Distinguishing Features Common to Dual Fatal Herpes Simplex Virus Infections That Occur in Both a Pregnant Woman and Her Newborn Infant
Abstract
:1. Introduction
2. Evolution of the Viruses
3. Past Published Cases of Dual Infection with Dual Deaths
3.1. Case 1, Minnesota, USA
3.2. Case 2, Massachusetts, USA
3.3. Case 3, Bogota, Columbia
3.4. Case 4, Bogota, Columbia
3.5. Case 5, Bogota, Columbia
3.6. Case 6, Texas, USA
3.7. Case 7, Missouri, USA
3.8. Case 8, Louisiana, USA
3.9. Case 9, Michigan, USA
3.10. Case 10, Hamburg, Germany
3.11. Case 11, South Carolina, USA
3.12. Case 12, Texas, USA
3.13. Case 13, California, USA
3.14. Case 14, Ohio, USA
3.15. Case 15, Iowa, USA
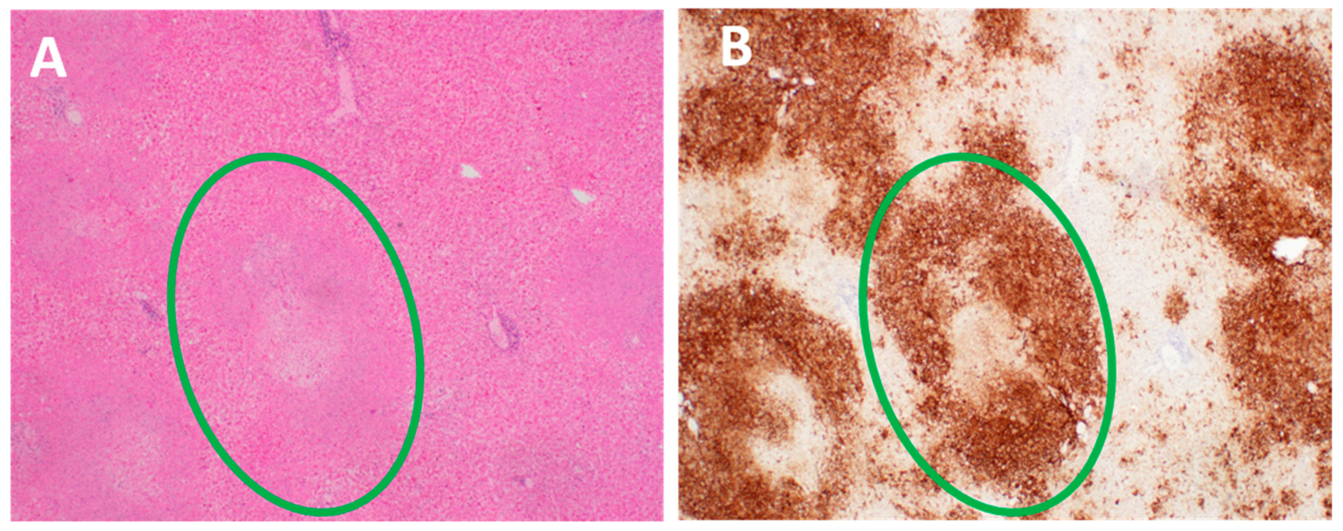
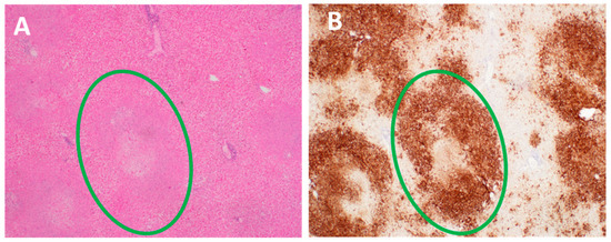
4. A Recent Case of Fatal Dual Infection
5. Pathogenesis of Fatal Herpes Infection in Infected Pregnant Women
6. Herpesvirus Diagnostic Testing
7. Genomic Analyses of the HSV-1 Strains
8. Conclusions
Author Contributions
Funding
Acknowledgments
Conflicts of Interest
References
- Melvin, A.J.; Mohan, K.M.; Vora, S.B.; Selke, S.; Sullivan, E.; Wald, A. Neonatal herpes simplex virus infection: Epidemiology and outcomes in the modern era. J. Pediatric Infect. Dis. Soc. 2021. [Google Scholar] [CrossRef]
- Nahmias, A.J.; Roizman, B. Infection with herpes-simplex viruses 1 and 2. N. Engl. J. Med. 1973, 289, 667–674. [Google Scholar] [CrossRef]
- Stevens, J.G. Latent herpes simplex virus and the nervous system. Curr. Top. Microbiol. Immunol. 1975, 70, 31–50. [Google Scholar] [PubMed]
- Bloom, D.C. Alphaherpesvirus Latency: A Dynamic State of Transcription and Reactivation. Adv. Virus Res. 2016, 94, 53–80. [Google Scholar]
- Sawtell, N.M.; Thompson, R.L. Alphaherpesvirus Latency and Reactivation with a Focus on Herpes Simplex Virus. Curr. Issues Mol. Biol. 2021, 41, 267–356. [Google Scholar] [CrossRef]
- Juretic, M. Natural history of herpetic infection. Helv. Paediatr. Acta 1966, 21, 356–368. [Google Scholar]
- Wertheim, R.A.; Brooks, B.J., Jr.; Rodriguez, F.H., Jr.; Lesesne, H.R.; Jennette, J.C. Fatal herpetic hepatitis in pregnancy. Obstet. Gynecol. 1983, 62 (Suppl. 3), 38s–42s. [Google Scholar] [PubMed]
- Young, E.J.; Chafizadeh, E.; Oliveira, V.L.; Genta, R.M. Disseminated herpesvirus infection during pregnancy. Clin. Infect. Dis. 1996, 22, 51–58. [Google Scholar] [CrossRef] [PubMed] [Green Version]
- Kimberlin, D.W. Herpes simplex virus infections in neonates and early childhood. Semin. Pediatr. Infect. Dis. 2005, 16, 271–281. [Google Scholar] [CrossRef]
- McGeoch, D.J.; Davison, A.J. The molecular evolutionary history of the herpesviruses. In Origin and Evolution of Viruses; Domingo, E., Webster, R., Holland, J., Eds.; Academic Press: New York, NY, USA, 1999; pp. 441–465. [Google Scholar]
- Davison, A.J. Herpesvirus systematics. Vet. Microbiol. 2010, 143, 52–69. [Google Scholar] [CrossRef] [PubMed] [Green Version]
