RIPK1 Is Cleaved by 3C Protease of Rhinovirus A and B Strains and Minor and Major Groups
Abstract
:1. Introduction
2. Materials and Methods
2.1. Cells
2.2. Viruses
2.3. Infections and Cell Treatments
2.4. Western Blot
2.5. Image Analysis
2.6. Viral Replication Assays
2.7. Flow Cytometry
2.8. Statistical Analysis
3. Results
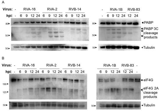
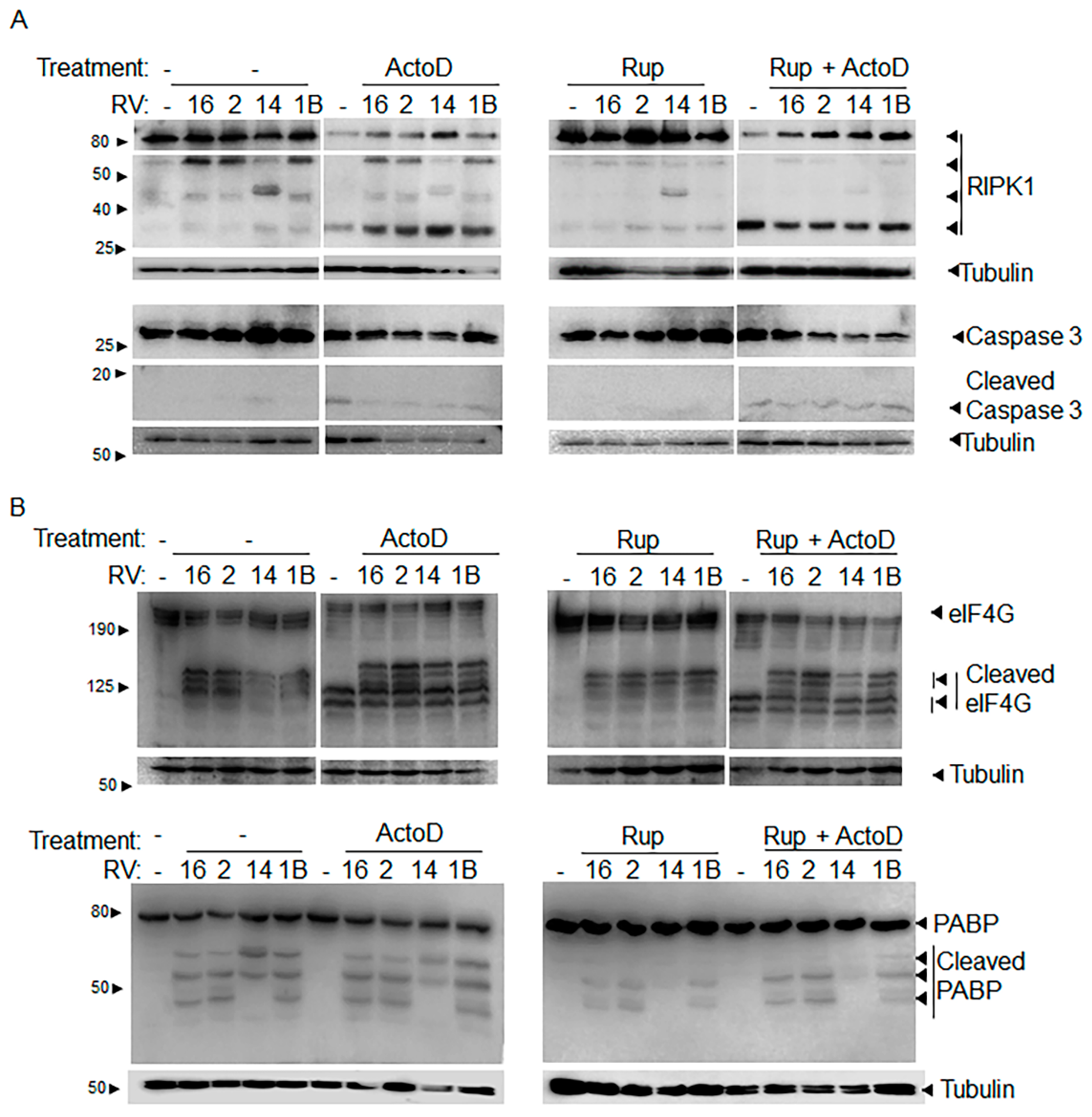
3.1. Infection with All RV Strains Tested Results in RIPK1 Cleavage
3.2. Treatment of Infected Cells with Rupintrivir Prevents RIPK1 Cleavage
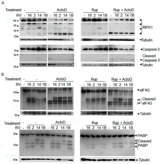
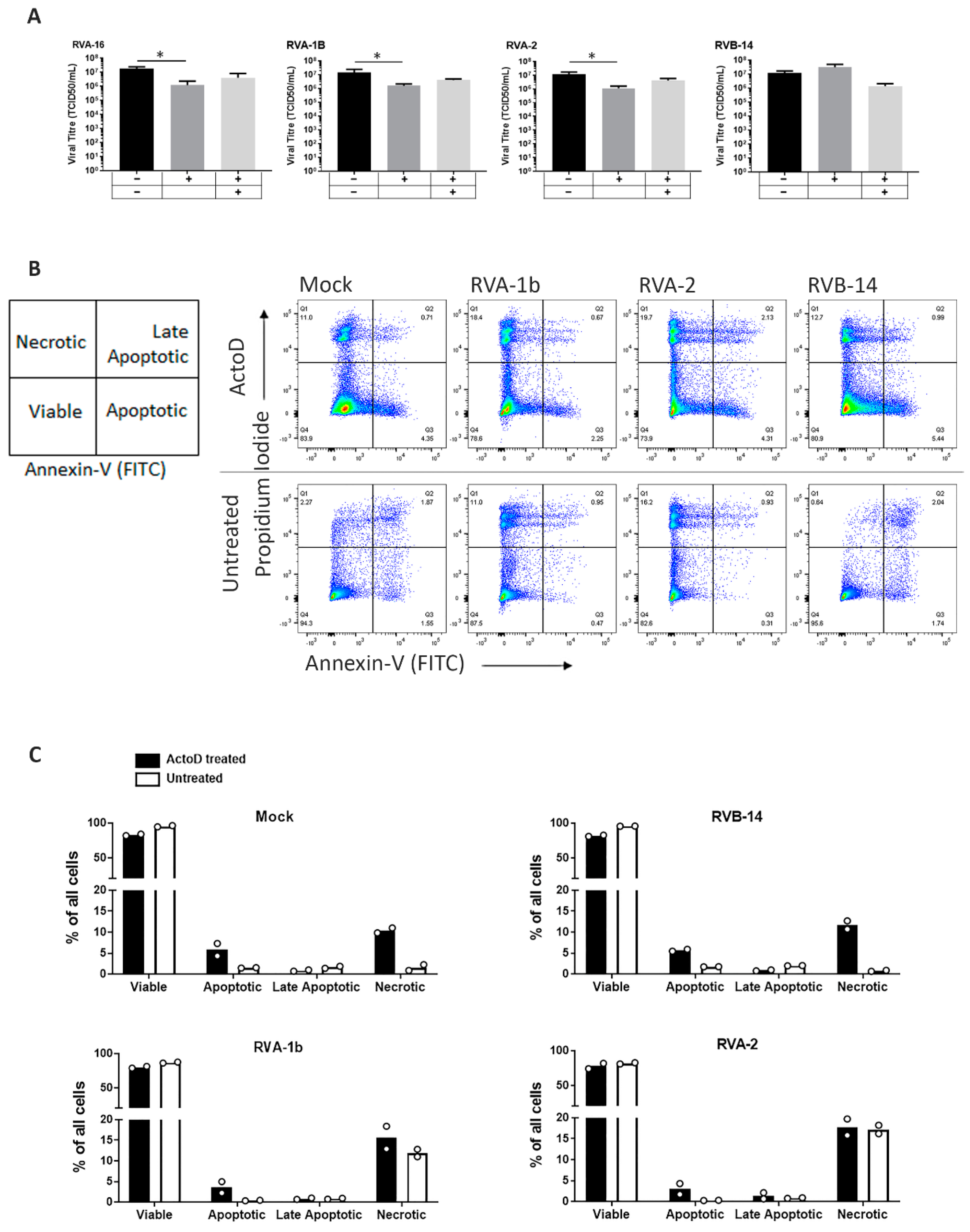
3.3. Apoptosis Induction by ActoD Inhibits RVs of Species A, but Not Species B
3.4. Subgroup A, but Not Subgroup B, Strains Modulate Apoptosis
4. Discussion
5. Conclusions
Author Contributions
Funding
Institutional Review Board Statement
Informed Consent Statement
Data Availability Statement
Acknowledgments
Conflicts of Interest
References
- Belov, G.A.; Romanova, L.I.; Tolskaya, E.A.; Kolesnikova, M.S.; Lazebnik, Y.A.; Agol, V.I. The major apoptotic pathway activated and suppressed by poliovirus. J. Virol. 2003, 77, 45–56. [Google Scholar] [CrossRef] [PubMed] [Green Version]
- Croft, S.N.; Walker, E.J.; Ghildyal, R. Picornaviruses and apoptosis: Subversion of cell death. mBio 2017, 8, e01009-17. [Google Scholar] [CrossRef] [Green Version]
- Deszcz, L.; Gaudernak, E.; Kuechler, E.; Seipelt, J. Apoptotic events induced by human rhinovirus infection. J. Gen. Virol. 2005, 86, 1379–1389. [Google Scholar] [CrossRef] [PubMed]
- Wark, P.A.; Johnston, S.L.; Bucchieri, F.; Powell, R.; Puddicombe, S.; Laza-Stanca, V.; Holgate, S.T.; Davies, D.E. Asthmatic bronchial epithelial cells have a deficient innate immune response to infection with rhinovirus. J. Exp. Med. 2005, 201, 937–947. [Google Scholar] [CrossRef] [PubMed] [Green Version]
