Pluronic® F127 Thermoresponsive Viscum album Hydrogel: Physicochemical Features and Cellular In Vitro Evaluation
Abstract
1. Introduction
2. Materials and Methods
2.1. Plant Material
2.2. Preparation the of Dry Hydroalcoholic Extract of V. album L.
2.3. Preparation of theThermosensitive Hydrogel
2.4. Size and Morphology of Hydrogel
2.5. Thermogravimetric Analysis (TGA)
2.6. Differential Scanning Calorimetry (DSC)
2.7. Flavonoid Content
2.8. Cell Lines and Culture Conditions
2.9. Cell Viability Assay
2.10. Morphological Changes by May-Grunwald-Giemsa Staining
2.11. Ultrastructure Alterations
2.12. Statistical Analysis
3. Results and Discussion
3.1. Size and Morphological Characterization
3.2. Thermal Analysis of the Hydrogel
3.3. Flavonoid Content in VADE-Loaded-Hydrogel
3.4. Cytotoxic Activity of the Hydrogel Containing Dry Extract of Viscum Album
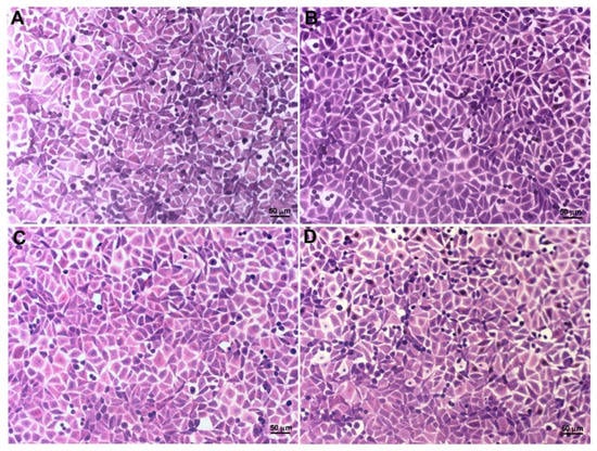
3.5. Evaluate of Thermosensitive Hydrogel Effect on Cell Morphology
4. Conclusions
5. Patents
Supplementary Materials
Author Contributions
Funding
Institutional Review Board Statement
Informed Consent Statement
Data Availability Statement
Acknowledgments
Conflicts of Interest
References
- Steele, M.L.; Axtner, J.; Happe, A.; Kröz, M.; Matthes, H.; Schad, F. Use and Safety of Intratumoral Application of European Mistletoe (Viscum album L.) Preparations in Oncology. Integr. Cancer Ther. 2015, 14, 140–148. [Google Scholar] [CrossRef] [PubMed]
- Schad, F.; Atxner, J.; Buchwald, D.; Happe, A.; Popp, S.; Kröz, M.; Matthes, H. Intratumoral Mistletoe (Viscum album L.) Therapy in Patients with Unresectable Pancreas Carcinoma: A Retrospective Analysis. Integr. Cancer Ther. 2014, 13, 332–340. [Google Scholar] [CrossRef] [PubMed]
- Reynel, M.; Villegas, Y.; Kiene, H.; Werthmann, P.G.; Kienle, G.S. Intralesional and Subcutaneous Application of Viscum album L. (European mistletoe) Extract in Cervical Carcinoma in Situ: A CARE Compliant Case Report. Medicine 2018, 97, e13420. [Google Scholar] [CrossRef]
- Thronicke, A.; Oei, S.L.; Merkle, A.; Matthes, H.; Schad, F. Clinical Safety of Combined Targeted and Viscum album L. Therapy in Oncological Patients. Medicines 2018, 5, 100. [Google Scholar] [CrossRef]
- Werthmann, P.G.; Huber, R.; Kienle, G.S. Durable Clinical Remission of a Skull Metastasis under Intralesional Viscum album Extract Therapy: Case Report. Head Neck 2018, 40, E77–E81. [Google Scholar] [CrossRef]
- Münst, A.; Gardin, N.E.; Schlodder, D. Helixor ( Viscum album L.) Na Prática Clínica: Como Iniciar o Tratamento e Encontrar a Dose Adequada Para Cada Paciente. Arte Médica Ampliada 2013, 33, 70–77. [Google Scholar]
- Oei, S.L.; Thronicke, A.; Schad, F. Mistletoe and Immunomodulation: Insights and Implications for Anticancer Therapies. Evid.-Based Complementary Altern. Med. 2019, 2019, 5893017. [Google Scholar] [CrossRef]
