Neurotropic Tick-Borne Flavivirus in Alpine Chamois (Rupicapra rupicapra rupicapra), Austria, 2017, Italy, 2023
Abstract
1. Introduction
2. Materials and Methods
2.1. Case Histories
2.2. Postmortem and Pathohistological Investigations
2.3. Molecular Investigations
2.3.1. Case 1: Province of Salzburg, Austria, 2017
2.3.2. Case 2: Region of Piedmont, Italy, 2023
2.3.3. Case 3: Region of Lombardy, Italy, 2023
2.4. Phylogenetic Investigations on All Alpine Chamois and Tick-Derived Complete Genome Sequences
2.5. Further Molecular Studies
2.6. Virus Isolation
2.6.1. Case 1
2.6.2. Case 2
2.6.3. Case 3
3. Results
3.1. Case Histories
3.1.1. Case 1: Province of Salzburg, Austria, 2017
3.1.2. Case 2: Region of Piedmont, Italy, 2023
3.1.3. Case 3: Region of Lombardy, Italy, 2023
3.2. Postmortem and Pathohistological Results
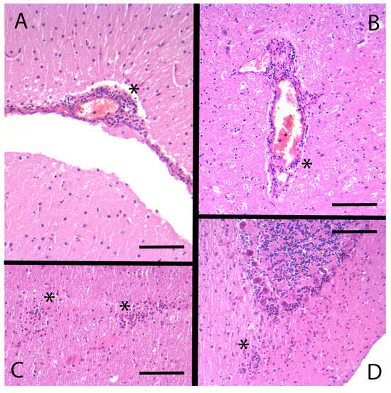
3.2.1. Case 1
3.2.2. Case 2
3.2.3. Case 3
3.3. Molecular Diagnosis
3.3.1. Case 1
3.3.2. Case 2
3.3.3. Case 3
3.4. Molecular Phylogeny on Alpine Chamois and Tick-Derived Complete Genome Sequences
3.5. Results of Further Molecular Studies
3.6. Virus Isolation
3.6.1. Case 1
3.6.2. Case 2
3.6.3. Case 3
4. Discussion
5. Future Research Directions
Author Contributions
Funding
Institutional Review Board Statement
Informed Consent Statement
Data Availability Statement
Conflicts of Interest
References
- Lange, M.; Chitimia-Dobler, L.; Dobler, G. Dr. Hans (Johann) Schneider—Medical officer and first describer of tick born encephlitis (TBE). Wehrmed. Montasschrift. 2021, 65, 294–301. [Google Scholar]
- Schneider, H. Über epidemische akute “Meningitis serosa”. Wien. Klin. Wochenschr. 1931, 44, 350–352. [Google Scholar]
- Ruzek, D.; Kaucka, K. A brief tale of two pioneering moments: Europe’s first discovery of Tick-Borne Encephalitis (TBE) virus beyond the Soviet Union and the largest alimentary TBE outbreak in history. Ticks Tick Borne Dis. 2024, 15, 102314. [Google Scholar] [CrossRef]
- Gallia, F.; Rampas, J.; Hollender, L. Laboratory infection with encephalitis virus. Cas. Lek. Cesk 1949, 88, 224–229. [Google Scholar]
- Krejčí, J. Epidemic of viral meningoencephalitis cases in Vyškov region. Lékařské Listy 1949, 4, 132–134. [Google Scholar]
- Hubálek, Z. History of Arbovirus Research in the Czech Republic. Viruses 2021, 13, 2334. [Google Scholar] [CrossRef]
- Simmonds, P.; Becher, P.; Bukh, J.; Gould, E.A.; Meyers, G.; Monath, T.; Muerhoff, S.; Pletnev, A.; Rico-Hesse, R.; Smith, D.B.; et al. ICTV Virus Taxonomy Profile: Flaviviridae. J. Gen. Virol. 2017, 98, 2–3. [Google Scholar] [CrossRef]
- Kovalev, S.Y.; Mukhacheva, T.A. Reconsidering the classification of tick-borne encephalitis virus within the Siberian subtype gives new insights into its evolutionary history. Infect. Genet. Evol. 2017, 55, 159–165. [Google Scholar] [CrossRef]
