Characterization of a Molecular Clone of Deformed Wing Virus B
Abstract
1. Introduction
2. Materials and Methods
2.1. Honey Bees
2.2. Bee Cell Culture
2.3. Viruses
2.4. RT-PCR and Genome Equivalent Quantification
2.5. The Generation of a Molecular Clone of DWV-B
2.6. Alignments and Phylogenetic Analyses
2.7. Genetic Marker and Reporter Gene Insertion in prDWV-B
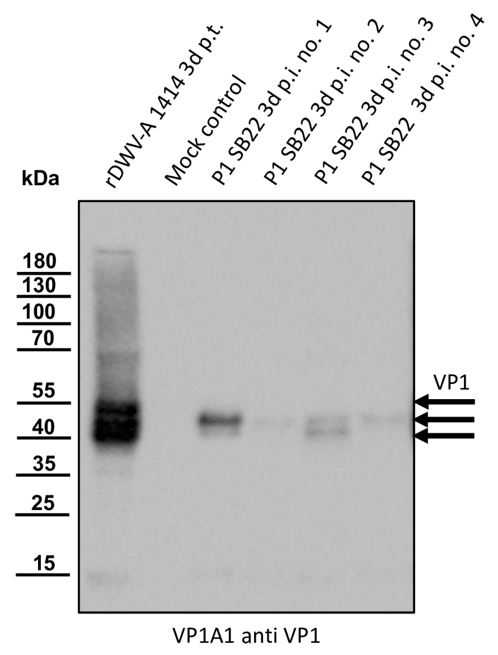
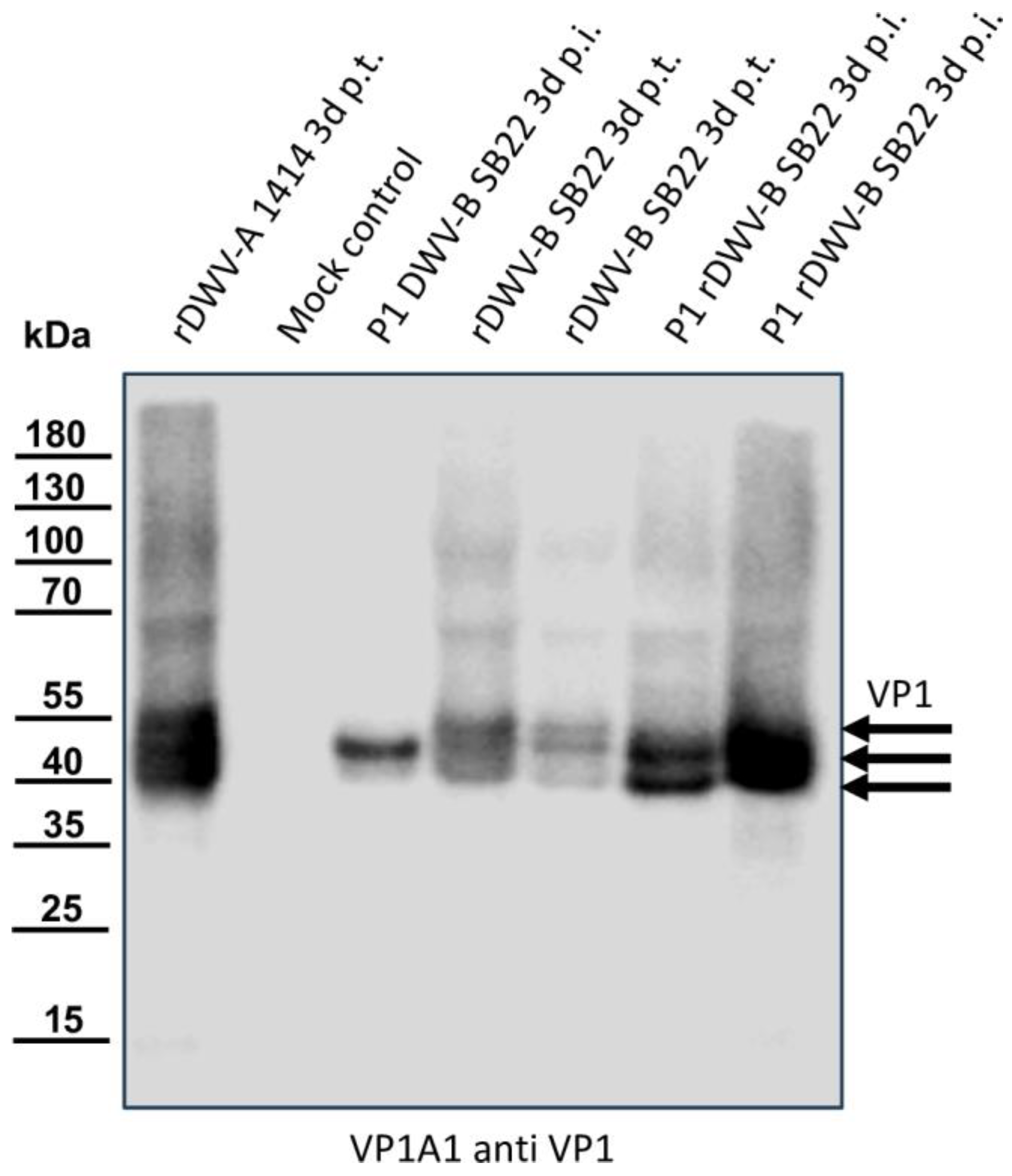
2.8. Western Blotting
3. Results
3.1. DWV-B Stocks for Molecular Cloning
3.2. RACE-PCR and Molecular Cloning of DWV-B Strain Austria-SB22
3.3. Phylogenetic Analyses
3.4. An Infectious cDNA Clone of DWV-B Austria-SB22
3.5. A Genetic Marker for rDWV-B
3.6. Generation of a Reporter DWV-B
3.7. rDWV-B Shows Reduced Virulence Compared to rDWV-A
4. Discussion
Supplementary Materials
Author Contributions
Funding
Institutional Review Board Statement
Informed Consent Statement
Data Availability Statement
Acknowledgments
Conflicts of Interest
References
- Klein, A.M.; Vaissière, B.E.; Cane, J.H.; Steffan-Dewenter, I.; Cunningham, S.A.; Kremen, C.; Tscharntke, T. Importance of pollinators in changing landscapes for world crops. Proceedings. Biol. Sci./R. Soc. 2007, 274, 303–313. [Google Scholar] [CrossRef] [PubMed]
- Aizen, M.A.; Aguiar, S.; Biesmeijer, J.C.; Garibaldi, L.A.; Inouye, D.W.; Jung, C.; Martins, D.J.; Medel, R.; Morales, C.L.; Ngo, H.; et al. Global agricultural productivity is threatened by increasing pollinator dependence without a parallel increase in crop diversification. Glob Chang Biol. 2019, 25, 3516–3527. [Google Scholar] [CrossRef] [PubMed]
- McMenamin, A.J.; Brutscher, L.M.; Glenny, W.; Flenniken, M.L. Abiotic and biotic factors affecting the replication and pathogenicity of bee viruses. Curr. Opin. Insect. Sci. 2016, 16, 14–21. [Google Scholar] [CrossRef] [PubMed]
- Nazzi, F.; Le Conte, Y. Ecology of Varroa destructor, the Major Ectoparasite of the Western Honey Bee, Apis mellifera. Annu. Rev. Entomol. 2016, 61, 417–432. [Google Scholar] [CrossRef] [PubMed]
- Rosenkranz, P.; Aumeier, P.; Ziegelmann, B. Biology and control of Varroa destructor. J. Invertebr. Pathol. 2010, 103 (Suppl. 1), S96-119. [Google Scholar] [CrossRef] [PubMed]
- Roberts, J.M.; Anderson, D.L.; Tay, W.T. Multiple host shifts by the emerging honeybee parasite, Varroa jacobsoni. Mol. Ecol. 2015, 24, 2379–2391. [Google Scholar] [CrossRef] [PubMed]
- Rath, W.; Drescher, W. Response of Apis cerana Fabr towards brood infested with Varroa jacobsoni Oud and infestation rate of colonies in Thailand. Apidologie 1990, 21, 311–321. [Google Scholar] [CrossRef]
- Grindrod, I.; Martin, S.J. Varroa resistance in Apis cerana: A review. Apidologie 2023, 54, 14. [Google Scholar] [CrossRef]
