Therapeutic Potential of Mesenchymal Stem Cells versus Omega n − 3 Polyunsaturated Fatty Acids on Gentamicin-Induced Cardiac Degeneration
Abstract
1. Introduction
2. Materials and Methods
2.1. Animals
2.2. Experimental Design
2.3. Isolation, Culture, Immunophenotyping, and Differentiation of Bone Marrow-Derived Mesenchymal Stem Cells
2.4. Determination of Cardiac Malonaldehyde Content
2.5. Determination of Cardiac Catalase Activity
2.6. Histological Studies
2.7. Immunohistochemical Studies
2.8. Quantitative Analyses
2.9. Electron Microscopy Studies
2.10. Statistical Analysis
3. Results
3.1. Characterization of BM-MSCs
3.2. Effects of PUFAs and MSCs on Gentamicin-Induced Alterations in Cardiac Catalase Activity and Cardiac MDA Content
3.3. Histological Results
Light Microscopic Examination
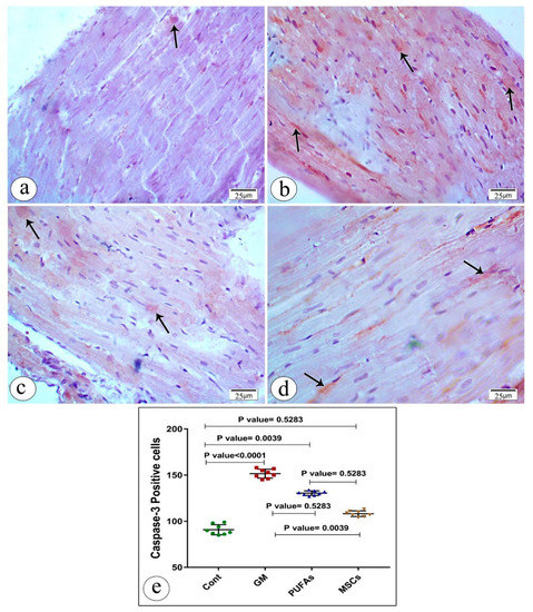
3.4. Effect of PUFAs and MSCs on Gentamicin-Induced Alterations in Cardiac Expression of Caspase-3
3.5. Effect of PUFAs and MSCs on Gentamicin-Induced Alterations in the Cardiac Expression of PCNA
Effect of PUFAs and MSCs on Gentamicin-Induced Alterations in the Cardiac Expression of Bax/Bcl2
3.6. Electron Microscopy Results
4. Discussion
5. Conclusions
Author Contributions
Funding
Institutional Review Board Statement
Informed Consent Statement
Acknowledgments
Conflicts of Interest
References
- Kowalewski, M.; Pawliszak, W.; Zaborowska, K.; Navarese, E.P.; Szwed, K.A.; Kowalkowska, M.E.; Kowalewski, J.; Borkowska, A.; Anisimowicz, L. Gentamicin-collagen sponge reduces the risk of sternal wound infections after heart surgery: Meta-analysis. J. Thorac. Cardiovasc. Surg. 2015, 149, 1631–1640.e6. [Google Scholar] [CrossRef] [PubMed]
- Urbanowicz, T.; Straburzynska-Migaj, E.; Buczkowski, P.; Grajek, S.; Jemielity, M. Novel Method of Infection Prophylaxis in Heart Transplantation by Retrosternal Gentamycin Sponge Application. Transpl. Proc. 2015, 47, 1954–1957. [Google Scholar] [CrossRef] [PubMed]
- Khan, Z.A.; Hollenberg, S.M. Valvular Heart Disease in Adults: Infective Endocarditis. FP Essent 2017, 457, 30–38. [Google Scholar] [PubMed]
- Germain, M.; Thibault, L.; Jacques, A.; Tremblay, J.; Bourgeois, R. Heart valve allograft decontamination with antibiotics: Impact of the temperature of incubation on efficacy. Cell Tissue Bank 2010, 11, 197–204. [Google Scholar] [CrossRef] [PubMed]
- Moffett, B.S.; Rossano, J.W. Use of 4-mg/kg/24-hour empiric aminoglycoside dosing in preoperative neonates with congenital heart disease. Ann. Pharmacother. 2012, 46, 1193–1197. [Google Scholar] [CrossRef]
- Khan, S.A.; Priyamvada, S.; Farooq, N.; Khan, S.; Khan, M.W.; Yusufi, A.N. Protective effect of green tea extract on gentamicin-induced nephrotoxicity and oxidative damage in rat kidney. Pharmacol. Res. 2009, 59, 254–262. [Google Scholar] [CrossRef]
- Nishimura, B.; Tabuchi, K.; Nakamagoe, M.; Hara, A. The influences of sphingolipid metabolites on gentamicin-induced hair cell loss of the rat cochlea. Neurosci. Lett. 2010, 485, 1–5. [Google Scholar] [CrossRef]
- Huang, Q.Y.; Li, X.F.; Liu, S.P. alpha-Enolase and caveolin alterations in the heart of rats having undergone gentamicin-induced toxicity. Mol. Med. Rep. 2012, 5, 710–714. [Google Scholar]
- Ozturk, H.S.; Kavutcu, M.; Canbolat, O.; Kacmaz, M.; Yasa, M.H.; Durak, I. The effects of gentamicin and vitamin E on enzymatic antioxidant defence in guinea-pig lung. J. Clin. Pharm. Ther. 1997, 22, 411–414. [Google Scholar] [CrossRef]
- Zhu, W.; Wu, R.D.; Lv, Y.G.; Liu, Y.M.; Huang, H.; Xu, J.Q. BRD4 blockage alleviates pathological cardiac hypertrophy through the suppression of fibrosis and inflammation via reducing ROS generation. Biomed. Pharmacother. 2020, 121, 109368. [Google Scholar] [CrossRef]
