SOX2 as a New Regulator of HPV16 Transcription
Abstract
1. Introduction
2. Materials and Methods
2.1. Cell Culture
2.3. Infection with Recombinant Lentiviruses
2.4. Transfection Assays and Transcriptional Activity
2.5. In Silico Analysis
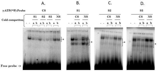
2.6. Electrophoretic Mobility Shift Assay
2.7. Chromatin Immunoprecipitation Assay
2.8. Multi-Site-Directed Mutagenesis Assays
2.9. Western Blots
2.10. RNA Isolation and cDNA Synthesis
2.11. Quantitative PCR
2.12. Statistical Analysis
3. Results
3.1. The LCR of HPV16 Contains Putative Binding Sites for SOX2
3.2. HPV16- and HPV18-LCRs Show Different Transcriptional Activities in Squamous Carcinoma and Adenocarcinoma Cell Lines
3.3. SOX2 Binds to the HPV16-LCR
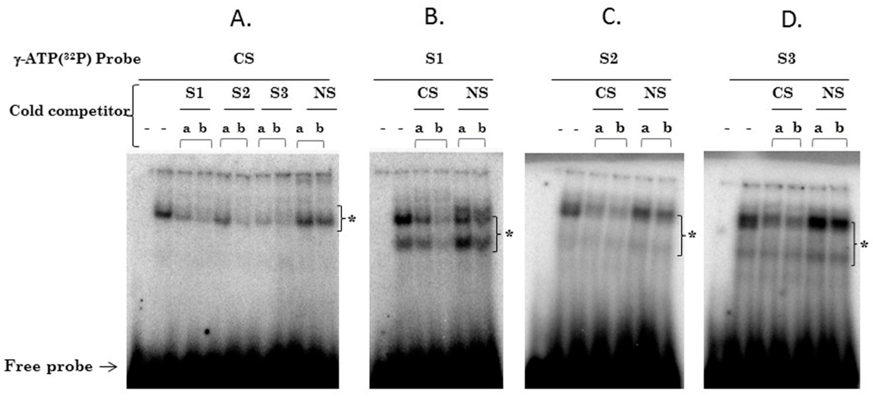
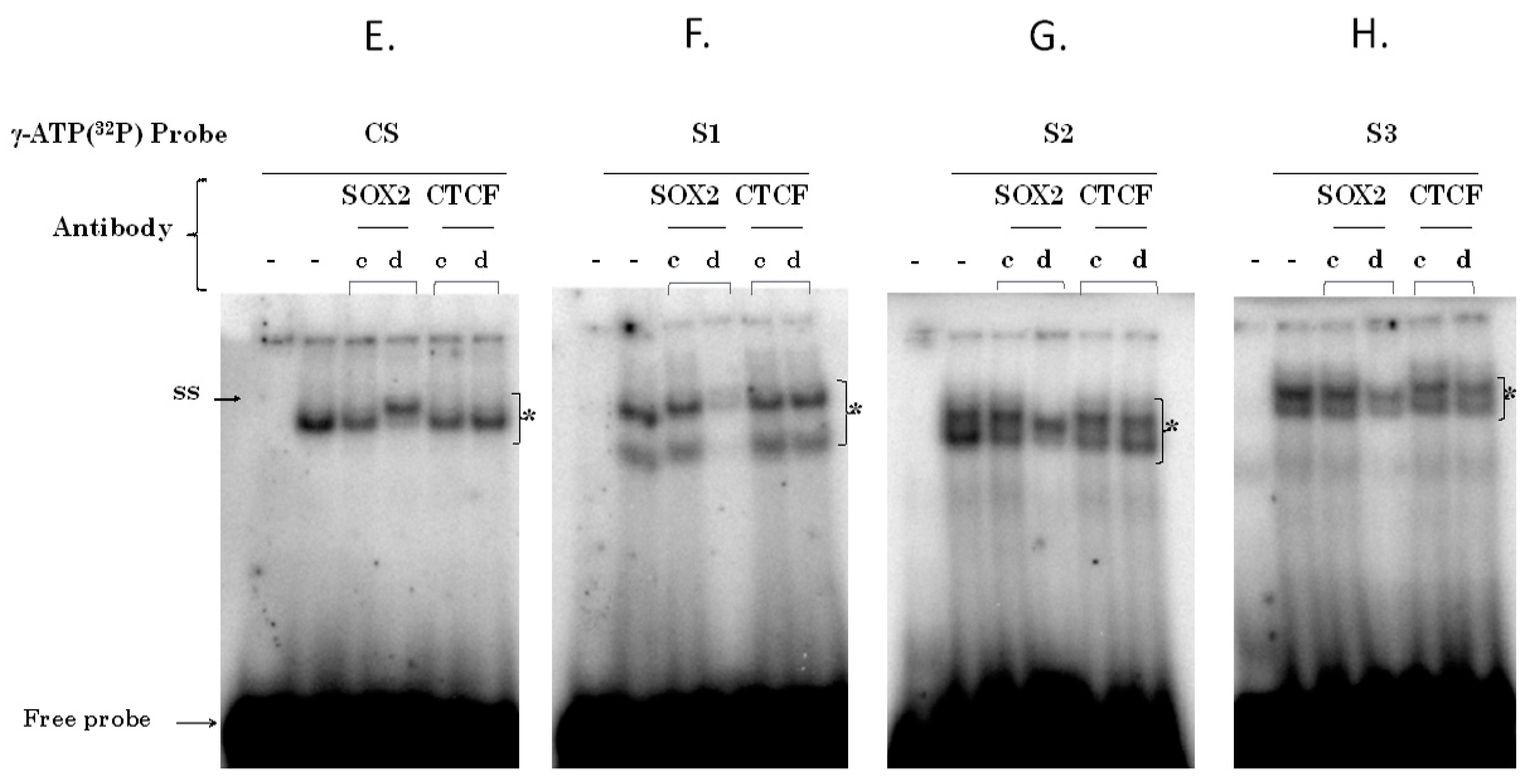
3.3.1. SOX2 Binds to Its Putative Binding Sites in LCR16 In Vitro
3.3.2. SOX2 Binds to the HPV16-LCR In Vivo
3.4. SOX2 Represses HPV16-LCR Transcriptional Activity
3.5. HPV16-LCR Sites S1, S2 and S3 Are Required for SOX2 Mediated Repression
3.6. E6 and E7 Endogenous Expression Is Down Regulated by SOX2
4. Discussion
Supplementary Materials
Acknowledgments
Author Contributions
Conflicts of Interest
References
- GLOBOCAN 2012: Estimated Cancer Incidence, Mortality and Prevalence Worldwide in 2012. Available online: http://globocan.iarc.fr/Default.aspx (accessed on 4 October 2016).
- Green, J.; de Gonzalez, A.B.; Sweetland, S.; Beral, V.; Chilvers, C.; Crossley, B.; Deacon, J.; Hermon, C.; Jha, P.; Mant, D.; et al. Risk factors for adenocarcinoma and squamous cell carcinoma of the cervix in women aged 20–44 years: The UK National Case-Control Study of Cervical Cancer. Br. J. Cancer 2003, 89, 2078–2086. [Google Scholar] [CrossRef] [PubMed]
- Schlecht, N.F.; Kulaga, S.; Robitaille, J.; Ferreira, S.; Santos, M.; Miyamura, R.A.; Duarte-Franco, E.; Rohan, T.E.; Ferenczy, A.; Villa, L.L.; et al. Persistent human papillomavirus infection as a predictor of cervical intraepithelial neoplasia. JAMA 2001, 286, 3106–3114. [Google Scholar] [CrossRef] [PubMed]
