Abstract
DNA analysis of environmental samples (eDNA) provides a non-intrusive approach to identify organisms, characterize biological communities, and assess biodiversity, including the detection and monitoring of invasive plant effects. However, the use of eDNA for specific applications, such as targeted-species detection, geographic and floral source tracing, and assessment of invasive plant ecological and environmental effects, requires the development of species-specific genetic primers. Chinese tallow (Triadica sebifera (L.) Small) is a non-native high-impact invader, capable of changing fire regimes, native biodiversity, nutrient cycling, and wildlife habitat and populations, that is expanding in range and abundance throughout the southern United States. In this study, we investigated and identified specific genetic sites, markers, in the tallow chloroplast genome and developed sets of primers for tallow eDNA detection. Two sets of tallow primers were developed, tallow-specific primers and tallow-related primers. Both sets of primers can be used for tallow eDNA detection, with higher target specificity for tallow-specific primers. Primers were subsequently validated for target specificity against closely related species, samples of tallow tissue, and honey and honey bee-collected pollen from areas with tallow. We found that tallow-specific primers differentiated tallow eDNA from closely related species, demonstrating target specificity. Furthermore, a sequence analysis of the tallow-related primers in the polymerase chain reaction accurately distinguished members of the Hippomaninae subtribe, including tallow, from other subtribe or subfamily members within the Euphorbiaceae. Ultimately, the genetic markers and the corresponding sets of primers will facilitate eDNA analysis of tallow for several applications, including detection and monitoring in water and soil, assurance of honey quality and floral source tracing, and perhaps serving as a model for determining plant use by pollinators.
Keywords:
popcorn tree; eDNA; genetic markers; primers; floral source tracing; invasive plants; honey; honey bee; pollinator 1. Introduction
Non-native invasive plants are those capable of ecological, economic, or human health harm [1]. Several invasive plant species have resulted in substantial changes to North American ecosystems, including regime shifts and changes to ecosystem services [2,3]. Such plants often negatively impact native biodiversity, wildlife habitat, forest productivity, and fire behavior [3,4,5,6,7]. Detection of invasive plants through DNA analysis provides a better accounting of their extent and ecological impacts, whereas visual surveys can only allow for the delimitation of existing distributions and presence [8]. Moreover, plant invasion can lead to both negative and positive socioeconomic effects (e.g., reducing native flora abundance but providing a nectar-rich resource for pollinators), further complicating control and management decisions, as well as detection needs and priorities [3,9].
DNA analysis of environmental samples provides an efficient and non-intrusive sampling approach for detection of organisms, characterization of biological communities, and biodiversity monitoring [8,10,11]. Environmental DNA (eDNA) was defined as genetic material obtained from environmental samples (e.g., soil, sediment, and water) rather than biological source material [8]. The use of eDNA for targeted invasive plant species detection may allow for a better understanding of invasive plant interactions within its environment, including pollinator–plant relationships [8]. For example, tracking target species’ DNA in water samples may allow for the evaluation of their downstream impact on water quality and aquatic organisms [10]. In soil samples, the identification of invasive plant roots and leaf litter fragments may allow for an examination of their effects on soil fauna and nutrients [12]. eDNA can also be used to trace the geographic origin of a sample for quality assurance of commercial products, such as honey [13], and allows for the examination of pollinator foraging preferences [14].
Genetic marker development for targeted species detection in DNA samples [14,15,16,17] facilitates the evaluation of invasive plants’ genetic diversity, genotype identification, reconstruction of introduction history, and genetic-phenotype mapping [17,18]. The application of nuclear, chloroplast, and mitochondrial DNA polymorphisms as biochemical markers in population genetic analyses of forest trees presents many benefits, especially in understanding genetic relationships within and among populations of woody species [19]. Plant molecular systematics and DNA barcoding techniques depend significantly on the utilization of chloroplast gene sequences [20].
Chinese tallow [Triadica sebifera (L.) Small, Euphorbiaceae], hereafter referred to as tallow, is a non-native tree introduced to the southern United States in the 1700s to establish local soap and oil industries and is currently favored by beekeepers as forage for honey production [7,21,22]. Tallow is native to China, Taiwan, and northern Vietnam, with naturalized populations in Japan, India, Pakistan, Bangladesh, Sudan, Europe, Australia, Panama, and Peru [9,18,23]. Within its native range, it is cultivated for a variety of uses, including food, medicine, and industrial applications [22]. In the southern United States, tallow is prevalent in Louisiana, Texas, and Mississippi, especially within prairie and flatwood ecosystems [24,25]. Over the past eight decades, tallow continued to spread northward and inland, with areas of an annual extreme minimum temperature of less than 12.2 °C representing the northern limit of tallow’s naturalized populations in the southern United States [25]. DNA analysis of tallow populations within the introduced and native ranges showed higher genetic diversity in the native range [18]. Within the introduced range, tallow populations in Texas and Louisiana were most similar to northeastern Chinese populations and were characterized as better seed producers and faster growers than populations in the eastern portions of the introduced range [18]. This highlights the importance of differences in native source and introduction history in tallow spread dynamics within the tallow-introduced range.
