Autologous Marrow Mesenchymal Stem Cell Driving Bone Regeneration in a Rabbit Model of Femoral Head Osteonecrosis
Abstract
1. Introduction
2. Materials and Methods
2.1. Creation of ON Damage in a Rabbit Model
2.2. Autologous BM-MSC Treatment in the ON Rabbit Model
2.3. BM-MSC Isolation and Amplification
2.4. Immunophenotypic Characterization by Flow Cytometry
2.5. Differentiation Assays
2.6. Histology
2.7. Statistical Analysis
3. Results
3.1. Surgical Procedure Combined with MPSL Is More Efficient Than MPSL Alone at Reproducing ONFH in Rabbits
3.2. Two Weeks after ON Induction Is the Best Timing for MSC Implantation to Recapitulate Pathogenic Features
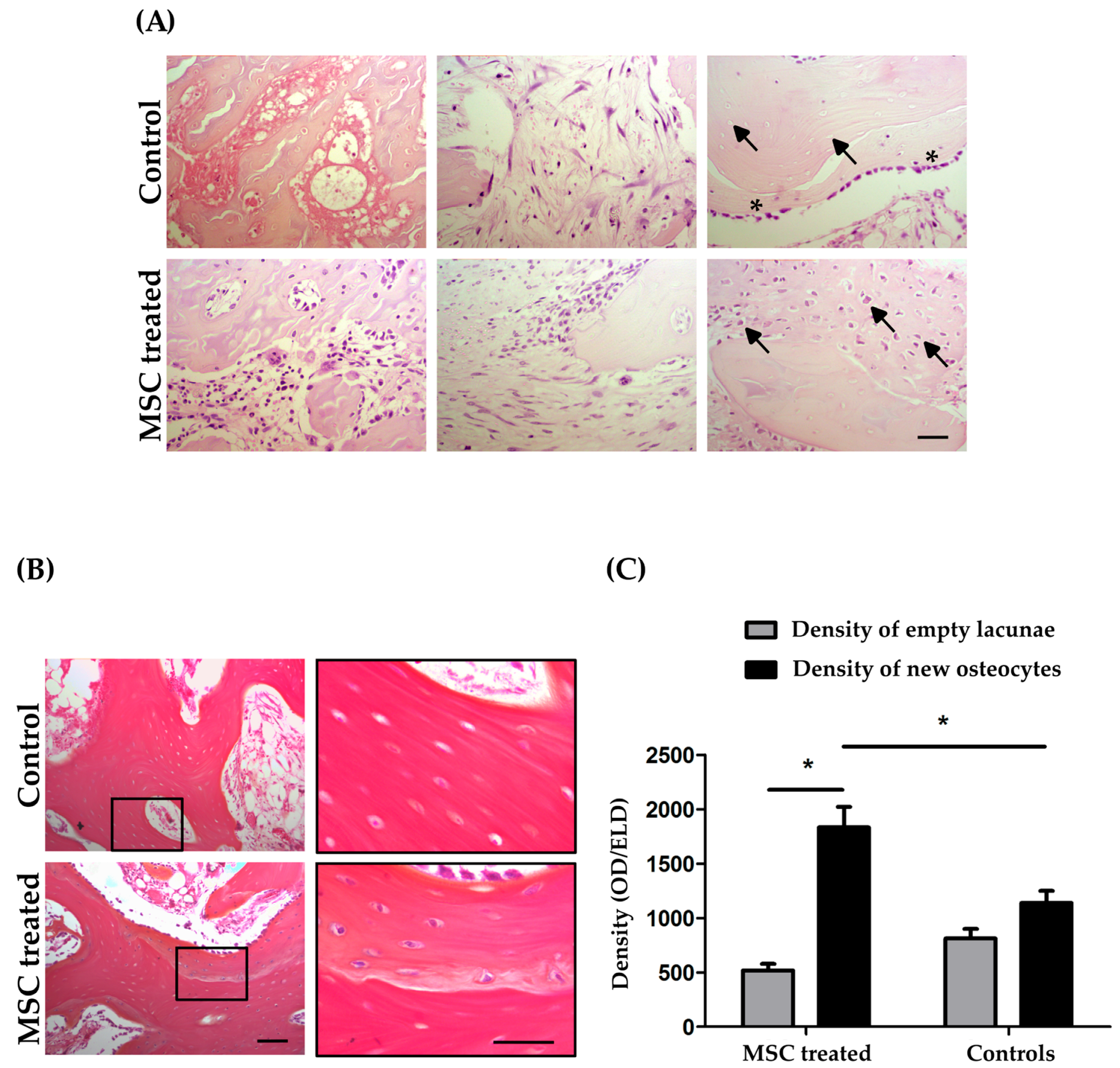
3.3. BM-MSCs Improve Osteogenesis into Damaged FHs
3.4. MSCs Isolated from FHs after Damage Show a Decrease in Clonogenic Ability
3.5. ON-BM-MSCs and ON+BM-MSCs Exhibit the Same Immunophenotypic Profile and Differentiation Potential
4. Discussion
Supplementary Materials
Author Contributions
Funding
Institutional Review Board Statement
Informed Consent Statement
Data Availability Statement
Acknowledgments
Conflicts of Interest
References
- Konarski, W.; Poboży, T.; Śliwczyński, A.; Kotela, I.; Krakowiak, J.; Hordowicz, M.; Kotela, A. Avascular Necrosis of Femoral Head-Overview and Current State of the Art. Public Health 2022, 19, 7348. [Google Scholar] [CrossRef] [PubMed]
- Petek, D.; Hannouche, D.; Suva, D. Osteonecrosis of the Femoral Head: Pathophysiology and Current Concepts of Treatment. EFORT Open Rev. 2019, 4, 85–97. [Google Scholar] [CrossRef]
- Hernigou, P.; Zilber, S.; Filippini, P.; Mathieu, G.; Poignard, A.; Galacteros, F. Total THA in Adult Osteonecrosis Related to Sickle Cell Disease. Clin. Orthop. Relat. Res. 2008, 466, 300–308. [Google Scholar] [CrossRef]
- Oltean-Dan, D.; Apostu, D.; Tomoaia, G.; Kerekes, K.; Gheorghe Păiușan, M.; Bardas, C.-A.; Rares, H.; Benea, C. Causes of Revision after Total Hip Arthroplasty in an Orthopedics and Traumatology Regional Center. Orig. Res. Med. Pharm. Rep. 2022, 95, 179–184. [Google Scholar] [CrossRef]
