Tick-Borne Encephalitis Virus (TBEV) Infection in Two Horses
Abstract
:1. Introduction
2. Case Presentations
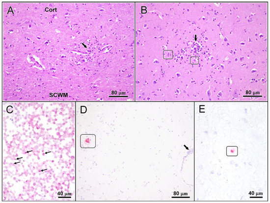
2.1. Case 1—Germany
2.2. Case 2—Austria
3. Discussion
4. Conclusions
Author Contributions
Funding
Institutional Review Board Statement
Informed Consent Statement
Data Availability Statement
Acknowledgments
Conflicts of Interest
References
- Böhm, B.; Schade, B.; Bauer, B.; Hoffmann, B.; Hoffmann, D.; Ziegler, U.; Beer, M.; Klaus, C.; Weissenböck, H.; Böttcher, J. Tick-borne encephalitis in a naturally infected sheep. BMC Vet. Res. 2017, 13, 267. [Google Scholar] [CrossRef] [Green Version]
- Schneider, H. Über epidemische akute ‘Meningitis serosa’. Wien. Klin. Wochenschr. 1931, 44, 350–352. [Google Scholar]
- Slàvik, I.; Mayer, V.; Mrena, E. Morphology of purified tick-borne encephalitis virus. Acta Virol. 1967, 11, 66. [Google Scholar]
- Beauté, J.; Spiteri, G.; Warns-Petit, E.; Zeller, H. Tick-borne encephalitis in Europe, 2012 to 2016. Surveill. Outbreak Rep. 2018, 23, 45. [Google Scholar] [CrossRef] [Green Version]
- Holzmann, H.; Aberle, S.W.; Stiasny, K.; Werner, P.; Mischak, A.; Zainer, B.; Netzer, M.; Koppi, S.; Bechter, E.; Heinz, F.X. Tick-borne encephalitis from eating goatcheese in a mountain region of Austria. Emerg. Infect. Dis. 2009, 15, 1671–1673. [Google Scholar] [CrossRef] [PubMed]
- Suss, J. Tick-borne encephalitis in Europe and beyond–the epidemiological situation as of 2007. Eurosurveillance 2008, 13, 717–727. [Google Scholar] [CrossRef]
- Kaiser, R. The clinical and epidemiological profile of tick-borne encephalitis in southern Germany 1994–1998: A prospective study of 656 patients. Brain 1999, 122, 2067–2078. [Google Scholar] [CrossRef] [PubMed] [Green Version]
- Gustafson, R.; Svenungsson, B.; Forsgren, M.; Gardulf, A.; Granström, M. Two-year survey of the incidence of Lyme borreliosis and tick-borne encephalitis in a high-risk population in Sweden. Eur. J. Clin. Microbiol. Infect. Dis. 1992, 11, 894–900. [Google Scholar] [CrossRef] [PubMed]
- ECDC Technical Report. Epidemiological Situation of Tick-Borne Encephalitis in the European Union and European Free Trade Association Countries. European Centre for Disease Prevention and Control. Available online: https://www.ecdc.europa.eu/sites/portal/files/media/en/publications/Publications/TBE-in-EU-EFTA.pdf (accessed on 1 October 2020).
- Robert-Koch-Institute. FSME: Risikogebiete in Deutschland [TBE risk areas in Germany]. Epid. Bull. 2018, 17, 161–176. [Google Scholar]
- Boelke, M.; Bestehorn, M.; Marchwald, B.; Kubinski, M.; Liebig, K.; Glanz, J.; Schulz, C.; Dobler, G.; Monazahian, M.; Becker, S.C. First Isolation and Phylogenetic Analyses of Tick-Borne Encephalitis Virus in Lower Saxony, Germany. Viruses 2019, 11, 462. [Google Scholar] [CrossRef] [PubMed] [Green Version]
- Österreichischer Verband der Impfstoffhersteller. Available online: https://oevih.at/ (accessed on 5 October 2020).
