Diagnostic Utility of Cytomegalovirus (CMV) DNA Quantitation in Ulcerative Colitis
Abstract
1. Introduction
2. Materials and Methods
2.1. Study Population
2.2. Colonoscopy
2.3. Preparation of Tissue Samples for QPCR
2.4. qPCR CMV DNA Assay
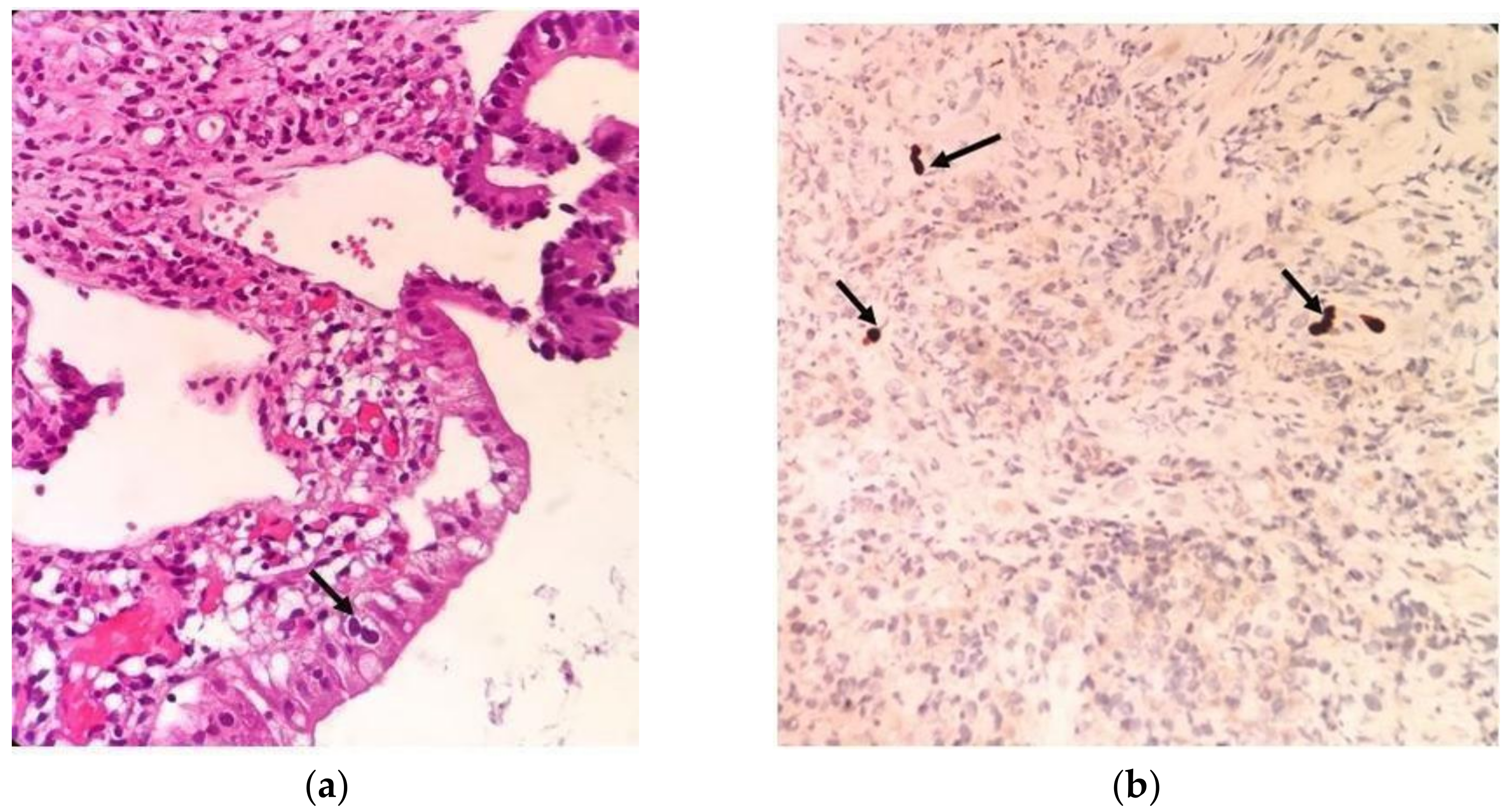
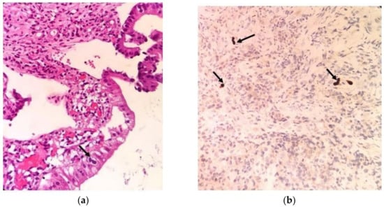
2.5. Immunohistochemical Examination
2.6. Statistical Analysis
3. Results
4. Discussion
5. Conclusions
Author Contributions
Funding
Institutional Review Board Statement
Informed Consent Statement
Data Availability Statement
Conflicts of Interest
References
- Yeh, P.-J.; Wu, R.-C.; Chen, C.-L.; Chiu, C.-T.; Lai, M.-W.; Chen, C.-C.; Chiu, C.-H.; Pan, Y.-B.; Lin, W.-R.; Le, P.-H. Cytomegalovirus Diseases of the Gastrointestinal Tract in Immunocompetent Patients: A Narrative Review. Viruses 2024, 16, 346. [Google Scholar] [CrossRef] [PubMed]
- Römkens, T.E.H.; Bulte, G.J.; Nissen, L.H.C.; Drenth, J.P.H. Cytomegalovirus in inflammatory bowel disease: A systematic review. World J. Gastroenterol. 2016, 22, 1321. [Google Scholar] [CrossRef] [PubMed]
- Mourad, F.H.; Hashash, J.G.; Kariyawasam, V.C.; Leong, R.W. Ulcerative colitis and cytomegalovirus infection: From A to Z. J. Crohn’s Colitis 2020, 14, 1162–1171. [Google Scholar] [CrossRef] [PubMed]
- Kwon, J.; Fluxá, D.; Farraye, F.A.; Kröner, P.T. Cytomegalovirus-related colitis in patients with inflammatory bowel disease. Int. J. Color. Dis. 2022, 37, 685–691. [Google Scholar] [CrossRef] [PubMed]
- Beswick, L.; Ye, B.; Van Langenberg, D.R. Toward an Algorithm for the Diagnosis and Management of CMV in Patients with Colitis. Inflamm. Bowel Dis. 2016, 22, 2966–2976. [Google Scholar] [CrossRef] [PubMed]
- Sager, K.; Alam, S.M.; Bond, A.; Chinnappan, L.; Probert, C. Review article: Cytomegalovirus and inflammatory bowel disease. Aliment. Pharmacol. Ther. 2015, 41, 725–733. [Google Scholar] [CrossRef] [PubMed]
- Suzuki, H.; Kato, J.; Kuriyama, M.; Hiraoka, S.; Kuwaki, K.; Yamamoto, K. Specific endoscopic features of ulcerative colitis complicated by cytomegalovirus infection. World J. Gastroenterol. 2010, 16, 1245. [Google Scholar] [CrossRef]
- Jentzer, A.; Veyrard, P.; Roblin, X.; Saint-Sardos, P.; Rochereau, N.; Paul, S.; Bourlet, T.; Pozzetto, B.; Pillet, S. Cytomegalovirus and Inflammatory Bowel Diseases (IBD) with a Special Focus on the Link with Ulcerative Colitis (UC). Microorganisms 2020, 8, 1078. [Google Scholar] [CrossRef]
