Prolonged SARS-CoV-2 Infection in Patients Receiving Anti-CD20 Monoclonal Antibodies: A Diagnostic Challenged by Negative Nasopharyngeal RT-PCR and Successful Treatment with COVID-19 High-Titer Convalescent Plasma
Abstract
:1. Key Bullet Points
2. Introduction
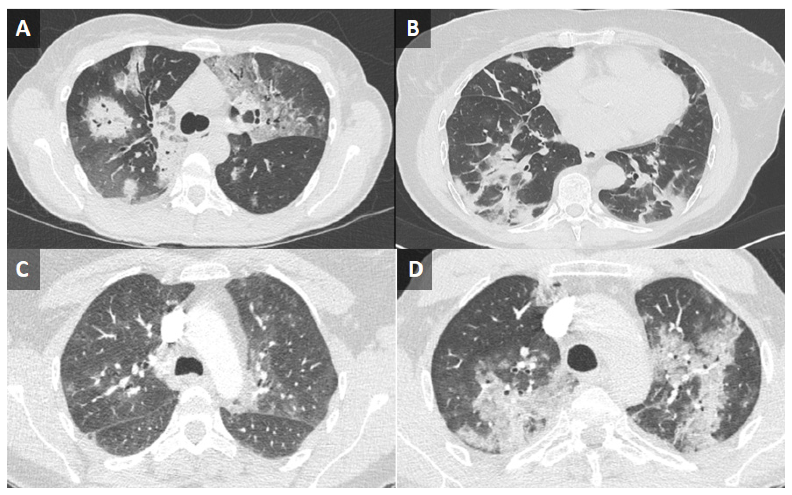
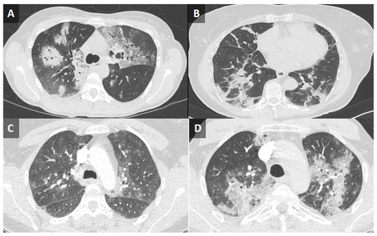
3. Results
3.1. Case 1
3.2. Case 2
3.3. Case 3
3.4. Case 4
4. Discussion
Author Contributions
Funding
Institutional Review Board Statement
Informed Consent Statement
Data Availability Statement
Conflicts of Interest
References
- Gibson, E.G.; Pender, M.; Angerbauer, M.; Cook, C.; Jones, B.; Spivak, A.M.; Spivak, E.S.; Swaminathan, S. Prolonged SARS-CoV-2 Illness in a Patient Receiving Ocrelizumab for Multiple Sclerosis. Open Forum Infect. Dis. 2021, 8, ofab176. [Google Scholar] [CrossRef]
- Winichakoon, P.; Chaiwarith, R.; Liwsrisakun, C.; Salee, P.; Goonna, A.; Limsukon, A.; Kaewpoowat, Q. Negative Nasopharyngeal and Oropharyngeal Swabs Do Not Rule Out COVID-19. J. Clin. Microbiol. 2020, 58, e00297-20. [Google Scholar] [CrossRef]
- Cognasse, F.; Hamzeh-Cognasse, H.; Rosa, M.; Corseaux, D.; Bonneaudeau, B.; Pierre, C.; Huet, J.; Arthaud, C.A.; Eyraud, M.A.; Prier, A.; et al. Inflammatory markers and auto-Abs to type I IFNs in COVID-19 convalescent plasma cohort study. EBioMedicine 2023, 87, 104414. [Google Scholar] [CrossRef] [PubMed]
- Tomisti, L.; Angelotti, F.; Lenzi, M.; Amadori, F.; Sarteschi, G.; Porcu, A.; Capria, A.-L.; Bertacca, G.; Lombardi, S.; Bianchini, G.; et al. Efficacy of Convalescent Plasma to Treat Long-Standing COVID-19 in Patients with B-Cell Depletion. Life 2023, 13, 1266. [Google Scholar] [CrossRef]
- D’Abramo, A.; Vita, S.; Maffongelli, G.; Mariano, A.; Agrati, C.; Castilletti, C.; Goletti, D.; Ippolito, G.; Nicastri, E. Prolonged and severe SARS-CoV-2 infection in patients under B-cell-depleting drug successfully treated: A tailored approach. Int. J. Infect. Dis. 2021, 107, 247–250. [Google Scholar] [CrossRef]
- Tortorella, C.; Aiello, A.; Gasperini, C.; Agrati, C.; Castilletti, C.; Ruggieri, S.; Meschi, S.; Matusali, G.; Colavita, F.; Farroni, C.; et al. Humoral- and T-Cell-Specific Immune Responses to SARS-CoV-2 mRNA Vaccination in Patients with MS Using Different Disease-Modifying Therapies. Neurology 2022, 98, e541–e554. [Google Scholar] [CrossRef] [PubMed]
- Aiello, A.; Coppola, A.; Ruggieri, S.; Farroni, C.; Altera, A.M.G.; Salmi, A.; Vanini, V.; Cuzzi, G.; Petrone, L.; Meschi, S.; et al. Longitudinal characterisation of B and T-cell immune responses after the booster dose of COVID-19 mRNA-vaccine in people with multiple sclerosis using different dis-ease-modifying therapies. J. Neurol. Neurosurg. Psychiatry 2023, 94, 290–299. [Google Scholar] [CrossRef] [PubMed]
- Dynamic Evolution of Humoral and T-Cell Specific Immune Response to COVID-19 mRNA Vaccine in Patients with Multiple Sclerosis Followed until the Booster Dose—PubMed. Available online: https://pubmed.ncbi.nlm.nih.gov/37239872/ (accessed on 27 October 2023).