- Reiner, B.; Fischer, A. Frühsommer-Meningoenzephalitis (FSME) beim Hund in Deutschland: Zwei Fallberichte. Kleintierpraxis 1998, 43, 255–269. [Google Scholar]
- Weissenböck, H.; Suchy, A.; Holzmann, H. Tick-borne encephalitis in dogs: Neuropathological findings and distribution of antigen. Acta Neuropathol. 1998, 95, 361–366. [Google Scholar] [CrossRef] [PubMed]
- Süss, J.; Gelpi, E.; Klaus, C.; Bagon, A.; Liebler-Tenorio, E.M.; Budka, H.; Stark, B.; Müller, W.; Hotzel, H. Tickborne encephalitis in naturally exposed monkey (Macaca sylvanus). Emerg. Infect. Dis. 2007, 13, 905–907. [Google Scholar] [CrossRef] [PubMed]
- Waldvogel, A.; Matile, H.; Wegmann, C. Zeckenenzephalitis beim Pferd. Schweiz Arch. Tierheilkd. 1981, 123, 227–233. [Google Scholar] [PubMed]
- Luckschander, N.; Kölbel, S.; Enzesberger, O.; Zipko, H.T.; Thalhammer, J.G. Frühsommermeningoenzepahlitis-(FSME)Infektion in einer österreichischen Pferdepopulation. Tierarztl Prax Aus G Grosstiere Nutztiere 1999, 27, 235–238. [Google Scholar]
- Janitza-Futterer, D. Seroepidemiological Investigation of Endemic TBE Infection in A Horse and Dog Population in Southwestern Germany. Ph.D. Thesis, Ludwig-Maximilians University, Munich, Germany, 2013. [Google Scholar]
- Mayhew, I.G. Neurologic Evaluation. In Large Animal Neurology; Mayhew, I.G., Ed.; Lea and Febiger: Philadelphia, PE, USA, 1989. [Google Scholar]
- Pease, A.; Behan, A.; Bohart, G. Ultrasound-guided cervical centesis to obtain cerebrospinal fluid in the standing horse. Vet. Radiol. Ultrasound 2012, 53, 92–95. [Google Scholar] [CrossRef]
- Bitschi, M.; Bagó, Z.; Rosati, M.; Reese, S.; Goehring, L.S.; Matiasek, K. A Systematic Approach to Dissection of the Equine Brain–Evaluation of a Species-Adapted Protocol for Beginners and Experts. Front. Neuroanat. 2020, 14, 101. [Google Scholar] [CrossRef]
- Scaramozzino, N.; Crance, J.-M.; Jouan, A.; DeBriel, D.A.; Stoll, F.; Garin, D. Comparison of Flavivirus Universal Primer Pairs and Development of a Rapid, Highly Sensitive Heminested Reverse Transcription-PCR Assay for Detection of Flaviviruses Targeted to a Conserved Region of the NS5 Gene Sequence. J. Clin. Microb. 2001, 39, 1922–1927. [Google Scholar] [CrossRef] [Green Version]
- Kolodziejek, J.; Marinov, M.; Kiss, B.J.; Alexe, V.; Nowotny, N. The Complete Sequence of a West Nile Virus Lineage 2 Strain Detected in a Hyalomma marginatum marginatum Tick Collected from a Song Thrush (Turdus philomelos) in Eastern Romania in 2013 Revealed Closted Genetic Relationship to Strain Volgograd 2007. PLoS ONE 2014, 9, e109905. [Google Scholar] [CrossRef] [Green Version]
- Liesche, F.; Ruf, V.; Zoubaa, S.; Kaletka, G.; Rosati, M.; Rubbenstroth, D.; Herden, C.; Goehring, L.; Wunderlich, S.; Wachter, M.F.; et al. The neuropathology of fatal encephalomyelitis in human Borna virus infection. Acta Neuropathol. 2019, 138, 653–665. [Google Scholar] [CrossRef] [Green Version]
- Schindler, A.R.; Vögtlin, A.; Hilbe, M.; Puorger, M.; Zlinszky, K.; Ackermann, M.; Ehrensperger, F. Reverse transcription real-time PCR assays for detection and quantification of Borna disease virus in diseased hosts. Mol. Cell Probes 2007, 21, 47–55. [Google Scholar] [CrossRef]
- Kolodziejek, J.; Dürrwald, R.; Herzog, S.; Ehrensperger, F.; Lussy, H.; Nowotny, N. Genetic clustering of Borna disease virus natural animal isolates, laboratory and vaccine strains strongly reflects their regional geographical origin. J. Gen. Virol. 2005, 86, 385–398. [Google Scholar] [CrossRef]
