HTLV-1/2 in Indigenous Peoples of the Brazilian Amazon: Seroprevalence, Molecular Characterization and Sociobehavioral Factors Related to Risk of Infection
Abstract
1. Introduction
2. Materials and Methods
2.1. Study Population
2.2. Sample Collection
2.3. Serological Analysis
2.4. Molecular Analysis
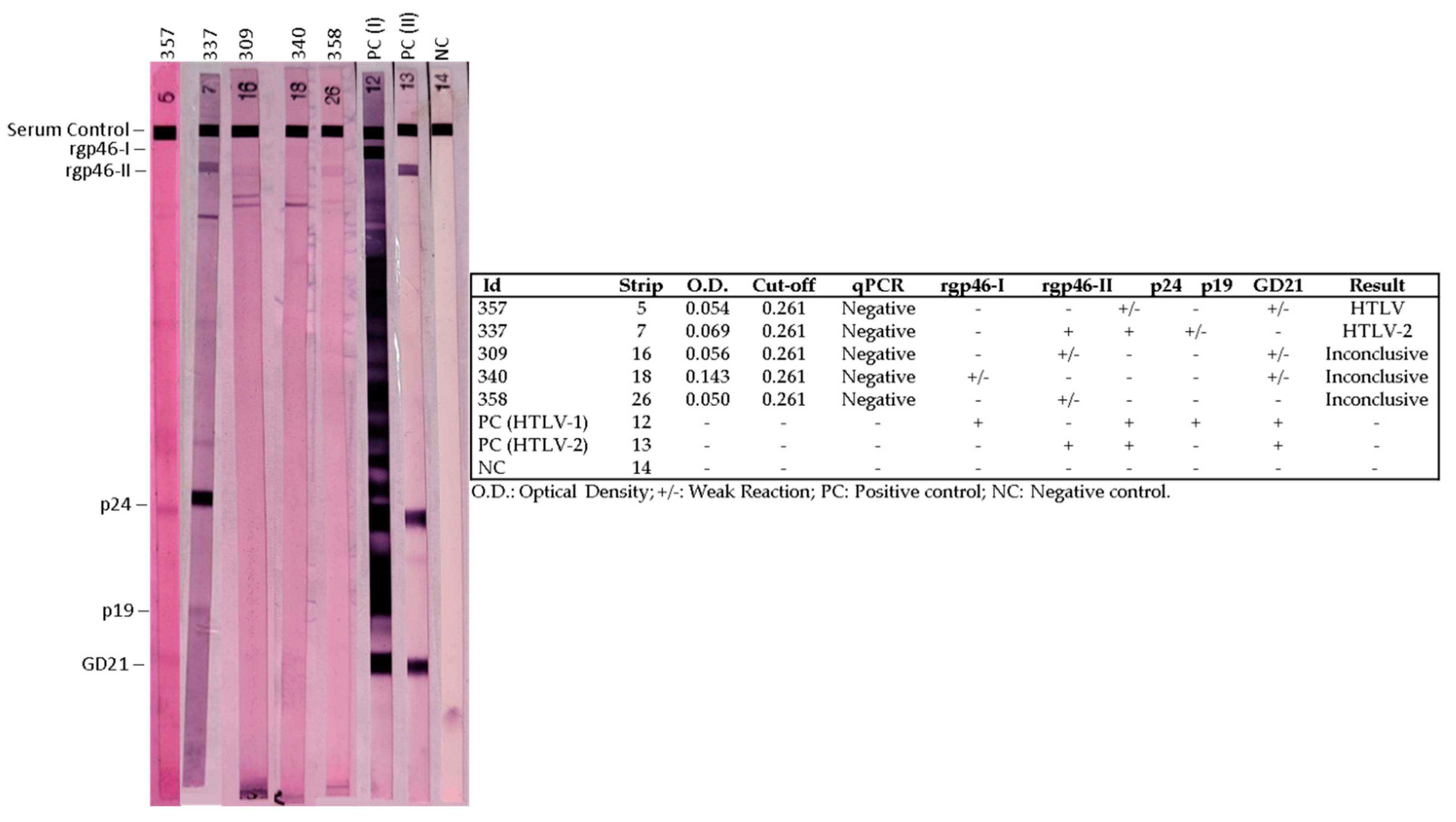
2.5. Complementary Confirmatory Analyses
2.6. Statistical Analysis
3. Results
3.1. Serological and Molecular Analyses
3.2. Epidemiological Characteristics of the Population and Risk Factors Associated with HTLV-1/2 Infection
4. Discussion
5. Conclusions
Author Contributions
Funding
Institutional Review Board Statement
Informed Consent Statement
Data Availability Statement
Acknowledgments
Conflicts of Interest
References
- Martinez, M.P.; Al-Saleem, J.; Green, P.L. Comparative virology of HTLV-1 and HTLV-2. Retrovirology 2019, 16, 21. [Google Scholar] [CrossRef] [PubMed]
- Vallinoto, A.C.R.; Rosadas, C.; Machado, L.F.A.; Taylor, G.P.; Ishak, R. HTLV: It Is Time to Reach a Consensus on Its Nomenclature. Front. Microbiol. 2022, 13, 896224. [Google Scholar] [CrossRef] [PubMed]
- Sanchez-Palacios, C.; Gotuzzo, E.; Vandamme, A.M.; Maldonado, Y. Seroprevalence and risk factors for human T-cell lymphotropic virus (HTLV-I) infection among ethnically and geographically diverse Peruvian women. Int. J. Infect. Dis. 2003, 7, 132–137. [Google Scholar] [CrossRef] [PubMed]
- Gessain, A.; Cassar, O. Epidemiological Aspects and World Distribution of HTLV-1 Infection. Front. Microbiol. 2012, 3, 388. [Google Scholar] [CrossRef]
- Satake, M.; Yamaguchi, K.; Tadokoro, K. Current prevalence of HTLV-1 in Japan as determined by screening of blood donors. J. Med. Virol. 2012, 84, 327–335. [Google Scholar] [CrossRef]
