The Replicase Protein of Potato Virus X Is Able to Recognize and Trans-Replicate Its RNA Component
Abstract
1. Introduction
2. Materials and Methods
2.1. Molecular Cloning
2.1.1. The Replicase Expression Construct
2.1.2. Template Constructs
Introduction of Frameshift Mutation
Deletion of Coat Protein Coding Sequence
Medium and Short Templates
2.2. Agrobacterium Mediated Infiltration
2.3. Renilla Luciferase Assay
2.4. Sodium Dodecyl Sulfate-Polyacrylamide Gel Electrophoresis (SDS-PAGE) and Western Blot
2.5. RNA Agarose Gel Electrophoresis and Northern Blot
2.5.1. RNA Gel Electrophoresis and Blotting
2.5.2. Probe Synthesis
2.5.3. Hybridization of the Membrane and Detection of Signal
2.6. Imaging Cells Supporting Trans-Replication
2.7. Statistical Analysis
3. Results
3.1. Trans-Replication of Long and Medium Length Templates
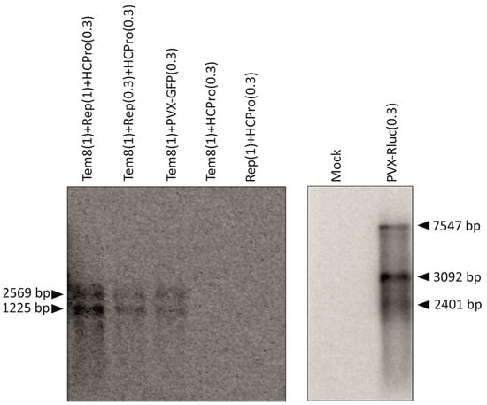
3.2. PVX Replicase Recognizes Short Templates and Initiates Their Replication in Trans
3.3. HCPro Supports Trans-Replication of PVX
3.4. Detection of Template Expression by Epifluorescence Microscopy
3.5. Detection of vRNA through Northern Blotting
4. Discussion
Author Contributions
Funding
Data Availability Statement
Acknowledgments
Conflicts of Interest
References
- Scholthof, K.B.; Adkins, S.; Czosnek, H.; Palukaitis, P.; Jacquot, E.; Hohn, T.; Hohn, B.; Saunders, K.; Candresse, T.; Ahlquist, P.; et al. Top 10 plant viruses in molecular plant pathology. Mol. Plant Pathol. 2011, 12, 938–954. [Google Scholar] [CrossRef]
- Sonenberg, N.; Shatkin, A.J.; Ricciardi, R.P.; Rubin, M.; Goodman, R.M. Analysis of terminal structures of RNA from potato virus X. Nucleic Acids Res. 1978, 5, 2501–2512. [Google Scholar] [CrossRef] [PubMed]
- Huisman, M.J.; Linthorst, H.J.; Bol, J.F.; Cornelissen, J.C. The complete nucleotide sequence of potato virus X and its homologies at the amino acid level with various plus-stranded RNA viruses. J. Gen. Virol. 1988, 69 Pt 8, 1789–1798. [Google Scholar] [CrossRef] [PubMed]
- Longstaff, M.; Brigneti, G.; Boccard, F.; Chapman, S.; Baulcombe, D. Extreme resistance to potato virus X infection in plants expressing a modified component of the putative viral replicase. EMBO J. 1993, 12, 379–386. [Google Scholar] [CrossRef] [PubMed]
- Doronin, S.V.; Hemenway, C. Synthesis of potato virus X RNAs by membrane-containing extracts. J. Virol. 1996, 70, 4795–4799. [Google Scholar] [CrossRef] [PubMed]
- Plante, C.A.; Kim, K.H.; Pillai-Nair, N.; Osman, T.A.; Buck, K.W.; Hemenway, C.L. Soluble, template-dependent extracts from Nicotiana benthamiana plants infected with potato virus X transcribe both plus- and minus-strand RNA templates. Virology 2000, 275, 444–451. [Google Scholar] [CrossRef][Green Version]
- Koonin, E.V.; Dolja, V.V. Evolution and taxonomy of positive-strand RNA viruses: Implications of comparative analysis of amino acid sequences. Crit. Rev. Biochem. Mol. Biol. 1993, 28, 375–430. [Google Scholar] [CrossRef]
- Bamunusinghe, D.; Hemenway, C.L.; Nelson, R.S.; Sanderfoot, A.A.; Ye, C.M.; Silva, M.A.; Payton, M.; Verchot-Lubicz, J. Analysis of potato virus X replicase and TGBp3 subcellular locations. Virology 2009, 393, 272–285. [Google Scholar] [CrossRef] [PubMed]
- Voinnet, O.; Lederer, C.; Baulcombe, D.C. A viral movement protein prevents spread of the gene silencing signal in Nicotiana benthamiana. Cell 2000, 103, 157–167. [Google Scholar] [CrossRef]
- Aguilar, E.; Almendral, D.; Allende, L.; Pacheco, R.; Chung, B.N.; Canto, T.; Tenllado, F. The P25 protein of potato virus X (PVX) is the main pathogenicity determinant responsible for systemic necrosis in PVX-associated synergisms. J. Virol. 2015, 89, 2090–2103. [Google Scholar] [CrossRef]
