Isolation, Identification, and Genetic Phylogenetic Analysis of Two Different Genotypes of Bovine Parainfluenza 3 Virus in China
Abstract
1. Introduction
2. Materials and Methods
2.1. Sample Collection
2.2. Polymerase Chain Reaction Assay
2.3. Virus Isolation
2.4. Indirect Immunofluorescence Test
2.5. Transmission Electron Microscopy
2.6. Median Tissue Culture Infectious Dose Assay
2.7. Next-Generation Sequencing and Sequence Analysis
3. Results
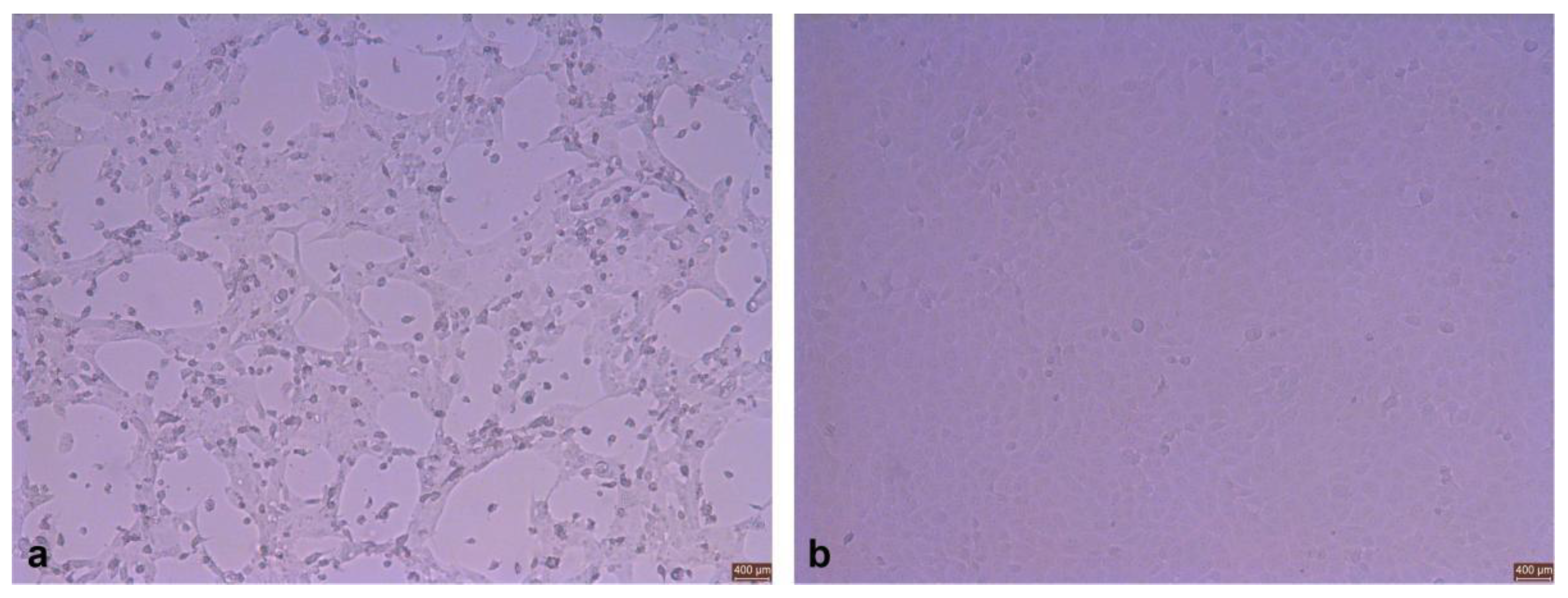
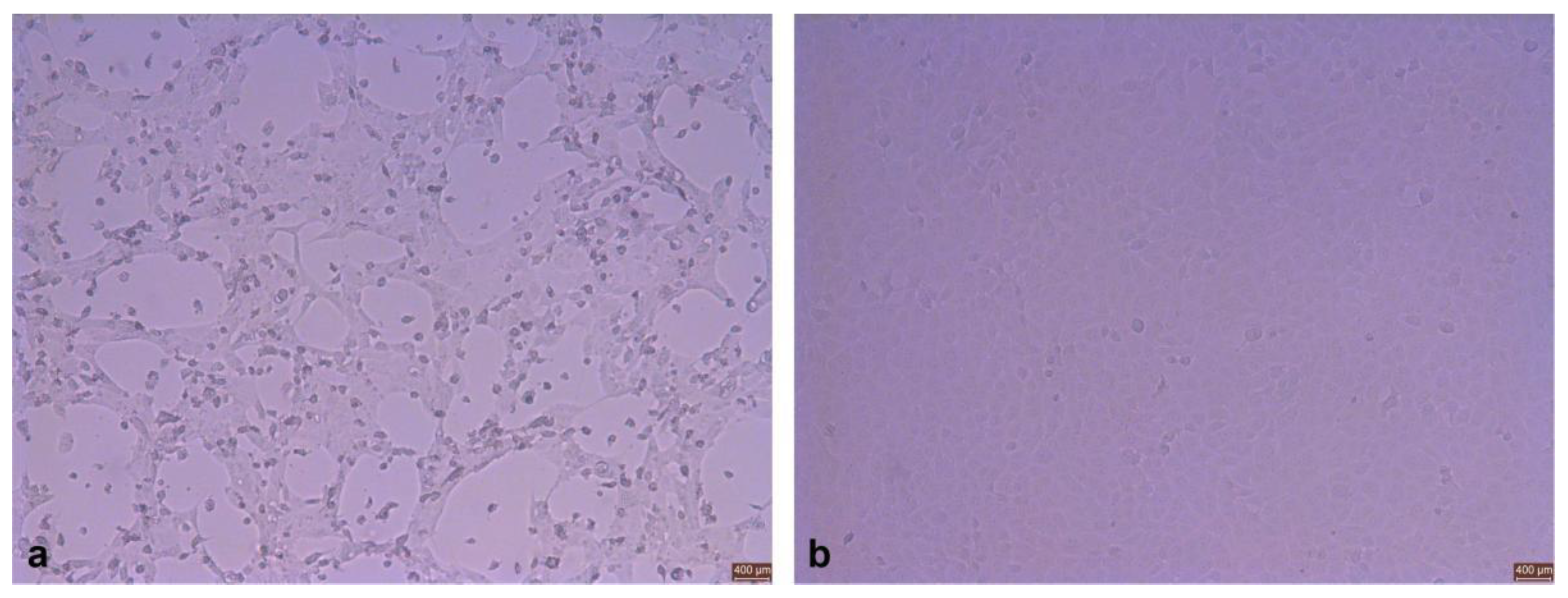
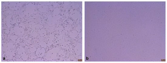
3.1. Virus Isolation and RT-PCR Identification
3.2. Immunofluorescence Assay Identification
3.3. Morphological Characterization of the Isolates
3.4. Median Tissue-Culture Infectious Doses
3.5. Sequence Analysis of Isolates

4. Discussion
Supplementary Materials
Author Contributions
Funding
Institutional Review Board Statement
Informed Consent Statement
Data Availability Statement
Conflicts of Interest
References
- Bryson, D.; McFerran, J.; Ball, H.; Neill, S. Observations on outbreaks of respiratory disease in housed calves--(1) Epidemiological, clinical and microbiological findings. J. Vet. Rec. 1978, 103, 485–489. [Google Scholar] [CrossRef] [PubMed]
- Marshall, R.G. Isolation of bovine parainfluenza-3 virus in chick embryos. J. Bacteriol. 1964, 88, 267–268. [Google Scholar] [CrossRef]
- Stevenson, R.G.; Hore, D.E. Comparative pathology of lambs and calves infected with parainfluenza virus type 3. J. Comp. Pathol. 1970, 80, 613–618. [Google Scholar] [CrossRef]
- Reisinger, R.C.; Heddleston, K.L.; Manthei, C.A. A myxovirus (SF-4) associated with shipping fever of cattle. J. Am. Vet. Med. Assoc. 1959, 135, 147–152. [Google Scholar]
- Durham, P.J.K.; Hassard, L.E. Prevalence of antibodies to infectious bovine rhinotracheitis, parainfluenza 3, bovine respiratory syncytial, and bovine Prevalence of antibodies to infectious bovine rhinotracheitis, parainfluenza 3, bovine respiratory syncytial, and bovine diarrhea viruses in cattle in Saskatchewan and Alberta. Can. Vet. J. 1990, 31, 815. [Google Scholar] [PubMed]