- Croft, S.N.; Walker, E.J.; Ghildyal, R. Human rhinovirus 3c protease cleaves ripk1, concurrent with caspase 8 activation. Sci. Rep. 2018, 8, 1569. [Google Scholar] [CrossRef] [PubMed] [Green Version]
- Othumpangat, S.; Regier, M.; Piedimonte, G. Nerve growth factor modulates human rhinovirus infection in airway epithelial cells by controlling icam-1 expression. Am. J. Physiol. Lung Cell. Mol. Physiol. 2012, 302, L1057–L1066. [Google Scholar] [CrossRef] [PubMed]
- Lotzerich, M.; Roulin, P.S.; Boucke, K.; Witte, R.; Georgiev, O.; Greber, U.F. Rhinovirus 3c protease suppresses apoptosis and triggers caspase-independent cell death. Cell Death Dis. 2018, 9, 272. [Google Scholar] [CrossRef] [PubMed] [Green Version]
- Tenev, T.; Bianchi, K.; Darding, M.; Broemer, M.; Langlais, C.; Wallberg, F.; Zachariou, A.; Lopez, J.; MacFarlane, M.; Cain, K. The ripoptosome, a signaling platform that assembles in response to genotoxic stress and loss of iaps. Mol. Cell 2011, 43, 432–448. [Google Scholar] [CrossRef] [PubMed]
- Wang, L.; Du, F.; Wang, X. Tnf-α induces two distinct caspase-8 activation pathways. Cell 2008, 133, 693–703. [Google Scholar] [CrossRef] [PubMed] [Green Version]
- Lin, Y.; Devin, A.; Rodriguez, Y.; Liu, Z.G. Cleavage of the death domain kinase rip by caspase-8 prompts tnf-induced apoptosis. Genes Dev. 1999, 13, 2514–2526. [Google Scholar] [CrossRef] [PubMed]
- Linkermann, A.; Green, D.R. Necroptosis. N. Engl. J. Med. 2014, 370, 455–465. [Google Scholar] [CrossRef] [PubMed] [Green Version]
- Liu, Z.; Silke, J.; Hildebrand, J.M. Methods for studying tnf-mediated necroptosis in cultured cells. Methods Mol. Biol. 2018, 1857, 53–61. [Google Scholar] [PubMed]
- Zhou, W.; Yuan, J. Necroptosis in health and diseases. Semin. Cell Dev. Biol. 2014, 35, 14–23. [Google Scholar] [CrossRef] [Green Version]
- Suda, J.; Dara, L.; Yang, L.; Aghajan, M.; Song, Y.; Kaplowitz, N.; Liu, Z.X. Knockdown of ripk1 markedly exacerbates murine immune-mediated liver injury through massive apoptosis of hepatocytes, independent of necroptosis and inhibition of nf-kappab. J. Immunol. 2016, 197, 3120–3129. [Google Scholar] [CrossRef]