- Krishnamurthy, K.; Heppler, M.; Mitra, R.; Blancaflor, E.; Payton, M.; Nelson, R.S.; Verchot-Lubicz, J. The Potato virus X TGBp3 protein associates with the ER network for virus cell-to-cell movement. Virology 2003, 309, 135–151. [Google Scholar] [CrossRef] [PubMed][Green Version]
- Mitra, R.; Krishnamurthy, K.; Blancaflor, E.; Payton, M.; Nelson, R.S.; Verchot-Lubicz, J. The potato virus X TGBp2 protein association with the endoplasmic reticulum plays a role in but is not sufficient for viral cell-to-cell movement. Virology 2003, 312, 35–48. [Google Scholar] [CrossRef] [PubMed][Green Version]
- Ju, H.J.; Brown, J.E.; Ye, C.M.; Verchot-Lubicz, J. Mutations in the central domain of potato virus X TGBp2 eliminate granular vesicles and virus cell-to-cell trafficking. J. Virol. 2007, 81, 1899–1911. [Google Scholar] [CrossRef] [PubMed][Green Version]
- Lee, Y.S.; Hsu, Y.H.; Lin, N.S. Generation of subgenomic RNA directed by a satellite RNA associated with bamboo mosaic potexvirus: Analyses of potexvirus subgenomic RNA promoter. J. Virol. 2000, 74, 10341–10348. [Google Scholar] [CrossRef] [PubMed]
- Rathjen, J.P.; Moffett, P. Early signal transduction events in specific plant disease resistance. Curr. Opin. Plant Biol. 2003, 6, 300–306. [Google Scholar] [CrossRef]
- Sit, T.L.; Leclerc, D.; AbouHaidar, M.G. The minimal 5′ sequence for in vitro initiation of papaya mosaic potexvirus assembly. Virology 1994, 199, 238–242. [Google Scholar] [CrossRef]
- Kwon, S.J.; Park, M.R.; Kim, K.W.; Plante, C.A.; Hemenway, C.L.; Kim, K.H. cis-Acting sequences required for coat protein binding and in vitro assembly of Potato virus X. Virology 2005, 334, 83–97. [Google Scholar] [CrossRef]
- Lough, T.J.; Lee, R.H.; Emerson, S.J.; Forster, R.L.; Lucas, W.J. Functional analysis of the 5′ untranslated region of potexvirus RNA reveals a role in viral replication and cell-to-cell movement. Virology 2006, 351, 455–465. [Google Scholar] [CrossRef]
- Short, M.N.; Davies, J.W. Narcissus mosaic virus: A potexvirus with an encapsidated subgenomic messenger RNA for coat protein. Biosci. Rep. 1983, 3, 837–846. [Google Scholar] [CrossRef]
- Lee, Y.S.; Lin, B.Y.; Hsu, Y.H.; Chang, B.Y.; Lin, N.S. Subgenomic RNAs of bamboo mosaic potexvirus-V isolate are packaged into virions. J. Gen. Virol. 1998, 79 Pt 7, 1825–1832. [Google Scholar] [CrossRef][Green Version]
- Verchot-Lubicz, J. A new cell-to-cell transport model for Potexviruses. Mol. Plant Microbe Interact. 2005, 18, 283–290. [Google Scholar] [CrossRef] [PubMed]
- Smirnyagina, E.V.; Morozov, S.Y.; Rodionova, N.P.; Miroshnichenko, N.A.; Solovev, A.G.; Fedorkin, O.N.; Atabekov, J.G. Translational efficiency and competitive ability of mRNAs with 5′-untranslated alpha beta-leader of potato virus X RNA. Biochimie 1991, 73, 587–598. [Google Scholar] [CrossRef]
- Pillai-Nair, N.; Kim, K.H.; Hemenway, C. Cis-acting regulatory elements in the potato virus X 3′ non-translated region differentially affect minus-strand and plus-strand RNA accumulation. J. Mol. Biol. 2003, 326, 701–720. [Google Scholar] [CrossRef]
- Kim, K.H.; Hemenway, C. The 5′ nontranslated region of potato virus X RNA affects both genomic and subgenomic RNA synthesis. J. Virol. 1996, 70, 5533–5540. [Google Scholar] [CrossRef] [PubMed]
- Kwon, S.J.; Kim, K.H. The SL1 stem-loop structure at the 5′-end of potato virus X RNA is required for efficient binding to host proteins and for viral infectivity. Mol. Cells 2006, 21, 63–75. [Google Scholar] [CrossRef] [PubMed]