- Munoz, N.; Bosch, F.X.; de Sanjose, S.; Herrero, R.; Castellsague, X.; Shah, K.V.; Snijders, P.J.; Meijer, C.J.; International Agency for Research on Cancer Multicenter Cervical Cancer Study Group. Epidemiologic classification of human papillomavirus types associated with cervical cancer. N. Engl. J. Med. 2003, 348, 518–527. [Google Scholar] [CrossRef] [PubMed]
- Benevolo, M.; Dona, M.G.; Ravenda, P.S.; Chiocca, S. Anal human papillomavirus infection: Prevalence, diagnosis and treatment of related lesions. Expert Rev. Anti-Infect. Ther. 2016, 14, 465–477. [Google Scholar] [CrossRef] [PubMed]
- Lee, L.J.; Howitt, B.; Catalano, P.; Tanaka, C.; Murphy, R.; Cimbak, N.; DeMaria, R.; Bu, P.; Crum, C.; Horowitz, N.; et al. Prognostic importance of human papillomavirus (HPV) and p16 positivity in squamous cell carcinoma of the vulva treated with radiotherapy. Gynecol. Oncol. 2016, 142, 293–298. [Google Scholar] [CrossRef] [PubMed]
- Fakhry, C.; Gillison, M.L. Clinical implications of human papillomavirus in head and neck cancers. J. Clin. Oncol. 2006, 24, 2606–2611. [Google Scholar] [CrossRef] [PubMed]
- Chaturvedi, A.K.; Engels, E.A.; Pfeiffer, R.M.; Hernandez, B.Y.; Xiao, W.; Kim, E.; Jiang, B.; Goodman, M.T.; Sibug-Saber, M.; Cozen, W.; et al. Human papillomavirus and rising oropharyngeal cancer incidence in the United States. J. Clin. Oncol. 2011, 29, 4294–4301. [Google Scholar] [CrossRef] [PubMed]
- De Villiers, E.M. Cross-roads in the classification of papillomaviruses. Virology 2013, 445, 2–10. [Google Scholar] [CrossRef] [PubMed]
- Smith, J.S.; Lindsay, L.; Hoots, B.; Keys, J.; Franceschi, S.; Winer, R.; Clifford, G.M. Human papillomavirus type distribution in invasive cervical cancer and high-grade cervical lesions: A meta-analysis update. Int. J. Cancer 2007, 121, 621–632. [Google Scholar] [CrossRef] [PubMed]
- Lacey, C.J.; Lowndes, C.M.; Shah, K.V. Chapter 4: Burden and management of non-cancerous HPV-related conditions: HPV-6/11 disease. Vaccine 2006, 24 (Suppl. 3), S35–S41. [Google Scholar] [CrossRef] [PubMed]
- Li, N.; Franceschi, S.; Howell-Jones, R.; Snijders, P.J.; Clifford, G.M. Human papillomavirus type distribution in 30,848 invasive cervical cancers worldwide: Variation by geographical region, histological type and year of publication. Int. J. Cancer 2011, 128, 927–935. [Google Scholar] [CrossRef] [PubMed]