- McCoy, M.H.; Post, K.; Sen, J.D.; Chang, H.Y.; Zhao, Z.; Fan, R.; Chen, S.; Leland, D.S.; Liu, C.; Ji, L. qPCR increases sensitivity to detect cytomegalovirus in formalin-fixed, paraffin-embedded tissue of gastrointestinal biopsies. Hum. Pathol. 2014, 45, 48–53. [Google Scholar] [CrossRef]
- Yerushalmy-Feler, A.; Padlipsky, J.; Cohen, S. Diagnosis and management of CMV colitis. Curr. Infect. Dis. Rep. 2019, 21, 1–6. [Google Scholar] [CrossRef]
- Lawlor, G.; Moss, A.C. Cytomegalovirus in inflammatory bowel disease: Pathogen or innocent bystander? Inflamm. Bowel Dis. 2010, 16, 1620–1627. [Google Scholar] [CrossRef]
- Goetgebuer, R.L.; Van Der Woude, C.J.; Bakker, L.; Van Der Eijk, A.A.; De Ridder, L.; De Vries, A.C. The diagnosis and management of CMV colitis in IBD patients shows high practice variation: A national survey among gastroenterologists. Scand. J. Gastroenterol. 2022, 57, 1321–1326. [Google Scholar] [CrossRef]
- Hazır-Konya, H.; Avkan-Oğuz, V.; Akpınar, H.; Sağol, Ö.; Sayıner, A. Investigation of cytomegalovirus in intestinal tissue in a country with high CMV seroprevalence. Turk. J. Gastroenterol. 2021, 32, 123–132. [Google Scholar] [CrossRef]
- Schroeder, K.W.; Tremaine, W.J.; Ilstrup, D.M. Coated oral 5-Aminosalicylic acid therapy for mildly to moderately active ulcerative colitis. N. Engl. J. Med. 1987, 317, 1625–1629. [Google Scholar] [CrossRef]
- Roblin, X.; Pillet, S.; Oussalah, A.; Berthelot, P.; Del Tedesco, É.; Phelip, J.; Chambonnière, M.-L.; Garraud, O.; Peyrin-Biroulet, L.; Pozzetto, B. Cytomegalovirus load in inflamed intestinal tissue is predictive of resistance to immunosuppressive therapy in ulcerative colitis. Am. J. Gastroenterol. 2011, 106, 2001–2008. [Google Scholar] [CrossRef]
- Kim, Y.S.; Kim, Y.H.; Kim, S.W.; Cheon, J.H.; Ye, B.D.; Jung, S.A.; Park, S.C.; Choi, C.H.; Jang, B.I.; Han, D.S.; et al. Cytomegalovirus infection in patients with new onset ulcerative colitis: A prospective study. Hepatogastroenterology 2012, 59, 1098–1101. [Google Scholar] [CrossRef]
- Kambham, N.; Vij, R.; Cartwright, C.A.; Longacre, T.A. Cytomegalovirus infection in steroid-refractory ulcerative colitis. Am. J. Surg. Pathol. 2004, 28, 365–373. [Google Scholar] [CrossRef]
