Effective Infection with Dengue Virus in Experimental Neonate and Adult Mice through the Intranasal Route
Abstract
1. Introduction
2. Methods
2.1. Cells and Viruses
2.2. Animal Infection
2.3. RNA Isolation and qRT-PCR
2.4. Immunofluorescence Staining
2.5. Histopathology Staining
2.6. Transmission Electron Microscopy
2.7. Virus Isolation and Identification
2.8. DENV-2 Genome Sequencing and Analysis
2.9. Plaque Assay
2.10. Ethics Statement
2.11. Data Analysis
3. Results
3.1. Suckling Mice Can Be Efficiently Infected by DENV-2 via the Intranasal Route
3.2. Brain Is the Main Target of DENV-2 after Intranasal Inoculation
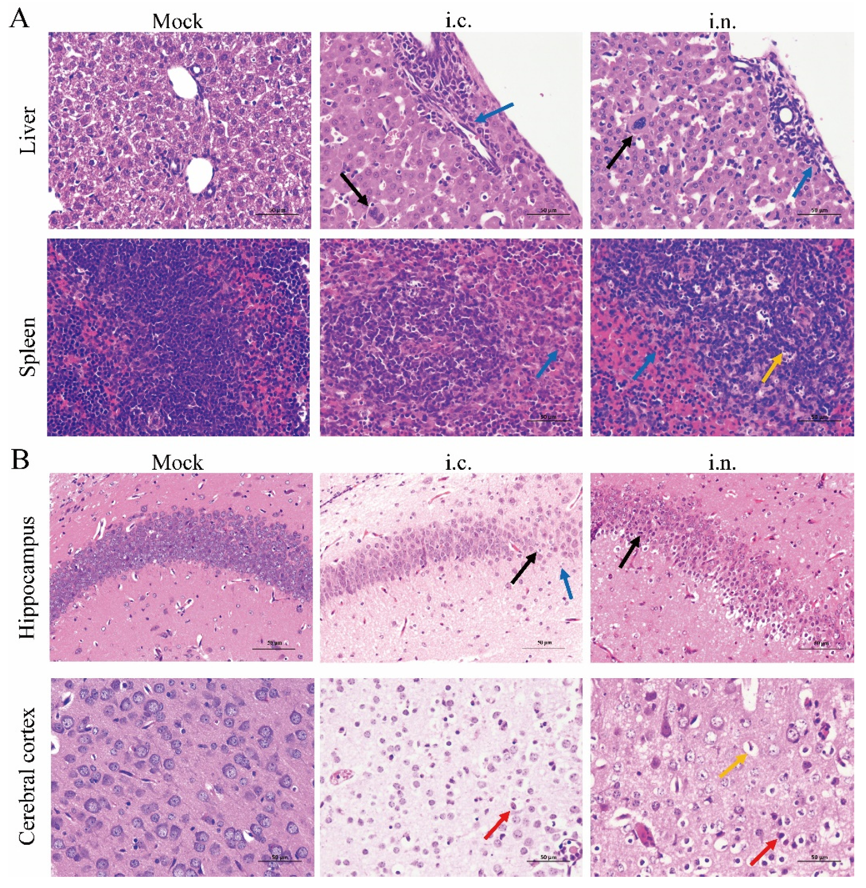
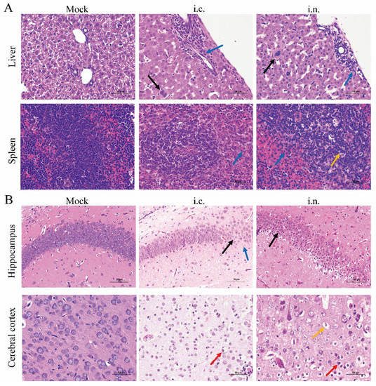
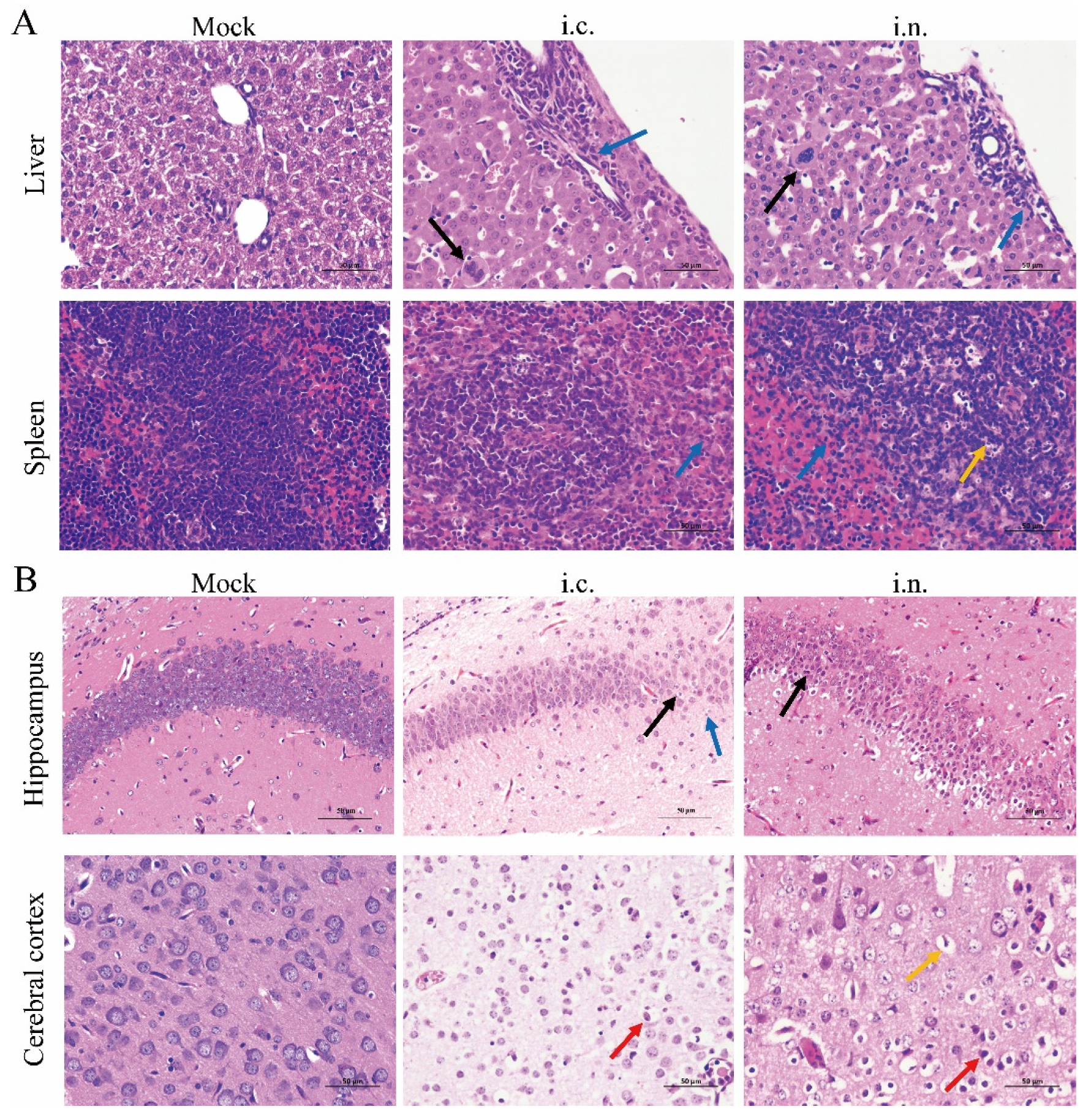
3.3. Histopathological Changes in Multiple Organs of Mice after Intranasal Inoculation
3.4. DENV-2 Can Be Isolated from Intranasally Inoculated Mice and Efficiently Replicate in Vero Cells
3.5. Adult A6 Mice Can Be Efficiently Infected by DENV-2 via the Intranasal Route
4. Discussion
Supplementary Materials
Author Contributions
Funding
Institutional Review Board Statement
Informed Consent Statement
Data Availability Statement
Acknowledgments
Conflicts of Interest
References
- Messina, J.P.; Brady, O.J.; Golding, N.; Kraemer, M.U.; Wint, G.R.; Ray, S.E.; Pigott, D.M.; Shearer, F.M.; Johnson, K.; Earl, L.; et al. The current and future global distribution and population at risk of dengue. Nat. Microbiol. 2019, 4, 1508–1515. [Google Scholar] [CrossRef] [PubMed]
- Brady, O. Mapping the emerging burden of dengue. eLife 2019, 8, e47458. [Google Scholar] [CrossRef]
- Guzman, M.G.; Harris, E. Dengue. Lancet 2015, 385, 453–465. [Google Scholar] [CrossRef]
- Brady, O.J.; Gething, P.W.; Bhatt, S.; Messina, J.P.; Brownstein, J.S.; Hoen, A.G.; Moyes, C.L.; Farlow, A.W.; Scott, T.W.; Hay, S.I.; et al. Refining the global spatial limits of dengue virus transmission by evidence-based consensus. PLoS Negl. Trop. Dis. 2012, 6, e1760. [Google Scholar] [CrossRef] [PubMed]
- Hirsch, J.F.; Deschamps, C.; Lhuillier, M. Metropolitan transmission of dengue by accidental inoculation at a hospital. Ann. Med. Intern. 1990, 141, 629. [Google Scholar]