- Mozaffarian, D.; Benjamin, E.J.; Go, A.S.; Arnett, D.K.; Blaha, M.J.; Cushman, M.; de Ferranti, S.; Despres, J.P.; Fullerton, H.J.; Howard, V.J.; et al. Heart disease and stroke statistics--2015 update: A report from the American Heart Association. Circulation 2015, 131, e29–e322. [Google Scholar] [CrossRef] [PubMed]
- Anversa, P.; Li, P.; Zhang, X.; Olivetti, G.; Capasso, J.M. Ischaemic myocardial injury and ventricular remodelling. Cardiovasc. Res. 1993, 27, 145–157. [Google Scholar] [CrossRef] [PubMed]
- Chan, W.; Duffy, S.J.; White, D.A.; Gao, X.M.; Du, X.J.; Ellims, A.H.; Dart, A.M.; Taylor, A.J. Acute left ventricular remodeling following myocardial infarction: Coupling of regional healing with remote extracellular matrix expansion. JACC Cardiovasc. Imaging 2012, 5, 884–893. [Google Scholar] [CrossRef] [PubMed]
- Rumberger, J.A. Ventricular dilatation and remodeling after myocardial infarction. Mayo Clin. Proc. 1994, 69, 664–674. [Google Scholar] [CrossRef]
- Matturri, L.; Milei, J.; Grana, D.R.; Lavezzi, A.M. Characterization of myocardial hypertrophy by DNA content, PCNA expression and apoptotic index. Int. J. Cardiol. 2002, 82, 33–39. [Google Scholar] [CrossRef]
- Czabotar, P.E.; Lessene, G.; Strasser, A.; Adams, J.M. Control of apoptosis by the BCL-2 protein family: Implications for physiology and therapy. Nat. Rev. Mol. Cell Biol. 2014, 15, 49–63. [Google Scholar] [CrossRef]
- Roos, W.P.; Thomas, A.D.; Kaina, B. DNA damage and the balance between survival and death in cancer biology. Nat. Rev. Cancer 2016, 16, 20–33. [Google Scholar] [CrossRef]
- Wu, C.C.; Bratton, S.B. Regulation of the intrinsic apoptosis pathway by reactive oxygen species. Antioxid. Redox Signal 2013, 19, 546–558. [Google Scholar] [CrossRef]
- Hutt, K.J. The role of BH3-only proteins in apoptosis within the ovary. Reproduction 2015, 149, R81–R89. [Google Scholar] [CrossRef]
- Abbate, A.; Bussani, R.; Amin, M.S.; Vetrovec, G.W.; Baldi, A. Acute myocardial infarction and heart failure: Role of apoptosis. Int. J. Biochem. Cell Biol. 2006, 38, 1834–1840. [Google Scholar] [CrossRef]
- Chinda, K.; Sanit, J.; Chattipakorn, S.; Chattipakorn, N. Dipeptidyl peptidase-4 inhibitor reduces infarct size and preserves cardiac function via mitochondrial protection in ischaemia-reperfusion rat heart. Diabetes Vasc. Dis. Res. 2014, 11, 75–83. [Google Scholar] [CrossRef]
- Gao, C.K.; Liu, H.; Cui, C.J.; Liang, Z.G.; Yao, H.; Tian, Y. Roles of MicroRNA-195 in cardiomyocyte apoptosis induced by myocardial ischemia-reperfusion injury. J. Genet. 2016, 95, 99–108. [Google Scholar] [CrossRef]
- Assmus, B.; Honold, J.; Schachinger, V.; Britten, M.B.; Fischer-Rasokat, U.; Lehmann, R.; Teupe, C.; Pistorius, K.; Martin, H.; Abolmaali, N.D.; et al. Transcoronary transplantation of progenitor cells after myocardial infarction. N. Engl. J. Med. 2006, 355, 1222–1232. [Google Scholar] [CrossRef] [PubMed]
- Mozid, A.M.; Arnous, S.; Sammut, E.C.; Mathur, A. Stem cell therapy for heart diseases. Br. Med. Bull. 2011, 98, 143–159. [Google Scholar] [CrossRef] [PubMed]
- Sanganalmath, S.K.; Bolli, R. Cell therapy for heart failure: A comprehensive overview of experimental and clinical studies, current challenges, and future directions. Circ. Res. 2013, 113, 810–834. [Google Scholar] [CrossRef] [PubMed]
- Ngo, M.A.; Muller, A.; Li, Y.; Neumann, S.; Tian, G.; Dixon, I.M.; Arora, R.C.; Freed, D.H. Human mesenchymal stem cells express a myofibroblastic phenotype in vitro: Comparison to human cardiac myofibroblasts. Mol. Cell Biochem. 2014, 392, 187–204. [Google Scholar] [CrossRef] [PubMed]
- Hass, R.; Kasper, C.; Bohm, S.; Jacobs, R. Different populations and sources of human mesenchymal stem cells (MSC): A comparison of adult and neonatal tissue-derived MSC. Cell Commun. Signal 2011, 9, 12. [Google Scholar] [CrossRef]