- Ishak, R.; Harrington, W.J., Jr.; Azevedo, V.N.; Eiraku, N.; Ishak, M.O.; Guerreiro, J.F.; Santos, S.B.; Kubo, T.; Monken, C.; Alexander, S.; et al. Identification of human T cell lymphotropic virus type IIa infection in the Kayapo, an indigenous population of Brazil. AIDS Res. Hum. Retrovir. 1995, 11, 813–821. [Google Scholar] [CrossRef]
- Ishak, R.; Vallinoto, A.C.; Azevedo, V.N.; Vicente, A.C.; Hall, W.W.; Ishak, M.O. Molecular evidence for infection by HTLV-2 among individuals with negative serological screening tests for HTLV antibodies. Epidemiol. Infect. 2007, 135, 604–609. [Google Scholar] [CrossRef]
- Braço, I.L.J.; de Sá, K.S.G.; Waqasi, M.; Queiroz, M.A.F.; da Silva, A.N.R.; Cayres-Vallinoto, I.M.V.; Lima, S.S.; de Oliveira Guimarães Ishak, M.; Ishak, R.; Guerreiro, J.F.; et al. High prevalence of human T-lymphotropic virus 2 (HTLV-2) infection in villages of the Xikrin tribe (Kayapo), Brazilian Amazon region. BMC Infect. Dis. 2019, 19, 459. [Google Scholar] [CrossRef]
- Vallinoto, A.C.; Ishak, M.O.; Azevedo, V.N.; Vicente, A.C.; Otsuki, K.; Hall, W.W.; Ishak, R. Molecular epidemiology of human T-lymphotropic virus type II infection in Amerindian and urban populations of the Amazon region of Brazil. Hum. Biol. 2002, 74, 633–644. [Google Scholar] [CrossRef]
- Galvão-Castro, B.; Alcântara, L.C.J.; Grassi, M.F.R.; Mota-Miranda, A.C.A.; Queiroz, A.T.L.; Rego, F.F.A.; Mota, A.C.A.; Pereira, S.A.; Magalhães, T.; Tavares-Neto, J.; et al. HTLV-I Epidemiology and Origin in Salvador, State of Bahia: The City With the Highest Prevalence of this Infection in Brazil. Gaz. Méd. Bahia 2009, 79, 3–10. Available online: http://www.gmbahia.ufba.br/index.php/gmbahia/article/viewFile/1053/1022 (accessed on 1 August 2022).
