Avian Reovirus: From Molecular Biology to Pathogenesis and Control
Abstract
1. Introduction
2. History
3. Classification
4. Virus Structure
4.1. Virus Genome
4.2. Virus Proteins
4.2.1. Lambda-Class Proteins
4.2.2. Mu-Class Proteins
4.2.3. Sigma-Class Proteins
4.3. Virus Particle
5. Strain Variation
6. Avian Reovirus Replication
6.1. Penetration and Uncoating
6.2. Viral Gene Expression
7. Molecular Epidemiology and Transmission
8. Immunity and Avian Reovirus-Mediated Immune Evasion
8.1. Humoral Immune Response Against Avian Reovirus
8.2. Cell-Mediated Immune Response to Avian Reovirus
8.3. Mucosal Immune Response
8.4. Immunoevasion Mechanism of ARV
9. Disease Susceptibility and Transmission
10. Pathogenesis
10.1. Avian Reovirus Proteins and Host Pathogenesis
10.2. Host Response to Avian Reovirus Infection and Clinical Outcomes
10.3. Avian Reovirus-Induced Immune Suppression
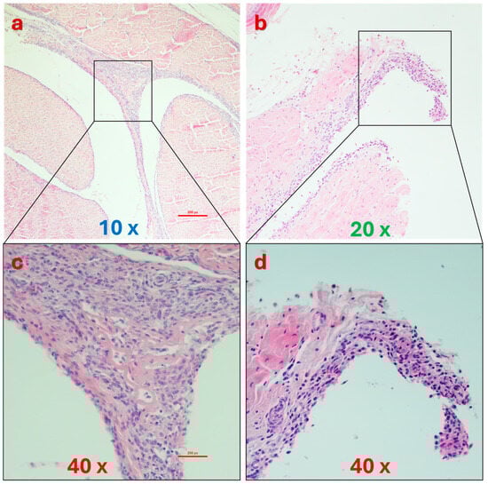
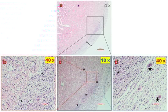
11. Clinical Signs—Gross Lesions, Histopathology
12. Diagnosis
12.1. Localization of Viral Antigens and Nucleic Acids in Tissue
12.2. Avian Reovirus Isolation
12.3. Pathogenicity Determination of Variant Avian Reovirus Strains
12.4. Serological Assays
12.5. Molecular Approaches
13. Prevention and Control—Biosecurity and Vaccine
14. Current Challenges, Gap in Knowledge and Conclusions
Author Contributions
Funding
Institutional Review Board Statement
Informed Consent Statement
Data Availability Statement
Acknowledgments
Conflicts of Interest
References
- Sterner, F.; Rosenberger, J.; Margolin, A.; Ruff, M. In vitro and in vivo characterization of avian reoviruses. II. Clinical evaluation of chickens infected with two avian reovirus pathotypes. Avian Dis. 1989, 33, 545–554. [Google Scholar] [CrossRef] [PubMed]
- Van der Heide, L. The history of avian reovirus. Avian Dis. 2000, 44, 638–641. [Google Scholar] [CrossRef]
- Giangaspero, M.; Vanopdenbosch, E.; Nishikawa, H.; Tabbaa, D. Prevalence of antibodies against respiratory viruses (parainfluenza virus type 3, respiratory syncytial virus, reovirus and adenovirus) in relation to productivity in Syrian Awassi sheep. Trop. Anim. Health Prod. 1997, 29, 83–91. [Google Scholar] [CrossRef] [PubMed]
- Taber, R.; Alexander, V.; Whitford, W. Persistent reovirus infection of CHO cells resulting in virus resistance. J. Virol. 1976, 17, 513–524. [Google Scholar] [CrossRef] [PubMed]
- De Gussem, J.; Swam, H.; Lievens, K.; De Herdt, P. Reovirus tenosynovitis in a flock of layer breeders. Avian Pathol. 2010, 39, 169–170. [Google Scholar] [CrossRef]
- Ide, P.; Dewitt, W. Serological incidence of avian reovirus infection in broiler-breeders and progeny in Nova Scotia. Can. Vet. J. 1979, 20, 348. [Google Scholar] [PubMed]
- Zhang, Y.; Liu, M.; Shuidong, O.; Hu, Q.L.; Guo, D.C.; Chen, H.E.A.; Han, Z. Detection and identification of avian, duck, and goose reoviruses by RT-PCR: Goose and duck reoviruses are part of the same genogroup in the genus Orthoreovirus. Arch. Virol. 2006, 151, 1525–1538. [Google Scholar] [CrossRef] [PubMed]
- Farkas, S.L.; Varga-Kugler, R.; Marton, S.; Lengyel, G.; Palya, V.; Bányai, K. Genomic sequence and phylogenetic analyses of two novel orthoreovirus strains isolated from Pekin ducks in 2014 in Germany. Virus Res. 2018, 257, 57–62. [Google Scholar] [CrossRef]
- Cao, Y.; Sun, M.; Wang, J.; Hu, X.; He, W.; Su, J. Phenotypic and genetic characterisation of an emerging reovirus from Pekin ducks in China. Sci. Rep. 2019, 9, 7784. [Google Scholar] [CrossRef] [PubMed]
- Palya, V.; Glávits, R.; Dobos-Kovács, M.; Ivanics, É.; Nagy, E.; Bányai, K.; Szücs, G.; Dá, Á.; Benkö, M. Reovirus identified as cause of disease in young geese. Avian Pathol. 2003, 32, 129–138. [Google Scholar] [CrossRef]
- Guy, J.S.; Levy, M.G.; Ley, D.H.; Barnes, H.J.; Gerig, T.M. Experimental reproduction of enteritis in bobwhite quail (Colinus virginianus) with Cryptosporidium and reovirus. Avian Dis. 1987, 31, 713–722. [Google Scholar] [CrossRef] [PubMed]
- Magee, D.L.; Montgomery, R.D.; Maslin, W.R.; Wu, C.-C.; Jack, S.W. Reovirus associated with excessive mortality in young bobwhite quail. Avian Dis. 1993, 37, 1130–1135. [Google Scholar] [CrossRef] [PubMed]
- Ritter, G.D.; Ley, D.; Levy, M.; Guy, J.; Barnes, H.J. Intestinal cryptosporidiosis and reovirus isolation from bobwhite quail (Colinus virginianus) with enteritis. Avian Dis. 1986, 30, 603–608. [Google Scholar] [CrossRef] [PubMed]
- Jones, R. Avian reovirus infections. Rev. Sci. Tech.—Off. Int. Epizoot. 2000, 19, 614–619. [Google Scholar] [CrossRef] [PubMed]
- Zhong, L.; Gao, L.; Liu, Y.; Li, K.; Wang, M.; Qi, X.; Gao, Y.; Wang, X. Genetic and pathogenic characterisation of 11 avian reovirus isolates from northern China suggests continued evolution of virulence. Sci. Rep. 2016, 6, 35271. [Google Scholar] [CrossRef] [PubMed]
- Egaña-Labrin, S.; Hauck, R.; Figueroa, A.; Stoute, S.; Shivaprasad, H.; Crispo, M.; Corsiglia, C.; Zhou, H.; Kern, C.; Crossley, B. Genotypic characterization of emerging avian reovirus genetic variants in California. Sci. Rep. 2019, 9, 9351. [Google Scholar] [CrossRef] [PubMed]
- Nour, I.; Alvarez-Narvaez, S.; Harrell, T.L.; Conrad, S.J.; Mohanty, S.K. Whole Genomic Constellation of Avian Reovirus Strains Isolated from Broilers with Arthritis in North Carolina, USA. Viruses 2023, 15, 2191. [Google Scholar] [CrossRef] [PubMed]
- Achhal Elkadmiri, A.; Zhari, A.; Aitlaydi, N.; Bouslikhane, M.; Fagrach, A.; Mouahid, M.; Fellahi, S. First seroprevalence survey of Avian Reovirus in broiler breeders chicken flocks in Morocco. Viruses 2023, 15, 1318. [Google Scholar] [CrossRef]
- Nicholds, J.; Sellers, H.S. Viral Arthritis in Poultry (Tenosynovitis, Reoviral Arthritis). Available online: https://www.msdvetmanual.com/poultry/viral-arthritis/viral-arthritis-in-poultry (accessed on 3 November 2024).
- Nham, E.G.; Pearl, D.L.; Slavic, D.; Ouckama, R.; Ojkic, D.; Guerin, M.T. Flock-level prevalence, geographical distribution, and seasonal variation of avian reovirus among broiler flocks in Ontario. Can. Vet. J. 2017, 58, 828–834. [Google Scholar] [PubMed]
- National Turkey Federation. NTF Survey: Economic Impact of Turkey Arthritis Reovirus; National Turkey Federation: Washington, DC, USA, 2019. [Google Scholar]
- Leyson, C.; Cline, J.; Armor, N.; Heeder, C.; Gingerich, E.; Williams, S.; Tenny, L.; Heard, D.; Swayne, D.; Barbieri, N.L.; et al. 2022 Research Priorities of the American Association of Avian Pathologists; AAAP: East Providence, RI, USA, 2022; pp. 5–25. [Google Scholar]
- USAHA. The United States Animal Health Association. In Proceedings of the 127 Annual Meeting of the United States Animal Health Association, National Harbor, MD, USA, 12–18 October 2023. [Google Scholar]
- Kaschula, V. A new virus disease of the muscovy-duck [Cairina moschata (linn)] present in Natal. J. S. Afr. Vet. Assoc. 1950, 21, 18–26. [Google Scholar]
- Gaudry, D.; Charles, J.; Tektoff, J. A new disease expressing itself by a viral pericarditis in Barbary ducks. C. R. Hebd. Seances L’academie Sci. Ser. D Sci. Nat. 1972, 274, 2916–2919. [Google Scholar]
- Olson, N.O.; Shelton, D.C.; Munro, D.A. Infectious synovitis control by medication-effect of strain differences and pleuropneumonia-like organisms. Am. J. Vet. Res. 1957, 18, 735–739. [Google Scholar] [PubMed]
- Olson, N.; Kerr, K. Some characteristics of an avian arthritis viral agent. Avian Dis. 1966, 10, 470–476. [Google Scholar] [CrossRef] [PubMed]
- Walker, E.R.; Friedman, M.; Olson, N. Electron microscopic study of an avian reovirus that causes arthritis. J. Ultrastruct. Res. 1972, 41, 67–79. [Google Scholar] [CrossRef] [PubMed]
- Fahey, J.; Crawley, J. Studies on chronic respiratory disease of chickens II. Isolation of a virus. Can. J. Comp. Med. Vet. Sci. 1954, 18, 13. [Google Scholar] [PubMed]
- Kerr, K.M.; Olson, N.O. Pathology of chickens experimentally inoculated or contact-infected with an arthritis-producing virus. Avian Dis. 1969, 13, 729–745. [Google Scholar] [CrossRef] [PubMed]
- Olson, N.; Weiss, R. Similarity between arthritis virus and Fahey-Crawley virus. Avian Dis. 1972, 16, 535–540. [Google Scholar] [CrossRef] [PubMed]
- Krauss, H.; Ueberschär, S. Structure of a new orphan virus from fowls. Zentralbl. Veterinarmed. B 1966, 13, 239–249. [Google Scholar] [CrossRef] [PubMed]
- Deshmukh, D.; Pomeroy, B. Avian reoviruses. II. Physicochemical characterization and classification. Avian Dis. 1969, 13, 243–251. [Google Scholar] [CrossRef]
- Fujisaki, Y.; Kawamura, H.; Anderson, D. Reoviruses isolated from turkeys with bluecomb. Am. J. Vet. Res. 1969, 30, 1035–1043. [Google Scholar]
- Wooley, R.; Gratzek, J. Certain characteristics of viruses isolated from turkeys with bluecomb. Am. J. Vet. Res. 1969, 30, 1027–1033. [Google Scholar] [PubMed]
- Mandelli, G.; Petek, M.; Bertocchi, D. Experimental infection of one-day-old chicks with Crawley virus: Morphological aspects. Clin. Vet. 1969, 92, 233–249. [Google Scholar]
- Petek, M. Studi sul reovirus di Crawley. Atti Soc. Ital. Sci. Vet. 1967, 21, 888. [Google Scholar]
- Van der Heide, L. Infectious tenosynovitis in poultry: Diagnosis and possible control. In Proceedings of the 4th International Congress World’s Veterinary Poultry Association, Munich, Germany, 1973; pp. 1198–1199. [Google Scholar]
- Mor, S.K.; Sharafeldin, T.A.; Abin, M.; Kromm, M.; Porter, R.E.; Goyal, S.M.; Patnayak, D.P. The occurrence of enteric viruses in light turkey syndrome. Avian Pathol. 2013, 42, 497–501. [Google Scholar] [CrossRef]
