Unveiling of the Co-Infection of Peste des Petits Ruminants Virus and Caprine Enterovirus in Goat Herds with Severe Diarrhea in China
Abstract
1. Introduction
2. Materials and Methods
2.1. Outbreak of a Disease Characterized by Severe Diarrhea and Respiratory Signs
2.2. PPRV and CEV Specimens Controls
2.3. Detection of PPRV and CEV by Electron Microscopy and ELISA
2.4. RNA Extraction, cDNA Synthesis and PCR Amplification
2.5. Histopathological Examinations and Immunohistochemistry Assay
3. Results
3.1. Two Kinds of Virus Particles Were Revealed in the Specimens Using Electron Microscopy
3.2. PPRV and CEV Infection Revealed in Goat Herds Using ELISA Methods
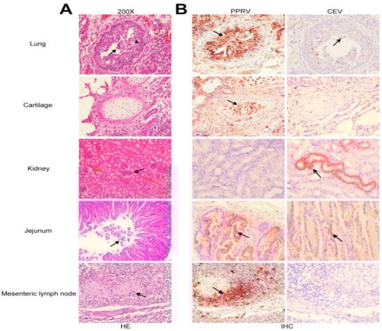
3.3. Histopathological Alterations in Goats Co-Infected with PPRV and CEV
3.4. Tissue Tropism for PPRV and CEV in Goats Infected with PPRV and CEV
4. Discussion
Author Contributions
Funding
Institutional Review Board Statement
Informed Consent Statement
Data Availability Statement
Acknowledgments
Conflicts of Interest
References
- Brown, C.C.; Mariner, J.C.; Olander, H.J. An immunohistochemical study of the pneumonia caused by peste des petits ruminants virus. Vet. Pathol. 1991, 28, 166–170. [Google Scholar] [CrossRef]
- Kumar, N.; Maherchandani, S.; Kashyap, S.K.; Singh, S.V.; Sharma, S.; Chaubey, K.K.; Ly, H. Peste des petits ruminants virus infection of small ruminants: A comprehensive review. Viruses 2014, 6, 2287–2327. [Google Scholar] [CrossRef]
- Gibbs, E.P.; Taylor, W.P.; Lawman, M.J.; Bryant, J. Classification of peste des petits ruminants virus as the fourth member of the genus Morbillivirus. Intervirology 1979, 11, 268–274. [Google Scholar] [CrossRef]
- Gargadennec, L.; Lalanne, A. Peste Des Petits Ruminants. Bull. Des. Serv. Zootech. Des. Epizzoties DeL’afrique Occident. Fr. 1942, 5, 16–21. [Google Scholar]
- Mantip, S.E.; Sigismeau, A.; Nanven, M.; Joel, A.; Qasim, A.M.; Aliyu, S.; Musa, I.; Ezeanyika, O.; Faramade, I.; Ahmed, G.; et al. Wide circulation of peste des petits ruminants virus in sheep and goats across Nigeria. Onderstepoort J. Vet. Res. 2021, 88, e1–e7. [Google Scholar] [CrossRef]
- Ba, A.; Diop, G.L.; Ndiaye, M.; Dione, M.; Lo, M.M. First Report of the Emergence of Peste des Petits Ruminants Lineage IV Virus in Senegal. Viruses 2024, 16, 305. [Google Scholar] [CrossRef]
- Shahriari, R.; Khodakaram-Tafti, A.; Mohammadi, A. Molecular characterization of Peste des Petits ruminants virus isolated from four outbreaks occurred in southern Iran. BMC Vet. Res. 2019, 15, 177. [Google Scholar] [CrossRef]
- Sevik, M.; Oz, M.E. Detection of Peste des petits ruminants virus RNA in Culicoides imicola (Diptera: Ceratopogonidae) in Turkey. Vet. Ital. 2019, 55, 173–179. [Google Scholar] [CrossRef]
- Furley, C.W.; Taylor, W.P.; Obi, T.U. An outbreak of peste des petits ruminants in a zoological collection. Vet. Rec. 1987, 121, 443–447. [Google Scholar] [CrossRef]
- Hemida, M.G.; Alghadeer, H.M.; Alhammadi, M.; Ali, S. Prevalence and molecular characterization of some circulating strains of the peste-des-petits-ruminants virus in Saudi Arabia between 2014–2016. PeerJ 2020, 8, e9035. [Google Scholar] [CrossRef]
