Abstract
Triploids are typically formed through the fusion of a haploid gamete from a diploid organism and a diploid gamete from a tetraploid organism or through chromosome doubling in gametes by other means. To circumvent the multi-year flowering wait associated with tetraploid parents in conventional breeding, we developed a novel method for inducing triploid in birch through high-temperature treatment of female inflorescences. This approach integrates sexual hybridization with precise thermal treatment, with success hinging on the precise identification of the pollination window and the optimal treatment parameters. Our study systematically defines the optimal conditions for triploid production in birch via this high-temperature induction technique. The results demonstrate that the optimal period for stigma pollination was between day 5 to 6, immediately following the emergence of the stigma from the enclosing bracts. The most effective pollination was characterized by a bract dehiscence angle exceeding 60° on Day 15 after the pollination marks the phase of megaspore mother cell development. At this stage, the optimum treatment is either 40 °C for 2 h or alternately 42 °C for 1 h. These treatments result in the highest triploid induction rates of 33.82%, calculated with the total number of detected seedlings as the denominator. In addition, a logistic model was established between the ovary length-to-width ratio and the accumulated growing degree hours (GDH), providing a reliable quantitative indicator for determining the optimal timing of the high-temperature treatment. Compared with the conventional approach reliant on tetraploid parents, our method eliminates the lengthy phase of tetraploid induction and flowering wait (approximately 8 years), thereby reducing the triploid breeding cycle by about 6 years. The results substantiated the effectiveness of utilizing high temperatures to induce chromosome doubling in female gametes of birch species, providing a viable pathway for efficient polyploid breeding in this tree species.
1. Introduction
Betula platyphylla, representing the largest deciduous tree species in Northeast China, holds significant economic and ecological importance due to its diverse consumer value [1]. Birch breeding programs have demonstrated that polyploidy plays an important role in improving economically important traits for the forest industry [2]. Particularly, triploid birches exhibit markedly enhanced growth rates and adaptive capabilities compared to diploid birches. For instance, triploid birch showed great heterosis, selected from hybrids of tetraploid (B. platyphylla) × diploid (B. platyphylla × B. pendula) [3]. Previous research from our group evaluated the seedling growth across 24 full-sib families of tetraploid crossed with diploid birches. The plant height and basal diameter of selected superior triploid hybrid progenies exceeded the mean of the population by 22.49% and 11.48%, respectively [4]. Notably, triploid families from different cross combinations exhibited considerable variation in growth performance, and not every combination manifested heterosis. Therefore, to select elite birch triploids, a comprehensive selection of diverse germplasm is necessary, strategically exploiting heterosis from different parental backgrounds.
While hybridization between tetraploid and diploid parents offers a seemingly straightforward method to produce triploids, the strategy is confronted with several hurdles. One of these is time-consuming tetraploid induction and the lengthy maturation period to tetraploids’ reproductive maturity. Compounding these limitations, discrepancies in flowering phenology among trees of divergent ploidy impose further breeding constraints. Consequently, this methodology typically incurs low success rates and protracted breeding cycles, substantially impeding practical implementation [5]. To address this issue and expedite the production of triploid birch, there is a pressing demand to develop an accelerated and high-efficiency triploid generation technique.
Employing gamete chromosome doubling circumvents conventional tetraploid induction, eliminating prolonged maturation phases prior to flowering and fruiting [6]. Prior studies demonstrated that triploids derived from 2n pollen (diploid male gametes) exhibit compromised fertilization competitiveness due to developmental impairments relative to haploid pollen [7]. A defined dose of 60Co radiation was employed to inactivate haploid pollen prior to pollination [8]. This method constitutes a complex and labor-intensive procedure. By contrast, high-temperature induction of 2n female gametes during embryo sac development has been reported to circumvent haploid gamete competition during fertilization [9]. Therefore, the high-temperature treatment-induced 2n method could serve as a promising rapid and efficient approach for triploid birch breeding. Conversely, its application is constrained by the difficulty in optimizing critical parameters—specifically temperature regime, timing, and embryo sac developmental progression [10]. Moreover, optimal treatments display pronounced interspecific variation [11,12]. In this study, we characterized the impact of elevated temperature on female inflorescences, focusing on ovule morphology, megaspores, and post-pollination embryo sac development. The objectives were to identify the optimal treatment for high-temperature-induced 2n female gametes and to establish a rapid, efficient triploid birch production protocol using diploid female inflorescences.