- Maconi, G.; Colombo, E.; Zerbi, P.; Sampietro, G.; Fociani, P.; Bosani, M.; Cassinotti, A.; Casini, V.; Russo, A.; Ardizzone, S.; et al. Prevalence, detection rate and outcome of cytomegalovirus infection in ulcerative colitis patients requiring colonic resection. Dig. Liver Dis. 2005, 37, 418–423. [Google Scholar] [CrossRef]
- Lee, H.; Park, S.H.; Kim, S.-H.; Kim, J.; Choi, J.; Lee, H.; Kim, W.S.; Lee, J.-M.; Kwak, M.S.; Hwang, S.W.; et al. Risk Factors and Clinical Outcomes Associated with Cytomegalovirus Colitis in Patients with Acute Severe Ulcerative Colitis. Inflamm. Bowel Dis. 2016, 22, 912–918. [Google Scholar] [CrossRef]
- Qin, Y.; Wang, G.; Kong, D.; Li, G.; Wang, H.; Qin, H.; Wang, H. Risk Factors of Cytomegalovirus reactivation in Ulcerative colitis patients: A Meta-Analysis. Diagnostics 2021, 11, 1952. [Google Scholar] [CrossRef]
- Hirayama, Y.; Ando, T.; Hirooka, Y.; Watanabe, O.; Miyahara, R.; Nakamura, M.; Yamamura, T.; Goto, H. Characteristic endoscopic findings and risk factors for cytomegalovirus-associated colitis in patients with active ulcerative colitis. World J. Gastrointest. Endosc. 2016, 8, 301. [Google Scholar] [CrossRef]
- Ko, J.; Peck, K.R.; Lee, W.J.; Lee, J.Y.; Cho, S.Y.; Ha, Y.E.; Kang, C.-I.; Chung, D.R.; Kim, Y.; Lee, N.Y.; et al. Clinical presentation and risk factors for cytomegalovirus colitis in immunocompetent adult patients. Clin. Infect. Dis. 2014, 60, e20–e26. [Google Scholar] [CrossRef]
- Domènech, E.; Vega, R.; Ojanguren, I.; Hernández, Á.; García-Planella, E.; Bernal, I.; Rosinach, M.; Boix, J.; Cabré, E.; Gassull, M.A. Cytomegalovirus infection in ulcerative colitis: A prospective, comparative study on prevalence and diagnostic strategy. Inflamm. Bowel Dis. 2008, 14, 1373–1379. [Google Scholar] [CrossRef]
- Kojima, T.; Watanabe, T.; Hata, K.; Shinozaki, M.; Yokoyama, T.; Nagawa, H. Cytomegalovirus infection in ulcerative colitis. Scand. J. Gastroenterol. 2006, 41, 706–711. [Google Scholar] [CrossRef]
- McCurdy, J.D.; Enders, F.; Jones, A.; Killian, J.M.; Loftus, E.V.; Bruining, D.H.; Smyrk, T.C. Detection of Cytomegalovirus in Patients with Inflammatory Bowel Disease. Inflamm. Bowel Dis. 2015, 21, 2833–2838. [Google Scholar] [CrossRef]
- Yang, H.; Zhou, W.; Lv, H.; Wu, D.; Feng, Y.; Shu, H.; Jin, M.; Hu, L.; Wang, Q.; Wu, D.; et al. The Association Between CMV Viremia or Endoscopic Features and Histopathological Characteristics of CMV Colitis in Patients with Underlying Ulcerative Colitis. Inflamm. Bowel Dis. 2017, 23, 814–821. [Google Scholar] [CrossRef]
