Characterization of Herpesviridae Family Members, BK Virus, and Adenovirus in Children and Adolescents with Nephrotic Syndrome
Abstract
1. Introduction
2. Patients and Methods
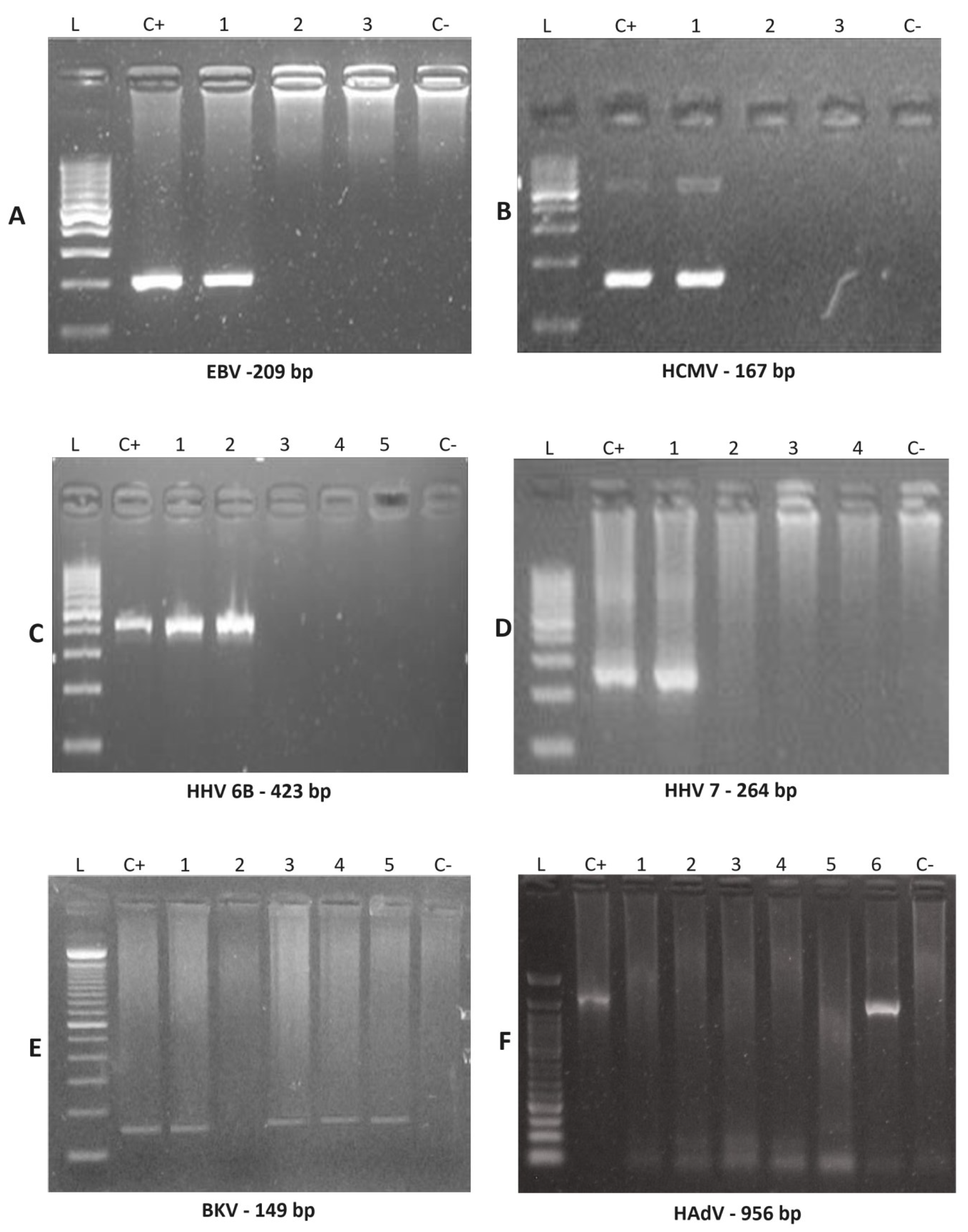
3. Results
4. Discussion
5. Conclusions
Author Contributions
Funding
Institutional Review Board Statement
Informed Consent Statement
Data Availability Statement
Acknowledgments
Conflicts of Interest
References
- Eddy, A.A.; Symons, J.M. Nephrotic syndrome in childhood. Lancet 2003, 362, 629–639. [Google Scholar] [CrossRef]
- Noone, D.G.; Iijima, K.; Parekh, R. Idiopathic nephrotic syndrome in children. Lancet 2018, 392, 61–74, Erratum in Lancet 2018, 392, 282. [Google Scholar] [CrossRef]
- Vivarelli, M.; Gibson, K.; Sinha, A.; Boyer, O. Childhood nephrotic syndrome. Lancet 2023, 402, 809–824. [Google Scholar] [CrossRef] [PubMed]
- Kumar, M.; Ghunawat, J.; Saikia, D.; Manchanda, V. Incidence and risk factors for major infections in hospitalized children with nephrotic syndrome. J. Bras. Nefrol. 2019, 41, 526–533. [Google Scholar] [CrossRef]
- Ponticelli, C.; Coppo, R.; Salvadori, M. Glomerular diseases and transplantation: Similarities in pathogenetic mechanisms and treatment options. Nephrol. Dial. Transplant. 2011, 26, 35–41. [Google Scholar] [CrossRef] [PubMed][Green Version]
- Hoes, J.N.; Jacob, J.W.; Verstappen, S.M.; Bijlsma, J.W.; Van de Heijden, G.J. Adverse events of low-to-medium-dose oral glucocorticoids in inflammatory diseases: A meta-analysis. Ann. Rheum. Dis. 2009, 68, 1833–1838. [Google Scholar] [CrossRef] [PubMed]
- Peng, Y.; Liu, B.; Hou, J.; Sun, J.; Hao, R.; Xiang, K.; Yan, L.; Zhang, J.; Zhuang, H.; Li, T. Naturally occurring deletions/insertions in HBV core promoter tend to decrease in hepatitis B e antigen-positive chronic hepatitis B patients during antiviral therapy. Antivir. Ther. 2015, 20, 623–632. [Google Scholar] [CrossRef]
- Liu, B.; Yang, J.X.; Yan, L.; Zhuang, H.; Li, T. Novel HBV recombinants between genotypes B and C in 3′-terminal reverse transcriptase (RT) sequences are associated with enhanced viral DNA load, higher RT point mutation rates and place of birth among Chinese patients. Infect. Genet. Evol. 2018, 57, 26–35. [Google Scholar] [CrossRef] [PubMed]
- Reimann, H.A. Nephropathy and viruses. Postgrad. Med. 2015, 1968, 853–860. [Google Scholar]