- Guan, P.; Clifford, G.M.; Franceschi, S. Human papillomavirus types in glandular lesions of the cervix: A meta-analysis of published studies. Int. J. Cancer 2013, 132, 248–250. [Google Scholar] [CrossRef] [PubMed]
- Tenti, P.; Romagnoli, S.; Silini, E.; Zappatore, R.; Spinillo, A.; Giunta, P.; Cappellini, A.; Vesentini, N.; Zara, C.; Carnevali, L. Human papillomavirus types 16 and 18 infection in infiltrating adenocarcinoma of the cervix: PCR analysis of 138 cases and correlation with histologic type and grade. Am. J. Clin. Pathol. 1996, 106, 52–56. [Google Scholar] [CrossRef] [PubMed]
- Siriaunkgul, S.; Utaipat, U.; Suthipintawong, C.; Tungsinmunkong, K.; Triratanachat, S.; Khunamornpong, S. HPV genotyping in adenocarcinoma of the uterine cervix in Thailand. Int. J. Gynaecol. Obstet. 2013, 123, 226–230. [Google Scholar] [CrossRef] [PubMed]
- Bouallaga, I.; Massicard, S.; Yaniv, M.; Thierry, F. An enhanceosome containing the Jun B/Fra-2 heterodimer and the HMG-I(Y) architectural protein controls HPV 18 transcription. EMBO Rep. 2000, 1, 422–427. [Google Scholar] [CrossRef] [PubMed]
- Apt, D.; Watts, R.M.; Suske, G.; Bernard, H.U. High Sp1/Sp3 ratios in epithelial cells during epithelial differentiation and cellular transformation correlate with the activation of the HPV-16 promoter. Virology 1996, 224, 281–291. [Google Scholar] [CrossRef] [PubMed]
- Chan, W.K.; Chong, T.; Bernard, H.U.; Klock, G. Transcription of the transforming genes of the oncogenic human papillomavirus-16 is stimulated by tumor promotors through AP1 binding sites. Nucleic Acids Res. 1990, 18, 763–769. [Google Scholar] [CrossRef] [PubMed]
- Chong, T.; Apt, D.; Gloss, B.; Isa, M.; Bernard, H.U. The enhancer of human papillomavirus type 16: Binding sites for the ubiquitous transcription factors oct-1, NFA, TEF-2, NF1, and AP-1 participate in epithelial cell-specific transcription. J. Virol. 1991, 65, 5933–5943. [Google Scholar] [PubMed]
- Thierry, F.; Heard, J.M.; Dartmann, K.; Yaniv, M. Characterization of a transcriptional promoter of human papillomavirus 18 and modulation of its expression by simian virus 40 and adenovirus early antigens. J. Virol. 1987, 61, 134–142. [Google Scholar] [PubMed]