- Muftuoglu, B.; Kurucay, H.N.; Elhag, A.E.; Yildirim, S.; Cicek-Yildiz, Y.; Tamer, C.; Ozan, E.; Sahna, K.C.; Yildirim, Y.; Albayrak, H.; et al. A serosurvey for bovine respirovirus 3 in Turkish domestic ruminants: The first comparison study of A and C genotypes. Vet. Med. Sci. 2021, 7, 1625–1632. [Google Scholar] [CrossRef]
- Newcomer, B.W.; Neill, J.D.; Galik, P.K.; Riddell, K.P.; Zhang, Y.; Passler, T.; Velayudhan, B.T.; Walz, P.H. Serologic survey for antibodies against three genotypes of bovine parainfluenza 3 virus in unvaccinated ungulates in Alabama. Am. J. Vet. Res. 2017, 78, 239–243. [Google Scholar] [CrossRef] [PubMed]
- Wang, H.; Tong, Q.; Wang, W.; Wu, H. Serological survey of bovine parainfluenza virus type 3 in China. Chin. J. Prev. Vet. Med. 2014, 36, 154–156. [Google Scholar]
- Horwood, P.F.; Gravel, J.L.; Mahony, T.J. Identification of two distinct bovine parainfluenza virus type 3 genotypes. J. Gen. Virol. 2008, 89, 1643–1648. [Google Scholar] [CrossRef] [PubMed]
- Zhu, Y.M.; Shi, H.F.; Gao, Y.R.; Xin, J.Q.; Liu, N.H.; Xiang, W.H.; Ren, X.G.; Feng, J.K.; Zhao, L.P.; Xue, F. Isolation and genetic characterization of bovine parainfluenza virus type 3 from cattle in China. Vet. Microbiol. 2011, 149, 446–451. [Google Scholar] [CrossRef]
- Leal, É.; Liu, C.; Zhao, Z.; Deng, Y.; Villanova, F.; Liang, L.; Li, J.; Cui, S. Isolation of a divergent strain of bovine parainfluenza virus type 3 (BPIV3) infecting cattle in China. Viruses 2019, 11, 489. [Google Scholar] [CrossRef]
- Wen, Y.-J.; Shi, X.-C.; Wang, F.-X.; Wang, W.; Zhang, S.-Q.; Li, G.; Song, N.; Chen, L.-Z.; Cheng, S.-P.; Wu, H. Phylogenetic analysis of the bovine parainfluenza virus type 3 from cattle herds revealing the existence of a genotype A strain in China. Virus Genes 2012, 45, 542–547. [Google Scholar] [CrossRef]
- Kumagai, A.; Kanno, T.; Kawauchi, K.; Tanaka, K.; Ishihara, R.; Hatama, S. Phylogenetic and antigenic analysis of bovine parainfluenza virus type 3 isolated in Japan between 2002 and 2019. Vet. Microbiol. 2020, 247, 108774. [Google Scholar] [CrossRef]
- Sobhy, N.M.; Mor, S.K.; Bastawecy, I.M.; Fakhry, H.M.; Youssef, C.R.; Goyal, S.M. Surveillance, isolation and complete genome sequence of bovine parainfluenza virus type 3 in Egyptian cattle. Int. J. Vet. Sci. Med. 2017, 5, 8–13. [Google Scholar] [CrossRef] [PubMed]