- Ishak, R.; Guimarães Ishak, M.O.; Azevedo, V.N.; Machado, L.F.A.; Vallinoto, I.M.C.; Queiroz, M.A.F.; Costa, G.L.C.; Guerreiro, J.F.; Vallinoto, A.C.R. HTLV in South America: Origins of a silent ancient human infection. Virus Evol. 2020, 6, veaa053. [Google Scholar] [CrossRef] [PubMed]
- Ishak, R.; Vallinoto, A.C.R.; Azevedo, V.N.; Lewis, M.; Hall, W.W.; Ishak, M.O.G. Molecular evidence of mother-to-child transmission of HTLV-IIc in the Kararao Village (Kayapo) in the Amazon Region of Brazil. Rev. Soc. Bras. Med. Trop. 2001, 34, 519–525. [Google Scholar] [CrossRef] [PubMed]
- Vallinoto, A.C.R.; Ishak, R. HTLV-2: Uma infecção antiga entre os povos indígenas da Amazônia brasileira. Rev. Pan-Amaz Saude. 2017, 8, 9–11. [Google Scholar] [CrossRef]
- Millen, S.; Thoma-Kress, A.K. Milk Transmission of HTLV-1 and the Need for Innovative Prevention Strategies. Front. Med. 2022, 9, 867147. [Google Scholar] [CrossRef] [PubMed]
- Gessain, A. Rétrovirus humains HTLV-1 et HTLV-2. EMC-Mal. Infect. 2004, 1, 203–220. [Google Scholar] [CrossRef]
- Primo, J.; Siqueira, I.; Nascimento, M.C.F.; Oliveira, M.F.; Farre, L.; Carvalho, E.M.; Bittencourt, A.L. High HTLV-1 proviral load, a marker for HTLV-1 associated myelopathy/tropical spastic paraparesis, is also detected in patients with infective dermatitis associated with HTLV-1. Braz J. Med. Biol Res. 2009, 42, 761–764. [Google Scholar] [CrossRef] [PubMed]
- Iwanaga, M.; Watanabe, T.; Utsunomiya, A.; Okayama, A.; Uchimaru, K.; Koh, K.R.; Ogata, M.; Kikuchi, H.; Sagara, Y.; Uozumi, K.; et al. Human T-cell leukemia virus type I (HTLV-1) proviral load and disease progression in asymptomatic HTLV-1 carriers: A nationwide prospective study in Japan. Blood 2010, 116, 1211–1219. [Google Scholar] [CrossRef]
- Gallo, R.C. Research and discovery of the first human cancer virus, HTLV-1. Best Pract. Res. Clin. Haematol. 2011, 24, 559–565. [Google Scholar] [CrossRef] [PubMed]
- Hjelle, B.; Appenzeller, O.; Mills, R.; Alexander, S.; Torrez-Martinez, N.; Jahnke, R.; Ross, G. Chronic neurodegenerative disease associated with HTLV-II infection. Lancet 1992, 339, 645–646. [Google Scholar] [CrossRef]
- Murphy, E.L.; Engstrom, J.W.; Miller, K.; Sacher, R.A.; Busch, M.P.; Hollingsworth, C.G. HTLV-II associated myelopathy in 43-year-old woman. REDS Investigators. Lancet 1993, 341, 757–758. [Google Scholar] [CrossRef]
- Harrington, W.J., Jr.; Sheremata, W.; Hjelle, B.; Dube, D.K.; Bradshaw, P.; Foung, S.K.; Snodgrass, S.; Toedter, G.; Cabral, L.; Poiesz, B. Spastic ataxia associated with human T-cell lymphotropic virus type II infection. Ann. Neurol. 1993, 33, 411–414. [Google Scholar] [CrossRef] [PubMed]
