Punica granatum Peel and Leaf Extracts as Promising Strategies for HSV-1 Treatment
Abstract
1. Introduction
2. Materials and Methods
2.1. Chemicals
2.2. Plant Material and Extract Preparation
2.3. Total Phenols
2.4. Flavonoid Determination
2.5. Determination of Polyphenolic Profile by LC-PDA-ESI-MS Analysis
2.6. Antioxidants Assay
2.6.1. DPPH Radical Scavenging Assay
2.6.2. Ferric Reducing Antioxidant Power Assay (FRAP Assay)
2.7. Cells Culture and Virus
2.8. Cell Proliferation Assay
2.9. Plaque Reduction Assay
2.10. The Binding Assay
2.11. Protein Extraction and Immunoblot Analysis
2.12. Viral DNA Extraction and Real Time-PCR
2.13. RNA Extraction and Real Time-PCR
2.14. Antimicrobial Assay
2.14.1. Microbial Strains and Culture Conditions
2.14.2. Susceptibility Assays
2.15. Statistical Analysis
3. Results
3.1. Phytochemical Analysis
3.2. Antioxidant Activity
3.3. Cytotoxicity of Pomegranate Crude Extracts on Cell Cultures
3.4. Antiviral Effect of PLE and PPE
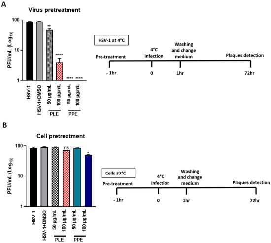
3.5. PLE and PPE Prevent the Binding of HSV-1 on Vero Cells
3.6. Antiviral Activity of PPE and PLE Compounds
3.7. Antimicrobial Potential
4. Discussion
5. Conclusions
Author Contributions
Funding
Institutional Review Board Statement
Informed Consent Statement
Data Availability Statement
Acknowledgments
Conflicts of Interest
References
- Mansour, E.; Ben Khaled, A.; Hadpdapda, M.; Abid, M.; Ferchichi, A. Selection of pomegranate (Punica granatum L.) in south-eastern Tunisia. Afr. J. Biotechnol. 2011, 10, 9352–9361. [Google Scholar]
- Jabnoun-Khiareddin, H.; Ibrahim, N.; Abdallah, R.; Mars, M.; Daami-Remadi, M. Response of Tunisian Pomegranate (Punica granatum L.) Cultivars and Several Plant Hosts to Coniellagranati (Saccardo). J. Hortic. 2018, 5, 4. [Google Scholar] [CrossRef]
- Mirjalili, S. A review on biochemical constituents and medicinal properties of pomegranate (Punica granatum L.). J. Med. Plants 2015, 4, 1–22. [Google Scholar]
- Melgarejo, P.; Salazar, D.M.; Artes, F. Organic acids and sugars composition of harvested pomegranate fruits. Eur. Food Res. Technol. 2000, 211, 185–190. [Google Scholar] [CrossRef]
- Fellah, B.; Bannour, M.; Rocchetti, G.; Lucini, L.; Ferchichi, A. Phenolic profiling and antioxidant capacity in flowers, leaves and peels of Tunisian cultivars of Punica granatum L. J. Food Sci. Technol. 2018, 55, 3606–3615. [Google Scholar] [CrossRef]
- Murthy, K.N.; Jayaprakasha, G.K.; Singh, R.P. Studies on antioxidant activity of pomegranate (Punica granatum) peel extract using in vivo models. J. Agric. Food Chem. 2002, 50, 4791–4795. [Google Scholar] [CrossRef]
- Musarra-Pizzo, M.; Ginestra, G.; Smeriglio, A.; Pennisi, R.; Sciortino, M.T.; Mandalari, G. The Antimicrobial and Antiviral Activity of Polyphenols from Almond (Prunus dulcis L.) Skin. Nutrients 2019, 11, 2355. [Google Scholar] [CrossRef]
- Lansky, E.P.; Newman, R.A. Punica granatum (pomegranate) and its potential for prevention and treatment of inflammation and cancer. J. Ethnopharmacol. 2007, 109, 177–206. [Google Scholar] [CrossRef]
