Biological Significance of Dual Mutations A494D and E495K of the Genotype III Newcastle Disease Virus Hemagglutinin-Neuraminidase In Vitro and In Vivo
Abstract
1. Introduction
2. Materials and Methods
2.1. Viruses, Vectors, and Cells
2.2. Construction of the Protein Expression Plasmids and Homology Models
2.3. Hemadsorption (HAd) Assay
2.4. Neuraminidase (NA) Assay
2.5. Fusion Promotion Activity Assay
2.6. Hemolytic Assessment
2.7. Western Blot
2.8. Viral Growth Kinetics
2.9. Cell Viability
2.10. Immunofluorescence Assay (IFA)
2.11. Animal Experiments
2.12. Histopathology
2.13. Statistical Analyses
3. Results
3.1. Acquisition of the Mutants and Simulation of the Amino Acid Autations
3.2. Analysis of Biological Activities of the Mutant HN Proteins at the Protein Level
3.3. Expression Efficiency of Different HN Proteins
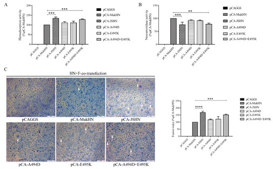
3.4. Assessment of HAd and NA Activities of NDVs Bearing Different HN Proteins
3.5. Evaluation of Fusogenic and Hemolytic Activities of NDVs Bearing Different HN Proteins
3.6. Evaluation of the F Protein Cleavage Activity of NDVs Bearing Different HN Proteins
3.7. Determination of Cell Viability and Virus Replication In Vitro following Infection with NDVs Bearing Different HN Proteins
3.8. Pathogenicity of NDVs Bearing Different HN Proteins in Four-Week-Old Chickens
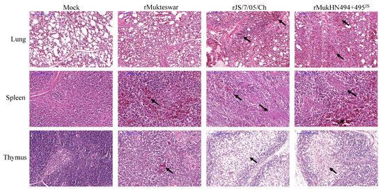
3.9. Histopathological Changes in the Lung, Spleen, and Thymus following NDV Infection
4. Discussion
5. Conclusions
Author Contributions
Funding
Institutional Review Board Statement
Informed Consent Statement
Data Availability Statement
Conflicts of Interest
References
- Snoeck, C.J.; Owoade, A.A.; Couacy-Hymann, E.; Alkali, B.R.; Okwen, M.P.; Adeyanju, A.T.; Komoyo, G.F.; Nakoune, E.; Le Faou, A.; Muller, C.P. High genetic diversity of Newcastle disease virus in poultry in West and Central Africa: Cocirculation of genotype XIV and newly defined genotypes XVII and XVIII. J. Clin. Microbiol. 2013, 51, 2250–2260. [Google Scholar] [CrossRef] [PubMed]
- Viktorova, E.G.; Khattar, S.K.; Kouiavskaia, D.; Laassri, M.; Zagorodnyaya, T.; Dragunsky, E.; Samal, S.; Chumakov, K.; Belov, G.A. Newcastle Disease Virus-Based Vectored Vaccine against Poliomyelitis. J. Virol. 2018, 92, e00976-18. [Google Scholar] [CrossRef]
- Dimitrov, K.M.; Abolnik, C.; Afonso, C.L.; Albina, E.; Bahl, J.; Berg, M.; Briand, F.-X.; Brown, I.H.; Choi, K.-S.; Chvala, I.; et al. Updated unified phylogenetic classification system and revised nomenclature for Newcastle disease virus. Infect. Genet. Evol. 2019, 74, 103917. [Google Scholar] [CrossRef] [PubMed]
- Gotoh, B.; Ohnishi, Y.; Inocencio, N.M.; Esaki, E.; Nakayama, K.; Barr, P.J.; Thomas, G.; Nagai, Y. Mammalian subtilisin-related proteinases in cleavage activation of the paramyxovirus fusion glycoprotein: Superiority of furin/PACE to PC2 or PC1/PC3. J. Virol. 1992, 66, 6391–6397. [Google Scholar] [CrossRef]