- Hall, W.W.; Ishak, R.; Zhu, S.W.; Novoa, P.; Eiraku, N.; Takahashi, H.; Ferreira Mda, C.; Azevedo, V.; Ishak, M.O.; Ferreira Oda, C.; et al. Human T lymphotropic virus type II (HTLV-II): Epidemiology, molecular properties, and clinical features of infection. J. Acquir. Immune Defic Syndr Hum. Retrovirol. 1996, 13 (Suppl. S1), S204–S214. [Google Scholar] [CrossRef]
- Murphy, E.L.; Watanabe, K.; Nass, C.C.; Ownby, H.; Williams, A.; Nemo, G. Evidence among blood donors for a 30-year-old epidemic of human T lymphotropic virus type II infection in the United States. J. Infect. Dis. 1999, 180, 1777–1783. [Google Scholar] [CrossRef] [PubMed]
- Silva, E.A.; Otsuki, K.; Leite, A.C.; Alamy, A.H.; Sá-Carvalho, D.; Vicente, A.C. HTLV-II infection associated with a chronic neurodegenerative disease: Clinical and molecular analysis. J. Med. Virol. 2002, 66, 253–257. [Google Scholar] [CrossRef] [PubMed]
- Waters, A.; Oliveira, A.L.; Coughlan, S.; de Venecia, C.; Schor, D.; Leite, A.C.; Araújo, A.Q.; Hall, W.W. Multiplex real-time PCR for the detection and quantitation of HTLV-1 and HTLV-2 proviral load: Addressing the issue of indeterminate HTLV results. J. Clin. Virol. 2011, 52, 38–44. [Google Scholar] [CrossRef] [PubMed]
- Maloney, E.M.; Biggar, R.J.; Neel, J.V.; Taylor, M.E.; Hahn, B.H.; Shaw, G.M.; Blattner, W.A. Endemic human T cell lymphotropic virus type II infection among isolated Brazilian Amerindians. J. Infect. Dis. 1992, 166, 100–107. [Google Scholar] [CrossRef] [PubMed]
- Black, F.L.; Biggar, R.J.; Neel, J.V.; Maloney, E.M.; Waters, D.J. Endemic transmission of HTLV type II among Kayapo Indians of Brazil. AIDS Res. Hum. Retrovir. 1994, 10, 1165–1171. [Google Scholar] [CrossRef] [PubMed]
- Fujiyoshi, T.; Li, H.C.; Lou, H.; Yashiki, S.; Karino, S.; Zaninovic, V.; Oneegllo, S.G.; Camacho, M.; Andrade, R.; Hurtado, L.V.; et al. Characteristic distribution of HTLV type I and HTLV type II carriers among native ethnic groups in South America. AIDS Res. Hum. Retrovir. 1999, 15, 1235–1239. [Google Scholar] [CrossRef]
- Legrand, N.; McGregor, S.; Bull, R.; Bajis, S.; Valencia, B.M.; Ronnachit, A.; Einsiedel, L.; Gessain, A.; Kaldor, J.; Martinello, M. Clinical and Public Health Implications of Human T-Lymphotropic Virus Type 1 Infection. Clin. Microbiol. Rev. 2022, 35, e0007821. [Google Scholar] [CrossRef] [PubMed]
