Identification of a Novel Solinvivirus with Nuclear Localization Associated with Mass Mortalities in Cultured Whiteleg Shrimp (Penaeus vannamei)
Abstract
1. Introduction
2. Material and Methods
2.1. Sample Origin
2.2. Next Generation Sequencing
2.3. Bioinformatic Analysis
2.4. Phylogenetic Analysis
2.5. Primer Design and Cloning of the PvSV Genomic Fragment
2.6. Histopathology
2.7. In Situ Hybridization
3. Results
3.1. Penaeus vannamei Solinvivirus Genome Organization and Sequence Analyses
3.2. Phylogeny
3.3. Penaeus vannamei Solinvivirus Distribution in Brazil
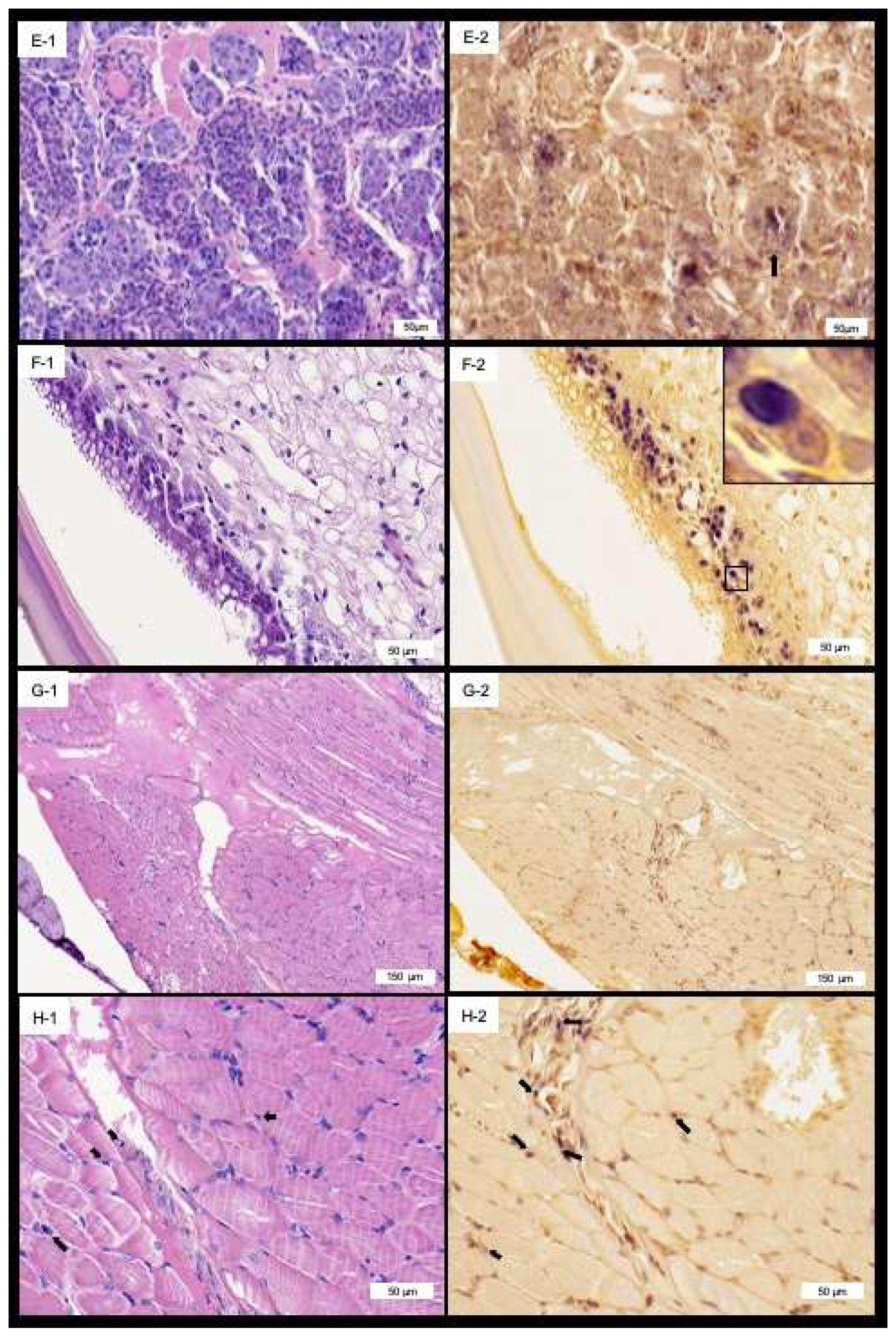
3.4. Histopathology and In Situ Hybridization
4. Discussion
Supplementary Materials
Author Contributions
Funding
Institutional Review Board Statement
Informed Consent Statement
Data Availability Statement
Conflicts of Interest
Abbreviations
| PvSV | Penaeus vannamei solinvivirus |
| IMNV | Infectious myonecrosis virus |
| ISH | In situ hybridization |
References
- Stentiford, G.D.; Neil, D.M.; Peeler, E.J.; Shields, J.D.; Small, H.J.; Flegel, T.W.; Vlak, J.M.; Jones, B.; Morado, F.; Moss, S.; et al. Disease will limit future food supply from the global crustacean fishery and aquaculture sectors. J. Invertebr. Pathol. 2012, 110, 141–157. [Google Scholar] [CrossRef]
- Dhar, A.K.; Lakshman, D.K.; Amundsen, K.; Robles-Sikisaka, R.; Kaizer, K.N.; Roy, S.; Hasson, K.W.; Thomas Allnutt, F.C. Characterization of a Taura syndrome virus isolate originating from the 2004 Texas epizootic in cultured shrimp. Arch. Virol. 2010, 155, 315–327. [Google Scholar] [CrossRef] [PubMed]
- Lightner, D.V. Global transboundry disease politics: The OIE perspective. J. Invertebr. Pathol. 2012, 110, 184–187. [Google Scholar] [CrossRef] [PubMed]
- Shike, H.; Dhar, A.K.; Burns, J.C.; Shimizu, C.; Jousset, F.X.; Klimpel, K.R.; Bergoin, M. Infectious Hypodermal and Hematopoietic Necrosis Virus of Shrimp Is Related to Mosquito Brevidensoviruses. Virology 2000, 277, 167–177. [Google Scholar] [CrossRef]
- Van Hulten, M.C.W.; Witteveldt, J.; Peters, S.; Kloosterboer, N.; Tarchini, R.; Fiers, M.; Sandbrink, H.; Lankhorst, R.K.; Vlak, J.M. The white spot syndrome virus DNA genome sequence. Virology 2001, 286, 7–22. [Google Scholar] [CrossRef] [PubMed]