The use of eDNA for tallow detection, assurance of honey quality and floral source, assessment of tallow’s impact on water and soil, and evaluation of tallow’s contribution to pollinator and honey bee (Apis mellifera L.; Apidae) foraging and nutrition requires the development of tallow-specific primers. This study aims to develop tallow-specific chloroplast markers and primers based on single-nucleotide polymorphism (SNP) for accurate detection, monitoring, and assessment in eDNA fragments. We adopted the recommended steps from Freeland [10] for eDNA primer design that provide a generalized sequences of steps for developing genetic markers for the detection of targeted and non-targeted species from multiple sites, which can also be applied to other non-native invasive plants. Genetic markers were developed using complete chloroplast gene sequences obtained from the National Center for Biotechnology Information (NCBI) GenBank database (http://blast.ncbi.nlm.nih.gov/Blast.cgi, accessed on 31 January 2025) and were subsequently tested against positive and negative controls. Polymerase chain reaction (PCR) amplification, DNA sequencing, and phylogenetic analysis were used to validate the primers’ target specificity against closely [e.g., subtribe members such as the southeastern U.S. natives: Gulf Sebastian-bush (Ditrysinia fruticosa (W. Bartram) Govaerts & Frodin) and Queen’s delight (Stillingia sylvatica L.)], less closely related species (e.g., members of different families, subfamilies, tribes, and subtribes), tallow tissue, and honey and corbicular pollen pellets (i.e., nectar-moistened pollen pellets transported on hind legs) [26].
2. Materials and Methods
2.1. Genetic Markers Design
Complete chloroplast gene sequences for tallow were obtained from the National Center for Biotechnology Information (NCBI) GenBank database (http://blast.ncbi.nlm.nih.gov/Blast.cgi, accessed on 31 January 2025). Variation in the chloroplast DNA sequences, specifically single-nucleotide polymorphism (SNP), were explored and multiple alignments of tallow chloroplast gene sequences were constructed. The sequence of tallow chloroplast, complete genome with GenBank accession NC-_060661.1, consisting of a 164,018 bp genomic sequence (including the matK and rbcLb genes and the trnL-F regions), was progressively scanned for SNPs and used as the reference sequence for the multiple alignments analyzed. In a PCR, the two sets of primers (Tallow_specific and Tallow_related) were developed to produce either a positive band or a null amplification (negative) on gel electrophoresis and were designed using the online Primer3Plus (https://www.bioinformatics.nl/cgi-bin/primer3plus/primer3plus.cgi/, accessed on 31 January 2025).
Twelve NCBI GenBank sequences, representing 11 species, including the reference sequence NC_060661.1 for tallow were used for comparison. The sequences represented three species within the same subtribe (Hippomaninae) as tallow [Balakata baccata (Roxb.) Esser (NC_057049.1); Hippomane mancinella L. (NC_069185.1); and Excocaria agallocha L. (NC_063570.1)], three species within the same subfamily (Euphorbioideae) as tallow [Euphorbia helioscopia L. (MN_199031.1); Euphorbia kansuensis Prokh. (MZ_962400.1); and Euphorbia lathyris Georgi (OY_755234.1)], and four species within the same tallow (Euphorbiaceae) family [Aleurites moluccanus (L.) Willd. (NC_077491.12); Hevea brasiliensis (Willd. ex A.Juss.) Müll.Arg. (KY_363216.1 and KY_419136.1); Ricinius communis L. (MT_555101.1); and Plukenetia volubilis L. (NC_058006.1)].
2.2. Verification Samples
To verify the target specificity of the developed primer sets, seed samples of tallow (n = 1), leaf samples of closely related species (n = 2), honey (n = 2), and honey bee-collected pollen (n = 10) from areas with tallow were used (Table 1). Tallow seeds were collected from a morphologically identified (visual assessments of leaves and fruit) tallow tree located along a roadside barrier behind the Alexandria Forestry Center, Pineville, Louisiana (Figure 1). Two leaf tissue samples from tallow-related species, Ditrysinia fruticosa and Stillingia sylvatica, were also included to serve as negative control checks of chloroplast primers (Figure 1). Both D. fruticosa, and S. sylvatica were collected from the Kisatchie National Forest, Louisiana. Two honey samples from the Mississippi Gulf Coast were provided by a beekeeper based in southern Mississippi (Figure 1). Honey was produced by honey bee colonies in the Jackson and Harrison counties, Mississippi, between 20 April and 10 June 2024; the beekeeper considered tallow to be the primary, but not the only, nectar and pollen source for the honey. Ten corbicular pollen pellet samples were collected from 5 to 19 June 2023 (when tallow was in full bloom) from one to three honey bee colonies located in Baldwin and Houston County, Alabama, with the use of entrance pollen traps (Foxhound Bee Company, Birmingham, AL 35203, USA). The entrance pollen traps were activated weekly (total three-week period), each for 48 h, during which the corbicular pollen pellets were collected. The corbicular pollen pellet samples were positively identified as containing tallow using the procedure of acetolysis [27] for processing and identified in abundance under a microscope following the protocol of Lau et al. [28]. This, however, does not preclude that other plant material was also included. The corbicular pollen pellet samples were shipped overnight from Auburn University on dry ice to the USDA Forest Service laboratory in Pineville, Louisiana, for analysis (Figure 1). All the samples were processed in the laboratory for subsequent analyses, including DNA extraction required for the validation of the chloroplast primer design for target specificity, post-design evaluation of primer detection, primer-DNA amplification condition optimization, and genetic variation analysis.
Table 1.
Sources and material codes of tallow (Triadica sebifera) seed, honey, honey bee (Apis mellifera)-collected corbicular pollen pellets (i.e., nectar-moistened pollen pellets transported on bees’ hind legs), and leaf tissue of tallow-related species (Ditrysinia fruticosa, and Stillingia sylvatica) used to validate the tallow-specific primers.

Figure 1.
Samples used to verify target specificity of tallow (Triadica sebifera) primers: (a) tallow seed source along fence, Pineville, Louisiana; (b) honey samples from Jackson/Harrison counties, Mississippi; (c) corbicular pollen pellets (i.e., nectar-moistened pollen pellets transported on bees’ hind legs) collected from colonies in Houston and Baldwin counties, Alabama; (d) Ditrysinia fruticosa (Gulf Sebastian-bush) leaves; and (e) Stillingia sylvatica (Queen’s Delight) leaves.