- Ramsey, S.D.; Ochoa, R.; Bauchan, G.; Gulbronson, C.; Mowery, J.D.; Cohen, A.; Lim, D.; Joklik, J.; Cicero, J.M.; Ellis, J.D.; et al. Varroa destructor feeds primarily on honey bee fat body tissue and not hemolymph. Proc. Natl. Acad. Sci. USA 2019, 116, 1792–1801. [Google Scholar] [CrossRef]
- Piou, V.; Schurr, F.; Dubois, E.; Vétillard, A. Transmission of deformed wing virus between Varroa destructor foundresses, mite offspring and infested honey bees. Parasit Vectors 2022, 15, 333. [Google Scholar] [CrossRef]
- Strange, J.P.; Sheppard, W.S. Optimum timing of miticide applications for control of Varroa destructor (Acari: Varroidae) in Apis mellifera (Hymenoptera: Apidae) in Washington State, USA. J. Econ. Entomol. 2001, 94, 1324–1331. [Google Scholar] [CrossRef] [PubMed]
- Locke, B.; Semberg, E.; Forsgren, E.; de Miranda, J.R. Persistence of subclinical deformed wing virus infections in honeybees following Varroa mite removal and a bee population turnover. PLoS ONE 2017, 12, e0180910. [Google Scholar] [CrossRef] [PubMed]
- Highfield, A.C.; El Nagar, A.; Mackinder, L.C.; Noel, L.M.; Hall, M.J.; Martin, S.J.; Schroeder, D.C. Deformed wing virus implicated in overwintering honeybee colony losses. Appl. Environ. Microbiol. 2009, 75, 7212–7220. [Google Scholar] [CrossRef] [PubMed]
- Barroso-Arévalo, S.; Fernández-Carrión, E.; Goyache, J.; Molero, F.; Puerta, F.; Sánchez-Vizcaíno, J.M. High Load of Deformed Wing Virus and Varroa destructor Infestation Are Related to Weakness of Honey Bee Colonies in Southern Spain. Front. Microbiol. 2019, 10, 1331. [Google Scholar] [CrossRef] [PubMed]
- Lanzi, G.; de Miranda, J.R.; Boniotti, M.B.; Cameron, C.E.; Lavazza, A.; Capucci, L.; Camazine, S.M.; Rossi, C. Molecular and biological characterization of deformed wing virus of honeybees (Apis mellifera L.). J. Virol. 2006, 80, 4998–5009. [Google Scholar] [CrossRef]
- Organtini, L.J.; Shingler, K.L.; Ashley, R.E.; Capaldi, E.A.; Durrani, K.; Dryden, K.A.; Makhov, A.M.; Conway, J.F.; Pizzorno, M.C.; Hafenstein, S. Honey Bee Deformed Wing Virus Structures Reveal that Conformational Changes Accompany Genome Release. J. Virol. 2017, 91, e01795-16. [Google Scholar] [CrossRef]
- Skubnik, K.; Novacek, J.; Fuzik, T.; Pridal, A.; Paxton, R.J.; Plevka, P. Structure of deformed wing virus, a major honey bee pathogen. Proc. Natl. Acad. Sci. USA 2017, 114, 3210–3215. [Google Scholar] [CrossRef] [PubMed]
- Yuan, X.; Kadowaki, T. DWV 3C Protease Uncovers the Diverse Catalytic Triad in Insect RNA Viruses. Microbiol. Spectr. 2022, 10, e0006822. [Google Scholar] [CrossRef] [PubMed]
- Reuscher, C.M.; Barth, S.; Gockel, F.; Netsch, A.; Seitz, K.; Rümenapf, T.; Lamp, B. Processing of the 3C/D Region of the Deformed Wing Virus (DWV). Viruses 2023, 15, 2344. [Google Scholar] [CrossRef]