- Ji, Y.; Liu, T.; Jia, Y.; Liu, B.; Yu, Q.; Cui, X.; Guo, F.; Chang, H.; Zhu, Q. Two single mutations in the fusion protein of Newcastle disease virus confer hemagglutinin-neuraminidase independent fusion promotion and attenuate the pathogenicity in chickens. Virology 2017, 509, 146–151. [Google Scholar] [CrossRef] [PubMed]
- Kim, S.H.; Subbiah, M.; Samuel, A.S.; Collins, P.L.; Samal, S.K. Roles of the fusion and hemagglutinin-neuraminidase proteins in replication, tropism, and pathogenicity of avian paramyxoviruses. J. Virol. 2011, 85, 8582–8596. [Google Scholar] [CrossRef]
- Helen, C.; Toru, T.; Rupert, R.; Susan, C.; Ibrahim, M.; Allen, P.; Garry, T. Probing the Sialic Acid Binding Site of the Hemagglutinin-Neuraminidase of Newcastle Disease Virus: Identification of Key Amino Acids Involved in Cell Binding, Catalysis, and Fusion. J. Virol. 2002, 76, 1816. [Google Scholar]
- Jin, J.H.; Cheng, J.L.; He, Z.R.; Ren, Y.C.; Yu, X.H.; Song, Y.; Yang, H.M.; Yang, Y.L.; Liu, T.; Zhang, G.Z. Different Origins of Newcastle Disease Virus Hemagglutinin-Neuraminidase Protein Modulate the Replication Efficiency and Pathogenicity of the Virus. Front. Microbiol. 2017, 8, 1607. [Google Scholar] [CrossRef]
- Li, J.; Quinlan, E.; Mirza, A.; Iorio, R.M. Mutated form of the Newcastle disease virus hemagglutinin-neuraminidase interacts with the homologous fusion protein despite deficiencies in both receptor recognition and fusion promotion. J. Virol. 2004, 78, 5299–5310. [Google Scholar] [CrossRef]
- Liu, Y.; Chi, M.; Liu, Y.; Wen, H.; Zhao, L.; Song, Y.; Liu, N.; Wang, Z. Roles of the highly conserved amino acids in the second receptor binding site of the Newcastle disease virus HN protein. Virol. J. 2019, 16, 164. [Google Scholar] [CrossRef]
- Porotto, M.; Salah, Z.; DeVito, I.; Talekar, A.; Palmer, S.G.; Xu, R.; Wilson, I.A.; Moscona, A. The second receptor binding site of the globular head of the Newcastle disease virus hemagglutinin-neuraminidase activates the stalk of multiple paramyxovirus receptor binding proteins to trigger fusion. J. Virol. 2012, 86, 5730–5741. [Google Scholar] [CrossRef]
- Porotto, M.; Fornabaio, M.; Greengard, O.; Murrell, M.T.; Kellogg, G.E.; Moscona, A. Paramyxovirus receptor-binding molecules: Engagement of one site on the hemagglutinin-neuraminidase protein modulates activity at the second site. J. Virol. 2006, 80, 1204–1213. [Google Scholar] [CrossRef]
- Yuan, P.; Swanson, K.A.; Leser, G.P.; Paterson, R.G.; Lamb, R.A.; Jardetzky, T.S. Structure of the Newcastle disease virus hemagglutinin-neuraminidase (HN) ectodomain reveals a four-helix bundle stalk. Proc. Natl. Acad. Sci. USA 2011, 108, 14920–14925. [Google Scholar] [CrossRef] [PubMed]
- Adu-Gyamfi, E.; Kim, L.S.; Jardetzky, T.S.; Lamb, R.A. Mutagenesis of Paramyxovirus Hemagglutinin-Neuraminidase Membrane-Proximal Stalk Region Influences Stability, Receptor Binding, and Neuraminidase Activity. J. Virol. 2016, 90, 7778–7788. [Google Scholar] [CrossRef] [PubMed]
