang, Q.; Kong, C.; Yi, C.; Zhou, Z.; Wang, Z.; Zhang, G.; Zhang, Y.; et al. Cooperative Assembly of Magneto-Nanovesicles with Tunable Wall Thickness and Permeability for MRI-Guided Drug Delivery. J. Am. Chem. Soc. 2018, 140, 4666–4677. [Google Scholar] [CrossRef]
- Khan, M.I.; Madni, A.; Hirvonen, J.; Peltonen, L. Ultrasonic Processing Technique as a Green Preparation Approach for Diacerein-Loaded Niosomes. AAPS PharmSciTech 2017, 18, 1554–1563. [Google Scholar] [CrossRef]
- Tran, T.H.; Ramasamy, T.; Truong, D.H.; Choi, H.G.; Yong, C.S.; Kim, J.O. Preparation and Characterization of Fenofibrate-Loaded Nanostructured Lipid Carriers for Oral Bioavailability Enhancement. AAPS PharmSciTech 2014, 15, 1509–1515. [Google Scholar] [CrossRef]
- Casiraghi, A.; Selmin, F.; Minghetti, P.; Cilurzo, F.; Montanari, L. Nonionic Surfactants: Polyethylene Glycol (Peg) Ethers and Fatty Acid Esters as Penetration Enhancers. In Percutaneous Penetration Enhancers Chemical Methods in Penetration Enhancement: Modification of the Stratum Corneum; Springer: Berlin/Heidelberg, Germany, 2015; pp. 251–271. ISBN 9783662470398. [Google Scholar]
- Altinoz, M.A.; Ozpinar, A.; Seyfried, T.N. Caprylic (Octanoic) Acid as a Potential Fatty Acid Chemotherapeutic for Glioblastoma. Prostaglandins Leukot. Essent. Fat. Acids 2020, 159, 102142. [Google Scholar] [CrossRef]
- Hong, I.K.; Kim, S.I.; Lee, S.B. Effects of HLB Value on Oil-in-Water Emulsions: Droplet Size, Rheological Behavior, Zeta-Potential, and Creaming Index. J. Ind. Eng. Chem. 2018, 67, 123–131. [Google Scholar] [CrossRef]
- Zhang, N.; Liu, C.; Jin, L.; Zhang, R.; Siebert, H.C.; Wang, Z.; Prakash, S.; Yin, X.; Li, J.; Hou, D.; et al. Influence of Long-Chain/Medium-Chain Triglycerides and Whey Protein/Tween 80 Ratio on the Stability of Phosphatidylserine Emulsions (O/W). ACS Omega 2020, 5, 7792–7801. [Google Scholar] [CrossRef] [PubMed]
- Szymczyk, K.; Taraba, A. Aggregation Behavior of Triton X-114 and Tween 80 at Various Temperatures and Concentrations Studied by Density and Viscosity Measurements. J. Therm. Anal. Calorim. 2016, 126, 315–326. [Google Scholar] [CrossRef]
- Mohanty, D.; Rani, M.J.; Haque, M.A.; Bakshi, V.; Jahangir, M.A.; Imam, S.S.; Gilani, S.J. Preparation and Evaluation of Transdermal Naproxen Niosomes: Formulation Optimization to Preclinical Anti-Inflammatory Assessment on Murine Model. J. Liposome Res. 2020, 30, 377–387. [Google Scholar] [CrossRef]
- Fahmy, A.M.; El-Setouhy, D.A.; Habib, B.A.; Tayel, S.A. Enhancement of Transdermal Delivery of Haloperidol via Spanlastic Dispersions: Entrapment Efficiency vs. Particle Size. AAPS PharmSciTech 2019, 20, 95. [Google Scholar] [CrossRef] [PubMed]
- El-Helw, A.-R.; Fahmy, U. Improvement of Fluvastatin Bioavailability by Loading on Nanostructured Lipid Carriers. Int. J. Nanomed. 2015, 10, 5797. [Google Scholar] [CrossRef]
- Abdelbary, G.A.; Aburahma, M.H. Oro-Dental Mucoadhesive Proniosomal Gel Formulation Loaded with Lornoxicam for Management of Dental Pain. J. Liposome Res. 2015, 25, 107–121. [Google Scholar] [CrossRef]
- Ahmed, S.; Kassem, M.A.; Sayed, S. Bilosomes as Promising Nanovesicular Carriers for Improved Transdermal Delivery: Construction, in Vitro Optimization, Ex Vivo Permeation and in Vivo Evaluation. Int. J. Nanomed. 2020, 15, 9783–9798. [Google Scholar] [CrossRef]