- Kienle, G.S.; Kiene, H. Influence of Viscum album L. (European mistletoe) Extracts on Quality of Life in Cancer Patients: A Systematic Review of Controlled Clinical Studies. Integr. Cancer Ther. 2010, 9, 142–157. [Google Scholar] [CrossRef]
- Peñaloza, E.; Holandino, C.; Scherr, C.; de Araujo, P.I.P.; Borges, R.M.; Urech, K.; Baumgartner, S.; Garrett, R. Comprehensive Metabolome Analysis of Fermented Aqueous Extracts of Viscum album L. by Liquid Chromatography—High Resolution Tandem Mass Spectrometry. Molecules 2020, 25, 4006. [Google Scholar] [CrossRef]
- Urech, K.; Baumgartner, S. Chemical Constituents of Viscum album L.: Implications for the Pharmaceutical Preparation of Mistletoe. Mistletoe Myth. Evid. Based Med. 2015, 4, 11–23. [Google Scholar] [CrossRef]
- Pietrzak, W.; Nowak, R.; Gawlik-Dziki, U.; Lemieszek, M.K.; Rzeski, W. LC-ESI-MS/MS Identification of Biologically Active Phenolic Compounds in Mistletoe Berry Extracts from Different Host Trees. Molecules 2017, 22, 624. [Google Scholar] [CrossRef] [PubMed]
- Uçar, E.O.; Arda, N.; Aitken, A. Extract from Mistletoe, Viscum album L., Reduces Hsp27 and 14-3-3 Protein Expression and Induces Apoptosis in C6 Rat Glioma Cells. Genet. Mol. Res. 2012, 11, 2801–2813. [Google Scholar] [CrossRef]
- Önay-Uçar, E.; Erol, Ö.; Kandemir, B.; Mertoğlu, E.; Karagöz, A.; Arda, N. Viscum album L. Extracts Protects HeLa Cells against Nuclear and Mitochondrial DNA Damage. Evid. Based Complementary Altern. Med. 2012, 2020, 2565320. [Google Scholar] [CrossRef]
- Pieme, C.A.; Ngogang, J.; Costache, M. In Vitro Antiproliferative and Anti-Oxidant Activities of Methanol Extracts of Urena Lobata and Viscum album against Breast Cancer Cell Lines. Toxicol. Environ. Chem. 2012, 94, 987–999. [Google Scholar] [CrossRef]
- Pieme, C.A.; Ngogang, J.; Costache, M. Polyphenol Contents of Five of Medicinal Plants from Cameroon and Effects of Their Extracts on Antioxidant Capacities of Human Breast Cancer Cells. Toxicol. Environ. Chem. 2014, 96, 1120–1130. [Google Scholar] [CrossRef]
- Pieme, C.A.; Penlap, V.N.; Ngogang, J.; Costache, M. In Vitro Cytotoxicity and Antioxidant Activities of Five Medicinal Plants of Malvaceae Family from Cameroon. Environ. Toxicol. Pharmacol. 2010, 29, 223–228. [Google Scholar] [CrossRef] [PubMed]
- Vlad, D.C.; Popescu, R.; Dumitrascu, V.; Cimporescu, A.; Vlad, C.S.; Vágvölgyi, C.; Krisch, J.; Dehelean, C.; Horhat, F.G. Phytocomponents Identification in Mistletoe (Viscum album.) Young Leaves and Branches, by GC-MS and Antiproliferative Effect on HEPG2 and McF7 Cell Lines. Farm. J. 2016, 64, 82–87. [Google Scholar]