- Wagner, D.; de With, K.; Huzly, D.; Hufert, F.; Weidmann, M.; Breisinger, S.; Eppinger, S.; Kern, W.V.; Bauer, T.M. Nosocomial acquisition of dengue. Emerg. Infect. Dis. 2004, 10, 1872–1873. [Google Scholar] [CrossRef] [PubMed]
- Thaithumyanon, P.; Thisyakorn, U.; Deerojnawong, J.; Innis, B.L. Dengue infection complicated by severe hemorrhage and vertical transmission in a parturient woman. Clin. Infect. Dis. 1994, 18, 248–249. [Google Scholar] [CrossRef]
- Arragain, L.; Dupont-Rouzeyrol, M.; O’Connor, O.; Sigur, N.; Grangeon, J.-P.; Huguon, E.; Dechanet, C.; Cazorla, C.; Gourinat, A.-C.; Descloux, E.; et al. Vertical transmission of dengue virus in the peripartum period and viral kinetics in newborns and breast milk: New data. J. Pediatr. Infect. Dis. Soc. 2017, 6, 324–331. [Google Scholar] [CrossRef]
- Alter, H.J.; Stramer, S.L.; Dodd, R.Y. Emerging infectious diseases that threaten the blood supply. Semin. Hematol. 2007, 44, 32–41. [Google Scholar] [CrossRef]
- Saigal, S.; Choudhary, N.S.; Saraf, N.; Kataria, S.; Mohanka, R.; Soin, A.S. Transmission of dengue virus from a donor to a recipient after living donor liver transplantation. Liver Transpl. 2013, 19, 1413–1414. [Google Scholar] [CrossRef]
- Gupta, V.; Bhoi, S.; Goel, A.; Admane, S. Nosocomial dengue in health-care workers. Lancet 2008, 371, 299. [Google Scholar] [CrossRef]
- Deng, Y.Q.; Zhang, N.N.; Li, X.F.; Wang, Y.Q.; Tian, M.; Qiu, Y.F.; Fan, J.W.; Hao, J.N.; Huang, X.Y.; Dong, H.L.; et al. Intranasal infection and contact transmission of Zika virus in guinea pigs. Nat. Commun. 2017, 8, 1648. [Google Scholar] [CrossRef] [PubMed]
- Chai, C.; Palinski, R.; Xu, Y.; Wang, Q.; Cao, S.; Geng, Y.; Zhao, Q.; Wen, Y.; Huang, X.; Yan, Q.; et al. Aerosol and contact transmission following intranasal infection of mice with Japanese encephalitis virus. Viruses 2019, 11, 87. [Google Scholar] [CrossRef] [PubMed]
- Nir, Y.; Beemer, A.; Goldwasser, R.A. West Nile Virus infection in mice following exposure to a viral aerosol. Br. J. Exp. Pathol. 1965, 46, 443–449. [Google Scholar] [PubMed]