- Tomaru, Y.; Yoshioka, T.; Sugaya, H.; Kumagai, H.; Aoto, K.; Wada, H.; Akaogi, H.; Yamazaki, M.; Mishima, H. Comparison between Concentrated Autologous Bone Marrow Aspirate Transplantation as a Hip Preserving Surgery and Natural Course in Idiopathic Osteonecrosis of the Femoral Head. Cureus 2022, 14, e24658. [Google Scholar] [CrossRef] [PubMed]
- Xu, Y.; Jiang, Y.; Wang, Y.; Jia, B.; Gao, S.; Yu, H.; Zhang, H.; Lv, C.; Li, H.; Li, T. LINC00473-modified Bone Marrow Mesenchymal Stem Cells Incorporated Thermosensitive PLGA Hydrogel Transplantation for Steroid-induced Osteonecrosis of Femoral Head: A Detailed Mechanistic Study and Validity Evaluation. Bioeng. Transl. Med. 2021, 7, e10275. [Google Scholar] [CrossRef] [PubMed]
- Gómez-Barrena, E.; Padilla-Eguiluz, N.G.; Rosset, P.; Hernigou, P.; Baldini, N.; Ciapetti, G.; Gonzalo-Daganzo, R.M.; Avendaño-Solá, C.; Rouard, H.; Giordano, R.; et al. Osteonecrosis of the Femoral Head Safely Healed with Autologous, Expanded, Bone Marrow-Derived Mesenchymal Stromal Cells in a Multicentric Trial with Minimum 5 Years Follow-Up. J. Clin. Med. 2021, 10, 508. [Google Scholar] [CrossRef] [PubMed]
- Hernigou, J.; Bastard, C.; Dubory, A.; Zilber, S.; Flouzat Lachaniette, C.H.; Rouard, H.; Hernigou, P. Cell Therapy for Posttraumatic Shoulder Osteonecrosis. Morphologie 2021, 105, 162–169. [Google Scholar] [CrossRef]
- Wen, Q.; Jin, D.; Zhou, C.-Y.; Zhou, M.-Q.; Luo, W.; Ma, L. HGF-Transgenic MSCs Can Improve the Effects of Tissue Self-Repair in a Rabbit Model of Traumatic Osteonecrosis of the Femoral Head. PLoS ONE 2012, 7, e37503. [Google Scholar] [CrossRef] [PubMed]
- Lv, Y.; Qiu, X.; Liu, G.; Wang, Y.; Zhang, Y.; Li, W.; Zhu, Z. A Novel Model of Traumatic Femoral Head Necrosis in Rats Developed by Microsurgical Technique. BMC Musculoskelet. Disord. 2022, 23, 374. [Google Scholar] [CrossRef] [PubMed]
- Zhu, T.; Jiang, M.; Zhang, M.; Cui, L.; Yang, X.; Wang, X.; Liu, G.; Ding, J.; Chen, X. Construction and Validation of Steroid-Induced Rabbit Osteonecrosis Model. MethodsX 2022, 9, 101713. [Google Scholar] [CrossRef] [PubMed]
- Xu, J.; Gong, H.; Lu, S.; Deasey, M.J.; Cui, Q. Animal Models of Steroid-Induced Osteonecrosis of the Femoral Head—A Comprehensive Research Review up to 2018. Int. Orthop. 2018, 42, 1729–1737. [Google Scholar] [CrossRef] [PubMed]
