Generation of a Soluble African Horse Sickness Virus VP7 Protein Capable of Forming Core-like Particles
Abstract
1. Introduction
2. Materials and Methods
2.1. Cells and Viruses
2.2. Generation of Modified VP7 Proteins
2.3. Protein Expression, SDS-PAGE, and Western Blot Analysis
2.4. Solubility Assay
2.5. Immunofluorescence Microscopy
2.6. Production and Purification of Recombinant Core-like Particles
2.7. Protein Three-Dimensional Structure Modelling
2.8. Protein Sequence Alignments
3. Results
3.1. Selection of Regions on the VP7 Trimer Surface for Site-Directed Mutagenesis and Expression of Modified VP7 Proteins
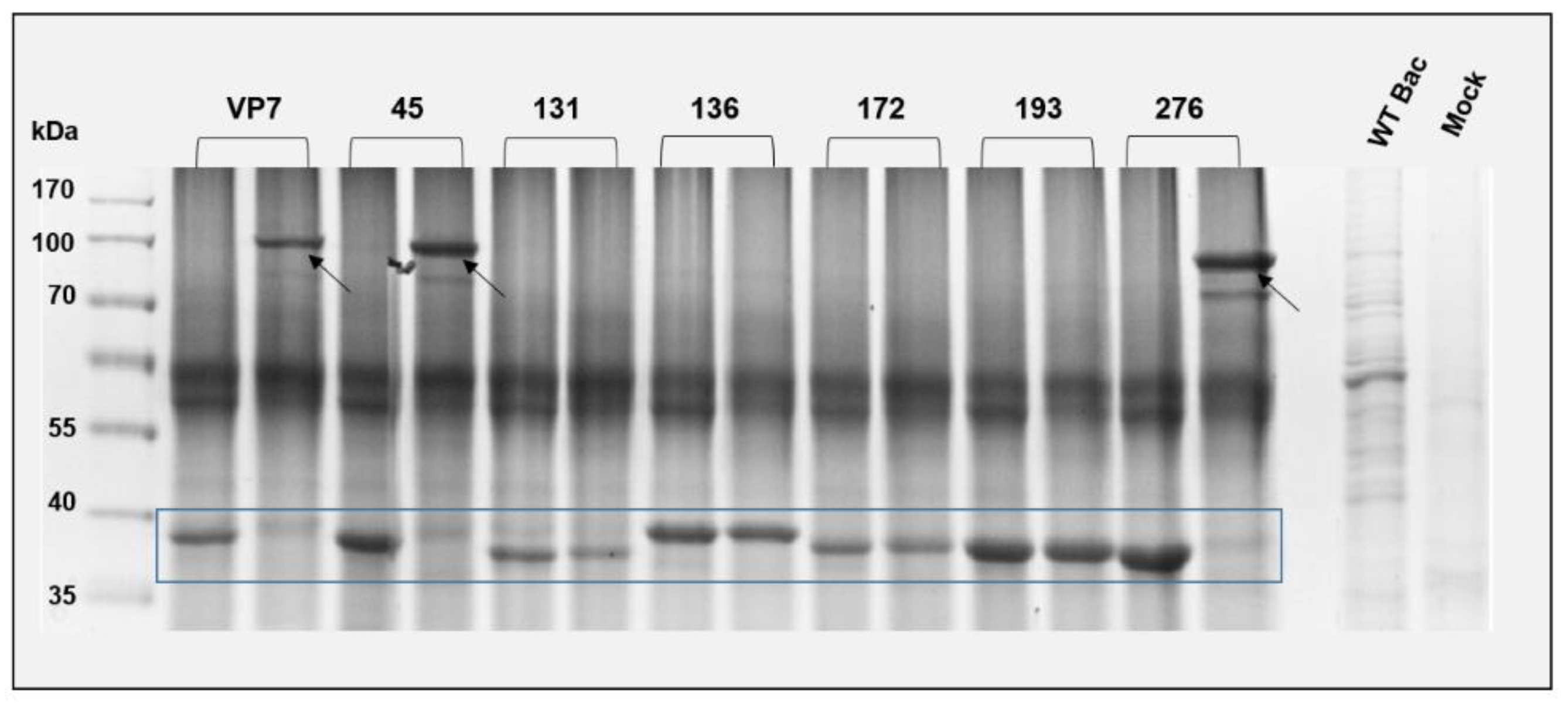
3.2. Solubility Analysis of Modified AHSV VP7 Proteins
3.3. Function Analysis of the Soluble AHSV VP7-276 Protein
3.4. Analysis of the Amino Acids Responsible for AHSV VP7 Self-Assembly into Crystalline Particles
4. Discussion
5. Conclusions
6. Patents
Supplementary Materials
Author Contributions
Funding
Data Availability Statement
Acknowledgments
Conflicts of Interest
References
- Roy, P.; Mertens, P.P.; Casal, I. African horse sickness virus structure. Comp. Immunol. Microbiol. Infect. Dis. 1994, 17, 243–273. [Google Scholar] [CrossRef]
- Grimes, J.M.; Burroughs, J.N.; Gouet, P.; Diprose, J.M.; Malby, R.; Zientara, S.; Mertens, P.P.; Stuart, D.I. The atomic structure of the bluetongue virus core. Nature 1998, 395, 470–478. [Google Scholar] [CrossRef] [PubMed]
- Manole, V.; Laurinmaki, P.; Van Wyngaardt, W.; Potgieter, C.A.; Wright, I.M.; Venter, G.J.; van Dijk, A.A.; Sewell, B.T.; Butcher, S.J. Structural Insight into African Horsesickness Virus Infection. J. Virol. 2012, 86, 7858–7866. [Google Scholar] [CrossRef] [PubMed]
- Burroughs, J.N.; O’Hara, R.S.; Smale, C.J.; Hamblin, C.; Walton, A.; Armstrong, R.; Mertens, P.P. Purification and properties of virus particles, infectious subviral particles, cores and VP7 crystals of African horsesickness virus serotype 9. J. Gen. Virol. 1994, 75, 1849–1857. [Google Scholar] [CrossRef] [PubMed]
- Chuma, T.; Le Blois, H.; Sanchez-Vizcaino, J.M.; Diaz-Laviada, M.; Roy, P. Expression of the major core antigen VP7 of African horsesickness virus by a recombinant baculovirus and its use as a group-specific diagnostic reagent. J. Gen. Virol. 1992, 73, 925–931. [Google Scholar] [CrossRef]
- Roy, P.; Hirasawa, T.; Fernandez, M.; Blinov, V.M.; Sanchez-Vixcain Rodrique, J.M. The complete sequence of the group-specific antigen, VP7, of African horsesickness disease virus serotype 4 reveals a close relationship to bluetongue virus. J. Gen. Virol. 1991, 72, 1237–1241. [Google Scholar] [CrossRef]
- Hyatt, A.D.; Eaton, B.T. Ultrastructural distribution of the major capsid proteins within bluetongue virus and infected cells. J. Gen. Virol. 1988, 69, 805–815. [Google Scholar] [CrossRef]