- Sharifiyan, F.; Movahedian-Attar, A.; Nili, N.; Asgary, S. Study of pomegranate (Punica granatum L.) peel extract containing anthocyanins on fatty streak formation in the renal arteries in hypercholesterolemic rabbits. Adv. Biomed. Res. 2016, 5, 8. [Google Scholar]
- Musarra-Pizzo, M.; Pennisi, R.; Ben-Amor, I.; Mandalari, G.; Sciortino, M.T. Antiviral Activity Exerted by Natural Products against Human Viruses. Viruses 2021, 13, 828. [Google Scholar] [CrossRef]
- Kamble, V.A.; Patil, S.D. Spice-derived essential oils: Effective antifungal and possible therapeutic agents. J. HERBS Spices Med. Plants 2008, 14, 129–143. [Google Scholar] [CrossRef]
- Singh, B.; Singh, J.P.; Kaur, A.; Singh, N. Antimicrobial potential of pomegranate peel: A review. Int. J. Food Sci. Technol. 2019, 54, 959–965. [Google Scholar] [CrossRef]
- Attia, E.A. Antimicrobial activity and bio-active compounds analysis in ethanolic plant extracts of Punica grantanum (pomegranate) using GC-MS. Egypt. J. Exp. Biol. 2019, 15, 325–331. [Google Scholar] [CrossRef]
- Nonaka, G.; Nishioka, I.; Nishizawa, M.; Yamagishi, T.; Kashiwada, Y.; Dutschman, G.E.; Bodner, A.J.; Kilkuskie, R.E.; Cheng, Y.C.; Lee, K.H. Anti-AIDS agents, 2: Inhibitory effect of tannins on HIV reverse transcriptase and HIV replication in H9 lymphocyte cells. J. Nat. Prod. 1990, 53, 587–595. [Google Scholar] [CrossRef] [PubMed]
- Haidari, M.; Ali, M.; Casscells, S.W.; Madjid, M. Pomegranate (Punica granatum) purified polyphenol extract inhibits influenza virus and has a synergistic effect with oseltamivir. Phytomedicine 2009, 16, 1127–1136. [Google Scholar] [CrossRef]
- Lin, L.T.; Chen, T.Y.; Chung, C.Y.; Noyce, R.S.; Grindley, T.B.; McCormick, C.; Lin, T.C.; Wang, G.H.; Lin, C.C.; Richardson, C.D. Hydrolyzable tannins (chebulagic acid and punicalagin) target viral glycoprotein-glycosaminoglycan interactions to inhibit herpes simplex virus-1 entry and cell-to-cell spread. J. Virol. 2011, 85, 4386–4398. [Google Scholar] [CrossRef]
- Kostka, T.; Ostberg-Potthoff, J.J.; Briviba, K.; Matsugo, S.; Winterhalter, P.; Esatbeyoglu, T. Pomegranate (Punica granatum L.) Extract and Its Anthocyanin and Copigment Fractions-Free Radical Scavenging Activity and Influence on Cellular Oxidative Stress. Foods 2020, 9, 1617. [Google Scholar] [CrossRef]
- Sudheesh, S.; Soumya, K.; James, J. A novel chalcone derivative from Punica granatum peel inhibits LOX/COX enzyme activity. Beni-Suef Univ. J. Basic Appl. Sci. 2018, 7, 593–597. [Google Scholar]
- Spilmont, M.; Léotoing, L.; Davicco, M.J.; Lebecque, P.; Miot-Noirault, E.; Pilet, P.; Rios, L.; Wittrant, Y.; Coxam, V. Pomegranate peel extract prevents bone loss in a preclinical model of osteoporosis and stimulates osteoblastic differentiation in vitro. Nutrients 2015, 7, 9265–9284. [Google Scholar] [CrossRef]
- Whitley, R.J. Herpes simplex encephalitis: Adolescents and adults. Antivir. Res. 2006, 71, 141–148. [Google Scholar] [CrossRef]