2.3. Preparation and DNA Extraction
The seed and leaf tissue samples were surface-sterilized with 70% ethanol (1 min) and approximately 1 g of each tissue was used for DNA extraction. The samples were placed individually into a clean re-closable bag (2 × 2″, 2 MIL, ULINE, Pleasant Prairie, WI, USA) containing 1 mL of sterile distilled water. Each bag was homogenized by gently crushing with a hammer to enable further extraction [29], and 500 mL of each of the resulting tissue mixtures was placed into a clean 1.5-mL Eppendorf tube for subsequent DNA extraction. For the honey samples, 3 mls of each sample was placed into a 15 mL Falcon centrifuge tube containing 10 mL of sterile distilled water. The mixture was vortexed and incubated at 65 °C for 2 h in a preheated water bath (ISOTEMP 210, Fisher Scientific, Dexter MI, USA) followed by centrifugation at 4000 rpm for 10 min in a Q-sep™ 3000 Centrifuge (Restek Corporation, Bellefonte, PA, USA). The supernatant was gently decanted by pipetting, and the honey debris pellet was resuspended in the remaining supernatant. A total of 500 μL of the suspension was transferred into a clean 1.5 mL Eppendorf tube for subsequent DNA extraction. For the corbicular pollen pellet samples, three pollen pellets from each sample were suspended in 1 mL sterile distilled water and placed into a 1.5-mL Eppendorf microcentrifuge. A total of 500 μL of the resultant pollen mixture was transferred into a 1.5 mL Eppendorf tube for subsequent DNA extraction using the DNeasy Plant Mini Kit (Qiagen, Germantown, MD, USA) protocol as described below.
For each individual sample, the total DNA was extracted using the DNeasy Plant Mini Kit (Qiagen, Germantown, MD, USA) protocol with a few modifications as described as follows. About 400 μL of Buffer AP1 and 4 μL of RNase (Qiagen DNeasy extraction kit) were added to approximately 500 μL of each of the three sample types separately (plant tissue, honey, and corbicular pollen pellets). The mixed solution was incubated in a preheated water bath (ISOTEMP 210, Fisher Scientific, Dexter MI, USA) at 65 °C for 3 h with intermittent mixing by gentle repeated inversion of the tube for 3 s every 30 min. Then, 130 μL of Buffer P3 was added to the mixture, and incubated on ice for 5 min, followed by centrifugation at 14,000 rpm for 5 min. The supernatant was gently pipetted into the QIAshredder spin column (Qiagen, Germantown, MD, USA) followed by centrifugation at 14,000 rpm for 2 min resulting in a flow-through supernatant. The supernatant was then carefully transferred into a 1.5 mL Eppendorf tube and a measure of Buffer AW1 equivalent to 1.5× the amount of the supernatant was added and mixed. The resulting mix (650 μL) was transferred into the QNeasy Mini Spin Columns (Qiagen, Germantown, MD, USA) and followed by centrifugation at 10,000 rpm for 1 min, thereby repeating the step with the remaining solution. The DNeasy Mini Spin Column was placed into a new 2 mL collection tube, followed by the addition of 500 μL Buffer AW, and centrifuged for 1 min at 10,000 rpm. The flow-through was discarded and the collection tube was reused for the next step. To dry the membrane, 500 μL of Buffer AW was added to the DNeasy Mini Spin Column and centrifuged for 2 min at 14,000 rpm. The spin column was transferred to a new 1.5 mL microcentrifuge tube, with 50 μL of Buffer AE pipetted directly onto the DNeasy membrane and incubated for 5 min at room temperature (15–25 °C). The samples were then centrifuged for 1 min at 8000 rpm to elute the DNA in which the extracted DNA was stored at −20 °C for further analysis.
2.4. PCR Amplification Using Tallow-Related and Tallow-Specific Primers
PCR amplification was performed in a final 20 μL volume reaction using a Bento Lab® (Bento Bioworks Ltd., London, UK) thermocycler machine. A reaction contained 10 µL TopTaq PCR Master Mix (Qiagen, Germantown, MD, USA). The master mix consisted of 3.0 µL of a 5 μM solution of each forward and reverse primer, 2 µL of 10× CoralLoad, and 2 µL of the DNA template, with the addition of 2 µL of sterile water used as the no-template control. For amplification of the chloroplast gene marker sites, the PCR conditions consisted of initial denaturation at 94 °C for 3 min, followed by 40 cycles of 35 s denaturation at 95 °C, 35 s annealing at 60 °C and 1 min extension at 72 °C, and a final extension at 72 °C for 10 min. Gel electrophoresis was performed to examine the amplified PCR products by loading 5 µL of each product into separate wells on 1% agarose gels. After 25 min of electrophoresis, the agarose was stained with ethidium bromide for 20 min, and positive bands of PCR products on the gel were visualized under UV illumination. The presence of a band on a gel indicates positive amplification, while no band indicates negative. Therefore, a positive band indicates a sample is tallow, while a negative (no band) with the marker indicates the sample is not tallow, allowing for the verification of primer target specificity.