- DiMaio, D.; Petti, L.M. The E5 proteins. Virology 2013, 445, 99–114. [Google Scholar] [CrossRef] [PubMed]
- Doorbar, J.; Quint, W.; Banks, L.; Bravo, I.G.; Stoler, M.; Broker, T.R.; Stanley, M.A. The biology and life-cycle of human papillomaviruses. Vaccine 2012, 30 (Suppl. 5), F55–F70. [Google Scholar] [CrossRef] [PubMed]
- Wallace, N.A.; Galloway, D.A. Novel functions of the human papillomavirus E6 oncoproteins. Ann. Rev. Virol. 2015, 2, 403–423. [Google Scholar] [CrossRef] [PubMed]
- Swift, F.V.; Bhat, K.; Younghusband, H.B.; Hamada, H. Characterization of a cell type-specific enhancer found in the human papilloma virus type 18 genome. EMBO J. 1987, 6, 1339–1344. [Google Scholar] [PubMed]
- Carson, A.; Khan, S.A. Characterization of transcription factor binding to human papillomavirus type 16 DNA during cellular differentiation. J. Virol. 2006, 80, 4356–4362. [Google Scholar] [CrossRef] [PubMed]
- Kajitani, N.; Satsuka, A.; Kawate, A.; Sakai, H. Productive lifecycle of human papillomaviruses that depends upon squamous epithelial differentiation. Front. Microbiol. 2012, 3, 152. [Google Scholar] [CrossRef] [PubMed]
- Garcia-Vallve, S.; Iglesias-Rozas, J.R.; Alonso, A.; Bravo, I.G. Different papillomaviruses have different repertoires of transcription factor binding sites: Convergence and divergence in the upstream regulatory region. BMC Evol. Biol. 2006, 6, 20. [Google Scholar] [CrossRef] [PubMed]
- Sichero, L.; Sobrinho, J.S.; Villa, L.L. Identification of novel cellular transcription factors that regulate early promoters of human papillomavirus types 18 and 16. J. Infect. Dis. 2012, 206, 867–874. [Google Scholar] [CrossRef] [PubMed]
- Lopez-Saavedra, A.; Gonzalez-Maya, L.; Ponce-de-Leon, S.; Garcia-Carranca, A.; Mohar, A.; Lizano, M. Functional implication of sequence variation in the long control region and E2 gene among human papillomavirus type 18 variants. Arch. Virol. 2009, 154, 747–754. [Google Scholar] [CrossRef] [PubMed]
- The JASPAR Database. Available online: http://jaspar2014.genereg.net/ (accessed on 13 February 2015).