- Bose, S.; Welch, B.D.; Kors, C.A.; Yuan, P.; Jardetzky, T.S.; Lamb, R.A. Structure and mutagenesis of the parainfluenza virus 5 hemagglutinin-neuraminidase stalk domain reveals a four-helix bundle and the role of the stalk in fusion promotion. J. Virol. 2011, 85, 12855–12866. [Google Scholar] [CrossRef]
- Melanson, V.R.; Iorio, R.M. Amino acid substitutions in the F-specific domain in the stalk of the newcastle disease virus HN protein modulate fusion and interfere with its interaction with the F protein. J. Virol. 2004, 78, 13053–13061. [Google Scholar] [CrossRef] [PubMed]
- Kim, S.H.; Yan, Y.; Samal, S.K. Role of the cytoplasmic tail amino acid sequences of Newcastle disease virus hemagglutinin-neuraminidase protein in virion incorporation, cell fusion, and pathogenicity. J. Virol. 2009, 83, 10250–10255. [Google Scholar] [CrossRef]
- Liu, T.; Song, Y.; Yang, Y.; Bu, Y.; Cheng, J.; Zhang, G.; Xue, J. Hemagglutinin-Neuraminidase and fusion genes are determinants of NDV thermostability. Vet. Microbiol. 2019, 228, 53–60. [Google Scholar] [CrossRef]
- Qiu, X.; Sun, Q.; Yao, C.; Dong, L.; Wu, Y.; Hu, S.; Liu, X. Full-length genome analysis of two genotype III velogenic Newcastle diseases virus strains reveals their close relationship with vaccine Mukteswar. Wei Sheng Wu Xue Bao 2009, 49, 302–308. [Google Scholar]
- Song, Q.Q.; Zhu, J.; Ding, P.Y.; Duan, Z.Q.; Jie, T.U.; Liu, X.W.; Liu, X.F. Rescue of Genotype Ⅲ Velogenic Newcastle Disease Virus Strain JS/7/05/Ch. China Anim. Husb. Vet. Med. 2013, 40, 37–41. [Google Scholar]
- Song, Q. The Bioinformatics Analysis of NDV and the Molecular Mechanism in Virulence Increase of Muktswar Strain. Doctor Thesis, Yangzhou University, Yangzhou, China, 2013. [Google Scholar]
- de Leeuw, O.S.; Koch, G.; Hartog, L.; Ravenshorst, N.; Peeters, B.P. Virulence of Newcastle disease virus is determined by the cleavage site of the fusion protein and by both the stem region and globular head of the haemagglutinin-neuraminidase protein. J. Gen. Virol. 2005, 86 Pt 6, 1759–1769. [Google Scholar] [CrossRef]
- Huang, Z.; Panda, A.; Elankumaran, S.; Govindarajan, D.; Rockemann, D.D.; Samal, S.K. The hemagglutinin-neuraminidase protein of Newcastle disease virus determines tropism and virulence. J. Virol. 2004, 78, 4176–4184. [Google Scholar] [CrossRef] [PubMed]
- Kim, S.H.; Paldurai, A.; Xiao, S.; Collins, P.L.; Samal, S.K. Modified Newcastle disease virus vectors expressing the H5 hemagglutinin induce enhanced protection against highly pathogenic H5N1 avian influenza virus in chickens. Vaccine 2014, 32, 4428–4435. [Google Scholar] [CrossRef] [PubMed]
- Forsberg, R. Divergence time of porcine reproductive and respiratory syndrome virus subtypes. Mol. Biol. Evol. 2005, 22, 2131–2134. [Google Scholar] [CrossRef]