- Goehring, L.S.; van Winden, S.C.; van Maanen, C.; Sloet van Oldruitenborgh-Oosterbaan, M.M. Equine herpesvirus type 1-associated myeloencephalopathy in The Netherlands: A four-year retrospective study (1999–2003). J. Vet. Intern. Med. 2006, 24, 1176–1183. [Google Scholar] [CrossRef]
- Richt, J.A.; Grabner, A.; Herzog, S. Borna disease in horses. Vet. Clin. N. Am. Equine Pract. 2000, 16, 579–595. [Google Scholar] [CrossRef]
- Hilbe, M.; Herrsche, R.; Kolodziejek, J.; Nowotny, N.; Zlinszky, K.; Ehrensperger, F. Shrews as reservoir hosts of borna disease virus. Emerg Infect. Dis. 2006, 12, 675–677. [Google Scholar] [CrossRef]
- Sauder, C.; Staeheli, P. Rat Model of Borna Disease Virus Transmission: Epidemiological Implications. J. Virol. 2003, 77, 12886–12890. [Google Scholar] [CrossRef] [Green Version]
- Bilzer, T.; Stitz, L. Brain cell lesions in Borna disease are mediated by T cells. Arch. Virol. Suppl. 1993, 7, 153–158. [Google Scholar] [PubMed]
- Weissenböck, H.; Bagó, Z.; Kolodziejek, J.; Hager, B.; Palmetzhofer, G.; Dürrwald, R.; Nowotny, N. Infections of horses and shrews with Bornaviruses in Upper Austria: A novel endemic area of Borna disease. Emerg. Microbes Infect. 2017, 21, e52. [Google Scholar] [CrossRef] [PubMed] [Green Version]
- Grabner, A.; Herzog, S.; Lange-Herbst, H.; Frese, K. Die Intra-vitam-Diagnose der Bornaschen Krankheit (BD) bei Equiden. Pferdeheilkunde 2002, 18, 579–586. [Google Scholar] [CrossRef] [Green Version]
- Lange, H.; Herzog, S.; Herbst, W.; Schließer, T. Seroepidemiologische Untersuchungen zur Bornaschen Krankheit (Ansteckende Gehirn- und Rückenmarksentzündung der Pferde). Tierärztl Umschau 1987, 12, 938–946. [Google Scholar]
- Stickle, J.E.; McKnight, C.A.; Williams, K.J.; Carr, E.A. Diarrhea and hyperammonemia in a horse with progressive neurologic signs. Vet. Clin. Pathol. 2006, 35, 250–253. [Google Scholar] [CrossRef]
- Kosenko, E.; Kaminsky, Y.; Grau, E.; Miñana, M.D.; Marcaida, G.; Grisolia, S.; Felipo, V. Brain ATP depletion induced by acute ammonia intoxication in rats is mediated by activation of the NMDA receptor and Na+,K+-ATPase. J. Neurochem. 1994, 63, 2172–2178. [Google Scholar] [CrossRef]
- Kosenko, E.; Kaminsky, Y.; Kaminsky, A.; Valencia, M.; Lee, L.; Hermenegildo, C.; Felipo, V. Superoxide production and antioxidant enzymes in ammonia intoxication in rats. Free Radic. Res. 1997, 27, 637–644. [Google Scholar] [CrossRef]
- Albrecht, J.; Jones, E.A. Hepatic encephalopathy: Molecular mechanisms underlying the clinical syndrome. Neurol. Sci. 1999, 170, 138–146. [Google Scholar] [CrossRef]
- Divers, T.J.; Barton, M.H. Disorders of the Liver. In Equine Internal Medicine, 4th ed.; Reed, S.M., Warwick, M.B., Sellon, D.C., Eds.; Elsevier: St. Louis, MO, USA, 2018. [Google Scholar]
- Müller, J.M.V.; Schulze, M.; Herder, V.; Lautenschläger, I.; Baumgärtner, W.; Feige, K. Ataxia and weakness as uncommon primary manifestations of hepatic encephalopathy in a 15-year-old trotter gelding. Equine Vet. Educ. 2011, 23, 5. [Google Scholar] [CrossRef]
- Labuda, M.; Austyn, J.M.; Zuffova, E.; Kozuch, O.; Fuchsberger, N.; Lysy, J.; Nuttall, P.A. Importance of localized skin infection in tick-borne encephalitis virus transmission. Virology 1996, 219, 357–366. [Google Scholar] [CrossRef] [PubMed]