- Wenderfer, S.E. Viral-associated glomerulopathies in children. Pediatr. Nephrol. 2015, 30, 1929–1938. [Google Scholar] [CrossRef][Green Version]
- Nilsson, C.; Linde, A.; Motmogmery, S.M.; Gustafsson, L.; Näsman, P.; Blomberg, M.T. Does early EBV infection protect against IgE sensitization? J. Allergy Clin. Immunol. 2005, 116, 438–444. [Google Scholar] [CrossRef] [PubMed]
- Agut, H.; Bonnafous, P.; Gautheret-Dejean, A. Laboratory and clinical aspects of human herpesvirus 6 infections. Clin. Microbiol. Rev. 2015, 28, 313–335. [Google Scholar] [CrossRef] [PubMed]
- Calvani, M.; Alessandri, C.; Paolone, G.; Rosengard, L.; Di Caro, A.; De Franco, D. Correlation between Epstein Barr vírus antibodies, serum IgE, and atopic disease. Pediatr. Allergy Immunol. 1997, 8, 91–96. [Google Scholar] [CrossRef] [PubMed]
- Yamamoto, Y.; Morooka, M.; Ihira, M.; Yoshikawa, T. The kinetics of urinary shedding of BK virus in children with renal disease. Microbiol. Immunol. 2015, 59, 37–42. [Google Scholar] [CrossRef] [PubMed]
- Costa, C.; Cavallo, R. Polyomavirus-associated nephropathy. World J. Transplant. 2012, 2, 84–94. [Google Scholar] [CrossRef]
- Hirsch, H.H.; Steiger, J. Polyomavirus BK. Lancet Infect. Dis. 2003, 3, 611–623. [Google Scholar] [CrossRef] [PubMed]
- Hirsch, H.H.; Randhawa, P. AST Infectious Diseases Community of Practice. BK polyomavirus in solid organ transplantation. Am. J. Transplant. 2013, 13 (Suppl. S4), 179–188. [Google Scholar] [CrossRef] [PubMed]
- Ghebremedhin, B. Human adenovirus: Viral pathogen with increasing importance. Eur. J. Microbiol. Immunol. 2014, 4, 26–33. [Google Scholar] [CrossRef] [PubMed]
- Radke, J.R.; Cook, J.L. Human adenovirus infections: Update and consideration of mechanisms of viral persistence. Curr. Opin. Infec. Dis. 2018, 31, 251–256. [Google Scholar] [CrossRef] [PubMed]
- Florescu, D.F.; Hoffman, J.A. AST Infectious Diseases Community of Practice. Adenovirus in solid organ transplantation. Am. J. Transplant. 2013, 13 (Suppl. S4), 206–211. [Google Scholar] [CrossRef]
- Hibino, S.; Nagai, T.; Yamakawa, S.; Ito, H.; Tanaka, K.; Uemura, O. Pharmacokinetics of mycophenolic acid in children with clinically stable idiopathic nephrotic syndrome receiving cyclosporine. Clin. Exp. Nephrol. 2017, 21, 152–158. [Google Scholar] [CrossRef] [PubMed]