- Kar, A.K.; Bhattacharya, B.; Roy, P. Bluetongue virus RNA binding protein NS2 is a modulator of viral replication and assembly. BMC Mol. Biol. 2007, 8, 4. [Google Scholar] [CrossRef]
- Bekker, S.; Huismans, H.; van Staden, V. Factors that affect the intracellular localization and trafficking of African horse sickness virus core protein, VP7. Virology 2014, 456, 279–291. [Google Scholar] [CrossRef][Green Version]
- Flores-León, M.; Lázaro, D.F.; Shvachiy, L.; Krisko, A.; Outeiro, T.F. In silico analysis of the aggregation propensity of the SARS-CoV-2 proteome: Insight into possible cellular pathologies. Biochim. Et Biophys. Acta (BBA)-Proteins Proteom. 2021, 1869, 140693. [Google Scholar] [CrossRef]
- Bhardwaj, T.; Gadhave, K.; Kapuganti, S.K.; Kumar, P.; Brotzakis, Z.F.; Saumya, K.U.; Nayak, N.; Kumar, A.; Garg, N.; Vendruscolo, M.; et al. Amyloidogenic proteins in the SARS-CoV and SARS-CoV-2 proteomes. bioRxiv 2021. [Google Scholar] [CrossRef]
- Geng, H.; Subramanian, S.; Wu, L.; Bu, H.-F.; Wang, X.; Du, C.; De Plaen, I.G.; Tan, X.-D. SARS-CoV-2 ORF8 forms intracellular aggregates and inhibits IFNγ-induced antiviral gene expression in human lung epithelial cells. Front. Immunol. 2021, 12, 2108. [Google Scholar] [CrossRef] [PubMed]
- Tavassoly, O.; Safavi, F.; Tavassoly, I. Seeding Brain Protein Aggregation by SARS-CoV-2 as a Possible Long-Term Complication of COVID-19 Infection. ACS Chem. Neurosci. 2020, 11, 3704–3706. [Google Scholar] [CrossRef] [PubMed]
- Yoo, Y.-S.; Park, Y.-J.; Lee, H.-S.; Oanh, N.T.K.; Cho, M.-Y.; Heo, J.; Lee, E.-S.; Cho, H.; Park, Y.-Y.; Cho, H. Mitochondria ubiquitin ligase, MARCH5 resolves hepatitis B virus X protein aggregates in the liver pathogenesis. Cell Death Dis. 2019, 10, 938. [Google Scholar] [CrossRef]
- Vidic, J.; Richard, C.-A.; Péchoux, C.; Da Costa, B.; Bertho, N.; Mazerat, S.; Delmas, B.; Chevalier, C. Amyloid Assemblies of Influenza A Virus PB1-F2 Protein Damage Membrane and Induce Cytotoxicity*. J. Biol. Chem. 2016, 291, 739–751. [Google Scholar] [CrossRef]
- Lulla, V.; Lulla, A.; Wernike, K.; Aebischer, A.; Beer, M.; Roy, P. Assembly of replication-incompetent African horse sickness virus particles: Rational design of vaccines for all serotypes. J. Virol. 2016, 90, 7405–7414. [Google Scholar] [CrossRef] [PubMed]
- van de Water, S.G.; van Gennip, R.G.; Potgieter, C.A.; Wright, I.M.; van Rijn, P.A. VP2 Exchange and NS3/NS3a Deletion in African Horse Sickness Virus (AHSV) in Development of Disabled Infectious Single Animal Vaccine Candidates for AHSV. J. Virol. 2015, 89, 8764–8772. [Google Scholar] [CrossRef] [PubMed]
- van Rijn, P.A.; Maris-Veldhuis, M.A.; Potgieter, C.A.; van Gennip, R.G. African horse sickness virus (AHSV) with a deletion of 77 amino acids in NS3/NS3a protein is not virulent and a safe promising AHS Disabled Infectious Single Animal (DISA) vaccine platform. Vaccine 2018, 36, 1925–1933. [Google Scholar] [CrossRef]
