Current Situation of Goose Astrovirus in China: A Review
Abstract
1. Introduction
2. Genome Organization and Genomic Diversity of GAstV
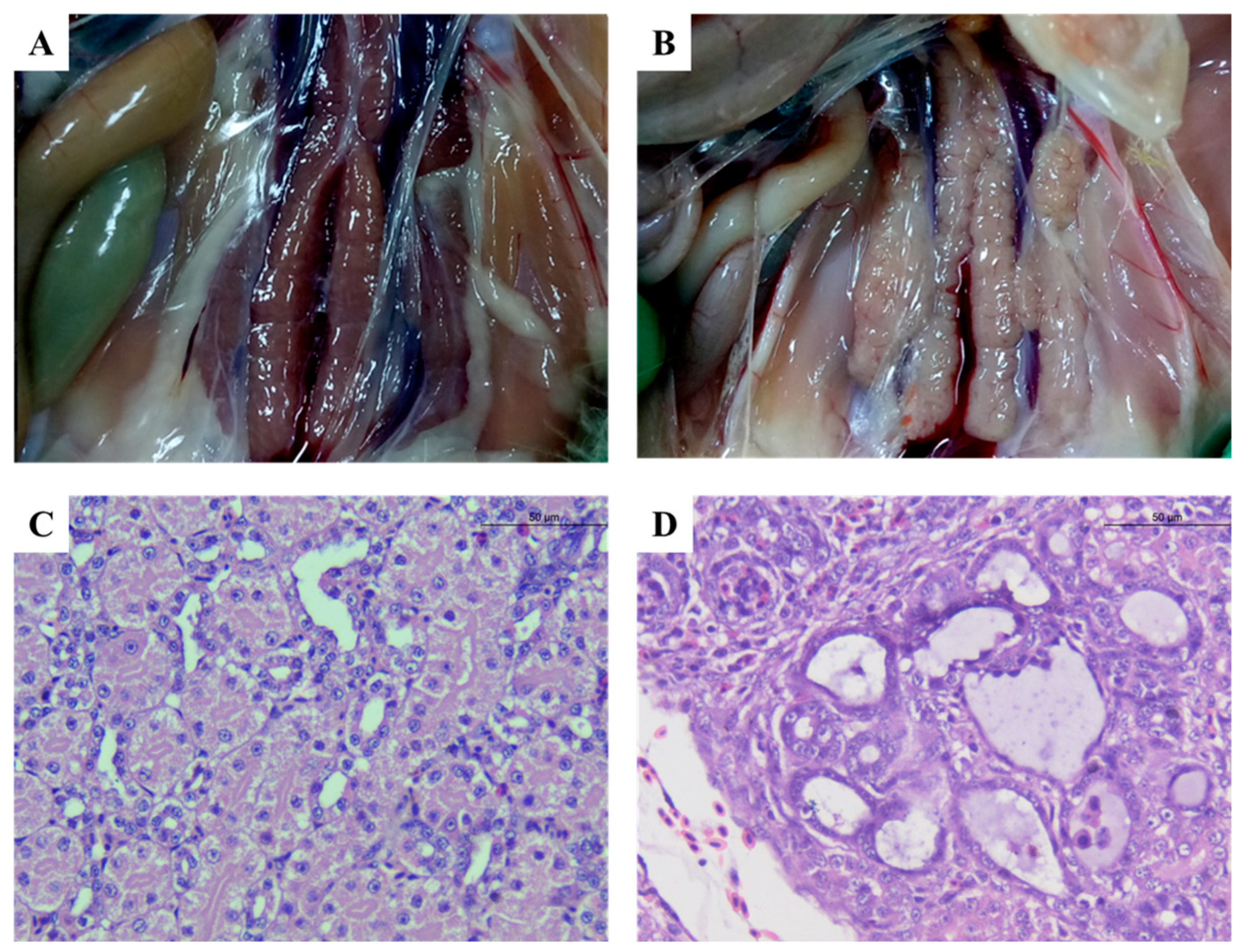
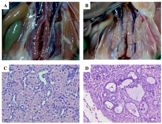
3. Pathogenesis of GAstV
4. Diagnosis of GAstV
5. Treatment and Control of GAstV
6. Conclusions
Author Contributions
Funding
Institutional Review Board Statement
Informed Consent Statement
Data Availability Statement
Conflicts of Interest
References
- Cook, N.; Myint, S. Astroviruses. J. Med. Microbiol. 1995, 42, 1–2. [Google Scholar] [CrossRef][Green Version]
 - Guix, S.; Bosch, A.; Pinto, R.M. Human astrovirus diagnosis and typing: Current and future prospects. Lett. Appl. Microbiol. 2005, 41, 103–105. [Google Scholar] [CrossRef] [PubMed]
 - Bosch, A.; Pinto, R.M.; Guix, S. Human astroviruses. Clin. Microbiol. Rev. 2014, 27, 1048–1074. [Google Scholar] [CrossRef] [PubMed]
 - Qin, Y.; Fang, Q.; Liu, H.; Ji, C.; Chen, Y.; Ouyang, K.; Wei, Z.; Huang, W. Construction of a reverse genetic system for porcine astrovirus. Arch. Virol. 2018, 163, 1511–1518. [Google Scholar] [CrossRef] [PubMed]
 - Ren, D.; Li, T.; Zhang, W.; Zhang, X.; Zhang, X.; Xie, Q.; Zhang, J.; Shao, H.; Wan, Z.; Qin, A.; et al. Identification of three novel B cell epitopes in ORF2 protein of the emerging goose astrovirus and their application. Appl. Microbiol. Biotechnol. 2022, 106, 855–863. [Google Scholar] [CrossRef] [PubMed]
 - Jiang, B.; Monroe, S.S.; Koonin, E.V.; Stine, S.E.; Glass, R.I. RNA sequence of astrovirus: Distinctive genomic organization and a putative retrovirus-like ribosomal frameshifting signal that directs the viral replicase synthesis. Proc. Natl. Acad. Sci. USA 1993, 90, 10539–10543. [Google Scholar] [CrossRef]
 - Madeley, C.R.; Cosgrove, B.P. Letter: 28 nm particles in faeces in infantile gastroenteritis. Lancet 1975, 2, 451–452. [Google Scholar] [CrossRef]
 - Cortez, V.; Meliopoulos, V.A.; Karlsson, E.A.; Hargest, V.; Johnson, C.; Schultz-Cherry, S. Astrovirus Biology and Pathogenesis. Annu. Rev. Virol. 2017, 4, 327–348. [Google Scholar] [CrossRef] [PubMed]
 - De Benedictis, P.; Schultz-Cherry, S.; Burnham, A.; Cattoli, G. Astrovirus infections in humans and animals–Molecular biology, genetic diversity, and interspecies transmissions. Infect. Genet. Evol. 2011, 11, 1529–1544. [Google Scholar] [CrossRef]
 - Hu, B.; Chmura, A.A.; Li, J.; Zhu, G.; Desmond, J.S.; Zhang, Y.; Zhang, W.; Epstein, J.H.; Daszak, P.; Shi, Z. Detection of diverse novel astroviruses from small mammals in China. J. Gen. Virol. 2014, 95 Pt 11, 2442–2449. [Google Scholar] [CrossRef]
 - Zhang, X.; Ren, D.; Li, T.; Zhou, H.; Liu, X.; Wang, X.; Lu, H.; Gao, W.; Wang, Y.; Zou, X.; et al. An emerging novel goose astrovirus associated with gosling gout disease, China. Emerg. Microbes Infect. 2018, 7, 152. [Google Scholar] [CrossRef] [PubMed]
 - Mendenhall, I.H.; Yaung, K.N.; Joyner, P.H.; Keatts, L.; Borthwick, S.; Neves, E.S.; San, S.; Gilbert, M.; Smith, G.J. Detection of a novel astrovirus from a black-naped monarch (Hypothymis azurea) in Cambodia. Virol. J. 2015, 12, 182. [Google Scholar] [CrossRef]
 - Woo, P.C.Y.; Lau, S.K.P.; Teng, J.L.L.; Tsang, A.K.L.; Joseph, S.; Xie, J.; Jose, S.; Fan, R.Y.Y.; Wernery, U.; Yuen, K.Y. A novel astrovirus from dromedaries in the Middle East. J. Gen. Virol. 2015, 96, 2697–2707. [Google Scholar] [CrossRef]
