Evaluating the Impact of Low-Pathogenicity Avian Influenza H6N1 Outbreaks in United Kingdom and Republic of Ireland Poultry Farms during 2020
Abstract
1. Introduction
2. Materials and Methods
2.1. Surveillance and Sample Submission
2.2. Virological Investigation
2.3. Conventional Sequencing and Phylogenetic Analysis
2.4. Whole-Genome Sequencing and Phylogenetic Analysis
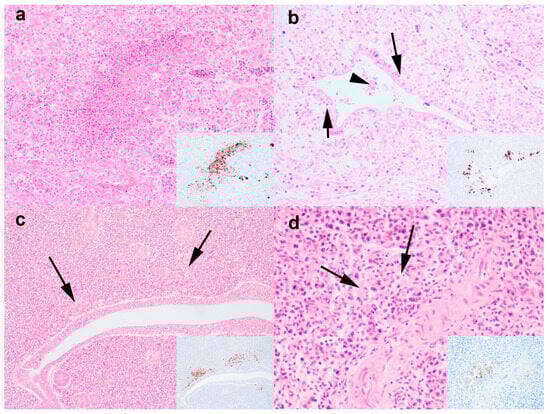
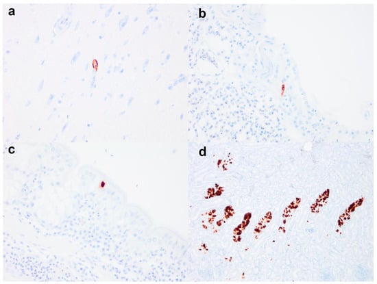
2.5. Histopathology and Immunohistochemistry
3. Results
3.1. Emergence of LPAIV H6N1 across Northern Ireland, Great Britain, and the Republic of Ireland
3.1.1. Northern Ireland
3.1.2. Scotland
3.1.3. England
3.1.4. Republic of Ireland
3.2. Impact of Infection and Clinical Disease Assessments
3.2.1. Clinical Disease
3.2.2. Gross and Microscopic Pathological Observations
3.3. Genetic Evaluation of LPAIV H6N1 from Outbreak Events
4. Discussion
Supplementary Materials
Author Contributions
Funding
Institutional Review Board Statement
Informed Consent Statement
Data Availability Statement
Acknowledgments
Conflicts of Interest
References
- Sun, J.; Zhao, L.; Li, X.; Meng, W.; Chu, D.; Yang, X.; Peng, P.; Zhi, M.; Qin, S.; Fu, T.; et al. Novel H5N6 Avian Influenza Virus Reassortants with European H5N8 Isolated in Migratory Birds, China. Transbound. Emerg. Dis. 2020, 67, 648–660. [Google Scholar] [CrossRef] [PubMed]
- Wu, H.; Yang, F.; Liu, F.; Lu, R.; Peng, X.; Chen, B.; Yao, H.; Wu, N. Isolation and Characterization of Novel Reassortant H6N1 Avian Influenza Viruses from Chickens in Eastern China. Virol. J. 2018, 15, 164. [Google Scholar] [CrossRef] [PubMed]
- Yang, J.; Zhang, C.; Yuan, Y.; Sun, J.; Lu, L.; Sun, H.; Sun, H.; Chu, D.; Qin, S.; Chen, J.; et al. Novel Avian Influenza Virus (H5N1) Clade 2.3.4.4b Reassortants in Migratory Birds, China. Emerg. Infect. Dis. 2023, 29, 1244–1249. [Google Scholar] [CrossRef] [PubMed]
- Driskell, E. Influenza in Animals. In Pathobiology of Human Disease; McManus, L.M., Mitchell, R.N., Eds.; Academic Press: San Diego, CA, USA, 2014; pp. 1071–1082. ISBN 978-0-12-386457-4. [Google Scholar]
- Alexander, D.J.; Brown, I.H. History of Highly Pathogenic Avian Influenza. Rev. Sci. Tech. Int. Off. Epizoot. 2009, 28, 19–38. [Google Scholar] [CrossRef] [PubMed]
- de Bruin, A.C.M.; Funk, M.; Spronken, M.I.; Gultyaev, A.P.; Fouchier, R.A.M.; Richard, M. Hemagglutinin Subtype Specificity and Mechanisms of Highly Pathogenic Avian Influenza Virus Genesis. Viruses 2022, 14, 1566. [Google Scholar] [CrossRef] [PubMed]
- WOAH Avian Influenza (Including Infection with High Pathogenicity Avian Influenza Viruses). Man. Diagn. Tests Vaccines Terr. Anim. 2021. Available online: https://www.woah.org/fileadmin/Home/fr/Health_standards/tahm/3.03.04_AI.pdf (accessed on 11 July 2024).