- Miller, E.D.; Kim, K.H.; Hemenway, C. Restoration of a stem-loop structure required for potato virus X RNA accumulation indicates selection for a mismatch and a GNRA tetraloop. Virology 1999, 260, 342–353. [Google Scholar] [CrossRef]
- Kim, K.H.; Hemenway, C.L. Long-distance RNA-RNA interactions and conserved sequence elements affect potato virus X plus-strand RNA accumulation. RNA 1999, 5, 636–645. [Google Scholar] [CrossRef] [PubMed]
- Batten, J.S.; Yoshinari, S.; Hemenway, C. Potato virus X: A model system for virus replication, movement and gene expression. Mol. Plant Pathol. 2003, 4, 125–131. [Google Scholar] [CrossRef]
- Chen, I.H.; Chou, W.J.; Lee, P.Y.; Hsu, Y.H.; Tsai, C.H. The AAUAAA motif of bamboo mosaic virus RNA is involved in minus-strand RNA synthesis and plus-strand RNA polyadenylation. J. Virol. 2005, 79, 14555–14561. [Google Scholar] [CrossRef]
- Huang, C.Y.; Huang, Y.L.; Meng, M.; Hsu, Y.H.; Tsai, C.H. Sequences at the 3′ untranslated region of bamboo mosaic potexvirus RNA interact with the viral RNA-dependent RNA polymerase. J. Virol. 2001, 75, 2818–2824. [Google Scholar] [CrossRef]
- Sriskanda, V.S.; Pruss, G.; Ge, X.; Vance, V.B. An eight-nucleotide sequence in the potato virus X 3′ untranslated region is required for both host protein binding and viral multiplication. J. Virol. 1996, 70, 5266–5271. [Google Scholar] [CrossRef] [PubMed]
- Lin, J.W.; Ding, M.P.; Hsu, Y.H.; Tsai, C.H. Chloroplast phosphoglycerate kinase, a gluconeogenetic enzyme, is required for efficient accumulation of Bamboo mosaic virus. Nucleic Acids Res. 2007, 35, 424–432. [Google Scholar] [CrossRef] [PubMed]
- Hu, B.; Pillai-Nair, N.; Hemenway, C. Long-distance RNA-RNA interactions between terminal elements and the same subset of internal elements on the potato virus X genome mediate minus- and plus-strand RNA synthesis. RNA 2007, 13, 267–280. [Google Scholar] [CrossRef] [PubMed]
- Spuul, P.; Balistreri, G.; Hellström, K.; Golubtsov, A.V.; Jokitalo, E.; Ahola, T. Assembly of alphavirus replication complexes from RNA and protein components in a novel trans-replication system in mammalian cells. J. Virol. 2011, 85, 4739–4751. [Google Scholar] [CrossRef] [PubMed]
- Utt, A.; Quirin, T.; Saul, S.; Hellström, K.; Ahola, T.; Merits, A. Versatile Trans-Replication Systems for Chikungunya Virus Allow Functional Analysis and Tagging of Every Replicase Protein. PLoS ONE 2016, 11, e0151616. [Google Scholar] [CrossRef]
- De, S.; Chavez-Calvillo, G.; Wahlsten, M.; Makinen, K. Disruption of the methionine cycle and reduced cellular gluthathione levels underlie potex-potyvirus synergism in Nicotiana benthamiana. Mol. Plant Pathol. 2018, 19, 1820–1835. [Google Scholar] [CrossRef]
- Lu, R.; Malcuit, I.; Moffett, P.; Ruiz, M.T.; Peart, J.; Wu, A.J.; Rathjen, J.P.; Bendahmane, A.; Day, L.; Baulcombe, D.C. High throughput virus-induced gene silencing implicates heat shock protein 90 in plant disease resistance. EMBO J. 2003, 22, 5690–5699. [Google Scholar] [CrossRef]
- Mäkeläinen, K.J.; Mäkinen, K. Testing of internal translation initiation via dicistronic constructs in yeast is complicated by production of extraneous transcripts. Gene 2007, 391, 275–284. [Google Scholar] [CrossRef]
- Hellens, R.P.; Edwards, E.A.; Leyland, N.R.; Bean, S.; Mullineaux, P.M. pGreen: A versatile and flexible binary Ti vector for Agrobacterium-mediated plant transformation. Plant Mol. Biol. 2000, 42, 819–832. [Google Scholar] [CrossRef]