- Cuchet-Lourenco, D.; Eletto, D.; Wu, C.; Plagnol, V.; Papapietro, O.; Curtis, J.; Ceron-Gutierrez, L.; Bacon, C.M.; Hackett, S.; Alsaleem, B.; et al. Biallelic ripk1 mutations in humans cause severe immunodeficiency, arthritis, and intestinal inflammation. Science 2018, 361, 810–813. [Google Scholar] [CrossRef] [PubMed] [Green Version]
- Li, Y.; Fuhrer, M.; Bahrami, E.; Socha, P.; Klaudel-Dreszler, M.; Bouzidi, A.; Liu, Y.; Lehle, A.S.; Magg, T.; Hollizeck, S.; et al. Human ripk1 deficiency causes combined immunodeficiency and inflammatory bowel diseases. Proc. Natl. Acad. Sci. USA 2019, 116, 970–975. [Google Scholar] [CrossRef] [PubMed] [Green Version]
- Walker, E.; Jensen, L.; Croft, S.; Wei, K.; Fulcher, A.J.; Jans, D.A.; Ghildyal, R. Rhinovirus 16 2a protease affects nuclear localization of 3cd during infection. J. Virol. 2016, 90, 11032–11042. [Google Scholar] [CrossRef] [PubMed] [Green Version]
- Sun, R.; Cheng, E.; Velasquez, C.; Chang, Y.; Moore, P.S. Mitosis-related phosphorylation of the eukaryotic translation suppressor 4e-bp1 and its interaction with eukaryotic translation initiation factor 4e (eif4e). J. Biol. Chem. 2019, 294, 11840–11852. [Google Scholar] [CrossRef] [Green Version]
- Binford, S.L.; Weady, P.T.; Maldonado, F.; Brothers, M.A.; Matthews, D.A.; Patick, A.K. In vitro resistance study of rupintrivir, a novel inhibitor of human rhinovirus 3c protease. Antimicrob. Agents Chemother. 2007, 51, 4366–4373. [Google Scholar] [CrossRef] [PubMed] [Green Version]
- Kawatkar, S.P.; Gagnon, M.; Hoesch, V.; Tiong-Yip, C.; Johnson, K.; Ek, M.; Nilsson, E.; Lister, T.; Olsson, L.; Patel, J.; et al. Design and structure–activity relationships of novel inhibitors of human rhinovirus 3c protease. Bioorg. Med. Chem. Lett. 2016, 26, 3248–3252. [Google Scholar] [CrossRef]