- Vallinoto, A.C.R.; Otake, M.I.; Sousa, P.V.N.R.; Lopes, F.T.; Sacuena, E.R.P.; Queiroz, M.A.F.; Costa, G.L.C.; Ishak, M.O.G.; Cayres-Vallinoto, I.M.V.; Guerreiro, J.F.; et al. Isolation of the Arawete and Asurini Indians keeps the tribes free from HTLV infection during 36 years of follow-up. Retrovirology 2019, 16, 27. [Google Scholar] [CrossRef] [PubMed]
- Ishak, R.; Ishak, M.O.G.; Vallinoto, A.C.R. The challenge of describing the epidemiology of HTLV in the Amazon region of Brazil. Retrovirology 2020, 17, 4. [Google Scholar] [CrossRef] [PubMed]
- Ishak, R.; Cavalcante, F.; Vallinoto, A.C.; Azevedo, V.N.; Ishak, M.O. HTLV-I associated myelopathy in the northern region of Brazil (Belém-Pará): Serological and clinical features of three cases. Soc. Bras. Med. Trop. 2002, 35, 243–246. [Google Scholar] [CrossRef] [PubMed]
- Hashikura, Y.; Umeki, K.; Umekita, K.; Nomura, H.; Yamada, A.; Yamamoto, I.; Hasegawa, H.; Yanagihara, K.; Okayama, A. Infection of defective human T-lymphotropic virus type 1. Hum. Cell. 2017, 30, 117–123. [Google Scholar] [CrossRef] [PubMed]
- Caterino-de-Araujo, A.; Campos, K.R. Defective particles of human T-lymphotropic virus and negative results in molecular assays. Infect. Genet. Evol. 2021, 96, 105141. [Google Scholar] [CrossRef] [PubMed]
- Casseb, J.; Lopes, L.R. Reflection about the ancient emergence of HTLV-2 infection: Potential for endogenization. AIDS Res. Hum. Retrovir. 2022, 38, 933–938. [Google Scholar] [CrossRef] [PubMed]
- Eiraku, N.; Novoa, P.; da Costa Ferreira, M.; Monken, C.; Ishak, R.; da Costa Ferreira, O.; Zhu, S.W.; Lorenco, R.; Ishak, M.; Azvedo, V.; et al. Identification and characterization of a new and distinct molecular subtype of human T-cell lymphotropic virus type 2. J. Virol. 1996, 70, 1481–1492. [Google Scholar] [CrossRef] [PubMed]
- Vallinoto, A.C.R.; Carvalho, F.T.; Santos, A.B.; Silva, R.S.U.; Ribeiro, E.S.; Cordeiro, K.M. Occurrence of cross-reactivity to HTLV-1/2 antigens in patients with malaria from an endemic area of the brazilian amazon region. Recent Res. Devel Immunol. 2012, 8, 75–86. [Google Scholar]
- Shindo, N.; Alcantara, L.C.; Van Dooren, S.; Salemi, M.; Costa, M.C.; Kashima, S.; Covas, D.T.; Teva, A.; Pellegrini, M.; Brito, I.; et al. Human retroviruses (HIV and HTLV) in Brazilian Indians: Seroepidemiological study and molecular epidemiology of HTLV type 2 isolates. AIDS Res. Hum. Retrovir. 2002, 18, 71–77. [Google Scholar] [CrossRef]
- Bryan, E.S.; Tadi, P. Human T cell lymphotropic virus. In StatPearls [Internet]; StatPearls Publishing: Treasure Island, FL, USA, 2021. Available online: https://www.ncbi.nlm.nih.gov/books/NBK560825/ (accessed on 2 August 2022).