2. Materials and Methods
2.1. Experimental Materials and Growth Conditions
Three eight-year-old diploid Betula pendula ‘Purple Rain’ mother trees (Hybrid lines #4-30, #4-36, and #4-42) were selected from a greenhouse seed orchard at Northeast Forestry University (45°43.22′ N, 126°38.08′ E). These three hybrid lines consistently produced dense female inflorescences. We assessed pistil stigma viability, performed detailed morphological analyses of female floret development, and conducted cross-sectional observations. Pollen was collected from a diploid hybrid of B. platyphylla × B. pendula (Hybrid line #2-17), selected for its prolific male inflorescence count and established cross-compatibility with the B. pendula ‘Purple Rain’ mother trees (Hybrid lines #4-30, #4-36, and #4-42). For heat treatments, two B. pendula ‘Purple Rain’ mother trees (Hybrid lines #4-30 and #4-42) exhibiting the most robust lateral branch development were utilized.
2.2. Experimental Methods
2.2.1. Pistil Stigma Receptivity
Stigma receptivity was employed to identify the optimal pollination window. The receptivity of the stigma, a pivotal aspect of plant sexual reproduction, denotes its capacity to recognize pollen, permit germination, and facilitate pollen tube elongation. This attribute is intrinsically linked to the stigmal developmental phase. Following anthesis onset, stigmatic exudation of mucilage commences, peaking as the flower matures before subsequently diminishing. Notably, elevated catalase concentrations within the stigma correlate with heightened receptivity [13].
Three open-pollinated B. pendula ‘Purple Rain’ individuals were monitored from mid-April onward. Upon emergence of female inflorescences from bud scales with pistil stigmas exposed beyond bracts, stigma catalase activity was assessed using the benzidine-hydrogen peroxide method. The reaction solution consisted of a 1:11:22 (v/v) ratio of 1% benzidine, 3% hydrogen peroxide, and water [14]. Daily at 09:00, median sections of female inflorescences were collected from B. pendula ‘Purple Rain’ trees and mounted on concave glass slides. Subsequently, the reaction solution was applied dropwise for a duration of 1–2 h. Stigma coloration was documented at each developmental stage using stereo microscope (three stigmas per tree). Concurrently, stigmatic mucus secretion was observed, and the number of angles between bracts and the gynoecium central axis was quantified. Developmental morphological characteristics were correlated with stigma receptivity status.
2.2.2. Control Pollination and Morphological Observation of Ovary Development
Pollen was collected in April when the male inflorescences of hybrid line #2-17 (B. platyphylla × B. pendula) unfolded and reached the stage of active dehiscence. To maintain high viability and enhance pollination efficiency, mature pollen was collected on sulfuric acid-treated paper and air-dried using either ventilated shade or a vacuum desiccator for 24–48 h to achieve optimal desiccation. The desiccated pollen was then wrapped in multiple layers of acid-treated paper, vacuum sealed, and stored at 4 °C to preserve viability until pistil pollination.
Hybrid lines #4-30, #4-36, and #4-42 (B. pendula ‘Purple Rain’, different individuals within a single family) served as maternal parents and were pollinated with pollen from hybrid line #2-17 (B. platyphylla × B. pendula). Controlled pollination was conducted consecutively over three days. Post-pollination, ovary development was monitored at three-day intervals in the morning. The central segment of female inflorescences was sampled on three occasions. Six female florets were dissected per inflorescence. Longitudinal and transverse diameters of de-winged ovaries were measured using a stereo microscope (Olympus BX51; Olympus Corporation, Tokyo, Japan). The ovary longitudinal-to-transverse ratio was calculated for each sample.