- Watters, K.; Palmenberg, A.C. Differential processing of nuclear pore complex proteins by rhinovirus 2a proteases from different species and serotypes. J. Virol. 2011, 85, 10874–10883. [Google Scholar] [CrossRef] [PubMed] [Green Version]
- Neubauer, D.; Aumayr, M.; Gösler, I.; Skern, T. Specificity of human rhinovirus 2a(pro) is determined by combined spatial properties of four cleavage site residues. J. Gen. Virol. 2013, 94, 1535–1546. [Google Scholar] [CrossRef] [PubMed]
- Callahan, P.L.; Mizutani, S.; Colonno, R.J. Molecular cloning and complete sequence determination of rna genome of human rhinovirus type 14. Proc. Natl. Acad. Sci. USA 1985, 82, 732–736. [Google Scholar] [CrossRef] [PubMed] [Green Version]
- Sommergruber, W.; Ahorn, H.; Zöphel, A.; Maurer-Fogy, I.; Fessl, F.; Schnorrenberg, G.; Liebig, H.D.; Blaas, D.; Kuechler, E.; Skern, T. Cleavage specificity on synthetic peptide substrates of human rhinovirus 2 proteinase 2a. J. Biol. Chem. 1992, 267, 22639–22644. [Google Scholar] [CrossRef]
- Skern, T.; Torgersen, H.; Auer, H.; Kuechler, E.; Blaas, D. Human rhinovirus mutants resistant to low ph. Virology 1991, 183, 757–763. [Google Scholar] [CrossRef]
- Binford, S.L.; Maldonado, F.; Brothers, M.A.; Weady, P.T.; Zalman, L.S.; Meador, J.W.; Matthews, D.A.; Patick, A.K. Conservation of amino acids in human rhinovirus 3c protease correlates with broad-spectrum antiviral activity of rupintrivir, a novel human rhinovirus 3c protease inhibitor. Antimicrob. Agents Chemother. 2005, 49, 619–626. [Google Scholar] [CrossRef] [PubMed] [Green Version]
- Jagdeo, J.M.; Dufour, A.; Klein, T.; Solis, N.; Kleifeld, O.; Kizhakkedathu, J.; Luo, H.; Overall, C.M.; Jan, E. N-terminomics tails identifies host cell substrates of poliovirus and coxsackievirus b3 3c proteinases that modulate virus infection. J. Virol. 2018, 92, e02211–e02217. [Google Scholar] [CrossRef] [PubMed] [Green Version]