- Dai, X.; Shang, G.; Lu, S.; Yang, J.; Xu, J. A new subtype of eastern tick-borne encephalitis virus discovered in Qinghai-Tibet Plateau, China. Emerg. Microbes Infect. 2018, 7, 74. [Google Scholar] [CrossRef]
- Hubálek, Z.; Rudolf, I. Tick-borne viruses in Europe. Parasitol. Res. 2012, 111, 9–36. [Google Scholar] [CrossRef]
- Van Heuverswyn, J.; Hallmaier-Wacker, L.K.; Beauté, J.; Gomes Dias, J.; Haussig, J.M.; Busch, K.; Kerlik, J.; Markowicz, M.; Mäkelä, H.; Nygren, T.M.; et al. Spatiotemporal spread of tick-borne encephalitis in the EU/EEA, 2012 to 2020. Euro Surveill. 2023, 28, 2200543. [Google Scholar] [CrossRef]
- Król, N.; Chitimia-Dobler, L.; Dobler, G.; Kiewra, D.; Czułowska, A.; Obiegala, A.; Zajkowska, J.; Juretzek, T.; Pfeffer, M. Identification of New Microfoci and Genetic Characterization of Tick-Borne Encephalitis Virus Isolates from Eastern Germany and Western Poland. Viruses 2024, 16, 637. [Google Scholar] [CrossRef] [PubMed]
- Rubel, F.; Brugger, K. Operational TBE incidence forecasts for Austria, Germany, and Switzerland 2019–2021. Ticks Tick Borne Dis. 2021, 12, 101579. [Google Scholar] [CrossRef] [PubMed]
- Dagostin, F.; Tagliapietra, V.; Marini, G.; Cataldo, C.; Bellenghi, M.; Pizzarelli, S.; Cammarano, R.R.; Wint, W.; Alexander, N.S.; Neteler, M.; et al. Ecological and environmental factors affecting the risk of tick-borne encephalitis in Europe, 2017 to 2021. Euro Surveill. 2023, 28, 2300121. [Google Scholar] [CrossRef]
- Saegerman, C.; Humblet, M.F.; Leandri, M.; Gonzalez, G.; Heyman, P.; Sprong, H.; L’Hostis, M.; Moutailler, S.; Bonnet, S.I.; Haddad, N.; et al. First Expert Elicitation of Knowledge on Possible Drivers of Observed Increasing Human Cases of Tick-Borne Encephalitis in Europe. Viruses 2023, 15, 791. [Google Scholar] [CrossRef]
- Stiasny, K.; Santonja, I.; Holzmann, H.; Essl, A.; Stanek, G.; Kundi, M.; Heinz, F.X. The regional decline and rise of tick-borne encephalitis incidence do not correlate with Lyme borreliosis, Austria, 2005 to 2018. Euro Surveill. 2021, 26, 2002108. [Google Scholar] [CrossRef]
- Esser, H.J.; Lim, S.M.; de Vries, A.; Sprong, H.; Dekker, D.J.; Pascoe, E.L.; Bakker, J.W.; Suin, V.; Franz, E.; Martina, B.E.E.; et al. Continued Circulation of Tick-Borne Encephalitis Virus Variants and Detection of Novel Transmission Foci, the Netherlands. Emerg. Infect. Dis. 2022, 28, 2416–2424. [Google Scholar] [CrossRef]
- Holzmann, H.; Aberle, S.W.; Stiasny, K.; Werner, P.; Mischak, A.; Zainer, B.; Netzer, M.; Koppi, S.; Bechter, E.; Heinz, F.X.; et al. Tick-borne encephalitis from eating goat cheese in a mountain region of Austria. Emerg. Infect. Dis. 2009, 15, 1671–1673. [Google Scholar] [CrossRef] [PubMed]
- Slunge, D.; Boman, A.; Studahl, M. Burden of Tick-Borne Encephalitis, Sweden. Emerg. Infect. Dis. 2022, 28, 314–322. [Google Scholar] [CrossRef] [PubMed]