- Petrone, L.; Tortorella, C.; Aiello, A.; Farroni, C.; Ruggieri, S.; Castilletti, C.; Meschi, S.; Cuzzi, G.; Vanini, V.; Palmieri, F.; et al. Humoral and Cellular Response to Spike of Delta SARS-CoV-2 Variant in Vaccinated Patients with Multiple Sclerosis. Front. Neurol. 2022, 13, 881988. [Google Scholar] [CrossRef] [PubMed]
- Aiello, A.; Coppola, A.; Vanini, V.; Petrone, L.; Cuzzi, G.; Salmi, A.; Altera, A.M.G.; Tortorella, C.; Gualano, G.; Gasperini, C.; et al. Accuracy of QuantiFERON SARS-CoV-2 research use only assay and characterization of the CD4+ and CD8+ T cell-SARS-CoV-2 response: Comparison with a homemade interferon-γ release assay. Int. J. Infect. Dis. 2022, 122, 841–849. [Google Scholar] [CrossRef] [PubMed]
- Puyskens, A.; Michel, J.; Stoliaroff-Pepin, A.; Bayram, F.; Sesver, A.; Wichmann, O.; Harder, T.; Schaade, L.; Nitsche, A.; Peine, C. Direct comparison of clinical diagnostic sensitivity of saliva from buccal swabs versus combined oro-/nasopharyngeal swabs in the detection of SARS-CoV-2 B.1.1.529 Omicron. J. Clin. Virol. Off. Publ. Pan Am. Soc. Clin. Virol. 2023, 165, 105496. [Google Scholar] [CrossRef] [PubMed]
- Morandi, L.; Torsani, F.; Forini, G.; Tamburrini, M.; Carnevale, A.; Pecorelli, A.; Giganti, M.; Piattella, M.; Guzzinati, I.; Papi, A.; et al. The Additional Value of Lower Respiratory Tract Sampling in the Diagnosis of COVID-19: A Real-Life Observational Study. Diagnostics 2022, 12, 2372. [Google Scholar] [CrossRef] [PubMed]
- Nakamura, K.; Sugiyama, M.; Ishizuka, H.; Sasajima, T.; Minakawa, Y.; Sato, H.; Miyazawa, M.; Kitakawa, K.; Fujita, S.; Saito, N.; et al. Prolonged infective SARS-CoV-2 omicron variant shedding in a patient with diffuse large B cell lymphoma successfully cleared after three courses of remdesivir. J. Infect. Chemother. Off. J. Jpn. Soc. Chemother. 2023, 29, 820–824. [Google Scholar] [CrossRef] [PubMed]
- Lanzafame, M.; Gottardi, M.; Guella, L.; Collini, L.; Costa, G.; Guella, A.; Vento, S. Successful treatment of persistent SARS-CoV-2 infection with nirmatrelvir/ritonavir plus sotrovimab in four immunocompromised patients. J. Chemother. 2023, 35, 623–626. [Google Scholar] [CrossRef] [PubMed]
- Baldi, F.; Dentone, C.; Mikulska, M.; Fenoglio, D.; Mirabella, M.; Magnè, F.; Portunato, F.; Altosole, T.; Sepulcri, C.; Giacobbe, D.R.; et al. Case report: Sotrovimab, remdesivir and nirmatrelvir/ritonavir combination as salvage treatment option in two immunocompromised patients hospitalized for COVID-19. Front. Med. 2022, 9, 1062450. [Google Scholar] [CrossRef] [PubMed]
- Vita, S.; Rosati, S.; Ascoli Bartoli, T.; Beccacece, A.; D’Abramo, A.; Mariano, A.; Scorzolini, L.; Goletti, D.; Nicastri, E. Monoclonal Antibodies for Pre- and Postex-posure Prophylaxis of COVID-19: Review of the Literature. Pathogens 2022, 11, 882. [Google Scholar] [CrossRef] [PubMed]
- Hueso, T.; Godron, A.-S.; Lanoy, E.; Pacanowski, J.; Levi, L.I.; Gras, E.; Surgers, L.; Guemriche, A.; Meynard, J.-L.; Pirenne, F.; et al. Convalescent plasma improves overall survival in patients with B-cell lymphoid malignancy and COVID-19: A longitudinal cohort and propensity score analysis. Leukemia 2022, 36, 1025–1034. [Google Scholar] [CrossRef] [PubMed]