- Tomita, S.; Li, R.K.; Weisel, R.D.; Mickle, D.A.; Kim, E.J.; Sakai, T.; Jia, Z.Q. Autologous transplantation of bone marrow cells improves damaged heart function. Circulation 1999, 100, II247–II256. [Google Scholar] [CrossRef]
- Lin, X.; Peng, P.; Cheng, L.; Chen, S.; Li, K.; Li, Z.Y.; Mo, Y.H.; Zhou, Z.; Li, M. A natural compound induced cardiogenic differentiation of endogenous MSCs for repair of infarcted heart. Differentiation 2012, 83, 1–9. [Google Scholar] [CrossRef]
- Wen, Z.; Zheng, S.; Zhou, C.; Wang, J.; Wang, T. Repair mechanisms of bone marrow mesenchymal stem cells in myocardial infarction. J. Cell Mol. Med. 2011, 15, 1032–1043. [Google Scholar] [CrossRef]
- Zhao, J.J.; Liu, X.C.; Kong, F.; Qi, T.G.; Cheng, G.H.; Wang, J.; Sun, C.; Luan, Y. Bone marrow mesenchymal stem cells improve myocardial function in a swine model of acute myocardial infarction. Mol. Med. Rep. 2014, 10, 1448–1454. [Google Scholar] [CrossRef] [PubMed]
- Rahbarghazi, R.; Nassiri, S.M.; Ahmadi, S.H.; Mohammadi, E.; Rabbani, S.; Araghi, A.; Hosseinkhani, H. Dynamic induction of pro-angiogenic milieu after transplantation of marrow-derived mesenchymal stem cells in experimental myocardial infarction. Int. J. Cardiol. 2014, 173, 453–466. [Google Scholar] [CrossRef] [PubMed]
- Hatzistergos, K.E.; Quevedo, H.; Oskouei, B.N.; Hu, Q.; Feigenbaum, G.S.; Margitich, I.S.; Mazhari, R.; Boyle, A.J.; Zambrano, J.P.; Rodriguez, J.E.; et al. Bone marrow mesenchymal stem cells stimulate cardiac stem cell proliferation and differentiation. Circ. Res. 2010, 107, 913–922. [Google Scholar] [CrossRef] [PubMed]
- Cai, B.; Tan, X.; Zhang, Y.; Li, X.; Wang, X.; Zhu, J.; Wang, Y.; Yang, F.; Wang, B.; Liu, Y.; et al. Mesenchymal Stem Cells and Cardiomyocytes Interplay to Prevent Myocardial Hypertrophy. Stem Cells Transl. Med. 2015, 4, 1425–1435. [Google Scholar] [CrossRef]
- Zhang, G.W.; Gu, T.X.; Guan, X.Y.; Sun, X.J.; Qi, X.; Li, X.Y.; Wang, X.B.; Yu, L.; Jiang, D.Q.; Tang, R.; et al. bFGF binding cardiac extracellular matrix promotes the repair potential of bone marrow mesenchymal stem cells in a rabbit model for acute myocardial infarction. Biomed. Mater. 2015, 10, 065018. [Google Scholar] [CrossRef]
- Buccini, S.; Haider, K.H.; Ahmed, R.P.; Jiang, S.; Ashraf, M. Cardiac progenitors derived from reprogrammed mesenchymal stem cells contribute to angiomyogenic repair of the infarcted heart. Basic Res. Cardiol. 2012, 107, 301. [Google Scholar] [CrossRef]
- Chi, N.H.; Yang, M.C.; Chung, T.W.; Chen, J.Y.; Chou, N.K.; Wang, S.S. Cardiac repair achieved by bone marrow mesenchymal stem cells/silk fibroin/hyaluronic acid patches in a rat of myocardial infarction model. Biomaterials 2012, 33, 5541–5551. [Google Scholar] [CrossRef]
- Li, X.H.; Fu, Y.H.; Lin, Q.X.; Liu, Z.Y.; Shan, Z.X.; Deng, C.Y.; Zhu, J.N.; Yang, M.; Lin, S.G.; Li, Y.; et al. Induced bone marrow mesenchymal stem cells improve cardiac performance of infarcted rat hearts. Mol. Biol. Rep. 2012, 39, 1333–1342. [Google Scholar] [CrossRef]
- Das, U.N. Beneficial effect(s) of n-3 fatty acids in cardiovascular diseases: But, why and how? Prostaglandins Leukot Essent Fat. Acids 2000, 63, 351–362. [Google Scholar] [CrossRef]
- Pedersen, H.S.; Mortensen, S.A.; Rohde, M.; Deguchi, Y.; Mulvad, G.; Bjerregaard, P.; Hansen, J.C. High serum coenzyme Q10, positively correlated with age, selenium and cholesterol, in Inuit of Greenland. A pilot study. Biofactors 1999, 9, 319–323. [Google Scholar] [CrossRef]
- Mori, T.A.; Beilin, L.J. Omega-3 fatty acids and inflammation. Curr. Atheroscler. Rep. 2004, 6, 461–467. [Google Scholar] [CrossRef] [PubMed]