- Barp, N.; Cappi, C.; Meschiari, M.; Battistel, M.; Libbra, M.V.; Ferri, M.A.; Ballestri, S.; Gallerani, A.; Ferrari, F.; Meacci, M.; et al. First Human Case of Tick-Borne Encephalitis in Non-Endemic Region in Italy: A Case Report. Pathogens 2022, 11, 854. [Google Scholar] [CrossRef] [PubMed]
- Gaffuri, A.; Sassera, D.; Calzolari, M.; Gibelli, L.; Lelli, D.; Tebaldi, A.; Vicari, N.; Bianchi, A.; Pigoli, C.; Cerioli, M.; et al. Tick-Borne Encephalitis, Lombardy, Italy. Emerg. Infect. Dis. 2024, 30, 341–344. [Google Scholar] [CrossRef] [PubMed]
- Hubálek, Z.; Rudolf, I.; Nowotny, N. Arboviruses pathogenic for domestic and wild animals. Adv. Virus Res. 2014, 89, 201–275. [Google Scholar] [CrossRef]
- Martello, E.; Gillingham, E.L.; Phalkey, R.; Vardavas, C.; Nikitara, K.; Bakonyi, T.; Gossner, C.M.; Leonardi-Bee, J. Systematic review on the non-vectorial transmission of Tick-borne encephalitis virus (TBEv). Ticks Tick Borne Dis. 2022, 13, 102028. [Google Scholar] [CrossRef]
- de Heus, P.; Kolodziejek, J.; Hubalek, Z.; Dimmel, K.; Racher, V.; Nowotny, N.; Cavalleri, J.V. West Nile Virus and Tick-Borne Encephalitis Virus Are Endemic in Equids in Eastern Austria. Viruses 2021, 13, 1873. [Google Scholar] [CrossRef]
- Pfeffer, M.; Dobler, G. Tick-borne encephalitis virus in dogs—Is this an issue? Parasit. Vectors 2011, 4, 59. [Google Scholar] [CrossRef] [PubMed]
- Rushton, J.O.; Lecollinet, S.; Hubalek, Z.; Svobodová, P.; Lussy, H.; Nowotny, N. Tick-borne encephalitis virus in horses, Austria, 2011. Emerg Infect Dis. 2013, 19, 635–637. [Google Scholar] [CrossRef]
- de Heus, P.; Bagó, Z.; Weidinger, P.; Lale, D.; Trachsel, D.S.; Revilla-Fernández, S.; Matiasek, K.; Nowotny, N. Severe Neurologic Disease in a Horse Caused by Tick-Borne Encephalitis Virus, Austria, 2021. Viruses 2023, 15, 22. [Google Scholar] [CrossRef] [PubMed]
- Salat, J.; Hunady, M.; Schanilec, P.; Strakova, P.; Stefanik, M.; Svoboda, P.; Strelcova, L.; Bojcukova, J.; Palus, M.; Růžek, D. Experimental and Natural Infections of Tick-Borne Encephalitis Virus in Dogs. Viruses 2021, 13, 39. [Google Scholar] [CrossRef]
- Weissenböck, H.; Suchy, A.; Holzmann, H. Tick-borne encephalitis in dogs: Neuropathological findings and distribution of antigen. Acta Neuropathol. 1998, 95, 361–366. [Google Scholar] [CrossRef]
- Bagó, Z.; Bauder, B.; Kolodziejek, J.; Nowotny, N.; Weissenböck, H. Tickborne encephalitis in a mouflon (Ovis ammon musimon). Vet. Rec. 2002, 150, 218–220. [Google Scholar] [CrossRef]
- Da Rold, G.; Obber, F.; Monne, I.; Milani, A.; Ravagnan, S.; Toniolo, F.; Sgubin, S.; Zamperin, G.; Foiani, G.; Vascellari, M.; et al. Clinical Tick-Borne Encephalitis in a Roe Deer (Capreolus capreolus L.). Viruses 2022, 14, 300. [Google Scholar] [CrossRef]