2.2.3. Anatomical Observation
From pollination to day 42, samples were collected every three days by excising the middle section (0.2–0.5 cm) of the inflorescence and fixing it in FAA solution for at least 48 h. Fixed specimens were stained with 1% hematoxylin and embedded and sectioned (5–8 μm thick) following standard paraffin sectioning procedures. Specimens were examined and imaged under an optical microscope (Olympus BX51; Olympus Corporation, Tokyo, Japan).
2.2.4. High-Temperature Treatment
The female inflorescences of hybrid lines #4-30 and #4-42 were treated every three days, starting from day 3 until day 42 post-pollination and using a Tree Non-In Vitro Branch Bud Heating Treatment Device (XMT6000 Series Temperature Controller; Jiangsu Zhixing Measurement and Control Instrument Co., Ltd., Taizhou, Jiangsu, China) [15]. Based on prior research, two temperature regimes were applied: 40 °C and 42 °C, maintained for 1 h and 2 h, respectively [16]. With untreated inflorescences serving as controls, each high-temperature treatment utilized 3–5 inflorescences prior to seed harvest in late July. The harvested seeds were used for germination rate determination and ploidy identification.
2.2.5. Determination of Seed Germination Rate
Seeds from each treatment combination were replicated three times, with 100 seeds per replication. The germination test was conducted in 9-cm-diameter Petri dishes. For each dish, 100 seeds were placed on four layers of filter paper containing 8 mL of water. The dishes were then incubated at a constant temperature of 25 ± 2 °C under a photoperiod regime of 16 h of light followed by 8 h of darkness. The germination test was terminated on Day 7, with germination rate calculated as follows:
2.2.6. Determination of Ploidy Level
Chromosomal Ploidy Analysis: Ploidy levels were determined using a ploidy analyzer (Ploidy Analyzer; Partec Corporation, Görlitz, Germany). Seeds from each treatment were sown in 15 cm × 15 cm seedling trays and maintained in a nursery room under a constant temperature of 25 ± 2 °C. Young leaves from each seedling were excised into 0.5 cm × 0.5 cm segments and transferred to sterile glass Petri dishes containing 2 mL of pre-chilled extraction buffer. The leaf segments were rapidly minced with a blade, and 1 mL of DAPI staining solution (Sysmex Corporation, Kobe, Japan) was added. After sieving the homogenate through a 30 μm cell strainer into 2.5 mL loading tubes, ploidy levels were determined using the Ploidy Analyzer. The triploid induction rate was subsequently calculated. Triploid induction rate was calculated as follows:
Root Tip Chromosome Squash Method: Using leaves from field-grown triploid plants as materials and diploid plants as controls, rooting was induced via conventional tissue culture propagation. The specific procedure was as follows: Collected leaves were rinsed with running water for 30 min, then washed with sterile water 1–2 times; subsequently, they were treated with 75% ethanol for 30 s, rinsed with sterile water for 2 min, disinfected with 30% hydrogen peroxide for 8–10 min, and finally washed with sterile water 3–5 times. Disinfected leaves were inoculated onto a differentiation medium (WPM + 1.0 mg/L 6-BA + 0.02 mg/L NAA + 0.5 mg/L GA3) to induce adventitious buds; after adventitious bud formation, the buds were transferred to a subculture medium (1.0 mg/L 6-BA + 0.02 mg/L NAA) and cultured for approximately 25 d. Rootless seedlings (approximately 2 cm in height) were selected and transferred to a rooting medium (0.4 mg/L IBA) for root induction. When the root tips had grown to approximately 0.5 cm in length, the young roots were excised at 08:00 or 09:00 and subjected to a 24-h pretreatment at 4 °C. After the cold water was discarded, Carnoy’s fixative solution (Anhydrous ethanol: glacial acetic acid = 3:1) was added for an additional 24-h incubation at 4 °C. Subsequently, root tips facilitated dissociation using 1 mol/L hydrochloric acid (obtained by diluting 8.33 mL of concentrated hydrochloric acid in 100 mL of distilled water) for 12–20 min at room temperature, rinsed with distilled water, and stained with Solarbio’s modified carbol fuchsin solution for 9–12 h. Ultimately, root apical meristem sections were prepared and observed using an Olympus BX43F microscope (400×; Japan) to visualize metaphase chromosomes and count them. A total of 9 sections were examined, with 3–6 fields of view counted per section.