- Martel, M.; Gotuzzo, E. HTLV-1 Is Also a Sexually Transmitted Infection. Front. Public Health 2022, 10, 840295. [Google Scholar] [CrossRef]
- Biggar, R.J.; Ng, J.; Kim, N.; Hisada, M.; Li, H.C.; Cranston, B.; Hanchard, B.; Maloney, E.M. Human leukocyte antigen concordance and the transmission risk via breast-feeding of human T cell lymphotropic virus type I. J. Infect. Dis. 2006, 193, 277–282. [Google Scholar] [CrossRef]



| Population | Linguistic Trunk | N Sample | City of Origin/State | Geographic Coordinates |
|---|---|---|---|---|
| Tembé | Tupi | 186 | Capitão Poço/Paragominas/PA | 1°50′47.7″ S 46°58′56.2″ O/ 2°17′38.5″ S 48°20′18.4″ O |
| Guajajara | Tupi | 54 | Grajaú/MA | 5°21′59.076″ S 45°55′14.232″ O |
| Ka’apor | Tupi | 21 | Centro Novo/MA | 3°4′1.3″ S 46°17′55.5″ O |
| Amanayé | Tupi | 74 | Paragominas/PA | 3°17′51.5″ S 48°24′33.8″ O |
| Gavião | Macrojê | 252 | Bom Jesus do Tocantins/PA | 5°09′21.0″ S 48°55′37.3″ O |
| Aikewara-Suruí | Tupi | 215 | São Geraldo do Araguaia/PA | 5°56′00.1″ S 48°38′22.8″ O |
| Juruna | Juruna | 100 | Anapu/PA | 3°30′11.8″ S 51°48′8.4″ O |
| Kararaô | Macrojê | 39 | Altamira/PA | 3°54′39.9″ S 52°48′14.9″ O |
| Araweté | Tupi | 468 | Altamira/PA | 4°53′16.9″ S 52°26′53.7″ O |
| Xikrin do Bacajá | Macrojê | 401 | Anapu/PA | 4°37′34.5″ S 51°29′38.9″ O |
| Parakanã | Tupi | 211 | São Félix do Xingu/PA | 5°39′17.1″ S 52°02′37.4″ O |
| Kokraimoro | Macrojê | 140 | São Félix do Xingu/PA | 7°26′52.1″ S 52°39′33.8″ O |
| Gorotire | Macrojê | 474 | Cumaru do Norte/PA | 7°46′9.5″ S 51°7′50.8″ O |
| Kubenkokre | Macrojê | 398 | Novo Progresso | 8°30′0.3″ S 53°19′20.2″ O |
| Munduruku | Tupi | 317 | Jacareacanga/PA | 6°26′46.8″ S 57°58′45.8″ O |
| qPCR | Western blot | Inno-Lia | Total (%) | ||||||||||||||||||
|---|---|---|---|---|---|---|---|---|---|---|---|---|---|---|---|---|---|---|---|---|---|
| People | N | EIA+ | HTLV-1 | HTLV-2 | Neg | No | HTLV-1 | HTLV-2 | HTLV | Ind | Neg | HTLV-1 | HTLV-2 | HTLV | Ind | Neg | HTLV-1 | HTLV-2 | HTLV | Ind | Neg |
| Tembé | 186 | 0 | |||||||||||||||||||
| Guajajara | 54 | 1 | 1 | 1 | 1 (1.8) | ||||||||||||||||
| Ka’apor | 21 | 0 | |||||||||||||||||||
| Amanayé | 74 | 0 | |||||||||||||||||||
| Gavião | 252 | 1 | 1 | 1 (0.4) | |||||||||||||||||
| Aikewara-Suruí | 215 | 2 | 2 | 1 | 1 | 1 (0.5) | 1 (0.5) | ||||||||||||||
| Juruna | 100 | 3 | 2 | 1 | 1 | 2 (2.0) | 1 (1.0) | ||||||||||||||
| Kararaô | 39 | 0 | 39 | 1 | 3 | 11 | 24 | 1 (2.6) | 3 (7.7) | 35 (89.7) | |||||||||||
| Araweté | 468 | 0 | |||||||||||||||||||
| Xikrin do Bacajá | 401 | 61 | 45 | 15 | 2 | 3 | 2 | 7 | 1 | 3 | 1 | 55 (13.7) | 3 (0.7) | 3 (0.7) | 1 (0.2) | ||||||