- Nuttall, P.A.; Labuda, M. Dynamics of infection in tick vectors and at the tick-host interface. Adv. Virus Res. 2003, 60, 233–272. [Google Scholar]
- Jaenson, T.G.; Hjertqvist, M.; Bergström, T.; Lundkvist, A. Why is tick-borne encephalitis increasing? A review of the key factors causing the increasing incidence of human TBE in Sweden. Parasit. Vectors 2012, 5, 184. [Google Scholar] [CrossRef] [Green Version]
- Klaus, C.; Beer, M.; Saier, R.; Schau, U.; Moog, U.; Hoffman, B.; Diller, R.; Sűss, J. Goats and sheep as sentinels for tick-borne encephalitis (TBE) virus—Epidemiological studies in areas endemic and non-endemic for TBE virus in Germany. Ticks Tick-Borne Dis. 2012, 3, 27–37. [Google Scholar] [CrossRef] [PubMed]
- Dörrbecker, B.; Dobler, G.; Spiegel, M.; Hufert, F.T. Tick-borne encephalitis virus and the immune response of the mammalian host. Travel Med. Infect. Dis. 2010, 8, 213–222. [Google Scholar] [CrossRef]
- Haglund, M.; Gunther, G. Tick-borne encephalitis: Pathogenesis, clinical course and long-term follow-up. Vaccine 2003, 21, 11–18. [Google Scholar] [CrossRef]
- Růžek, D.; Salát, J.; Singh, S.K.; Kopecký, J. Breakdown of the blood-brain barrier during tick-borne encephalitis in mice is not dependent on CD8+ T-cells. PLoS ONE 2011, 6, e20472. [Google Scholar] [CrossRef] [Green Version]
- Bílý, T.; Palus, M.; Eyer, L.; Elsterová, J.; Vancová, M.; Růžek, D. Electron tomography analysis of tick-borne encephalitis virus infection in human neurons. Sci. Rep. 2015, 15, 10745. [Google Scholar] [CrossRef] [PubMed] [Green Version]
- Hayasaka, D.; Nagata, N.; Fujii, Y.; Hasegawa, H.; Sata, T.; Suzuki, R.; Gould, E.A.; Takashima, I.; Koike, S. Mortality following peripheral infection with tick-borne encephalitis virus results from a combination of central nervous system pathology, systemic inflammatory and stress responses. Virology 2009, 390, 139–150. [Google Scholar] [CrossRef]
- Růzek, D.; Salát, J.; Palus, M.; Gritsun, T.S.; Gould, E.A.; Dyková, I.; Skallová, A.; Jelínek, J.; Kopecký, J.; Grubhoffer, L. CD8+ T-cells mediate immunopathology in tick-borne encephalitis. Virology 2009, 384, 1–6. [Google Scholar] [CrossRef]
- Del Piero, F.; Robertson, J.L. The Basics of Equine Neuropathology. In Equine Neurology, 2nd ed.; Furr, M., Reed, S., Eds.; Wiley Blackwell: Ames, IA, USA, 2015. [Google Scholar]
- Gelpi, E.; Preusser, M.; Garzuly, F.; Holzmann, H.; Heinz, F.X.; Budka, H. Visualization of Central European tick-borne encephalitis infection in fatal human cases. J. Neuropathol. Exp. Neurol. 2005, 64, 506–512. [Google Scholar] [CrossRef] [PubMed] [Green Version]
- Holzmann, H. Diagnosis of tick-borne encephalitis. Vaccine 2003, 21, 36–40. [Google Scholar] [CrossRef]
- Long, M.T. Mosquito-Borne Infections Affecting the Central Nervous System. In Equine Neurology, 2nd ed.; Furr, M., Reed, S., Eds.; Wiley Blackwell: Ames, IA, USA, 2015. [Google Scholar]
- Smithburn, K.C.; Hughes, T.P.; Burke, A.W.; Paul, J.H. A neurotropic virus isolated from the blood of a native of Uganda. Am. J. Trop. Med. Hyg. 1940, 20, 471–473. [Google Scholar] [CrossRef]
- Tierseuchengeschehen. Friedrich-Löffler-Institute. Available online: https://www.fli.de/de/aktuelles/tierseuchengeschehen/west-nil-virus/ (accessed on 8 October 2020).