- Calvert, A.J. Light Turkey Syndrome: Field Study and Inoculation Trial; University of Minnesota: Minneapolis, MN, USA, 2012. [Google Scholar]
- Jindal, N.; Patnayak, D.; Chander, Y.; Ziegler, A.; Goyal, S. Detection and molecular characterization of enteric viruses from poult enteritis syndrome in turkeys. Poult. Sci. 2010, 89, 217–226. [Google Scholar] [CrossRef]
- Lojkić, I.; Biđin, M.; Biđin, Z.; Mikec, M. Viral agents associated with poult enteritis in Croatian commercial turkey flocks. Acta Vet. Brno 2010, 79, 91–98. [Google Scholar] [CrossRef]
- Jindal, N.; Patnayak, D.P.; Ziegler, A.F.; Lago, A.; Goyal, S.M. A retrospective study on poult enteritis syndrome in Minnesota. Avian Dis. 2009, 53, 268–275. [Google Scholar] [CrossRef]
- Levisohn, S.; Gur-Lavie, A.; Weisman, J. Infectious synovitis in Turkeys: Isolation of tenosynovitis virus-like agent. Avian Pathol. 1980, 9, 1–4. [Google Scholar] [CrossRef] [PubMed]
- Page, R.; Fletcher, O., Jr.; Villegas, P. Infectious tenosynovitis in young turkeys. Avian Dis. 1982, 26, 924–927. [Google Scholar] [CrossRef] [PubMed]
- Al Afaleq, A.; Jones, R. Pathogenicity of three turkey and three chicken reoviruses for poults and chicks with particular reference to arthritis/tenosynovitis. Avian Pathol. 1989, 18, 433–440. [Google Scholar] [CrossRef] [PubMed]
- Niu, X.; Wang, Y.; Li, M.; Zhang, X.; Wu, Y. Transcriptome analysis of avian reovirus-mediated changes in gene expression of normal chicken fibroblast DF-1 cells. BMC Genom. 2017, 18, 911. [Google Scholar] [CrossRef] [PubMed]
- Lu, H.; Tang, Y.; Dunn, P.A.; Wallner-Pendleton, E.A.; Lin, L.; Knoll, E.A. Isolation and molecular characterization of newly emerging avian reovirus variants and novel strains in Pennsylvania, USA, 2011–2014. Sci. Rep. 2015, 5, 14727. [Google Scholar] [CrossRef] [PubMed]
- Zanaty, A.; Mosaad, Z.; Elfeil, W.M.; Badr, M.; Palya, V.; Shahein, M.A.; Rady, M.; Hess, M. Isolation and Genotypic Characterization of New Emerging Avian Reovirus Genetic Variants in Egypt. Poultry 2023, 2, 174–186. [Google Scholar] [CrossRef]
- Olson, N.; Heishman, J.; Cunningham, C. Annual Progress Report: Techniques for Eradication of Diseases of Poultry; NE-76 West Virginia University: Morgantown, WV, USA, 1973. [Google Scholar]
- Johnson, D. Diagnosis, pathology, and etiology of tenosynovitis in broilers and broiler breeders. Avian Dis. 1972, 16, 1067–1072. [Google Scholar] [CrossRef] [PubMed]
- Van der Heide, L.; Geissler, J.; Bryant, E. Infectious tenosynovitis: Serologic and histopathologic response after experimental infection with a Connecticut isolate. Avian Dis. 1974, 18, 289–296. [Google Scholar] [CrossRef] [PubMed]
- Shabbir, M.Z.; Yu, H.; Lighty, M.E.; Dunn, P.A.; Wallner-Pendleton, E.A.; Lu, H. Diagnostic investigation of avian reovirus field variants circulating in broiler chickens in Pennsylvania of United States between 2017 and 2022. Avian Pathol. 2024, 53, 400–407. [Google Scholar] [CrossRef] [PubMed]
- Chen, Z.; Zhu, Y.; Li, C.; Liu, G. Outbreak-associated novel duck Reovirus, China, 2011. Emerg. Infect. Dis. 2012, 18, 1209. [Google Scholar] [CrossRef] [PubMed]
- Deshmukh, D.; Sayed, H.; Pomeroy, B. Avian reoviruses. IV. Relationship to human reoviruses. Avian Dis. 1969, 13, 16–22. [Google Scholar] [CrossRef]
- Kawamura, H.A.; Tsubahara, H. Common antigenicity of avian reoyiruses. Avian Dis. 1966, 13, 16–22. [Google Scholar]
- Sahu, S.; Olson, N. Comparison of the characteristics of avian reoviruses isolated from the digestive and respiratory tract, with viruses isolated from the synovia. Am. J. Vet. Res. 1975, 36, 847–850. [Google Scholar] [PubMed]
- Joklik, W.K. Structure and function of the reovirus genome. Microbiol. Rev. 1981, 45, 483–501. [Google Scholar] [CrossRef] [PubMed]
- Carstens, E. Ratification vote on taxonomic proposals to the International Committee on Taxonomy of Viruses (2009). Arch. Virol. 2010, 155, 133–146. [Google Scholar] [CrossRef] [PubMed]
- King, A.M.; Adams, M.J.; Carstens, E.B.; Lefkowitz, E.J. Virus Taxonomy. Ninth Report of the International Committee on Taxonomy of Viruses; Academic Press: London, UK, 2012; p. 9. [Google Scholar]
- Belhouchet, M.; Mohd Jaafar, F.; Firth, A.E.; Grimes, J.M.; Mertens, P.P.; Attoui, H. Detection of a fourth orbivirus non-structural protein. PLoS ONE 2011, 6, e25697. [Google Scholar] [CrossRef] [PubMed]
- Lu, G.; Zhou, Z.H.; Baker, M.L.; Jakana, J.; Cai, D.; Wei, X.; Chen, S.; Gu, X.; Chiu, W. Structure of double-shelled rice dwarf virus. J. Virol. 1998, 72, 8541–8549. [Google Scholar] [CrossRef] [PubMed]
- Martella, V.; Bányai, K.; Matthijnssens, J.; Buonavoglia, C.; Ciarlet, M. Zoonotic aspects of rotaviruses. Vet. Microbiol. 2010, 140, 246–255. [Google Scholar] [CrossRef] [PubMed]
- Jaafar, F.M.; Attoui, H.; Mertens, P.P.; De Micco, P.; De Lamballerie, X. Structural organization of an encephalitic human isolate of Banna virus (genus Seadornavirus, family Reoviridae). J. Gen. Virol. 2005, 86, 1147–1157. [Google Scholar] [CrossRef]
- Attoui, H.; Jaafar, F.M.; Belhouchet, M.; Biagini, P.; Cantaloube, J.-F.; de Micco, P.; de Lamballerie, X. Expansion of family Reoviridae to include nine-segmented dsRNA viruses: Isolation and characterization of a new virus designated Aedes pseudoscutellaris reovirus assigned to a proposed genus (Dinovernavirus). Virology 2005, 343, 212–223. [Google Scholar] [CrossRef] [PubMed]
- Attoui, H.; Fang, Q.; Jaafar, F.M.; Cantaloube, J.-F.; Biagini, P.; de Micco, P.; de Lamballerie, X. Common evolutionary origin of aquareoviruses and orthoreoviruses revealed by genome characterization of Golden shiner reovirus, Grass carp reovirus, Striped bass reovirus and golden ide reovirus (genus Aquareovirus, family Reoviridae). J. Gen. Virol. 2002, 83, 1941–1951. [Google Scholar] [CrossRef] [PubMed]
- Attoui, H.; Charrel, R.N.; Billoir, F.; Cantaloube, J.-F.; de Micco, P.; de Lamballerie, X. Comparative sequence analysis of American, European and Asian isolates of viruses in the genus Coltivirus. J. Gen. Virol. 1998, 79, 2481–2489. [Google Scholar] [CrossRef] [PubMed][Green Version]
- Yang, C.; Ji, G.; Liu, H.; Zhang, K.; Liu, G.; Sun, F.; Zhu, P.; Cheng, L. Cryo-EM structure of a transcribing cypovirus. Proc. Natl. Acad. Sci. USA 2012, 109, 6118–6123. [Google Scholar] [CrossRef]
- Isogai, M.; Uyeda, I.; Lindsten, K. Taxonomic characteristics of fijiviruses based on nucleotide sequences of the oat sterile dwarf virus genome. J. Gen. Virol. 1998, 79, 1479–1485. [Google Scholar] [CrossRef] [PubMed]
- Suzuki, N.; Supyani, S.; Maruyama, K.; Hillman, B.I. Complete genome sequence of Mycoreovirus-1/Cp9B21, a member of a novel genus within the family Reoviridae, isolated from the chestnut blight fungus Cryphonectria parasitica. J. Gen. Virol. 2004, 85, 3437–3448. [Google Scholar] [CrossRef] [PubMed]
- Duncan, R. Extensive sequence divergence and phylogenetic relationships between the fusogenic and nonfusogenic orthoreoviruses: A species proposal. Virology 1999, 260, 316–328. [Google Scholar] [CrossRef] [PubMed]
- Miyazaki, N.; Uehara-Ichiki, T.; Xing, L.; Bergman, L.; Higashiura, A.; Nakagawa, A.; Omura, T.; Cheng, R.H. Structural evolution of reoviridae revealed by oryzavirus in acquiring the second capsid shell. J. Virol. 2008, 82, 11344–11353. [Google Scholar] [CrossRef] [PubMed]
- Kibenge, M.J.; Iwamoto, T.; Wang, Y.; Morton, A.; Godoy, M.G.; Kibenge, F.S. Whole-genome analysis of piscine reovirus (PRV) shows PRV represents a new genus in family Reoviridae and its genome segment S1 sequences group it into two separate sub-genotypes. Virol. J. 2013, 10, 230. [Google Scholar] [CrossRef] [PubMed]
- Huang, Z.; Deng, X.; Li, Y.; Su, H.; Li, K.; Guo, Z.; Zheng, P.; Xu, H.; He, J.; Zhang, Q. Structural insights into the classification of Mud Crab Reovirus. Virus Res. 2012, 166, 116–120. [Google Scholar] [CrossRef] [PubMed]
- Spandidos, D.a.; Graham, A. Physical and chemical characterization of an avian reovirus. J. Virol. 1976, 19, 968–976. [Google Scholar] [CrossRef] [PubMed]
- Martinez-Costas, J.; Varela, R.; Benavente, J. Endogenous enzymatic activities of the avian reovirus S1133: Identification of the viral capping enzyme. Virology 1995, 206, 1017–1026. [Google Scholar] [CrossRef] [PubMed][Green Version]
- Varela, R.; Benavente, J. Protein coding assignment of avian reovirus strain S1133. J. Virol. 1994, 68, 6775–6777. [Google Scholar] [CrossRef]
- Martínez-Costas, J.; Grande, A.; Varela, R.; García-Martínez, C.; Benavente, J. Protein architecture of avian reovirus S1133 and identification of the cell attachment protein. J. Virol. 1997, 71, 59–64. [Google Scholar] [CrossRef] [PubMed]
- Varela, R.; Martínez-Costas, J.; Mallo, M.; Benavente, J. Intracellular posttranslational modifications of S1133 avian reovirus proteins. J. Virol. 1996, 70, 2974–2981. [Google Scholar] [CrossRef] [PubMed]
- Schnitzer, T.J.; Ramos, T.; Gouvea, V. Avian reovirus polypeptides: Analysis of intracellular virus-specified products, virions, top component, and cores. J. Virol. 1982, 43, 1006–1014. [Google Scholar] [CrossRef] [PubMed]
- Touris-Otero, F.; Martınez-Costas, J.; Vakharia, V.N.; Benavente, J. Avian reovirus nonstructural protein μNS forms viroplasm-like inclusions and recruits protein σNS to these structures. Virology 2004, 319, 94–106. [Google Scholar] [CrossRef]
- Bodelón, G.; Labrada, L.; Martınez-Costas, J.; Benavente, J. The avian reovirus genome segment S1 is a functionally tricistronic gene that expresses one structural and two nonstructural proteins in infected cells. Virology 2001, 290, 181–191. [Google Scholar] [CrossRef] [PubMed]