- Vermaak, E.; Paterson, D.J.; Conradie, A.; Theron, J. Directed genetic modification of African horse sickness virus by reverse genetics. S. Afr. J. Sci. 2015, 111, 1–8. [Google Scholar] [CrossRef][Green Version]
- Roy, P.; French, T.; Erasmus, B.J. Protective efficacy of virus-like particles for bluetongue disease. Vaccine 1992, 10, 28–32. [Google Scholar] [CrossRef]
- Jennings, G.T.; Bachmann, M.F. The coming of age of virus-like particle vaccines. Biol. Chem. 2008, 389, 521–536. [Google Scholar] [CrossRef] [PubMed]
- Liu, F.; Ge, S.; Li, L.; Wu, X.; Liu, Z.; Wang, Z. Virus-like particles: Potential veterinary vaccine immunogens. Res. Vet. Sci. 2012, 93, 553–559. [Google Scholar] [CrossRef] [PubMed]
- Noad, R.; Roy, P. Virus-like particles as immunogens. Trends Microbiol. 2003, 11, 438–444. [Google Scholar] [CrossRef]
- Roy, P.; Bishop, D.H.L.; LeBlois, H.; Erasmus, B.J. Long-lasting protection of sheep against bluetongue challenge after vaccination with virus-like particles: Evidence for homologous and partial heterologous protection. Vaccine 1994, 12, 805–811. [Google Scholar] [CrossRef]
- Stewart, M.; Dovas, C.I.; Chatzinasiou, E.; Athmaram, T.N.; Papanastassopoulou, M.; Papadopoulos, O.; Roy, P. Protective efficacy of Bluetongue virus-like and subvirus-like particles in sheep: Presence of the serotype-specific VP2, independent of its geographic lineage, is essential for protection. Vaccine 2012, 30, 2131–2139. [Google Scholar] [CrossRef]
- Thuenemann, E.C.; Meyers, A.E.; Verwey, J.; Rybicki, E.P.; Lomonossoff, G.P. A method for rapid production of heteromultimeric protein complexes in plants: Assembly of protective bluetongue virus-like particles. Plant Biotechnol. J. 2013, 11, 839–846. [Google Scholar] [CrossRef]
- McAleer, W.J.; Buynak, E.B.; Maigetter, R.Z.; Wampler, D.E.; Miller, W.J.; Hilleman, M.R. Human hepatitis B vaccine from recombinant yeast. Nature 1984, 307, 178–180. [Google Scholar] [CrossRef] [PubMed]
- Villa, L.L.; Costa, R.L.R.; Petta, C.A.; Andrade, R.P.; Ault, K.A.; Giuliano, A.R.; Wheeler, C.M.; Koutsky, L.A.; Malm, C.; Lehtinen, M.; et al. Prophylactic quadrivalent human papillomavirus (types 6, 11, 16, and 18) L1 virus-like particle vaccine in young women: A randomised double-blind placebo-controlled multicentre phase II efficacy trial. Lancet Oncol. 2005, 6, 271–278. [Google Scholar] [CrossRef]
- Villa, L.; Costa, R.; Petta, C.; Andrade, R.; Paavonen, J.; Iversen, O.; Olsson, S.; Høye, J.; Steinwall, M.; Riis-Johannessen, G. High sustained efficacy of a prophylactic quadrivalent human papillomavirus types 6/11/16/18 L1 virus-like particle vaccine through 5 years of follow-up. Br. J. Cancer 2006, 95, 1459–1466. [Google Scholar] [CrossRef]
- Dong, X.F.; Natarajan, P.; Tihova, M.; Johnson, J.E.; Schneemann, A. Particle polymorphism caused by deletion of a peptide molecular switch in a quasiequivalent icosahedral virus. J. Virol. 1998, 72, 6024–6033. [Google Scholar] [CrossRef]