- Mordecai, G.J.; Wilfert, L.; Martin, S.J.; Jones, I.M.; Schroeder, D.C. Diversity in a honey bee pathogen: First report of a third master variant of the Deformed Wing Virus quasispecies. ISME J. 2016, 10, 1264–1273. [Google Scholar] [CrossRef]
- Tian, J.-X.; Tsai, W.-S.; Sung, I.-H. A Novel Variant of Deformed Wing Virus (DWV) from the Invasive Honeybee Apis florea (Apidae, Hymenoptera) and Its Ectoparasite Euvarroa sinhai (Acarina, Mesostigmata) in Taiwan. Insects 2023, 14, 103. [Google Scholar] [CrossRef]
- de Miranda, J.R.; Brettell, L.E.; Chejanovsky, N.; Childers, A.K.; Dalmon, A.; Deboutte, W.; de Graaf, D.C.; Doublet, V.; Gebremedhn, H.; Genersch, E.; et al. Cold case: The disappearance of Egypt bee virus, a fourth distinct master strain of deformed wing virus linked to honeybee mortality in 1970’s Egypt. Virol. J. 2022, 19, 12. [Google Scholar] [CrossRef] [PubMed]
- Ongus, J.R.; Peters, D.; Bonmatin, J.-M.; Bengsch, E.; Vlak, J.M.; van Oers, M.M. Complete sequence of a picorna-like virus of the genus Iflavirus replicating in the mite Varroa destructor. J. Gen. Virol. 2004, 85, 3747–3755. [Google Scholar] [CrossRef] [PubMed]
- Paxton, R.J.; Schäfer, M.O.; Nazzi, F.; Zanni, V.; Annoscia, D.; Marroni, F.; Bigot, D.; Laws-Quinn, E.R.; Panziera, D.; Jenkins, C.; et al. Epidemiology of a major honey bee pathogen, deformed wing virus: Potential worldwide replacement of genotype A by genotype B. Int. J. Parasitol. Parasites Wildl 2022, 18, 157–171. [Google Scholar] [CrossRef] [PubMed]
- Kevill, J.L.; de Souza, F.S.; Sharples, C.; Oliver, R.; Schroeder, D.C.; Martin, S.J. DWV-A Lethal to Honey Bees (Apis mellifera): A Colony Level Survey of DWV Variants (A, B, and C) in England, Wales, and 32 States across the US. Viruses 2019, 11, 426. [Google Scholar] [CrossRef] [PubMed]
- Moore, J.; Jironkin, A.; Chandler, D.; Burroughs, N.; Evans, D.J.; Ryabov, E.V. Recombinants between Deformed wing virus and Varroa destructor virus-1 may prevail in Varroa destructor-infested honeybee colonies. J. Gen. Virol. 2011, 92 Pt 1, 156–161. [Google Scholar] [CrossRef]
- Daughenbaugh, K.F.; Kahnonitch, I.; Carey, C.C.; McMenamin, A.J.; Wiegand, T.; Erez, T.; Arkin, N.; Ross, B.; Wiedenheft, B.; Sadeh, A.; et al. Metatranscriptome Analysis of Sympatric Bee Species Identifies Bee Virus Variants and a New Virus, Andrena-Associated Bee Virus-1. Viruses 2021, 13, 291. [Google Scholar] [CrossRef]
- McMahon, D.P.; Natsopoulou, M.E.; Doublet, V.; Fürst, M.; Weging, S.; Brown, M.J.; Gogol-Döring, A.; Paxton, R.J. Elevated virulence of an emerging viral genotype as a driver of honeybee loss. Proc. Biol. Sci./R. Soc. 2016, 283, 20160811. [Google Scholar] [CrossRef] [PubMed]