- Shmulevitz, M.; Yameen, Z.; Dawe, S.; Shou, J.; O’Hara, D.; Holmes, I.; Duncan, R. Sequential partially overlapping gene arrangement in the tricistronic S1 genome segments of avian reovirus and Nelson Bay reovirus: Implications for translation initiation. J. Virol. 2002, 76, 609–618. [Google Scholar] [CrossRef] [PubMed]
- Shapouri, M.R.; Kane, M.; Letarte, M.; Bergeron, J.; Arella, M.; Silim, A. Cloning, sequencing and expression of the S1 gene of avian reovirus. J. Gen. Virol. 1995, 76, 1515–1520. [Google Scholar] [CrossRef]
- Tourís-Otero, F.; Cortez-San Martín, M.; Martínez-Costas, J.; Benavente, J. Avian reovirus morphogenesis occurs within viral factories and begins with the selective recruitment of sigmaNS and lambdaA to microNS inclusions. J. Mol. Biol. 2004, 341, 361–374. [Google Scholar] [CrossRef] [PubMed]
- Benavente, J.; Martínez-Costas, J. Avian reovirus: Structure and biology. Virus Res. 2007, 123, 105–119. [Google Scholar] [CrossRef]
- Mor, S.K.; Sharafeldin, T.A.; Porter, R.E.; Goyal, S.M. Molecular characterization of L class genome segments of a newly isolated turkey arthritis reovirus. Infect. Genet. Evol. 2014, 27, 193–201. [Google Scholar] [CrossRef] [PubMed]
- Zhang, X.; Tang, J.; Walker, S.B.; O’Hara, D.; Nibert, M.L.; Duncan, R.; Baker, T.S. Structure of avian orthoreovirus virion by electron cryomicroscopy and image reconstruction. Virology 2005, 343, 25–35. [Google Scholar] [CrossRef] [PubMed]
- Hsiao, J.; Martınez-Costas, J.; Benavente, J.; Vakharia, V.N. Cloning, expression, and characterization of avian reovirus guanylyltransferase. Virology 2002, 296, 288–299. [Google Scholar] [CrossRef]
- Noad, L.; Shou, J.; Coombs, K.M.; Duncan, R. Sequences of avian reovirus M1, M2 and M3 genes and predicted structure/function of the encoded μ proteins. Virus Res. 2006, 116, 45–57. [Google Scholar] [CrossRef] [PubMed]
- Yin, P.; Keirstead, N.D.; Broering, T.J.; Arnold, M.M.; Parker, J.S.; Nibert, M.L.; Coombs, K.M. Comparisons of the M1 genome segments and encoded μ2 proteins of different reovirus isolates. Virol. J. 2004, 1, 6. [Google Scholar] [CrossRef] [PubMed]
- Su, Y.P.; Su, B.S.; Shien, J.H.; Liu, H.J.; Lee, L.H. The sequence and phylogenetic analysis of avian reovirus genome segments M1, M2, and M3 encoding the minor core protein μA, the major outer capsid protein μB, and the nonstructural protein μNS. J. Virol. Methods 2006, 133, 146–157. [Google Scholar] [CrossRef] [PubMed]
- Timinskas, A.; Butkus, V.; Janulaitis, A. Sequence motifs characteristic for DNA [cytosine-N4] and DNA [adenine-N6] methyltransferases. Classification of all DNA methyltransferases. Gene 1995, 157, 3–11. [Google Scholar] [CrossRef] [PubMed]
- Duncan, R. The low pH-dependent entry of avian reovirus is accompanied by two specific cleavages of the major outer capsid protein μ2C. Virology 1996, 219, 179–189. [Google Scholar] [CrossRef] [PubMed]
- Tillotson, L.; Shatkin, A.J. Reovirus polypeptide sigma 3 and N-terminal myristoylation of polypeptide mu 1 are required for site-specific cleavage to mu 1C in transfected cells. J. Virol. 1992, 66, 2180–2186. [Google Scholar] [CrossRef] [PubMed]
- Martínez-Costas, J.; González-López, C.; Vakharia, V.N.; Benavente, J. Possible involvement of the double-stranded RNA-binding Core protein ςA in the resistance of avian Reovirus to interferon. J. Virol. 2000, 74, 1124–1131. [Google Scholar] [CrossRef] [PubMed][Green Version]
- Yin, H.S.; Shien, J.-H.; Lee, L.H. Synthesis in Escherichia coli of avian reovirus core protein ςA and its dsRNA-binding activity. Virology 2000, 266, 33–41. [Google Scholar] [CrossRef] [PubMed][Green Version]
- Tourís-Otero, F.; Martínez-Costas, J.; Vakharia, V.N.; Benavente, J. Characterization of the nucleic acid-binding activity of the avian reovirus non-structural protein σ NS. J. Gen. Virol. 2005, 86, 1159–1169. [Google Scholar] [CrossRef] [PubMed]
- Guardado-Calvo, P.; Vazquez-Iglesias, L.; Martinez-Costas, J.; Llamas-Saiz, A.L.; Schoehn, G.; Fox, G.C.; Hermo-Parrado, X.L.; Benavente, J.; van Raaij, M.J. Crystal structure of the avian reovirus inner capsid protein σA. J. Virol. 2008, 82, 11208–11216. [Google Scholar] [CrossRef] [PubMed]
- Vázquez-Iglesias, L.; Lostalé-Seijo, I.; Martínez-Costas, J.; Benavente, J. Avian reovirus sigmaA localizes to the nucleolus and enters the nucleus by a nonclassical energy-and carrier-independent pathway. J. Virol. 2009, 83, 10163–10175. [Google Scholar] [CrossRef] [PubMed]
- Hsu, C.-Y.; Chen, Y.-H.; Huang, W.-R.; Huang, J.-W.; Chen, I.-C.; Chang, Y.-K.; Wang, C.-Y.; Chang, C.-D.; Liao, T.-L.; Nielsen, B.L. Oncolytic avian reovirus σA-modulated fatty acid metabolism through the PSMB6/Akt/SREBP1/acetyl-CoA carboxylase pathway to increase energy production for virus replication. Vet. Microbiol. 2022, 273, 109545. [Google Scholar] [CrossRef]
- Gonzalez-Lopez, C.; Martínez-Costas, J.; Esteban, M.; Benavente, J. Evidence that avian reovirus σ A protein is an inhibitor of the double-stranded RNA-dependent protein kinase. J. Gen. Virol. 2003, 84, 1629–1639. [Google Scholar] [CrossRef] [PubMed]
- Xu, W.; Patrick, M.K.; Hazelton, P.R.; Coombs, K.M. Avian reovirus temperature-sensitive mutant tsA12 has a lesion in major core protein σA and is defective in assembly. J. Virol. 2004, 78, 11142–11151. [Google Scholar] [CrossRef] [PubMed]
- Li, Y.; Yin, X.; Chen, X.; Li, X.; Li, J.; Liu, C.; Liu, M.; Zhang, Y. Antigenic analysis monoclonal antibodies against different epitopes of σB protein of Muscovy duck reovirus. Virus Res. 2012, 163, 546–551. [Google Scholar] [CrossRef]
- Day, J.M.; Pantin-Jackwood, M.J.; Spackman, E. Sequence and phylogenetic analysis of the S1 genome segment of turkey-origin reoviruses. Virus Genes 2007, 35, 235–242. [Google Scholar] [CrossRef] [PubMed]
- Kant, A.; Balk, F.; Born, L.; van Roozelaar, D.; Heijmans, J.; Gielkens, A.; ter Huurne, A. Classification of Dutch and German avian reoviruses by sequencing the σ C protein. Vet. Res. 2003, 34, 203–212. [Google Scholar] [CrossRef] [PubMed]
- Liu, H.-J.; Giambrone, J. Amplification, Cloning and Sequencing of the σC-encoded gene of avian reovirus. J. Virol. Methods 1997, 63, 203–208. [Google Scholar] [CrossRef]
- Wickramasinghe, R.; Meanger, J.; Enriquez, C.E.; Wilcox, G.E. Avian reovirus proteins associated with neutralization of virus infectivity. Virology 1993, 194, 688–696. [Google Scholar] [CrossRef]
- Vasserman, Y.; Eliahoo, D.; Hemsani, E.; Kass, N.; Ayali, G.; Pokamunski, S.; Pitcovski, J. The influence of reovirus sigma C protein diversity on vaccination efficiency. Avian Dis. 2004, 48, 271–278. [Google Scholar] [CrossRef] [PubMed]
- Shmulevitz, M.; Duncan, R. A new class of fusion-associated small transmembrane (FAST) proteins encoded by the non-enveloped fusogenic reoviruses. EMBO J. 2000, 19, 902–912. [Google Scholar] [CrossRef] [PubMed]
- Shmulevitz, M.; Salsman, J.; Duncan, R. Palmitoylation, membrane-proximal basic residues, and transmembrane glycine residues in the reovirus p10 protein are essential for syncytium formation. J. Virol. 2003, 77, 9769–9779. [Google Scholar] [CrossRef]
- Bodelón, G.; Labrada, L.a.; Martínez-Costas, J.; Benavente, J. Modification of late membrane permeability in avian reovirus-infected cells: Viroporin activity of the S1-encoded nonstructural p10 protein. J. Biol. Chem. 2002, 277, 17789–17796. [Google Scholar] [CrossRef] [PubMed]
- Costas, C.; Martínez-Costas, J.; Bodelón, G.; Benavente, J. The second open reading frame of the avian reovirus S1 gene encodes a transcription-dependent and CRM1-independent nucleocytoplasmic shuttling protein. J. Virol. 2005, 79, 2141–2150. [Google Scholar] [CrossRef] [PubMed][Green Version]
- Huang, W.-R.; Chi, P.-I.; Chiu, H.-C.; Hsu, J.-L.; Nielsen, B.L.; Liao, T.-L.; Liu, H.-J. Avian reovirus p17 and σA act cooperatively to downregulate Akt by suppressing mTORC2 and CDK2/cyclin A2 and upregulating proteasome PSMB6. Sci. Rep. 2017, 7, 5226. [Google Scholar] [CrossRef] [PubMed]
- Liu, H.-J.; Lin, P.-Y.; Lee, J.-W.; Hsu, H.-Y.; Shih, W.-L. Retardation of cell growth by avian reovirus p17 through the activation of p53 pathway. Biochem. Biophys. Res. Commun. 2005, 336, 709–715. [Google Scholar] [CrossRef] [PubMed]
- Schnitzer, T.J. Protein coding assignment of the S genes of the avian reovirus S1133. Virology 1985, 141, 167–170. [Google Scholar] [CrossRef][Green Version]
- Yin, H.S.; Lee, L.H. Identification and characterization of RNA-binding activities of avian reovirus non-structural protein sigmaNS. J. Gen. Virol. 1998, 79, 1411–1413. [Google Scholar] [CrossRef] [PubMed][Green Version]
- Huang, P.H.; Li, Y.J.; Su, Y.P.; Lee, L.H.; Liu, H.J. Epitope mapping and functional analysis of sigma A and sigma NS proteins of avian reovirus. Virology 2005, 332, 584–595. [Google Scholar] [CrossRef] [PubMed]
- Zamora, P.F.; Hu, L.; Knowlton, J.J.; Lahr, R.M.; Moreno, R.A.; Berman, A.J.; Prasad, B.V.; Dermody, T.S. Reovirus nonstructural protein σNS acts as an RNA stability factor promoting viral genome replication. J. Virol. 2018, 92, 00518–00563. [Google Scholar] [CrossRef] [PubMed]
- Lee, C.H.; Raghunathan, K.; Taylor, G.M.; French, A.J.; Tenorio, R.; Fernández de Castro, I.; Risco, C.; Parker, J.S.; Dermody, T.S. Reovirus nonstructural protein σNS recruits viral RNA to replication organelles. Mbio 2021, 12, 01408–01421. [Google Scholar] [CrossRef]