- Fontaine, V.; van der Meijden, E.; de Graaf, J.; ter Schegget, J.; Struyk, L. A functional NF-κB binding site in the human papillomavirus type 16 long control region. Virology 2000, 272, 40–49. [Google Scholar] [CrossRef] [PubMed]
- Paris, C.; Pentland, I.; Groves, I.; Roberts, D.C.; Powis, S.J.; Coleman, N.; Roberts, S.; Parish, J.L. CCCTC-binding factor recruitment to the early region of the human papillomavirus 18 genome regulates viral oncogene expression. J. Virol. 2015, 89, 4770–4785. [Google Scholar] [CrossRef] [PubMed]
- Chew, J.L.; Loh, Y.H.; Zhang, W.; Chen, X.; Tam, W.L.; Yeap, L.S.; Li, P.; Ang, Y.S.; Lim, B.; Robson, P.; et al. Reciprocal transcriptional regulation of Pou5f1 and Sox2 via the Oct4/Sox2 complex in embryonic stem cells. Mol. Cell. Biol. 2005, 25, 6031–6046. [Google Scholar] [CrossRef] [PubMed]
- Bass, A.J.; Watanabe, H.; Mermel, C.H.; Yu, S.; Perner, S.; Verhaak, R.G.; Kim, S.Y.; Wardwell, L.; Tamayo, P.; Gat-Viks, I.; et al. SOX2 is an amplified lineage-survival oncogene in lung and esophageal squamous cell carcinomas. Nat. Genet. 2009, 41, 1238–1242. [Google Scholar] [CrossRef] [PubMed]
- Yang, Z.; Pan, X.; Gao, A.; Zhu, W. Expression of Sox2 in cervical squamous cell carcinoma. J. BUON 2014, 19, 203–206. [Google Scholar] [PubMed]
- Ji, J.; Zheng, P.S. Expression of Sox2 in human cervical carcinogenesis. Hum. Pathol. 2010, 41, 1438–1447. [Google Scholar] [CrossRef] [PubMed]
- Rodda, D.J.; Chew, J.L.; Lim, L.H.; Loh, Y.H.; Wang, B.; Ng, H.H.; Robson, P. Transcriptional regulation of nanog by OCT4 and SOX2. J. Biol. Chem. 2005, 280, 24731–24737. [Google Scholar] [CrossRef] [PubMed]
- Yong, W.; Peng, D.; Wang, L.; Dong, Z.; He, B. Screening of HaCaT clones for CCL20 gene knockout and preliminary exploration of gene-targeting vector transfection approaches in this cell line. Med. Sci. Monit. Basic Res. 2015, 21, 21–28. [Google Scholar] [PubMed]
- Liu, K.; Lin, B.; Zhao, M.; Yang, X.; Chen, M.; Gao, A.; Liu, F.; Que, J.; Lan, X. The multiple roles for Sox2 in stem cell maintenance and tumorigenesis. Cell. Signal. 2013, 25, 1264–1271. [Google Scholar] [CrossRef] [PubMed]
- Sarkar, A.; Hochedlinger, K. The Sox family of transcription factors: Versatile regulators of stem and progenitor cell fate. Cell Stem Cell 2013, 12, 15–30. [Google Scholar] [CrossRef] [PubMed]
- Liu, Y.R.; Laghari, Z.A.; Novoa, C.A.; Hughes, J.; Webster, J.R.; Goodwin, P.E.; Wheatley, S.P.; Scotting, P.J. Sox2 acts as a transcriptional repressor in neural stem cells. BMC Neurosci. 2014, 15, 95. [Google Scholar] [CrossRef] [PubMed]
- Zhou, C.; Yang, X.; Sun, Y.; Yu, H.; Zhang, Y.; Jin, Y. Comprehensive profiling reveals mechanisms of SOX2-mediated cell fate specification in human ESCs and NPCs. Cell Res. 2016, 26, 171–189. [Google Scholar] [CrossRef] [PubMed]