2.5. DNA Sequencing
To demonstrate the primers’ ability in distinguishing between tallow and related species (i.e., subtribe, subfamily, and family members), DNA PCR amplification was performed for the 15 verification samples (including tallow and tallow-related species) using the following: (1) forward Tallow_related_F and reverse Tallow_related_R primers, followed by (2) forward Tallow_specific_F and reverse Tallow_specific_R primers. Tallow seeds were used as the representative tissue for DNA sequencing, while leaf and petiole tissue samples from the same tallow tree were only used as positive checks in the PCR. The resulting PCR products were sent to Molecular Cloning Laboratories (MCLAB, San Francisco, CA, USA) for purification and sequencing using the corresponding reverse primers (Table 2). The DNA sequencing was performed using the reverse Tallow_related_R primer to enable the analysis of genetic variation and differences in the PCR products from the samples, compared to other sequences in the NCBI GenBank database. The sequenced PCR products from the 15 samples included in this study were submitted to the GenBank database and assigned the GenBank Accessions numbers PQ074089 to PQ074101, as well as PQ664904 and PQ664905 (Table 1). The phylogenetic analysis of the sequences based on the genetic variability among the samples, including sequences in the NCBI GenBank database, was performed using Molecular Evolutionary Genetics Analysis, MEGA Version 11 software ([30], using sequence NC_060661.1 (identical to MT424756.1) as the reference sequence.
Table 2.
Chloroplast DNA (cpDNA) markers and specific polymerase chain reaction (PCR) primers used for the detection of the single-nucleotide polymorphism (SNP) target for tallow (Triadica sebifera) identification.
3. Results
Two sets of genetic markers were developed for use in eDNA (Table 2), allowing for targeted-species detection, geographic and floral sourcing, and a broader assessment of the tallow ecological and environmental effects.
3.1. Chloroplast Markers
A first set of designed polymerase chain reaction (PCR)-specific primers (forward Tallow_specific_F and reverse Tallow_specific_R) amplified a 353-base-pair size product in a PCR (Figure 2). The second set of PCR primers (forward Tallow_related_F and reverse Tallow_related_R) amplified a 348-base-pair size product of the tallow accession NC_060661 (Figure 3).
Figure 2.
The 353-base-pair size product of the tallow (Triadica sebifera) chloroplast GenBank accession NC-_060661.1 reference sequence amplifies by specific forward Tallow_specific_F CCATTCCCATTTTGTTTTGG and reverse primers Tallow_specific_R GGCAGGCAGGCCTATATTC in a polymerase chain reaction (PCR). The highlighted portion is the query target site (green) that has a unique primer segment (TTTTG)2 at the position 102,223 to 102,232 found only in tallow accession NC060661 (pink) and absent in other species in the alignment.
Figure 3.
The 348-base-pair size product of the tallow (Triadica sebifera) chloroplast GenBank accession NC-_060661.1 reference sequence amplifies by forward Tallow_related_F CTGCTGATGCTGAAACATGAA and reverse primers Tallow_related_R CCGGTCAACTGGAATGTGTA in a polymerase chain reaction (PCR). The highlighted is the query target site (green) that has a unique primer segment (TGCTGA)2 at the position 100,676 to 100,689 in tallow accession NC060661 (pink).
3.2. Markers Verification
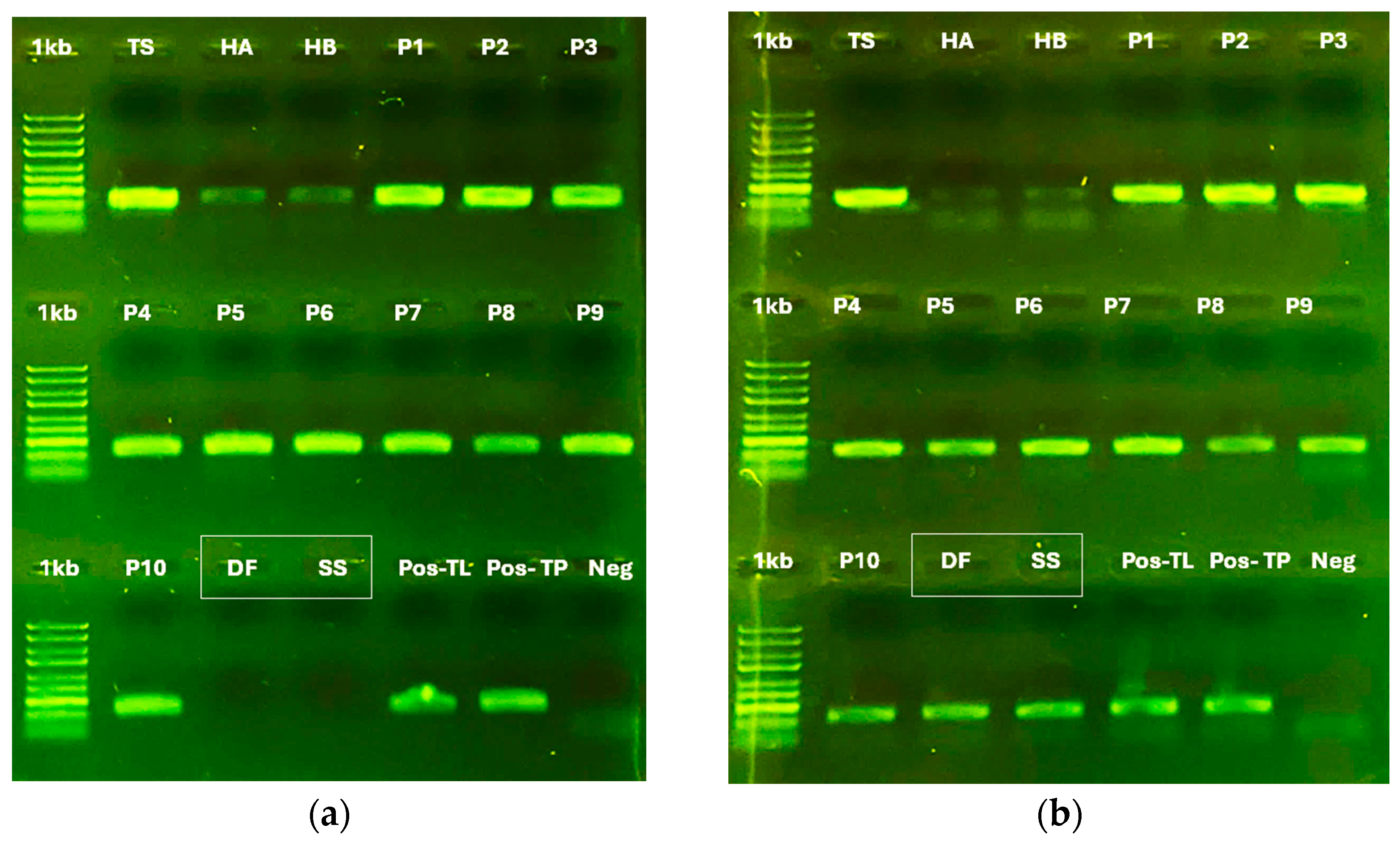
For the tallow-specific primer set (Table 2), gel electrophoresis bands were present for tallow only, indicating the positive detection and differentiation of tallow from Ditrysinia fruticosa and Stillingia sylvatica, the closely related native species (Figure 4a). Gel electrophoresis bands were present for tallow as well as Ditrysinia fruticosa and Stillingia sylvatica for the tallow-related primer set, indicating the detection of tallow and tallow-related species (Figure 4b).