- Maidana, S.S.; Lomonaco, P.M.; Combessies, G.; Craig, M.I.; Diodati, J.; Rodriguez, D.; Parreño, V.; Zabal, O.; Konrad, J.L.; Crudelli, G.; et al. Isolation and characterization of bovine parainfluenza virus type 3 from water buffaloes (Bubalus bubalis) in Argentina. BMC Vet. Res. 2012, 8, 83. [Google Scholar] [CrossRef]
- Neill, J.D.; Ridpath, J.F.; Valayudhan, B.T. Identification and genome characterization of genotype B and genotype C bovine parainfluenza type 3 viruses isolated in the United States. BMC Vet Res 2015, 11, 112. [Google Scholar] [CrossRef]
- Oem, J.-K.; Lee, E.-Y.; Lee, K.-K.; Kim, S.-H.; Lee, M.-H.; Hyun, B.-H. Molecular characterization of a Korean bovine parainfluenza virus type 3 isolate. Vet. Microbiol. 2013, 162, 224–227. [Google Scholar] [CrossRef]
- Konishi, M.; Ohkura, T.; Shimizu, M.; Akiyama, M.; Kameyama, K.-I.; Takeuchi, K. Complete genome sequence of the first isolate of genotype C bovine parainfluenza virus type 3 in Japan. Genome Announc. 2014, 2, e01215-14. [Google Scholar] [CrossRef] [PubMed]
- Albayrak, H.; Yazici, Z.; Ozan, E.; Tamer, C.; El Wahed, A.A.; Wehner, S.; Ulrich, K.; Weidmann, M. Characterization of the first bovine parainfluenza virus 3 isolate detected in cattle in Turkey. Vet Sci 2019, 6, 56. [Google Scholar] [CrossRef]
- Breker-Klassen, M.M.; Yoo, D.; Babiuk, L.A. Comparisons of the F and HN gene sequences of different strains of bovine parainfluenza virus type 3: Relationship to phenotype and pathogenicity. Can. J. Vet. Res. 1996, 60, 228. [Google Scholar]
- Ren, J.-L.; Zhu, Y.-M.; Zhou, Y.-H.; Lv, C.; Yan, H.; Ma, L.; Shi, H.-F.; Xue, F. Identification of three antigen epitopes on the nucleocapsid protein of the genotype C of bovine parainfluenza virus type 3. Vet. Microbiol. 2015, 178, 61–69. [Google Scholar] [CrossRef] [PubMed]



| Gene | Primer | Sequence (5′-3′) | Product Size (bp) | Annealing Temperature (°C) |
|---|---|---|---|---|
| IBRV-gB | F1 | F:CACGGACCTGGTGGACAAGAAG | 656 | 60 |
| R1 | R:CTTCGATCACGCAGTCGCTCA | |||
| BVDV-5’ UTR | F1 | F:AGCCATGCCCTTAGTAGGACT | 290 | 55 |
| R1 | R:ACTCCATGTGCCATGTACA | |||
| BRSV-F | F1 | F:AATCRACATGCAGTGCAGTTAG | 711 | 50 |
| R1 | R:TTTGGTCATTYGTTATAGGCA | |||
| BPIV3-M | F1 | F:TTAGAYATAGAAGTRAGAAGAAC | 686 | 50 |
| R1 | R:ATRTTTGGGTARTATCTRAAYTCAC |