 - Chen, X.; Zhang, B.; Yue, H.; Wang, Y.; Zhou, F.; Zhang, Q.; Tang, C. A novel astrovirus species in the gut of yaks with diarrhoea in the Qinghai-Tibetan Plateau, 2013. J. Gen. Virol. 2015, 96, 3672–3680. [Google Scholar] [CrossRef]
 - Wan, C.H.; Chen, C.T.; Cheng, L.F.; Liu, R.C.; Shi, S.H.; Fu, G.H.; Fu, Q.L.; Chen, H.M.; Huang, Y. A novel group of avian Avastrovirus in domestic geese, China. J. Vet. Med. Sci. 2018, 80, 798–801. [Google Scholar] [CrossRef] [PubMed]
 - Zhang, Y.; Wang, F.; Liu, N.; Yang, L.; Zhang, D. Complete genome sequence of a novel avastrovirus in goose. Arch. Virol. 2017, 162, 2135–2139. [Google Scholar] [CrossRef] [PubMed]
 - Niu, X.; Tian, J.; Yang, J.; Jiang, X.; Wang, H.; Chen, H.; Yi, T.; Diao, Y. Novel Goose Astrovirus Associated Gout in Gosling, China. Vet. Microbiol. 2018, 220, 53–56. [Google Scholar] [CrossRef]
 - Peng, Z.; Gao, D.; Song, X.; Huang, H.; Zhang, X.; Jiang, Z.; Qiao, H.; Bian, C. Isolation and genomic characterization of one novel goose astrovirus causing acute gosling gout in China. Sci. Rep. 2023, 13, 10565. [Google Scholar] [CrossRef] [PubMed]
 - Zhang, Q.; Cao, Y.; Wang, J.; Fu, G.; Sun, M.; Zhang, L.; Meng, L.; Cui, G.; Huang, Y.; Hu, X.; et al. Isolation and characterization of an astrovirus causing fatal visceral gout in domestic goslings. Emerg. Microbes Infect. 2018, 7, 71. [Google Scholar] [CrossRef] [PubMed]
 - Guo, F.; Yang, J.; Abd El-Aty, A.M.; Wang, R.; Ju, X. Base composition, adaptation, and evolution of goose astroviruses: Codon-based investigation. Poult. Sci. 2023, 102, 103029. [Google Scholar] [CrossRef] [PubMed]
 - Yang, J.; Tian, J.; Tang, Y.; Diao, Y. Isolation and genomic characterization of gosling gout caused by a novel goose astrovirus. Transbound. Emerg. Dis. 2018, 65, 1689–1696. [Google Scholar] [CrossRef]
 - Wei, F.; He, D.; Wu, B.; Diao, Y.; Tang, Y. Isolation, Identification, and Pathogenicity of a Goose Astrovirus Genotype 1 Strain in Goslings in China. Viruses 2024, 16, 541. [Google Scholar] [CrossRef] [PubMed]
 - Zhu, Q.; Miao, Y.; Wang, J.; Bai, W.; Yang, X.; Yu, S.; Guo, D.; Sun, D. Isolation, identification, and pathogenicity of a goose astrovirus causing fatal gout in goslings. Vet. Microbiol. 2022, 274, 109570. [Google Scholar] [CrossRef]
 - Liu, C.; Sun, M.; Liao, M. A Review of Emerging Goose Astrovirus Causing Gout. Biomed. Res. Int. 2022, 2022, 1635373. [Google Scholar] [CrossRef] [PubMed]
 - Liu, N.; Jiang, M.; Dong, Y.; Wang, X.; Zhang, D. Genetic characterization of a novel group of avastroviruses in geese. Transbound. Emerg. Dis. 2018, 65, 927–932. [Google Scholar] [CrossRef]
 - Liu, H.; Hu, D.; Zhu, Y.; Xiong, H.; Lv, X.; Wei, C.; Liu, M.; Yin, D.; He, C.; Qi, K.; et al. Coinfection of parvovirus and astrovirus in gout-affected goslings. Transbound. Emerg. Dis. 2020, 67, 2830–2838. [Google Scholar] [CrossRef]
 - Liu, M.; Zhao, Y.; Hu, D.; Huang, X.; Xiong, H.; Qi, K.; Liu, H. Clinical and Histologic Characterization of Co-infection with Astrovirus and Goose Parvovirus in Goslings. Avian Dis. 2019, 63, 731–736. [Google Scholar] [CrossRef] [PubMed]
 - An, D.; Zhang, J.; Yang, J.; Tang, Y.; Diao, Y. Novel goose-origin astrovirus infection in geese: The effect of age at infection. Poult. Sci. 2020, 99, 4323–4333. [Google Scholar] [CrossRef]