- Pennisi, R.; Musarra-Pizzo, M.; Lei, Z.; Zhou, G.G.; Sciortino, M.T. VHS, US3 and UL13 viral tegument proteins are required for Herpes Simplex Virus-Induced modification of protein kinase R. Sci. Rep. 2020, 10, 5580. [Google Scholar] [CrossRef]
- Ghaffari, H.; Ataei-Pirkooh, A.; Mirghazanfari, S.M.; Barati, M. Inhibition of herpes simplex virus type 1 infection by Sambucus ebulus extract in vitro. Med. J. Islam. Repub. Iran 2021, 35, 9. [Google Scholar] [CrossRef] [PubMed]
- Piret, J.; Boivin, G. Antiviral resistance in Herpes simplex virus and Varicella-zoster virus infections: Diagnosis and management. Curr. Opin. Infect. Dis. 2016, 29, 654–662. [Google Scholar] [CrossRef] [PubMed]
- Greuter, W.; Burdet, H.M.; Long, G. Med-Checklist. A Critical Inventory of Vascular Plants of the Circum Mediterranean Countries; Conservatoire et jardin botaniques: Genève, Switzerland, 1989; Volume 4, pp. 91–105. [Google Scholar]
- Chaieb, M.; Boukhris, M. Flore: Succinte et Illustreé des Zones Arides et Sahariennes de Tunisie; ATPNE: Sfax, Tunis, 1998; p. 290. [Google Scholar]
- Smeriglio, A.; Denaro, M.; Trombetta, D.; Ragusa, S.; Circosta, C. New Insights on Euphorbia dendroides L. (Euphorbiaceae): Polyphenol Profile and Biological Properties of Hydroalcoholic Extracts from Aerial Parts. Plants 2021, 10, 1621. [Google Scholar] [CrossRef] [PubMed]
- Kirby, A.J.; Schmidt, R.J. Chinese herbs for eczema and of placebo herbs-I. J. Ethnopharmacol. 1997, 56, 103–108. [Google Scholar] [CrossRef] [PubMed]
- Elaguel, A.; Kallel, I.; Gargouri, B.; Ben Amor, I.; Hadrich, B.; Ben Messaoud, E.; Gdoura, R.; Lassoued, S.; Gargouri, A. Lawsoniainermis essential oil: Extraction optimization by RSM, antioxidant activity, lipid peroxydation and antiproliferative effects. Lipids Health Dis. 2019, 18, 196. [Google Scholar] [CrossRef] [PubMed]
- Oyaizu, M. Studies on products of browning reaction. Antioxidative activities of products of browning reaction prepared from glucosamine. Jpn. J. Nutr. Diet. 1986, 44, 307–315. [Google Scholar] [CrossRef]
- Ben-Amor, I.; Gargouri, B.; Attia, H.; Tlili, K.; Kallel, I.; Musarra-Pizzo, M.; Sciortino, M.T.; Pennisi, R. In Vitro Anti-Epstein Barr Virus Activity of Olea europaea L. Leaf Extracts. Plants 2021, 10, 2445. [Google Scholar] [CrossRef]
- Bisignano, C.; Mandalari, G.; Smeriglio, A.; Trombetta, D.; Pizzo, M.M.; Pennisi, R.; Sciortino, M.T. Almond Skin Extracts Abrogate HSV-1 Replication by Blocking Virus Binding to the Cell. Viruses 2017, 9, 178. [Google Scholar] [CrossRef]
- CLSI M100-S22; Institute Performance Standards for Antimicrobial Susceptibility Testing. Twentieth Informational Supplement; Clinical and Laboratory Standards Institute (CLSI): Wayne, PA, USA, 2012.
- CLSI M27-A3; Clinical and Laboratory Standards Institute Reference Method for Broth Dilution Antifungal Susceptibility Testing of Yeasts, Approved Standard. Clinical and laboratory Standards Institute (CLSI): Wayne, PA, USA, 2008.