- Ding, Y.; Chuan, Y.P.; He, L.; Middelberg, A.P. Modeling the competition between aggregation and self-assembly during virus-like particle processing. Biotechnol. Bioeng. 2010, 107, 550–560. [Google Scholar] [CrossRef]
- Hanslip, S.J.; Zaccai, N.R.; Middelberg, A.P.; Falconer, R.J. Assembly of human papillomavirus type-16 virus-like particles: Multifactorial study of assembly and competing aggregation. Biotechnol. Prog. 2006, 22, 554–560. [Google Scholar] [CrossRef] [PubMed]
- McCarthy, M.P.; White, W.I.; Palmer-Hill, F.; Koenig, S.; Suzich, J.A. Quantitative disassembly and reassembly of human papillomavirus type 11 viruslike particles in vitro. J. Virol. 1998, 72, 32–41. [Google Scholar] [CrossRef]
- Maree, S.; Maree, F.F.; Putterill, J.F.; de Beer, T.A.; Huismans, H.; Theron, J. Synthesis of empty african horse sickness virus particles. Virus Res. 2016, 213, 184–194. [Google Scholar] [CrossRef]
- Maree, S.; Durbach, S.; Huismans, H. Intracellular production of African horsesickness virus core-like particles by expression of the two major core proteins, VP3 and VP7, in insect cells. J. Gen. Virol. 1998, 79, 333–337. [Google Scholar] [CrossRef] [PubMed][Green Version]
- Wilson, W.C.; Ma, H.C.; Venter, E.H.; van Djik, A.A.; Seal, B.S.; Mecham, J.O. Phylogenetic relationships of bluetongue viruses based on gene S7. Virus Res. 2000, 67, 141–151. [Google Scholar] [CrossRef]
- Anthony, S.; Jones, H.; Darpel, K.E.; Elliott, H.; Maan, S.; Samuel, A.; Mellor, P.S.; Mertens, P.P.C. A duplex RT-PCR assay for detection of genome segment 7 (VP7 gene) from 24 BTV serotypes. J. Virol. Methods 2007, 141, 188–197. [Google Scholar] [CrossRef] [PubMed]
- Maree, S.; Paweska, J.T. Preparation of recombinant African horse sickness virus VP7 antigen via a simple method and validation of a VP7-based indirect ELISA for the detection of group-specific IgG antibodies in horse sera. J. Virol. Methods 2005, 125, 55–65. [Google Scholar] [CrossRef]
- Mecham, J.; Wilson, W. Antigen capture competitive enzyme-linked immunosorbent assays using baculovirus-expressed antigens for diagnosis of bluetongue virus and epizootic hemorrhagic disease virus. J. Clin. Microbiol. 2004, 42, 518–523. [Google Scholar] [CrossRef]
- Quan, M.; Lourens, C.W.; MacLachlan, N.J.; Gardner, I.A.; Guthrie, A.J. Development and optimisation of a duplex real-time reverse transcription quantitative PCR assay targeting the VP7 and NS2 genes of African horse sickness virus. J. Virol. Methods 2010, 167, 45–52. [Google Scholar] [CrossRef]
- Yamakawa, M.; Furuuchi, S. Expression and antigenic characterization of the major core protein VP7 of Chuzan virus, a member of the Palyam serogroup orbiviruses. Vet. Microbiol. 2001, 83, 333–341. [Google Scholar] [CrossRef]
- Calvo-Pinilla, E.; Navasa, N.; Anguita, J.; Ortego, J. Multiserotype protection elicited by a combinatorial prime-boost vaccination strategy against bluetongue virus. PLoS ONE 2012, 7, e34735. [Google Scholar] [CrossRef] [PubMed]