- Zelovitis, I.; Peschos, D.; Ragos, V.; Vlachou, A.-M.; Kontargiris, E.; Dhima, I.; Scaltsoyiannes, A.; Simos, Y.V.; Chatzidimitriou, M.; Zachariou, C. Viscum album L. & Abies Alba Borisii Regis Effects on Platelet Aggregation and Tumor Metastasis. J. Appl. Pharm. Sci. 2019, 9, 122–128. [Google Scholar] [CrossRef]
- Stan, R.; Hangan, A.; Dican, L.; Sevastre, B.; Hanganu, D.; Catoi, C.; Sarpataki, O.; Ionescu, C. Comparative Study Concerning Mistletoe Viscotoxins Antitumor Activity. Acta Biol. Hung. 2013, 64, 279–288. [Google Scholar] [CrossRef]
- de Melo, M.N.O.; Oliveira, A.P.; Wiecikowski, A.F.; Carvalho, R.S.; de Lima Castro, J.; de Oliveira, F.A.G.; Pereira, H.M.G.; da Veiga, V.F.; Capella, M.M.A.; Rocha, L.; et al. Phenolic Compounds from Viscum album Tinctures Enhanced Antitumor Activity in Melanoma Murine Cancer Cells. Saudi Pharm. J. 2018, 26, 311–322. [Google Scholar] [CrossRef]
- Jäger, T.; Holandino, C.; Melo, M.N.; Peñaloza, E.M.; Oliveira, A.P.; Garrett, R.; Glauser, G.; Grazi, M.; Ramm, H.; Urech, K.; et al. Metabolomics by UHPLC-Q-TOF Reveals Host Tree-Dependent Phytochemical Variation in Viscum album L. Plants 2021, 10, 1726. [Google Scholar] [CrossRef] [PubMed]
- Holandino, C.; de Melo, M.N.O.; Oliveira, A.P.; Batista, J.V.d.C.; Capella, M.A.M.; Garrett, R.; Grazi, M.; Ramm, H.; Torre, C.D.; Schaller, G.; et al. Phytochemical Analysis and In Vitro Anti-Proliferative Activity of Viscum album Ethanolic Extracts. BMC Complement. Med. Ther. 2020, 20, 215. [Google Scholar] [CrossRef] [PubMed]
- Coulon, A.; Mosbah, A.; Lopez, A.; Sautereau, A.-M.; Schaller, G.; Urech, K.; Rougé, P.; Darbon, H. Comparative Membrane Interaction Study of Viscotoxins A3, A2 and B from Mistletoe (Viscum album) and Connections with Their Structures. Biochem. J. 2003, 374, 71–78. [Google Scholar] [CrossRef] [PubMed]
- de Melo, M.N.O.; Clavelland Ochioni, A.; Zancan, P.; Oliveira, A.P.; Grazi, M.; Garrett, R.; Holandino, C.; Baumgartner, S. Viscum album Mother Tinctures: Harvest Conditions and Host Trees Influence the Metabolome and the Glycolytic Pathway of Breast Cancer Cells. Front. Pharmacol. 2022, 13, 4365. [Google Scholar] [CrossRef]
- Batista, J.V.D.C.; Matos, A.P.S.; Oliveira, A.P.; Ricci Júnior, E.; Freitas, Z.M.; Oliveira, C.A.; Toma, H.K.; Capella, M.A.M.; Rocha, L.M.; Weissenstein, U. Thermoresponsive Hydrogel Containing Viscum album Extract for Topic and Transdermal Use: Development, Stability and Cytotoxicity Activity. Pharmaceutics 2022, 14, 37. [Google Scholar] [CrossRef]
- Kim, J.; Baek, S.; Lee, K.P.; Moon, B.S.; Kim, H.-S.; Kwon, S.-H.; won Lee, D.; Kim, J. Chlorogenic Acid in Viscum album Callus Is a Potential Anticancer Agent against C6 Glioma Cells. Pharmacogn. Mag. 2020, 16, 531. [Google Scholar] [CrossRef]