| Protein Name | XJ21032-1 and Q5592 (Position) | XJ20055-3 and NX49 (Position) |
|---|---|---|
| F | I(5)V; V(8)M; A(13)T; M(17)L; R(24)K; L(62)S; E(91)D; I(92)V; R(222)G; I(226)V; V(328)I; I(352)M; D(442)N; L(465)S; Y(488)H; A(492)V; V(509)A; V(513)M; K(517)R; A(521)D; Q(522)R; P(525)H; S(526)L; K(527)N | T(492)I |
| HN | N(12)S; G(21)R; H(24)Y; I(28)A; T(29)A; V(35)A; F(36)L; T(38)A; I(39)T; I(42)L; L(67)Q; E(74)T; Q(81)R; V(89)A; R(131)K; N(250)D; N(385)D; M(382)K; I(436)L; L(487)S | N(216)D; K(254)R; N(374)D |
| N | A(150)T; S(151)A; G(207)S; G(401)S; N(402)S; A(424)V; T(454)N; G(455)S; S(460)P; A(461)T; T(464)I; N(469)T; P(491)T | None |
Publisher’s Note: MDPI stays neutral with regard to jurisdictional claims in published maps and institutional affiliations. |
© 2022 by the authors. Licensee MDPI, Basel, Switzerland. This article is an open access article distributed under the terms and conditions of the Creative Commons Attribution (CC BY) license (https://creativecommons.org/licenses/by/4.0/).
Share and Cite
Wang, X.; Hu, J.; Meng, F.; Cao, Y.; Wang, Z.; Zhang, Q.; Zhang, Q.; Zhang, X.; Han, M.; Wu, T.; et al. Isolation, Identification, and Genetic Phylogenetic Analysis of Two Different Genotypes of Bovine Parainfluenza 3 Virus in China. Viruses 2022, 14, 2221. https://doi.org/10.3390/v14102221
Wang X, Hu J, Meng F, Cao Y, Wang Z, Zhang Q, Zhang Q, Zhang X, Han M, Wu T, et al. Isolation, Identification, and Genetic Phylogenetic Analysis of Two Different Genotypes of Bovine Parainfluenza 3 Virus in China. Viruses. 2022; 14(10):2221. https://doi.org/10.3390/v14102221
Chicago/Turabian StyleWang, Xu, Jianjun Hu, Fanyan Meng, Yiheng Cao, Zijie Wang, Qianyi Zhang, Qian Zhang, Xingxing Zhang, Mengli Han, Tongzhong Wu, and et al. 2022. "Isolation, Identification, and Genetic Phylogenetic Analysis of Two Different Genotypes of Bovine Parainfluenza 3 Virus in China" Viruses 14, no. 10: 2221. https://doi.org/10.3390/v14102221
APA StyleWang, X., Hu, J., Meng, F., Cao, Y., Wang, Z., Zhang, Q., Zhang, Q., Zhang, X., Han, M., Wu, T., Zhong, F., & Huang, X. (2022). Isolation, Identification, and Genetic Phylogenetic Analysis of Two Different Genotypes of Bovine Parainfluenza 3 Virus in China. Viruses, 14(10), 2221. https://doi.org/10.3390/v14102221