- Khwaja, A. KDIGO clinical practice guidelines for acute kidney injury. Nephron Clin. Pract. 2012, 120, c179–c184. [Google Scholar] [CrossRef] [PubMed]
- Schwartz, G.J.; Haycock, G.B.; Spitzer, A. Plasma creatinine and urea concentration in children: Normal values for age and sex. J. Pediatr. 1976, 88, 828–830. [Google Scholar] [CrossRef] [PubMed]
- Schwartz, G.J.; Feld, L.G.; Langford, D.J. A simple estimate of glomerular filtration rate in full-term infants during the first year of life. J. Pediatr. 1984, 104, 849–854. [Google Scholar] [CrossRef] [PubMed]
- Schwartz, G.J.; Gauthier, B. A simple estimate of glomerular filtration rate in adolescent boys. J. Pediatr. 1985, 106, 522–526. [Google Scholar] [CrossRef]
- Chang, T.W. Recurrent Viral Infection (Reinfection). N. Engl. J. Med. 1971, 284, 765–773. [Google Scholar] [CrossRef] [PubMed]
- Ljungman, P.; Boeckh, M.; Hirsch, H.H.; Josephson, F.; Lundgren, J.; Nichols, G.; Pikis, A.; Razonable, R.R.; Miller, V.; Griffiths, P.D.; et al. Definitions of Cytomegalovirus infection and disease in transplant patients for use in clinical trials. Clin. Infect. Dis. 2017, 64, 87–91. [Google Scholar]
- Zaravinos, A.; Bizakis, J.; Spandidos, D.A. Prevalence of human papillomavirus and human herpes virus types 1–7 in human nasal polyposis. J. Med. Virol. 2009, 81, 1613–1619. [Google Scholar] [CrossRef]
- Cinque, P.; Brytting, M.; Vago, L.; Castagna, A.; Parravicini, C.; Zanchetta, N. Epstein-Barr virus DNA in cerebrospinal fluid from patients with Aids-related primary lymphoma of the central nervous system. Lancet 1993, 342, 398–401. [Google Scholar] [CrossRef]
- Leng, S.X.; Li, H.; Xue, Q.L.; Tian, J.; Yang, X.; Ferrucci, L.; Fedarko, N.; Fried, L.P.; Semba, R.D. Association of detectable cytomegalovirus (CMV) DNA in monocytes rather than positive CMV IgG serology with elevated neopterin levels in community-dwelling older adults. Exp. Gerontol. 2011, 46, 679–684. [Google Scholar] [CrossRef][Green Version]
- Wang, F.Z.; Dahl, H.; Linde, A.; Brytting, M.; Ehrnst, A.; Ljungman, P. Lymphotropic herpesviruses in allogeneic bone marrow 7ransplantation. Blood 1996, 88, 3615–3620. [Google Scholar] [CrossRef] [PubMed]
- Yalcin, S.; Karpuzoglu, T.; Suleymanlar, G.; Mutlu, G.; Mukai, T.; Yamamoto, T. Human herpesvirus 6 and human herpesvirus 7 infections in kidney transplant recipients and healthy adults in Turkey. Arch. Virol. 1994, 136, 183–190. [Google Scholar] [CrossRef]