- Fenwick, N.; Griffin, G.; Gauthier, C. The Welfare of Animals Used in Science: How the “Three Rs” Ethic Guides Improvements. Can. Vet. J. 2009, 50, 523–530. [Google Scholar] [PubMed]
- Miyanishi, K.; Yamamoto, T.; Irisa, T.; Motomura, G.; Jingushi, S.; Sueishi, K.; Iwamoto, Y. Effects of Different Corticosteroids on the Development of Osteonecrosis in Rabbits. Rheumatology 2005, 44, 332–336. [Google Scholar] [CrossRef][Green Version]
- Motomura, G.; Yamamoto, T.; Irisa, T.; Miyanishi, K.; Nishida, K.; Iwamoto, Y. Dose Effects of Corticosteroids on the Development of Osteonecrosis in Rabbits. J. Rheumatol. 2008, 35, 2395–2399. [Google Scholar] [CrossRef]
- Kuroda, Y.; Akiyama, H.; Kawanabe, K.; Tabata, Y.; Nakamura, T. Treatment of Experimental Osteonecrosis of the Hip in Adult Rabbits with a Single Local Injection of Recombinant Human FGF-2 Microspheres. J. Bone Miner. Metab. 2010, 28, 608–616. [Google Scholar] [CrossRef]
- Hwang, Y.; Park, J.; Choi, S.H.; Kim, G. Traumatic and Non-Traumatic Osteonecrosis in the Femoral Head of a Rabbit Model. Lab. Anim. Res. 2011, 27, 127–131. [Google Scholar] [CrossRef] [PubMed]
- Zhang, Y.; Wang, X.; Yang, Z.; Zhang, H.; Liu, M.; Qiu, Y.; Guo, X. The Therapeutic Effect of Negative Pressure in Treating Femoral Head Necrosis in Rabbits. PLoS ONE 2013, 8, e55745. [Google Scholar] [CrossRef]
- Park, H.; Temenoff, J.S.; Tabata, Y.; Caplan, A.I.; Mikos, A.G. Injectable Biodegradable Hydrogel Composites for Rabbit Marrow Mesenchymal Stem Cell and Growth Factor Delivery for Cartilage Tissue Engineering. Biomaterials 2007, 28, 3217–3227. [Google Scholar] [CrossRef] [PubMed]
- Ahmadbeigi, N.; Shafiee, A.; Seyedjafari, E.; Gheisari, Y.; Vassei, M.; Amanpour, S.; Amini, S.; Bagherizadeh, I.; Soleimani, M. Early Spontaneous Immortalization and Loss of Plasticity of Rabbit Bone Marrow Mesenchymal Stem Cells. Cell Prolif. 2011, 44, 67–74. [Google Scholar] [CrossRef]
- Rajagopal, K.; Madhuri, V. Comparing the Chondrogenic Potential of Rabbit Mesenchymal Stem Cells Derived from the Infrapatellar Fat Pad, Periosteum & Bone Marrow. Indian J. Med. Res. 2021, 154, 732–742. [Google Scholar] [CrossRef] [PubMed]