- Gómez-Caravaca, A.M.; Verardo, V.; Toselli, M.; Segura-Carretero, A.; Fernández-Gutiérrez, A.; Caboni, M.F. Determination of the major phenolic compounds in pomegranate juices by HPLC−PDAPDA−ESI-MS. J. Agric. Food Chem. 2013, 61, 5328–5337. [Google Scholar] [CrossRef]
- Li, J.; He, X.; Li, M.; Zhao, W.; Liu, L.; Kong, X. Chemical fingerprint and quantitative analysis for quality control of polyphenols extracted from pomegranate peel by HPLC. Food Chem. 2015, 176, 7–11. [Google Scholar] [CrossRef] [PubMed]
- Brighenti, V.; Groothuis, S.F.; Prencipe, F.P.; Amir, R.; Benvenuti, S.; Pellati, F. Metabolite fingerprinting of Punica granatum L. (pomegranate) polyphenols by means of high-performance liquid chromatography with diode array and electrospray ionization-mass spectrometry detection. J. Chromatogr. A 2017, 1480, 20–31. [Google Scholar] [CrossRef] [PubMed]
- Russo, M.; Fanali, C.; Tripodo, G.; Dugo, P.; Muleo, R.; Dugo, L.; De Gara, L.; Mondello, L. Analysis of phenolic compounds in different parts of pomegranate (Punica granatum) fruit by HPLC-PDA-ESI/MS and evaluation of their antioxidant activity: Application to different Italian varieties. Anal. Bioanal. Chem. 2018, 410, 3507–3520. [Google Scholar] [CrossRef] [PubMed]
- Ding, W.; Wang, H.; Zhou, Q.; Wu, C.; Gao, X.; Cheng, X.; Tian, L.; Wang, C. Simultaneous determination of polyphenols and triterpenes in pomegranate peel based on high-performance liquid chromatography fingerprint by solvent extraction and ratio blending method in tandem with wavelength switching. Biomed. Chromatogr. 2019, 33, e4690. [Google Scholar] [CrossRef]
- Hernández-Corroto, E.; Marina, M.L.; García, M.C. Extraction and identification by high resolution mass spectrometry of bioactive substances in different extracts obtained from pomegranate peel. J. Chromatogr. A 2019, 1594, 82–92. [Google Scholar] [CrossRef]
- Swilam, N.; Nematallah, K.A. Polyphenols profile of pomegranate leaves and their role in green synthesis of silver nanoparticles. Sci. Rep. 2020, 10, 14851. [Google Scholar] [CrossRef]
- Yu, M.; Gouvinhas, I.; Barros, A. Variation of the Polyphenolic Composition and Antioxidant Capacity of Freshly Prepared Pomegranate Leaf Infusions over One-Day Storage. Antioxidants 2021, 10, 1187. [Google Scholar] [CrossRef]
- Abid, M.; Yaich, H.; Cheikhrouhou, S.; Khemakhem, I.; Bouaziz, M.; Attia, H.; Ayadi, M.A. Antioxidant properties and phenolic profile characterization by LC-MS/MS of selected Tunisian pomegranate peels. J. Food Sci. Technol. 2017, 54, 2890–2901. [Google Scholar] [CrossRef]
- Govindappa, M.; Tejashree, S.; Thanuja, V.; Hemashekhar, B.; Srinivas, C.; Nasif, O.; Raghavendra, V.B. Pomegranate fruit fleshy pericarp mediated silver nanoparticles possessing antimicrobial, antibiofilm formation, antioxidant, biocompatibility and anticancer activity. J. Drug Deliv. Sci. Technol. 2021, 61, 102289. [Google Scholar] [CrossRef]