- Haghighi, M.F.; Seyyedi, N.; Farhadi, A.; Zare, F.; Kasraian, L.; Refiei Dehbidi, G.R.; Ranjbaran, R.; Behzad-Behbahani, A. Polyomaviruses BK and JC DNA infection in peripheral blood cells from blood donors. Braz. J. Infect. Dis. 2019, 23, 22–26. [Google Scholar] [CrossRef] [PubMed]
- Dalapathy, S.; Lily, T.K.; Roy, S.; Madhavan, H.N. Development and use of nested polymerase chain reaction (PCR) for the detection of adenovirus from conjunctivitis specimens. J. Clin. Virol. 1998, 11, 77–84. [Google Scholar] [CrossRef] [PubMed]
- Van der Bij, W.; Schirm, J.; Torensma, R.; van Son, W.J.; Tegzess, A.M. The TH: Comparison between viremia and antigenemia for detection of cytomegalovirus in blood. J. Clin. Microbiol. 1988, 26, 2531–2535. [Google Scholar] [CrossRef] [PubMed]
- Liang, K.; Zeger, S.L. Longitudinal Data Analysis Using Generalized Linear Models. Biometrika 1986, 73, 13–22. [Google Scholar] [CrossRef]
- Dossier, C.; Leclerc, A.; Rousseau, A.; Michel, Y.; Dejean, A.; Englender, M. Prevalence of herpesviruses at onset of idiopathic nephrotic syndrome. Pediatr. Nephrol. 2014, 29, 2325–2331. [Google Scholar] [CrossRef] [PubMed]
- Merkle, M.; Ribeiro, A.; Belling, F.; Mannell, H.; Krotz, F.; Pircher, J.; Wörnle, M. Response of VEGF to activation of viral receptors and TNFa in human mesangial cells. Mol. Cell Biochem. 2012, 370, 151–161. [Google Scholar] [CrossRef] [PubMed]
- Uwaezuoke, S.N. Steroid-sensitive nephrotic syndrome in children: Triggers of relapse and evolving hypotheses on pathogenesis. Ital. J. Pediatr. 2015, 41, 19. [Google Scholar] [CrossRef]
- Draborg, A.H.; Duus, K.; Houen, G. Epstein-Barr virus in systemic autoimmune diseases. Clin. Dev. Immunol. 2013, 2013, 535738. [Google Scholar] [CrossRef]
- Wagner, H.J.; Wessel, M.; Jabs, W.; Smets, F.; Fischer, L.; Offner, G. Patients at risk for development of posttransplant lymphoproliferative disorder: Plasma versus peripheral blood mononuclear cells as material for quantification of Epstein-Barr viral load by using real-time quantitative polymerase chain reaction. Transplantation 2001, 72, 1012–1019. [Google Scholar] [CrossRef] [PubMed]
- Randhawa, P.S.; Finkelstein, S.; Scantlebury, V.; Shapiro, R.; Vivas, C.; Jordan, M. Human polyoma virus-associated interstitial nephritis in the allograft kidney. Transplantation 1999, 67, 103–109. [Google Scholar] [CrossRef] [PubMed]