- Wertheim, J.O.; Hostager, R.; Ryu, D.; Merkel, K.; Angedakin, S.; Arandjelovic, M.; Ayimisin, E.A.; Babweteera, F.; Bessone, M.; Brun-Jeffery, K.J.; et al. Discovery of Novel Herpes Simplexviruses in Wild Gorillas, Bonobos, and Chimpanzees Supports Zoonotic Origin of HSV-2. Mol. Biol. Evol. 2021, 38, 2818–2830. [Google Scholar] [CrossRef] [PubMed]
- Sharp, P.M.; Hahn, B.H. Origins of HIV and the AIDS pandemic. Cold Spring Harb. Perspect. Med. 2011, 1, a006841. [Google Scholar] [CrossRef] [Green Version]
- Johanson, D.C. Lucy’s Legacy: The Quest for Human Origins; Random House: New York, NY, USA, 2009. [Google Scholar]
- Grose, C.; Johanson, D.C. Transmission of Cytomegalovirus, Epstein-Barr Virus, and Herpes Simplex Virus Infections: From the Lucy Australopithecus Epoch to Modern-Day Netherlands. J. Pediatr. 2016, 170, 9–10. [Google Scholar] [CrossRef] [Green Version]
- Szpara, M.L.; Gatherer, D.; Ochoa, A.; Greenbaum, B.; Dolan, A.; Bowden, R.J.; Enquist, L.W.; Legendre, M.; Davison, A.J. Evolution and diversity in human herpes simplex virus genomes. J. Virol. 2014, 88, 1209–1227. [Google Scholar] [CrossRef] [PubMed] [Green Version]
- Grose, C. Pangaea and the Out-of-Africa Model of Varicella-Zoster Virus Evolution and Phylogeography. J. Virol. 2012, 86, 9558–9565. [Google Scholar] [CrossRef] [PubMed] [Green Version]
- Rawls, W.E.; Dyck, P.J.; Klass, D.W.; Greer, H.D., 3rd; Herrmann, E.C., Jr. Encephalitis associated with herpes simplex virus. Ann. Intern. Med. 1966, 64, 104–115. [Google Scholar] [CrossRef]
- Jewett, J.F. Committee on Maternal Welfare Herpes simplex encephalitis. N. Engl. J. Med. 1975, 292, 531. [Google Scholar] [CrossRef]
- Roman-Campos, G.; Navarro de Roman, L.I.; Toro, G.; Vergara, I. Herpes encephalitis in pregnancy. Am. J. Obstet. Gynecol. 1979, 135, 158–159. [Google Scholar] [CrossRef]
- Goyette, R.E.; Donowho, E.M., Jr.; Hieger, L.R.; Plunkett, G.D. Fulminant herpesvirus hominis hepatitis during pregnancy. Obstet. Gynecol. 1974, 43, 191–195. [Google Scholar]
- Kobbermann, T.; Clark, L.; Griffin, W.T. Maternal death secondary to disseminated herpesvirus hominis. Am. J. Obstet. Gynecol. 1980, 137, 742–743. [Google Scholar] [CrossRef]
- Hamory, B.H.; Luger, A.; Kobberman, T. Herpesvirus hominis hepatitis of mother and newborn infant. South. Med. J. 1981, 74, 992–995. [Google Scholar] [CrossRef]
- Goyert, G.L.; Bottoms, S.F.; Sokol, R.J. Anicteric presentation of fatal herpetic hepatitis in pregnancy. Obstet. Gynecol. 1985, 65, 585–588. [Google Scholar] [PubMed]
- Jacques, S.M.; Qureshi, F. Herpes simplex virus hepatitis in pregnancy: A clinicopathologic study of three cases. Hum. Pathol. 1992, 23, 183–187. [Google Scholar] [CrossRef]
- Wolf, H.; Kuhler, O.; Henke, P.; Klose, G. Liver dystrophy in disseminated herpes simplex infection in pregnancy. Geburtshilfe Frauenheilkd. 1992, 52, 123–125. [Google Scholar] [CrossRef]