| Parakanã | 211 | 0 | |||||||||||||||||||
| Kokraimoro | 140 | 18 | 14 | 3 | 1 | 2 | 1 | 1 | 16 (11.4) | 1 (0.7) | 1 (0.7) | ||||||||||
| Gorotire | 474 | 108 | 2 | 99 | 6 | 1 | 6 | 1 | 2 (0.4) | 105 (22.1) | 1 (0.2) | ||||||||||
| Kubenkokre | 398 | 93 | 85 | 6 | 2 | 7 | 1 | 92 (23.1) | 1 (0.2) | ||||||||||||
| Munduruku | 317 | 2 | 1 | 1 | 1 | 2 (0.6) | |||||||||||||||
| Total | 3350 | 289 | 4 | 245 | 73 | 7 | 20 | 4 | 5 | 12 | 9 | 1 | 3 | 26 | 4 (0.1) | 274 (8.2) | 5 (0.1) | 8 (0.2) | 38 (1.1) | ||
| Risk Factors | Positive n = 196 (%) | Negative n = 1.044 (%) | Total n = 1.240 (%) | p Values |
|---|---|---|---|---|
| Piercing | 0.8946 a | |||
| Yes | 10 (5.1) | 53 (5.1) | 63 (5.1) | |
| No | 183 (93.4) | 955 (91.5) | 1.138 (91.8) | |
| Uninformed | 3 (1.5) | 36 (3.4) | 39 (3.1) | |
| Blood transfusion | 0.1748 a | |||
| Yes | 6 (3.1) | 59 (5.7) | 65 (5.2) | |
| No | 175 (89.3) | 892 (85.4) | 1.067 (86.0) | |
| Uninformed | 15 (7.7) | 93 (8.9) | 108 (8.7) | |
| Breastfeeding as a child | 0.1019 a | |||
| Yes | 180 (91.8) | 919 (88.0) | 1.099 (88.6) | |
| No | 4 (2.0) | 51 (4.9) | 55 (4.4) | |
| Uninformed | 12 (6.1) | 74 (7.1) | 86 (6.9) | |
| First sexual intercourse | 0.0204 *a | |||
| ≤17 years old | 49 (25.0) | 422 (40.4) | 471 (38.0) | |
| ≥18 years old | 21 (10.7) | 90 (8.6) | 111 (9.0) | |
| Uninformed | 126 (64.3) | 532 (51.0) | 658 (53.1) | |
| Sexually active | 0.8864 a | |||
| Yes | 157 (80.1) | 829 (79.4) | 986 (79.5) | |
| No | 32 (16.3) | 178 (17.0) | 210 (16.9) | |
| Uninformed | 7 (3.6) | 37 (3.5) | 44 (3.5) | |
| Condom use | n = 157 | n = 829 | n = 986 | <0.0001 *a |
| Yes | 3 (1.9) | 138 (16.6) | 141 (14.3) | |
| No | 135 (86.0) | 591 (71.3) | 726 (73.6) | |
| Sometimes | 7 (4.5) | 72 (8.7) | 79 (8.0) | |
| Uninformed | 12 (7.6) | 28 (3.4) | 40 (4.1) | |
| Number of sexual partners | n = 157 | n = 829 | n = 986 | 0.6541 b |
| 1 | 143 (91.1) | 765 (92.3) | 908 (92.1) | |
| 2 | 2 (1.3) | 5 (0.6) | 7 (0.7) | |
| 3 or more | 3 (1.9) | 21 (2.5) | 24 (2.4) | |
| Uninformed | 9 (5.7) | 38 (4.6) | 47 (4.8) |
| Variables | % Total | % Positive |
|---|---|---|
| Gestational rate | 85.0 (590/694) | 87.3 (117/134) |
| Breastfeeding rate | 97.3 (574/590) | 98.3 (115/117) |
| Cross-breastfeeding rate | 7.5 (43/574) | 14.8 (17/115) |
| Number of pregnancies | n = 590 | n = 117 |
| 1–3 | 50.0 (295) | 35.0 (41) |
| 4–6 | 31.4 (185) | 42.7 (50) |
| 7 or more | 18.1 (107) | 21.4 (25) |
| Uninformed | 0.5 (3) | 0.9 (1) |
| Breastfeeding time | n = 574 | n = 115 |
| Less than 6 months | 2.8 (16) | 2.6 (3) |