- Brooks, T.J.; Phillpotts, R.J. Interferon-alpha protects mice against lethal infection with St Louis encephalitis virus delivered by the aerosol and subcutaneous routes. Antivir. Res. 1999, 41, 57–64. [Google Scholar] [CrossRef]
- Aaron, S.; McMahon, J.M.; Milano, D.; Torres, L.; Clatts, M.; Tortu, S.; Mildvan, D.; Simm, M. Intranasal transmission of hepatitis C virus: Virological and clinical evidence. Clin. Infect. Dis. 2008, 47, 931–934. [Google Scholar] [CrossRef] [PubMed]
- Gregory, C.J.; Santiago, L.M.; Argüello, D.F.; Hunsperger, E.; Tomashek, K.M. Clinical and laboratory features that differentiate dengue from other febrile illnesses in an endemic area—Puerto Rico, 2007–2008. Am. J. Trop. Med. Hyg. 2010, 82, 922–929. [Google Scholar] [CrossRef]
- Cheng, N.M.; Sy, C.L.; Chen, B.C.; Huang, T.S.; Lee, S.S.J.; Chen, Y.S. Isolation of dengue virus from the upper respiratory tract of four patients with dengue fever. PLoS Negl. Trop. Dis. 2017, 11, e0005520. [Google Scholar] [CrossRef]
- Tavakoli, N.P.; Tobin, E.H.; Wong, S.J.; Dupuis, A.P.; Glasheen, B.; Kramer, L.D.; Bernard, K.A. Identification of dengue virus in respiratory specimens from a patient who had recently traveled from a region where dengue virus infection is endemic. J. Clin. Microbiol. 2007, 45, 1523–1527. [Google Scholar] [CrossRef]
- Korhonen, E.M.; Huhtamo, E.; Virtala, A.M.; Kantele, A.; Vapalahti, O. Approach to non-invasive sampling in dengue diagnostics: Exploring virus and NS1 antigen detection in saliva and urine of travelers with dengue. J. Clin. Virol. 2014, 61, 353–358. [Google Scholar] [CrossRef]
- Dhenni, R.; Karyanti, M.R.; Putri, N.D.; Yohan, B.; Yudhaputri, F.A.; Ma’roef, C.N.; Fadhilah, A.; Perkasa, A.; Restuadi, R.; Trimarsanto, H.; et al. Isolation and complete genome analysis of neurotropic dengue virus serotype 3 from the cerebrospinal fluid of an encephalitis patient. PLoS Negl. Trop. Dis. 2018, 12, e0006198. [Google Scholar] [CrossRef] [PubMed]
- Lee, Y.R.; Hu, H.Y.; Kuo, S.H.; Lei, H.Y.; Lin, Y.S.; Yeh, T.M.; Liu, C.C.; Liu, H.S. Dengue virus infection induces autophagy: An in vivo study. J. Biomed. Sci. 2013, 20, 65. [Google Scholar] [CrossRef] [PubMed]