- Stolzenburg, S.; Rots, M.G.; Beltran, A.S.; Rivenbark, A.G.; Yuan, X.; Qian, H.; Strahl, B.D.; Blancafort, P. Targeted silencing of the oncogenic transcription factor SOX2 in breast cancer. Nucleic Acids Res. 2012, 40, 6725–6740. [Google Scholar] [CrossRef] [PubMed]
- Herreros-Villanueva, M.; Zhang, J.S.; Koenig, A.; Abel, E.V.; Smyrk, T.C.; Bamlet, W.R.; de Narvajas, A.A.; Gomez, T.S.; Simeone, D.M.; Bujanda, L.; et al. SOX2 promotes dedifferentiation and imparts stem cell-like features to pancreatic cancer cells. Oncogenesis 2013, 2, e61. [Google Scholar] [CrossRef] [PubMed]
- Jia, X.; Li, X.; Xu, Y.; Zhang, S.; Mou, W.; Liu, Y.; Liu, Y.; Lv, D.; Liu, C.H.; Tan, X.; et al. SOX2 promotes tumorigenesis and increases the anti-apoptotic property of human prostate cancer cell. J. Mol. Cell Biol. 2011, 3, 230–238. [Google Scholar] [CrossRef] [PubMed]
- Weina, K.; Utikal, J. SOX2 and cancer: Current research and its implications in the clinic. Clin. Transl. Med. 2014, 3, 19. [Google Scholar] [CrossRef] [PubMed]
- Hutz, K.; Mejias-Luque, R.; Farsakova, K.; Ogris, M.; Krebs, S.; Anton, M.; Vieth, M.; Schuller, U.; Schneider, M.R.; Blum, H.; et al. The stem cell factor SOX2 regulates the tumorigenic potential in human gastric cancer cells. Carcinogenesis 2014, 35, 942–950. [Google Scholar] [CrossRef] [PubMed]
- Chen, S.; Li, X.; Lu, D.; Xu, Y.; Mou, W.; Wang, L.; Chen, Y.; Liu, Y.; Li, X.; Li, L.Y.; et al. SOX2 regulates apoptosis through MAP4K4-survivin signaling pathway in human lung cancer cells. Carcinogenesis 2014, 35, 613–623. [Google Scholar] [CrossRef] [PubMed]
- Kim, B.W.; Cho, H.; Choi, C.H.; Ylaya, K.; Chung, J.Y.; Kim, J.H.; Hewitt, S.M. Clinical significance of OCT4 and SOX2 protein expression in cervical cancer. BMC Cancer 2015, 15, 1015. [Google Scholar] [CrossRef] [PubMed]
- Ortiz-Sanchez, E.; Santiago-Lopez, L.; Cruz-Dominguez, V.B.; Toledo-Guzman, M.E.; Hernandez-Cueto, D.; Muniz-Hernandez, S.; Garrido, E.; Cantu-De Leon, D.; Garcia-Carranca, A. Characterization of cervical cancer stem cell-like cells: Phenotyping, stemness, and Human Papilloma Virus co-receptor expression. Oncotarget 2016, 7, 31943–31954. [Google Scholar] [CrossRef] [PubMed]
- Lopez, J.; Ruiz, G.; Organista-Nava, J.; Gariglio, P.; Garcia-Carranca, A. Human papillomavirus infections and cancer stem cells of tumors from the uterine cervix. Open Virol. J. 2012, 6, 232–240. [Google Scholar] [CrossRef] [PubMed]
- Boumahdi, S.; Driessens, G.; Lapouge, G.; Rorive, S.; Nassar, D.; Le Mercier, M.; Delatte, B.; Caauwe, A.; Lenglez, S.; Nkusi, E.; et al. SOX2 controls tumour initiation and cancer stem-cell functions in squamous-cell carcinoma. Nature 2014, 511, 246–250. [Google Scholar] [CrossRef] [PubMed]
- Feng, D.; Peng, C.; Li, C.; Zhou, Y.; Li, M.; Ling, B.; Wei, H.; Tian, Z. Identification and characterization of cancer stem-like cells from primary carcinoma of the cervix uteri. Oncol. Rep. 2009, 22, 1129–1134. [Google Scholar] [PubMed]