- Wang, C.; Harris, W.S.; Chung, M.; Lichtenstein, A.H.; Balk, E.M.; Kupelnick, B.; Jordan, H.S.; Lau, J. n-3 Fatty acids from fish or fish-oil supplements, but not alpha-linolenic acid, benefit cardiovascular disease outcomes in primary- and secondary-prevention studies: A systematic review. Am. J. Clin. Nutr. 2006, 84, 5–17. [Google Scholar] [CrossRef] [PubMed]
- Yokoyama, M.; Origasa, H.; Matsuzaki, M.; Matsuzawa, Y.; Saito, Y.; Ishikawa, Y.; Oikawa, S.; Sasaki, J.; Hishida, H.; Itakura, H.; et al. Effects of eicosapentaenoic acid on major coronary events in hypercholesterolaemic patients (JELIS): A randomised open-label, blinded endpoint analysis. Lancet 2007, 369, 1090–1098. [Google Scholar] [CrossRef]
- Aly, H.A.A.; Hassan, M.H. Potential testicular toxicity of gentamicin in adult rats. Biochem. Biophys. Res. Commun. 2018, 497, 362–367. [Google Scholar] [CrossRef]
- Abdelhaffez, A.S.; Hussein, O.A.; Rateb, A.; Yousef, M.S. Omega-3 polyunsaturated fatty acids confer protection against gentamicin-induced testicular injury: Novel insights into possible mechanisms. J. Physiol. Pathophysiol. 2019, 10, 17–33. [Google Scholar]
- Dominici, M.; Le Blanc, K.; Mueller, I.; Slaper-Cortenbach, I.; Marini, F.; Krause, D.; Deans, R.; Keating, A.; Prockop, D.; Horwitz, E. Minimal criteria for defining multipotent mesenchymal stromal cells. The International Society for Cellular Therapy position statement. Cytotherapy 2006, 8, 315–317. [Google Scholar] [CrossRef]
- Yusop, N.; Battersby, P.; Alraies, A.; Sloan, A.J.; Moseley, R.; Waddington, R.J. Isolation and Characterisation of Mesenchymal Stem Cells from Rat Bone Marrow and the Endosteal Niche: A Comparative Study. Stem Cells Int. 2018, 2018, 6869128. [Google Scholar] [CrossRef]
- Meligy, F.Y.; Shigemura, K.; Behnsawy, H.M.; Fujisawa, M.; Kawabata, M.; Shirakawa, T. The efficiency of in vitro isolation and myogenic differentiation of MSCs derived from adipose connective tissue, bone marrow, and skeletal muscle tissue. In Vitro Cell Dev. Biol. Anim. 2012, 48, 203–215. [Google Scholar] [CrossRef]
- Sangeetha, P.; Maiti, S.K.; Mohan, D.; Shivaraju, S.; Raguvaran, R.; Abu Rafee, M.; Bindhuja, B.V.; Kumar, N.; Raguvanshi, P.D.S. Mesenchymal stem cells derived from rat bone marrow (rbm msc): Techniques for isolation, expansion and differentiation. J. Stem Cell Res. Ther. 2017, 3, 272–277. [Google Scholar]
- Wasowicz, W.; Neve, J.; Peretz, A. Optimized steps in fluorometric determination of thiobarbituric acid-reactive substances in serum: Importance of extraction pH and influence of sample preservation and storage. Clin. Chem. 1993, 39, 2522–2526. [Google Scholar] [CrossRef]
- Goth, L. A simple method for determination of serum catalase activity and revision of reference range. Clin. Chim. Acta 1991, 196, 143–151. [Google Scholar] [CrossRef]
- Bancroft, J.D.; Gamble, M. Theory and Practice of Histological Techniques; Churchill Livingstone/Elsevier: Beijing, China, 2008. [Google Scholar]
- D’Andrea, M.R.; Lawrence, D.; Nagele, R.G.; Wang, C.Y.; Damiano, B.P. PCNA indexing as a preclinical immunohistochemical biomarker for testicular toxicity. Biotech. Histochem. 2008, 83, 211–220. [Google Scholar] [CrossRef] [PubMed]
- Tsoporis, J.N.; Marks, A.; Kahn, H.J.; Butany, J.W.; Liu, P.P.; O’Hanlon, D.; Parker, T.G. Inhibition of norepinephrine-induced cardiac hypertrophy in s100beta transgenic mice. J. Clin. Investig. 1998, 102, 1609–1616. [Google Scholar] [CrossRef] [PubMed]
- Hayat, M.A. Principles and Techniques of Electron Microscopy: Biological Applications; Cambridge University Press: Edinburgh, UK, 2000; pp. 37–59. [Google Scholar]
- Qin, F.; Lennon-Edwards, S.; Lancel, S.; Biolo, A.; Siwik, D.A.; Pimentel, D.R.; Dorn, G.W.; Kang, Y.J.; Colucci, W.S. Cardiac-specific overexpression of catalase identifies hydrogen peroxide-dependent and -independent phases of myocardial remodeling and prevents the progression to overt heart failure in G(alpha)q-overexpressing transgenic mice. Circ. Heart Fail 2020, 3, 306–313. [Google Scholar] [CrossRef] [PubMed]
