Method for Pulmonary Administration Using Negative Pressure Generated by Inspiration in Mice
Abstract
1. Introduction
2. Materials and Methods
2.1. Animals and Materials
2.2. Methods of Pulmonary Administration
2.3. Effect of Pulmonary Administration on Lung Damage and Drug Distribution
2.4. Mouse Model of Elastase-Induced COPD
2.5. Administration of ATRA Using the Negative Pressure Method
2.6. Computed Tomography
2.7. Pulmonary Histology
2.8. Statistical Analysis
3. Results
3.1. Comparison of the Negative and Positive Pressure Administration Methods
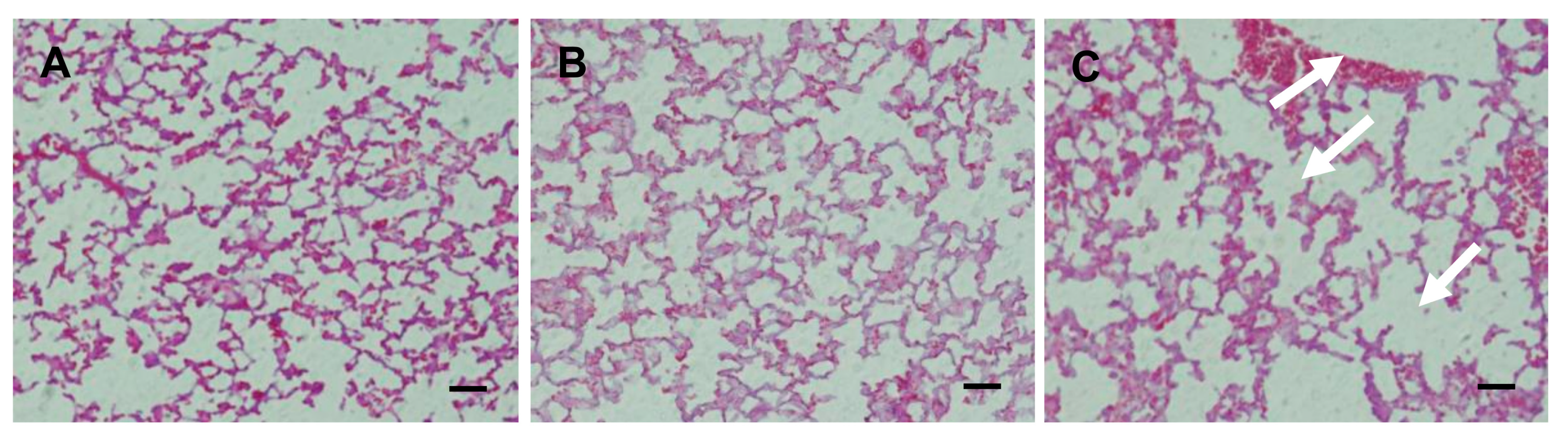
3.2. Usefulness of the Method with Negative Pressure in Inducing Emphysema in a Mouse Lung
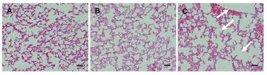
3.3. Effect of Administration of ATRA Using the Negative Pressure Method on Pulmonary Physiology and Histology
4. Discussion
5. Conclusions
Supplementary Materials
Author Contributions
Funding
Conflicts of Interest
References
- Pires, N.; Pinto, P.; Marcal, N.; Ferreira, A.J.; Rodrigues, C.; Barbara, C. Pharmacological treatment of COPD—New evidence. Pulmonology 2019, 25, 90–96. [Google Scholar] [CrossRef] [PubMed]
- Tashkin, D.P. A review of nebulized drug delivery in COPD. Int. J. Chron. Obstruct. Pulmon. Dis. 2016, 11, 2585–2596. [Google Scholar] [CrossRef]
- Dhand, R. Inhaled Drug Therapy 2016: The Year in Review. Respir. Care 2017, 62, 978–996. [Google Scholar] [CrossRef] [PubMed]
- Enna, S.J.; Schanker, L.S. Absorption of saccharides and urea from the rat lung. Am. J. Physiol. 1972, 222, 409–414. [Google Scholar] [CrossRef]
- Okamoto, H.; Aoki, M.; Danjo, K. A novel apparatus for rat in vivo evaluation of dry powder formulations for pulmonary administration. J. Pharm. Sci. 2000, 89, 1028–1035. [Google Scholar]
- Brain, J.D.; Knudson, D.E.; Sorokin, S.P.; Davis, M.A. Pulmonary distribution of particles given by intratracheal instillation or by aerosol inhalation. Environ. Res. 1976, 11, 13–33. [Google Scholar]
- Bivas-Benita, M.; Zwier, R.; Junginger, H.E.; Borchard, G. Non-invasive pulmonary aerosol delivery in mice by the endotracheal route. Eur. J. Pharm. Biopharm. 2005, 61, 214–218. [Google Scholar] [CrossRef]
- Yamada, K.; Odomi, M.; Okada, N.; Fujita, T.; Yamamoto, A. Chitosan oligomers as potential and safe absorption enhancers for improving the pulmonary absorption of interferon-alpha in rats. J. Pharm. Sci. 2005, 94, 2432–2440. [Google Scholar] [CrossRef]
- Leong, B.K.; Coombs, J.K.; Sabaitis, C.P.; Rop, D.A.; Aaron, C.S. Quantitative morphometric analysis of pulmonary deposition of aerosol particles inhaled via intratracheal nebulization, intratracheal instillation or nose-only inhalation in rats. J. Appl. Toxicol. 1998, 18, 149–160. [Google Scholar]
- Massaro, G.D.; Massaro, D. Retinoic acid treatment abrogates elastase-induced pulmonary emphysema in rats. Nat. Med. 1997, 3, 675–677. [Google Scholar]
- Yoshimatsu, A.; Nan-ya, K.; Miki, I. Effect of nartograstim, a recombinant human granulocyte colony-stimulating factor on elastase-induced emphysema in rats. Arzneimittelforschung 2009, 59, 248–253. [Google Scholar] [CrossRef] [PubMed]
- Takeda, K.; Ning, F.; Domenico, J.; Okamoto, M.; Ashino, S.; Kim, S.H.; Jeong, Y.Y.; Shiraishi, Y.; Terada, N.; Sutherland, E.R.; et al. Activation of p70S6 Kinase-1 in Mesenchymal Stem Cells Is Essential to Lung Tissue Repair. Stem. Cells Transl. Med. 2018, 7, 551–558. [Google Scholar] [CrossRef] [PubMed]