- Zeghad, N.; Ahmed, E.; Belkhiri, A.; Heyden, Y.V.; Demeyer, K. Antioxidant activity of Vitis vinifera, Punica granatum, Citrus aurantium and Opuntia ficus indica fruits cultivated in Algeria. Heliyon 2019, 5, e01575. [Google Scholar] [CrossRef]
- Elbatanony, M.M.; El-Feky, A.M.; Hemdan, B.A.; El-Liethy, M.A. Assessment of the antimicrobial activity of the lipoidal and pigment extracts of Punica granatum L. leaves. Acta Ecol. Sin. 2019, 39, 89–94. [Google Scholar] [CrossRef]
- Sun, S.; Huang, S.; Shi, Y. Extraction, isolation, characterization and antimicrobial activities of non-extractable polyphenols from pomegranate peel. Food Chem. 2021, 351, 129232. [Google Scholar] [CrossRef]
- Peršurić, Ž.; Saftić Martinović, L.; Malenica, M.; Gobin, I.; Pedisić, S.; Dragović-Uzelac, V.; Kraljević Pavelić, S. Assessment of the Biological Activity and Phenolic Composition of Ethanol Extracts of Pomegranate (Punica granatum L.) Peels. Molecules 2020, 25, 5916. [Google Scholar] [CrossRef]
- Kupnik, K.; Primožič, M.; Vasić, K.; Knez, Ž.; Leitgeb, M. A Comprehensive Study of the Antibacterial Activity of Bioactive Juice and Extracts from Pomegranate (Punica granatum L.) Peels and Seeds. Plants 2021, 10, 1554. [Google Scholar] [CrossRef] [PubMed]
- Trabelsi, A.; El Kaibi, M.A.; Abbassi, A.; Horchani, A.; Chekir-Ghedira, L.; Ghedira, K. Phytochemical Study and Antibacterial and Antibiotic Modulation Activity of Punica granatum (Pomegranate) Leaves. Scientifica 2020, 2020, 8271203. [Google Scholar] [CrossRef] [PubMed]
- Ismail, T.; Sestili, P.; Akhtar, S. Pomegranate peel and fruit extracts: A review of potential anti-inflammatory and anti-infective effects. J. Ethnopharmacol. 2012, 143, 397–405. [Google Scholar] [CrossRef] [PubMed]
- Sharma, J.; Maity, A. Pomegranate phytochemicals: Nutraceutical and therapeutic values. Fruit Veg. Cereal Sci. Biotech. 2010, 4, 56–76. [Google Scholar]
- Arunkumar, J.; Rajarajan, S. Study on antiviral activities, drug-likeness and molecular docking of bioactive compounds of Punica granatum L. to Herpes simplex virus–2 (HSV-2). Microb. Pathog. 2018, 118, 301–309. [Google Scholar] [CrossRef]
- Moradi, M.T.; Karimi, A.; Shahrani, M.; Hashemi, L.; Ghaffari-Goosheh, M.S. Anti-Influenza Virus Activity and Phenolic Content of Pomegranate (Punica granatum L.) Peel Extract and Fractions. Avicenna J. Med. Biotechnol 2019, 11, 285–291. [Google Scholar]
- Neurath, A.R.; Strick, N.; Li, Y.Y.; Debnath, A.K. Punica granatum (Pomegranate) juice provides an HIV-1 entry inhibitor and candidate topical microbicide. Ann. N. Y. Acad. Sci. 2005, 1056, 311–327. [Google Scholar] [CrossRef]
- Suručić, R.; Travar, M.; Petković, M.; Tubić, B.; Stojiljković, M.P.; Grabež, M.; Šavikin, K.; Zdunić, G.; Škrbić, R. Pomegranate peel extract polyphenols attenuate the SARS-CoV-2 S-glycoprotein binding ability to ACE2 Receptor: In silico and in vitro studies. Bioorg. Chem. 2021, 114, 105145. [Google Scholar] [CrossRef] [PubMed]