- Binet, I.; Nickeleit, V.; Hirsch, H.H.; Prince, O.; Dalquen, P.; Gudat, F. Polyomavirus disease under new immunosuppressive drugs. Transplantation 1999, 67, 918–922. [Google Scholar] [CrossRef] [PubMed]
- Drachenberg, C.B.; Beskow, C.O.; Cangro, C.B.; Bourquin, P.M.; Simsir, A.; Fink, J.; Weir, M.R.; Klassen, D.K.; Bartlett, S.T.; Papadimitriou, J.C. Human polyoma virus in renal allograft biopsies: Morphological findings and correlation with urine cytology. Hum. Pathol. 1999, 30, 970–977. [Google Scholar] [CrossRef] [PubMed]
- Boan, P.; Hewison, C.; Swaminathan, R.; Irish, A.; Warr, K.; Sinniah, R.; Pryce, T.M.; Flexman, J. Optimal use of plasma and urine BK viral loads for screening and predicting BK nephropathy. BMC Infect. Dis. 2016, 16, 342. [Google Scholar] [CrossRef] [PubMed]
- Fijo-Lopez-Viota, J.; Espinosa-Roman, L.; Herrero-Hernando, C.; Sanahuja-Ibanez, M.J.; Vila-Santandreu, A.; Praena-Fernandez, J.M. Cytomegalovirus and paediatric renal transplants: Is this a current issue? Nefrologia 2013, 33, 7–13. [Google Scholar] [PubMed]
- De La Roque, C.D.; Combe, C.; Rigothier, C. Up to date of pathophysiology mechanism of idiopathic nephrotic syndromes: Minimal change disease and focal and segmental glomerulosclerosis. Néphrol. Thér. 2018, 14, 501–506. [Google Scholar]
- Chapenko, S.; Folkmane, I.; Ziedina, I.; Chistyakovs, M.; Rozentals, R.; Krumina, A. Association of HHV-6 and HHV-7 reactivation with the development of chronic allograft nephropathy. J. Clin. Virol. 2009, 46, 29–32. [Google Scholar] [CrossRef] [PubMed]
- Styczynski, J. Who Is the Patient at Risk of CMV Recurrence: A Review of the Current Scientific Evidence with a Focus on Hematopoietic Cell Transplant. Infect. Dis. Ther. 2018, 7, 1–16. [Google Scholar] [CrossRef]
- De Mezerville, M.H.; Tellier, R.; Richardson, S.; Hébert, D.; Doyle, J.; Allen, U. Adenoviral infections in pediatric transplant recipients: A hospital-based study. Pediatr. Infect. Dis. J. 2006, 25, 815–818. [Google Scholar] [CrossRef]
- Lappalainen, S.; Ylitalo, S.; Arola, A.; Halkosalo, A.; Räsänen, S.; Vesikari, T. Simultaneous presence of human herpesvirus 6 and adenovirus infections in intestinal intussusception of young children. Acta Paediatr. 2012, 1, 663–670. [Google Scholar] [CrossRef] [PubMed]