- Dryden, K.A.; Wang, G.; Yeager, M.; Nibert, M.L.; Coombs, K.M.; Furlong, D.B.; Fields, B.N.; Baker, T.S. Early steps in reovirus infection are associated with dramatic changes in supramolecular structure and protein conformation: Analysis of virions and subviral particles by cryoelectron microscopy and image reconstruction. J. Cell Biol. 1993, 122, 1023–1041. [Google Scholar] [CrossRef]
- Liemann, S.; Chandran, K.; Baker, T.S.; Nibert, M.L.; Harrison, S.C. Structure of the reovirus membrane-penetration protein, μ1, in a complex with its protector protein, σ3. Cell 2002, 108, 283–295. [Google Scholar] [CrossRef] [PubMed]
- Metcalf, P.; Cyrklaff, M.; Adrian, M. The three-dimensional structure of reovirus obtained by cryo-electron microscopy. EMBO J. 1991, 10, 3129–3136. [Google Scholar] [CrossRef] [PubMed]
- Odegard, A.L.; Chandran, K.; Liemann, S.; Harrison, S.C.; Nibert, M.L. Disulfide bonding among μ1 trimers in mammalian reovirus outer capsid: A late and reversible step in virion morphogenesis. J. Virol. 2003, 77, 5389–5400. [Google Scholar] [CrossRef] [PubMed]
- Olland, A.M.; Jané-Valbuena, J.; Schiff, L.A.; Nibert, M.L.; Harrison, S.C. Structure of the reovirus outer capsid and dsRNA-binding protein σ3 at 1.8 Å resolution. EMBO J. 2001, 20, 979–989. [Google Scholar] [CrossRef]
- Reinisch, K.M.; Nibert, M.L.; Harrison, S.C. Structure of the reovirus core at 3.6? Å resolution. Nature 2000, 404, 960–967. [Google Scholar] [CrossRef] [PubMed]
- Zhang, X.; Walker, S.B.; Chipman, P.R.; Nibert, M.L.; Baker, T.S. Reovirus polymerase λ3 localized by cryo-electron microscopy of virions at a resolution of 7.6 Å. Nat. Struct. Mol. Biol. 2003, 10, 1011–1018. [Google Scholar] [CrossRef] [PubMed]
- Grande, A.; Benavente, J. Optimal conditions for the growth, purification and storage of the avian reovirus S1133. J. Virol. Methods 2000, 85, 43–54. [Google Scholar] [CrossRef] [PubMed]
- Wood, G.; Nicholas, R.; Hebert, C.a.; Thornton, D. Serological comparisons of avian reoviruses. J. Comp. Pathol. 1980, 90, 29–38. [Google Scholar] [CrossRef] [PubMed]
- Goldenberg, D.; Pasmanik-Chor, M.; Pirak, M.; Kass, N.; Lublin, A.; Yeheskel, A.; Heller, D.; Pitcovski, J. Genetic and antigenic characterization of sigma C protein from avian reovirus. Avian Pathol. 2010, 39, 189–199. [Google Scholar] [CrossRef] [PubMed]
- Mor, S.K.; Sharafeldin, T.A.; Porter, R.E.; Ziegler, A.; Patnayak, D.P.; Goyal, S.M. Isolation and characterization of a turkey arthritis reovirus. Avian Dis. 2013, 57, 97–103. [Google Scholar] [CrossRef] [PubMed]
- Sellers, H.S. Current limitations in control of viral arthritis and tenosynovitis caused by avian reoviruses in commercial poultry. Vet. Microbiol. 2017, 206, 152–156. [Google Scholar] [CrossRef] [PubMed]
- Sharafeldin, T.A.; Mor, S.K.; Bekele, A.Z.; Verma, H.; Goyal, S.M.; Porter, R.E. The role of avian reoviruses in turkey tenosynovitis/arthritis. Avian Pathol. 2014, 43, 371–378. [Google Scholar] [CrossRef] [PubMed]
- Troxler, S.; Rigomier, P.; Bilic, I.; Liebhart, D.; Prokofieva, I.; Robineau, B.; Hess, M. Identification of a new reovirus causing substantial losses in broiler production in France, despite routine vaccination of breeders. Vet. Rec. 2013, 172, 556. [Google Scholar] [CrossRef]
- Ellis, M.; Eidson, C.; Fletcher, O.; Kleven, S. Viral tissue tropisms and interferon production in white leghorn chickens infected with two avian reovirus strains. Avian Dis. 1983, 27, 644–651. [Google Scholar] [CrossRef] [PubMed]
- Pantin-Jackwood, M.; Spackman, E.; Day, J. Pathology and virus tissue distribution of Turkey origin reoviruses in experimentally infected Turkey poults. Vet. Pathol. 2007, 44, 185–195. [Google Scholar] [CrossRef] [PubMed]
- Robertson, M.D.; Wilcox, G. Avian reovirus. Vet. Bull. 1986, 56, 155–174. [Google Scholar]
- Barton, E.S.; Forrest, J.C.; Connolly, J.L.; Chappell, J.D.; Liu, Y.; Schnell, F.J.; Nusrat, A.; Parkos, C.A.; Dermody, T.S. Junction adhesion molecule is a receptor for reovirus. Cell 2001, 104, 441–451. [Google Scholar] [CrossRef] [PubMed]
- Nibert, M.; Fields, B. A carboxy-terminal fragment of protein mu 1/mu 1C is present in infectious subvirion particles of mammalian reoviruses and is proposed to have a role in penetration. J. Virol. 1992, 66, 6408–6418. [Google Scholar] [CrossRef] [PubMed]
- Sturzenbecker, L.; Nibert, M.; Furlong, D.; Fields, B. Intracellular digestion of reovirus particles requires a low pH and is an essential step in the viral infectious cycle. J. Virol. 1987, 61, 2351–2361. [Google Scholar] [CrossRef]
- Duncan, R.; Chen, Z.; Walsh, S.; Wu, S. Avian reovirus-induced syncytium formation is independent of infectious progeny virus production and enhances the rate, but is not essential, for virus-induced cytopathology and virus egress. Virology 1996, 224, 453–464. [Google Scholar] [CrossRef] [PubMed]
- Labrada, L.; Bodelón, G.; Vinuela, J.; Benavente, J. Avian reoviruses cause apoptosis in cultured cells: Viral uncoating, but not viral gene expression, is required for apoptosis induction. J. Virol. 2002, 76, 7932–7941. [Google Scholar] [CrossRef]
- Spandidos, D.; Graham, A. Nonpermissive infection of L cells by an avian reovirus: Restricted transcription of the viral genome. J. Virol. 1976, 19, 977–984. [Google Scholar] [CrossRef]
- Nanoyama, M.; Nflllward, S.; Graham, A. Control of transcription of the reovirus genome. Nucleic Acids Res. 1974, 1, 373–386. [Google Scholar] [CrossRef]
- Wiebe, M.E.; Joklik, W.K. The mechanism of inhibition of reovirus replication by interferon. Virology 1975, 66, 229–240. [Google Scholar] [CrossRef] [PubMed]
- Zweerink, H.J.; Joklik, W.K. Studies on the intracellular synthesis of reovirus-specified proteins. Virology 1970, 41, 501–518. [Google Scholar] [CrossRef] [PubMed]
- Benavente, J.; Shatkin, A.J. Avian reovirus mRNAs are nonfunctional in infected mouse cells: Translational basis for virus host-range restriction. Proc. Natl. Acad. Sci. USA 1988, 85, 4257–4261. [Google Scholar] [CrossRef]
- Mallo, M.; Martínez-Costas, J.; Benavente, J. Avian reovirus S1133 can replicate in mouse L cells: Effect of pH and cell attachment status on viral infection. J. Virol. 1991, 65, 5499–5505. [Google Scholar] [CrossRef] [PubMed]
- Nibert, M.L.; Schiff, L. Reoviruses and their replication. In Fundamental Virology; Lippincott Williams & Wilkins: Philadelphia, PA, USA, 2001. [Google Scholar]
- Kozak, M. Structural features in eukaryotic mRNAs that modulate the initiation of translation. J. Biol. Chem. 1991, 266, 19867–19870. [Google Scholar] [CrossRef] [PubMed]
- Ryabova, L.A.; Hohn, T. Ribosome shunting in the cauliflower mosaic virus 35S RNA leader is a special case of reinitiation of translation functioning in plant and animal systems. Genes Dev. 2000, 14, 817–829. [Google Scholar] [CrossRef] [PubMed]
- Jackson, R.J.; Kaminski, A. Internal initiation of translation in eukaryotes: The picornavirus paradigm and beyond. RNA 1995, 1, 985. [Google Scholar] [PubMed]
- Gomatos, P.J.; Stamatos, N.M.; Sarkar, N.H. Small reovirus-specific particle with polycytidylate-dependent RNA polymerase activity. J. Virol. 1980, 36, 556–565. [Google Scholar] [CrossRef] [PubMed]
- Delhaye, S.; Van Pesch, V.; Michiels, T. The leader protein of Theiler’s virus interferes with nucleocytoplasmic trafficking of cellular proteins. J. Virol. 2004, 78, 4357–4362. [Google Scholar] [CrossRef] [PubMed]
- Ghorbel, S.; Sinha-Datta, U.; Dundr, M.; Brown, M.; Franchini, G.; Nicot, C. Human T-cell leukemia virus type I p30 nuclear/nucleolar retention is mediated through interactions with RNA and a constituent of the 60 S ribosomal subunit. J. Biol. Chem. 2006, 281, 37150–37158. [Google Scholar] [CrossRef] [PubMed]
- Sansam, C.L.; Wells, K.S.; Emeson, R.B. Modulation of RNA editing by functional nucleolar sequestration of ADAR2. Proc. Natl. Acad. Sci. USA 2003, 100, 14018–14023. [Google Scholar] [CrossRef] [PubMed]
- Tkach, J.M.; Glover, J.R. Nucleocytoplasmic trafficking of the molecular chaperone Hsp104 in unstressed and heat-shocked cells. Traffic 2008, 9, 39–56. [Google Scholar] [CrossRef] [PubMed]
- Ji, W.T.; Wang, L.; Lin, R.C.; Huang, W.R.; Liu, H.J. Avian reovirus influences phosphorylation of several factors involved in host protein translation including eukaryotic translation elongation factor 2 (eEF2) in Vero cells. Biochem. Biophys. Res. Commun. 2009, 384, 301–305. [Google Scholar] [CrossRef] [PubMed]
- Chi, P.I.; Huang, W.R.; Lai, I.; Cheng, C.Y.; Liu, H.J. The p17 nonstructural protein of avian reovirus triggers autophagy enhancing virus replication via activation of phosphatase and tensin deleted on chromosome 10 (PTEN) and AMP-activated protein kinase (AMPK), as well as dsRNA-dependent protein kinase (PKR)/eIF2α signaling pathways. J. Biol. Chem. 2013, 288, 3571–3584. [Google Scholar]
- Huang, W.-R.; Chiu, H.-C.; Liao, T.-L.; Chuang, K.-P.; Shih, W.-L.; Liu, H.-J. Avian reovirus protein p17 functions as a nucleoporin Tpr suppressor leading to activation of p53, p21 and PTEN and inactivation of PI3K/AKT/mTOR and ERK signaling pathways. PLoS ONE 2015, 10, e0133699. [Google Scholar] [CrossRef] [PubMed]
- Chiu, H.-C.; Huang, W.-R.; Liao, T.-L.; Wu, H.-Y.; Munir, M.; Shih, W.-L.; Liu, H.-J. Suppression of vimentin phosphorylation by the avian reovirus p17 through inhibition of CDK1 and Plk1 impacting the G2/M phase of the cell cycle. PLoS ONE 2016, 11, e0162356. [Google Scholar] [CrossRef] [PubMed]
- Fields, B.N. Temperature-sensitive mutants of reovirus type 3 features of genetic recombination. Virology 1971, 46, 142–148. [Google Scholar] [CrossRef] [PubMed]