- Randjelovic, P.; Veljkovic, S.; Stojiljkovic, N.; Sokolovic, D.; Ilic, I. Gentamicin nephrotoxicity in animals: Current knowledge and future perspectives. EXCLI J. 2017, 16, 388–399. [Google Scholar]
- Ali, F.E.M.; Hassanein, E.H.M.; Bakr, A.G.; El-Shoura, E.A.M.; El-Gamal, D.A.; Mahmoud, A.R.; Abd-Elhamid, T.H. Ursodeoxycholic acid abrogates gentamicin-induced hepatotoxicity in rats: Role of NF-kappaB-p65/TNF-alpha, Bax/Bcl-xl/Caspase-3, and eNOS/iNOS pathways. Life Sci. 2020, 254, 117760. [Google Scholar] [CrossRef]
- Galaly, S.R.; Ahmed, O.M.; Mahmoud, A.M. Thymoquinone and curcumin prevent gentamicin-induced liver injury by attenuating oxidative stress, inflammation and apoptosis. J. Physiol. Pharmacol. 2014, 65, 823–832. [Google Scholar]
- Zhang, S.; Gao, Y.; He, Q.; Zhang, Y.; Han, L.; Jin, M.; Liu, T.; Liu, K.; Sun, C. A new active peptide from Neptunea arthritica cumingii exerts protective effects against gentamicin-induced sensory-hair cell injury in zebrafish. Drug Chem. Toxicol. 2022, 45, 161–169. [Google Scholar] [CrossRef]
- Shamas-Din, A.; Kale, J.; Leber, B.; Andrews, D.W. Mechanisms of action of Bcl-2 family proteins. Cold Spring Harb. Perspect. Biol. 2013, 5, a008714. [Google Scholar] [CrossRef]
- Kilbride, S.M.; Prehn, J.H. Central roles of apoptotic proteins in mitochondrial function. Oncogene 2013, 32, 2703–2711. [Google Scholar] [CrossRef]
- Zamorano, S.; Rojas-Rivera, D.; Lisbona, F.; Parra, V.; Court, F.A.; Villegas, R.; Cheng, E.H.; Korsmeyer, S.J.; Lavandero, S.; Hetz, C. A BAX/BAK and cyclophilin D-independent intrinsic apoptosis pathway. PLoS ONE 2012, 7, e37782. [Google Scholar]
- Parsons, M.J.; Green, D.R. Mitochondria in cell death. Essays Biochem. 2010, 47, 99–114. [Google Scholar] [PubMed]
- Korshunova, A.Y.; Blagonravov, M.L.; Neborak, E.V.; Syatkin, S.P.; Sklifasovskaya, A.P.; Semyatov, S.M.; Agostinelli, E. BCL2regulated apoptotic process in myocardial ischemiareperfusion injury (Review). Int. J. Mol. Med. 2021, 47, 23–36. [Google Scholar] [CrossRef] [PubMed]
- Gong, X.; Wang, P.; Wu, Q.; Wang, S.; Yu, L.; Wang, G. Human umbilical cord blood derived mesenchymal stem cells improve cardiac function in cTnT(R141W) transgenic mouse of dilated cardiomyopathy. Eur. J. Cell Biol. 2016, 95, 57–67. [Google Scholar] [CrossRef]
- Mohamed, S.S.; Ahmed, L.A.; Attia, W.A.; Khattab, M.M. Nicorandil enhances the efficacy of mesenchymal stem cell therapy in isoproterenol-induced heart failure in rats. Biochem. Pharmacol. 2015, 98, 403–411. [Google Scholar] [CrossRef]
- Zaki, S.M.; Algaleel, W.A.; Imam, R.A.; Abdelmoaty, M.M. Mesenchymal stem cells pretreated with platelet-rich plasma modulate doxorubicin-induced cardiotoxicity. Hum. Exp. Toxicol. 2019, 38, 857–874. [Google Scholar] [CrossRef]
- Ma, C.; Xu, Z.; Lv, H. Low n-6/n-3 PUFA ratio improves inflammation and myocardial ischemic reperfusion injury. Biochem. Cell Biol. 2019, 97, 621–629. [Google Scholar] [CrossRef]
- Tait, S.W.; Green, D.R. Mitochondria and cell death: Outer membrane permeabilization and beyond. Nat. Rev. Mol. Cell Biol. 2010, 11, 621–632. [Google Scholar] [CrossRef]
- Obeng, E. Apoptosis (programmed cell death) and its signals—A review. Braz. J. Biol. 2021, 81, 1133–1143. [Google Scholar] [CrossRef]
- Haschek, W.M.; Rousseaux, C.G.; Wallig, M.A. Haschek and Rousseaux’s Handbook of Toxicologic Pathology; Academic Press: Cambridge, MA, USA, 2013. [Google Scholar]
- Ahmad, M.; Kamran, S.H.; Mobasher, A. Protective effect of crude Curcuma longa and its methanolic extract in alloxanized rabbits. Pak. J. Pharm. Sci. 2014, 27, 121–128. [Google Scholar]