- Iida, T.; Ikeya, K.; Watanabe, F.; Abe, J.; Maruyama, Y.; Ohata, A.; Shimura, T.; Sugimoto, K.; Hanai, H. Looking for endoscopic features of cytomegalovirus colitis. Inflamm. Bowel Dis. 2013, 19, 1156–1163. [Google Scholar] [CrossRef]
- Widmann, T.; Sester, U.; Гapтнep, Б.; Schubert, J.; Pfreundschuh, M.; Köhler, H.; Sester, M. Levels of CMV Specific CD4 T Cells Are Dynamic and Correlate with CMV Viremia after Allogeneic Stem Cell Transplantation. PLoS ONE 2008, 3, e3634. [Google Scholar] [CrossRef]
- Rahier, J.; Magro, F.; Abreu, C.; Armuzzi, A.; Ben-Horin, S.; Chowers, Y.; Cottone, M.; De Ridder, L.; Doherty, G.; Ehehalt, R.; et al. Second European evidence-based consensus on the prevention, diagnosis and management of opportunistic infections in inflammatory bowel disease. J. Crohn’s Colitis 2014, 8, 443–468. [Google Scholar] [CrossRef]
- Garrido, E.; Carrera, E.; Manzano, R.; López-Sanromán, A. Clinical significance of cytomegalovirus infection in patients with inflammatory bowel disease. World J. Gastroenterol. 2013, 19, 17. [Google Scholar] [CrossRef]
- Camargo, J.F.; Komanduri, K.V. Emerging concepts in cytomegalovirus infection following hematopoietic stem cell transplantation. Hematol. Oncol. Stem Cell Ther. 2017, 10, 233–238. [Google Scholar] [CrossRef]
- Mavropoulou, E.; Ternes, K.; Mechie, N.; Bremer, S.; Kunsch, S.; Ellenrieder, V.; Neeße, A.; Amanzada, A. Cytomegalovirus colitis in inflammatory bowel disease and after haematopoietic stem cell transplantation: Diagnostic accuracy, predictors, risk factors and disease outcome. BMJ Open Gastroenterol. 2019, 6, e000258. [Google Scholar] [CrossRef]
- Fowler, K.B.; Mucha, J.; Neumann, M.; Lewandowski, W.; Kaczanowska, M.; Grys, M.; Schmidt, E.; Natenshon, A.; Talarico, C.; Buck, P.O.; et al. A systematic literature review of the global seroprevalence of cytomegalovirus: Possible implications for treatment, screening, and vaccine development. BMC Public Health 2022, 22, 1659. [Google Scholar] [CrossRef] [PubMed]
- Suárez-Lledó, M.; Marcos, M.Á.; Cuatrecasas, M.; Bombí, J.A.; Fernández-Avilés, F.; Magnano, L.; Martínez-Cibrián, N.; Llobet, N.; Rosiñol, L.; Gutiérrez-García, G.; et al. Quantitative PCR is faster, more objective, and more reliable than immunohistochemistry for the diagnosis of cytomegalovirus gastrointestinal disease in allogeneic stem cell transplantation. Biol. Blood Marrow Transplant. 2019, 25, 2281–2286. [Google Scholar] [CrossRef]