- Rhim, J.S.; Jordan, L.E.; Mayor, H.D. Cytochemical, fluorescent-antibody and electron microscopic studies on the growth of reovirus (ECHO 10) in tissue culture. Virology 1962, 17, 342–355. [Google Scholar] [CrossRef] [PubMed]
- Silverstein, S.C.; Schur, P.H. Immunofluorescent localization of double-stranded RNA in reovirus-infected cells. Virology 1970, 41, 564–566. [Google Scholar] [CrossRef] [PubMed]
- Borodavka, A.; Ault, J.; Stockley, P.G.; Tuma, R. Evidence that avian reovirus σNS is an RNA chaperone: Implications for genome segment assortment. Nucleic Acids Res. 2015, 43, 7044–7057. [Google Scholar] [CrossRef] [PubMed]
- Rajkowitsch, L.; Chen, D.; Stampfl, S.; Semrad, K.; Waldsich, C.; Mayer, O.; Jantsch, M.F.; Konrat, R.; Bläsi, U.; Schroeder, R. RNA chaperones, RNA annealers and RNA helicases. RNA Biol. 2007, 4, 118–130. [Google Scholar] [CrossRef] [PubMed]
- Gomatos, P.J.; Prakash, O.; Stamatos, N.M. Small reovirus particles composed solely of sigma NS with specificity for binding different nucleic acids. J. Virol. 1981, 39, 115–124. [Google Scholar] [CrossRef]
- Taraporewala, Z.F.; Patton, J.T. Identification and characterization of the helix-destabilizing activity of rotavirus nonstructural protein NSP2. J. Virol. 2001, 75, 4519–4527. [Google Scholar] [CrossRef] [PubMed]
- Stamatos, N.M.; Gomatos, P.J. Binding to selected regions of reovirus mRNAs by a nonstructural reovirus protein. Proc. Natl. Acad. Sci. USA 1982, 79, 3457–3461. [Google Scholar] [CrossRef]
- Bravo, J.P.; Borodavka, A.; Barth, A.; Calabrese, A.N.; Mojzes, P.; Cockburn, J.J.; Lamb, D.C.; Tuma, R. Stability of local secondary structure determines selectivity of viral RNA chaperones. Nucleic Acids Res. 2018, 46, 7924–7937. [Google Scholar] [CrossRef] [PubMed]
- Schroeder, R.; Barta, A.; Semrad, K. Strategies for RNA folding and assembly. Nat. Rev. Mol. Cell Biol. 2004, 5, 908–919. [Google Scholar] [CrossRef] [PubMed]
- Gillian, A.L.; Schmechel, S.C.; Livny, J.; Schiff, L.A.; Nibert, M.L. Reovirus protein ςNS binds in multiple copies to single-stranded RNA and shares properties with single-stranded DNA binding proteins. J. Virol. 2000, 74, 5939–5948. [Google Scholar] [CrossRef]
- Lin, P.Y.; Liu, H.J.; Chang, C.D.; Chang, C.I.; Hsu, J.L.; Liao, M.H.; Lee, J.W.; Shih, W.L. Avian reovirus S1133-induced DNA damage signaling and subsequent apoptosis in cultured cells and in chickens. Arch. Virol. 2011, 156, 1917–1929. [Google Scholar] [CrossRef] [PubMed]
- Liu, H.J.; Lin, P.Y.; Wang, L.R.; Hsu, H.Y.; Liao, M.H.; Shih, W.L. Activation of small GTPases RhoA and Rac1 is required for avian reovirus p10-induced syncytium formation. Mol Cells 2008, 26, 396–403. [Google Scholar] [CrossRef] [PubMed]
- Rosenberger, J.K. Reovirus infections. In Diseases of Poultry, 11th ed.; Saif, Y.M., Barnes, H.J., Glisson, J.R., Fadly, A.M., McDougald, L.R., Swayne, D.E., Eds.; Iowa State University Press: Ames, IA, USA, 2003; pp. 283–293. [Google Scholar]
- Savage, C.E.; Jones, R. The survival of avian reoviruses on materials associated with the poultry house environment. Avian Pathol. 2003, 32, 417–423. [Google Scholar] [CrossRef]
- Kerr, K.M.; Olson, N.O. Control of Infectious Synovitis.14. Effect of Age of Chickens on Susceptibility to 3 Agents. Avian Dis. 1964, 8, 256. [Google Scholar] [CrossRef]
- Jones, R.C.; Georgiou, K. Reovirus-induced tenosynovitis in chickens the influence of age at infection. Avian Pathol. 1984, 13, 441–457. [Google Scholar] [CrossRef] [PubMed]
- Al-Muffarej, S.I.; Savage, C.E.; Jones, R.C. Egg transmission of avian reoviruses in chickens: Comparison of a trypsin-sensitive and a trypsin-resistant strain. Avian Pathol. 1996, 25, 469–480. [Google Scholar] [CrossRef] [PubMed]
- Menendez, N.; Calnek, B.; Cowen, B. Experimental egg-transmission of avian reovirus. Avian Dis. 1975, 19, 104–111. [Google Scholar] [CrossRef] [PubMed]
- Van der Heide, L.; Kalbac, M. Infectious tenosynovitis (viral arthritis): Characterization of a Connecticut viral isolant as a reovirus and evidence of viral egg transmission by reovirus-infected broiler breeders. Avian Dis 1975, 19, 683–688. [Google Scholar] [CrossRef]
- Jones, R.C.; Onunkwo, O. Studies on experimental tenosynovitis in light hybrid chickens. Avian Pathol. 1978, 7, 171–181. [Google Scholar] [CrossRef] [PubMed]
- Al Afaleq, A.I.; Jones, R.C. Localisation of avian reovirus in the hock joints of chicks after entry through broken skin. Res. Vet. Sci. 1990, 48, 381–382. [Google Scholar] [CrossRef] [PubMed]
- Schwartz, L.D.; Gentry, R.F.; Rothenbacher, H.; van der Heide, L. Infectious tenosynovitis in commercial White Leghorn chickens. Avian Dis. 1976, 20, 769–773. [Google Scholar] [CrossRef] [PubMed]
- Jones, R.C.; Kibenge, F.S. Reovirus-induced tenosynovitis in chickens: The effect of breed. Avian Pathol. 1984, 13, 511–528. [Google Scholar] [CrossRef] [PubMed]
- Duncan, R.; Sullivan, K. Characterization of two avian reoviruses that exhibit strain-specific quantitative differences in their syncytium-inducing and pathogenic capabilities. Virology 1998, 250, 263–272. [Google Scholar] [CrossRef] [PubMed]
- Ni, Y.; Kemp, M.C. A comparative study of avian reovirus pathogenicity: Virus spread and replication and induction of lesions. Avian Dis. 1995, 19, 554–566. [Google Scholar] [CrossRef]
- Franzo, G.; Tucciarone, C.M.; Faustini, G.; Poletto, F.; Baston, R.; Cecchinato, M.; Legnardi, M. Reconstruction of Avian Reovirus History and Dispersal Patterns: A Phylodynamic Study. Viruses 2024, 16, 796. [Google Scholar] [CrossRef] [PubMed]
- Rosenberger, J.; Sterner, F.; Botts, S.; Lee, K.; Margolin, A. In vitro and in vivo characterization of avian reoviruses. I. Pathogenicity and antigenic relatedness of several avian reovirus isolates. Avian Dis. 1989, 33, 535–544. [Google Scholar] [CrossRef] [PubMed]
- Mase, M.; Gotou, M.; Inoue, D.; Masuda, T.; Watanabe, S.; Iseki, H. Genetic analysis of avian reovirus isolated from chickens in Japan. Avian Dis. 2021, 65, 346–350. [Google Scholar] [CrossRef] [PubMed]
- Ayalew, L.E.; Gupta, A.; Fricke, J.; Ahmed, K.A.; Popowich, S.; Lockerbie, B.; Tikoo, S.K.; Ojkic, D.; Gomis, S. Phenotypic, genotypic and antigenic characterization of emerging avian reoviruses isolated from clinical cases of arthritis in broilers in Saskatchewan, Canada. Sci. Rep. 2017, 7, 3565. [Google Scholar] [CrossRef]
- Souza, S.O.; De Carli, S.; Lunge, V.R.; Ikuta, N.; Canal, C.W.; Pavarini, S.P.; Driemeier, D. Pathological and molecular findings of avian reoviruses from clinical cases of tenosynovitis in poultry flocks from Brazil. Poult. Sci. 2018, 97, 3550–3555. [Google Scholar] [CrossRef] [PubMed]
- Pitcovski, J.; Goyal, S.M. Avian Reovirus Infections. In Diseases of Poultry; Swayne, D.E., Boulianne, M., Logue, C.M., McDougald, L.R., Nair, V., Suarez, D.L., de Wit, S., Grimes, T., Johnson, D., Kromm, M., et al., Eds.; Wiley-Blakwell: Hoboken, NJ, USA, 2020; pp. 382–400. [Google Scholar]
- Sellers, H.; Linneman, E.; Gauthiersloan, V.; Collet, T. Isolation and characterization of reovirus field isolates from clinical cases of viral arthritis. In Proceedings of the 62nd of the Western Poultry Disease Conference, Sacramento, CA, USA, 25–27 March 2013; pp. 24–26. [Google Scholar]
- Gal, B.; Varga-Kugler, R.; Ihasz, K.; Kaszab, E.; Doman, M.; Farkas, S.; Banyai, K. Marked Genotype Diversity among Reoviruses Isolated from Chicken in Selected East-Central European Countries. Animals 2023, 13, 2137. [Google Scholar] [CrossRef] [PubMed]
- Liu, D.; Zou, Z.; Song, S.; Liu, H.; Gong, X.; Li, B.; Liu, P.; Wang, Q.; Liu, F.; Luan, D.; et al. Epidemiological Analysis of Avian Reovirus in China and Research on the Immune Protection of Different Genotype Strains from 2019 to 2020. Vaccines 2023, 11, 485. [Google Scholar] [CrossRef] [PubMed]
- Zhang, J.; Li, T.; Wang, W.; Xie, Q.; Wan, Z.; Qin, A.; Ye, J.; Shao, H. Isolation and Molecular Characteristics of a Novel Recombinant Avian Orthoreovirus From Chickens in China. Front. Vet. Sci. 2021, 8, 771755. [Google Scholar] [CrossRef] [PubMed]
- Sellers, H.S. Avian Reoviruses from Clinical Cases of Tenosynovitis: An Overview of Diagnostic Approaches and 10-Year Review of Isolations and Genetic Characterization. Avian Dis. 2023, 66, 420–426. [Google Scholar] [CrossRef] [PubMed]
- Reck, C.; Menin, A.; Canever, M.F.; Pilatic, C.; Miletti, L.C. Molecular detection of Mycoplasma synoviae and avian reovirus infection in arthritis and tenosynovitis lesions of broiler and breeder chickens in Santa Catarina State, Brazil. J. S. Afr. Vet. Assoc. 2019, 90, e1–e5. [Google Scholar] [CrossRef] [PubMed]
- De Carli, S.; Wolf, J.M.; Gräf, T.; Lehmann, F.K.; Fonseca, A.S.; Canal, C.W.; Lunge, V.R.; Ikuta, N. Genotypic characterization and molecular evolution of avian reovirus in poultry flocks from Brazil. Avian Pathol. 2020, 49, 611–620. [Google Scholar] [CrossRef]
- Kovács, E.; Varga-Kugler, R.; Mató, T.; Homonnay, Z.; Tatár-Kis, T.; Farkas, S.; Kiss, I.; Bányai, K.; Palya, V. Identification of the main genetic clusters of avian reoviruses from a global strain collection. Front. Vet. Sci. 2023, 9, 1094761. [Google Scholar] [CrossRef]
- Lostalé-Seijo, I.; Martínez-Costas, J.; Benavente, J. Interferon induction by avian reovirus. Virology 2016, 487, 104–111. [Google Scholar] [CrossRef][Green Version]
- Tantawi, H.; Amina, N.; Youssef, Y.; Fawzia, M.; Al-Abdulla, J.; El-Batrawi, A.; El-Ghawas, A.; Nasser, A.; Reda, I. Infectious tenosynovitis in broilers and broiler breeders in Egypt. Vet. Res. Commun. 1984, 8, 229–235. [Google Scholar] [CrossRef] [PubMed]