Figure 4.
Gel electrophoresis of polymerase chain reaction products of the chloroplast marker DNA amplification of the samples (Table 1) from tallow (Triadica sebifera) seeds (TS), honey (HA and HB), pollen pellets (P1 to P10), tallow-related species (Ditrysinia fruticosa (DF) and Stillingia sylvatica (SS)), tallow leaf as the positive check (Pos-TL), tallow petiole as the positive check (Pos-TP), and sterile water as the negative check using the following: (a) tallow-specific forward/revers primers and (b) tallow-related forward/revers primers.
The tallow-related primers allowed for the detection of tallow in all 15 samples used for validation of the primer set, including the tallow leaf and petiole positive checks (Figure 4b). Therefore, tallow-related primers can be used for the detection of tallow and tallow-related species presence, and tallow-specific primers can be used to confirm only tallow presence.
3.3. Phylogenetic Comparison
The post-design evaluation of primer detection showed that the tallow-related primer set allowed for the grouping of all the tallow-containing samples with the reference sequence NC_060661.1 (Figure 5). The native subtribe member, Ditrysinia fruticosa, was shown to be a close relative of tallow, whereas Stillingia sylvatica occupied a more distant location along the phylogenetic tree. The NCBI GenBank sequences representing three species within the same subtribe as tallow [Balakata baccata, Hippomane mancinella, and Excocaria agallocha] occupied closer branches on the phylogenetic tree, largely reflecting taxonomic hierarchy. Both the corbicular pollen pellets AL3 and AL5 from Alabama and the Honey B sample from the Mississippi Gulf Coast were more like each other than the remaining tallow-containing samples, which matched better to sequence NC_060661.1 (Figure 5). Ditrysinia fruticosa from Louisiana and the Balakata baccata sequence (NC057049.1), both members of the subtribe (Hippomaninae), were identified as the closest tree species to tallow in this analysis, which is consistent with the taxonomic classification within the same family, tribe, and subtribe. The Balakata baccata sequence showed 99.0% similarity to tallow with a single SNP (C/T) at the position 100995 of the chloroplast genome region in the reference sequence NC_060661.1, excluding the SNP within the primer amplicon repeat (TGCTGA)2 used as the forward primer target site. Additionally, other species of the Hippomaninae subtribe (Hippomane mancinella and Excocaria agallocha) were more genetically similar to the tallow reference sequence and the tallow-containing samples than other distant species of the Euphorbiaceae family including Stillingia sylvatica that occupied lower and more distant branches of the phylogenetic tree (Figure 5).
Figure 5.
The phylogenetic tree was inferred from the Tallow-related-F/R primer chloroplast gene sequences using the Neighbor-Joining method [31]. The optimal tree is shown and the percentage of replicate trees in which the associated taxa clustered together in the bootstrap test (100 replicates) are shown next to the branches [32]. The evolutionary distances were computed using the Tamura three-parameter method [33] and are in the units of the number of base substitutions per site. This analysis involved 27 nucleotide sequences. The codon positions included were 1st+2nd+3rd+Noncoding. All the ambiguous positions were removed for each sequence pair (pairwise deletion option). There was a total of 218 positions in the final dataset. The analyses were conducted in MEGA11 [30].
4. Discussion
The tallow-specific primers detected only tallow (Figure 4a), while the tallow-related primers amplified DNA from the tallow and tallow-related native species, Ditrysinia fruticosa and Stillingia sylvatica (Figure 4b). DNA sequencing of PCR products for post-design evaluation using the reverse Tallow_related_R primer confirmed the identity of tallow and tallow-related species (i.e., Ditrysinia fruticosa and Stillingia sylvatica) and further demonstrated the target specificity of the tallow-specific primers (Figure 5). The results from the two sets of primers demonstrates the validity of the chloroplast marker for tallow detection. The tallow-specific primers allowed for differentiation between tallow and closely related native species allowing for its use in targeted species detection, while tallow-related primers identified tallow-related species enabling the comparison of genetic differences among those species.