- BSF Nutrition & Health. Technical Information Kolliphor® P 407 Geismar: Poloxamer for Pharmaceutical Use; German Multinational Chemical Company: Ludwigshafen, Germany, 2022; pp. 1–9. [Google Scholar]
- Shriky, B.; Kelly, A.; Isreb, M.; Babenko, M.; Mahmoudi, N.; Rogers, S.; Shebanova, O.; Snow, T.; Gough, T. Pluronic® F127 Thermosensitive Injectable Smart Hydrogels for Controlled Drug Delivery System Development. J. Colloid Interface Sci. 2020, 565, 119–130. [Google Scholar] [CrossRef]
- Gonzales, M.; Krishnan, K.M. Phase Transfer of Highly Monodisperse Iron Oxide Nanocrystals with Pluronic® F127 for Biomedical Applications. J. Magn. Magn. Mater. 2007, 311, 59–62. [Google Scholar] [CrossRef]
- Ravani, L.; Esposito, E.; Bories, C.; Lievin-Le Moal, V.; Loiseau, P.M.; Djabourov, M.; Cortesi, R.; Bouchemal, K. Clotrimazole-Loaded Nanostructured Lipid Carrier Hydrogels: Thermal Analysis and in Vitro Studies. Int. J. Pharm. 2013, 454, 695–702. [Google Scholar] [CrossRef]
- Wu, H.; Zhong, Q.; Zhong, R.; Huang, H.; Xia, Z.; Ke, Z.; Zhang, Z.; Song, J.; Jia, X. Preparation and Antitumor Evaluation of Self-Assembling Oleanolic Acid-Loaded Pluronic P105/d-α-Tocopheryl Polyethylene Glycol Succinate Mixed Micelles for Non-Small-Cell Lung Cancer Treatment. Int. J. Nanomed. 2016, 11, 6337. [Google Scholar] [CrossRef]
- Fakhari, A.; Subramony, J.A. Engineered In-Situ Depot-Forming Hydrogels for Intratumoral Drug Delivery. J. Control. Release 2015, 220, 465–475. [Google Scholar] [CrossRef] [PubMed]
- Lin, Z.; Gao, W.; Hu, H.; Ma, K.; He, B.; Dai, W.; Wang, X.; Wang, J.; Zhang, X.; Zhang, Q. Novel Thermo-Sensitive Hydrogel System with Paclitaxel Nanocrystals: High Drug-Loading, Sustained Drug Release and Extended Local Retention Guaranteeing Better Efficacy and Lower Toxicity. J. Control. Release 2014, 174, 161–170. [Google Scholar] [CrossRef] [PubMed]
- Alexandridis, P.; Holzwarth, J.F.; Hatton, T.A. Micellization of Poly (Ethylene Oxide)-Poly (Propylene Oxide)-Poly (Ethylene Oxide) Triblock Copolymers in Aqueous Solutions: Thermodynamics of Copolymer Association. Macromolecules 1994, 27, 2414–2425. [Google Scholar] [CrossRef]
- Zhang, M.; Djabourov, M.; Bourgaux, C.; Bouchemal, K. Nanostructured Fluids from Pluronic® Mixtures. Int. J. Pharm. 2013, 454, 599–610. [Google Scholar] [CrossRef] [PubMed]
- Thapa, R.K.; Cazzador, F.; Grønlien, K.G.; Tønnesen, H.H. Effect of Curcumin and Cosolvents on the Micellization of Pluronic® F127 in Aqueous Solution. Colloids Surf. B Biointerfaces 2020, 195, 111250. [Google Scholar] [CrossRef] [PubMed]
- Barba, A.A.; d’Amore, M.; Grassi, M.; Chirico, S.; Lamberti, G.; Titomanlio, G. Investigation of Pluronic© F127–Water Solutions Phase Transitions by DSC and Dielectric Spectroscopy. J. Appl. Polym. Sci. 2009, 114, 688–695. [Google Scholar] [CrossRef]