- Al-Ebshahy, E.; Mohamed, S.; Abas, O. First report of seroprevalence and genetic characterization of avian orthoreovirus in Egypt. Trop. Anim. Health Prod. 2020, 52, 1049–1054. [Google Scholar] [CrossRef]
- Mosad, S.M.; Elmahallawy, E.K.; Alghamdi, A.M.; El-Khayat, F.; El-Khadragy, M.F.; Ali, L.A.; Abdo, W. Molecular and pathological investigation of avian reovirus (ARV) in Egypt with the assessment of the genetic variability of field strains compared to vaccine strains. Front. Microbiol. 2023, 14, 1156251. [Google Scholar] [CrossRef] [PubMed]
- Hellal Kort, Y.; Bourogâa, H.; Gribaa, L.; Scott-Algara, D.; Ghram, A. Molecular characterization of avian reovirus isolates in Tunisia. Virol. J. 2013, 10, 12. [Google Scholar] [CrossRef] [PubMed]
- Chen, H.; Yan, M.; Tang, Y.; Diao, Y. Pathogenicity and genomic characterization of a novel avian orthoreovius variant isolated from a vaccinated broiler flock in China. Avian Pathol. 2019, 48, 334–342. [Google Scholar] [CrossRef] [PubMed]
- Liu, H.J.; Lee, L.H.; Hsu, H.W.; Kuo, L.C.; Liao, M.H. Molecular evolution of avian reovirus:: Evidence for genetic diversity and reassortment of the S-class genome segments and multiple cocirculating lineages. Virology 2003, 314, 336–349. [Google Scholar] [CrossRef]
- Erol, N.; Sengul, S.S. Seroprevalence of avian reovirus infections in chickens in western provinces of Turkey. Kafkas Üniversitesi Vet. Fakültesi Derg. 2012, 18, 653–656. [Google Scholar] [CrossRef][Green Version]
- Wunderwald, C.; Hoop, R.K. Serological monitoring of 40 Swiss fancy breed poultry flocks. Avian Pathol. 2002, 31, 157–162. [Google Scholar] [CrossRef]
- Bokaei, S.; Shojadoust, B.; Pourbakhsh, S.; Pourseyed, S.; Sharifi, L. Seroprevalence survey on reovirus infection of broiler chickens in Tehran province. Iran. J. Vet. Res. 2008, 9, 23. [Google Scholar]
- Baksi, S.; Rao, N.; Chauhan, P.; Chauhan, A. Sero-prevalence of avian reovirus in broiler breeders in different parts of India. PSM Vet. Res. 2018, 3, 22–25. [Google Scholar]
- Palomino-Tapia, V.; Mitevski, D.; Inglis, T.; van der Meer, F.; Abdul-Careem, M.F. Molecular characterization of emerging avian reovirus variants isolated from viral arthritis cases in Western Canada 2012–2017 based on partial sigma (σ) C gene. Virology 2018, 522, 138–146. [Google Scholar] [CrossRef]
- Zhang, X.; Lei, X.; Ma, L.; Wu, J.; Bao, E. Genetic and pathogenic characteristics of newly emerging avian reovirus from infected chickens with clinical arthritis in China. Poult. Sci. 2019, 98, 5321–5329. [Google Scholar] [CrossRef] [PubMed]
- Robertson, M.; Wilcox, G. Serological characteristics of avian reoviruses of Australian origin. Avian Pathol. 1984, 13, 585–594. [Google Scholar] [CrossRef] [PubMed]
- Grindstaff, J.L. Maternal antibodies reduce costs of an immune response during development. J. Exp. Biol. 2008, 211, 654–660. [Google Scholar] [CrossRef][Green Version]
- Van der Heide, L.; Kalbac, M.; Hall, W. Infectious tenosynovitis (viral arthritis): Influence of maternal antibodies on the development of tenosynovitis lesions after experimental infection by day-old chickens with tenosynovitis virus. Avian Dis. 1976, 20, 641–648. [Google Scholar] [CrossRef] [PubMed]
- Rau, W.; Van der Heide, L.; Kalbac, M.; Girshick, T. Onset of progeny immunity against viral arthritis/tenosynovitis after experimental vaccination of parent breeder chickens and cross-immunity against six reovirus isolates. Avian Dis. 1980, 24, 648–657. [Google Scholar] [CrossRef] [PubMed]
- Shen, P.-C.; Yang, J.-L.; Su, B.-S.; Lee, L.-H. Cytokine mRNA expression in chicken experimentally infected with different avian reovirus strains. Taiwan Vet. J. 2014, 40, 29–36. [Google Scholar] [CrossRef]
- Lin, P.-Y.; Liu, H.-J.; Liao, M.-H.; Chang, C.-D.; Chang, C.-I.; Cheng, H.-L.; Lee, J.-W.; Shih, W.-L. Activation of PI 3-kinase/Akt/NF-κB and Stat3 signaling by avian reovirus S1133 in the early stages of infection results in an inflammatory response and delayed apoptosis. Virology 2010, 400, 104–114. [Google Scholar] [CrossRef] [PubMed]
- Islam, M.; Jones, R.; Kelly, D.; Al-Afaleq, A. Studies on the devlopment of autoantibodies in chickens following experimental reovirus infection. Avian Pathol. 1990, 19, 409–416. [Google Scholar] [CrossRef]
- Pradhan, H.; Mohanty, G.; Kataria, J.; Pattnaik, B.; Verma, K. Antinuclear antibody in chickens with reoviral arthritis. Avian Dis. 1987, 31, 249–253. [Google Scholar] [CrossRef] [PubMed]
- Jeurissen, S.H.; Boonstra-Blom, A.G.; Al-Garib, S.O.; Hartog, L.; Koch, G. Defence mechanisms against viral infection in poultry: A review. Vet. Q. 2000, 22, 204–208. [Google Scholar] [CrossRef] [PubMed]
- Songserm, T.; Van Roozelaar, D.; Kant, A.; Pol, J.; Pijpers, A.; ter Huurne, A. Enteropathogenicity of Dutch and German avian reoviruses in SPF white leghorn chickens and broilers. Vet. Res. 2003, 34, 285–295. [Google Scholar] [CrossRef] [PubMed][Green Version]
- Pertile, T.; Walser, M.; Sharma, J.; Shivers, J. Immunohistochemical detection of lymphocyte subpopulations in the tarsal joints of chickens with experimental viral arthritis. Vet. Pathol. 1996, 33, 303–310. [Google Scholar] [CrossRef] [PubMed]
- Neelima, S.; Ram, G.; Kataria, J.; Goswami, T. Avian reovirus induces an inhibitory effect on lymphoproliferation in chickens. Vet. Res. Commun. 2003, 27, 73–85. [Google Scholar] [CrossRef] [PubMed]
- Pertile, T.L.; Karaca, K.; Walser, M.M.; Sharma, J.M. Suppressor macrophages mediate depressed lymphoproliferation in chickens infected with avian reovirus. Vet. Immunol. Immunopathol. 1996, 53, 129–145. [Google Scholar] [CrossRef]
- Ellis, M.; Eidson, C.; Brown, J.; Kleven, S. Studies on interferon induction and interferon sensitivity of avian reoviruses. Avian Dis. 1983, 27, 927–936. [Google Scholar] [CrossRef] [PubMed]
- De Wit, M.C.; Horzinek, M.C.; Haagmans, B.L.; Schijns, V.E. Host-dependent type 1 cytokine responses driven by inactivated viruses may fail to default in the absence of il-12 or ifn-α/β. J. Gen. Virol. 2004, 85, 795–803. [Google Scholar] [CrossRef] [PubMed]
- Mukiibi-Muka, G.; Jones, R. Local and systemic IgA and IgG responses of chicks to avian reoviruses: Effects of age of chick, route of infection and virus strain. Avian Pathol. 1999, 28, 54–60. [Google Scholar] [CrossRef][Green Version]
- Lin, K.-H.; Hsu, A.-P.; Shien, J.-H.; Chang, T.-J.; Liao, J.-W.; Chen, J.-R.; Lin, C.-F.; Hsu, W.-L. Avian reovirus sigma C enhances the mucosal and systemic immune responses elicited by antigen-conjugated lactic acid bacteria. Vaccine 2012, 30, 5019–5029. [Google Scholar] [CrossRef]
- Rosenberger, J.K. Reovirus interference with Marek’s disease vaccination. Proceedings of 32nd Western Poultry Disease Conference, Davis, CA, USA, 8–10 February 1983. [Google Scholar]
- Olson, N.; Kerr, K. The duration and distribution of synovitis-producing agents in chickens. Avian Dis. 1967, 11, 578–585. [Google Scholar] [CrossRef] [PubMed]
- Jones, R.; Islam, M.; Kelly, D. Early pathogenesis of experimental reovirus infection in chickens. Avian Pathol. 1989, 18, 239–253. [Google Scholar] [CrossRef] [PubMed]
- Jones, R.; Guneratne, J. The pathogenicity of some avian reoviruses with particular reference to tenosynovitis. Avian Pathol. 1984, 13, 173–189. [Google Scholar] [CrossRef]
- Meanger, J.; Wickramasinghe, R.; Enriquez, C.E.; Wilcox, G.E. Tissue tropism of avian reoviruses is genetically determined. Vet. Res. 1999, 30, 523–529. [Google Scholar] [PubMed]
- Neighbor, N.; Newberry, L.; Bayyari, G.; Skeeles, J.; Beasley, J.; McNew, R. The effect of microaerosolized hydrogen peroxide on bacterial and viral poultry pathogens. Poult. Sci. 1994, 73, 1511–1516. [Google Scholar] [CrossRef] [PubMed]
- Islam, M.; Jones, R. An enzyme-linked immunosorbent assay for measuring antibody titre against avian reovirus using a single dilution of serum. Avian Pathol. 1988, 17, 411–425. [Google Scholar] [CrossRef] [PubMed]
- Al Afaleq, A.; Jones, R. A comparison of single and repeated oral infection of chicks with two avian reoviruses. Res. Vet. Sci. 1994, 57, 96–99. [Google Scholar] [CrossRef]
- Kibenge, F.S.; Dhillon, A. A comparison of the pathogenicity of four avian reoviruses in chickens. Avian Dis. 1987, 31, 39–42. [Google Scholar] [CrossRef] [PubMed]
- Glass, S.; Naqi, S.; Hall, C.; Kerr, K. Isolation and characterization of a virus associated with arthritis of chickens. Avian Dis. 1973, 17, 415–424. [Google Scholar] [CrossRef]
- Johnson, D.; Van der Heide, L. Incidence of tenosynovitis in Maine broilers. Avian Dis. 1971, 15, 829–834. [Google Scholar] [CrossRef] [PubMed]
- Jones, R.; Jordan, F.; Lioupis, S. Characteristics of reovirus isolated from ruptured gastrocnemius tendons of chickens. Vet. Rec. 1975, 96, 153–154. [Google Scholar] [CrossRef]
- Page, R.; Fletcher, O.; Rowland, G.N.; Gaudry, D.; Villegas, P. Malabsorption syndrome in broiler chickens. Avian Dis. 1982, 26, 618–624. [Google Scholar] [CrossRef] [PubMed]
- Davis, J.F.; Kulkarni, A.; Fletcher, O. Reovirus infections in young broiler chickens. Avian Dis. 2013, 57, 321–325. [Google Scholar] [CrossRef]
- Van de Zande, S.; Kuhn, E.-M. Central nervous system signs in chickens caused by a new avian reovirus strain: A pathogenesis study. Vet. Microbiol. 2007, 120, 42–49. [Google Scholar] [CrossRef] [PubMed]
- McNulty, M. Virus Infections of Birds; McFerran, J.B., McNulty, M.S., Eds.; Elsevier Science Publishers BV: Amsterdam, The Netherlands, 1993. [Google Scholar]