Tallow-specific chloroplast primer pairs were developed for targeted detection, monitoring, and assessment using eDNA fragments. The primer pairs were tested for target specificity using samples of tallow tissue, honey, corbicular pollen pellets, and tallow-related species and were subsequently used for DNA sequencing to explore the genetic variability among samples and closely related species. Although soil or water samples were not tested in this investigation, the developed tallow-specific primers could also be used for the detection of tallow using eDNA collected from soil and water samples. Tallow-specific primers can be used to authenticate the geographic or botanical origin of tallow-sourced honey, which is prized for its higher quality and flavorful notes of cinnamon and vanilla [22,34,35,36]. A better understanding of pollinator foraging behavior and plant use will be facilitated using the tallow-specific primers developed here. Consequently, this eliminates the need for microscopic pollen analysis that requires experienced and skilled analysts [14,37].
The detection of tallow DNA in locally produced honey, to a certain extent, may indicate the level of success tallow attained in proliferating across the southern United States. The attraction of honey bees to tallow floral attributes (scents, pollen, etc.), which results in abundant seed production that are disseminated by birds, could be a contributing factor in the successful establishment of tallow in the region [38,39]. The attraction might lead to a beneficial and mutual relationship between honey bees and tallow, leading to the pollination of flowers and honey bees having access to a readily available spring resource of nectar [22]. This attraction is beneficial to honey production in the region but presents challenges by the potential facilitation of an abundance of tallow seeds that might be spread across the landscape. Additionally, the early establishment competitive advantage of tallow over the native species may further enhance its expansion into new habitats [40]. Although tallow relies on insects for pollination, Clark and Howard [41] showed that among numerous insects that visited inflorescences, only bees in the families Apidae and Halictidae carried significant amounts of pollen. Honey and native bees dominated the pollinator community and carried large amounts of pollen at three out of four study sites [41]. Perhaps a well-timed intervention approach by targeting the tallow seed production cycle would allow for the disruption of tallow’s floral patronage by pollinators, which could have long-term mitigation and management benefits when tallow control and the restoration of invaded areas are key objectives.
The analysis of the chloroplast markers presented in this study shows evidence of genetic differences among the limited number of examined samples, including differences across species belonging to the same subtribe (Hippomaninae) such as Ditrysinia fruticosa and Balakata baccata, which showed more similarity to the evaluated tallow sequence. Ditrysinia fruticosa is native to the southeastern United States, while Balakata baccata is native to Yunnan Province, China, and other southeast Asian countries [42]. The ability of developed primers to allow for differentiation between closely related species using DNA fragments from environmental samples is important to understanding changes in the native ecosystems and potentially useful for research investigations and restoration efforts. An accurate DNA detection approach would facilitate much better tracking and documentation of the floral pollen foraging profile of bees and other nectar-seeking pollinators. It may also provide more insights into ecosystem resource utilization and the success of native species restoration efforts across local landscapes. The chloroplast markers and the corresponding primers evaluated in this study were developed to facilitate the seamless assessment and monitoring of eDNA fragments without the need for DNA sequencing and to also complement the existing DNA barcoding approaches.
5. Conclusions
DNA primers are essential for the detection, genetic diversity assessment, and genotyping of targeted species. The detection of tallow using DNA fragments from environmental samples will facilitate a better understanding of changes in native ecosystems, thereby providing a useful tool for research investigations and restoration efforts. This DNA-based approach will enable source tracing and documentation of tallow in soil, water, honey, and bee-collected pollen, allowing for a better understanding of plant/pollinator interactions as well as tallow’s ecological and environmental effects.
Author Contributions
Conceptualization, R.O.O. and M.B.; methodology, R.O.O.; validation, R.O.O.; formal analysis, R.O.O.; investigation, R.O.O.; resources, R.O.O. and G.R.W.; sample collection and processing, R.O.O., J.M.S., A.P.A., P.W.L. and G.R.W.; data curation, R.O.O.; writing—original draft preparation, R.O.O. and M.B.; writing—review and editing, R.O.O., M.B., J.M.S., A.P.A., G.R.W. and P.W.L.; visualization, R.O.O. and M.B.; supervision, R.O.O. and G.R.W.; project administration, R.O.O. All authors have read and agreed to the published version of the manuscript.
Funding
Funding for research and support for the Article Processing Charge were provided by the U.S. Forest Service Southern Research Station Center for Forest Health and Disturbance–Research Work Unit 4552 Insects, Diseases, and Invasive Plants. Additionally, this work was supported by the Alabama Agricultural Experiment Station, the USDA National Institute of Food and Agriculture Multi-state Hatch project NC1173, the USDA ARS Cooperative Agreement 58-6066-9-042, and USDA APHIS award AP22QS&T00C1911.
Data Availability Statement
The original contributions presented in this study are included in the article. Further inquiries can be directed to the corresponding author.
Acknowledgments
We thank the administrative staff at the Center for Forest Health and Disturbance at the USDA Forest Service, Southern Research Station and Research Work Unit 4552 Insects, Diseases, and Invasive Plants for their support. We thank Steven Coy, from the Coy Bee Company of Wiggins, Mississippi, for providing the honey samples that were used in this work. We thank Phillip Carter from the Alabama Department of Agriculture and Industries for facilitating the collection of corbicular pollen from the Alabama beekeepers. We also thank Chris Doffitt, Louisiana Department of Wildlife and Fisheries, Pineville, Louisiana, for collecting the Ditrysinia fruticosa and Stillingia sylvatica tissue samples used in this work. The findings and conclusions in this publication are those of the author(s) and should not be construed to represent any official USDA or United States Government determination or policy. The USDA is an equal opportunity employer.
Conflicts of Interest
The authors declare no conflicts of interest.