- Olutope, A.M.; Solomon, S.A.; Ayantayo, A.K. Ameliorative and Protective Effect of Omega 3—Fatty Acid on Testicular Lipid Concentration in EthanolInduced Wistar Rats. Am. J. Biochem. 2014, 4, 25–28. [Google Scholar]
- Taati, M.; Alirezaei, M.; Meshkatalsadat, M.H.; Rasoulian, B.; Kheradmand, A.; Neamati, S. Antioxidant effects of aqueous fruit extract of Ziziphus jujuba on ethanol-induced oxidative stress in the rat testes. Iran. J. Vet. Res. 2011, 12, 39–45. [Google Scholar]
- Chen, J.; Shearer, G.C.; Chen, Q.; Healy, C.L.; Beyer, A.J.; Nareddy, V.B.; Gerdes, A.M.; Harris, W.S.; O’Connell, T.D.; Wang, D. Omega-3 fatty acids prevent pressure overload-induced cardiac fibrosis through activation of cyclic GMP/protein kinase G signaling in cardiac fibroblasts. Circulation 2011, 123, 584–593. [Google Scholar] [CrossRef] [PubMed]
- Zhao, H.; Chan-Li, Y.; Collins, S.L.; Zhang, Y.; Hallowell, R.W.; Mitzner, W.; Horton, M.R. Pulmonary delivery of docosahexaenoic acid mitigates bleomycin-induced pulmonary fibrosis. BMC Pulm. Med. 2014, 14, 64. [Google Scholar] [CrossRef] [PubMed]
- Rong, X.; Yang, Y.; Zhang, G.; Zhang, H.; Li, C.; Wang, Y. Antler stem cells as a novel stem cell source for reducing liver fibrosis. Cell Tissue Res. 2020, 379, 195–206. [Google Scholar] [CrossRef]
- Yang, J.; Hu, H.; Zhang, S.; Jiang, L.; Cheng, Y.; Xie, H.; Wang, X.; Jiang, J.; Wang, H.; Zhang, Q. Human umbilical cord mesenchymal stem cell-derived exosomes alleviate pulmonary fibrosis in mice by inhibiting epithelial-mesenchymal transition. Nan Fang Yi Ke Da Xue Xue Bao 2020, 40, 988–994. [Google Scholar]
- Boehm, E.M.; Gildenberg, M.S.; Washington, M.T. The Many Roles of PCNA in Eukaryotic DNA Replication. Enzymes 2016, 39, 231–254. [Google Scholar]
- Meseguer, M.; Martinez-Conejero, J.A.; O’Connor, J.E.; Pellicer, A.; Remohi, J.; Garrido, N. The significance of sperm DNA oxidation in embryo development and reproductive outcome in an oocyte donation program: A new model to study a male infertility prognostic factor. Fertil. Steril. 2008, 89, 1191–1199. [Google Scholar] [CrossRef]
- Tekos, A.; Prodromaki, E.; Papadimou, E.; Pavlidou, D.; Tsambaos, D.; Drainas, D. Aminoglycosides suppress tRNA processing in human epidermal keratinocytes in vitro. Skin Pharmacol. Appl. Skin Physiol. 2003, 16, 252–258. [Google Scholar] [CrossRef]
- Bertolaso, L.; Bindini, D.; Previati, M.; Falgione, D.; Lanzoni, I.; Parmeggiani, A.; Vitali, C.; Corbacella, E.; Capitani, S.; Martini, A. Gentamicin-induced cytotoxicity involves protein kinase C activation, glutathione extrusion and malondialdehyde production in an immortalized cell line from the organ of corti. Audiol. Neurootol. 2003, 8, 38–48. [Google Scholar] [CrossRef]
- Liu, X.; Ren, W.; Jiang, Z.; Su, Z.; Ma, X.; Li, Y.; Jiang, R.; Zhang, J.; Yang, X. Hypothermia inhibits the proliferation of bone marrow-derived mesenchymal stem cells and increases tolerance to hypoxia by enhancing SUMOylation. Int. J. Mol. Med. 2017, 40, 1631–1638. [Google Scholar] [CrossRef] [PubMed][Green Version]
- Al-Bedhawi, M.A.A. TMEM121 Protein Is a RegulatIon Factor in the Proliferation Activity of the Adrenocortical stem/Progenitor Cells. Med.-Leg. Update 2021, 21, 1561. [Google Scholar]
- Hasan, M.M.; El-Shal, A.S.; Mackawy, A.M.H.; Ibrahim, E.M.; Abdelghany, E.; Saeed, A.A.; El-Gendy, J. Ameliorative effect of combined low dose of Pioglitazone and omega-3 on spermatogenesis and steroidogenesis in diabetic rats. J. Cell Biochem. 2020, 121, 1524–1540. [Google Scholar] [CrossRef] [PubMed]
- Babaeenezhad, E.; Hadipour Moradi, F.; Rahimi Monfared, S.; Fattahi, M.D.; Nasri, M.; Amini, A.; Dezfoulian, O.; Ahmadvand, H. D-Limonene Alleviates Acute Kidney Injury Following Gentamicin Administration in Rats: Role of NF-kappaB Pathway, Mitochondrial Apoptosis, Oxidative Stress, and PCNA. Oxid. Med. Cell Longev. 2021, 2021, 6670007. [Google Scholar] [CrossRef]