- Rosenberger, J.; Olson, N. Viral arthritis. In Diseases of Poultry; Iowa State Press: Ames, IA, USA, 2003; Volume 3, pp. 284–293. [Google Scholar]
- Van der Heide, L. Viral arthritis/tenosynovitis: A review. Avian Pathol. 1977, 6, 271–284. [Google Scholar] [CrossRef] [PubMed]
- Mohamed, F.; Foutz, T.; Rowland, G.; Villegas, P. Biomechanical properties of the gastrocnemius tendon in broilers experimentally infected with avian reovirus. Trans. ASAE 1995, 38, 1893–1899. [Google Scholar] [CrossRef]
- Hill, J.; Rowland, G.; Steffens, W.; Ard, M. Ultrastructure of the gastrocnemius tendon and sheath from broilers infected with reovirus. Avian Dis. 1989, 33, 79–85. [Google Scholar] [CrossRef] [PubMed]
- Hieronymus, D.R.; Villegas, P.; Kleven, S. Identification and serological differentiation of several reovirus strains isolated from chickens with suspected malabsorption syndrome. Avian Dis. 1983, 27, 246–254. [Google Scholar] [CrossRef]
- Olson, N.; Solomon, D. A natural outbreak of synovitis caused by the viral arthritis agent. Avian Dis. 1968, 12, 311–316. [Google Scholar] [CrossRef]
- Wu, J.; Chen, Z.J. Innate immune sensing and signaling of cytosolic nucleic acids. Annu. Rev. Immunol. 2014, 32, 461–488. [Google Scholar] [CrossRef] [PubMed]
- Fensterl, V.; Chattopadhyay, S.; Sen, G.C. No love lost between viruses and interferons. Annu. Rev. Virol. 2015, 2, 549–572. [Google Scholar] [CrossRef]
- McNamara, A.J.; Brooks, A.D.; Danthi, P. The reovirus σ3 protein inhibits NF-κB-dependent antiviral signaling. J. Virol. 2022, 96, e00515–e00522. [Google Scholar] [CrossRef] [PubMed]
- Danthi, P.; Kobayashi, T.; Holm, G.H.; Hansberger, M.W.; Abel, T.W.; Dermody, T.S. Reovirus apoptosis and virulence are regulated by host cell membrane penetration efficiency. J. Virol. 2008, 82, 161–172. [Google Scholar] [CrossRef]
- Chengcheng, Z.; Qingqing, Z.; Xiaomiao, H.; Wei, L.; Xiaorong, Z.; Yantao, W. IFI16 plays a critical role in avian reovirus induced cellular immunosuppression and suppresses virus replication. Poult. Sci. 2024, 103, 103506. [Google Scholar] [CrossRef] [PubMed]
- Schattgen, S.A.; Fitzgerald, K.A. The PYHIN protein family as mediators of host defenses. Immunol. Rev. 2011, 243, 109–118. [Google Scholar] [CrossRef] [PubMed]
- He, Y.; Hara, H.; Núñez, G. Mechanism and regulation of NLRP3 inflammasome activation. Trends Biochem. Sci. 2016, 41, 1012–1021. [Google Scholar] [CrossRef] [PubMed]
- Carrasco, L. Modification of membrane permeability by animal viruses. Adv. Virus Res. 1995, 45, 61–112. [Google Scholar] [PubMed]
- Leland, M.M.; Hubbard, G.B.; Sentmore, H.T.; Soike, K.F.; Hilliard, J.K. Outbreak of Orthoreovirus-induced meningoencephalomyelitis in baboons. Comp. Med. 2000, 50, 199–205. [Google Scholar] [PubMed]
- Vieler, E.; Baumgärtner, W.; Herbst, W.; Köhler, G. Characterization of a reovirus isolate from a rattle snake, Crotalus viridis, with neurological dysfunction. Arch. Virol. 1994, 138, 341–344. [Google Scholar] [CrossRef] [PubMed]
- Goodman, J.L.; Engel, J.P. Altered pathogenesis in herpes simplex virus type 1 infection due to a syncytial mutation mapping to the carboxy terminus of glycoprotein B. J. Virol. 1991, 65, 1770–1778. [Google Scholar] [CrossRef] [PubMed]
- Engel, J.P.; Boyer, E.P.; Goodman, J.L. Two novel single amino acid syncytial mutations in the carboxy terminus of glycoprotein B of herpes simplex virus type 1 confer a unique pathogenic phenotype. Virology 1993, 192, 112–120. [Google Scholar] [CrossRef] [PubMed]
- Silberstein, E.; Ulitzky, L.; Lima, L.A.; Cehan, N.; Teixeira-Carvalho, A.; Roingeard, P.; Taylor, D.R. HCV-mediated apoptosis of hepatocytes in culture and viral pathogenesis. PLoS ONE 2016, 11, e0155708. [Google Scholar] [CrossRef] [PubMed]
- Wang, J.; Lu, W.; Zhang, J.; Du, Y.; Fang, M.; Zhang, A.; Sungcad, G.; Chon, S.; Xing, J. Loss of TRIM29 mitigates viral myocarditis by attenuating PERK-driven ER stress response in male mice. Nat. Commun. 2024, 15, 3481. [Google Scholar] [CrossRef] [PubMed]
- DeBiasi, R.L.; Edelstein, C.L.; Sherry, B.; Tyler, K.L. Calpain inhibition protects against virus-induced apoptotic myocardial injury. J. Virol. 2001, 75, 351–361. [Google Scholar] [CrossRef] [PubMed]
- Wang, X.; Qiu, W.; Hu, G.; Diao, X.; Li, Y.; Li, Y.; Li, P.; Liu, Y.; Feng, Y.; Xue, C. NS7a of SADS-CoV promotes viral infection via inducing apoptosis to suppress type III interferon production. J. Virol. 2024, 98, e00317–e00324. [Google Scholar] [CrossRef] [PubMed]
- Eléouët, J.-F.; Slee, E.A.; Saurini, F.; Castagné, N.; Poncet, D.; Garrido, C.; Solary, E.; Martin, S.J. The viral nucleocapsid protein of transmissible gastroenteritis coronavirus (TGEV) is cleaved by caspase-6 and-7 during TGEV-induced apoptosis. J. Virol. 2000, 74, 3975–3983. [Google Scholar] [CrossRef] [PubMed][Green Version]
- Hartmann, C.; Tabin, C.J. Wnt-14 plays a pivotal role in inducing synovial joint formation in the developing appendicular skeleton. Cell 2001, 104, 341–351. [Google Scholar] [CrossRef] [PubMed]
- Lin, H.Y.; Chuang, S.T.; Chen, Y.T.; Shih, W.L.; Chang, C.D.; Liu, H.J. Avian reovirus-induced apoptosis related to tissue injury. Avian Pathol. 2007, 36, 155–159. [Google Scholar] [CrossRef] [PubMed]
- Ayalew, L.E.; Ahmed, K.A.; Popowich, S.; Lockerbie, B.-C.; Gupta, A.; Tikoo, S.K.; Ojkic, D.; Gomis, S. Virulence of emerging arthrotropic avian reoviruses correlates with their ability to activate and traffic interferon-γ producing cytotoxic CD8+ T cells into gastrocnemius tendon. Front. Microbiol. 2022, 13, 869164. [Google Scholar] [CrossRef] [PubMed]
- Sharma, J.; Fredericksen, T. Mechanism of T cell immunosuppression by infectious bursal disease virus of chickens. Prog. Clin. Biol. Res. 1987, 238, 283–294. [Google Scholar]
- Montgomery, R.; Villegas, P.; Dawe, D.; Brown, J. A comparison between the effect of an avian reovirus and infectious bursal disease virus on selected aspects of the immune system of the chicken. Avian Dis. 1986, 30, 298–308. [Google Scholar] [CrossRef] [PubMed]
- Sharma, J.; Karaca, K.; Pertile, T. Virus-induced immunosuppression in chickens. Poult. Sci. 1994, 73, 1082–1086. [Google Scholar] [CrossRef] [PubMed]
- Pertile, T.L.; Sharma, J.M.; Walser, M.M. Reovirus infection in chickens primes splenic adherent macrophages to produce nitric oxide in response to T cell-produced factors. Cell. Immunol. 1995, 164, 207–216. [Google Scholar] [CrossRef] [PubMed]
- Sinha, N.; Garg, N. Role of infections in the pathogenesis of atherosclerotic coronary artery disease: Past, present and future. Indian Heart J. 2000, 52, 79–85. [Google Scholar]
- Qasimi, P.; Ming-Lum, A.; Ghanipour, A.; Ong, C.J.; Cox, M.E.; Ihle, J.; Cacalano, N.; Yoshimura, A.; Mui, A.L. Divergent mechanisms utilized by SOCS3 to mediate interleukin-10 inhibition of tumor necrosis factor α and nitric oxide production by macrophages. J. Biol. Chem. 2006, 281, 6316–6324. [Google Scholar] [CrossRef] [PubMed]
- Tang, K.N.; Fletcher, O.; Villegas, P. The effect on newborn chicks of oral inoculation of reovirus isolated from chickens with tenosynovitis. Avian Dis. 1987, 31, 584–590. [Google Scholar] [CrossRef] [PubMed]
- Gouvea, V.; Schnitzer, T.J. Pathogenicity of avian reoviruses: Examination of six isolates and a vaccine strain. Infect. Immun. 1982, 38, 731–738. [Google Scholar] [CrossRef] [PubMed]
- Tang, K.N.; Fletcher, O. Application of the avidin-biotin-peroxidase complex (ABC) technique for detecting avian reovirus in chickens. Avian Dis. 1987, 31, 591–596. [Google Scholar] [CrossRef] [PubMed]
- Liu, H.J.; Giambrone, J.J. In situ detection of reovirus in formalin-fixed, paraffin-embedded chicken tissues using a digoxigenin-labeled cDNA probe. Avian Dis. 1997, 41, 447–451. [Google Scholar] [CrossRef]
- Jones, R.; Nwajei, B. Reovirus-induced tenosynovitis: Persistence of homologous challenge virus in broiler chicks after vaccination of parents. Res. Vet. Sci. 1985, 39, 39–41. [Google Scholar] [CrossRef] [PubMed]
- Guneratne, J.; Jones, R.; Georgiou, K. Some observations on the isolation and cultivation of avian reoviruses. Avian Pathol. 1982, 11, 453–462. [Google Scholar] [CrossRef] [PubMed]
- Narvaez, S.A.; Harrell, T.L.; Oluwayinka, O.; Sellers, H.S.; Khalid, Z.; Hauck, R.; Chowdhury, E.U.; Conrad, S.J. Optimizing the Conditions for Whole-Genome Sequencing of Avian Reoviruses. Viruses 2023, 15, 1938. [Google Scholar] [CrossRef] [PubMed]
- Lublin, A.; Goldenberg, D.; Rosenbluth, E.; Heller, E.D.; Pitcovski, J. Wide-range protection against avian reovirus conferred by vaccination with representatives of four defined genotypes. Vaccine 2011, 29, 8683–8688. [Google Scholar] [CrossRef] [PubMed]
- Egaña-Labrin, S.; Jerry, C.; Roh, H.; Da Silva, A.; Corsiglia, C.; Crossley, B.; Rejmanek, D.; Gallardo, R. Avian reoviruses of the same genotype induce different pathology in chickens. Avian Dis. 2021, 65, 530–540. [Google Scholar] [CrossRef]
- Crispo, M.; Stoute, S.T.; Hauck, R.; Egaña-Labrin, S.; Sentíes-Cué, C.G.; Cooper, G.L.; Bickford, A.A.; Corsiglia, C.; Shivaprasad, H.; Crossley, B. Partial molecular characterization and pathogenicity study of an avian reovirus causing tenosynovitis in commercial broilers. Avian Dis. 2019, 63, 452–460. [Google Scholar] [CrossRef] [PubMed]
- Liu, H.J.; Kuo, L.C.; Hu, Y.C.; Liao, M.H.; Lien, Y.Y. Development of an ELISA for detection of antibodies to avian reovirus in chickens. J. Virol. Methods 2002, 102, 129–138. [Google Scholar] [CrossRef] [PubMed]