| 6 months or more | 95.5 (548) | 95.7 (110) |
| Uninformed | 1.7 (10) | 1.7 (2) |
Disclaimer/Publisher’s Note: The statements, opinions and data contained in all publications are solely those of the individual author(s) and contributor(s) and not of MDPI and/or the editor(s). MDPI and/or the editor(s) disclaim responsibility for any injury to people or property resulting from any ideas, methods, instructions or products referred to in the content. |
© 2022 by the authors. Licensee MDPI, Basel, Switzerland. This article is an open access article distributed under the terms and conditions of the Creative Commons Attribution (CC BY) license (https://creativecommons.org/licenses/by/4.0/).
Share and Cite
Abreu, I.N.; Lima, C.N.C.; Sacuena, E.R.P.; Lopes, F.T.; da Silva Torres, M.K.; Santos, B.C.d.; de Oliveira Freitas, V.; de Figueiredo, L.G.C.P.; Pereira, K.A.S.; de Lima, A.C.R.; et al. HTLV-1/2 in Indigenous Peoples of the Brazilian Amazon: Seroprevalence, Molecular Characterization and Sociobehavioral Factors Related to Risk of Infection. Viruses 2023, 15, 22. https://doi.org/10.3390/v15010022
Abreu IN, Lima CNC, Sacuena ERP, Lopes FT, da Silva Torres MK, Santos BCd, de Oliveira Freitas V, de Figueiredo LGCP, Pereira KAS, de Lima ACR, et al. HTLV-1/2 in Indigenous Peoples of the Brazilian Amazon: Seroprevalence, Molecular Characterization and Sociobehavioral Factors Related to Risk of Infection. Viruses. 2023; 15(1):22. https://doi.org/10.3390/v15010022
Chicago/Turabian StyleAbreu, Isabella Nogueira, Carlos Neandro Cordeiro Lima, Eliene Rodrigues Putira Sacuena, Felipe Teixeira Lopes, Maria Karoliny da Silva Torres, Bernardo Cintra dos Santos, Vanessa de Oliveira Freitas, Leonardo Gabriel Campelo Pinto de Figueiredo, Keise Adrielle Santos Pereira, Aline Cecy Rocha de Lima, and et al. 2023. "HTLV-1/2 in Indigenous Peoples of the Brazilian Amazon: Seroprevalence, Molecular Characterization and Sociobehavioral Factors Related to Risk of Infection" Viruses 15, no. 1: 22. https://doi.org/10.3390/v15010022
APA StyleAbreu, I. N., Lima, C. N. C., Sacuena, E. R. P., Lopes, F. T., da Silva Torres, M. K., Santos, B. C. d., de Oliveira Freitas, V., de Figueiredo, L. G. C. P., Pereira, K. A. S., de Lima, A. C. R., Brito, W. R. d. S., Botelho, B. J. S., Gonçalves, J. S. S., Lima, S. S., Vallinoto, I. M. V. C., Guerreiro, J. F., Ishak, R., & Vallinoto, A. C. R. (2023). HTLV-1/2 in Indigenous Peoples of the Brazilian Amazon: Seroprevalence, Molecular Characterization and Sociobehavioral Factors Related to Risk of Infection. Viruses, 15(1), 22. https://doi.org/10.3390/v15010022