- Muniraju, M.; Munir, M.; Parthiban, A.R.; Banyard, A.C.; Bao, J.; Wang, Z.; Ayebazibwe, C.; Ayelet, G.; El Harrak, M.; Mahapatra, M.; et al. Molecular evolution of peste des petits ruminants virus. Emerg. Infect. Dis. 2014, 20, 2023–2033. [Google Scholar] [CrossRef]
- Li, L.; Cao, X.; Wu, J.; Dou, Y.; Meng, X.; Liu, D.; Liu, Y.; Shang, Y.; Liu, X. Epidemic and evolutionary characteristics of peste des petits ruminants virus infecting Procapra przewalskii in Western China. Infect. Genet. Evol. 2019, 75, 104004. [Google Scholar] [CrossRef]
- Liu, F.; Li, J.; Li, L.; Liu, Y.; Wu, X.; Wang, Z. Peste des petits ruminants in China since its first outbreak in 2007: A 10-year review. Transbound. Emerg. Dis. 2018, 65, 638–648. [Google Scholar] [CrossRef]
- Liu, Q.; Liu, L.; Meng, Y.K.; Wang, C.; Gao, Y.; Zheng, F.G.; Ma, H.L. Serological evidence of bovine viral diarrhea virus and peste des petits ruminants virus infection in alpacas (Vicugna pacos) in Shanxi Province, northern China. Trop. Anim. Health Prod. 2021, 53, 299. [Google Scholar] [CrossRef]
- Liu, B.M.; Mulkey, S.B.; Campos, J.M.; DeBiasi, R.L. Laboratory diagnosis of CNS infections in children due to emerging and re-emerging neurotropic viruses. Pediatr. Res. 2024, 95, 543–550. [Google Scholar] [CrossRef]
- Zell, R.; Delwart, E.; Gorbalenya, A.E.; Hovi, T.; King, A.M.Q.; Knowles, N.J.; Lindberg, A.M.; Pallansch, M.A.; Palmenberg, A.C.; Reuter, G.; et al. ICTV Virus Taxonomy Profile: Picornaviridae. J. Gen. Virol. 2017, 98, 2421–2422. [Google Scholar] [CrossRef]
- Zhu, L.; Xing, Z.; Gai, X.; Li, S.; San, Z.; Wang, X. Identification of a novel enterovirus E isolates HY12 from cattle with severe respiratory and enteric diseases. PLoS ONE 2014, 9, e97730. [Google Scholar] [CrossRef]
- Chang, X.; Lin, Q.; Hu, J.; Wang, X.; Li, X.; Cai, M.; Wang, W.; Zhang, Z.; Wang, X. Discovery of a virus of the species Enterovirus F in goats. Arch. Virol. 2019, 164, 2551–2558. [Google Scholar] [CrossRef]
- Van Dung, N.; Anh, P.H.; Van Cuong, N.; Hoa, N.T.; Carrique-Mas, J.; Hien, V.B.; Campbell, J.; Baker, S.; Farrar, J.; Woolhouse, M.E.; et al. Prevalence, genetic diversity and recombination of species G enteroviruses infecting pigs in Vietnam. J. Gen. Virol. 2014, 95, 549–556. [Google Scholar] [CrossRef]
- Ji, C.; Zhang, Y.; Sun, R.; Ma, J.; Pan, Z.; Yao, H. Isolation and Identification of Type F Bovine Enterovirus from Clinical Cattle with Diarrhoea. Viruses 2021, 13, 2217. [Google Scholar] [CrossRef]
- Boros, A.; Pankovics, P.; Knowles, N.J.; Reuter, G. Natural interspecies recombinant bovine/porcine enterovirus in sheep. J. Gen. Virol. 2012, 93, 1941–1951. [Google Scholar] [CrossRef]
- Wang, M.; He, J.; Lu, H.; Liu, Y.; Deng, Y.; Zhu, L.; Guo, C.; Tu, C.; Wang, X. A novel enterovirus species identified from severe diarrheal goats. PLoS ONE 2017, 12, e0174600. [Google Scholar] [CrossRef]
- DaPalma, T.; Doonan, B.P.; Trager, N.M.; Kasman, L.M. A systematic approach to virus-virus interactions. Virus Res. 2010, 149, 1–9. [Google Scholar] [CrossRef]