- Trong, L.C.P.; Djabourov, M.; Ponton, A. Mechanisms of Micellization and Rheology of PEO–PPO–PEO Triblock Copolymers with Various Architectures. J. Colloid Interface Sci. 2008, 328, 278–287. [Google Scholar] [CrossRef]
- Almgren, M.; Brown, W.; Hvidt, S. Self-Aggregation and Phase Behavior of Poly (Ethylene Oxide)-Poly (Propylene Oxide)-Poly (Ethylene Oxide) Block Copolymers in Aqueous Solution. Colloid Polym. Sci. 1995, 273, 2–15. [Google Scholar] [CrossRef]
- Pandit, N.K.; Kisaka, J. Loss of Gelation Ability of Pluronic® F127 in the Presence of Some Salts. Int. J. Pharm. 1996, 145, 129–136. [Google Scholar] [CrossRef]
- Branca, C.; Khouzami, K.; Wanderlingh, U.; D’Angelo, G. Effect of Intercalated Chitosan/Clay Nanostructures on Concentrated Pluronic® F127 Solution: A FTIR-ATR, DSC and Rheological Study. J. Colloid Interface Sci. 2018, 517, 221–229. [Google Scholar] [CrossRef]
- de Lima, C.M.; Siqueira, S.M.C.; de Amorim, A.F.V.; Costa, K.B.S.; de Brito, D.H.A.; Ribeiro, M.E.N.P.; Ricardo, N.M.P.S.; Chaibunditc, C.; Yeates, S.G.; Ricardo, N.M.P.S. Effects of Polypropylene Glycol 400 (PPG400) on the Micellization and Gelation of Pluronic® F127. Macromolecules 2015, 48, 7978–7982. [Google Scholar] [CrossRef]
- Desai, P.R.; Jain, N.J.; Sharma, R.K.; Bahadur, P. Effect of Additives on the Micellization of PEO/PPO/PEO Block Copolymer F127 in Aqueous Solution. Colloids Surf. A Physicochem. Eng. Asp. 2001, 178, 57–69. [Google Scholar] [CrossRef]
- ANSM. Mistletoe from the Apple Tree; French National Agency for Medicines and Health Products Safety: Paris, France, 2010. [Google Scholar]
- ANVISA. Brazilian Homeopathic Pharmacopoeia; National Health Surveillance Agency: Brasília, Brasil, 2011. [Google Scholar]
- De Campos, V.E.B.; Cerqueira-Coutinho, C.S.; Capella, F.N.; Soares, B.G.; Holandino, C.; Mansur, C.R. Development and in Vitro Assessment of Nanoemulsion for Delivery of Ketoconazole against Candida Albicans. J. Nanosci. Nanotechnol. 2017, 17, 4623–4630. [Google Scholar] [CrossRef]
- Rolim, A.; Maciel, C.P.M.; Kaneko, T.M.; Consiglieri, V.O.; Salgado-Santos, I.M.N.; Velasco, M.V.R. Validation Assay for Total Flavonoids, as Rutin Equivalents, from Trichilia Catigua Adr. Juss (Meliaceae) and Ptychopetalum Olacoides Bentham (Olacaceae) Commercial Extract. J. AOAC Int. 2005, 88, 1015–1019. [Google Scholar] [CrossRef] [PubMed]
- Meira, D.D.; Marinho-Carvalho, M.M.; Teixeira, C.A.; Veiga, V.F.; Da Poian, A.T.; Holandino, C.; de Freitas, M.S.; Sola-Penna, M. Clotrimazole Decreases Human Breast Cancer Cells Viability through Alterations in Cytoskeleton-Associated Glycolytic Enzymes. Mol. Genet. Metab. 2005, 84, 354–362. [Google Scholar] [CrossRef]