- Lee, Y.R.; Wu, S.Y.; Chen, R.Y.; Lin, Y.S.; Yeh, T.M.; Liu, H.S. Regulation of autophagy, glucose uptake, and glycolysis under dengue virus infection. Kaohsiung J. Med. Sci. 2020, 36, 911–919. [Google Scholar] [CrossRef] [PubMed]
- Orozco, S.; Schmid, M.A.; Parameswaran, P.; Lachica, R.; Henn, M.R.; Beatty, R.; Harris, E. Characterization of a model of lethal dengue virus 2 infection in C57BL/6 mice deficient in the alpha/beta interferon receptor. J. Gen. Virol. 2012, 93, 2152–2157. [Google Scholar] [CrossRef]
- Sabin, A.B. Research on dengue during World War II. Am. J. Trop. Med. Hyg. 1952, 1, 30–50. [Google Scholar] [CrossRef]
- Hiscott, J.; Wilder-Smith, A. Editorial overview: The challenge to defeat dengue. Curr. Opin. Virol. 2020, 43, iii–v. [Google Scholar] [CrossRef]
- Lee, Y.R.; Su, C.Y.; Chow, N.H.; Lai, W.W.; Lei, H.Y.; Chang, C.L.; Chang, T.Y.; Chen, S.H.; Lin, Y.S.; Ye, T.M.; et al. Dengue viruses can infect human primary lung epithelia as well as lung carcinoma cells, and can also induce the secretion of IL-6 and RANTES. Virus Res. 2007, 126, 216–225. [Google Scholar] [CrossRef]
- Porzia, A.; Cavaliere, C.; Begvarfaj, E.; Masieri, S.; Mainiero, F. Human nasal immune system: A special site for immune response establishment. J. Biol. Regul. Homeost. 2018, 32 (Suppl. 1), 3–8. [Google Scholar]
- Blackley, S.; Kou, Z.; Chen, H.; Quinn, M.; Rose, R.C.; Schlesinger, J.J.; Coppage, M.; Jin, X. Primary human splenic macrophages, but not T or B cells, are the principal target cells for dengue virus infection in vitro. J. Virol. 2007, 81, 13325–13334. [Google Scholar] [CrossRef][Green Version]
- Paul, A.M.; Acharya, D.; Duty, L.; Thompson, E.A.; Le, L.; Stokic, D.S.; Leis, A.A.; Bai, F. Osteopontin facilitates West Nile virus neuroinvasion via neutrophil “Trojan horse” transport. Sci. Rep. 2017, 7, 4722. [Google Scholar] [CrossRef]