- Adu-Gyamfi, E.; Kim, L.S.; Jardetzky, T.S.; Lamb, R.A. Flexibility of the Head-Stalk Linker Domain of Paramyxovirus HN Glycoprotein Is Essential for Triggering Virus Fusion. J. Virol. 2016, 90, 9172–9181. [Google Scholar] [CrossRef] [PubMed]
- Hashimoto, Y.; Sheng, X.; Murray-Nerger, L.A.; Cristea, I.M. Temporal dynamics of protein complex formation and dissociation during human cytomegalovirus infection. Nat. Commun. 2020, 11, 806. [Google Scholar] [CrossRef]
- Thakur, R.; Shankar, J. In silico Analysis Revealed High-risk Single Nucleotide Polymorphisms in Human Pentraxin-3 Gene and their Impact on Innate Immune Response against Microbial Pathogens. Front. Microbiol. 2016, 7, 192. [Google Scholar] [CrossRef]
- Zhang, R.; Xu, G.; Cao, L.; Sun, Z.; He, Y.; Cui, M.; Sun, Y.; Li, S.; Li, H.; Qin, L.; et al. Divergent engagements between adeno-associated viruses with their cellular receptor AAVR. Nat. Commun. 2019, 10, 3760. [Google Scholar] [CrossRef]
- McGinnes, L.W.; Pantua, H.; Laliberte, J.P.; Gravel, K.A.; Jain, S.; Morrison, T.G. Assembly and biological and immunological properties of Newcastle disease virus-like particles. J. Virol. 2010, 84, 4513–4523. [Google Scholar] [CrossRef]
- Mahon, P.J.; Mirza, A.M.; Musich, T.A.; Iorio, R.M. Engineered intermonomeric disulfide bonds in the globular domain of Newcastle disease virus hemagglutinin-neuraminidase protein: Implications for the mechanism of fusion promotion. J. Virol. 2008, 82, 10386–10396. [Google Scholar] [CrossRef][Green Version]
- Jiang, L.; Yu, Y.; Li, Y.; Yu, Y.; Duan, J.; Zou, Y.; Li, Q.; Sun, Z. Oxidative Damage and Energy Metabolism Disorder Contribute to the Hemolytic Effect of Amorphous Silica Nanoparticles. Nanoscale Res. Lett. 2016, 11, 57. [Google Scholar] [CrossRef] [PubMed]
- Mahon, P.J.; Mirza, A.M.; Iorio, R.M. Role of the two sialic acid binding sites on the newcastle disease virus HN protein in triggering the interaction with the F protein required for the promotion of fusion. J. Virol. 2011, 85, 12079–12082. [Google Scholar] [CrossRef] [PubMed]
- Rangaswamy, U.S.; Wang, W.; Cheng, X.; McTamney, P.; Carroll, D.; Jin, H. Newcastle disease virus establishes persistent infection in tumor cells in vitro: Contribution of the cleavage site of fusion protein and second sialic acid binding site of hemagglutinin-neuraminidase. J. Virol. 2017, 91, e00770-17. [Google Scholar] [CrossRef] [PubMed]
- Yan, C.; Liu, H.; Jia, Y.; Prince-Theodore, D.-W.; Yang, M.; Adam, F.E.A.; Ren, J.; Cao, X.; Wang, X.; Xiao, S.; et al. Screening and mechanistic study of key sites of the hemagglutinin-neuraminidase protein related to the virulence of Newcastle disease virus. Poult. Sci. 2020, 99, 3374–3384. [Google Scholar] [CrossRef] [PubMed]
- Moscona, A. Entry of parainfluenza virus into cells as a target for interrupting childhood respiratory disease. J. Clin. Investig. 2005, 115, 1688–1698. [Google Scholar] [CrossRef]