- Al Naggar, Y.; Paxton, R.J. The novel insecticides flupyradifurone and sulfoxaflor do not act synergistically with viral pathogens in reducing honey bee (Apis mellifera) survival but sulfoxaflor modulates host immunocompetence. Microb. Biotechnol. 2021, 14, 227–240. [Google Scholar] [CrossRef]
- Natsopoulou, M.E.; McMahon, D.P.; Doublet, V.; Frey, E.; Rosenkranz, P.; Paxton, R.J. The virulent, emerging genotype B of Deformed wing virus is closely linked to overwinter honeybee worker loss. Sci. Rep. 2017, 7, 5242. [Google Scholar] [CrossRef]
- Norton, A.M.; Remnant, E.J.; Buchmann, G.; Beekman, M. Accumulation and Competition Amongst Deformed Wing Virus Genotypes in Naïve Australian Honeybees Provides Insight Into the Increasing Global Prevalence of Genotype B. Front. Microbiol. 2020, 11, 620. [Google Scholar] [CrossRef] [PubMed]
- Chen, Y.; Zhao, Y.; Hammond, J.; Hsu, H.-t.; Evans, J.; Feldlaufer, M. Multiple virus infections in the honey bee and genome divergence of honey bee viruses. J. Invertebr. Pathol. 2004, 87, 84–93. [Google Scholar] [CrossRef] [PubMed]
- Nielsen, S.L.; Nicolaisen, M.; Kryger, P. Incidence of acute bee paralysis virus, black queen cell virus, chronic bee paralysis virus, deformed wing virus, Kashmir bee virus and sacbrood virus in honey bees (Apis mellifera) in Denmark. Apidologie 2008, 39, 310–314. [Google Scholar] [CrossRef]
- Al Naggar, Y.; Shafiey, H.; Paxton, R.J. Transcriptomic Responses Underlying the High Virulence of Black Queen Cell Virus and Sacbrood Virus following a Change in Their Mode of Transmission in Honey Bees (Apis mellifera). Viruses 2023, 15, 1284. [Google Scholar] [CrossRef] [PubMed]
- Carrillo-Tripp, J.; Dolezal, A.G.; Goblirsch, M.J.; Miller, W.A.; Toth, A.L.; Bonning, B.C. In vivo and in vitro infection dynamics of honey bee viruses. Sci. Rep. 2016, 6, 22265. [Google Scholar] [CrossRef] [PubMed]
- Lamp, B.; Url, A.; Seitz, K.; Eichhorn, J.; Riedel, C.; Sinn, L.J.; Indik, S.; Koglberger, H.; Rumenapf, T. Construction and Rescue of a Molecular Clone of Deformed Wing Virus (DWV). PLoS ONE 2016, 11, e0164639. [Google Scholar] [CrossRef] [PubMed]
- Gusachenko, O.N.; Woodford, L.; Balbirnie-Cumming, K.; Campbell, E.M.; Christie, C.R.; Bowman, A.S.; Evans, D.J. Green Bees: Reverse Genetic Analysis of Deformed Wing Virus Transmission, Replication, and Tropism. Viruses 2020, 12, 532. [Google Scholar] [CrossRef] [PubMed]
- Ryabov, E.V.; Childers, A.K.; Lopez, D.; Grubbs, K.; Posada-Florez, F.; Weaver, D.; Girten, W.; vanEngelsdorp, D.; Chen, Y.; Evans, J.D. Dynamic evolution in the key honey bee pathogen deformed wing virus: Novel insights into virulence and competition using reverse genetics. PLoS Biol. 2019, 17, e3000502. [Google Scholar] [CrossRef] [PubMed]