- De Boer, M.A.; Jordanova, E.S.; Kenter, G.G.; Peters, A.A.; Corver, W.E.; Trimbos, J.B.; Fleuren, G.J. High human papillomavirus oncogene mRNA expression and not viral DNA load is associated with poor prognosis in cervical cancer patients. Clin. Cancer Res. 2007, 13, 132–138. [Google Scholar] [CrossRef] [PubMed]
- Cox, J.L.; Mallanna, S.K.; Luo, X.; Rizzino, A. Sox2 uses multiple domains to associate with proteins present in Sox2-protein complexes. PLoS ONE 2010, 5, e15486. [Google Scholar] [CrossRef] [PubMed]








| LCR-HPV16 | LCR-HPV18 | ||||
|---|---|---|---|---|---|
| Arnt | TGTTGTTTGTTG | (nt 7180) | Ddit3::Cebpa | TGATTG | (nt 7205) |
| TGTTGTTTGTT | (nt 7180) | Gata1 | GTACTGTA | (nt 7504) | |
| Foxa2 | CACGTG | (nt 7268) | MZF1-1-4 | CAATTGCT | (nt 7639) |
| CGTGTGTA | (nt 7270) | NFE2L2 | ATAGTTA | (nt 7651) | |
| GTGTATGTGTTT | (nt 7273) | NKX3-2 | TAATTGCA | (nt 7720) | |
| FoxD1 | TGACACAAT | (nt 7303) | AATTA | (nt 7720) | |
| TGACACA | (nt 7305) | TAL1::TCF3 | AGTATATA | (nt 22) | |
| FoxF2 | ATAAGTT | (nt 7325) | |||
| HNF1B | TTTCCT | (nt 7569) | |||
| TCAGGAA | (nt 7570) | ||||
| MAFb | TTCCATTGTT | (nt 7597) | |||
| MAX | TCCATTGTT | (nt 7598) | |||
| Mycn | GTAAAAAA | (nt 7605) | |||
| SOX2 | CATTGTT | (nt 7600) | |||
| CATTGTT | (nt 7822) | ||||
| CACATGG | (nt 7843) |
© 2017 by the authors. Licensee MDPI, Basel, Switzerland. This article is an open access article distributed under the terms and conditions of the Creative Commons Attribution (CC BY) license (http://creativecommons.org/licenses/by/4.0/).
Share and Cite
Martínez-Ramírez, I.; Del-Castillo-Falconi, V.; Mitre-Aguilar, I.B.; Amador-Molina, A.; Carrillo-García, A.; Langley, E.; Zentella-Dehesa, A.; Soto-Reyes, E.; García-Carrancá, A.; Herrera, L.A.; et al. SOX2 as a New Regulator of HPV16 Transcription. Viruses 2017, 9, 175. https://doi.org/10.3390/v9070175
Martínez-Ramírez I, Del-Castillo-Falconi V, Mitre-Aguilar IB, Amador-Molina A, Carrillo-García A, Langley E, Zentella-Dehesa A, Soto-Reyes E, García-Carrancá A, Herrera LA, et al. SOX2 as a New Regulator of HPV16 Transcription. Viruses. 2017; 9(7):175. https://doi.org/10.3390/v9070175
Chicago/Turabian StyleMartínez-Ramírez, Imelda, Víctor Del-Castillo-Falconi, Irma B. Mitre-Aguilar, Alfredo Amador-Molina, Adela Carrillo-García, Elizabeth Langley, Alejandro Zentella-Dehesa, Ernesto Soto-Reyes, Alejandro García-Carrancá, Luis A. Herrera, and et al. 2017. "SOX2 as a New Regulator of HPV16 Transcription" Viruses 9, no. 7: 175. https://doi.org/10.3390/v9070175
APA StyleMartínez-Ramírez, I., Del-Castillo-Falconi, V., Mitre-Aguilar, I. B., Amador-Molina, A., Carrillo-García, A., Langley, E., Zentella-Dehesa, A., Soto-Reyes, E., García-Carrancá, A., Herrera, L. A., & Lizano, M. (2017). SOX2 as a New Regulator of HPV16 Transcription. Viruses, 9(7), 175. https://doi.org/10.3390/v9070175