- McConnell, S.A.; Sachithanandham, J.; Mudrak, N.J.; Zhu, X.; Farhang, P.A.; Cordero, R.J.B.; Wear, M.P.; Shapiro, J.R.; Park, H.-S.; Klein, S.L.; et al. Spike-protein proteolytic antibodies in COVID-19 convalescent plasma contribute to SARS-CoV-2 neutralization. Cell Chem. Biol. 2023, 30, 726–738.E4. [Google Scholar] [CrossRef] [PubMed]
- Ullah, I.; Beaudoin-Bussières, G.; Symmes, K.; Cloutier, M.; Ducas, E.; Tauzin, A.; Laumaea, A.; Grunst, M.W.; Dionne, K.; Richard, J.; et al. The Fc-effector function of COVID-19 con-valescent plasma contributes to SARS-CoV-2 treatment efficacy in mice. Cell Rep. Med. 2023, 4, 100893. [Google Scholar] [CrossRef] [PubMed]
- Goletti, D.; Petrone, L.; Manissero, D.; Bertoletti, A.; Rao, S.; Ndunda, N.; Sette, A.; Nikolayevskyy, V. The potential clinical utility of measuring severe acute respiratory syndrome coronavirus 2-specific T-cell responses. Clin. Microbiol. Infect. 2021, 27, 1784–1789. [Google Scholar] [CrossRef] [PubMed]
- Petrone, L.; Sette, A.; de Vries, R.D.; Goletti, D. The Importance of Measuring SARS-CoV-2-Specific T-Cell Responses in an Ongoing Pandemic. Pathogens 2023, 12, 862. [Google Scholar] [CrossRef] [PubMed]


| Patient 1 | Patient 2 | Patient 3 | Patient 4 | ||
|---|---|---|---|---|---|
| Patients characteristics | |||||
| Sex | F | F | F | M | |
| Age, y | 43 | 65 | 48 | 61 | |
| Underlying comorbidities | Rheumatoid arthritis | Multiple sclerosis | Multiple sclerosis, diabetes mellitus | Multiple sclerosis | |
| Past history of anti-CD20 mAbs (y) | - | Rituximab (2017–2019) | Rituximab (2017–2019) | Rituximab (2018–2019) | |
| Current anti-CD20 mAbs (y) | Rituximab (since 2016) | Ocrelizumab (since 2019) | Ocrelizumab (since 2019) | Ocrelizumab (since 2019) | |
| Other treatments | Leflunomid, CTC | Sitagliptin | |||
| Clinical features | |||||
| Clinical presentation | Onset date | 15 March 2023 | 28 September 2022 | 25 January 2022 | 28 March 2023 |
| Symptoms | Fever, sweating, weight loss, dyspnea | Fever with ILI, cough, dyspnea | Fever, asthenia, cough, dyspnea, retrosternal pain | Fever, cough, sweating, dyspnea | |
| Sounds heard on pulmonary auscultation | Without abnormalities | Unilateral crackling (left) | Unilateral crackling (left) | Bilateral crackling | |
| Oxygen support | 4 L/min | 0 L/min | 0 L/min | 0 L/min | |
| Laboratory findings and microbiological findings | |||||
| NP SARS-CoV-2 RT-PCR | Days from onset (date) | 56 (10 May 2023) | 58 (26 November 2023) | 33 (27 February 2023) | 46 (13 May 2023) |
| Results | Negative | Negative | Negative | Negative | |
| Serology SARS-CoV-2 | Negative | Negative | Negative | Negative | |
| White blood cells count (G/L) | 4.70 | 5.15 | 7.67 | 11.29 | |
| C-reactive protein (mg/L) | 57.53 | 13.44 | 146.79 | 50.07 | |
| Peripheral Blood cultures | Negative | NA | Negative | Negative | |
| BAL | Days from onset (date) | 69 (23 May 2023) | 76 (13 December 2023) | 40 (6 March 2023) | 50 (17 May 2023) |
| Culture | Negative | Negative | Negative | Negative | |
| SARS-CoV-2 RT-PCR Results * (CT if available) | Positive (NA) | Positive (E 33.1-RdRP 35.2-N2 37.0) | Positive (NA) | Positive (QS5 27.8- ORF1ab 27.9-S 27.8) | |
| Imaging findings | |||||
| Chest X-ray | Bronchial thickening | ND | Interstitial lung, left base condensation | Interstitial lung opacities | |