In early May of the following year, seedlings identified as triploids and diploid controls were transplanted with 40 cm × 40 cm spacing in 25-cell seedling trays. The growth substrate was formulated at a volumetric ratio of peat to perlite (4:1), with approximately 0.18 g of NPK slow-release fertilizer (Hebei Dewoduo Fertilizer Co., Ltd., Hengshui, China) applied to the base of each cavity. Trays were subsequently placed within plastic sheds for conventional irrigation and nutrient management under protected conditions.
2.2.7. Growth Measurement of Triploid Birch
Fifteen leaves per sample were systematically collected and scanned using a flatbed scanner at the end of August. Leaf area was quantified via ImageJ software (version 1.53t). Plant height and basal diameter were measured in late September following terminal growth cessation.
2.2.8. Calculation of Accumulated Growing Degree Hours and Model Construction
To quantify the progression of ovary development, we calculated the accumulated growing degree hours (GDH) using hourly air temperature data obtained from the European Centre for Medium-Range Weather Forecasts (ECMWF), with a base temperature of 5 °C. The hourly GDH was determined as max (0, Th−5), where Th represents the hourly temperature. The daily GDH was defined as the sum of hourly GDH values for a given day. These daily values were accumulated from the pollination date to the end of the sampling date to obtain the total GDH. A logistic model was then fitted to model the relationship between the accumulated GDH (independent variable) and the ovary length-to-width ratio (dependent variable).
Terms defined as follows:
L represents the ovary length-to-width ratio.
Lmax denotes the theoretical maximum asymptote of the ratio.
k is the growth rate parameter.
GDH50 is the inflection point, defined as the accumulated GDH at which the ratio reaches half of its maximum value (Lmax/2).
e is the mathematical constant (base of the natural logarithm).
Parameter estimation was performed using the nls( ) function in R (version 4.3.0). The goodness-of-fit was evaluated by the coefficient of determination (R2) and the root mean square error (RMSE). All figures were generated with the ggplot2 package.
2.3. Statistical Analysis
Analysis of variance (ANOVA) was performed using IBM SPSS Statistics 22.0. For growth traits, differences between diploid and triploid groups were assessed using independent samples t-tests. The homogeneity of variances was verified with Levene’s test. Based on its outcome, Student’s t-test was applied when variances were equal, whereas Welch’s t-test was used when this assumption was violated. Effect sizes (Hedges’ g) were calculated to quantify the magnitude of the observed differences. Germination rate (proportional data) was analyzed using a generalized linear model (binomial distribution, logit link) and is expressed as estimated marginal mean ± SE. Graphical representations of the data were generated using Origin 2021 (OriginLab Corporation, Northampton, MA, USA).
3. Results
3.1. Dynamic Stigma Receptivity and Optimal Pollination Window
Observations on the female inflorescences of weeping birch ‘Purple Rain’ revealed that after stigmas emerged from bud scales in mid-April, their development exhibited distinct temporal patterns. As shown in Table 1, on the 1st day post stigma emergence from bracts, stigmas appeared pale pink, with no mucilage secretion, a bract angle of <30°, and a negative (–) response to the benzidine-hydrogen peroxide staining assay—indicating no receptivity at this stage. From Day 2 to Day 3, stigmas remained pale pink without mucilage secretion; the bract angle was ~30°, and the staining reaction stayed negative, confirming that stigma receptivity had not yet initiated.
Table 1.