- Grassi, L.; Drigo, M.; Zelena, H.; Pasotto, D.; Cassini, R.; Mondin, A.; Franzo, G.; Tucciarone, C.M.; Ossola, M.; Vidorin, E.; et al. Wild ungulates as sentinels of flaviviruses and tick-borne zoonotic pathogen circulation: An Italian perspective. BMC Vet. Res. 2023, 19, 155. [Google Scholar] [CrossRef]
- Chiffi, G.; Grandgirard, D.; Leib, S.L.; Chrdle, A.; Růžek, D. Tick-borne encephalitis: A comprehensive review of the epidemiology, virology, and clinical picture. Rev. Med. Virol. 2023, 33, e2470. [Google Scholar] [CrossRef]
- Kohlmaier, B.; Schweintzger, N.A.; Sagmeister, M.G.; Švendová, V.; Kohlfürst, D.S.; Sonnleitner, A.; Leitner, M.; Berghold, A.; Schmiedberger, E.; Fazekas, F.; et al. Clinical Characteristics of Patients with Tick-Borne Encephalitis (TBE): A European Multicentre Study from 2010 to 2017. Microorganisms 2021, 9, 1420. [Google Scholar] [CrossRef] [PubMed]
- Angulo, F.J.; Zhang, P.; Halsby, K.; Kelly, P.; Pilz, A.; Madhava, H.; Moïsi, J.C.; Jodar, L. A systematic literature review of the effectiveness of tick-borne encephalitis vaccines in Europe. Vaccine 2023, 41, 6914–6921. [Google Scholar] [CrossRef] [PubMed]
- Heinz, F.X. Development of a highly purified tick-borne encephalitis vaccine: A personal historical account. Wien. Klin. Wochenschr. 2024, 136, 215–219. [Google Scholar] [CrossRef] [PubMed]
- Schröder, W.; von Elsner-Schack, I.V. Correct age determination in chamois. In The Biology and Management of Mountain Ungulates; Lovari, S., Ed.; Croom Helm: London, UK, 1985; pp. 67–70. [Google Scholar]
- Patel, P.; Landt, O.; Kaiser, M.; Faye, O.; Koppe, T.; Lass, U.; Sall, A.A.; Niedrig, M. Development of one-step quantitative reverse transcription PCR for the rapid detection of flaviviruses. Virol. J. 2013, 10, 58. [Google Scholar] [CrossRef]
- Mansfield, K.L.; Morales, A.B.; Johnson, N.; Ayllón, N.; Höfle, U.; Alberdi, P.; Fernández de Mera, I.G.; Marín, J.F.; Gortázar, C.; de la Fuente, J.; et al. Identification and characterization of a novel tick-borne flavivirus subtype in goats (Capra hircus) in Spain. J. Gen. Virol. 2015, 96 Pt 7, 1676–1681. [Google Scholar] [CrossRef] [PubMed]
- Estrada-Pena, A.; Pfaffle, M.; Baneth, G.; Kleinerman, G.; Petney, T.N. Ixodoidea of the Western Palaearctic: A review of available literature for identification of species. Ticks Tick Borne Dis. 2017, 8, 512–525. [Google Scholar] [CrossRef]
- Schwaiger, M.; Cassinotti, P. Development of a quantitative real-time RT-PCR assay with internal control for the laboratory detection of tick borne encephalitis virus (TBEV) RNA. J. Clin. Virol. 2003, 27, 136–145. [Google Scholar] [CrossRef] [PubMed]
- Kalantar, K.L.; Carvalho, T.; de Bourcy, C.F.A.; Dimitrov, B.; Dingle, G.; Egger, R.; Han, J.; Holmes, O.B.; Juan, Y.F.; King, R.; et al. IDseq-An open source cloud-based pipeline and analysis service for metagenomic pathogen detection and monitoring. Gigascience 2020, 9, giaa111. [Google Scholar] [CrossRef]