- Mosmann, T. Rapid Colorimetric Assay for Cellular Growth and Survival: Application to Proliferation and Cytotoxicity Assays. J. Immunol. Methods 1983, 65, 55–63. [Google Scholar] [CrossRef]
- Indrayanto, G.; Putra, G.S.; Suhud, F. Validation of In-Vitro Bioassay Methods: Application in Herbal Drug Research. Profiles Drug Subst. Excip. Relat. Methodol. 2021, 46, 273–307. [Google Scholar] [CrossRef]
- Barbosa, G.M.; Dos Santos, E.G.; Capella, F.N.C.; Homsani, F.; de Pointis Marçal, C.; dos Santos Valle, R.; de Araújo Abi-Chacra, É.; Braga-Silva, L.A.; de Oliveira Sales, M.H.; da Silva Neto, I.D. Direct Electric Current Modifies Important Cellular Aspects and Ultrastructure Features of Candida Albicans Yeasts: Influence of Doses and Polarities. Bioelectromagnetics 2017, 38, 95–108. [Google Scholar] [CrossRef]
- Luu, N.-D.H.; Dang, L.H.; Bui, H.M.; Nguyen, T.T.T.; Nguyen, B.T.; Hoang, L.S.; Tran, N.Q. Nanoencapsulation of Chromolaena Odorata Extract Using Pluronic® F127 as an Effectively Herbal Delivery System for Wound Healing. J. Nanomater. 2021, 2021, 6663986. [Google Scholar] [CrossRef]
- Craig, D.Q.M.; Reading, M. (Eds.) Thermal Analysis of Pharmaceutical, 1st ed.; CRC Press, Taylor & Francis Group: Boca Raton, FL, USA, 2006. [Google Scholar] [CrossRef]
- Qi, S. Thermal Analysis of Pharmaceuticals. In Analytical Techniques in the Pharmaceutical Sciences; Springer: Berlin/Heidelberg, Germany, 2016; pp. 363–387. [Google Scholar]
- Iqbal, M.S.; Massey, S.; Akbar, J.; Ashraf, C.M.; Masih, R. Thermal Analysis of Some Natural Polysaccharide Materials by Isoconversional Method. Food Chem. 2013, 140, 178–182. [Google Scholar] [CrossRef]
- Pham, L.; Truong, M.D.; Nguyen, T.H.; Le, L.; Nam, N.D.; Bach, L.G.; Nguyen, V.T.; Tran, N.Q. A Dual Synergistic of Curcumin and Gelatin on Thermal-Responsive Hydrogel Based on Chitosan-P123 in Wound Healing Application. Biomed. Pharmacother. 2019, 117, 109183. [Google Scholar] [CrossRef] [PubMed]
- Nguyen, D.T.; Dinh, V.T.; Dang, L.H.; Nguyen, D.N.; Giang, B.L.; Nguyen, C.T.; Nguyen, T.B.T.; Van Thu, L.; Tran, N.Q. Dual Interactions of Amphiphilic Gelatin Copolymer and Nanocurcumin Improving the Delivery Efficiency of the Nanogels. Polymers 2019, 11, 814. [Google Scholar] [CrossRef] [PubMed]
- Iqbal, M.S.; Akbar, J.; Saghir, S.; Karim, A.; Koschella, A.; Heinze, T.; Sher, M. Thermal Studies of Plant Carbohydrate Polymer Hydrogels. Carbohydr. Polym. 2011, 86, 1775–1783. [Google Scholar] [CrossRef]
- Zohuriaan, M.J.; Shokrolahi, F. Thermal Studies on Natural and Modified Gums. Polym. Test. 2004, 23, 575–579. [Google Scholar] [CrossRef]
- Bodratti, A.M.; Alexandridis, P. Formulation of Poloxamers for Drug Delivery. J. Funct. Biomater. 2018, 9, 11. [Google Scholar] [CrossRef] [PubMed]