Characteristics of stigma receptivity at different developmental stages using benzidine-hydrogen peroxide staining reactions.
From Day 4 onward, stigmas darkened to dark pink, began secreting a small amount of mucilage, and the bract angle widened to 30–45°. Approximately 30% of stigmas showed a positive (+) staining reaction, marking the initial onset of receptivity. Days 5 to 6 corresponded to the peak of stigma receptivity: stigmas elongated significantly and secreted abundant mucilage; the angle between bracts and the inflorescence axis reached 45–90°, with 60–90° as the optimal range. In the benzidine-hydrogen peroxide staining assay, over 80% of stigmas exhibited a strong positive (+++) reaction with abundant bubble formation, indicating the highest pollination receptivity. On Day 7, stigmas faded in color, mucilage secretion declined, the bract angle narrowed to 60–90°, and the staining reaction weakened to (++), suggesting that receptivity had entered the terminal phase. By Day 8, stigmas showed visible wilting, the bract angle narrowed to 45–60°, and the staining reaction reverted to negative—signifying the complete loss of receptivity.
Notably, stigma development of florets at different positions within an inflorescence displayed significant asynchrony: upper florets developed earliest, while basal florets developed latest, with their receptive period delayed by ~1–3 days relative to mid-upper florets. Thus, in practical pollination operations, these positional differences should be accounted for, and the operation window appropriately extended.
Based on the aforementioned morphological and physiological indicators, we further refined the guidelines for determining the optimal stigma receptivity period of ‘Purple Rain’ (Table 2), which can be used to guide practical pollination work.
Table 2.
Morphological criteria for determining optimal stigma receptivity in ‘Purple Rain’.
3.2. The Relationship Between the External Morphology of the Ovary, Megaspore and Embryo Sac Development
The morphological changes in ovary development were recorded after pollination. Specifically, results indicated that the longitudinal-to-transverse ratio was approximately 0.55–0.65 on day 3 after pollination. With ovary development, the longitudinal growth exceeded that of the transverse growth, thus increasing this ratio. By day 12 after pollination, seed wings were visibly emerging on the ovary with a ratio of 0.77 (Figure 1C). Subsequently, on day 15, the ratio was 0.84, and by day 18, the longitudinal length equaled the transverse length (Figure 1A). Regarding internal development, tissue section images showed that the development of ovule primordia was discernible within the ovaries from days 3 to 9 after pollination (Figure 1F–H). By day 12 after pollination, sporogenous tissue was established in the nucellar region (Figure 1I) and further evolved into megasporangial primordia (Figure 1K). On day 15, the megasporangium was partially encapsulated by integumentary tissues, and voluminous megaspore mother cells, featuring prominent nuclei, had differentiated beneath the nucellar epidermis (Figure 1J). By contrast, by day 18, these megaspore mother cells had completed meiosis, forming a megaspore tetrad (Figure 1K). Thereafter, the three megaspores situated distally within the micropyle degenerated, leaving behind the single functional megaspore at the chalazal end (Figure 1L). The period of embryo sac development occurred from days 21 to 24 (Figure 1M–Q). On day 27, the egg cell underwent fertilization by fusing with a sperm nucleus to yield a zygote (Figure 1R). Between days 30 and 33, the polar nucleus merged with a sperm nucleus to establish the primary endosperm nucleus (Figure 1S). Subsequently, the primary endosperm nucleus underwent multiple rounds of mitotic divisions facilitated by the surrounding nucellus tissue, leading to the production of numerous free endosperm nuclei (Figure 1T). Simultaneously, the fertilized egg cell developed into a zygote, which subsequently divided to form a primordial embryo (Figure 1U). The primordial embryo progressed through several developmental stages, including spherical, heart-shaped, and torpedo stages, culminating in the formation of a mature embryo (Table 3).
Figure 1.