 - Ding, R.; Huang, H.; Wang, H.; Yi, Z.; Qiu, S.; Lv, Y.; Bao, E. Goose Nephritic Astrovirus Infection of Goslings Induces Lymphocyte Apoptosis, Reticular Fiber Destruction, and CD8 T-Cell Depletion in Spleen Tissue. Viruses 2021, 13, 1108. [Google Scholar] [CrossRef] [PubMed]
 - Huang, H.; Ding, R.; Chen, Z.; Yi, Z.; Wang, H.; Lv, Y.; Bao, E. Goose nephritic astrovirus infection increases autophagy, destroys intercellular junctions in renal tubular epithelial cells, and damages podocytes in the kidneys of infected goslings. Vet. Microbiol. 2021, 263, 109244. [Google Scholar] [CrossRef]
 - Xi, Y.; Yan, J.; Li, M.; Ying, S.; Shi, Z. Gut microbiota dysbiosis increases the risk of visceral gout in goslings through translocation of gut-derived lipopolysaccharide. Poult. Sci. 2019, 98, 5361–5373. [Google Scholar] [CrossRef] [PubMed]
 - Zhen, W.; Wu, Y.; Zhang, W.; Wang, M.; Jia, R.; Zhu, D.; Liu, M.; Zhao, X.; Yang, Q.; Wu, Y. Emergence of a novel pegivirus species in southwest China showing a high rate of coinfection with parvovirus and circovirus in geese. Poult. Sci. 2021, 100, 101251. [Google Scholar] [CrossRef]
 - He, D.; Wang, F.; Zhao, L.; Jiang, X.; Zhang, S.; Wei, F.; Wu, B.; Wang, Y.; Diao, Y.; Tang, Y. Epidemiological investigation of infectious diseases in geese on mainland China during 2018–2021. Transbound. Emerg. Dis. 2022, 69, 3419–3432. [Google Scholar] [CrossRef] [PubMed]
 - Li, J.Y.; Hu, W.Q.; Liu, T.N.; Zhang, H.H.; Opriessnig, T.; Xiao, C.T. Isolation and evolutionary analyses of gout-associated goose astrovirus causing disease in experimentally infected chickens. Poult. Sci. 2021, 100, 543–552. [Google Scholar] [CrossRef]
 - Chen, H.; Zhang, B.; Yan, M.; Diao, Y.; Tang, Y. First report of a novel goose astrovirus outbreak in Cherry Valley ducklings in China. Transbound. Emerg. Dis. 2020, 67, 1019–1024. [Google Scholar] [CrossRef] [PubMed]
 - Chen, Q.; Yu, Z.; Xu, X.; Ji, J.; Yao, L.; Kan, Y.; Bi, Y.; Xie, Q. First report of a novel goose astrovirus outbreak in Muscovy ducklings in China. Poult. Sci. 2021, 100, 101407. [Google Scholar] [CrossRef] [PubMed]
 - He, D.; Jiang, X.; Tian, M.; Niu, X.; Wei, F.; Wu, B.; Gao, L.; Tang, Y.; Diao, Y. Pathogenicity of goose astrovirus genotype 2 in chickens. Poult. Sci. 2023, 102, 102808. [Google Scholar] [CrossRef] [PubMed]
 - Pantin-Jackwood, M.J.; Strother, K.O.; Mundt, E.; Zsak, L.; Day, J.M.; Spackman, E. Molecular characterization of avian astroviruses. Arch. Virol. 2010, 156, 235–244. [Google Scholar] [CrossRef] [PubMed]
 - Ren, D.; Li, T.; Zhang, X.; Yao, X.; Gao, W.; Xie, Q.; Zhang, J.; Shao, H.; Wan, Z.; Qin, A.; et al. OASL Triggered by Novel Goose Astrovirus via ORF2 Restricts Its Replication. J. Virol. 2020, 94. [Google Scholar] [CrossRef] [PubMed]
 - Monroe, S.S.; Jiang, B.; Stine, S.E.; Koopmans, M.; Glass, R.I. Subgenomic RNA sequence of human astrovirus supports classification of Astroviridae as a new family of RNA viruses. J. Virol. 1993, 67, 3611–3614. [Google Scholar] [CrossRef] [PubMed]
 - Willcocks, M.M.; Carter, M.J. Identification and sequence determination of the capsid protein gene of human astrovirus serotype 1. FEMS Microbiol. Lett. 1993, 114, 1–7. [Google Scholar] [CrossRef] [PubMed]