- Scaramozzino, N.; Crance, J.M.; Jouan, A.; DeBriel, D.A.; Stoll, F.; Garin, D. Comparison of flavivirus universal primer pairs and development of a rapid, highly sensitive heminested reverse transcription-PCR assay for detection of flaviviruses targeted to a conserved region of the NS5 gene sequences. J. Clin. Microbiol. 2001, 39, 1922–1927. [Google Scholar] [CrossRef]
- Trifinopoulos, J.; Nguyen, L.T.; von Haeseler, A.; Minh, B.Q. W-IQ-TREE: A fast online phylogenetic tool for maximum likelihood analysis. Nucleic Acids Res. 2016, 44, W232–W235. [Google Scholar] [CrossRef] [PubMed]
- Robert, X.; Gouet, P. Deciphering key features in protein structures with the new ENDscript server. Nucleic Acids Res. 2014, 42, W320–W324. [Google Scholar] [CrossRef]
- Marin, M.S.; McKenzie, J.; Gao, G.F.; Reid, H.W.; Antoniadis, A.; Gould, E.A. The virus causing encephalomyelitis in sheep in Spain: A new member of the tick-borne encephalitis group. Res. Vet. Sci. 1995, 58, 11–13. [Google Scholar] [CrossRef]
- Menzano, A.; Tizzani, P.; Farber, M.D.; Garcia-Vozmediano, A.; Martinelli, L.; Rossi, L.; Tomassone, L. Zoonotic Tick-Borne Pathogens in Ticks from Vegetation and Alpine Ibex (Capra ibex) in the Maritime Alps, Italy. Animals 2024, 14, 2251. [Google Scholar] [CrossRef]
- Habib, J.; Zenner, L.; Garel, M.; Mercier, A.; Poirel, M.T.; Itty, C.; Appolinaire, J.; Amblard, T.; Benedetti, P.; Sanchis, F.; et al. Prevalence of tick-borne pathogens in ticks collected from the wild mountain ungulates mouflon and chamois in 4 regions of France. Parasite 2024, 31, 21. [Google Scholar] [CrossRef]
- Kutschera, L.S.; Wolfinger, M.T. Evolutionary traits of Tick-borne encephalitis virus: Pervasive non-coding RNA structure conservation and molecular epidemiology. Virus Evol. 2022, 8, veac051. [Google Scholar] [CrossRef]
- Balseiro, A.; Perez-Martinez, C.; Dagleish, M.P.; Royo, L.J.; Polledo, L.; García Marín, J.F. Goats Naturally Infected with the Spanish Goat Encephalitis Virus (SGEV): Pathological Features and An Outbreak. Animals 2022, 13, 72. [Google Scholar] [CrossRef]
- Balseiro, A.; Royo, L.J.; Martinez, C.P.; Fernández de Mera, I.G.; Höfle, Ú.; Polledo, L.; Marreros, N.; Casais, R.; Marín, J.F. Louping ill in goats, Spain, 2011. Emerg Infect Dis. 2012, 18, 976–978. [Google Scholar] [CrossRef]
- Jeffries, C.L.; Mansfield, K.L.; Phipps, L.P.; Wakeley, P.R.; Mearns, R.; Schock, A.; Bell, S.; Breed, A.C.; Fooks, A.R.; Johnson, N. Louping ill virus: An endemic tick-borne disease of Great Britain. J. Gen. Virol. 2014, 95 Pt 5, 1005–1014. [Google Scholar] [CrossRef]
- Gonzalez, L.; Reid, H.W.; Pow, I.; Gilmour, J.S. A disease resembling louping-ill in sheep in the Basque region of Spain. Vet. Rec. 1987, 121, 12–13. [Google Scholar] [CrossRef]