Ovarian morphological changes and tissue sections at different developmental stages following pollination (Black arrows point to the key structures as described in the labels.). (A). Morphology of the ovary at various developmental stages. (B). Unpollinated female florets (control). (C–E). Female florets at 12, 24, and 33 days after pollination, respectively. (F–H). Ovule primordium formation (3–9 days after pollination). (I). Sporoblasts (ASC) at 12 days after pollination. (J). Megaspore mother cell (MMC) at 15 days after pollination. (K). Megaspore tetrad at 18 days after pollination. (L). Degenerate megaspores (DM) and functional megaspore (FM) at 18 days after pollination. (M). Uninucleate embryo sac (MES) at 21 days after pollination. (N). Binucleate embryo sac (BES) at 21 days after pollination. (O). Tetranucleate embryo sac (TES) at 24 days after pollination. (P). Eight-nucleate embryo sac (ENES; one side shown) at 24 days after pollination. (Q). Mature embryo sac at 24 days after pollination, showing polar nuclei (PN), central cell (CC), antipodal cells (AC), synergids (SY), and egg cell (EC). (R). Fertilized egg cell at 27 days after pollination. (S). Primary endosperm nucleus at 30–33 days after pollination. (T). Free endosperm nuclei at 36 days after pollination. (U). Embryo formation at 39 days after pollination.
Table 3.
The ratio of the ovary in diameter and development of megaspore and embryo sac.
In summary, observations of ovarian morphological characteristics and tissue sections after pollination revealed that seed wings become visible 12 days after pollination. Subsequently, after three additional days of ovarian development (i.e., 15 days after pollination), the ovaries enter the megaspore mother cell formation stage. Triploid induction rate assays (Table 4) demonstrated that this period is the suitable phase for high-temperature induction to generate 2n female gametes.
Table 4.
High-temperature treatments for triploid induction.
To precisely quantify ovary development and establish the correlation between its morphological characteristics and the embryo sac developmental stage, we fitted a logistic model to the relationship between the ovary length-to-width ratio and the accumulated growing degree hours (GDH). The model fitting results demonstrated a sigmoidal relationship, which is described by the following equation:
Here, the theoretical maximum ratio (Lmax) is 2.3217, the growth rate parameter (k) is 0.000659, and the thermal time required to reach half of the maximum ratio (GDH50) is 2608.8 °C·h. The model exhibited a high goodness-of-fit (R2 = 0.9529, RMSE = 0.1506; see Appendix A Figure A1). Furthermore, as shown in Appendix A Table A1, the observed ovary length-to-width ratios were in strong agreement with the model-predicted values.
3.3. Inducing Female Megaspore Chromosome Doubling Through High-Temperature Treatment
To elucidate the ideal conditions and timeframe for inducing chromosome doubling in birch female gametes, female inflorescences at different developmental stages were exposed to high-temperature treatments at 40 °C and 42 °C after pollination. High-temperature exposure was particularly detrimental to female inflorescences within 3–6 days after pollination, often resulting in their lethal abscission. By day 9 after pollination, it similarly led to lethal desiccation and shedding of the female inflorescences. High-temperature treatments exerted a discernible influence on seed germination rates, evident 12 days after pollination. The seed germination rates significantly decreased when subjected to either of the two high-temperature treatments for a duration of 2 h; specifically, higher temperatures and longer exposures reduced germination rates (Appendix A Table A2). Ploidy analysis across the various treatment combinations (Figure 2) revealed that high-temperature induction rates peaked on days 15 and 18 post-pollination, reaching 22.54%–33.82%. Notably, the most effective triploid induction rates were achieved with 40 °C treatments for 2 h and 42 °C treatments for 1 h (Table 4). For instance, on day 15 after pollination, the triploid induction rates were 32.05% and 33.82% with 2 h for 40 °C and 1 h for 42 °C, respectively (Table 4). The 15th day after pollination marked the stage of megaspore mother cell formation (Figure 1J–L). High-temperature induction treatments were carried out over the period spanning days 21–42 after pollination. Although a few triploid plants were produced, the overall induction rate remained notably low with below 10%. Results indicated that the most productive window for high-temperature-induced triploids was day 15 after pollination.