- Yoshino, T.; Nakase, H.; Ueno, S.; Uza, N.; Inoue, S.; Mikami, S.; Matsuura, M.; Ohmori, K.; Sakurai, T.; Nagayama, S.; et al. Usefulness of quantitative real-time PCR assay for early detection of cytomegalovirus infection in patients with ulcerative colitis refractory to immunosuppressive therapies. Inflamm. Bowel Dis. 2007, 13, 1516–1521. [Google Scholar] [CrossRef]
- Paul, M.; Gupta, E.; Jain, P.; Rastogi, A.; Bhatia, V. Diagnostic utility of quantitative cytomegalovirus DNA polymerase chain reaction in intestinal biopsies from patients with inflammatory bowel disease. J. Lab. Phys. 2018, 10, 38–43. [Google Scholar] [CrossRef]
- Cohen, S.; Martinez-Vinson, C.; Aloi, M.; Turner, D.; Assa, A.; De Ridder, L.; Wolters, V.M.; De Meij, T.; Alvisi, P.; Bronský, J.; et al. Cytomegalovirus Infection in Pediatric Severe Ulcerative Colitis—A Multicenter Study from the Pediatric Inflammatory Bowel Disease Porto Group of the European Society of Pediatric Gastroenterology, Hepatology and Nutrition. Pediatr. Infect. Dis. J. 2018, 37, 197–201. [Google Scholar] [CrossRef]
- Schenk, W.; Klugmann, T.; Borkenhagen, A.; Klecker, C.; Dietel, P.; Kirschner, R.; Schneider, E.; Bruns, T.; Stallmach, A.; Teich, N. The detection of the cytomegalovirus DNA in the colonic mucosa of patients with ulcerative colitis is associated with increased long-term risk of proctocolectomy: Results from an outpatient IBD clinic. Int. J. Color. Dis. 2018, 34, 393–400. [Google Scholar] [CrossRef]


| Variable | Total n (%) | CMV DNA | p | CMV DNA Load Median (Range) c/mg | p | ||
|---|---|---|---|---|---|---|---|
| Detected n = 51 | Not Detected n = 30 | ||||||
| Demographic specifications n (%) | |||||||
| Gender | Male | 49 (60.5) | 34 (69.4) | 15 (30.6) | 0.138 | 20 (0–160,159) | 0.533 |
| Female | 32 (39.5) | 17 (53.1) | 15 (46.9) | 20 (0–27,000) | |||
| Age | ≤50 | 48 (59.3) | 25 (52.1) | 23 (47.9) | 0.014 | 20 (0–27,000) | <0.001 |
| >50 | 33 (40.7) | 26 (78.8) | 7 (21.2) | 113 (0–160,159) | |||
| Clinical specifications n (%) | |||||||
| Previous CMV infection | Yes | 26 (32.1) | 20 (76.9) | 6 (23.1) | 0.074 | 77.5 (0–160,159) | 0.014 |
| No | 55 (67.9) | 31 (56.4) | 24 (43.6) | 20 (0–27,000) | |||
| GIS symptom | Diarrhea | 48 (59.3) | 27 (56.3) | 21 (43.7) | 0.202 | 0 (0–145,291) | 0.228 |