 - Chen, Q.; Xu, X.; Yu, Z.; Sui, C.; Zuo, K.; Zhi, G.; Ji, J.; Yao, L.; Kan, Y.; Bi, Y.; et al. Characterization and genomic analysis of emerging astroviruses causing fatal gout in goslings. Transbound. Emerg. Dis. 2019, 67, 865–876. [Google Scholar] [CrossRef] [PubMed]
 - Cui, H.; Mu, X.; Xu, X.; Ji, J.; Ma, K.; Leng, C.; Yao, L.; Kan, Y.; Bi, Y.; Xie, Q. Extensive genetic heterogeneity and molecular characteristics of emerging astroviruses causing fatal gout in goslings. Poult. Sci. 2022, 101, 101888. [Google Scholar] [CrossRef]
 - Tan, Z.; Zhai, H.; Sun, R.; Sun, Z.; Xie, R.; Zhang, L.; Li, Z.; Huang, J. Complete genome sequence and phylogenetic analysis of a goose astrovirus isolate in China. Braz. J. Microbiol. 2023, 54, 427–434. [Google Scholar] [CrossRef] [PubMed]
 - Wang, Q.H.; Kakizawa, J.; Wen, L.Y.; Shimizu, M.; Nishio, O.; Fang, Z.Y.; Ushijima, H. Genetic analysis of the capsid region of astroviruses. J. Med. Virol. 2001, 64, 245–255. [Google Scholar] [CrossRef]
 - Dong, J.; Dong, L.; Mendez, E.; Tao, Y. Crystal structure of the human astrovirus capsid spike. Proc. Natl. Acad. Sci. USA 2011, 108, 12681–12686. [Google Scholar] [CrossRef] [PubMed]
 - Xu, L.; Jiang, B.; Cheng, Y.; He, Y.; Wu, Z.; Wang, M.; Jia, R.; Zhu, D.; Liu, M.; Zhao, X.; et al. Infection and innate immune mechanism of goose astrovirus. Front. Microbiol. 2023, 14, 1121763. [Google Scholar] [CrossRef] [PubMed]
 - Wang, A.P.; Zhang, S.; Xie, J.; Gu, L.L.; Wu, S.; Wu, Z.; Liu, L.; Feng, Q.; Dong, H.Y.; Zhu, S.Y. Isolation and characterization of a goose astrovirus 1 strain causing fatal gout in goslings, China. Poult. Sci. 2021, 100, 101432. [Google Scholar] [CrossRef]
 - New, C.; Lee, Z.Y.; Tan, K.S.; Wong, A.H.; Wang, Y.; Tran, T. Tetraspanins: Host Factors in Viral Infections. Int. J. Mol. Sci. 2021, 22, 11609. [Google Scholar] [CrossRef]
 - Spoden, G.; Freitag, K.; Husmann, M.; Boller, K.; Sapp, M.; Lambert, C.; Florin, L. Clathrin- and caveolin-independent entry of human papillomavirus type 16--involvement of tetraspanin-enriched microdomains (TEMs). PLoS ONE 2008, 3, e3313. [Google Scholar] [CrossRef] [PubMed]
 - Barrett, C.T.; Dutch, R.E. Viral Membrane Fusion and the Transmembrane Domain. Viruses 2020, 12, 693. [Google Scholar] [CrossRef] [PubMed]
 - Jonassen, C.M.; Jonassen, T.T.; Sveen, T.M.; Grinde, B. Complete genomic sequences of astroviruses from sheep and turkey: Comparison with related viruses. Virus Res. 2003, 91, 195–201. [Google Scholar] [CrossRef] [PubMed]
 - Babkin, I.V.; Tikunov, A.Y.; Zhirakovskaia, E.V.; Netesov, S.V.; Tikunova, N.V. High evolutionary rate of human astrovirus. Infect. Genet. Evol. 2012, 12, 435–442. [Google Scholar] [CrossRef]
 - Domingo, E. Rapid evolution of viral RNA genomes. J. Nutr. 1997, 127, 958S–961S. [Google Scholar] [CrossRef] [PubMed]
 - Cui, D.; Li, S.; Yin, B.; Li, C.; Zhang, L.; Li, Z.; Huang, J. Rapid Rescue of Goose Astrovirus Genome via Red/ET Assembly. Food Environ. Virol. 2024, 16, 297–306. [Google Scholar] [CrossRef] [PubMed]
 - Shao, T.; Shao, L.; Li, H.; Xie, Z.; He, Z.; Wen, C. Combined Signature of the Fecal Microbiome and Metabolome in Patients with Gout. Front. Microbiol. 2017, 8, 268. [Google Scholar] [CrossRef]
 - Emmanuel, B.; Howard, B.R. Endogenous uric acid and urea metabolism in the chicken. Br. Poult. Sci. 1978, 19, 295–301. [Google Scholar] [CrossRef] [PubMed]