| Virus | Gene | Primer | Sequence 5′—3′ | PCR Condition | Base Pairs (Type) | References |
|---|---|---|---|---|---|---|
| EBV | EBNA-1 | EBV-1 EBV-2 EBV-3 EBV-4 | AAGGAGGGTGGTTTGGAAAG AGACAATGGACTCCCTTAGC ATCGTGGTCAAGGAGGTTCC ACTCAATGGTGTAAGACGAC | First round PCR: 95 °C, 2 min, followed 20 cycles 95 °C, 1 min, 55 °C, 1 min, 72 °C, 1 min Second round PCR: 95 °C, 2 min, followed 30 cycles 95 °C, 1 min, 60 °C, 1 min, 72 °C, 1 min | 297 209 | [27] |
| HCMV | HCMV UL123 | HCMV-1 HCMV-2 HCMV-3 HCMV-4 | ATGGAGTCCTCTGCCAAGAG CAATACACTTCATCTCCTCG GTGACCAAGGCCACGACGTT TCTGCCAGCACATCTTTCTC | 95 °C, 2 min followed 30 cycles, 30 s 95 °C, 45 s, 57 °C, 1 mim, 72 °C 1 mim, 72 °C 10 min | 310 167 | [28] |
| HHV-6-A | a sequence in the BMHI K | HHV-6-1 HHV-6-2 HHV-6-3 HHV-6-4 | CAAGCCCTAACTGTGTATGT TCTGCAATGTAATCAGTTTC CTGGGCGGCCCTAATAACTT ATCGCTTTCACTCTCATAAG | 95 °C 3 min, followed 30 cycles 1 mim, 95 °C, 1 mim 62 °C 1 min, 72 °C 1 min, 72 °C 10 min | 325 (A) 553 (B) 195 (A) 423 (B) | [29] |
| HHV-7 | Kr4 | HHV-7-1 HHV-7-2 HHV-7-3 HHV-7-4 | AGTTCCAGCACTGCAATCG CACAAAGCGTCGCTATCAA CGCATACACCAACCCTACT GACTCATTATGGGGATCGAC | 95 °C, 3 min, followed 30 cycles 45 s, 95 °C, 45 s, 55 °C, 1 mim, 72 °C 1 mim, 72 °C 10 min | 388 264 | [30] |
| BKV | VP2 | PEP-1 PEP-2 PEP-1 BEP-1 | AAGTCTTTAGGGTCTTCTAC GTGCCAACCTATGGAACAGA AAGTCTTTAGGGTCT GAGTCCTGGTGGAGT | 94 °C, 5 min.94 °C, 30 s, 55 °C, 45 s 72 °C, 1 min, 72 °C, 5 min, 40 cycles | 176 149 | [31] |
| HAdV | Hexon gene sequences (adenovirus serotypes 2, 5, 40 and 41. | AdTU7′-5′ AdTU4′-5 AdnUS′-5′ AdnUA´-5 | GCC ACC TTC TTC CCC ATG GC GTA GCG TTG CCG GCC GAG AA TTC CCC ATG GCN CAC AAC AC GCC TCG ATG ACG CCG CGG TG | 94 °C, 1 min, 50 °C 1 min, 72 °C, 7 min, 36 Cycles | 1004 956 | [32] |
| Follow-Up Period | ||||||||||||
|---|---|---|---|---|---|---|---|---|---|---|---|---|
| N | Sex (M/F)/Years | HCMV/EBV IgG | Pred Group | Virus+ | 0–14 Days (Symp) | 15–91 Days (Symp) | 92–120 Days (Symp) | >121 Days (Symp) | Active Virus Infection (Type) | HCMVd | Relapse (Time %) | Hosp (Days) |
| 1 | M/8 | N/A/+ | 2 | HCMV HHV-7 | 0 | 91 91 | 112 | 140 | Coinf–Rec–Cons | Y (−) pp65 | >51% | Y (90) |
| 7 | M/14 | +/+ | 1 | HHV-7 | 241,266 | Cons | N | >51% | Y (10) | |||
| 8 | M/2 | +/− | 1 | BKV | 224,252,266 | Cons | N | >51% | N | |||
| 11 | M/14 | +/− | 2 | HCMV | 168,273,301 | Rec | Y (−) pp65 | >51% | Y (80) | |||