- Morales, A.I.; Detaille, D.; Prieto, M.; Puente, A.; Briones, E.; Arevalo, M.; Leverve, X.; Lopez-Novoa, J.M.; El-Mir, M.Y. Metformin prevents experimental gentamicin-induced nephropathy by a mitochondria-dependent pathway. Kidney Int. 2010, 77, 861–869. [Google Scholar] [CrossRef]
- Takemura, G.; Kanoh, M.; Minatoguchi, S.; Fujiwara, H. Cardiomyocyte apoptosis in the failing heart--a critical review from definition and classification of cell death. Int. J. Cardiol. 2013, 167, 2373–2386. [Google Scholar] [CrossRef]
- Treskatsch, S.; Shakibaei, M.; Feldheiser, A.; Shaqura, M.; Dehe, L.; Roepke, T.K.; Spies, C.; Schafer, M.; Mousa, S.A. Ultrastructural changes associated with myocardial apoptosis, in failing rat hearts induced by volume overload. Int. J. Cardiol. 2015, 197, 327–332. [Google Scholar] [CrossRef]
- Galluzzi, L.; Bravo-San Pedro, J.M.; Vitale, I.; Aaronson, S.A.; Abrams, J.M.; Adam, D.; Alnemri, E.S.; Altucci, L.; Andrews, D.; Annicchiarico-Petruzzelli, M.; et al. Essential versus accessory aspects of cell death: Recommendations of the NCCD 2015. Cell Death Differ. 2015, 22, 58–73. [Google Scholar] [CrossRef]
- Elsasser, A.; Suzuki, K.; Schaper, J. Unresolved issues regarding the role of apoptosis in the pathogenesis of ischemic injury and heart failure. J. Mol. Cell Cardiol. 2000, 32, 711–724. [Google Scholar] [CrossRef]
- Gustafsson, A.B.; Gottlieb, R.A. Mechanisms of apoptosis in the heart. J. Clin. Immunol. 2003, 23, 447–459. [Google Scholar] [CrossRef]
- Szegezdi, E.; Duffy, A.; O’Mahoney, M.E.; Logue, S.E.; Mylotte, L.A.; O’Brien, T.; Samali, A. ER stress contributes to ischemia-induced cardiomyocyte apoptosis. Biochem. Biophys. Res. Commun. 2006, 349, 1406–1411. [Google Scholar] [CrossRef] [PubMed]
- Nan, J.; Zhu, W.; Rahman, M.S.; Liu, M.; Li, D.; Su, S.; Zhang, N.; Hu, X.; Yu, H.; Gupta, M.P.; et al. Molecular regulation of mitochondrial dynamics in cardiac disease. Biochim. Biophys. Acta Mol. Cell Res. 2017, 1864, 1260–1273. [Google Scholar] [CrossRef] [PubMed]
- Cao, Y.P.; Zheng, M. Mitochondrial dynamics and inter-mitochondrial communication in the heart. Arch. Biochem. Biophys. 2019, 663, 214–219. [Google Scholar] [CrossRef] [PubMed]
- Campos, J.C.; Bozi, L.H.; Bechara, L.R.; Lima, V.M.; Ferreira, J.C. Mitochondrial Quality Control in Cardiac Diseases. Front. Physiol. 2016, 7, 479. [Google Scholar] [CrossRef] [PubMed]
- Brown, D.A.; Perry, J.B.; Allen, M.E.; Sabbah, H.N.; Stauffer, B.L.; Shaikh, S.R.; Cleland, J.G.; Colucci, W.S.; Butler, J.; Voors, A.A.; et al. Expert consensus document: Mitochondrial function as a therapeutic target in heart failure. Nat. Rev. Cardiol. 2017, 14, 238–250. [Google Scholar] [CrossRef] [PubMed]
- Lee, B.C.; Hsu, H.C.; Tseng, W.Y.; Chen, C.Y.; Lin, H.J.; Ho, Y.L.; Su, M.J.; Chen, M.F. Cell therapy generates a favourable chemokine gradient for stem cell recruitment into the infarcted heart in rabbits. Eur. J. Heart Fail. 2009, 11, 238–245. [Google Scholar] [CrossRef]
- Nuzzi, R.; Buono, L.; Scalabrin, S.; De Iuliis, M.; Bussolati, B. Effect of Stem Cell-Derived Extracellular Vesicles on Damaged Human Corneal Endothelial Cells. Stem Cells Int. 2021, 2021, 6644463. [Google Scholar] [CrossRef]









| Target | Primary Antibody Supplier | CAT. NO | Dilution | Incubation | Isotype | Secondary Antibody |
|---|---|---|---|---|---|---|
| CD90 | Mouse monoclonal IgG1 κ (Santa Cruz biotech, CA, USA) | sc-53116 | 1 µg per 1 × 106 cells | 30 min | Normal mouse IgG1 (Alexa Fluor® 647) conjugated isotype control immunoglobulin from mouse sc-24636 | Goat anti-mouse IgG (H + L) recombinant secondary antibody, Alexa Fluor™ Plus 647 Waltham, MA, USA, A55060 Incubation time (30 min) |