- Shao, W.; Li, X.; Goraya, M.U.; Wang, S.; Chen, J.-L. Evolution of Influenza A Virus by Mutation and Re-Assortment. Int. J. Mol. Sci. 2017, 18, 1650. [Google Scholar] [CrossRef] [PubMed]
- Monne, I.; Fusaro, A.; Nelson, M.I.; Bonfanti, L.; Mulatti, P.; Hughes, J.; Murcia, P.R.; Schivo, A.; Valastro, V.; Moreno, A.; et al. Emergence of a Highly Pathogenic Avian Influenza Virus from a Low-Pathogenic Progenitor. J. Virol. 2014, 88, 4375–4388. [Google Scholar] [CrossRef]
- Graham, D.; McCullough, S.; Connor, T. Avian Influenza in Northern Ireland: Current Situation. In Proceedings of the Joint Fifth Annual Meetings of the National Newcastle Disease and Avian Influenza Laboratories of Countries of the European Union, Vienna, Austria, 9–10 November 1998; pp. 18–19. [Google Scholar]
- Nagy, A.; Vostinakova, V.; Pirchanova, Z.; Cernikova, L.; Dirbakova, Z.; Mojzis, M.; Jirincova, H.; Havlickova, M.; Dan, A.; Ursu, K.; et al. Development and Evaluation of a One-Step Real-Time RT-PCR Assay for Universal Detection of Influenza A Viruses from Avian and Mammal Species. Arch. Virol. 2010, 155, 665–673. [Google Scholar] [CrossRef] [PubMed]
- Fuller, C.M.; Brodd, L.; Irvine, R.M.; Alexander, D.J.; Aldous, E.W. Development of an L Gene Real-Time Reverse-Transcription PCR Assay for the Detection of Avian Paramyxovirus Type 1 RNA in Clinical Samples. Arch. Virol. 2010, 155, 817–823. [Google Scholar] [CrossRef]
- Slomka, M.J.; Pavlidis, T.; Banks, J.; Shell, W.; McNally, A.; Essen, S.; Brown, I.H. Validated H5 Eurasian Real-Time Reverse Transcriptase–Polymerase Chain Reaction and Its Application in H5N1 Outbreaks in 2005–2006. Avian Dis. 2007, 51, 373–377. [Google Scholar] [CrossRef]
- Slomka, M.J.; Pavlidis, T.; Coward, V.J.; Voermans, J.; Koch, G.; Hanna, A.; Banks, J.; Brown, I.H. Validated RealTime Reverse Transcriptase PCR Methods for the Diagnosis and Pathotyping of Eurasian H7 Avian Influenza Viruses. Influenza Other Respir. Viruses 2009, 3, 151–164. [Google Scholar] [CrossRef] [PubMed]
- Payungporn, S.; Chutinimitkul, S.; Chaisingh, A.; Damrongwantanapokin, S.; Buranathai, C.; Amonsin, A.; Theamboonlers, A.; Poovorawan, Y. Single Step Multiplex Real-Time RT-PCR for H5N1 Influenza A Virus Detection. J. Virol. Methods 2006, 131, 143–147. [Google Scholar] [CrossRef] [PubMed]
- Spackman, E.; Senne, D.A.; Myers, T.J.; Bulaga, L.L.; Garber, L.P.; Perdue, M.L.; Lohman, K.; Daum, L.T.; Suarez, D.L. Development of a Real-Time Reverse Transcriptase PCR Assay for Type A Influenza Virus and the Avian H5 and H7 Hemagglutinin Subtypes. J. Clin. Microbiol. 2002, 40, 3256–3260. [Google Scholar] [CrossRef] [PubMed]
- Das, A.; Suarez, D.L. Development and Bench Validation of Real-Time Reverse Transcription Polymerase Chain Reaction Protocols for Rapid Detection of the Subtypes H6, H9, and H11 of Avian Influenza Viruses in Experimental Samples. J. Vet. Diagn. Investig. 2007, 19, 625–634. [Google Scholar] [CrossRef] [PubMed]
- Byrne, A.M.P.; Reid, S.M.; Seekings, A.H.; Núñez, A.; Obeso Prieto, A.B.; Ridout, S.; Warren, C.J.; Puranik, A.; Ceeraz, V.; Essen, S.; et al. H7N7 Avian Influenza Virus Mutation from Low to High Pathogenicity on a Layer Chicken Farm in the UK. Viruses 2021, 13, 259. [Google Scholar] [CrossRef] [PubMed]