- Lin, Y.L.; Shen, J.H.; Lee, L.H. A monoclonal antibody-based competitive enzyme-linked immunosorbent assay for detecting antibody production against avian reovirus protein σA. J. Virol. Methods 2006, 136, 71–77. [Google Scholar] [CrossRef] [PubMed]
- Goldenberg, D.; Lublin, A.; Rosenbluth, E.; Heller, E.D.; Pitcovski, J. Differentiating infected from vaccinated animals, and among virulent prototypes of reovirus. J. Virol. Methods 2011, 177, 80–86. [Google Scholar] [CrossRef] [PubMed]
- Xie, Z.; Qin, C.; Xie, L.; Liu, J.; Pang, Y.; Deng, X.; Xie, Z.; Khan, M.I. Recombinant protein-based ELISA for detection and differentiation of antibodies against avian reovirus in vaccinated and non-vaccinated chickens. J. Virol. Methods 2010, 165, 108–111. [Google Scholar] [CrossRef]
- Gharaibeh, S.; Mahmoud, K. Decay of maternal antibodies in broiler chickens. Poult. Sci. 2013, 92, 2333–2336. [Google Scholar] [CrossRef] [PubMed]
- Giambrone, J.; Hathcock, T.; Lockaby, S. Effect of a live reovirus vaccine on reproductive performance of broiler breeder hens and development of viral tenosynovitis in progeny. Avian Dis. 1991, 35, 380–383. [Google Scholar] [CrossRef] [PubMed]
- Dandár, E.; Farkas, S.L.; Marton, S.; Oldal, M.; Jakab, F.; Mató, T.; Palya, V.; Bányai, K. The complete genome sequence of a European goose reovirus strain. Arch. Virol. 2014, 159, 2165–2169. [Google Scholar] [CrossRef] [PubMed]
- Liu, H.J.; Lee, L.H.; Shih, W.L.; Li, Y.J.; Su, H.Y. Rapid characterization of avian reoviruses using phylogenetic analysis, reverse transcription-polymerase chain reaction and restriction enzyme fragment length polymorphism. Avian Pathol. 2004, 33, 171–180. [Google Scholar] [CrossRef] [PubMed][Green Version]
- Bruhn, S.; Bruckner, L.; Ottiger, H.-P. Application of RT-PCR for the detection of avian reovirus contamination in avian viral vaccines. J. Virol. Methods 2005, 123, 179–186. [Google Scholar] [CrossRef] [PubMed]
- Caterina, K.M.; Frasca, S., Jr.; Girshick, T.; Khan, M.I. Development of a multiplex PCR for detection of avian adenovirus, avian reovirus, infectious bursal disease virus, and chicken anemia virus. Mol. Cell. Probes 2004, 18, 293–298. [Google Scholar] [CrossRef] [PubMed]
- Tang, Y.; Lu, H. Whole genome alignment based one-step real-time RT-PCR for universal detection of avian orthoreoviruses of chicken, pheasant and turkey origins. Infect. Genet. Evol. 2016, 39, 120–126. [Google Scholar] [CrossRef] [PubMed]
- Mor, S.K.; Verma, H.; Bekele, A.Z.; Sharafeldin, T.A.; Porter, R.E.; Goyal, S.M. One-step real-time reverse transcription–PCR for the detection of turkey reoviruses. Avian Dis. 2014, 58, 404–407. [Google Scholar] [CrossRef] [PubMed]
- Van Doorn, L.-J.; Kleter, B.; Hoefnagel, E.; Stainier, I.; Poliszczak, A.; Colau, B.; Quint, W. Detection and genotyping of human rotavirus VP4 and VP7 genes by reverse transcriptase PCR and reverse hybridization. J. Clin. Microbiol. 2009, 47, 2704–2712. [Google Scholar] [CrossRef]
- Ter Veen, C.; De Bruijn, N.; Dijkman, R.; De Wit, J. Prevalence of histopathological intestinal lesions and enteric pathogens in Dutch commercial broilers with time. Avian Pathol. 2017, 46, 95–105. [Google Scholar] [CrossRef]
- Mor, S.K.; Bekele, A.Z.; Sharafeldin, T.A.; Porter, R.E.; Goyal, S.M. Efficacy of five commonly used disinfectants against turkey arthritis reovirus. Avian Dis. 2015, 59, 71–73. [Google Scholar] [CrossRef] [PubMed]
- Jones, R.C. Reovirus infections. In Diseases of Poultry; Wiley-Blakwell: Hoboken, NJ, USA, 2013; pp. 351–373. [Google Scholar]
- Takase, K.; Fujikawa, H.; Yamada, S. Correlation between neutralizing antibody titre and protection from tenosynovitis in avian reovirus infections. Avian Pathol. 1996, 25, 807–815. [Google Scholar] [CrossRef] [PubMed]
- De Herdt, P.; Broeckx, M.; Van Driessche, F.; Vermeiren, B.; Van Den Abeele, G.; Van Gorp, S. Improved performance of broilers and broiler breeders associated with an amended vaccination program against reovirosis. Avian Dis. 2016, 60, 841–845. [Google Scholar] [CrossRef]
- Van der Heide, L.; Kalbac, M.; Brustolon, M. Development of an attenuated apathogenic reovirus vaccine against viral arthritis/tenosynovitis. Avian Dis. 1983, 27, 698–706. [Google Scholar] [CrossRef] [PubMed]
- Gamble, T.C.; Sellers, H.S. Field control of avian reoviruses in commercial broiler production. Avian Dis. 2022, 66, 427–431. [Google Scholar] [CrossRef] [PubMed]
- Wood, G.; Muskett, J.; Thornton, D. Observations on the ability of avian reovirus vaccination of hens to protect their progeny against the effects of challenge with homologous and heterologous strains. J. Comp. Pathol. 1986, 96, 125–129. [Google Scholar] [CrossRef] [PubMed]
- Guo, Z.; Giambrone, J.; Wu, H.; Dormitorio, T. Safety and efficacy of an experimental reovirus vaccine for in ovo administration. Avian Dis. 2003, 47, 1423–1428. [Google Scholar] [CrossRef] [PubMed]
- Goldenberg, D.; Lublin, A.; Rosenbluth, E.; Heller, E.D.; Pitcovski, J. Optimized polypeptide for a subunit vaccine against avian reovirus. Vaccine 2016, 34, 3178–3183. [Google Scholar] [CrossRef]
- Lin, Y.H.; Lee, L.H.; Shih, W.L.; Hu, Y.C.; Liu, H.J. Baculovirus surface display of σC and σB proteins of avian reovirus and immunogenicity of the displayed proteins in a mouse model. Vaccine 2008, 26, 6361–6367. [Google Scholar] [CrossRef] [PubMed]
- Wu, H.; Williams, Y.; Gunn, K.; Singh, N.; Locy, R.; Giambrone, J. Yeast-derived sigma C protein-induced immunity against avian reovirus. Avian Dis. 2005, 49, 281–284. [Google Scholar] [CrossRef] [PubMed]
- Hein, R.; Koopman, R.; García, M.; Armour, N.; Dunn, J.R.; Barbosa, T.; Martinez, A. Review of poultry recombinant vector vaccines. Avian Dis. 2021, 65, 438–452. [Google Scholar] [CrossRef] [PubMed]
- Abdul-Cader, M.S.; Palomino-Tapia, V.; Amarasinghe, A.; Ahmed-Hassan, H.; De Silva Senapathi, U.; Abdul-Careem, M.F. Hatchery vaccination against poultry viral diseases: Potential mechanisms and limitations. Viral Immunol. 2018, 31, 23–33. [Google Scholar] [CrossRef] [PubMed]
- Bublot, M.; Sharma, J. Vaccination against Marek’s disease. In Marek’s Disease; Elsevier: Amsterdam, The Netherlands, 2004; pp. 168–185. [Google Scholar]
- Bublot, M.; Pritchard, N.; Le Gros, F.-X.; Goutebroze, S. Use of a vectored vaccine against infectious bursal disease of chickens in the face of high-titred maternally derived antibody. J. Comp. Pathol. 2007, 137, S81–S84. [Google Scholar] [CrossRef]
- Bertran, K.; Thomas, C.; Guo, X.; Bublot, M.; Pritchard, N.; Regan, J.T.; Cox, K.M.; Gasdaska, J.R.; Dickey, L.F.; Kapczynski, D.R. Expression of H5 hemagglutinin vaccine antigen in common duckweed (Lemna minor) protects against H5N1 high pathogenicity avian influenza virus challenge in immunized chickens. Vaccine 2015, 33, 3456–3462. [Google Scholar] [CrossRef]
- Witter, R. Influence of serotype and virus strain on synergism between Marek’s disease vaccine viruses. Avian Pathol. 1992, 21, 601–614. [Google Scholar] [CrossRef] [PubMed]
- Umthong, S.; Dunn, J.R.; Cheng, H.H. Towards a mechanistic understanding of the synergistic response induced by bivalent Marek’s disease vaccines to prevent lymphomas. Vaccine 2019, 37, 6397–6404. [Google Scholar] [CrossRef] [PubMed]












| Genotype | Identity % | Subgroups | Highest Prevalence | Clinical Signs | References |
|---|---|---|---|---|---|
| GCI | >80% | 3–4 | 2016–2017 | Tenosynovitis/arthritis, runting–stunting syndrome, malabsorption syndrome, respiratory disease, | [106,132,198,200,201,206,208] |
| GCII | ≥70% | 4 | 2020–2021 | mild tenosynovitis and variable uniformity issues and malabsorption | [106,198,200,201,208] |
| GCIII | >80% | 2–3 | 2021 | Tenosynovitis/viral arthritis, variable uniformity, hydropericardium, and maldigestion | [53,106,198,200,201,208] |
| GC IV | ≥70% | 4 | 2017 | Severe crippling of birds, tenosynovitis/arthritis, runting–stunting syndrome, Malabsorption syndrome | [106,198,201,208] |
| GC V | 83% | 3 | 2012–2014 | Significant tenosynovitis/lameness and swelling of the digital flexor tendons, runting–stunting syndrome, hepatitis, myocarditis, and central nervous system disease | [48,106,198,200,201,208] |
| GC VI | >70% | 2 | 2020 | Tenosynovitis/viral arthritis | [16,17,48,190,198,208,213,214] |
| GC VII | >70% | 1 | 2019 | - | [198] |
Disclaimer/Publisher’s Note: The statements, opinions and data contained in all publications are solely those of the individual author(s) and contributor(s) and not of MDPI and/or the editor(s). MDPI and/or the editor(s) disclaim responsibility for any injury to people or property resulting from any ideas, methods, instructions or products referred to in the content. |
© 2024 by the authors. Licensee MDPI, Basel, Switzerland. This article is an open access article distributed under the terms and conditions of the Creative Commons Attribution (CC BY) license (https://creativecommons.org/licenses/by/4.0/).
Share and Cite
Nour, I.; Mohanty, S.K. Avian Reovirus: From Molecular Biology to Pathogenesis and Control. Viruses 2024, 16, 1966. https://doi.org/10.3390/v16121966
Nour I, Mohanty SK. Avian Reovirus: From Molecular Biology to Pathogenesis and Control. Viruses. 2024; 16(12):1966. https://doi.org/10.3390/v16121966
Chicago/Turabian StyleNour, Islam, and Sujit K. Mohanty. 2024. "Avian Reovirus: From Molecular Biology to Pathogenesis and Control" Viruses 16, no. 12: 1966. https://doi.org/10.3390/v16121966
APA StyleNour, I., & Mohanty, S. K. (2024). Avian Reovirus: From Molecular Biology to Pathogenesis and Control. Viruses, 16(12), 1966. https://doi.org/10.3390/v16121966