| 15 | F/11 | +/+ | 1 | HCMV BKV | 448,476 342,476 | Cons–Coinf | N | >51% | Y (4) | |||
| 21 | M/5 | +/+ | 1 | EBV HCMV BKV | 7 | 39 42 | 168, 189 168 | Cons–Coinf | N | >51% | Y (20) | |
| 23 | F/9 | −/+ | 1 | EBV HCMV | 329 329 | Coinf | N | >51% | Y (26) | |||
| 24 | F/9 | +/+ | 1 | HHV-6 HAdV BKV | 0 | 57 57 35 | Coinf–Cons | N | >51% | Y (15) | ||
| 27 | F/1 | +/+ | 1 | HCMV | 14 | 84 | Rec | Y (+) HCMV/IgM- | >51% | Y (3) | ||
| 31 | M/7 | −/+ | 2 | HHV-7 HAdV | 133–133 133 | Coinf | N | N | N | |||
| 34 | M/3 | +/+ | 2 | BKV HCMV | 0–14 | 112 | 140 | Coinf–Cons | N | >51% | N | |
| Parameter | AVI + | AVI − | p | Co+ | Co− | p | (+) con | (−) con | p | (+) R | (−) R | p |
|---|---|---|---|---|---|---|---|---|---|---|---|---|
| Gender (Male/Female) | 7/4 | 14/10 | NS | 3/3 | 18/11 | 0.6645 | 5/2 | 16/12 | 0.6760 | 3/1 | 18/13 | 0.6350 |
| Age (1–8/9–17) | 6/5 | 16/8 | 0.7077 | 3/3 | 19/10 | 0.6485 | 4/3 | 18/10 | NS | 3/1 | 19/22 | NS |
| * Hospitalization (y/n) | 8/3 | 4/20 | 0.0022 | 5/1 | 7/22 | 0.0118 | 5/2 | 7/21 | 0.0331 | 3/1 | 9/22 | 0.1061 |
| * HCMVd (y/n) | 3/8 | 1/23 | 0.0819 | 1/5 | 3/26 | 0.5464 | 1/6 | 3/25 | NS | 3/1 | 1/30 | 0.0024 |
| Symptoms (y/n) | 11/0 | 17/7 | 0.0721 | 6/0 | 22/7 | 0.3113 | 7/0 | 21/7 | 0.3009 | 4/0 | 24/7 | 0.5620 |
| * Fever (y/n) | 2/9 | 7/17 | 0.6855 | 1/5 | 8/21 | NS | 2/5 | 7/21 | NS | 1/3 | 8/23 | NS |
| Gastrointestinal (y/n) | 6/5 | 8/16 | 0.2831 | 3/3 | 11/18 | 0.6645 | 5/2 | 9/19 | 0.0897 | 3/1 | 11/20 | 0.2496 |
| Neurological (y/n) | 1/10 | 1/23 | 0.5361 | 0/6 | 2/27 | NS | 1/6 | 1/27 | 0.3647 | 1/3 | 1/30 | 0.2185 |
| Respiratory (y/n) | 7/4 | 11/13 | 0.4705 | 2/1 | 13/16 | 0.1774 | 3/4 | 15/13 | 0.6906 | 3/1 | 15/16 | 0.6026 |
| Creatinine (Norm: >90)/Abn: <90) | 10/1 | 23/1 | 0.5361 | 6/0 | 27/2 | NS | 7/0 | 26/2 | NS | 3/1 | 30/1 | 0.2185 |
| Albumine (≤2.5/>2.51) | 7/4 | 10/14 | 0.2890 | 5/1 | 12/17 | 0.0877 | 5/2 | 12/16 | 0.2285 | 2/2 | 15/16 | NS |
| Urine prot/creat.urine (>0.20/<0.21) | 4/7 | 11/13 | 0.7210 | 2/4 | 13/16 | 0.6804 | 4/3 | 11/17 | 0.4301 | 1/3 | 14/17 | 0.6190 |
| Prednisone (Group 1/Group 2) | 7/4 | 16/8 | NS | 4/2 | 19/10 | NS | 5/2 | 18/10 | NS | 1/3 | 22/9 | 0.1061 |
| Immunos (Pred/Pred + Other) | 3/8 | 7/17 | NS | 2/4 | 8/21 | NS | 1/6 | 9/19 | 0.6445 | 1/3 | 9/22 | NS |
| Immunos time (1–5/6–13 years) | 8/3 | 17/7 | NS | 4/2 | 21/8 | NS | 6/1 | 19/9 | 0.6445 | 2/2 | 23/8 | 0.5607 |