- Mari, J.; Poulos, B.T.; Lightner, D.V.; Bonami, J.R. Shrimp Taura syndrome virus: Genomic characterization and similarity with members of the genus Cricket paralysis-like viruses. J. Gen. Virol. 2002, 83, 915–926. [Google Scholar] [CrossRef] [PubMed]
- Sittidilokratna, N.; Hodgson, R.; Cowley, J.; Jitrapakdee, S.; Boonsaeng, V.; Panyim, S.; Walker, P. Complete ORF1b-gene sequence indicates yellow head virus is an invertebrate nidovirus. Dis. Aquat. Organ. 2002, 50, 87–93. [Google Scholar] [CrossRef] [PubMed]
- Poulos, B.T.; Tang, K.F.J.; Pantoja, C.R.; Bonami, J.R.; Lightner, D.V. Purification and characterization of infectious myonecrosis virus of penaeid shrimp. J. Gen. Virol. 2006, 87, 987–996. [Google Scholar] [CrossRef] [PubMed]
- Andrade, T.P.D.; Flores, R.C.; Mai, H.N.; Dhar, A.K. Novel infectious Myonecrosis virus (IMNV) variant is associated with recent disease outbreaks in Penaeus vannamei shrimp in Brazil. Aquaculture 2022, 554, 738159. [Google Scholar] [CrossRef]
- Cruz-Flores, R.; Dhar, A.K.; Andrade, T.P.D.; Mai, H.N.; Alenton, R.R.R. Identification of a novel calicivirus with nuclear localization associated with mass mortalities in cultured whiteleg shrimp (Penaeus vannamei). In Aquaculture 2022; Society, W.A., Ed.; San Diego, CA, USA, 2022; p. 448. [Google Scholar]
- Brown, K.; Olendraite, I.; Valles, S.M.; Firth, A.E.; Chen, Y.; Guéerin, D.M.A.; Hashimoto, Y.; Herrero, S.; de Miranda, J.R.; Ryabov, E.; et al. ICTV virus taxonomy profile: Solinviviridae. J. Gen. Virol. 2019, 100, 736–737. [Google Scholar] [CrossRef] [PubMed]
- Valles, S.M.; Hashimoto, Y. Isolation and characterization of Solenopsis invicta virus 3, a new positive-strand RNA virus infecting the red imported fire ant, Solenopsis invicta. Virology 2009, 388, 354–361. [Google Scholar] [CrossRef] [PubMed]
- Valles, S.M.; Oi, D.H.; Becnel, J.J.; Wetterer, J.K.; LaPolla, J.S.; Firth, A.E. Isolation and characterization of Nylanderia fulva virus 1, a positive-sense, single-stranded RNA virus infecting the tawny crazy ant, Nylanderia fulva. Virology 2016, 496, 244–254. [Google Scholar] [CrossRef]