- Seitz, K.; Buczolich, K.; Dikunová, A.; Plevka, P.; Power, K.; Rümenapf, T.; Lamp, B. A molecular clone of Chronic Bee Paralysis Virus (CBPV) causes mortality in honey bee pupae (Apis mellifera). Sci. Rep. 2019, 9, 16274. [Google Scholar] [CrossRef]
- Jeng, S.T.; Lay, S.H.; Lai, H.M. Transcription termination by bacteriophage T3 and SP6 RNA polymerases at Rho-independent terminators. Can. J. Microbiol. 1997, 43, 1147–1156. [Google Scholar] [CrossRef]
- Grozinger, C.M.; Flenniken, M.L. Bee Viruses: Ecology, Pathogenicity, and Impacts. Annu. Rev. Entomol. 2019, 64, 205–226. [Google Scholar] [CrossRef] [PubMed]
- Roberts, J.M.K.; Anderson, D.L.; Durr, P.A. Absence of deformed wing virus and Varroa destructor in Australia provides unique perspectives on honeybee viral landscapes and colony losses. Sci. Rep. 2017, 7, 6925. [Google Scholar] [CrossRef] [PubMed]
- Chapman, N.C.; Colin, T.; Cook, J.; da Silva, C.R.B.; Gloag, R.; Hogendoorn, K.; Howard, S.R.; Remnant, E.J.; Roberts, J.M.K.; Tierney, S.M.; et al. The final frontier: Ecological and evolutionary dynamics of a global parasite invasion. Biol. Lett. 2023, 19, 20220589. [Google Scholar] [CrossRef] [PubMed]
- Traynor, K.S.; Rennich, K.; Forsgren, E.; Rose, R.; Pettis, J.; Kunkel, G.; Madella, S.; Evans, J.; Lopez, D.; vanEngelsdorp, D. Multiyear survey targeting disease incidence in US honey bees. Apidologie 2016, 47, 325–347. [Google Scholar] [CrossRef]
- Kulhanek, K.; Steinhauer, N.; Rennich, K.; Caron, D.M.; Sagili, R.R.; Pettis, J.S.; Ellis, J.D.; Wilson, M.E.; Wilkes, J.T.; Tarpy, D.R.; et al. A national survey of managed honey bee 2015–2016 annual colony losses in the USA. J. Apic. Res. 2017, 56, 328–340. [Google Scholar] [CrossRef]
- Faurot-Daniels, C.; Glenny, W.; Daughenbaugh, K.F.; McMenamin, A.J.; Burkle, L.A.; Flenniken, M.L. Longitudinal monitoring of honey bee colonies reveals dynamic nature of virus abundance and indicates a negative impact of Lake Sinai virus 2 on colony health. PLoS ONE 2020, 15, e0237544. [Google Scholar] [CrossRef]
- Cavigli, I.; Daughenbaugh, K.F.; Martin, M.; Lerch, M.; Banner, K.; Garcia, E.; Brutscher, L.M.; Flenniken, M.L. Pathogen prevalence and abundance in honey bee colonies involved in almond pollination. Apidologie 2016, 47, 251–266. [Google Scholar] [CrossRef] [PubMed]
- Martin, S.J. The role of Varroa and viral pathogens in the collapse of honeybee colonies: A modelling approach. J. Appl. Ecol. 2001, 38, 1082–1093. [Google Scholar] [CrossRef]
- Annoscia, D.; Brown, S.P.; Di Prisco, G.; De Paoli, E.; Del Fabbro, S.; Frizzera, D.; Zanni, V.; Galbraith, D.A.; Caprio, E.; Grozinger, C.M.; et al. Haemolymph removal by Varroa mite destabilizes the dynamical interaction between immune effectors and virus in bees, as predicted by Volterra’s model. Proc. R. Soc. B Biol. Sci. 2019, 286, 20190331. [Google Scholar] [CrossRef]