- Raeisi, S.; Ojagh, S.M.; Quek, S.Y.; Pourashouri, P.; Salaün, F. Nano-Encapsulation of Fish Oil and Garlic Essential Oil by a Novel Composition of Wall Material: Persian Gum-Chitosan. LWT 2019, 116, 108494. [Google Scholar] [CrossRef]
- Naguib, M.J.; Makhlouf, A.I.A. Scalable Flibanserin Nanocrystal-Based Novel Sublingual Platform for Female Hypoactive Sexual Desire Disorder: Engineering, Optimization Adopting the Desirability Function Approach and in Vivo Pharmacokinetic Study. Drug Deliv. 2021, 28, 1301–1311. [Google Scholar] [CrossRef]
- Cheng, Y.; Qin, H.; Acevedo, N.C.; Jiang, X.; Shi, X. 3D Printing of Extended-Release Tablets of Theophylline Using Hydroxypropyl Methylcellulose (HPMC) Hydrogels. Int. J. Pharm. 2020, 591, 119983. [Google Scholar] [CrossRef] [PubMed]
- Jurca, T.; Józsa, L.; Suciu, R.; Pallag, A.; Marian, E.; Bácskay, I.; Mureşan, M.; Stan, R.L.; Cevei, M.; Cioară, F.; et al. Formulation of Topical Dosage Forms Containing Synthetic and Natural Anti-Inflammatory Agents for the Treatment of Rheumatoid Arthritis. Molecules 2021, 26, 24. [Google Scholar] [CrossRef] [PubMed]
- Jiang, H.; Fall, M.; Yilmaz, E.; Li, Y.; Yang, L. Effect of Mineral Admixtures on Flow Properties of Fresh Cemented Paste Backfill: Assessment of Time Dependency and Thixotropy. Powder Technol. 2020, 372, 258–266. [Google Scholar] [CrossRef]
- Imran, M.; Iqubal, M.K.; Imtiyaz, K.; Saleem, S.; Mittal, S.; Rizvi, M.M.A.; Ali, J.; Baboota, S. Topical Nanostructured Lipid Carrier Gel of Quercetin and Resveratrol: Formulation, Optimization, in Vitro and Ex Vivo Study for the Treatment of Skin Cancer. Int. J. Pharm. 2020, 587, 119705. [Google Scholar] [CrossRef] [PubMed]
- Tundisi, L.L.; Mostaço, G.B.; Carricondo, P.C.; Petri, D.F.S. Hydroxypropyl Methylcellulose: Physicochemical Properties and Ocular Drug Delivery Formulations. Eur. J. Pharm. Sci. 2021, 159, 105736. [Google Scholar] [CrossRef]
- Alharbi, W.S.; Almughem, F.A.; Almehmady, A.M.; Jarallah, S.J.; Alsharif, W.K.; Alzahrani, N.M.; Alshehri, A.A. Phytosomes as an Emerging Nanotechnology Platform for the Topical Delivery of Bioactive Phytochemicals. Pharmaceutics 2021, 13, 1475. [Google Scholar] [CrossRef]










| Factors (Independent Variables) | Levels | ||
|---|---|---|---|
| X1: Liquid lipid type | Labrafil® | Labrasol® | Mygliol® |
| X2: SAA type | Tween 80 | Span 60 | Span 20 |
| Responses (dependent variables) | Desirability constraints | ||
| Y1: PS (nm) | Minimize | ||
| Y2: PDI | Minimize | ||
| Y3: ZP (mV) | Maximize | ||
| Y4: EE (%) | Maximize | ||
| Y5: Q6h (%) | Maximize | ||
| Formula Code | X1: Liquid Lipid Type d | X2: Surfactant Type e | Y1: Particle Size (nm) | Y2: Polydispersity Index | Y3: Zeta Potential (mV) | Y4: Entrapment Efficiency (% w/w) | Y5: Q6h (%) |
|---|---|---|---|---|---|---|---|
| NLC1 | Labrafil® | Tween 80 | 263.9 ± 4.24 | 0.423 ± 0.001 | −18.1 ± 2.12 | 31.7 ± 1.07 | 81.95 ± 1.10 |
| NLC2 | Labrasol® | Tween 80 | 300.4 ± 1.41 | 0.356 ± 0.001 | −18.8 ± 2.82 | 39.7 ± 3.23 | 79.85 ± 1.14 |
| NLC3 | Miglyol® | Tween 80 | 269.9 ± 2.12 | 0.485 ± 0.007 | −17.9 ± 2.28 | 35.7 ± 0.40 | 99.32 ± 0.40 |
| NLC4 | Labrafil® | Span 60 | 212.0 ± 4.24 | 0.406 ± 0.005 | −24.1 ± 1.41 | 73.9 ± 3.90 | 55.14 ± 3.90 |
| NLC5 | Labrasol® | Span 60 | 219.0 ± 4.07 | 0.578 ± 0.002 | −23.3 ± 0.50 | 42.7 ± 4.24 | 58.21 ± 2.82 |
| NLC6 | Miglyol® | Span 60 | 282.4 ± 2.28 | 0.425 ± 0.007 | −22.4 ± 1.18 | 41.3 ± 2.83 | 69.89 ± 1.20 |
| NLC7 | Labrafil® | Span 20 | 162.8 ± 0.77 | 0.445 ± 0.006 | −24.4 ± 1.18 | 62.7 ± 2.50 | 60.72 ± 2.50 |