- Grisendi, G.; Annerén, C.; Cafarelli, L.; Sternieri, R.; Veronesi, E.; Cervo, G.L.; Luminari, S.; Maur, M.; Frassoldati, A.; Palazzi, G.; et al. GMP-Manufactured Density Gradient Media for Optimized Mesenchymal Stromal/Stem Cell Isolation and Expansion. Cytotherapy 2010, 12, 466–477. [Google Scholar] [CrossRef] [PubMed]
- Chernyshev, A.V.; Tarasov, P.A.; Semianov, K.A.; Nekrasov, V.M.; Hoekstra, A.G.; Maltsev, V.P. Erythrocyte Lysis in Isotonic Solution of Ammonium Chloride: Theoretical Modeling and Experimental Verification. J. Theor. Biol. 2008, 251, 93–107. [Google Scholar] [CrossRef] [PubMed]
- Schrezenmeier, H.; Seifried, E. Buffy-Coat-Derived Pooled Platelet Concentrates and Apheresis Platelet Concentrates: Which Product Type Should Be Preferred? Vox Sang. 2010, 99, 1–15. [Google Scholar] [CrossRef] [PubMed]
- Grisendi, G.; Bussolari, R.; Cafarelli, L.; Petak, I.; Rasini, V.; Veronesi, E.; De Santis, G.; Spano, C.; Tagliazzucchi, M.; Barti-Juhasz, H.; et al. Adipose-Derived Mesenchymal Stem Cells as Stable Source of Tumor Necrosis Factor-Related Apoptosis-Inducing Ligand Delivery for Cancer Therapy. Cancer Res. 2010, 70, 3718–3729. [Google Scholar] [CrossRef] [PubMed]
- Foppiani, E.M.; Candini, O.; Mastrolia, I.; Murgia, A.; Grisendi, G.; Samarelli, A.V.; Boscaini, G.; Pacchioni, L.; Pinelli, M.; De Santis, G.; et al. Impact of HOXB7 Overexpression on Human Adipose-Derived Mesenchymal Progenitors. Stem Cell Res. Ther. 2019, 10, 101. [Google Scholar] [CrossRef] [PubMed]
- Veronesi, E.; Murgia, A.; Caselli, A.; Grisendi, G.; Piccinno, M.S.; Rasini, V.; Giordano, R.; Montemurro, T.; Bourin, P.; Sensebé, L.; et al. Transportation Conditions for Prompt Use of Ex Vivo Expanded and Freshly Harvested Clinical-Grade Bone Marrow Mesenchymal Stromal/Stem Cells for Bone Regeneration. Tissue Eng. Part C Methods 2014, 20, 239–251. [Google Scholar] [CrossRef] [PubMed]
- Murgia, A.; Veronesi, E.; Candini, O.; Caselli, A.; D’souza, N.; Rasini, V.; Giorgini, A.; Catani, F.; Iughetti, L.; Dominici, M.; et al. Potency Biomarker Signature Genes from Multiparametric Osteogenesis Assays: Will CGMP Human Bone Marrow Mesenchymal Stromal Cells Make Bone? PLoS ONE 2016, 11, e0163629. [Google Scholar] [CrossRef]
- IHC WORLD-Life Science Products and Services. Available online: http://www.ihcworld.com/ (accessed on 5 July 2022).