References
- Moser, W.K.; Barnard, E.L.; Billings, R.F.; Crocker, S.J.; Dix, M.E.; Gray, A.N.; Ice, G.G.; Kim, M.-S.; Reid, R.; Rodman, S.U.; et al. Impacts of nonnative invasive species on US forests and recommendations for policy and management. J. For. 2009, 107, 320–327. [Google Scholar] [CrossRef]
- Folke, C.; Carpenter, S.; Walker, B.; Scheffer, M.; Elmqvist, T.; Gunderson, L.; Holling, C.S. Regime shifts, resilience, and biodiversity in ecosystem management. Annu. Rev. Ecol. Evol. Syst. 2004, 35, 557–581. [Google Scholar] [CrossRef]
- Sladonja, B.; Sušek, M.; Guillermic, J. Review on invasive tree of heaven (Ailanthus altissima (Mill.) Swingle) conflicting values: Assessment of its ecosystem services and potential biological threat. Environ. Manag. 2015, 56, 1009–1034. [Google Scholar] [CrossRef]
- Knapp, P.A. Cheatgrass (Bromus tectorum L.) dominance in the Great Basin Desert: History, persistence, and influences to human activities. Glob. Environ. Change 1996, 6, 37–52. [Google Scholar] [CrossRef]
- MacDonald, G.E. Cogongrass (Imperata cylindrica)—Biology, ecology, and management. Crit. Rev. Plant Sci. 2004, 23, 367–380. [Google Scholar] [CrossRef]
- Saenz, D.; Fucik, E.M.; Kwiatkowski, M.A. Synergistic effects of the invasive Chinese tallow (Triadica sebifera) and climate change on aquatic amphibian survival. Ecol. Evol. 2013, 3, 4828–4840. [Google Scholar] [CrossRef]
- Pile, L.S.; Wang, G.G.; Stovall, J.P.; Siemann, E.; Wheeler, G.S.; Gabler, C.A. Mechanisms of Chinese tallow (Triadica sebifera) invasion and their management implications—A review. For. Ecol. Manag. 2017, 404, 1–13. [Google Scholar] [CrossRef]
- Thomsen, P.F.; Willerslev, E. Environmental DNA—An emerging tool in conservation for monitoring past and present biodiversity. Biol. Conserv. 2015, 183, 4–18. [Google Scholar] [CrossRef]
- Bruce, K.A.; Cameron, G.N.; Harcombe, P.A.; Jubinsky, G. Introduction, Impact on Native Habitats, and Management of a Woody Invader, the Chinese Tallow Tree, Sapium sebiferum (L.) Roxb. Nat. Areas J. 1997, 17, 255–260. [Google Scholar]
- Freeland, J.R. The importance of molecular markers and primer design when characterizing biodiversity from environmental DNA. Genome 2017, 60, 358–374. [Google Scholar] [CrossRef]
- Pawlowski, J.; Apothéloz-Perret-Gentil, L.; Altermatt, F. Environmental DNA: What’s behind the term? Clarifying the terminology and recommendations for its future use in biomonitoring. Mol. Ecol. 2020, 29, 4258–4264. [Google Scholar] [CrossRef] [PubMed]
- Wallinger, C.; Juen, A.; Staudacher, K.; Schallhart, N.; Mitterrutzner, E.; Steiner, E.-M.; Thalinger, B.; Traugott, M. Rapid plant identification using species- and group-specific primers targeting chloroplast DNA. PLoS ONE 2012, 7, e29473. [Google Scholar] [CrossRef] [PubMed]
- Pathiraja, D.; Cho, J.; Kim, J.; Choi, I.-G. Metabarcoding of eDNA for tracking the floral and geographical origins of bee honey. Food Res. Int. 2023, 164, 112413. [Google Scholar] [CrossRef] [PubMed]
- Schnell, I.B.; Fraser, M.; Willerslev, E.; Gilbert, M.T.P. Characterisation of insect and plant origins using DNA extracted from small volumes of bee honey. Arthropod-Plant Interact. 2010, 4, 107–116. [Google Scholar] [CrossRef]
- DeWalt, S.; Siemann, E.; Rogers, W. Microsatellite markers for an invasive tetraploid tree, Chinese tallow (Triadica sebifera). Mol. Ecol. Notes 2006, 6, 505–507. [Google Scholar] [CrossRef]
- Zhuang, Y.; Wang, Z.; Wu, L. New set of microsatellites for Chinese tallow tree, Triadica sebifera. Genet. Mol. Res. 2017, 16, gmr16029624. [Google Scholar] [CrossRef] [PubMed]
- Zhou, P.; Zhou, Q.; Dong, F.; Shen, X.; Li, Y. Study on the genetic variation of Triadica sebifera (Linnaeus) Small populations based on SSR markers. Forests 2022, 13, 1330. [Google Scholar] [CrossRef]
- DeWalt, S.J.; Siemann, E.; Rogers, W.E. Geographic distribution of genetic variation among native and introduced populations of Chinese tallow tree, Triadica sebifera (Euphorbiaceae). Am. J. Bot. 2011, 98, 1128–1138. [Google Scholar] [CrossRef] [PubMed]
- Wagner, D.B. Nuclear, chloroplast, and mitochondrial DNA polymorphisms as biochemical markers in population genetic analyses of forest trees. New For. 1992, 6, 373–390. [Google Scholar] [CrossRef]
- Dong, W.; Liu, J.; Yu, J.; Wang, L.; Zhou, S. Highly variable chloroplast markers for evaluating plant phylogeny at low taxonomic levels and for DNA barcoding. PLoS ONE 2012, 7, e35071. [Google Scholar] [CrossRef]
- Jamieson, G.; McKinney, R. Stillingia oil. Oil Soap 1938, 15, 295–296. [Google Scholar] [CrossRef]
- Vogt, J.T.; Olatinwo, R.; Ulyshen, M.D.; Lucardi, R.D.; Saenz, D.; McKenney, J.L. An overview of Triadica sebifera (Chinese tallowtree) in the Southern United States, emphasizing pollinator impacts and classical biological control. Southeast. Nat. 2021, 20, 536–559. [Google Scholar] [CrossRef]
- Pattison, R.R.; Mack, R.N. Potential distribution of the invasive tree Triadica sebifera (Euphorbiaceae) in the United States: Evaluating climex predictions with field trials. Glob. Change Biol. 2008, 14, 813–826. [Google Scholar] [CrossRef]
- Oswalt, S.N. Chinese Tallow (Triadica sebifera (L.) Small) Population Expansion in Louisiana, East Texas, and Mississippi; U.S. Department of Agriculture, Forest Service, Southern Research Station: Asheville, NC, USA, 2010; p. 5.