- Salinas, L.M.; Casais, R.; Garcia Marin, J.F.; Dalton, K.P.; Royo, L.J.; Del Cerro, A.; Gayo, E.; Dagleish, M.P.; Juste, R.A.; Balseiro, A. Lambs are Susceptible to Experimental Challenge with Spanish Goat Encephalitis Virus. J. Comp. Pathol. 2017, 156, 400–408. [Google Scholar] [CrossRef] [PubMed]
- Salinas, L.M.; Casais, R.; Garcia Marin, J.F.; Dalton, K.P.; Royo, L.J.; Del Cerro, A.; Gayo, E.; Dagleish, M.P.; Alberdi, P.; Juste, R.A.; et al. Vaccination against Louping Ill Virus Protects Goats from Experimental Challenge with Spanish Goat Encephalitis Virus. J. Comp. Pathol. 2017, 156, 409–418. [Google Scholar] [CrossRef]
- Santonja, I.; Stiasny, K.; Essl, A.; Heinz, F.X.; Kundi, M.; Holzmann, H. Tick-Borne Encephalitis in Vaccinated Patients: A Retrospective Case-Control Study and Analysis of Vaccination Field Effectiveness in Austria from 2000 to 2018. J. Infect. Dis. 2023, 227, 512–521. [Google Scholar] [CrossRef]






Disclaimer/Publisher’s Note: The statements, opinions and data contained in all publications are solely those of the individual author(s) and contributor(s) and not of MDPI and/or the editor(s). MDPI and/or the editor(s) disclaim responsibility for any injury to people or property resulting from any ideas, methods, instructions or products referred to in the content. |
© 2025 by the authors. Licensee MDPI, Basel, Switzerland. This article is an open access article distributed under the terms and conditions of the Creative Commons Attribution (CC BY) license (https://creativecommons.org/licenses/by/4.0/).
Share and Cite
Nowotny, N.; Mandola, M.L.; Monne, I.; Bagó, Z.; Nogarol, C.; Fusaro, A.; Dimmel, K.; Moroni, B.; Guardone, L.; Kolodziejek, J.; et al. Neurotropic Tick-Borne Flavivirus in Alpine Chamois (Rupicapra rupicapra rupicapra), Austria, 2017, Italy, 2023. Viruses 2025, 17, 122. https://doi.org/10.3390/v17010122
Nowotny N, Mandola ML, Monne I, Bagó Z, Nogarol C, Fusaro A, Dimmel K, Moroni B, Guardone L, Kolodziejek J, et al. Neurotropic Tick-Borne Flavivirus in Alpine Chamois (Rupicapra rupicapra rupicapra), Austria, 2017, Italy, 2023. Viruses. 2025; 17(1):122. https://doi.org/10.3390/v17010122
Chicago/Turabian StyleNowotny, Norbert, Maria Lucia Mandola, Isabella Monne, Zoltán Bagó, Chiara Nogarol, Alice Fusaro, Katharina Dimmel, Barbara Moroni, Lisa Guardone, Jolanta Kolodziejek, and et al. 2025. "Neurotropic Tick-Borne Flavivirus in Alpine Chamois (Rupicapra rupicapra rupicapra), Austria, 2017, Italy, 2023" Viruses 17, no. 1: 122. https://doi.org/10.3390/v17010122
APA StyleNowotny, N., Mandola, M. L., Monne, I., Bagó, Z., Nogarol, C., Fusaro, A., Dimmel, K., Moroni, B., Guardone, L., Kolodziejek, J., Palumbo, E., Stanclova, G., Steinrigl, A., Fidler, G., Bertasio, C., Bertoletti, I., Bianchi, A., Calzolari, M., Prati, P., ... Moreno, A. (2025). Neurotropic Tick-Borne Flavivirus in Alpine Chamois (Rupicapra rupicapra rupicapra), Austria, 2017, Italy, 2023. Viruses, 17(1), 122. https://doi.org/10.3390/v17010122