- An, Y.H.; Martin, K.L. Handbook of Histology Methods for Bone and Cartilage; Springer Science & Business Media: Berlin/Heidelberg, Germany, 2003; ISBN 978-1-59259-417-7. [Google Scholar]
- Dominici, M.; Rasini, V.; Bussolari, R.; Chen, X.; Hofmann, T.J.; Spano, C.; Bernabei, D.; Veronesi, E.; Bertoni, F.; Paolucci, P.; et al. Restoration and Reversible Expansion of the Osteoblastic Hematopoietic Stem Cell Niche after Marrow Radioablation. Blood 2009, 114, 2333–2343. [Google Scholar] [CrossRef] [PubMed]
- Zhang, L.; Chang, M.; Beck, C.A.; Schwarz, E.M.; Boyce, B.F. Analysis of New Bone, Cartilage, and Fibrosis Tissue in Healing Murine Allografts Using Whole Slide Imaging and a New Automated Histomorphometric Algorithm. Bone Res. 2016, 4, 15037. [Google Scholar] [CrossRef] [PubMed]
- Komori, T.; Ji, Y.; Pham, H.; Jani, P.; Kilts, T.M.; Kram, V.; Li, L.; Young, M.F. Type VI Collagen Regulates Endochondral Ossification in the Temporomandibular Joint. JBMR Plus 2022, 6, e10617. [Google Scholar] [CrossRef] [PubMed]
- Cen, H.; Gong, H.; Liu, H.; Jia, S.; Wu, X.; Fan, Y. A Comparative Study on the Multiscale Mechanical Responses of Human Femoral Neck Between the Young and the Elderly Using Finite Element Method. Front. Bioeng. Biotechnol. 2022, 10, 893337. [Google Scholar] [CrossRef] [PubMed]
- Wang, J.; Kalhor, A.; Lu, S.; Crawford, R.; Ni, J.-D.; Xiao, Y. INOS Expression and Osteocyte Apoptosis in Idiopathic, Non-Traumatic Osteonecrosis. Acta Orthop. 2015, 86, 134–141. [Google Scholar] [CrossRef] [PubMed]
- Desando, G.; Roseti, L.; Bartolotti, I.; Dallari, D.; Stagni, C.; Grigolo, B. Histopathological Signatures of the Femoral Head in Patients with Osteonecrosis and Potential Applications in a Multi-Targeted Approach: A Pilot Study. Appl. Sci. 2020, 10, 3945. [Google Scholar] [CrossRef]
- Phemister, D.B. Repair of Bone in the Presence of Aseptic Necrosis Resulting from Fractures, Transplantations, and Vascular Obstruction. 1930. J. Bone Jt. Surg. Am. 2005, 87, 672. [Google Scholar] [CrossRef]
- Barastegui, D.; Gallardo-Calero, I.; Rodriguez-Carunchio, L.; Barrera-Ochoa, S.; Knorr, J.; Rivas-Nicolls, D.; Soldado, F. Effect of Vascularized Periosteum on Revitalization of Massive Bone Isografts: An Experimental Study in a Rabbit Model. Microsurgery 2021, 41, 157–164. [Google Scholar] [CrossRef]
- Friedenstein, A.J.; Deriglasova, U.F.; Kulagina, N.N.; Panasuk, A.F.; Rudakowa, S.F.; Luriá, E.A.; Ruadkow, I.A. Precursors for Fibroblasts in Different Populations of Hematopoietic Cells as Detected by the in Vitro Colony Assay Method. Exp. Hematol. 1974, 2, 83–92. [Google Scholar]
- Piccinno, M.S.; Veronesi, E.; Loschi, P.; Pignatti, M.; Murgia, A.; Grisendi, G.; Castelli, I.; Bernabei, D.; Candini, O.; Conte, P.; et al. Adipose Stromal/Stem Cells Assist Fat Transplantation Reducing Necrosis and Increasing Graft Performance. Apoptosis Int. J. Program. Cell Death 2013, 18, 1274–1289. [Google Scholar] [CrossRef]
- George, G.; Lane, J.M. Osteonecrosis of the Femoral Head. JAAOS Glob. Res. Rev. 2022, 6, e21.00176. [Google Scholar] [CrossRef]
- Hines, J.T.; Jo, W.-L.; Cui, Q.; Mont, M.A.; Koo, K.-H.; Cheng, E.Y.; Goodman, S.B.; Ha, Y.-C.; Hernigou, P.; Jones, L.C.; et al. Osteonecrosis of the Femoral Head: An Updated Review of ARCO on Pathogenesis, Staging and Treatment. J. Korean Med. Sci. 2021, 36, e177. [Google Scholar] [CrossRef]