- Verma, S.; Lo, Y.; Chapagain, M.; Lum, S.; Kumar, M.; Gurjav, U.; Luo, H.; Nakatsuka, A.; Nerurkar, V.R. West Nile virus infection modulates human brain microvascular endothelial cells tight junction proteins and cell adhesion molecules: Transmigration across the in vitro blood–brain barrier. Virology 2009, 385, 425–433. [Google Scholar] [CrossRef] [PubMed]
- Feng, T.; Zhang, J.; Chen, Z.; Pan, W.; Chen, Z.; Yan, Y.; Dai, J. Glycosylation of viral proteins: Implication in virus-host interaction and virulence. Virulence 2022, 13, 670–683. [Google Scholar] [CrossRef] [PubMed]
- Lee, C.; Lee, H. Probable female to male sexual transmission of dengue virus infection. Infect. Dis. 2019, 51, 150–152. [Google Scholar] [CrossRef] [PubMed]
- Liew, C.H. The first case of sexual transmission of dengue in Spain. J. Travel Med. 2020, 27, taz087. [Google Scholar] [CrossRef]
- Telle, O.; Nikolay, B.; Kumar, V.; Benkimoun, S.; Pal, R.; Nagpal, B.N.; Paul, R.E. Social and environmental risk factors for dengue in Delhi city: A retrospective study. PLoS Negl. Trop. Dis. 2021, 15, e0009024. [Google Scholar] [CrossRef]
- Gubler, D.J. Dengue and dengue hemorrhagic fever. Clin. Microbiol. Rev. 1998, 11, 480–496. [Google Scholar] [CrossRef]
- Chen, L.H.; Wilson, M.E. Transmission of dengue virus without a mosquito vector: Nosocomial mucocutaneous transmission and other routes of transmission. Clin. Infect. Dis. 2004, 39, e56–e60. [Google Scholar] [CrossRef]
- Shaji Mathew, J.; Menon, V.P.; Menon, V.P.; Mallick, S.; Sivasankara Pillai Thankamony Amma, B.; Balakrishnan, D.; Gopalakrishnan, U.; Narayana Menon, R.; Athira, P.P.; Jagan, O.A.; et al. Dengue virus transmission from live donor liver graft. Am. J. Transpl. 2019, 19, 1838–1846. [Google Scholar] [CrossRef]
- Britton, S.; van den Hurk, A.F.; Simmons, R.J.; Pyke, A.T.; Northill, J.A.; McCarthy, J.; McCormack, J. Laboratory-acquired dengue virus infection—A case report. PLoS Negl. Trop. Dis. 2011, 5, e1324. [Google Scholar] [CrossRef]
- Chow, B.W.; Gu, C. The molecular constituents of the blood–brain barrier. Trends Neurosci. 2015, 38, 598–608. [Google Scholar] [CrossRef]
- Malavige, G.N.; Ranatunga, P.K.; Jayaratne, S.D.; Wijesiriwardana, B.; Seneviratne, S.L.; Karunatilaka, D.H. Dengue viral infections as a cause of encephalopathy. Indian J. Med. Microbiol. 2007, 25, 143–145. [Google Scholar] [CrossRef]