 - Stern, R.A.; Mozdziak, P.E. Differential ammonia metabolism and toxicity between avian and mammalian species, and effect of ammonia on skeletal muscle: A comparative review. J. Anim. Physiol. Anim. Nutr. 2019, 103, 774–785. [Google Scholar] [CrossRef]
 - Wu, W.; Xu, R.; Lv, Y.; Bao, E. Goose astrovirus infection affects uric acid production and excretion in goslings. Poult. Sci. 2020, 99, 1967–1974. [Google Scholar] [CrossRef] [PubMed]
 - Zhu, Y.; Wang, H.; Hua, J.; Ye, W.; Chen, L.; Ni, Z.; Yun, T.; Ma, J.; Yao, H.; Bao, E.; et al. Isolation and Pathogenicity of a Novel Goose Astrovirus from Overfed Adult Landaise Geese in China. Viruses 2022, 14, 2806. [Google Scholar] [CrossRef]
 - Bataille, A.M.; Goldmeyer, J.; Renfro, J.L. Avian renal proximal tubule epithelium urate secretion is mediated by Mrp4. Am. J. Physiol. Integr. Comp. Physiol. 2008, 295, R2024–R2033. [Google Scholar] [CrossRef] [PubMed]
 - Hasegawa, M.; Kusuhara, H.; Adachi, M.; Schuetz, J.D.; Takeuchi, K.; Sugiyama, Y. Multidrug resistance-associated protein 4 is involved in the urinary excretion of hydrochlorothiazide and furosemide. J. Am. Soc. Nephrol. 2007, 18, 37–45. [Google Scholar] [CrossRef] [PubMed]
 - Austic, R.E.; Cole, R.K. Impaired renal clearance of uric acid in chickens having hyperuricemia and articular gout. Am. J. Physiol.-Leg. Content 1972, 223, 525–530. [Google Scholar] [CrossRef] [PubMed]
 - Liu, C.; Li, L.; Dong, J.; Zhang, J.; Huang, Y.; Zhai, Q.; Xiang, Y.; Jin, J.; Huang, X.; Wang, G.; et al. Global analysis of gene expression profiles and gout symptoms in goslings infected with goose astrovirus. Vet. Microbiol. 2023, 279, 109677. [Google Scholar] [CrossRef]
 - Guo, Z.; Zhu, M.; Li, X.; Xu, H.; Lv, Y. Primary goose kidney tubular epithelial cells for goose astrovirus genotype 2 infection: Establishment and RNA sequencing analysis. Poult. Sci. 2024, 103, 103774. [Google Scholar] [CrossRef]
 - Li, H.; Su, Q.; Fu, D.; Huang, H.; Lu, Z.; Huang, C.; Chen, Y.; Tan, M.; Huang, J.; Kang, Z.; et al. Alteration of gut microbiome in goslings infected with goose astrovirus. Poult. Sci. 2024, 103, 103869. [Google Scholar] [CrossRef]
 - Dalbeth, N.; Merriman, T.R.; Stamp, L.K. Gout. Lancet 2016, 388, 2039–2052. [Google Scholar] [CrossRef]
 - Martinon, F.; Petrilli, V.; Mayor, A.; Tardivel, A.; Tschopp, J. Gout-associated uric acid crystals activate the NALP3 inflammasome. Nature 2006, 440, 237–241. [Google Scholar] [CrossRef]
 - Wu, W.; Qiu, S.; Huang, H.; Xu, R.; Bao, E.; Lv, Y. Immune-related gene expression in the kidneys and spleens of goslings infected with goose nephritic astrovirus. Poult. Sci. 2021, 100, 100990. [Google Scholar] [CrossRef]
 - Yuan, X.; Meng, K.; Zhang, Y.; Yu, Z.; Ai, W.; Wang, Y. Genome analysis of newly emerging goose-origin nephrotic astrovirus in China reveals it belongs to a novel genetically distinct astrovirus. Infect. Genet. Evol. 2019, 67, 1–6. [Google Scholar] [CrossRef] [PubMed]
 - Chen, L.; Cui, H.; Li, J.; Zhang, Y.; Wang, H.; Yang, Y.; Wang, X.; Zhang, C.; Liu, J. Epidemiological Investigation of Goose Astrovirus in Hebei Province, China, 2019–2021. Microorganisms 2024, 12, 990. [Google Scholar] [CrossRef] [PubMed]