| NLC8 | Labrasol® | Span 20 | 230.0 ± 3.28 | 0.392 ± 0.001 | −22.0 ± 0.71 | 48.3 ± 0.30 | 69.12 ± 0.30 |
| NLC9 | Miglyol® | Span 20 | 138.3 ± 7.07 | 0.309 ± 0.001 | −22.1 ± 0.80 | 73.0 ± 0.10 | 83.22 ± 0.10 |
| Response | Model | R2 | Adjusted R2 | Predicted R2 | Precision | Significant Factors |
|---|---|---|---|---|---|---|
| Y1: PS (nm) | Two-factor interaction | 0.9637 | 0.9314 | 0.8547 | 16.23 | X1, X2, X1X2 |
| Y2: PDI | Two-factor interaction | 0.9947 | 0.9963 | 0.9922 | 83.97 | X1, X2, X1X2 |
| Y3: ZP (mV) | Main effects | 0.6868 | 0.5904 | 0.3995 | 6.54 | X2 |
| Y4: EE (%) | Two-factor interaction | 0.9075 | 0.8253 | 0.6301 | 8.78 | X1, X2, X1X2 |
| Y5: Q6h (%) | Main effects | 0.8660 | 0.8237 | 0.7430 | 13.37 | X1, X2 |
| Formulation | Dmax (µg) ± SD | Jss (µg/cm2h) | Pc (cm/h) | D (cm2/h) | Deposition (µg/cm2) |
|---|---|---|---|---|---|
| ZMP-loaded HPMC gel | 575.83 ± 47.10 | 34.54 | 0.0142 | 0.0019 | 74.39 |
| ZMP-loaded pemulen® gel | 262.38 ± 62.80 | 18.47 | 0.0076 | 0.0005 | 64.38 |
| NLC9-loaded HPMC gel | 3645.13 ± 109.90 | 203 | 0.0838 | 0.0656 | 55.25 |
| NLC9-loaded pemulen® gel | 3355.5 ± 49.17 | 178 | 0.0735 | 0.0502 | 50.48 |
| Pharmacokinetic Parameters | Marketed Oral Tablets | NLC9-Loaded HPMC Gel |
|---|---|---|
| Cmax (ng/mL) | 21.4 ± 3.11 | 35.7 ± 4.03 |
| Tmax (h) | 2 | 1 |
| AUC0–24 (ng·h/mL) | 80.46 ± 23.04 | 141.18 ± 44.41 |
| AUC0–∞ (ng·h/mL) | 81.40 ± 23.01 | 143.73 ±19.70 |
| K (h−1) | 0.15 ± 0.02 | 0.161 ± 0.09 |
| T½ (h−1) | 4.40 ± 0.51 | 4.29 ± 0.48 |
| Relative bioavailability (%) | 176.56% |
Publisher’s Note: MDPI stays neutral with regard to jurisdictional claims in published maps and institutional affiliations. |
© 2022 by the authors. Licensee MDPI, Basel, Switzerland. This article is an open access article distributed under the terms and conditions of the Creative Commons Attribution (CC BY) license (https://creativecommons.org/licenses/by/4.0/).
Share and Cite
Hassan, D.H.; Shohdy, J.N.; El-Setouhy, D.A.; El-Nabarawi, M.; Naguib, M.J. Compritol-Based Nanostrucutured Lipid Carriers (NLCs) for Augmentation of Zolmitriptan Bioavailability via the Transdermal Route: In Vitro Optimization, Ex Vivo Permeation, In Vivo Pharmacokinetic Study. Pharmaceutics 2022, 14, 1484. https://doi.org/10.3390/pharmaceutics14071484
Hassan DH, Shohdy JN, El-Setouhy DA, El-Nabarawi M, Naguib MJ. Compritol-Based Nanostrucutured Lipid Carriers (NLCs) for Augmentation of Zolmitriptan Bioavailability via the Transdermal Route: In Vitro Optimization, Ex Vivo Permeation, In Vivo Pharmacokinetic Study. Pharmaceutics. 2022; 14(7):1484. https://doi.org/10.3390/pharmaceutics14071484
Chicago/Turabian StyleHassan, Doaa H., Joseph N. Shohdy, Doaa Ahmed El-Setouhy, Mohamed El-Nabarawi, and Marianne J. Naguib. 2022. "Compritol-Based Nanostrucutured Lipid Carriers (NLCs) for Augmentation of Zolmitriptan Bioavailability via the Transdermal Route: In Vitro Optimization, Ex Vivo Permeation, In Vivo Pharmacokinetic Study" Pharmaceutics 14, no. 7: 1484. https://doi.org/10.3390/pharmaceutics14071484
APA StyleHassan, D. H., Shohdy, J. N., El-Setouhy, D. A., El-Nabarawi, M., & Naguib, M. J. (2022). Compritol-Based Nanostrucutured Lipid Carriers (NLCs) for Augmentation of Zolmitriptan Bioavailability via the Transdermal Route: In Vitro Optimization, Ex Vivo Permeation, In Vivo Pharmacokinetic Study. Pharmaceutics, 14(7), 1484. https://doi.org/10.3390/pharmaceutics14071484