- Salles, T.S.; Meneses, M.D.F.; Caldas, L.A.; Sá-Guimarães, T.E.; de Oliveira, D.M.; Ventura, J.A.; Azevedo, R.C.; Kuster, R.M.; Soares, M.R.; Ferreira, D.F. Virucidal and antiviral activities of pomegranate (Punica granatum) extract against the mosquito-borne Mayaro virus. Parasites Vectors 2021, 14, 443. [Google Scholar] [CrossRef] [PubMed]
- Acquadro, S.; Civra, A.; Cagliero, C.; Marengo, A.; Rittà, M.; Francese, R.; Sanna, C.; Bertea, C.; Sgorbini, B.; Lembo, D. Punica granatum leaf ethanolic extract and ellagic acid as inhibitors of zika virus infection. Planta Med. 2020, 86, 1363–1374. [Google Scholar] [CrossRef] [PubMed]
- Angamuthu, D.; Purushothaman, I.; Kothandan, S.; Swaminathan, R. Antiviral study on Punica granatum L., Momordica charantia L., Andrographis paniculate Nees, and Melia azedarach L., to Human Herpes Virus-3. Eur. J. Integr. Med. 2019, 28, 98–108. [Google Scholar] [CrossRef]
- Venusova, E.; Kolesarova, A.; Horky, P.; Slama, P. Physiological and Immune Functions of Punicalagin. Nutrients 2021, 13, 2150. [Google Scholar] [CrossRef] [PubMed]
- Lin, L.T.; Chen, T.Y.; Lin, S.C.; Chung, C.Y.; Lin, T.C.; Wang, G.H.; Anderson, R.; Lin, C.C.; Richardson, C.D. Broad-spectrum antiviral activity of chebulagic acid and punicalagin against viruses that use glycosaminoglycans for entry. BMC Microbiol. 2013, 13, 187. [Google Scholar] [CrossRef]









| No. | Tentative Compound | [M − H]− | λmax | PPE | PPL |
|---|---|---|---|---|---|
| (m/z) | (nm) | mg/kg | |||
| 1 | Gallic acid | 169 | 215, 272 | 656.55 a | 2134.55 a |
| 2 | Catechin | 289 | 282 | 6578.22 b | - |
| 3 | Galloyl glucose | 331 | 278 | 8675.55 a | 568.99 a |
| 4 | Gallagyl-hexoside (Punicalin) | 781 | 266, 377 | 678.55 c | - |
| 5 | Granatin A | 783 | 272, 366 | 3088.77 c | - |
| 6 | Ellagitannin | 643 | 277 | 1088.44 d | - |
| 7 | Cyanidin 3,5-O-diglucoside | 611 | 515 | 58.78 e | - |
| 8 | Gallocatechin | 305 | 271 | 4558.77 b | - |
| 9 | Phellatin | 533 | 286, 332 | 4321.99 f | - |
| 10 | Granatin B | 951 | 276, 377 | 876.22 c | 143.66 c |
| 11 | Phlorizin | 435 | 280 | 44.88 f | 123.67 f |
| 12 | Coumaric acid-hexoside | 325 | 314 | 28.34 g | 121.88 g |
| 13 | Caffeoyl quinic acid | 353 | 212, 327 | - | 56.77 h |
| 14 | Dicaffeoylquinic acid | 515 | 221, 326 | - | 79.12 h |
| 15 | α-punicalagin | 1083 | 279 | 21,345.66 c | - |
| 16 | Hexahydroxydiphenichexoside | 481 | 267 | 123.44 c | - |
| 17 | Ellagic acid dihexoside | 625 | 288, 320 | - | 3245.66 d |
| 18 | Ellagic acid hexoside | 463 | 255, 362 | 18,765.33 d | 20,123.67 d |
| 19 | Feruloyl coniferin | 517 | 227 | - | 34.88 i |
| 20 | Delphinidin-3,5-O-diglucoside | 625 | 516 | 45.66 j | 21.33 j |
| 21 | Cyanidin pentoside | 417 | 280, 517 | - | 23.77 e |
| 22 | Cyanidin-3-glucoside | 449 | 274, 532 | 110.44 e | - |
| 23 | β-punicalagin | 1083 | 279 | 22,322.88 c | - |
| 24 | Pelargonidin | 271 | 230, 370 | - | 2.66 k |
| 25 | Delphinidin-3-O-glucoside | 465 | 527 | 7.88 j | - |
| 26 | Vanillic Acid hexoside | 329 | 268,300 | 654.33 l | - |
| 27 | Quercetin 3-O-rhamnoside | 447 | 265, 357 | 543.22 f | - |
| 28 | Ellagic acid deoxyhexoside | 447 | 257, 364 | 1234.77 d | 2467.88 d |