| Bloody diarrhea | 33 (40.7) | 24 (72.7) | 9 (27.3) | 20.0 (0–160,159) | |||
| UC activity | Mild | 5 (6.2) | 2 (40.0) | 3 (60.0) | 0.532 | 0 (0–20) | 0.261 |
| Moderate | 20 (24.7) | 13 (65.0) | 7 (35.0) | 45 (0–145,291) | |||
| Severe | 56 (69.1) | 36 (64.3) | 20 (35.7) | 20 (0–160,159) | |||
| Colonoscopic examination n (%) | |||||||
| Ulcer | Yes | 70 (86.4) | 44 (62.9) | 26 (37.1) | 0.960 | 20 (0–160,159) | 0.599 |
| No | 11 (13.6) | 7 (63.6) | 4 (36.4) | 20 (0–2460) | |||
| Mucosal inflammation n (%) | |||||||
| Chronic | 5 (6.2) | 1 (20.0) | 4 (80.0) | - | 0 (0–20) | 0.040 | |
| Chronic active | 76 (93.8) | 50 (65.8) | 26 (34.2) | 20 (0–160,159) | |||
| Laboratory analysis n (%) | |||||||
| HE | Pos | 1 (1.2) | 1 (100.0) | 0 (0.0) | - | 477.0 (-) | - |
| Neg | 80 (98.8) | 50 (62.5) | 30 (37.5) | 20 (0–160,159) | |||
| IHC | Pos | 8 (9.9) | 8 (100.0) | 0 (0.0) | 0.023 | 25,613.0 (477–160,159) | <0.001 |
| Neg | 73 (90.1) | 43 (58.9) | 30 (41.1) | 20 (0–16,182) | |||
| Plasma CMV DNAa (copies/mL) | Detected | 25 (58.1) | 22 (88.0) | 3 (12.0) | <0.001 | 500 (0–160,159) | <0.001 |
| Not detected | 18 (41.9) | 6 (33.3) | 12 (66.7) | 0.0 (0–510) | |||
| Medications | Total n = 81 (%) | Tissue CMV DNA | p | Tissue CMV DNA Median (Range) Copies/mg | p | IHC | p | ||
|---|---|---|---|---|---|---|---|---|---|
| Detected n = 51 | Not Detected n = 30 | Positive n = 8 | Negative n = 73 | ||||||
| Mesalamine | 65 (80.2) | 40 (61.5) | 25 (38.5) | 0.806 | 20 (0–83,160) | 0.138 | 6 (9.2) | 59 (90.8) | 0.654 |
| Immune-targeting agent | 54 (66.7) | 37 (68.5) | 17 (31.5) | 0.222 | 20 (0–160,159) | 0.106 | 8 (14.8) | 46 (85.2) | 0.047 |
| Corticosteroid | 33 (40.7) | 23 (69.7) | 10 (30.3) | 0.420 | 26 (0–160,159) | 0.059 | 7 (21.2) | 26 (78.8) | 0.007 |
| Azathioprine | 35 (43.2) | 24 (68.6) | 11 (31.4) | 0.497 | 20 (0–27,000) | 0.798 | 2 (5.7) | 33 (94.3) | 0.455 |
| Infliximab or Adalimumab | 8 (9.9) | 4 (50.0) | 4 (50.0) | 0.679 | 10 (0–160,159) | 0.671 | 2 (25.0) | 6 (75.0) | 0.177 |
| Methods | All Patients n = 81 (%) | Patients with CMV Colitis n = 21 (%) |
|---|---|---|
| Positive | Positive | |
| H&E | 1 (1.2) | 1 (4.8) |
| IHC | 8 (9.9) | 8 (38.1) |
| Tissue qPCR | 51 (63.0) | 21 (100.0) |
| Plasma qPCR * | 25 (58.1) | 14 * (93.3) |
| The Course of Patients | n = 21 (%) |
|---|---|
| Positive for H&E, IHC, and qPCR in tissue | 8 (38.6) |