- Martinez-Torrecuadrada, J.L.; Diaz-Laviada, M.; Roy, P.; Sanchez, C.; Vela, C.; Sanchez-Vizcaino, J.M.; Casal, J.I. Full protection against African horsesickness (AHS) in horses induced by baculovirus-derived AHS virus serotype 4 VP2, VP5 and VP7. J. Gen. Virol. 1996, 77, 1211–1221. [Google Scholar] [CrossRef] [PubMed]
- Wade-Evans, A.M.; Pullen, L.; Hamblin, C.; O’Hara, R.; Burroughs, J.N.; Mertens, P.P. African horsesickness virus VP7 sub-unit vaccine protects mice against a lethal, heterologous serotype challenge. J. Gen. Virol. 1997, 78, 1611–1616. [Google Scholar] [CrossRef]
- Wade-Evans, A.M.; Romero, C.H.; Mellor, P.; Takamatsu, H.; Anderson, J.; Thevasagayam, J.; Fleming, M.J.; Mertens, P.P.; Black, D.N. Expression of the major core structural protein (VP7) of bluetongue virus, by a recombinant capripox virus, provides partial protection of sheep against a virulent heterotypic bluetongue virus challenge. Virology 1996, 220, 227–231. [Google Scholar] [CrossRef]
- Rutkowska, D.A.; Meyer, Q.C.; Maree, F.; Vosloo, W.; Fick, W.; Huismans, H. The use of soluble African horse sickness viral protein 7 as an antigen delivery and presentation system. Virus Res. 2011, 156, 35–48. [Google Scholar] [CrossRef][Green Version]
- Bekker, S.; Burger, P.; van Staden, V. Analysis of the three-dimensional structure of the African horse sickness virus VP7 trimer by homology modelling. Virus Res. 2017, 232, 80–95. [Google Scholar] [CrossRef]
- Humphrey, W.; Dalke, A.; Schulten, K. VMD: Visual molecular dynamics. J. Mol. Graph. 1996, 14, 33–38. [Google Scholar] [CrossRef]
- Roberts, E.; Eargle, J.; Wright, D.; Luthey-Schulten, Z. MultiSeq: Unifying sequence and structure data for evolutionary analysis. BMC Bioinform. 2006, 7, 382. [Google Scholar] [CrossRef]
- Waterhouse, A.M.; Procter, J.B.; Martin, D.M.A.; Clamp, M.; Barton, G.J. Jalview Version 2-a multiple sequence alignment editor and analysis workbench. Bioinformatics 2009, 25, 1189–1191. [Google Scholar] [CrossRef] [PubMed]
- Wall, G.V.; Rutkowska, D.A.; Mizrachi, E.; Huismans, H.; van Staden, V. A Dual Laser Scanning Confocal and Transmission Electron Microscopy Analysis of the Intracellular Localization, Aggregation and Particle Formation of African Horse Sickness Virus Major Core Protein VP7. Microsc. Microanal. 2017, 23, 56–68. [Google Scholar] [CrossRef] [PubMed]
- Limn, C.K.; Staeuber, N.; Monastyrskaya, K.; Gouet, P.; Roy, P. Functional dissection of the major structural protein of bluetongue virus: Identification of key residues within VP7 essential for capsid assembly. J. Virol. 2000, 74, 8658–8669. [Google Scholar] [CrossRef] [PubMed]
- Betts, M.J.; Russell, R.B. Amino acid properties and consequences of substitutions. Bioinform. Genet. 2003, 317, 289. [Google Scholar]