- Valles, S.M.; Strong, C.A.; Dang, P.M.; Hunter, W.B.; Pereira, R.M.; Oi, D.H.; Shapiro, A.M.; Williams, D.F. A picorna-like virus from the red imported fire ant, Solenopsis invicta: Initial discovery, genome sequence, and characterization. Virology 2004, 328, 151–157. [Google Scholar] [CrossRef]
- Shi, M.; Lin, X.D.; Tian, J.H.; Chen, L.J.; Chen, X.; Li, C.X.; Qin, X.C.; Li, J.; Cao, J.P.; Eden, J.S.; et al. Redefining the invertebrate RNA virosphere. Nature 2016, 540, 539–543. [Google Scholar] [CrossRef]
- Andrade, T.P.D.; Srisuvan, T.; Tang, K.F.J.; Lightner, D.V. Real-time reverse transcription polymerase chain reaction assay using TaqMan probe for detection and quantification of Infectious myonecrosis virus (IMNV). Aquaculture 2007, 264, 9–15. [Google Scholar] [CrossRef]
- Kearse, M.; Moir, R.; Wilson, A.; Stones-Havas, S.; Cheung, M.; Sturrock, S.; Buxton, S.; Cooper, A.; Markowitz, S.; Duran, C.; et al. Geneious Basic: An integrated and extendable desktop software platform for the organization and analysis of sequence data. Bioinformatics 2012, 28, 1647–1649. [Google Scholar] [CrossRef] [PubMed]
- Altschul, S.F.; Gish, W.; Miller, W.; Myers, E.W.; Lipman, D.J. Basic local alignment search tool. J. Mol. Biol. 1990, 215, 403–410. [Google Scholar] [CrossRef]
- Nguyen Ba, A.N.; Pogoutse, A.; Provart, N.; Moses, A.M. NLStradamus: A simple Hidden Markov Model for nuclear localization signal prediction. BMC Bioinform. 2009, 10, 202. [Google Scholar] [CrossRef]
- Kumar, S.; Stecher, G.; Tamura, K. MEGA7: Molecular Evolutionary Genetics Analysis Version 7.0 for Bigger Datasets. Mol. B 2018, 33, 1870–1874. [Google Scholar] [CrossRef] [PubMed]
- Untergasser, A.; Cutcutache, I.; Koressaar, T.; Ye, J.; Faircloth, B.C.; Remm, M.; Rozen, S.G. Primer3-new capabilities and interfaces. Nucleic Acids Res. 2012, 40, e115. [Google Scholar] [CrossRef] [PubMed]
- Bell, T.A.; Lightner, D.V. A Handbook of Normal Penaeid Shrimp Histology, 1st ed.; World Aquaculture Society: Baton Rouge, LA, USA, 1988. [Google Scholar]
- Lightner, D.D.V. A Handbook of Shrimp Pathology and Diagnostic Procedures for Diseases of Cultured Penaeid Shrimp, 1st ed.; World Aquaculture Society: Baton Rouge, LA, USA, 1996. [Google Scholar]