- Meng, H.; Liu, Z.; Li, X.; Wang, H.; Jin, T.; Wu, G.; Shan, B.; Christofferson, D.E.; Qi, C.; Yu, Q.; et al. Death-domain dimerization-mediated activation of ripk1 controls necroptosis and ripk1-dependent apoptosis. Proc. Natl. Acad. Sci. USA 2018, 115, E2001–E2009. [Google Scholar] [CrossRef] [PubMed] [Green Version]
- Moriwaki, K.; Chan, F.K.-M. Rip3: A molecular switch for necrosis and inflammation. Genes Dev. 2013, 27, 1640–1649. [Google Scholar] [CrossRef] [PubMed] [Green Version]
- Orozco, S.; Yatim, N.; Werner, M.R.; Tran, H.; Gunja, S.Y.; Tait, S.W.; Albert, M.L.; Green, D.R.; Oberst, A. Ripk1 both positively and negatively regulates ripk3 oligomerization and necroptosis. Cell Death Differ. 2014, 21, 1511–1521. [Google Scholar] [CrossRef] [PubMed] [Green Version]




Publisher’s Note: MDPI stays neutral with regard to jurisdictional claims in published maps and institutional affiliations. |
© 2021 by the authors. Licensee MDPI, Basel, Switzerland. This article is an open access article distributed under the terms and conditions of the Creative Commons Attribution (CC BY) license (https://creativecommons.org/licenses/by/4.0/).
Share and Cite
Croft, S.N.; Walker, E.J.; Ghildyal, R. RIPK1 Is Cleaved by 3C Protease of Rhinovirus A and B Strains and Minor and Major Groups. Viruses 2021, 13, 2402. https://doi.org/10.3390/v13122402
Croft SN, Walker EJ, Ghildyal R. RIPK1 Is Cleaved by 3C Protease of Rhinovirus A and B Strains and Minor and Major Groups. Viruses. 2021; 13(12):2402. https://doi.org/10.3390/v13122402
Chicago/Turabian StyleCroft, Sarah N., Erin J. Walker, and Reena Ghildyal. 2021. "RIPK1 Is Cleaved by 3C Protease of Rhinovirus A and B Strains and Minor and Major Groups" Viruses 13, no. 12: 2402. https://doi.org/10.3390/v13122402
APA StyleCroft, S. N., Walker, E. J., & Ghildyal, R. (2021). RIPK1 Is Cleaved by 3C Protease of Rhinovirus A and B Strains and Minor and Major Groups. Viruses, 13(12), 2402. https://doi.org/10.3390/v13122402