| Pulmonary CT scan | Bilateral interstitial lung disease, bilateral GGO | Bilateral GGO | Bilateral GGO with a basal distribution | Ground glass and consolidation in middle and lower lobes | |
| Treatments | |||||
| Antimicrobial drugs | 3GC/Piperacillin-tazobactam/Levofloxacine/TMP-SMX | NA | 3GC/Amoxicillin clavulanate/Piperacillin-tazobactam/Spiramycine | 3GC/Amoxicillin clavulanate/Piperacillin-tazobactam/Spiramycine | |
| Specific treatments (drugs) | Remdesivir/IL6-receptor antagonists (TCZ)/ CTC (DXM)/CCP ** | CCP ** | CPP ** | Remsedevir/Nirmatrelvir-ritonavir/CPP ** | |
| Outcomes | |||||
| Clinical | Recovery | Yes 85 (8 June 2023) | Yes 88 (25 December 2022) | Yes 52 (18 March 2023) | Yes 67 (3 June 2023) |
| Resolution of symptoms from onset, in days (date) | |||||
| Follow-up from recovery, in days (last date) | 24 (1 July 2023) | 186 (30 June 2023) | 49 (5 July 2023) | 32 (5 July 2023) | |
| Microbiological NP SARS-CoV-2 RT-PCR 7 days after CPP administration *** | Negative | Negative | Negative | Negative | |
Disclaimer/Publisher’s Note: The statements, opinions and data contained in all publications are solely those of the individual author(s) and contributor(s) and not of MDPI and/or the editor(s). MDPI and/or the editor(s) disclaim responsibility for any injury to people or property resulting from any ideas, methods, instructions or products referred to in the content. |
© 2023 by the authors. Licensee MDPI, Basel, Switzerland. This article is an open access article distributed under the terms and conditions of the Creative Commons Attribution (CC BY) license (https://creativecommons.org/licenses/by/4.0/).
Share and Cite
Da Silva, L.; Klopfenstein, T.; Gendrin, V.; Clouet, J.; Toko, L.; Richier, Q.; Leriche, T.; Nicolas, R.; Queijo, A.; Sreiri, N.; et al. Prolonged SARS-CoV-2 Infection in Patients Receiving Anti-CD20 Monoclonal Antibodies: A Diagnostic Challenged by Negative Nasopharyngeal RT-PCR and Successful Treatment with COVID-19 High-Titer Convalescent Plasma. Viruses 2023, 15, 2220. https://doi.org/10.3390/v15112220
Da Silva L, Klopfenstein T, Gendrin V, Clouet J, Toko L, Richier Q, Leriche T, Nicolas R, Queijo A, Sreiri N, et al. Prolonged SARS-CoV-2 Infection in Patients Receiving Anti-CD20 Monoclonal Antibodies: A Diagnostic Challenged by Negative Nasopharyngeal RT-PCR and Successful Treatment with COVID-19 High-Titer Convalescent Plasma. Viruses. 2023; 15(11):2220. https://doi.org/10.3390/v15112220
Chicago/Turabian StyleDa Silva, Léa, Timothée Klopfenstein, Vincent Gendrin, Julien Clouet, Lynda Toko, Quentin Richier, Thomas Leriche, Raoul Nicolas, Alexis Queijo, Nour Sreiri, and et al. 2023. "Prolonged SARS-CoV-2 Infection in Patients Receiving Anti-CD20 Monoclonal Antibodies: A Diagnostic Challenged by Negative Nasopharyngeal RT-PCR and Successful Treatment with COVID-19 High-Titer Convalescent Plasma" Viruses 15, no. 11: 2220. https://doi.org/10.3390/v15112220
APA StyleDa Silva, L., Klopfenstein, T., Gendrin, V., Clouet, J., Toko, L., Richier, Q., Leriche, T., Nicolas, R., Queijo, A., Sreiri, N., Lacombe, K., & Zayet, S. (2023). Prolonged SARS-CoV-2 Infection in Patients Receiving Anti-CD20 Monoclonal Antibodies: A Diagnostic Challenged by Negative Nasopharyngeal RT-PCR and Successful Treatment with COVID-19 High-Titer Convalescent Plasma. Viruses, 15(11), 2220. https://doi.org/10.3390/v15112220