- Saravanan, P.; Balamurugan, V.; Sen, A.; Sarkar, J.; Sahay, B.; Rajak, K.K.; Hosamani, M.; Yadav, M.P.; Singh, R.K. Mixed infection of peste des petits ruminants and orf on a goat farm in Shahjahanpur, India. Vet. Rec. 2007, 160, 410–412. [Google Scholar] [CrossRef]
- Toplu, N.; Oguzoglu, T.C.; Albayrak, H. Dual infection of fetal and neonatal small ruminants with border disease virus and peste des petits ruminants virus (PPRV): Neuronal tropism of PPRV as a novel finding. J. Comp. Pathol. 2012, 146, 289–297. [Google Scholar] [CrossRef]
- Saeed, I.K.; Ali, Y.H.; AbdulRahman, M.B.; Mohammed, Z.A.; Osman, H.M.; Taha, K.M.; Musa, M.Z.; Khalafalla, A.I. Mixed infection of peste des petits ruminants virus (PPRV) and other respiratory viruses in dromedary camels in Sudan, an abattoir study. Trop. Anim. Health Prod. 2015, 47, 995–998. [Google Scholar] [CrossRef]
- Jones, B.A.; Mahapatra, M.; Chubwa, C.; Clarke, B.; Batten, C.; Hicks, H.; Henstock, M.; Keyyu, J.; Kock, R.; Parida, S. Characterisation of Peste Des Petits Ruminants Disease in Pastoralist Flocks in Ngorongoro District of Northern Tanzania and Bluetongue Virus Co-Infection. Viruses 2020, 12, 389. [Google Scholar] [CrossRef]
- Mondal, B.; Sen, A.; Chand, K.; Biswas, S.K.; De, A.; Rajak, K.K.; Chakravarti, S. Evidence of mixed infection of peste des petits ruminants virus and bluetongue virus in a flock of goats as confirmed by detection of antigen, antibody and nucleic acid of both the viruses. Trop. Anim. Health Prod. 2009, 41, 1661–1667. [Google Scholar] [CrossRef]
- Kumar, N.; Barua, S.; Riyesh, T.; Chaubey, K.K.; Rawat, K.D.; Khandelwal, N.; Mishra, A.K.; Sharma, N.; Chandel, S.S.; Sharma, S.; et al. Complexities in Isolation and Purification of Multiple Viruses from Mixed Viral Infections: Viral Interference, Persistence and Exclusion. PLoS ONE 2016, 11, e0156110. [Google Scholar] [CrossRef]
- Sultana, S.; Pervin, M.; Sultana, N.; Siddique, M.P.; Islam, M.R.; Khan, M. Identification of peste des petits ruminants virus along with co-infecting diseases of goats in Bangladesh. J. Adv. Vet. Anim. Res. 2022, 9, 463–470. [Google Scholar] [CrossRef]
- Karim, A.; Bhattacharjee, U.; Puro, K.; Shakuntala, I.; Sanjukta, R.; Das, S.; Ghatak, S.; Sen, A. Detection of Peste des petits ruminants virus and goatpox virus from an outbreak in goats with high mortality in Meghalaya state, India. Vet. World 2016, 9, 1025–1027. [Google Scholar] [CrossRef]
- Zhang, D.; Yang, B.; Zhang, T.; Shi, X.; Shen, C.; Zheng, H.; Liu, X.; Zhang, K. In vitro and in vivo analyses of co-infections with peste des petits ruminants and capripox vaccine strains. Virol. J. 2021, 18, 69. [Google Scholar] [CrossRef]
- Adedeji, A.J.; Dashe, Y.; Akanbi, O.B.; Woma, T.Y.; Jambol, A.R.; Adole, J.A.; Bolajoko, M.B.; Chima, N.; Asala, O.; Tekki, I.S.; et al. Co-infection of peste des petits ruminants and goatpox in a mixed flock of sheep and goats in Kanam, North Central Nigeria. Vet. Med. Sci. 2019, 5, 412–418. [Google Scholar] [CrossRef]