- D’souza, N.; Rossignoli, F.; Golinelli, G.; Grisendi, G.; Spano, C.; Candini, O.; Osturu, S.; Catani, F.; Paolucci, P.; Horwitz, E.M.; et al. Mesenchymal Stem/Stromal Cells as a Delivery Platform in Cell and Gene Therapies. BMC Med. 2015, 13, 186. [Google Scholar] [CrossRef] [PubMed]
- Xu, Y.; Jiang, Y.; Xia, C.; Wang, Y.; Zhao, Z.; Li, T. Stem Cell Therapy for Osteonecrosis of Femoral Head: Opportunities and Challenges. Regen. Ther. 2020, 15, 295–304. [Google Scholar] [CrossRef] [PubMed]
- Mastrolia, I.; Foppiani, E.M.; Murgia, A.; Candini, O.; Samarelli, A.V.; Grisendi, G.; Veronesi, E.; Horwitz, E.M.; Dominici, M. Challenges in Clinical Development of Mesenchymal Stromal/Stem Cells: Concise Review. Stem Cells Transl. Med. 2019, 8, 1135–1148. [Google Scholar] [CrossRef]
- Matsuya, H.; Kushida, T.; Asada, T.; Umeda, M.; Wada, T.; Iida, H. Regenerative Effects of Transplanting Autologous Mesenchymal Stem Cells on Corticosteroid-Induced Osteonecrosis in Rabbits. Mod. Rheumatol. 2008, 18, 132–139. [Google Scholar] [CrossRef]
- Gawlitta, D.; Farrell, E.; Malda, J.; Creemers, L.B.; Alblas, J.; Dhert, W.J.A. Modulating Endochondral Ossification of Multipotent Stromal Cells for Bone Regeneration. Tissue Eng. Part B Rev. 2010, 16, 385–395. [Google Scholar] [CrossRef]
- Chan, C.K.F.; Chen, C.-C.; Luppen, C.A.; Kim, J.-B.; DeBoer, A.T.; Wei, K.; Helms, J.A.; Kuo, C.J.; Kraft, D.L.; Weissman, I.L. Endochondral Ossification Is Required for Haematopoietic Stem-Cell Niche Formation. Nature 2009, 457, 490–494. [Google Scholar] [CrossRef]
- Nowalk, J.R.; Flick, L.M. Visualization of Different Tissues Involved in Endochondral Ossification With Alcian Blue Hematoxylin and Orange G/Eosin Counterstain. J. Histotechnol. 2008, 31, 19–21. [Google Scholar] [CrossRef]
- Yeni, Y.N.; Vashishth, D.; Fyhrie, D.P. Estimation of Bone Matrix Apparent Stiffness Variation Caused by Osteocyte Lacunar Size and Density. J. Biomech. Eng. 2001, 123, 10–17. [Google Scholar] [CrossRef]
- Tan, S.-L.; Ahmad, T.S.; Selvaratnam, L.; Kamarul, T. Isolation, Characterization and the Multi-Lineage Differentiation Potential of Rabbit Bone Marrow-Derived Mesenchymal Stem Cells. J. Anat. 2013, 222, 437–450. [Google Scholar] [CrossRef]
- Kaiser, S.; Hackanson, B.; Follo, M.; Mehlhorn, A.; Geiger, K.; Ihorst, G.; Kapp, U. BM Cells Giving Rise to MSC in Culture Have a Heterogeneous CD34 and CD45 Phenotype. Cytotherapy 2007, 9, 439–450. [Google Scholar] [CrossRef]
- Ruoss, S.; Walker, J.T.; Nasamran, C.A.; Fisch, K.M.; Paez, C.; Parekh, J.N.; Ball, S.T.; Chen, J.L.; Ahmed, S.S.; Ward, S.R. Strategies to Identify Mesenchymal Stromal Cells in Minimally Manipulated Human Bone Marrow Aspirate Concentrate Lack Consensus. Am. J. Sports Med. 2021, 49, 1313–1322. [Google Scholar] [CrossRef] [PubMed]
- Mikami, S.; Nakashima, A.; Nakagawa, K.; Maruhashi, T.; Iwamoto, Y.; Kajikawa, M.; Matsumoto, T.; Kihara, Y.; Chayama, K.; Noma, K.; et al. Autologous Bone-Marrow Mesenchymal Stem Cell Implantation and Endothelial Function in a Rabbit Ischemic Limb Model. PLoS ONE 2013, 8, e67739. [Google Scholar] [CrossRef] [PubMed]
- Lapi, S.; Nocchi, F.; Lamanna, R.; Passeri, S.; Iorio, M.; Paolicchi, A.; Urciuoli, P.; Coli, A.; Abramo, F.; Miragliotta, V.; et al. Different Media and Supplements Modulate the Clonogenic and Expansion Properties of Rabbit Bone Marrow Mesenchymal Stem Cells. BMC Res. Notes 2008, 1, 53. [Google Scholar] [CrossRef]