| Corticosteroid response (S/R) | 8/3 | 20/4 | 0.6524 | 5/1 | 23/6 | NS | 6/1 | 22/6 | NS | 2/2 | 26/5 | 0.1710 |
| Relapse/Remission | 10/1 | 20/4 | NS | 5/1 | 25/4 | NS | 7/0 | 23/5 | 0.5545 | 4/0 | 26/5 | NS |
Disclaimer/Publisher’s Note: The statements, opinions and data contained in all publications are solely those of the individual author(s) and contributor(s) and not of MDPI and/or the editor(s). MDPI and/or the editor(s) disclaim responsibility for any injury to people or property resulting from any ideas, methods, instructions or products referred to in the content. |
© 2024 by the authors. Licensee MDPI, Basel, Switzerland. This article is an open access article distributed under the terms and conditions of the Creative Commons Attribution (CC BY) license (https://creativecommons.org/licenses/by/4.0/).
Share and Cite
Ferreira Menoni, S.M.; Leon, L.L.; de Lima, R.G.; Lutaif, A.C.G.d.B.; Prates, L.C.; Palma, L.M.P.; Costa, S.C.B.; Belangero, V.M.S.; Bonon, S.H.A. Characterization of Herpesviridae Family Members, BK Virus, and Adenovirus in Children and Adolescents with Nephrotic Syndrome. Viruses 2024, 16, 1017. https://doi.org/10.3390/v16071017
Ferreira Menoni SM, Leon LL, de Lima RG, Lutaif ACGdB, Prates LC, Palma LMP, Costa SCB, Belangero VMS, Bonon SHA. Characterization of Herpesviridae Family Members, BK Virus, and Adenovirus in Children and Adolescents with Nephrotic Syndrome. Viruses. 2024; 16(7):1017. https://doi.org/10.3390/v16071017
Chicago/Turabian StyleFerreira Menoni, Silvia Mendonça, Lucas Lopes Leon, Rodrigo Gonçalves de Lima, Anna Cristina Gervásio de Brito Lutaif, Liliane Cury Prates, Lilian Monteiro Pereira Palma, Sandra Cecília Botelho Costa, Vera Maria Santoro Belangero, and Sandra Helena Alves Bonon. 2024. "Characterization of Herpesviridae Family Members, BK Virus, and Adenovirus in Children and Adolescents with Nephrotic Syndrome" Viruses 16, no. 7: 1017. https://doi.org/10.3390/v16071017
APA StyleFerreira Menoni, S. M., Leon, L. L., de Lima, R. G., Lutaif, A. C. G. d. B., Prates, L. C., Palma, L. M. P., Costa, S. C. B., Belangero, V. M. S., & Bonon, S. H. A. (2024). Characterization of Herpesviridae Family Members, BK Virus, and Adenovirus in Children and Adolescents with Nephrotic Syndrome. Viruses, 16(7), 1017. https://doi.org/10.3390/v16071017