- Xing, Z.; Zhu, L.; Guo, C.; Yang, L.; Sun, C.; Zhang, N.; Wang, X. Outbreak of peste des petits ruminants in Jilin province. Chin. J. Vet. Sci. 2014, 34, 722–728. [Google Scholar]
- Lu, H.; Hu, J.; Zhang, Q.; Wang, Y.; Guo, C.; Zhu, L.; Tu, C.; Wang, X. Development of a sandwich ELISA for detection of CEV antigen and epidemiological investigation. Chin. J. Vet. Sci. 2017, 37, 653–657. [Google Scholar]
- Gai, X.; Zhang, Q.; Lu, H.; Yang, Z.; Zhu, L.; Li, X.; Wang, X. A neonatal murine model for evaluation of enterovirus E HY12 virus infection and pathogenicity. PLoS ONE 2018, 13, e0193155. [Google Scholar] [CrossRef]
- Hu, J.; Chang, X.; Wang, R.; Zhang, Q.; Zhang, F.; Zhang, Z.; Zhang, F.; Qian, M.; Wang, X. Unveiling of the epidemiological patterns for caprine/ovine enterovirus infection in China. Front. Vet. Sci. 2022, 9, 1025916. [Google Scholar] [CrossRef]
- Truong, T.; Boshra, H.; Embury-Hyatt, C.; Nfon, C.; Gerdts, V.; Tikoo, S.; Babiuk, L.A.; Kara, P.; Chetty, T.; Mather, A.; et al. Peste des petits ruminants virus tissue tropism and pathogenesis in sheep and goats following experimental infection. PLoS ONE 2014, 9, e87145. [Google Scholar] [CrossRef]
- Chang, X.; Lin, Q.; Zhang, Q.; Hu, J.; Tursun, G.; Deng, Y.; Guo, C.; Wang, X. Molecular Analysis of Caprine Enterovirus Circulating in China during 2016–2021: Evolutionary Significance. Viruses 2022, 14, 1051. [Google Scholar] [CrossRef]


Disclaimer/Publisher’s Note: The statements, opinions and data contained in all publications are solely those of the individual author(s) and contributor(s) and not of MDPI and/or the editor(s). MDPI and/or the editor(s) disclaim responsibility for any injury to people or property resulting from any ideas, methods, instructions or products referred to in the content. |
© 2024 by the authors. Licensee MDPI, Basel, Switzerland. This article is an open access article distributed under the terms and conditions of the Creative Commons Attribution (CC BY) license (https://creativecommons.org/licenses/by/4.0/).
Share and Cite
Zhang, Q.; Zheng, X.; Zhang, F.; Cui, X.; Yan, N.; Hu, J.; Guo, Y.; Wang, X. Unveiling of the Co-Infection of Peste des Petits Ruminants Virus and Caprine Enterovirus in Goat Herds with Severe Diarrhea in China. Viruses 2024, 16, 986. https://doi.org/10.3390/v16060986
Zhang Q, Zheng X, Zhang F, Cui X, Yan N, Hu J, Guo Y, Wang X. Unveiling of the Co-Infection of Peste des Petits Ruminants Virus and Caprine Enterovirus in Goat Herds with Severe Diarrhea in China. Viruses. 2024; 16(6):986. https://doi.org/10.3390/v16060986
Chicago/Turabian StyleZhang, Qun, Xuebo Zheng, Fan Zhang, Xuyuan Cui, Naitian Yan, Junying Hu, Yidi Guo, and Xinping Wang. 2024. "Unveiling of the Co-Infection of Peste des Petits Ruminants Virus and Caprine Enterovirus in Goat Herds with Severe Diarrhea in China" Viruses 16, no. 6: 986. https://doi.org/10.3390/v16060986
APA StyleZhang, Q., Zheng, X., Zhang, F., Cui, X., Yan, N., Hu, J., Guo, Y., & Wang, X. (2024). Unveiling of the Co-Infection of Peste des Petits Ruminants Virus and Caprine Enterovirus in Goat Herds with Severe Diarrhea in China. Viruses, 16(6), 986. https://doi.org/10.3390/v16060986