- Souza, C.M.P.; Almeida, F.S.; Junior, V.F.V.; de Lima Damasceno, B.P.G.; Medeiros, A.C.D.; Santana, D.P.; Silva, J.A. Characterization of Atomized Extract of Opuntia ficusindica (L.) Mill. and Assessment of Its Pharmaceutical Potential. Rev. Ciências Farm. Básica E Apl. 2014, 35, 195–203. [Google Scholar]
- Alexandridis, P.; Yang, L. SANS Investigation of Polyether Block Copolymer Micelle Structure in Mixed Solvents of Water and Formamide, Ethanol, or Glycerol. Macromolecules 2000, 33, 5574–5587. [Google Scholar] [CrossRef]
- Stefanucci, A.; Zengin, G.; Llorent-Martinez, E.J.; Dimmito, M.P.; Della Valle, A.; Pieretti, S.; Ak, G.; Sinan, K.I.; Mollica, A. Viscum album L. Homogenizer-Assisted and Ultrasound-Assisted Extracts as Potential Sources of Bioactive Compounds. J. Food Biochem. 2020, 44, e13377. [Google Scholar] [CrossRef]
- Sarpataki, O.; Pall, E.; Sevastre-Berghian, A.C.; Stan, R.L.; Hanganu, D.; Benedec, D.; Hangan, A.C.; Sevastre, B.; Marcus, I. Antiproliferative Effect of Viscum album Alcoholic Extract In Vitro. Bull. UASVM 2015, 72, 170–173. [Google Scholar] [CrossRef][Green Version]
- Urech, K.; Schaller, G.; Jäggy, C. Viscotoxins, Mistletoe Lectins and Their Isoforms in Mistletoe (Viscum album L.) Extracts Iscador. Arzneimittelforschung 2006, 56, 428–434. [Google Scholar] [CrossRef]
- Rello, S.; Stockert, J.C.; Moreno, V.L.; Gamez, A.; Pacheco, M.; Juarranz, A.; Canete, M.; Villanueva, A. Morphological Criteria to Distinguish Cell Death Induced by Apoptotic and Necrotic Treatments. Apoptosis 2005, 10, 201–208. [Google Scholar] [CrossRef] [PubMed]
- Peres, C.M.; Curi, R. Como Cultivar Células. In Como Cultivar Células; Guanabara-Koogan: Rio de Janeiro, Brasil, 2005; p. 283. [Google Scholar]
- Majno, G.; Joris, I. Apoptosis, Oncosis, and Necrosis. An Overview of Cell Death. Am. J. Pathol. 1995, 146, 3. [Google Scholar] [PubMed]
- Krysko, D.V.; Berghe, T.V.; D’Herde, K.; Vandenabeele, P. Apoptosis and Necrosis: Detection, Discrimination and Phagocytosis. Methods 2008, 44, 205–221. [Google Scholar] [CrossRef] [PubMed]
- Cogliati, S.; Enriquez, J.A.; Scorrano, L. Mitochondrial Cristae: Where Beauty Meets Functionality. Trends Biochem. Sci. 2016, 41, 261–273. [Google Scholar] [CrossRef] [PubMed]
- Mazumder, K.; Aktar, A.; Roy, P.; Biswas, B.; Hossain, M.E.; Sarkar, K.K.; Bachar, S.C.; Ahmed, F.; Monjur-Al-Hossain, A.S.M.; Fukase, K. A Review on Mechanistic Insight of Plant Derived Anticancer Bioactive Phytocompounds and Their Structure Activity Relationship. Molecules 2022, 27, 3036. [Google Scholar] [CrossRef] [PubMed]
- Coulon, A.; Berkane, E.; Sautereau, A.-M.; Urech, K.; Rougé, P.; Lopez, A. Modes of Membrane Interaction of a Natural Cysteine-Rich Peptide: Viscotoxin A3. Biochim. Et Biophys. Acta (BBA) Biomembr. 2002, 1559, 145–159. [Google Scholar] [CrossRef]