- Cruz-Flores, R.; Mai, H.N.; Noble, B.L.; Schofield, P.J.; Dhar, A.K. Detection of Enterocytozoon hepatopenaei using an invasive but non-lethal sampling method in shrimp (Penaeus vannamei). J. Microbiol. Methods 2019, 162, 38–41. [Google Scholar] [CrossRef] [PubMed]
- Senapin, S.; Phewsaiya, K.; Briggs, M.; Flegel, T.W. Outbreaks of infectious myonecrosis virus (IMNV) in Indonesia confirmed by genome sequencing and use of an alternative RT-PCR detection method. Aquaculture 2007, 266, 32–38. [Google Scholar] [CrossRef]
- Longshaw, M.; Bateman, K.S.; Stebbing, P.; Stentiford, G.D.; Hockley, F.A. Disease risks associated with the importation and release of non-native crayfish species into mainland Britain. Aquat. Biol. 2012, 16, 1–15. [Google Scholar] [CrossRef]
- Srisala, J.; Thaiue, D.; Saguanrut, P. Wenzhou shrimp virus 8 (WZV8) diagnosis by unique inclusions in shrimp hepatopancreatic E-cells and by RT-PCR. bioRxiv 2022, 8, 1–20. [Google Scholar]
- Liu, S.; Xu, T.; Wang, C.; Jia, T.; Zhang, Q. A Novel Picornavirus Discovered in White Leg Shrimp Penaeus vannamei. Viruses 2021, 13, 2381. [Google Scholar] [CrossRef]
- Huerlimann, R.; Wade, N.M.; Gordon, L.; Montenegro, J.D.; Goodall, J.; McWilliam, S.; Tinning, M.; Siemering, K.; Giardina, E.; Donovan, D.; et al. De novo assembly, characterization, functional annotation and expression patterns of the black tiger shrimp (Penaeus monodon) transcriptome. Sci. Rep. 2018, 8, 13553. [Google Scholar] [CrossRef]
- Yang, Y.T.; Nai, Y.S.; Lee, S.J.; Lee, M.R.; Kim, S.; Kim, J.S. A novel picorna-like virus, Riptortus pedestris virus-1 (RiPV-1), found in the bean bug, R. pedestris, after fungal infection. J. Invertebr. Pathol. 2016, 141, 57–65. [Google Scholar] [CrossRef]
- Vinjé, J.; Estes, M.K.; Esteves, P.; Green, K.Y.; Katayama, K.; Knowles, N.J.; L’Homme, Y.; Martella, V.; Vennema, H.; White, P.A. Ictv Report Consortium ICTV Virus Taxonomy Profile: Caliciviridae. J. Gen. Virol. 2019, 100, 1469–1470. [Google Scholar] [CrossRef]
- Brown, K.; Olendraite, I.; Valles, S.M.; Firth, A.E.; Chen, Y.; Guérin, D.M.A.; Hashimoto, Y.; Herrero, S.; de Miranda, J.R.; Ryabov, E. Solinviviridae. Available online: https://ictv.global/report/chapter/solinviviridae/solinviviridae (accessed on 20 September 2022).