- Głobińska, A.; Pawełczyk, M.; Piechota-Polańczyk, A.; Olszewska-Ziąber, A.; Moskwa, S.; Mikołajczyk, A.; Jabłońska, A.; Zakrzewski, P.K.; Brauncajs, M.; Jarzębska, M.; et al. Impaired virus replication and decreased innate immune responses to viral infections in nasal epithelial cells from patients with allergic rhinitis. Clin. Exp. Immunol. 2017, 187, 100–112. [Google Scholar] [CrossRef]
- Zhang, Z.W.; Liu, T.; Zeng, J.; Chen, Y.E.; Yuan, M.; Zhang, D.W.; Zhu, F.; Yuan, S. Prediction of the next highly pathogenic avian influenza pandemic that can cause illness in humans. Infect. Dis. Poverty 2015, 4, 50. [Google Scholar] [CrossRef][Green Version]
- Ruan, B.; Zhang, X.; Zhang, C.; Du, P.; Meng, C.; Guo, M.; Wu, Y.; Cao, Y. Residues 315 and 369 in HN Protein Contribute to the Thermostability of Newcastle Disease Virus. Front. Microbiol. 2020, 11, 560482. [Google Scholar] [CrossRef]
- Iorio, R.M.; Bratt, M.A. Monoclonal antibodies to Newcastle disease virus: Delineation of four epitopes on the HN glycoprotein. J. Virol. 1983, 48, 440–450. [Google Scholar] [CrossRef]
- Iorio, R.M.; Borgman, J.B.; Glickman, R.L.; Bratt, M.A. Genetic variation within a neutralizing domain on the haemagglutinin-neuraminidase glycoprotein of Newcastle disease virus. J. Gen. Virol. 1986, 67, 1393–1403. [Google Scholar] [CrossRef]
- Iorio, R.M.; Syddall, R.J.; Sheehan, J.P.; Bratt, M.A.; Glickman, R.L.; Riel, A.M. Neutralization map of the hemagglutinin-neuraminidase glycoprotein of Newcastle disease virus: Domains recognized by monoclonal antibodies that prevent receptor recognition. J. Virol. 1991, 65, 4999–5006. [Google Scholar] [CrossRef] [PubMed]
- Chen, X.; Chen, S.; Chen, H.; Tian, J.; Zhao, X.; Jia, Y.; Xiao, S.; Wang, X.; Liu, H.; Yang, Z. Comparative biology of two genetically closely related Newcastle disease virus strains with strongly contrasting pathogenicity. Vet. Microbiol. 2021, 253, 108977. [Google Scholar] [CrossRef] [PubMed]
- Chen, X.; Jia, Y.; Wei, N.; Ye, C.; Hao, H.; Xiao, S.; Wang, X.; Liu, H.; Yang, Z. Identification of a new amino acid mutation in the HN protein of NDV involved in pathogenicity. Vet. Res. 2021, 52, 147. [Google Scholar] [CrossRef] [PubMed]
- Kaufman, H.E.; Azcuy, A.M.; Varnell, E.D.; Sloop, G.D.; Thompson, H.W.; Hill, J.M. HSV-1 DNA in tears and saliva of normal adults. Investig. Ophthalmol. Vis. Sci. 2005, 46, 241–247. [Google Scholar] [CrossRef] [PubMed]
- Chen, P.L.; Lee, N.Y.; Cia, C.T.; Ko, W.C.; Hsueh, P.R. A Review of Treatment of Coronavirus Disease 2019 (COVID-19): Therapeutic Repurposing and Unmet Clinical Needs. Front. Pharmacol. 2020, 11, 584956. [Google Scholar] [CrossRef] [PubMed]
- Hao, Z.; Duncan, G.S.; Seagal, J.; Su, Y.-W.; Hong, C.; Haight, J.; Chen, N.-J.; Elia, A.; Wakeham, A.; Li, W.Y.; et al. Fas receptor expression in germinal-center B cells is essential for T and B lymphocyte homeostasis. Immunity 2008, 29, 615–627. [Google Scholar] [CrossRef] [PubMed]