- Eskelin, K.; Suntio, T.; Hyvärinen, S.; Hafrén, A.; Mäkinen, K. Renilla luciferase-based quantitation of potato virus a infection initiated with agrobacterium infiltration of n. Benthamiana leaves. J Virol Methods 2010, 164, 101–110. [Google Scholar] [CrossRef]
- Merits, A.; Kettunen, R.; Mäkinen, K.; Lampio, A.; Auvinen, P.; Kääriäinen, L.; Ahola, T. Virus-specific capping of tobacco mosaic virus RNA: Methylation of GTP prior to formation of covalent complex p126-m7GMP. FEBS Lett. 1999, 455, 45–48. [Google Scholar] [CrossRef] [PubMed]
- Pruss, G.; Ge, X.; Shi, X.M.; Carrington, J.C.; Bowman Vance, V. Plant viral synergism: The potyviral genome encodes a broad-range pathogenicity enhancer that transactivates replication of heterologous viruses. Plant Cell 1997, 9, 859–868. [Google Scholar] [CrossRef] [PubMed]
- Anandalakshmi, R.; Pruss, G.J.; Ge, X.; Marathe, R.; Mallory, A.C.; Smith, T.H.; Vance, V.B. A viral suppressor of gene silencing in plants. Proc. Natl. Acad. Sci. USA 1998, 95, 13079–13084. [Google Scholar] [CrossRef] [PubMed]
- Kallio, K.; Hellström, K.; Balistreri, G.; Spuul, P.; Jokitalo, E.; Ahola, T. Template RNA length determines the size of replication complex spherules for Semliki Forest virus. J. Virol. 2013, 87, 9125–9134. [Google Scholar] [CrossRef] [PubMed]
- Hellström, K.; Kallio, K.; Meriläinen, H.M.; Jokitalo, E.; Ahola, T. Ability of minus strands and modified plus strands to act as templates in Semliki Forest virus RNA replication. J. Gen. Virol. 2016, 97, 1395–1407. [Google Scholar] [CrossRef]
- Hellström, K.; Kallio, K.; Utt, A.; Quirin, T.; Jokitalo, E.; Merits, A.; Ahola, T. Partially Uncleaved Alphavirus Replicase Forms Spherule Structures in the Presence and Absence of RNA Template. J. Virol. 2017, 91, e00787-17. [Google Scholar] [CrossRef]
- Beissert, T.; Perkovic, M.; Vogel, A.; Erbar, S.; Walzer, K.C.; Hempel, T.; Brill, S.; Haefner, E.; Becker, R.; Türeci, Ö.; et al. A Trans-amplifying RNA Vaccine Strategy for Induction of Potent Protective Immunity. Mol. Ther. 2020, 28, 119–128. [Google Scholar] [CrossRef]





Disclaimer/Publisher’s Note: The statements, opinions and data contained in all publications are solely those of the individual author(s) and contributor(s) and not of MDPI and/or the editor(s). MDPI and/or the editor(s) disclaim responsibility for any injury to people or property resulting from any ideas, methods, instructions or products referred to in the content. |
© 2024 by the authors. Licensee MDPI, Basel, Switzerland. This article is an open access article distributed under the terms and conditions of the Creative Commons Attribution (CC BY) license (https://creativecommons.org/licenses/by/4.0/).
Share and Cite
Dutta, P.; Lõhmus, A.; Ahola, T.; Mäkinen, K. The Replicase Protein of Potato Virus X Is Able to Recognize and Trans-Replicate Its RNA Component. Viruses 2024, 16, 1611. https://doi.org/10.3390/v16101611
Dutta P, Lõhmus A, Ahola T, Mäkinen K. The Replicase Protein of Potato Virus X Is Able to Recognize and Trans-Replicate Its RNA Component. Viruses. 2024; 16(10):1611. https://doi.org/10.3390/v16101611
Chicago/Turabian StyleDutta, Pinky, Andres Lõhmus, Tero Ahola, and Kristiina Mäkinen. 2024. "The Replicase Protein of Potato Virus X Is Able to Recognize and Trans-Replicate Its RNA Component" Viruses 16, no. 10: 1611. https://doi.org/10.3390/v16101611
APA StyleDutta, P., Lõhmus, A., Ahola, T., & Mäkinen, K. (2024). The Replicase Protein of Potato Virus X Is Able to Recognize and Trans-Replicate Its RNA Component. Viruses, 16(10), 1611. https://doi.org/10.3390/v16101611