| CD105 | Mouse monoclonal antibody (Santa Cruz biotech, CA, USA) | sc-20072 | 1 µg per 1 × 106 cells | 30 min | Normal mouse IgG1 (Alexa Fluor® 647) conjugated isotype control immunoglobulin from mouse sc-24636 | |
| CD29 | Mouse monoclonal IgG1 κ (Santa Cruz biotech, CA, USA) | sc-9970 | 1 µg per 1 × 106 cells | 30 min | Normal mouse IgG1 (Alexa Fluor® 647) conjugated isotype control immunoglobulin from mouse sc-24636 | |
| CD44 | Mouse monoclonal antibody (Santa Cruz biotech, CA, USA) | sc-7297 | 1 µg per 1 × 106 cells | 30 min | Normal mouse IgG1 (Alexa Fluor® 647) conjugated isotype control immunoglobulin from mouse sc-24636 | |
| CD45 | Mouse monoclonal IgG1 κ (Santa Cruz biotech, CA, USA) | sc-1178 | 1 µg per 1 × 106 cells | 30 min | Normal mouse IgG1 (Alexa Fluor® 647) conjugated isotype control immunoglobulin from mouse sc-24636 | |
| CD34 | Mouse monoclonal IgG1 κ (Santa Cruz biotech, CA, USA | sc-7324 | 1 µg per 1 × 106 cells | 30 min | Normal mouse IgG1 (Alexa Fluor® 647) conjugated isotype control immunoglobulin from mouse sc-24636 |
| Target | Primary Antibody Supplier | CAT. NO | Dilution | Incubation | Antigen Retrieval | Secondary Antibody |
|---|---|---|---|---|---|---|
| Caspase-3 | Rabbit polyclonal antibody, (AB clonal Technology, Woburn, MA, USA) | A0214 | 1:100 | 30 min | Boiling in citrate buffer (pH 6.0), 15 min | (ScyTek) Incubation time (30 min) |
| PCNA | Mouse monoclonal antibody (Novus Biologicals, Centennial, CO, USA) | NB500-106SS | 1:100 | 30 min | Boiling in citrate buffer (pH 6.0), 15 min | |
| BAX | Rabbit polyclonal antibody (Biospes, Chongqing, China) | YPA2175 | 1:100 | 60 min | Boiling in citrate buffer (pH 6.0), 15 min | |
| BCL2 | Rabbit polyclonal Anti- BCL2 antibody (Biospes, Chongqing, China) | YPA2275 | 1:100 | 60 min | Boiling in citrate buffer (pH 6.0), 15 min |
Publisher’s Note: MDPI stays neutral with regard to jurisdictional claims in published maps and institutional affiliations. |
© 2022 by the authors. Licensee MDPI, Basel, Switzerland. This article is an open access article distributed under the terms and conditions of the Creative Commons Attribution (CC BY) license (https://creativecommons.org/licenses/by/4.0/).
Share and Cite
Meligy, F.Y.; El-Deen Mohammed, H.S.; Mostafa, T.M.; Elfiky, M.M.; El-Sayed Mohamed Ashry, I.; Abd-Eldayem, A.M.; Rizk, N.I.; Sabry, D.; Abd Allah, E.S.H.; Ahmed, S.F. Therapeutic Potential of Mesenchymal Stem Cells versus Omega n − 3 Polyunsaturated Fatty Acids on Gentamicin-Induced Cardiac Degeneration. Pharmaceutics 2022, 14, 1322. https://doi.org/10.3390/pharmaceutics14071322
Meligy FY, El-Deen Mohammed HS, Mostafa TM, Elfiky MM, El-Sayed Mohamed Ashry I, Abd-Eldayem AM, Rizk NI, Sabry D, Abd Allah ESH, Ahmed SF. Therapeutic Potential of Mesenchymal Stem Cells versus Omega n − 3 Polyunsaturated Fatty Acids on Gentamicin-Induced Cardiac Degeneration. Pharmaceutics. 2022; 14(7):1322. https://doi.org/10.3390/pharmaceutics14071322
Chicago/Turabian StyleMeligy, Fatma Y., Hanan Sharaf El-Deen Mohammed, Tarek M. Mostafa, Mohamed M. Elfiky, Israa El-Sayed Mohamed Ashry, Ahmed M. Abd-Eldayem, Nermin I. Rizk, Dina Sabry, Eman S. H. Abd Allah, and Salwa Fares Ahmed. 2022. "Therapeutic Potential of Mesenchymal Stem Cells versus Omega n − 3 Polyunsaturated Fatty Acids on Gentamicin-Induced Cardiac Degeneration" Pharmaceutics 14, no. 7: 1322. https://doi.org/10.3390/pharmaceutics14071322
APA StyleMeligy, F. Y., El-Deen Mohammed, H. S., Mostafa, T. M., Elfiky, M. M., El-Sayed Mohamed Ashry, I., Abd-Eldayem, A. M., Rizk, N. I., Sabry, D., Abd Allah, E. S. H., & Ahmed, S. F. (2022). Therapeutic Potential of Mesenchymal Stem Cells versus Omega n − 3 Polyunsaturated Fatty Acids on Gentamicin-Induced Cardiac Degeneration. Pharmaceutics, 14(7), 1322. https://doi.org/10.3390/pharmaceutics14071322