 - Li, Y.; Luo, J.; Shang, J.; Zhang, F.; Deng, C.; Feng, Y.; Meng, G.; Jiang, W.; Yu, X.; Liu, H. Epidemiological investigation and pathogenicity analysis of waterfowl astroviruses in some areas of China. Front. Microbiol. 2024, 15, 1375826. [Google Scholar] [CrossRef]
 - Xu, J.; Gao, L.; Zhu, P.; Chen, S.; Chen, Z.; Yan, Z.; Lin, W.; Yin, L.; Javed, M.T.; Tang, Z.; et al. Isolation, identification, and pathogenicity analysis of newly emerging gosling astrovirus in South China. Front. Microbiol. 2023, 14, 1112245. [Google Scholar] [CrossRef]
 - Wei, F.; Yang, J.; He, D.; Diao, Y.; Tang, Y. Evidence of vertical transmission of novel astrovirus virus in goose. Vet. Microbiol. 2020, 244, 108657. [Google Scholar] [CrossRef]
 - Zhang, M.; Zhang, L.; Yang, J.; Zhao, D.; Han, K.; Huang, X.; Liu, Q.; Xiao, Y.; Gu, Y.; Li, Y. An IgY Effectively Prevents Goslings from Virulent GAstV Infection. Vaccines 2022, 10, 2090. [Google Scholar] [CrossRef] [PubMed]
 - Wei, F.; Yang, J.; Wang, Y.; Chen, H.; Diao, Y.; Tang, Y. Isolation and characterization of a duck-origin goose astrovirus in China. Emerg. Microbes Infect. 2020, 9, 1046–1054. [Google Scholar] [CrossRef] [PubMed]
 - Zhu, M.; Guo, Z.; Xu, H.; Li, X.; Chen, H.; Cao, R.; Lv, Y. Aminoguanidine alleviates gout in goslings experimentally infected with goose astrovirus-2 by reducing kidney lesions. Poult. Sci. 2024, 103, 103484. [Google Scholar] [CrossRef]
 - Huang, X.; Shi, T.; Mo, K.; Wang, D.; Peng, X.; Liao, M.; Zhou, J. Monoclonal Antibody Against Premembrane Viral Protein of Avian Tembusu Virus. Monoclon. Antibodies Immunodiagn. Immunother. 2017, 36, 57–61. [Google Scholar] [CrossRef]
 - Zhang, M.; Lv, X.; Wang, B.; Yu, S.; Lu, Q.; Kan, Y.; Wang, X.; Jia, B.; Bi, Z.; Wang, Q.; et al. Development of a potential diagnostic monoclonal antibody against capsid spike protein VP27 of the novel goose astrovirus. Poult. Sci. 2022, 101, 101680. [Google Scholar] [CrossRef]
 - He, D.; Sun, M.; Jiang, X.; Zhang, S.; Wei, F.; Wu, B.; Diao, Y.; Tang, Y. Development of an indirect competitive ELISA method based on ORF2 detecting the antibodies of novel goose astrovirus. J. Virol. Methods 2023, 311, 114643. [Google Scholar] [CrossRef] [PubMed]
 - Yang, X.; Wei, F.; Tang, Y.; Diao, Y. Development of immunochromatographic strip assay for rapid detection of novel goose astrovirus. J. Virol. Methods 2021, 297, 114263. [Google Scholar] [CrossRef]
 - Wan, C.; Chen, C.; Cheng, L.; Fu, G.; Shi, S.; Liu, R.; Chen, H.; Fu, Q.; Huang, Y. Specific detection of the novel goose astrovirus using a TaqMan real-time RT-PCR technology. Microb. Pathog. 2019, 137, 103766. [Google Scholar] [CrossRef] [PubMed]
 - Yin, D.; Yang, J.; Tian, J.; He, D.; Tang, Y.; Diao, Y. Establishment and application of a TaqMan-based one-step real-time RT-PCR for the detection of novel goose-origin astrovirus. J. Virol. Methods 2020, 275, 113757. [Google Scholar] [CrossRef] [PubMed]
 - Dai, Y.; Li, M.; Hu, X.; Zhao, R.; Xia, L. Development and application of a multiplex PCR method for simultaneous detection of waterfowl parvovirus, duck enteritis virus and goose astrovirus. 3 Biotech 2022, 12, 205. [Google Scholar] [CrossRef]
 - Zhang, S.; Dong, H.; Lin, F.; Cheng, X.; Zhu, X.; Jiang, D.; Xiao, S.; Chen, S.; Chen, S.; Wang, S. Development and application of a multiplex PCR method for the simultaneous detection of goose parvovirus, waterfowl reovirus, and goose astrovirus in Muscovy ducks. J. Virol. Methods 2024, 324, 114857. [Google Scholar] [CrossRef] [PubMed]