- Gelven, P.L.; Gruber, K.K.; Swiger, F.K.; Cina, S.J.; Harley, R.A. Fatal disseminated herpes simplex in pregnancy with maternal and neonatal death. South. Med. J. 1996, 89, 732–734. [Google Scholar] [CrossRef] [PubMed]
- Frederick, D.M.; Bland, D.; Gollin, Y. Fatal disseminated herpes simplex virus infection in a previously healthy pregnant woman. A case report. J. Reprod. Med. 2002, 47, 591–596. [Google Scholar] [PubMed]
- Natu, A.; Iuppa, G.; Packer, C.D. Herpes Simplex Virus Hepatitis: A Presentation of Multi-Institutional Cases to Promote Early Diagnosis and Management of the Disease. Case Rep. Hepatol. 2017, 2017, 3180984. [Google Scholar] [CrossRef] [Green Version]
- Masadeh, M.; Shen, H.; Lee, Y.; Gunderson, A.; Brown, K.; Bellizzi, A.; Tanaka, T. A fatal case of herpes simplex virus hepatitis in a pregnant patient. Intractable Rare Dis. Res. 2017, 6, 124–127. [Google Scholar] [CrossRef] [PubMed] [Green Version]
- Shipley, M.M.; Renner, D.W.; Pandey, U.; Ford, B.; Bloom, D.C.; Grose, C.; Szpara, M.L. Personalized viral genomic investigation of herpes simplex virus 1 perinatal viremic transmission with dual fatality. Cold Spring Harb. Mol. Case Stud. 2019, 5, a004382. [Google Scholar] [CrossRef] [PubMed] [Green Version]
- Rath, W.; Tsikouras, P.; Stelzl, P. HELLP Syndrome or Acute Fatty Liver of Pregnancy: A Differential Diagnostic Challenge: Common Features and Differences. Geburtshilfe Frauenheilkd. 2020, 80, 499–507. [Google Scholar] [CrossRef]
- Whitley, R.J. Herpes simplex encephalitis: Adolescents and adults. Antiviral. Res. 2006, 71, 141–148. [Google Scholar] [CrossRef]
- Kennedy, P.G.; Steiner, I. Recent issues in herpes simplex encephalitis. J. Neurovirol. 2013, 19, 346–350. [Google Scholar] [CrossRef] [PubMed]
- Young, E.J.; Killam, A.P.; Greene, J.F., Jr. Disseminated herpesvirus infection. Association with primary genital herpes in pregnancy. JAMA 1976, 235, 2731–2733. [Google Scholar] [CrossRef] [PubMed]
- Pass, R.F.; Hutto, S.C.; Reynolds, D.W.; Polhill, R.B. Increased frequency of cytomegalovirus infection in children in group day care. Pediatrics 1984, 74, 121–126. [Google Scholar] [CrossRef] [PubMed]
- Xu, F.; Lee, F.K.; Morrow, R.A.; Sternberg, M.R.; Luther, K.E.; Dubin, G.; Markowitz, L.E. Seroprevalence of herpes simplex virus type 1 in children in the United States. J. Pediatr. 2007, 151, 374–377. [Google Scholar] [CrossRef] [PubMed]
- Vontver, L.A.; Hickok, D.E.; Brown, Z.; Reid, L.; Corey, L. Recurrent genital herpes simplex virus infection in pregnancy: Infant outcome and frequency of asymptomatic recurrences. Am. J. Obstet. Gynecol. 1982, 143, 75–84. [Google Scholar] [CrossRef]
- Corey, L.; Wald, A. Maternal and neonatal herpes simplex virus infections. N. Engl. J. Med. 2009, 361, 1376–1385. [Google Scholar] [CrossRef] [PubMed] [Green Version]