- Bunning, M.L.; Bowen, R.A.; Cropp, C.B.; Sullivan, K.G.; Davis, B.S.; Komar, N.; Godsey, M.S.; Baker, D.; Hettler, D.L.; Holmes, D.A.; et al. Experimental infection of horses with West Nile virus. Emerg. Infect. Dis. 2002, 8, 380–386. [Google Scholar] [CrossRef]
- Guthrie, A.J.; Howell, P.G.; Gardner, I.A.; Swanepoel, R.E.; Nurton, J.P.; Harper, C.K.; Pardini, A.; Groenewald, D.; Visage, C.W.; Hedges, J.F.; et al. West Nile virus infection of Thoroughbred horses in South Africa (2000–2001). Equine Vet. J. 2003, 35, 601–605. [Google Scholar] [CrossRef]
- Porter, M.B.; Long, M.T.; Getman, L.M.; Giguère, S.; MacKay, R.J.; Lester, G.D.; Alleman, A.R.; Wamsley, H.L.; Franklin, R.P.; Jacks, S.; et al. West Nile virus encephalomyelitis in horses: 46 cases (2001). J. Am. Vet. Assoc. 2003, 222, 1241–1247. [Google Scholar] [CrossRef] [PubMed]
- Cantile, C.; Di Guardo, G.; Eleni, C.; Arispici, M. Clinical and neuropathological features of West Nile Virus equine encephalomyelitis in Italy. Equine Vet. J. 2000, 32, 31–35. [Google Scholar] [CrossRef]
- Ziegler, U.; Seidowski, D.; Angenvoort, J.; Eiden, M.; Müller, K.; Nowotny, N.; Groschup, M.H. Monitoring of West Nile Virus Infections in Germany. Zoonoses Public Health 2012, 59, 95–101. [Google Scholar] [CrossRef] [PubMed]
- Holzmann, H. Pitfalls in modern TBE sero-diagnosis. Zent. Bakteriol. 1999, 289, 548–549. [Google Scholar] [CrossRef]
- Klaus, C.; Ziegler, U.; Kalthoff, D.; Hoffmann, B.; Beer, M. Tick-borne encephalitis virus (TBEV)—Findings on cross reactivity and longevity of TBEV antibodies in animal sera. BMC Vet. Res. 2014, 10, 78. [Google Scholar] [CrossRef] [Green Version]
- Rockstroh, A.; Moges, B.; Berneck, B.S.; Sattler, T.; Revilla-Fernández, S.; Schmoll, F.; Pacenti, M.; Sinigaglia, A.; Barzon, L.; Schmidt-Chanasit, J.; et al. Specific detection and differentiation of tick-borne encephalitis and West Nile virus induced IgG antibodies in humans and horses. Transbound Emerg. Dis. 2019, 66, 1701–1708. [Google Scholar] [CrossRef] [PubMed]

Publisher’s Note: MDPI stays neutral with regard to jurisdictional claims in published maps and institutional affiliations. |
© 2021 by the authors. Licensee MDPI, Basel, Switzerland. This article is an open access article distributed under the terms and conditions of the Creative Commons Attribution (CC BY) license (https://creativecommons.org/licenses/by/4.0/).
Share and Cite
Conze, T.M.; Bagó, Z.; Revilla-Fernández, S.; Schlegel, J.; Goehring, L.S.; Matiasek, K. Tick-Borne Encephalitis Virus (TBEV) Infection in Two Horses. Viruses 2021, 13, 1775. https://doi.org/10.3390/v13091775
Conze TM, Bagó Z, Revilla-Fernández S, Schlegel J, Goehring LS, Matiasek K. Tick-Borne Encephalitis Virus (TBEV) Infection in Two Horses. Viruses. 2021; 13(9):1775. https://doi.org/10.3390/v13091775
Chicago/Turabian StyleConze, Theresa Maria, Zoltán Bagó, Sandra Revilla-Fernández, Jürgen Schlegel, Lutz S. Goehring, and Kaspar Matiasek. 2021. "Tick-Borne Encephalitis Virus (TBEV) Infection in Two Horses" Viruses 13, no. 9: 1775. https://doi.org/10.3390/v13091775
APA StyleConze, T. M., Bagó, Z., Revilla-Fernández, S., Schlegel, J., Goehring, L. S., & Matiasek, K. (2021). Tick-Borne Encephalitis Virus (TBEV) Infection in Two Horses. Viruses, 13(9), 1775. https://doi.org/10.3390/v13091775