- Giudici, M.; Pascual, R.; de la Canal, L.; Pfüller, K.; Pfüller, U.; Villalaín, J. Interaction of Viscotoxins A3 and B with Membrane Model Systems: Implications to Their Mechanism of Action. Biophys. J. 2003, 85, 971–981. [Google Scholar] [CrossRef]
- Veiga, V.F.; Holandino, C.; Rodrigues, M.L.; Capella, M.A.M.; Menezes, S.; Alviano, C.S. Cellular Damage and Altered Carbohydrate Expression in P815 Tumor Cells Induced by Direct Electric Current: An In Vitro Analysis. Bioelectromagn. J. Bioelectromagn. Soc. Soc. Phys. Regul. Biol. Med. Eur. Bioelectromagn. Assoc. 2000, 21, 597–607. [Google Scholar] [CrossRef]
- Chen, B.; Le, W.; Wang, Y.; Li, Z.; Wang, D.; Ren, L.; Lin, L.; Cui, S.; Hu, J.J.; Hu, Y. Targeting Negative Surface Charges of Cancer Cells by Multifunctional Nanoprobes. Theranostics 2016, 6, 1887. [Google Scholar] [CrossRef]











Publisher’s Note: MDPI stays neutral with regard to jurisdictional claims in published maps and institutional affiliations. |
© 2022 by the authors. Licensee MDPI, Basel, Switzerland. This article is an open access article distributed under the terms and conditions of the Creative Commons Attribution (CC BY) license (https://creativecommons.org/licenses/by/4.0/).
Share and Cite
Rocha, M.S.; Batista, J.V.C.; Melo, M.N.O.; Campos, V.E.B.d.; Toledo, A.L.M.M.; Oliveira, A.P.; Picciani, P.H.S.; Baumgartner, S.; Holandino, C. Pluronic® F127 Thermoresponsive Viscum album Hydrogel: Physicochemical Features and Cellular In Vitro Evaluation. Pharmaceutics 2022, 14, 2775. https://doi.org/10.3390/pharmaceutics14122775
Rocha MS, Batista JVC, Melo MNO, Campos VEBd, Toledo ALMM, Oliveira AP, Picciani PHS, Baumgartner S, Holandino C. Pluronic® F127 Thermoresponsive Viscum album Hydrogel: Physicochemical Features and Cellular In Vitro Evaluation. Pharmaceutics. 2022; 14(12):2775. https://doi.org/10.3390/pharmaceutics14122775
Chicago/Turabian StyleRocha, Mariana S., João V. C. Batista, Michelle N. O. Melo, Vania E. B. de Campos, Anna Lecticia M. M. Toledo, Adriana P. Oliveira, Paulo H. S. Picciani, Stephan Baumgartner, and Carla Holandino. 2022. "Pluronic® F127 Thermoresponsive Viscum album Hydrogel: Physicochemical Features and Cellular In Vitro Evaluation" Pharmaceutics 14, no. 12: 2775. https://doi.org/10.3390/pharmaceutics14122775
APA StyleRocha, M. S., Batista, J. V. C., Melo, M. N. O., Campos, V. E. B. d., Toledo, A. L. M. M., Oliveira, A. P., Picciani, P. H. S., Baumgartner, S., & Holandino, C. (2022). Pluronic® F127 Thermoresponsive Viscum album Hydrogel: Physicochemical Features and Cellular In Vitro Evaluation. Pharmaceutics, 14(12), 2775. https://doi.org/10.3390/pharmaceutics14122775