| 29 | Hexahydroxydiphenichexoside II (HHDP) | 481 | 268 | 897.66 c | - |
| 30 | bis-HHDP-hexoside (pedunculagin I) | 783 | 260, 382 | 3012.77 c | 534.12 c |
| 31 | Castalangin derivative | 965 | 277 | - | 377.88 d |
| 32 | Ellagic acid pentoside | 433 | 256, 362 | 11,234.66 d | - |
| 33 | cis-Dihydrokaempferol hexoside | 449 | 367 | 2134.76 m | - |
| 34 | trans-Dihydrokaempferol hexoside | 449 | 367 | 1657.22 m | - |
| 35 | Galloyl-HHDP-hexoside | 633 | 262, 335 | - | 1021.33 a |
| 36 | Galloyl-HHDP-gluconate | 649 | 267, 377 | - | 678.99 a |
| 37 | Digalloyl-HHDP-glucoside (Punigluconin) | 801 | 270, 377 | 1023.66 c | 145.66 c |
| 38 | Ellagic acid | 301 | 255, 367 | 13,245.66 d | 88.99 d |
| 39 | Dimethyl ellagic acid glucuronide | 505 | 272, 367 | - | - |
| 40 | Quercetin hexoside | 463 | 265, 357 | 3012.67 f | - |
| 41 | Kaempferol 3-O-glucoside | 447 | 265, 357 | 2134.22 m | - |
| IC50 (mg/mL) | ||||
|---|---|---|---|---|
| BHT | Ascorbic Acid | PLE | PPE | |
| DPPH | 0.082 | - | 0.112 | 0.108 |
| FRAP | - | 0.076 | 0.504 | 0.980 |
| Extract | CC50 (µg/mL) | EC50 (µg/mL) | SI |
|---|---|---|---|
| PLE | 130 | 70.44 | 1.8 |
| PPE | 101 | 63.76 | 1.5 |
| Extracts | CC50 (µg/mL) | EC50 (µg/mL) | SI |
|---|---|---|---|
| Ellagic acid | 184.65 | 21.69 | 0.96 |
| Gallic acid | 19.38 | 10.93 | 1.77 |
| Punicalagin | 29.51 | 7.97 | 3.69 |
Publisher’s Note: MDPI stays neutral with regard to jurisdictional claims in published maps and institutional affiliations. |
© 2022 by the authors. Licensee MDPI, Basel, Switzerland. This article is an open access article distributed under the terms and conditions of the Creative Commons Attribution (CC BY) license (https://creativecommons.org/licenses/by/4.0/).
Share and Cite
EL-Aguel, A.; Pennisi, R.; Smeriglio, A.; Kallel, I.; Tamburello, M.P.; D’Arrigo, M.; Barreca, D.; Gargouri, A.; Trombetta, D.; Mandalari, G.; et al. Punica granatum Peel and Leaf Extracts as Promising Strategies for HSV-1 Treatment. Viruses 2022, 14, 2639. https://doi.org/10.3390/v14122639
EL-Aguel A, Pennisi R, Smeriglio A, Kallel I, Tamburello MP, D’Arrigo M, Barreca D, Gargouri A, Trombetta D, Mandalari G, et al. Punica granatum Peel and Leaf Extracts as Promising Strategies for HSV-1 Treatment. Viruses. 2022; 14(12):2639. https://doi.org/10.3390/v14122639
Chicago/Turabian StyleEL-Aguel, Asma, Rosamaria Pennisi, Antonella Smeriglio, Imen Kallel, Maria Pia Tamburello, Manuela D’Arrigo, Davide Barreca, Ahmed Gargouri, Domenico Trombetta, Giuseppina Mandalari, and et al. 2022. "Punica granatum Peel and Leaf Extracts as Promising Strategies for HSV-1 Treatment" Viruses 14, no. 12: 2639. https://doi.org/10.3390/v14122639
APA StyleEL-Aguel, A., Pennisi, R., Smeriglio, A., Kallel, I., Tamburello, M. P., D’Arrigo, M., Barreca, D., Gargouri, A., Trombetta, D., Mandalari, G., & Sciortino, M. T. (2022). Punica granatum Peel and Leaf Extracts as Promising Strategies for HSV-1 Treatment. Viruses, 14(12), 2639. https://doi.org/10.3390/v14122639