| Positive for only qPCR in tissue | 13 (61.9) |
| Corticosteroid-refractory | 13 (61.9) |
| Pulmonary involvement | 2 (9.5) |
| Clinical remission | 19 (90.5) |
| Colectomy | 2 (9.5) |
| Persistence of plasma CMV DNA | 1 (4.8) |
| Death | 1 (4.8) |
| Tissue | Result | Total n = 43 (%) | Plasma CMV DNA Median (Range) Copies/mL | p |
|---|---|---|---|---|
| qPCR CMV DNA | Detected | 28 (65.1) | 86.5 (0–1937) | <0.001 |
| Not detected | 15 (34.9) | 0.0 (0–105) | ||
| IHC | Positive | 8 (18.6) | 922.0 (20–1937) | 0.006 |
| Negative | 35 (81.4) | 20.0 (0–578) |
| Patient No. | CMV DNA (copies/mg) | |
|---|---|---|
| 1. Tissue Sample | 2. Tissue Sample | |
| 1 | 477 | 20 |
| 2 | 16,182 | Not detected |
| 3 | 358 | 2825 |
| 4–20 | Not detected | Not detected |
Disclaimer/Publisher’s Note: The statements, opinions and data contained in all publications are solely those of the individual author(s) and contributor(s) and not of MDPI and/or the editor(s). MDPI and/or the editor(s) disclaim responsibility for any injury to people or property resulting from any ideas, methods, instructions or products referred to in the content. |
© 2024 by the authors. Licensee MDPI, Basel, Switzerland. This article is an open access article distributed under the terms and conditions of the Creative Commons Attribution (CC BY) license (https://creativecommons.org/licenses/by/4.0/).
Share and Cite
Esen, S.; Saglik, I.; Dolar, E.; Cesur, S.; Ugras, N.; Agca, H.; Merdan, O.; Ener, B. Diagnostic Utility of Cytomegalovirus (CMV) DNA Quantitation in Ulcerative Colitis. Viruses 2024, 16, 691. https://doi.org/10.3390/v16050691
Esen S, Saglik I, Dolar E, Cesur S, Ugras N, Agca H, Merdan O, Ener B. Diagnostic Utility of Cytomegalovirus (CMV) DNA Quantitation in Ulcerative Colitis. Viruses. 2024; 16(5):691. https://doi.org/10.3390/v16050691
Chicago/Turabian StyleEsen, Sema, Imran Saglik, Enver Dolar, Selcan Cesur, Nesrin Ugras, Harun Agca, Osman Merdan, and Beyza Ener. 2024. "Diagnostic Utility of Cytomegalovirus (CMV) DNA Quantitation in Ulcerative Colitis" Viruses 16, no. 5: 691. https://doi.org/10.3390/v16050691
APA StyleEsen, S., Saglik, I., Dolar, E., Cesur, S., Ugras, N., Agca, H., Merdan, O., & Ener, B. (2024). Diagnostic Utility of Cytomegalovirus (CMV) DNA Quantitation in Ulcerative Colitis. Viruses, 16(5), 691. https://doi.org/10.3390/v16050691