| Primer | Sequence (5′–3′) |
|---|---|
| HN1 | CGAGCTCGATGGACAGCGCAGTTAGCCAAG (SacI) |
| HN2 | CCTCGAGGTTAAACCCCACCATCCTTGAG (XhoI) |
| F1 | CCTCGAGGATGATCTGTCTTGATTACTTACAGC (XhoI) |
| F2 | GGAATTCCCATTTTTGTAGTAGCTCTCATCTG (EcoRI) |
| Mutant | ΔΔG_pred | c_pred |
|---|---|---|
| E495K | −0.12755 | 0.884864 |
| V266I | −0.03536 | 0.86262 |
| A494D | 0.199226 | 0.900809 |
| M145T | 0.019491 | 0.838821 |
| Days Post-Infection | No. of Chickens Shedding/Total No. of Chickens | |||||||
|---|---|---|---|---|---|---|---|---|
| Virus | PBS | |||||||
| rMukteswar | rJS/7/05/Ch | rMukHN494 + 495JS | ||||||
| O a | C b | O | C | O | C | O | C | |
| 1 | 0/6 | 0/6 | 0/6 | 0/6 | 0/6 | 0/6 | 0/3 | 0/3 |
| 2 | 0/6 | 0/6 | 6/6 | 0/6 | 6/6 | 0/6 | 0/3 | 0/3 |
| 3 | 6/6 | 0/6 | 6/6 | 6/6 | 6/6 | 3/6 | 0/3 | 0/3 |
| 4 | 3/6 | 4/6 | 6/6 | 6/6 | 6/6 | 5/6 | 0/3 | 0/3 |
| 5 | 1/6 | 4/6 | 2/2 | 2/2 | 6/6 | 6/6 | 0/3 | 0/3 |
| 6 | 0/6 | 2/6 | - | - | 6/6 | 6/6 | 0/3 | 0/3 |
| 7 | 0/6 | 2/6 | - | - | 3/3 | 3/3 | 0/3 | 0/3 |
| 8 | 0/6 | 1/6 | - | - | - | - | 0/3 | 0/3 |
| 9 | 0/6 | 1/6 | - | - | - | - | 0/3 | 0/3 |
| 10 | 0/6 | 0/6 | - | - | - | - | 0/3 | 0/3 |
Publisher’s Note: MDPI stays neutral with regard to jurisdictional claims in published maps and institutional affiliations. |
© 2022 by the authors. Licensee MDPI, Basel, Switzerland. This article is an open access article distributed under the terms and conditions of the Creative Commons Attribution (CC BY) license (https://creativecommons.org/licenses/by/4.0/).
Share and Cite
Lu, X.; Zhan, T.; Liu, K.; Chen, Y.; Hu, Z.; Hu, J.; Gu, M.; Hu, S.; Wang, X.; Liu, X.; et al. Biological Significance of Dual Mutations A494D and E495K of the Genotype III Newcastle Disease Virus Hemagglutinin-Neuraminidase In Vitro and In Vivo. Viruses 2022, 14, 2338. https://doi.org/10.3390/v14112338
Lu X, Zhan T, Liu K, Chen Y, Hu Z, Hu J, Gu M, Hu S, Wang X, Liu X, et al. Biological Significance of Dual Mutations A494D and E495K of the Genotype III Newcastle Disease Virus Hemagglutinin-Neuraminidase In Vitro and In Vivo. Viruses. 2022; 14(11):2338. https://doi.org/10.3390/v14112338
Chicago/Turabian StyleLu, Xiaolong, Tiansong Zhan, Kaituo Liu, Yu Chen, Zenglei Hu, Jiao Hu, Min Gu, Shunlin Hu, Xiaoquan Wang, Xiaowen Liu, and et al. 2022. "Biological Significance of Dual Mutations A494D and E495K of the Genotype III Newcastle Disease Virus Hemagglutinin-Neuraminidase In Vitro and In Vivo" Viruses 14, no. 11: 2338. https://doi.org/10.3390/v14112338
APA StyleLu, X., Zhan, T., Liu, K., Chen, Y., Hu, Z., Hu, J., Gu, M., Hu, S., Wang, X., Liu, X., & Liu, X. (2022). Biological Significance of Dual Mutations A494D and E495K of the Genotype III Newcastle Disease Virus Hemagglutinin-Neuraminidase In Vitro and In Vivo. Viruses, 14(11), 2338. https://doi.org/10.3390/v14112338