- Valles, S.M.; Porter, S.D.; Firth, A.E. Solenopsis invicta virus 3: Pathogenesis and stage specificity in red imported fire ants. Virology 2014, 461, 66–71. [Google Scholar] [CrossRef]




| Primer/Probe Name | Primer Sequence (5′ to 3′) | Product Size (nt) |
|---|---|---|
| 3136 F (Set 1) | TACGCCACGAACGAGAACAA | 133 |
| 3268 R (Set 1) | GGACAGCGACAAAGACGAGA | |
| Probe 3159 (Set 1) | [FAM]CGTCGTGACTACTCTCACCG [TAM] |
| Virus | Accession | Query Cover (%) | E-Value | Percent Identity (%) |
|---|---|---|---|---|
| Whole Genome | ||||
| Wenzhou shrimp virus 8 | KX883984.1 | 98 | 0.0 | 93.14 |
| Penaeus vannamei picornavirus | UIU06302.1 | 75 | 0.0 | 94.67 |
| Penaeus vannamei picornavirus | UIU06303.1 | 23 | 0.0 | 82.72 |
| Helicase | ||||
| Hypothetical protein (Wenzhou shrimp virus 8) | YP_009336733.1 | 100 | 4 × 10−63 | 100.00 |
| Penaeus vannamei picornavirus | UIU06302.1 | 75 | 5 × 10−63 | 100.00 |
| Hypothetical protein (Diabrotica virgifera virgifera virus 3) | YP_009352234.1 | 95 | 2 × 10−12 | 35.05 |
| RNA-dependent RNA polymerase | ||||
| Hypothetical protein (Wenzhou shrimp virus 8) | YP_009336733.1 | 100 | 0.0 | 99.22 |
| Penaeus vannamei picornavirus | UIU06302.1 | 100 | 0.0 | 99.18 |
| Hypothetical protein (Hubei picorna-like virus 49) | YP_009336567.1 | 89 | 6 × 10−7 | 34.45 |
| Year | State | Location | Sample | IMNV Ct Value | PvSV Ct Value |
|---|---|---|---|---|---|
| 2016 | Ceará | Aracati CE01 | 2016.1 | 29 | 35 |
| 2017 | Ceará | Alto Santo CE02 | 2017.5 | 32 | 24 |
| Ceará | Jaguaruana CE03 | 2017.16 | ND | 20 | |
| 2018 | Piaui | Mexeriqueira PI1 | 2018.04 | 24 | 37 |
| Ceará | Alto Santo CE04 | 2018.06 | 15 | ND | |
| Piaui | Mexeriqueira PI2 | 2018.07 | 27 | 34 | |
| Ceará | Camocim CE21 | 2018.08 | 18 | 28 | |
| Ceará | Camocim CE05 | 2018.21 | 28 | 38 | |
| Maranhão | Perizes de baixo MA01 | 2018.42 | 10 | 36 | |
| 2019 | Ceará | Jaguaruana CE06 | 2019.14 | ND | ND |
| Ceará | Jaguaruana CE14 | 2019.14 | 31 | 27 | |
| Pará | PA01 | 2019.16 | 18 | 33 | |
| Ceará | Aracati CE07 | 2019.42 | 32 | 34 |
Publisher’s Note: MDPI stays neutral with regard to jurisdictional claims in published maps and institutional affiliations. |
© 2022 by the authors. Licensee MDPI, Basel, Switzerland. This article is an open access article distributed under the terms and conditions of the Creative Commons Attribution (CC BY) license (https://creativecommons.org/licenses/by/4.0/).
Share and Cite
Cruz-Flores, R.; Andrade, T.P.D.; Mai, H.N.; Alenton, R.R.R.; Dhar, A.K. Identification of a Novel Solinvivirus with Nuclear Localization Associated with Mass Mortalities in Cultured Whiteleg Shrimp (Penaeus vannamei). Viruses 2022, 14, 2220. https://doi.org/10.3390/v14102220
Cruz-Flores R, Andrade TPD, Mai HN, Alenton RRR, Dhar AK. Identification of a Novel Solinvivirus with Nuclear Localization Associated with Mass Mortalities in Cultured Whiteleg Shrimp (Penaeus vannamei). Viruses. 2022; 14(10):2220. https://doi.org/10.3390/v14102220
Chicago/Turabian StyleCruz-Flores, Roberto, Thales P.D. Andrade, Hung N. Mai, Rod Russel R. Alenton, and Arun K. Dhar. 2022. "Identification of a Novel Solinvivirus with Nuclear Localization Associated with Mass Mortalities in Cultured Whiteleg Shrimp (Penaeus vannamei)" Viruses 14, no. 10: 2220. https://doi.org/10.3390/v14102220
APA StyleCruz-Flores, R., Andrade, T. P. D., Mai, H. N., Alenton, R. R. R., & Dhar, A. K. (2022). Identification of a Novel Solinvivirus with Nuclear Localization Associated with Mass Mortalities in Cultured Whiteleg Shrimp (Penaeus vannamei). Viruses, 14(10), 2220. https://doi.org/10.3390/v14102220