- Bataineh, M.M.; Fraser, J.S.; Pile Knapp, L.S. Characterization of Chinese tallow invasion in the Southern United States. Forests 2024, 15, 202. [Google Scholar] [CrossRef]
- Parker, A.J.; Tran, J.L.; Ison, J.L.; Bai, J.D.K.; Weis, A.E.; Thomson, J.D. Pollen packing affects the function of pollen on corbiculate bees but not non-corbiculate bees. Arthropod-Plant Interact. 2015, 9, 197–203. [Google Scholar] [CrossRef]
- Topitzhofer, E.; Lucas, H.; Carlson, E.; Chakrabarti, P.; Sagili, R. Collection and identification of pollen from honey bee colonies. J. Vis. Exp. 2021, 167, e62064. [Google Scholar] [CrossRef]
- Lau, P.; Bryant, V.; Rangel, J. Determining the minimum number of pollen grains needed for accurate honey bee (Apis mellifera) colony pollen pellet analysis. Palynology 2018, 42, 36–42. [Google Scholar] [CrossRef]
- Santander, R.D.; Meredith, C.L.; Aćimović, S.G. Development of a viability digital PCR protocol for the selective detection and quantification of live Erwinia amylovora cells in cankers. Sci. Rep. 2019, 9, 11530. [Google Scholar] [CrossRef]
- Tamura, K.; Stecher, G.; Kumar, S. MEGA11: Molecular evolutionary genetics analysis version 11. Mol. Biol. Evol. 2021, 38, 3022–3027. [Google Scholar] [CrossRef] [PubMed]
- Saitou, N.; Nei, M. The neighbor-joining method: A new method for reconstructing phylogenetic trees. Mol. Biol. Evol. 1987, 4, 406–425. [Google Scholar]
- Felsenstein, J. Confidence limits on phylogenies: An approach using the bootstrap. Evolution 1985, 39, 783–791. [Google Scholar] [CrossRef] [PubMed]
- Tamura, K. Estimation of the number of nucleotide substitutions when there are strong transition-transversion and G+C-content biases. Mol. Biol. Evol. 1992, 9, 678–687. [Google Scholar] [PubMed]
- Dittfurth, L. Vice President’s report. Tex. Beekeep. Assoc. J. 2018, 18, 4. [Google Scholar]
- Moore, C. Vice President’s report. Tex. Beekeep. Assoc. J. 2018, 18, 3. [Google Scholar]
- Payne, S. Louisiana Beekeepers Oppose Introduction of Beetle to Control Tallow Trees. Louisiana Farm Bureau News. 2018. Available online: https://lafarmbureaunews.com/news/2018/1/15/louisiana-beekeepers-oppose-introduction-of-beetle-to-control-tallow-trees (accessed on 31 January 2025).
- Lieux, M.H. Dominant pollen types recovered from commercial Louisiana honeys. Econ. Bot. 1975, 29, 87–96. [Google Scholar] [CrossRef]
- Renne, I.J.; Barrow, W.C.; Johnson Randall, L.A.; Bridges, W.C. Generalized avian dispersal syndrome contributes to Chinese tallow tree (Sapium sebiferum, Euphorbiaceae) invasiveness. Divers. Distrib. 2002, 8, 285–295. [Google Scholar] [CrossRef]
- Renne, I.J.; Gauthreaux Jr, S.A.; Gresham, C.A. Seed dispersal of the Chinese tallow tree (Sapium sebiferum (L.) Roxb.) by birds in coastal South Carolina. Am. Midl. Nat. 2000, 144, 202–215. [Google Scholar] [CrossRef]
- Pile, L.S.; Vickers, L.; Stambaugh, M.; Norman, C.; Wang, G.G. The tortoise and the hare: A race between native tree species and the invasive Chinese tallow. For. Ecol. Manag. 2019, 445, 110–121. [Google Scholar] [CrossRef]
- Clark, J.W.; Howard, J.J. Pollination mechanisms in Triadica sebifera (Euphorbiaceae) in the southeastern United States. J. Torrey Bot. Soc. 2019, 146, 18–26. [Google Scholar] [CrossRef]
- Guo, L.-Y.; Zhang, X.-F.; Zhu, Z.-X.; Wang, H.-F. Complete plastome sequence of Balakata baccata (Roxb.) Esser (Euphorbiaceae). Mitochondrial DNA Part B 2021, 6, 1387–1388. [Google Scholar] [CrossRef]
Disclaimer/Publisher’s Note: The statements, opinions and data contained in all publications are solely those of the individual author(s) and contributor(s) and not of MDPI and/or the editor(s). MDPI and/or the editor(s) disclaim responsibility for any injury to people or property resulting from any ideas, methods, instructions or products referred to in the content. |
© 2025 by the authors. Licensee MDPI, Basel, Switzerland. This article is an open access article distributed under the terms and conditions of the Creative Commons Attribution (CC BY) license (https://creativecommons.org/licenses/by/4.0/).