- Wang, W.; Liu, L.; Dang, X.; Ma, S.; Zhang, M.; Wang, K. The Effect of Core Decompression on Local Expression of BMP-2, PPAR-γ and Bone Regeneration in the Steroid-Induced Femoral Head Osteonecrosis. BMC Musculoskelet. Disord. 2012, 13, 142. [Google Scholar] [CrossRef]
- Asada, T.; Kushida, T.; Umeda, M.; Oe, K.; Matsuya, H.; Wada, T.; Sasai, K.; Ikehara, S.; Iida, H. Prevention of Corticosteroid-Induced Osteonecrosis in Rabbits by Intra-Bone Marrow Injection of Autologous Bone Marrow Cells. Rheumatology 2008, 47, 591–596. [Google Scholar] [CrossRef][Green Version]
- Peng, J.; Wen, C.; Wang, A.; Wang, Y.; Xu, W.; Zhao, B.; Zhang, L.; Lu, S.; Qin, L.; Guo, Q.; et al. Micro-CT-Based Bone Ceramic Scaffolding and Its Performance after Seeding with Mesenchymal Stem Cells for Repair of Load-Bearing Bone Defect in Canine Femoral Head. J. Biomed. Mater. Res. B Appl. Biomater. 2011, 96, 316–325. [Google Scholar] [CrossRef]
- Ding, H.; Gao, Y.-S.; Hu, C.; Wang, Y.; Wang, C.-G.; Yin, J.-M.; Sun, Y.; Zhang, C.-Q. HIF-1α Transgenic Bone Marrow Cells Can Promote Tissue Repair in Cases of Corticosteroid-Induced Osteonecrosis of the Femoral Head in Rabbits. PLoS ONE 2013, 8, e63628. [Google Scholar] [CrossRef]
- Zhou, M.; Xi, J.; Cheng, Y.; Sun, D.; Shu, P.; Chi, S.; Tian, S.; Ye, S. Reprogrammed Mesenchymal Stem Cells Derived from IPSCs Promote Bone Repair in Steroid-Associated Osteonecrosis of the Femoral Head. Stem Cell Res. Ther. 2021, 12, 175. [Google Scholar] [CrossRef]
- Goodman, S.B.; Maruyama, M. Inflammation, Bone Healing and Osteonecrosis: From Bedside to Bench. J. Inflamm. Res. 2020, 13, 913–923. [Google Scholar] [CrossRef]





Publisher’s Note: MDPI stays neutral with regard to jurisdictional claims in published maps and institutional affiliations. |
© 2022 by the authors. Licensee MDPI, Basel, Switzerland. This article is an open access article distributed under the terms and conditions of the Creative Commons Attribution (CC BY) license (https://creativecommons.org/licenses/by/4.0/).
Share and Cite
Mastrolia, I.; Giorgini, A.; Murgia, A.; Loschi, P.; Petrachi, T.; Rasini, V.; Pinelli, M.; Pinto, V.; Lolli, F.; Chiavelli, C.; et al. Autologous Marrow Mesenchymal Stem Cell Driving Bone Regeneration in a Rabbit Model of Femoral Head Osteonecrosis. Pharmaceutics 2022, 14, 2127. https://doi.org/10.3390/pharmaceutics14102127
Mastrolia I, Giorgini A, Murgia A, Loschi P, Petrachi T, Rasini V, Pinelli M, Pinto V, Lolli F, Chiavelli C, et al. Autologous Marrow Mesenchymal Stem Cell Driving Bone Regeneration in a Rabbit Model of Femoral Head Osteonecrosis. Pharmaceutics. 2022; 14(10):2127. https://doi.org/10.3390/pharmaceutics14102127
Chicago/Turabian StyleMastrolia, Ilenia, Andrea Giorgini, Alba Murgia, Pietro Loschi, Tiziana Petrachi, Valeria Rasini, Massimo Pinelli, Valentina Pinto, Francesca Lolli, Chiara Chiavelli, and et al. 2022. "Autologous Marrow Mesenchymal Stem Cell Driving Bone Regeneration in a Rabbit Model of Femoral Head Osteonecrosis" Pharmaceutics 14, no. 10: 2127. https://doi.org/10.3390/pharmaceutics14102127
APA StyleMastrolia, I., Giorgini, A., Murgia, A., Loschi, P., Petrachi, T., Rasini, V., Pinelli, M., Pinto, V., Lolli, F., Chiavelli, C., Grisendi, G., Baschieri, M. C., Santis, G. D., Catani, F., Dominici, M., & Veronesi, E. (2022). Autologous Marrow Mesenchymal Stem Cell Driving Bone Regeneration in a Rabbit Model of Femoral Head Osteonecrosis. Pharmaceutics, 14(10), 2127. https://doi.org/10.3390/pharmaceutics14102127