- Ready, K.; Sabara, M. In vitro assembly of bovine rotavirus nucleocapsid protein. Virology 1987, 157, 189–198. [Google Scholar] [CrossRef]
- Shi, C.-S.; Nabar, N.R.; Huang, N.-N.; Kehrl, J.H. SARS-Coronavirus Open Reading Frame-8b triggers intracellular stress pathways and activates NLRP3 inflammasomes. Cell Death Discov. 2019, 5, 1–12. [Google Scholar] [CrossRef]
- Lee, Y.-N.; Chen, L.-K.; Ma, H.-C.; Yang, H.-H.; Li, H.-P.; Lo, S.-Y. Thermal aggregation of SARS-CoV membrane protein. J. Virol. Methods 2005, 129, 152–161. [Google Scholar] [CrossRef]
- Ghosh, A.; Pithadia, A.S.; Bhat, J.; Bera, S.; Midya, A.; Fierke, C.A.; Ramamoorthy, A.; Bhunia, A. Self-assembly of a nine-residue amyloid-forming peptide fragment of SARS corona virus E-protein: Mechanism of self aggregation and amyloid-inhibition of hIAPP. Biochemistry 2015, 54, 2249–2261. [Google Scholar] [CrossRef]
- Blouin, C.; Butt, D.; Roger, A.J. Rapid evolution in conformational space: A study of loop regions in a ubiquitous GTP binding domain. Protein Sci. 2004, 13, 608–616. [Google Scholar] [CrossRef]
- Panchenko, A.R.; Madej, T. Analysis of protein homology by assessing the (dis) similarity in protein loop regions. Proteins Struct. Funct. Bioinform. 2004, 57, 539–547. [Google Scholar] [CrossRef]
- Fetrow, J.S. Omega loops: Nonregular secondary structures significant in protein function and stability. FASEB J. 1995, 9, 708–717. [Google Scholar] [CrossRef]
- Kim, S.T.; Shirai, H.; Nakajima, N.; Higo, J.; Nakamura, H. Enhanced conformational diversity search of CDR-H3 in antibodies: Role of the first CDR-H3 residue. Proteins Struct. Funct. Bioinform. 1999, 37, 683–696. [Google Scholar] [CrossRef]
- Fritz-Wolf, K.; Schnyder, T.; Wallimann, T.; Kabsch, W. Structure of mitochondrial creatine kinase. Nature 1996, 381, 341–345. [Google Scholar] [CrossRef] [PubMed]
- Saraste, M.; Sibbald, P.R.; Wittinghofer, A. The P-loop—a common motif in ATP-and GTP-binding proteins. Trends Biochem. Sci. 1990, 15, 430–434. [Google Scholar] [CrossRef]
- Maree, F.F. Multimeric Protein Structures of African Horsesickness Virus and Their Use as Antigen Delivery Systems. Ph.D. Thesis, University of Pretoria, Pretoria, South Africa, 2000. [Google Scholar]







| Modified VP7 | dsDNA Fragment |
|---|---|
| VP7-45 | TATAATGGTTTAACATTACGAGGAGTATCGATGAGGCCAACCACCTTAGCAGAACGAAATGAAATGTTTTTTATGTGTACTGATATGGTTTTAGCGGCGCTGAACGTCCAAATTGGGCCGATTTCACCAGATTATACTCAACATTTGGCAACTGTGGGA |
| VP7-131 | ACGGGGCCTTATGCAGAAGCGGAGGAGGTGCAACAATCTGGCAGATATTACGTACCGCAAGGTCGAACGCGTGGTGGGGTGATCAATTCAAATATTGCAGAAGTGTGTATGGATGCAGGTGCTGCGGGACAGGTCAATCAGCTGCTACAGGGTCGTAAT---GAT---CCCGTCATGATCTATTTCGTTTGGAGAAGATTGCGTATATTTTGTGATCCTCAAGGTGCGTCACTTGAGAGCGCTCCAGGAACTTTTGTCACCGTTGATGGAGTAAATGTTAGGGCTGGACGCGTCGTCGCATGGAAT |