- Kurtz, J.B. Specific IgG and IgM antibody responses in herpes-simplex-virus infections. J. Med. Microbiol. 1974, 7, 333–341. [Google Scholar] [CrossRef] [PubMed]
- Evans, A.S. Viral Infections of Humans, 1st ed.; Plenum Publishing: New York, NY, USA, 1976. [Google Scholar]
- Mulligan, M.J.; Lyke, K.E.; Kitchin, N.; Absalon, J.; Gurtman, A.; Lockhart, S.; Neuzil, K.; Raabe, V.; Bailey, R.; Swanson, K.A.; et al. Phase I/II study of COVID-19 RNA vaccine BNT162b1 in adults. Nature 2020, 586, 589–593. [Google Scholar] [CrossRef]
- Ashley-Morrow, R.; Krantz, E.; Wald, A. Time course of seroconversion by HerpeSelect ELISA after acquisition of genital herpes simplex virus type 1 (HSV-1) or HSV-2. Sex. Transm. Dis. 2003, 30, 310–314. [Google Scholar] [CrossRef]
- Kuhn, J.E.; Dunkler, G.; Munk, K.; Braun, R.W. Analysis of the IgM and IgG antibody response against herpes simplex virus type 1 (HSV-1) structural and nonstructural proteins. J Med Virol 1987, 23, 135–150. [Google Scholar] [CrossRef] [PubMed]
- Newcomb, W.W.; Juhas, R.M.; Thomsen, D.R.; Homa, F.L.; Burch, A.D.; Weller, S.K.; Brown, J.C. The UL6 gene product forms the portal for entry of DNA into the herpes simplex virus capsid. J. Virol. 2001, 75, 10923–10932. [Google Scholar] [CrossRef] [Green Version]
- Dodd, K.C.; Michael, B.D.; Ziso, B.; Williams, B.; Borrow, R.; Krishnan, A.; Solomon, T. Herpes simplex virus encephalitis in pregnancy—A case report and review of reported patients in the literature. BMC Res. Notes 2015, 8, 118. [Google Scholar] [CrossRef] [PubMed] [Green Version]
- Donda, K.; Sharma, M.; Amponsah, J.K.; Bhatt, P.; Okaikoi, M.; Chaudhari, R.; Dapaah-Siakwan, F. Trends in the incidence, mortality, and cost of neonatal herpes simplex virus hospitalizations in the United States from 2003 to 2014. J. Perinatol. 2019, 39, 697–707. [Google Scholar] [CrossRef] [PubMed]
- Slutsker, J.S.; Schillinger, J.A. Assessing the Burden of Infant Deaths Due to Herpes Simplex Virus, Human Immunodeficiency Virus, and Congenital Syphilis: United States, 1995 to 2017. Sex. Transm. Dis. 2021, 48, S4–S10. [Google Scholar] [CrossRef] [PubMed]
- Johnston, C.; Gottlieb, S.L.; Wald, A. Status of vaccine research and development of vaccines for herpes simplex virus. Vaccine 2016, 34, 2948–2952. [Google Scholar] [CrossRef] [PubMed] [Green Version]
- Patel, C.D.; Backes, I.M.; Taylor, S.A.; Jiang, Y.; Marchant, A.; Pesola, J.M.; Coen, D.M.; Knipe, D.M.; Ackerman, M.E.; Leib, D.A. Maternal immunization confers protection against neonatal herpes simplex mortality and behavioral morbidity. Sci. Transl. Med. 2019, 11, eaau6039. [Google Scholar] [CrossRef] [PubMed]





| Case # | Year | Age | Serotype | Findings at Death | Day of Death | Reference |
|---|---|---|---|---|---|---|
| 1 | 1966 | 31 | unk a | Encephalitis | 10 | [18] |
| 2 | 1975 | 28 | unk | Encephalitis | 11 | [19] |