 - Li, H.; Kang, Z.; Wan, C.; Zhang, F.; Tan, M.; Zeng, Y.; Wu, C.; Huang, Y.; Su, Q.; Guo, X. Rapid diagnosis of different goose astrovirus genotypes with Taqman-based duplex real-time quantitative PCR. Poult. Sci. 2023, 102, 102730. [Google Scholar] [CrossRef] [PubMed]
 - Li, H.; Wan, C.; Wang, Z.; Tan, J.; Tan, M.; Zeng, Y.; Huang, J.; Huang, Y.; Su, Q.; Kang, Z.; et al. Rapid diagnosis of duck Tembusu virus and goose astrovirus with TaqMan-based duplex real-time PCR. Front. Microbiol. 2023, 14, 1146241. [Google Scholar] [CrossRef] [PubMed]
 - Yu, J.; Zou, J.; Liu, X.; Pan, Y.; Mu, Y.; Li, S.; Wang, J.; Xu, F.; Wang, Y. TaqMan-probe-based multiplex real-time RT-qPCR for simultaneous detection of GoAstV, GPV, and GoCV. Poult. Sci. 2023, 102, 102396. [Google Scholar] [CrossRef] [PubMed]
 - Wang, A.; Liu, L.; Zhang, S.; Ye, W.; Zheng, T.; Xie, J.; Wu, S.; Wu, Z.; Feng, Q.; Dong, H.; et al. Development of a duplex real-time reverse transcription-polymerase chain reaction assay for the simultaneous detection of goose astrovirus genotypes 1 and 2. J. Virol. Methods 2022, 310, 114612. [Google Scholar] [CrossRef]
 - Yi, Z.; Ding, R.; Cao, R.; Sun, W.; Sun, M.; Dong, Y.; Rehana, B.; Bao, E.; Lv, Y. Development of a duplex TaqMan real-time RT-PCR assay for simultaneous detection of goose astrovirus genotypes 1 and 2. J. Virol. Methods 2022, 306, 114542. [Google Scholar] [CrossRef] [PubMed]
 - Shi, J.; Jin, Q.; Zhang, X.; Zhao, J.; Li, N.; Dong, B.; Yu, J.; Yao, L. The Development of a Sensitive Droplet Digital Polymerase Chain Reaction Test for Quantitative Detection of Goose Astrovirus. Viruses 2024, 16, 765. [Google Scholar] [CrossRef]
 - Yu, Z.; Zhang, D.; Yang, K.; Bai, C.; Li, Y.; Li, J.; Jiang, S.; Wang, Y. A simple and rapid diagnostic method to detect new goose astrovirus using reverse-transcription loop-mediated isothermal amplification. 3 Biotech 2020, 10, 20. [Google Scholar] [CrossRef] [PubMed]
 - Ji, J.; Chen, Q.; Sui, C.; Hu, W.; Yu, Z.; Zhang, Z.; Mu, X.; Xu, X.; Yao, L.; Kan, Y.J.P. Rapid and visual detection of novel astroviruses causing fatal gout in goslings using one-step reverse transcription loop-mediated isothermal amplification. Poult. Sci. 2020, 99, 4259–4264. [Google Scholar] [CrossRef] [PubMed]
 - Yang, K.; Zhang, W.; Xu, L.; Liu, Q.; Song, X.; Shao, Y.; Tu, J.; Qi, K. Facile, ultrasensitive, and highly specific diagnosis of goose astrovirus via reverse transcription-enzymatic recombinase amplification coupled with a CRISPR-Cas12a system detection. Poult. Sci. 2022, 101, 102208. [Google Scholar] [CrossRef] [PubMed]
 - Zhao, G.; Deng, X.; Wu, D.; Cao, R.; Shao, A.; Zhou, Y.; Zhang, T.; Li, G.; He, H.; Lu, J.; et al. Application of metagenomic sequencing toward rapid and sensitive diagnosis of goose avastrovirus infection in China. Vet. Res. Forum 2022, 13, 1–6. [Google Scholar] [CrossRef]
 - Zhu, Q.; Sun, D. Goose Astrovirus in China: A Comprehensive Review. Viruses 2022, 14, 1759. [Google Scholar] [CrossRef] [PubMed]
 - Zhang, X.; Deng, T.; Song, Y.; Liu, J.; Jiang, Z.; Peng, Z.; Guo, Y.; Yang, L.; Qiao, H.; Xia, Y.; et al. Identification and genomic characterization of emerging goose astrovirus in central China, 2020. Transbound. Emerg. Dis. 2022, 69, 1046–1055. [Google Scholar] [CrossRef] [PubMed]