- Gisder, S.; Genersch, E. Direct Evidence for Infection of Varroa destructor Mites with the Bee-Pathogenic Deformed Wing Virus Variant B—But Not Variant A—Via Fluorescence-in situ-Hybridization Analysis. J. Virol. 2021, 95, e01786-20. [Google Scholar] [CrossRef]
- Posada-Florez, F.; Childers, A.K.; Heerman, M.C.; Egekwu, N.I.; Cook, S.C.; Chen, Y.; Evans, J.D.; Ryabov, E.V. Deformed wing virus type A, a major honey bee pathogen, is vectored by the mite Varroa destructor in a non-propagative manner. Sci. Rep. 2019, 9, 12445. [Google Scholar] [CrossRef] [PubMed]
- Grindrod, I.; Kevill, J.L.; Villalobos, E.M.; Schroeder, D.C.; Martin, S.J. Ten Years of Deformed Wing Virus (DWV) in Hawaiian Honey Bees (Apis mellifera), the Dominant DWV-A Variant Is Potentially Being Replaced by Variants with a DWV-B Coding Sequence. Viruses 2021, 13, 969. [Google Scholar] [CrossRef] [PubMed]
- Woodford, L.; Sharpe, G.; Highet, F.; Evans, D.J. All together now: Geographically coordinated miticide treatment benefits honey bee health. J. Appl. Ecol. 2023, 60, 790–802. [Google Scholar] [CrossRef]
- Kevill, J.L.; Highfield, A.; Mordecai, G.J.; Martin, S.J.; Schroeder, D.C. ABC Assay: Method Development and Application to Quantify the Role of Three DWV Master Variants in Overwinter Colony Losses of European Honey Bees. Viruses 2017, 9, 314. [Google Scholar] [CrossRef] [PubMed]
- Mordecai, G.J.; Brettell, L.E.; Martin, S.J.; Dixon, D.; Jones, I.M.; Schroeder, D.C. Superinfection exclusion and the long-term survival of honey bees in Varroa-infested colonies. ISME J. 2016, 10, 1182–1191. [Google Scholar] [CrossRef] [PubMed]
- Mráz, P.; Hýbl, M.; Kopecký, M.; Bohatá, A.; Hoštičková, I.; Šipoš, J.; Vočadlová, K.; Čurn, V. Screening of Honey Bee Pathogens in the Czech Republic and Their Prevalence in Various Habitats. Insects 2021, 12, 1051. [Google Scholar] [CrossRef] [PubMed]
- Oz, M.E.; Avci, O.; DoĞAn, M. Impact of deformed wing virus master variants (DWV-A, DWV-B, and DWV-C) in managed honey bee colonies of Türkiye. Eurasian J. Vet. Sci. 2023, 39, 124–131. [Google Scholar] [CrossRef]
- Tehel, A.; Vu, Q.; Bigot, D.; Gogol-Döring, A.; Koch, P.; Jenkins, C.; Doublet, V.; Theodorou, P.; Paxton, R. The Two Prevalent Genotypes of an Emerging Infectious Disease, Deformed Wing Virus, Cause Equally Low Pupal Mortality and Equally High Wing Deformities in Host Honey Bees. Viruses 2019, 11, 114. [Google Scholar] [CrossRef] [PubMed]
- Sanjuán, R.; Nebot Miguel, R.; Chirico, N.; Mansky Louis, M.; Belshaw, R. Viral Mutation Rates. J. Virol. 2010, 84, 9733–9748. [Google Scholar] [CrossRef]
- Drake, J.W.; Holland, J.J. Mutation rates among RNA viruses. Proc. Natl. Acad. Sci. USA 1999, 96, 13910–13913. [Google Scholar] [CrossRef]