- Löndt, B.Z.; Nunez, A.; Banks, J.; Nili, H.; Johnson, L.K.; Alexander, D.J. Pathogenesis of Highly Pathogenic Avian Influenza A/Turkey/Turkey/1/2005 H5N1 in Pekin Ducks (Anas platyrhynchos) Infected Experimentally. Avian Pathol. 2008, 37, 619–627. [Google Scholar] [CrossRef] [PubMed]
- Byrne, A.M.P.; James, J.; Mollett, B.C.; Meyer, S.M.; Lewis, T.; Czepiel, M.; Seekings, A.H.; Mahmood, S.; Thomas, S.S.; Ross, C.S.; et al. Investigating the Genetic Diversity of H5 Avian Influenza Viruses in the United Kingdom from 2020–2022. Microbiol. Spectr. 2023, 11, e04776-22. [Google Scholar] [CrossRef] [PubMed]
- Engelsma, M.; Heutink, R.; Harders, F.; Germeraad, E.A.; Beerens, N. Multiple Introductions of Reassorted Highly Pathogenic Avian Influenza H5Nx Viruses Clade 2.3.4.4b Causing Outbreaks in Wild Birds and Poultry in The Netherlands, 2020–2021. Microbiol. Spectr. 2022, 10, e02499-21. [Google Scholar] [CrossRef] [PubMed]
- James, J.; Seekings, A.H.; Skinner, P.; Purchase, K.; Mahmood, S.; Brown, I.H.; Hansen, R.D.E.; Banyard, A.C.; Reid, S.M. Rapid and Sensitive Detection of High Pathogenicity Eurasian Clade 2.3.4.4b Avian Influenza Viruses in Wild Birds and Poultry. J. Virol. Methods 2022, 301, 114454. [Google Scholar] [CrossRef]
- Liang, Y.; Nissen, J.N.; Krog, J.S.; Breum, S.Ø.; Trebbien, R.; Larsen, L.E.; Hjulsager, C.K. Novel Clade 2.3.4.4b Highly Pathogenic Avian Influenza A H5N8 and H5N5 Viruses in Denmark, 2020. Viruses 2021, 13, 886. [Google Scholar] [CrossRef]
- Spackman, E.; Pantin-Jackwood, M.J.; Lee, S.A.; Prosser, D. The Pathogenesis of a 2022 North American Highly Pathogenic Clade 2.3.4.4b H5N1 Avian Influenza Virus in Mallards (Anas platyrhynchos). Avian Pathol. 2023, 52, 219–228. [Google Scholar] [CrossRef] [PubMed]
- Zecchin, B.; Goujgoulova, G.; Monne, I.; Salviato, A.; Schivo, A.; Slavcheva, I.; Pastori, A.; Brown, I.H.; Lewis, N.S.; Terregino, C.; et al. Evolutionary Dynamics of H5 Highly Pathogenic Avian Influenza Viruses (Clade 2.3.4.4B) Circulating in Bulgaria in 2019–2021. Viruses 2021, 13, 2086. [Google Scholar] [CrossRef] [PubMed]
- Li, J.; Quan, C.; Xie, Y.; Ke, C.; Nie, Y.; Chen, Q.; Hu, T.; Chen, J.; Wong, G.; Wang, Q.; et al. Continued Reassortment of Avian H6 Influenza Viruses from Southern China, 2014–2016. Transbound. Emerg. Dis. 2019, 66, 592–598. [Google Scholar] [CrossRef]
- Everest, H.; Hill, S.C.; Daines, R.; Sealy, J.E.; James, J.; Hansen, R.; Iqbal, M. The Evolution, Spread and Global Threat of H6Nx Avian Influenza Viruses. Viruses 2020, 12, 673. [Google Scholar] [CrossRef] [PubMed]
- Munster, V.J.; Baas, C.; Lexmond, P.; Waldenström, J.; Wallensten, A.; Fransson, T.; Rimmelzwaan, G.F.; Beyer, W.E.P.; Schutten, M.; Olsen, B.; et al. Spatial, Temporal, and Species Variation in Prevalence of Influenza A Viruses in Wild Migratory Birds. PLOS Pathog. 2007, 3, e61. [Google Scholar] [CrossRef] [PubMed]
- Lang, G. A Review of Influenza in Canadian Domestic and Wild Birds. Avian Dis. 2003, 47, 21–27. [Google Scholar]