 - Li, L.; Sun, M.; Zhang, Y.; Liao, M. A Review of the Emerging Poultry Visceral Gout Disease Linked to Avian Astrovirus Infection. Int. J. Mol. Sci. 2022, 23, 10429. [Google Scholar] [CrossRef]
 - Abad, F.X.; Pinto, R.M.; Villena, C.; Gajardo, R.; Bosch, A. Astrovirus survival in drinking water. Appl. Environ. Microbiol. 1997, 63, 3119–3122. [Google Scholar] [CrossRef]
 - Morsy El-Senousy, W.; Guix, S.; Abid, I.; Pinto, R.M.; Bosch, A. Removal of astrovirus from water and sewage treatment plants, evaluated by a competitive reverse transcription-PCR. Appl. Environ. Microbiol. 2007, 73, 164–167. [Google Scholar] [CrossRef] [PubMed]
 - Wang, L.; Li, J.; Wang, B.; Yin, X.; Wei, J.; Qiu, H. Progress in modeling avian hyperuricemia and gout (Review). Biomed. Rep. 2024, 22, 1. [Google Scholar] [CrossRef]
 - Guo, X.; Huang, K.; Tang, J. Clinicopathology of gout in growing layers induced by high calcium and high protein diets. Br. Poult. Sci. 2005, 46, 641–646. [Google Scholar] [CrossRef]
 - Hong, F.; Zheng, A.; Xu, P.; Wang, J.; Xue, T.; Dai, S.; Pan, S.; Guo, Y.; Xie, X.; Li, L.; et al. High-Protein Diet Induces Hyperuricemia in a New Animal Model for Studying Human Gout. Int. J. Mol. Sci. 2020, 21, 2147. [Google Scholar] [CrossRef] [PubMed]
 - Xi, Y.; Ying, S.; Shao, C.; Zhu, H.; Yan, J.; Shi, Z. Metabolomic profiling of goslings with visceral gout reveals a distinct metabolic signature. Br. Poult. Sci. 2020, 61, 258–265. [Google Scholar] [CrossRef] [PubMed]
 - Xu, D.; Li, C.; Liu, G.; Chen, Z.; Jia, R. Generation and evaluation of a recombinant goose origin Newcastle disease virus expressing Cap protein of goose origin avastrovirus as a bivalent vaccine in goslings. Poult. Sci. 2019, 98, 4426–4432. [Google Scholar] [CrossRef] [PubMed]
 






Disclaimer/Publisher’s Note: The statements, opinions and data contained in all publications are solely those of the individual author(s) and contributor(s) and not of MDPI and/or the editor(s). MDPI and/or the editor(s) disclaim responsibility for any injury to people or property resulting from any ideas, methods, instructions or products referred to in the content.  | 
© 2025 by the authors. Licensee MDPI, Basel, Switzerland. This article is an open access article distributed under the terms and conditions of the Creative Commons Attribution (CC BY) license (https://creativecommons.org/licenses/by/4.0/).
Share and Cite
Ren, D.; Zhang, H.; Ye, X.; Jia, X.; Chen, R.; Tang, T.; Ye, J.; Wu, S. Current Situation of Goose Astrovirus in China: A Review. Viruses 2025, 17, 84. https://doi.org/10.3390/v17010084
Ren D, Zhang H, Ye X, Jia X, Chen R, Tang T, Ye J, Wu S. Current Situation of Goose Astrovirus in China: A Review. Viruses. 2025; 17(1):84. https://doi.org/10.3390/v17010084
Chicago/Turabian StyleRen, Dan, Hongliang Zhang, Xiaoou Ye, Xiuzhi Jia, Ruiming Chen, Tingbing Tang, Jianqiang Ye, and Songquan Wu. 2025. "Current Situation of Goose Astrovirus in China: A Review" Viruses 17, no. 1: 84. https://doi.org/10.3390/v17010084
APA StyleRen, D., Zhang, H., Ye, X., Jia, X., Chen, R., Tang, T., Ye, J., & Wu, S. (2025). Current Situation of Goose Astrovirus in China: A Review. Viruses, 17(1), 84. https://doi.org/10.3390/v17010084
        