- Hasegawa, N.; Techer, M.A.; Adjlane, N.; Al-Hissnawi, M.S.; Antúnez, K.; Beaurepaire, A.; Christmon, K.; Delatte, H.; Dukku, U.H.; Eliash, N.; et al. Evolutionarily diverse origins of deformed wing viruses in western honey bees. Proc. Natl. Acad. Sci. USA 2023, 120, e2301258120. [Google Scholar] [CrossRef] [PubMed]
- Simmonds, P. Recombination and selection in the evolution of picornaviruses and other Mammalian positive-stranded RNA viruses. J. Virol. 2006, 80, 11124–11140. [Google Scholar] [CrossRef] [PubMed]
- Chen, H.; Phuektes, P.; Yeo, L.S.; Wong, Y.H.; Lee, R.C.H.; Yi, B.; Hou, X.; Liu, S.; Cai, Y.; Chu, J.J.H. Attenuation of neurovirulence of chikungunya virus by a single amino acid mutation in viral E2 envelope protein. J. Biomed. Sci. 2024, 31, 8. [Google Scholar] [CrossRef] [PubMed]






| Designation | Sequence (5′-N × -3′) | Position in DWV-B (PP418870) |
|---|---|---|
| Adapter-dt | GGCCACGCGTCGACTAGTACTTTTTTTTTTTTTTTTT | nt10149-10173 |
| Adapter | GGCCACGCGTCGACTAGTAC | - |
| Adapter-dg | GGCCACGCGTCGACTAGTACGGGGGGGGGGGGGGGGG | - |
| DWV-B-5′-RACE-outer_rev | CTTTCACACTTTCGCCTCATAC | nt796-817 |
| DWV-B-5′-RACE-inner_rev | CCAATACAATTATCTCCAACTTGC | nt175-198 |
| DWV-5′-end_fwd | TTTAAAATTCGCTATGGGAGGCGATTTATGC | nt1-31 |
| Adapter-NotI_fwd | TAGTCGACGCGTGGCCGCGGCCGCTGCTACCTCACTAAC | - |
| DWV-5′-SP6_rev | CATAGCGAATTTTAAACTATAGTGTCACCTAAATCGCG | nt1-16 |
| DWV-B-Seq1_fwd | GTGCGCGAGAAAGTTGTTAG | nt1585-1604 |
| DWV-B-Seq2_fwd | CACGTATATCCATTCTTACC | nt2326-2345 |
| DWV-B-Seq3_fwd | GTTATAGAATTGGAAGTC | nt4354-4371 |
| DWV-B-Seq4_fwd | GATCTCATGGAAATGGGATCAAACCCATATATC | nt5503-5535 |
| DWV-B-Seq5_fwd | GACGATTAGTATGTTACATCAGAG | nt6819-6842 |
| DWV-B-Seq6_fwd | GCGGCATTACATTGAGTCGAC | nt7656-7676 |
| DWV-B-Seq7_fwd | CTGGAATACTAGTGCTGGTTTTC | nt8628-8650 |
| DWV-B-Seq8_rev | TTTTTACTATTATGGTTAAAACTATAC | nt10127-10153 |
| DWV-B-Seq9_rev | CACTCTAACTCGTATTCACG | nt1717-1736 |
| DWV-B-Seq10_rev | CTGCATACCATCGCCAATAC | nt4548-4559 |
| DWV-B-Seq11_rev | TTTAGTCTCCTTCTGGCACC | nt6926-6945 |
| DWV-B-Seq12_rev | GGCAATCTATGGATTCTAGG | nt7468-7487 |
| DWV-B-Seq13_fwd | TAAGTATATTCATAATCAAGA | nt7710-7730 |
| DWV-B-Seq14_fwd | CAGTTAGTGCATGCTATCATTG | nt4813-4834 |
| DWV-B-Seq15_fwd | GTATGAGGCGAAAGTGTGAAAG | nt796-817 |
| DWV-B-Stop1102_fwd | TAGATTTCGGTTGGTTTTCAAGCTAC | nt4456-4481 |
| DWV-B-Stop1102_rev | ACCAACCGAAATCTATCCGAGCGAAACGGCATAAC | nt4436-4470 |
| DWV-B-qRT_fwd | GCAAGTTGGAGATAATTGTA | nt175-194 |
| DWV-B-qRT_rev | CGATACTTACGTTCTTCAAGAT | nt270-291 |
| DWV-A-qRT_fwd | ATTGTGCCAGATTGGACTAC | - |
| DWV-A-qRT_rev | AGATGCAATGGANGATACAG | - |
| T9645G_rev | ACCCAATCCTCGCGCATGTGTCCAATTGGTTGTTCCTTC | nt9619-9657 |