- Wang, G.; Deng, G.; Shi, J.; Luo, W.; Zhang, G.; Zhang, Q.; Liu, L.; Jiang, Y.; Li, C.; Sriwilaijaroen, N.; et al. H6 Influenza Viruses Pose a Potential Threat to Human Health. J. Virol. 2014, 88, 3953–3964. [Google Scholar] [CrossRef] [PubMed]
- Reid, S.M.; Brookes, S.M.; Hansen, R.D.; Brown, I.H.; Irvine, R.M.; Welchman, D. Testing to Exclude Notifiable Disease in Birds in Great Britain. Vet. Rec. 2021, 189, 207. [Google Scholar] [CrossRef] [PubMed]
- Lycett, S.J.; Duchatel, F.; Digard, P. A Brief History of Bird Flu. Philos. Trans. R. Soc. B Biol. Sci. 2019, 374, 20180257. [Google Scholar] [CrossRef]
- Naguib, M.M.; Verhagen, J.H.; Mostafa, A.; Wille, M.; Li, R.; Graaf, A.; Järhult, J.D.; Ellström, P.; Zohari, S.; Lundkvist, Å.; et al. Global Patterns of Avian Influenza A (H7): Virus Evolution and Zoonotic Threats. FEMS Microbiol. Rev. 2019, 43, 608–621. [Google Scholar] [CrossRef]
- Pusch, E.A.; Suarez, D.L. The Multifaceted Zoonotic Risk of H9N2 Avian Influenza. Vet. Sci. 2018, 5, 82. [Google Scholar] [CrossRef]
- Sit, T.H.C.; Sun, W.; Tse, A.C.N.; Brackman, C.J.; Cheng, S.M.S.; Tang, A.W.Y.; Cheung, J.T.L.; Peiris, M.; Poon, L.L.M. Novel Zoonotic Avian Influenza A(H3N8) Virus in Chicken, Hong Kong, China. Emerg. Infect. Dis. 2022, 28, 2009–2015. [Google Scholar] [CrossRef]
- Corrand, L.; Delverdier, M.; Lucas, M.-N.; Croville, G.; Facon, C.; Balloy, D.; Ducatez, M.; Guérin, J.-L. A Low-Pathogenic Avian Influenza H6N1 Outbreak in a Turkey Flock in France: A Comprehensive Case Report. Avian Pathol. 2012, 41, 569–577. [Google Scholar] [CrossRef]
- Shkoda, I.; Lapin, E.; Rosenbluth, E.; Perk, S.; Geva, Z.; Inbar, A.; Davidson, I. Characterization of a Low Pathogenic Avian Influenza Virus (H6N1) Isolated from Turkeys. Influenza Res. Treat. 2011, 2011, 285218. [Google Scholar] [CrossRef] [PubMed]
- Cheung, C.L.; Vijaykrishna, D.; Smith, G.J.D.; Fan, X.H.; Zhang, J.X.; Bahl, J.; Duan, L.; Huang, K.; Tai, H.; Wang, J.; et al. Establishment of Influenza A Virus (H6N1) in Minor Poultry Species in Southern China. J. Virol. 2007, 81, 10402–10412. [Google Scholar] [CrossRef]
- Quan, C.; Wang, Q.; Zhang, J.; Zhao, M.; Dai, Q.; Huang, T.; Zhang, Z.; Mao, S.; Nie, Y.; Liu, J.; et al. Avian Influenza A Viruses among Occupationally Exposed Populations, China, 2014–2016. Emerg. Infect. Dis. 2019, 25, 2215–2225. [Google Scholar] [CrossRef] [PubMed]
- Rohani, P.; Breban, R.; Stallknecht, D.E.; Drake, J.M. Environmental Transmission of Low Pathogenicity Avian Influenza Viruses and Its Implications for Pathogen Invasion. Proc. Natl. Acad. Sci. USA 2009, 106, 10365–10369. [Google Scholar] [CrossRef] [PubMed]
- Beerens, N.; Heutink, R.; Harders, F.; Bossers, A.; Koch, G.; Peeters, B. Emergence and Selection of a Highly Pathogenic Avian Influenza H7N3 Virus. J. Virol. 2020, 94, e01818-19. [Google Scholar] [CrossRef] [PubMed]
- Le, K.T.; Isoda, N.; Nguyen, L.T.; CHU, D.-H.; Nguyen, L.V.; Phan, M.Q.; Nguyen, D.T.; Nguyen, T.N.; Tien, T.N.; Le, T.T.; et al. Risk Profile of Low Pathogenicity Avian Influenza Virus Infections in Farms in Southern Vietnam. J. Vet. Med. Sci. 2022, 84, 860–868. [Google Scholar] [CrossRef]