- Kobayashi, S.; Fujinawa, R.; Ota, F.; Kobayashi, S.; Angata, T.; Ueno, M.; Maeno, T.; Kitazume, S.; Yoshida, K.; Ishii, T.; et al. A single dose of lipopolysaccharide into mice with emphysema mimics human chronic obstructive pulmonary disease exacerbation as assessed by micro-computed tomography. Am. J. Respir. Cell Mol. Biol. 2013, 49, 971–977. [Google Scholar] [CrossRef] [PubMed]
- Kuraki, T.; Ishibashi, M.; Takayama, M.; Shiraishi, M.; Yoshida, M. A novel oral neutrophil elastase inhibitor (ONO-6818) inhibits human neutrophil elastase-induced emphysema in rats. Am. J. Respir. Crit. Care Med. 2002, 166, 496–500. [Google Scholar] [CrossRef] [PubMed]
- Zhang, G.; Shinohara, N.; Oshima, Y.; Kobayashi, T.; Imatanaka, N.; Kawaguchi, K.; Gamo, M. Comparison of the local pulmonary distribution of nanoparticles administered intratracheally to rats via gavage needle or microsprayer delivery devices. J. Appl. Toxicol. 2017, 37, 502–507. [Google Scholar] [CrossRef] [PubMed]
- Kunda, N.K.; Price, D.N.; Muttil, P. Respiratory Tract Deposition and Distribution Pattern of Microparticles in Mice Using Different Pulmonary Delivery Techniques. Vaccines (Basel) 2018, 6, 41. [Google Scholar] [CrossRef]
- Kawakami, M.; Paul, J.L.; Thurlbeck, W.M. The effect of age on lung structure in male BALB/cNNia inbred mice. Am. J. Anat. 1984, 170, 1–21. [Google Scholar] [CrossRef]
- Hasegawa-Baba, Y.; Kubota, H.; Takata, A.; Miyagawa, M. Intratracheal instillation methods and the distribution of administered material in the lung of the rat. J. Toxicol. Pathol. 2014, 27, 197–204. [Google Scholar] [CrossRef]
- Cai, Y.; Kimura, S. Noninvasive intratracheal intubation to study the pathology and physiology of mouse lung. J. Vis. Exp. 2013, e50601. [Google Scholar] [CrossRef]
- Lawrenz, M.B.; Fodah, R.A.; Gutierrez, M.G.; Warawa, J. Intubation-mediated intratracheal (IMIT) instillation: A noninvasive, lung-specific delivery system. J. Vis. Exp. 2014, e52261. [Google Scholar] [CrossRef]
- Vandivort, T.C.; An, D.; Parks, W.C. An Improved Method for Rapid Intubation of the Trachea in Mice. J. Vis. Exp. 2016. [Google Scholar] [CrossRef]





© 2020 by the authors. Licensee MDPI, Basel, Switzerland. This article is an open access article distributed under the terms and conditions of the Creative Commons Attribution (CC BY) license (http://creativecommons.org/licenses/by/4.0/).
Share and Cite
Oiso, Y.; Akita, T.; Kato, D.; Yamashita, C. Method for Pulmonary Administration Using Negative Pressure Generated by Inspiration in Mice. Pharmaceutics 2020, 12, 200. https://doi.org/10.3390/pharmaceutics12030200
Oiso Y, Akita T, Kato D, Yamashita C. Method for Pulmonary Administration Using Negative Pressure Generated by Inspiration in Mice. Pharmaceutics. 2020; 12(3):200. https://doi.org/10.3390/pharmaceutics12030200
Chicago/Turabian StyleOiso, Yuki, Tomomi Akita, Daiki Kato, and Chikamasa Yamashita. 2020. "Method for Pulmonary Administration Using Negative Pressure Generated by Inspiration in Mice" Pharmaceutics 12, no. 3: 200. https://doi.org/10.3390/pharmaceutics12030200
APA StyleOiso, Y., Akita, T., Kato, D., & Yamashita, C. (2020). Method for Pulmonary Administration Using Negative Pressure Generated by Inspiration in Mice. Pharmaceutics, 12(3), 200. https://doi.org/10.3390/pharmaceutics12030200