| Amp_fwd | GAATGAAGCCATACCAAACGAC | - |
| T9645G_fwd | GCGCGAGGATTGGGTCGTCGAGTAG | nt9643-9667 |
| Amp_rev | GTCGTTTGGTATGGCTTCATTC | - |
| 5′-UTR-acGFP_fwd | GTAAATATATATAAAAATGGTGAGCAAGGGCGCCGAGCTG | nt1137-1155 |
| ORF-T2A_rev | CACAACTAAATGCCTAGGGCCTGGGTTTTCCTCAAC | nt1153-1168 |
| ORF-DWV-B_fwd | ATGGCATTTAGTTGTGGAACTCTTTC | nt1153-1178 |
| DWV-B-ATG_rev | CATTTTTATATATATTTACCTTC | nt1133-1155 |
| Marker-PCR_fwd | CAATATCCTGGAATACTAGTGCTG | nt8621-8644 |
| Marker-PCR_rev | TTTTTACTATTATGGTTAAAACTATAC | nt10127-10153 |
| RNA or Virus | Average GE DWV-B/Bee (Average GE DWV-A/Bee) | Standard Deviation |
|---|---|---|
| Mock | n.d. * (n.d.) | - |
| wtDWV-B, SB22 (Virus) | 1.4 × 1011 (n.d.) | 3.8 × 1010 (-) |
| RNA rDWV-B-E1102Stop | 4.5 × 104 (n.d.) | 6.7 × 104 (-) |
| P1 rDWV-B-E1102Stop (Virus) | 5.8 × 102 (n.d.) | 1.0 × 103 (-) |
| RNA rDWV-B | 1.8 × 1010 (n.d.) | 1.0 × 1010 (-) |
| P1 rDWV-B (Virus) | 1.7 × 1011 (n.d.) | 2.1 × 1011 (-) |
| RNA rDWV-A-Q2118A | n.d. (1.2 × 104 GE DWV-A) | - (1.1 × 104) |
| P1 rDWV-A-Q2118A (Virus) | n.d. (n.d.) | - (-) |
| RNA rDWV-A | n.d. (6.6 × 109 GE DWV-A) | - (3.0 × 109) |
| P1 rDWV-A (Virus) | n.d. (9.3 × 109 GE DWV-A) | - (1.4 × 1010) |
Disclaimer/Publisher’s Note: The statements, opinions and data contained in all publications are solely those of the individual author(s) and contributor(s) and not of MDPI and/or the editor(s). MDPI and/or the editor(s) disclaim responsibility for any injury to people or property resulting from any ideas, methods, instructions or products referred to in the content. |
© 2024 by the authors. Licensee MDPI, Basel, Switzerland. This article is an open access article distributed under the terms and conditions of the Creative Commons Attribution (CC BY) license (https://creativecommons.org/licenses/by/4.0/).
Share and Cite
Barth, S.; Affeldt, S.; Blaurock, C.; Lobedank, I.; Netsch, A.; Seitz, K.; Rümenapf, T.; Lamp, B. Characterization of a Molecular Clone of Deformed Wing Virus B. Viruses 2024, 16, 980. https://doi.org/10.3390/v16060980
Barth S, Affeldt S, Blaurock C, Lobedank I, Netsch A, Seitz K, Rümenapf T, Lamp B. Characterization of a Molecular Clone of Deformed Wing Virus B. Viruses. 2024; 16(6):980. https://doi.org/10.3390/v16060980
Chicago/Turabian StyleBarth, Sandra, Sebastian Affeldt, Claudia Blaurock, Irmin Lobedank, Anette Netsch, Kerstin Seitz, Till Rümenapf, and Benjamin Lamp. 2024. "Characterization of a Molecular Clone of Deformed Wing Virus B" Viruses 16, no. 6: 980. https://doi.org/10.3390/v16060980
APA StyleBarth, S., Affeldt, S., Blaurock, C., Lobedank, I., Netsch, A., Seitz, K., Rümenapf, T., & Lamp, B. (2024). Characterization of a Molecular Clone of Deformed Wing Virus B. Viruses, 16(6), 980. https://doi.org/10.3390/v16060980