- Reid, S.M.; Banks, J.; Ceeraz, V.; Seekings, A.; Howard, W.A.; Puranik, A.; Collins, S.; Manvell, R.; Irvine, R.M.; Brown, I.H. The Detection of a Low Pathogenicity Avian Influenza Virus Subtype H9 Infection in a Turkey Breeder Flock in the United Kingdom. Avian Dis. 2016, 60, 126–131. [Google Scholar] [CrossRef]
- Coman, A.; Maftei, D.N.; Krueger, W.S.; Heil, G.L.; Chereches, R.M.; Sirlincan, E.; Bria, P.; Dragnea, C.; Kasler, I.; Valentine, M.A.; et al. A Prospective Study of Romanian Agriculture Workers for Zoonotic Influenza Infections. PLoS ONE 2014, 9, e98248. [Google Scholar] [CrossRef] [PubMed]
- Lin, H.-T.; Wang, C.-H.; Chueh, L.-L.; Su, B.-L.; Wang, L.-C. Influenza A(H6N1) Virus in Dogs, Taiwan. Emerg. Infect. Dis. 2015, 21, 2154–2157. [Google Scholar] [CrossRef] [PubMed]



| HA | NA | PB2 | PB1 | PA | NP | MP | NS | |
|---|---|---|---|---|---|---|---|---|
| Ireland | 99.2–99.9 | 99.2–99.9 | 99.4–100 | 99.5–99.0 | 99.5–99.0 | 99.1–99.8 | 99.1–100 | 98.9–100 |
| Great Britain | 95.7–96.0 | 98.0–98.5 | 98.5–98.9 | 93.4–93.8 | 94.6–95.1 | 93.3–93.8 | 97.2–97.5 | 94.9–95.4 |
Disclaimer/Publisher’s Note: The statements, opinions and data contained in all publications are solely those of the individual author(s) and contributor(s) and not of MDPI and/or the editor(s). MDPI and/or the editor(s) disclaim responsibility for any injury to people or property resulting from any ideas, methods, instructions or products referred to in the content. |
© 2024 by the authors. Licensee MDPI, Basel, Switzerland. This article is an open access article distributed under the terms and conditions of the Creative Commons Attribution (CC BY) license (https://creativecommons.org/licenses/by/4.0/).
Share and Cite
McMenamy, M.J.; McKenna, R.; Bailie, V.B.; Cunningham, B.; Jeffers, A.; McCullough, K.; Forsythe, C.; Cuartero, L.G.; Flynn, O.; Byrne, C.; et al. Evaluating the Impact of Low-Pathogenicity Avian Influenza H6N1 Outbreaks in United Kingdom and Republic of Ireland Poultry Farms during 2020. Viruses 2024, 16, 1147. https://doi.org/10.3390/v16071147
McMenamy MJ, McKenna R, Bailie VB, Cunningham B, Jeffers A, McCullough K, Forsythe C, Cuartero LG, Flynn O, Byrne C, et al. Evaluating the Impact of Low-Pathogenicity Avian Influenza H6N1 Outbreaks in United Kingdom and Republic of Ireland Poultry Farms during 2020. Viruses. 2024; 16(7):1147. https://doi.org/10.3390/v16071147
Chicago/Turabian StyleMcMenamy, Michael J., Robyn McKenna, Valerie B. Bailie, Ben Cunningham, Adam Jeffers, Kelly McCullough, Catherine Forsythe, Laura Garza Cuartero, Orla Flynn, Christina Byrne, and et al. 2024. "Evaluating the Impact of Low-Pathogenicity Avian Influenza H6N1 Outbreaks in United Kingdom and Republic of Ireland Poultry Farms during 2020" Viruses 16, no. 7: 1147. https://doi.org/10.3390/v16071147
APA StyleMcMenamy, M. J., McKenna, R., Bailie, V. B., Cunningham, B., Jeffers, A., McCullough, K., Forsythe, C., Cuartero, L. G., Flynn, O., Byrne, C., Connaghan, E., Moriarty, J., Fanning, J., Ronan, S., Barrett, D., Fusaro, A., Monne, I., Terregino, C., James, J., ... Lemon, K. (2024). Evaluating the Impact of Low-Pathogenicity Avian Influenza H6N1 Outbreaks in United Kingdom and Republic of Ireland Poultry Farms during 2020. Viruses, 16(7), 1147. https://doi.org/10.3390/v16071147