| VP7-136 | GGAGCGGTTGAGGTGTTCCAATCTGGCAGATATTACGTACGCGCAGCTCAAGCAGTAACTGGTGTATACATCAATTCAAATATTGCAGAAGTGTGTATGGATGCAGGTGCTAGAGGACAGGTCAATGCGCTGCTAGCCCCAAGGAGGGGAGACGCAGTCATGATCTATTTCGTTTGGAGAAGATTGCGTATATTTTGTGATCCTCAAGGTGCGTCACTTGAGAGCCAAGCGGGAACTACTGTCACCGTTGATGGAGTAAATGTTGCAGCTGGAGATGTCGTCGCATGGAATACTATTGCACCAGTGAATGTTCATAATCCGACACAACAGAATTCAATTTTACAGTTT |
| VP7-172 | GCGGGACAGGTCAATCAGATATTTCAGGGTCGTAAT---GAT---CCCGTCATGATCTATTTC |
| VP7-193 | GGAGACCGTTGCGTAACTTTTGTATGGCGCAAGGTAATTCACAGGAGAGCGCTCCAGGA |
| VP7-276 | ATGCGTATGTCTCTCACACTTGGCACGCATTACGCGCTGTCATTTTTCAGCAGATGAATATGCAGCCTATTAATCCGCCGATTTTTCCACCGACTGAAAGGAATGAAATTGTTGCGTATCTATTAGTAGCTTCTTTAGCTGATGTGTATGCGGCTTTGAGACCAGATTTCGCGATGAATGGTGTTAATCCGATGCCAGGGCCGATTAACAGAGCTCT |
| Substitution | Amino Acid Property | Charge | Side-Chain | Hydrophobicity 1 | Size | Surface Preference | Hydrogen Bonding? |
|---|---|---|---|---|---|---|---|
| Pro276His | Non-polar → Basic | 0 → + | Cyclic → Aromatic | Phob → Phil | Small → Large | Surface → Surface | No → Yes |
| * Arg328Ala | * Basic → Non-polar | * + → 0 | Charged → Aliphatic | Phil → Phob | * Large → Small | Surface → Buried | * Yes → No |
| Val333Asn | * Non-polar → Polar | 0 → 0 | Acyclic → Acyclic | Phob → Phil | Medium → Medium | Buried → Surface | * No → Yes |
| Ala334Pro | Non-polar → Non-polar | 0 → 0 | Cyclic → Acyclic | Phob → Phob | Small → Small | Buried → Surface | No → No |
| Pro335Met | Non-polar → Non-polar | 0 → 0 | Cyclic → Acyclic | Phob → Phob | Small → Large | Surface → Buried | No → No |
| Val336Pro | Non-polar → Non-polar | 0 → 0 | Acyclic → Cyclic | Phob → Phob | Medium → Small | Buried → Surface | No → No |
| * Gln338Pro | * Polar → Non-polar | 0 → 0 | * Acyclic → Cyclic | Phil → Phob | * Large → Small | Surface → Surface | * Yes → No |
Publisher’s Note: MDPI stays neutral with regard to jurisdictional claims in published maps and institutional affiliations. |
© 2022 by the authors. Licensee MDPI, Basel, Switzerland. This article is an open access article distributed under the terms and conditions of the Creative Commons Attribution (CC BY) license (https://creativecommons.org/licenses/by/4.0/).
Share and Cite
Bekker, S.; Huismans, H.; van Staden, V. Generation of a Soluble African Horse Sickness Virus VP7 Protein Capable of Forming Core-like Particles. Viruses 2022, 14, 1624. https://doi.org/10.3390/v14081624
Bekker S, Huismans H, van Staden V. Generation of a Soluble African Horse Sickness Virus VP7 Protein Capable of Forming Core-like Particles. Viruses. 2022; 14(8):1624. https://doi.org/10.3390/v14081624
Chicago/Turabian StyleBekker, Shani, Henk Huismans, and Vida van Staden. 2022. "Generation of a Soluble African Horse Sickness Virus VP7 Protein Capable of Forming Core-like Particles" Viruses 14, no. 8: 1624. https://doi.org/10.3390/v14081624
APA StyleBekker, S., Huismans, H., & van Staden, V. (2022). Generation of a Soluble African Horse Sickness Virus VP7 Protein Capable of Forming Core-like Particles. Viruses, 14(8), 1624. https://doi.org/10.3390/v14081624