| 3 | 1979 | 20 | unk | Encephalitis | 14 | [20] |
| 4 | 1979 | 22 | unk | Encephalitis | 3 | [20] |
| 5 | 1979 | 17 | unk | Encephalitis | 14 | [20] |
| 6 | 1974 | 23 | 1 | Liver necrosis | 0.5 | [21] |
| 7 | 1980 | 21 | 2 | Liver necrosis | 12 | [22,23] b |
| 8 | 1982 | 33 | unk | Liver necrosis | 14 | [7] |
| 9 | 1985 | 18 | unk | Liver necrosis | 9 | [24,25] b |
| 10 | 1992 | 20 | 2 | Liver necrosis | 4 | [26] |
| 11 | 1996 | 30 | 2 | Liver necrosis | 9 | [27] |
| 12 | 1996 | 21 | 2 | Liver necrosis | 8 | [8] |
| 13 | 2002 | 27 | 2 | Liver necrosis | 18 | [28] |
| 14 | 2017 | 18 | 2 | Liver necrosis | 9 | [29] |
| 15 | 2017 | 41 | 1 | Liver necrosis | 7 | [30,31] b |
| Case # | Year | Serotype | Maternal Infection | GA (Weeks) | Age at Death (Days) | Antiviral |
|---|---|---|---|---|---|---|
| 1 | 1966 | Unk | encephalitis | 28 | IUFD | No |
| 2 | 1975 | Unk | encephalitis | 28 | 0 | No |
| 3 | 1979 | Unk | encephalitis | 28 | 0 | No |
| 4 | 1979 | Unk | encephalitis | 16 | 0 | No |
| 5 | 1979 | Unk | encephalitis | 24 | 0 | No |
| 6 | 1974 | 1 | disseminated | 28 | IUFD | No |
| 7 | 1980 | 2 | disseminated | 36 | 10 | No |
| 8 | 1982 | Unk | disseminated | 25 | IUFD | No |
| 9 | 1985 | Unk | disseminated | 34 | 2 | No |
| 10 | 1992 | 2 | disseminated | 34 | 14 | Yes |
| 11 | 1996 | 2 | disseminated | 32 | 11 | Yes |
| 12 | 1996 | 2 | disseminated | 13 | IUFD | No |
| 13 | 2002 | 2 | disseminated | 27 | 1 | No |
| 14 | 2017 | 2 | disseminated | 26 | 4 | No |
| 15 | 2017 | 1 | disseminated | 30 | 5 | Yes |
Publisher’s Note: MDPI stays neutral with regard to jurisdictional claims in published maps and institutional affiliations. |
© 2021 by the authors. Licensee MDPI, Basel, Switzerland. This article is an open access article distributed under the terms and conditions of the Creative Commons Attribution (CC BY) license (https://creativecommons.org/licenses/by/4.0/).
Share and Cite
Price, N.B.; Wood, K.E. Distinguishing Features Common to Dual Fatal Herpes Simplex Virus Infections That Occur in Both a Pregnant Woman and Her Newborn Infant. Viruses 2021, 13, 2542. https://doi.org/10.3390/v13122542
Price NB, Wood KE. Distinguishing Features Common to Dual Fatal Herpes Simplex Virus Infections That Occur in Both a Pregnant Woman and Her Newborn Infant. Viruses. 2021; 13(12):2542. https://doi.org/10.3390/v13122542
Chicago/Turabian StylePrice, Nathan B., and Kelly E. Wood. 2021. "Distinguishing Features Common to Dual Fatal Herpes Simplex Virus Infections That Occur in Both a Pregnant Woman and Her Newborn Infant" Viruses 13, no. 12: 2542. https://doi.org/10.3390/v13122542
APA StylePrice, N. B., & Wood, K. E. (2021). Distinguishing Features Common to Dual Fatal Herpes Simplex Virus Infections That Occur in Both a Pregnant Woman and Her Newborn Infant. Viruses, 13(12), 2542. https://doi.org/10.3390/v13122542