- Rather, I.A.; Parray, H.A.; Lone, J.B.; Paek, W.K.; Lim, J.; Bajpai, V.K.; Park, Y.H. Prevention and control strategies to counter dengue virus infection. Front. Cell Infect. Microbiol. 2017, 7, 336. [Google Scholar] [CrossRef] [PubMed]
- Azmawati, M.N.; Aniza, I.; Ali, M. Evaluation of communication for behavioral impact (COMBI) program in dengue prevention: A qualitative and quantitative study in Selangor, Malaysia. Iran J. Public Health 2013, 42, 538–539. [Google Scholar] [PubMed]





Publisher’s Note: MDPI stays neutral with regard to jurisdictional claims in published maps and institutional affiliations. |
© 2022 by the authors. Licensee MDPI, Basel, Switzerland. This article is an open access article distributed under the terms and conditions of the Creative Commons Attribution (CC BY) license (https://creativecommons.org/licenses/by/4.0/).
Share and Cite
Qiu, M.; Zhao, L.; Zhang, J.; Wang, Y.; Liu, M.; Hua, D.; Ding, X.; Zhou, X.; Zeng, J.; Yan, H.; et al. Effective Infection with Dengue Virus in Experimental Neonate and Adult Mice through the Intranasal Route. Viruses 2022, 14, 1394. https://doi.org/10.3390/v14071394
Qiu M, Zhao L, Zhang J, Wang Y, Liu M, Hua D, Ding X, Zhou X, Zeng J, Yan H, et al. Effective Infection with Dengue Virus in Experimental Neonate and Adult Mice through the Intranasal Route. Viruses. 2022; 14(7):1394. https://doi.org/10.3390/v14071394
Chicago/Turabian StyleQiu, Minyue, Lixin Zhao, Junjie Zhang, Yalan Wang, Minchi Liu, Dong Hua, Xiaoyan Ding, Xiaoyang Zhou, Jie Zeng, Huacheng Yan, and et al. 2022. "Effective Infection with Dengue Virus in Experimental Neonate and Adult Mice through the Intranasal Route" Viruses 14, no. 7: 1394. https://doi.org/10.3390/v14071394
APA StyleQiu, M., Zhao, L., Zhang, J., Wang, Y., Liu, M., Hua, D., Ding, X., Zhou, X., Zeng, J., Yan, H., & Li, J. (2022). Effective Infection with Dengue Virus in Experimental Neonate and Adult Mice through the Intranasal Route. Viruses, 14(7), 1394. https://doi.org/10.3390/v14071394