Figure 2.
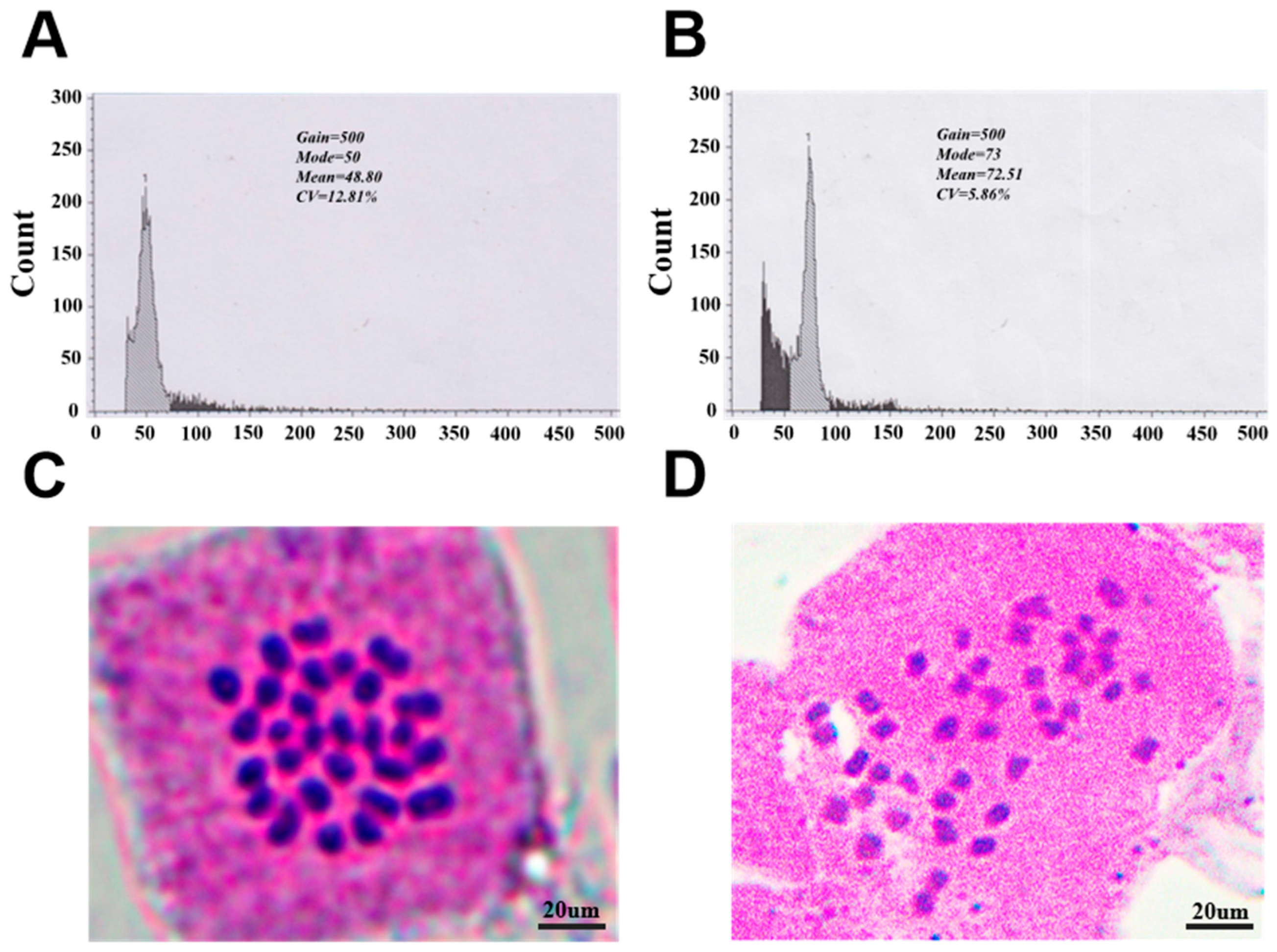
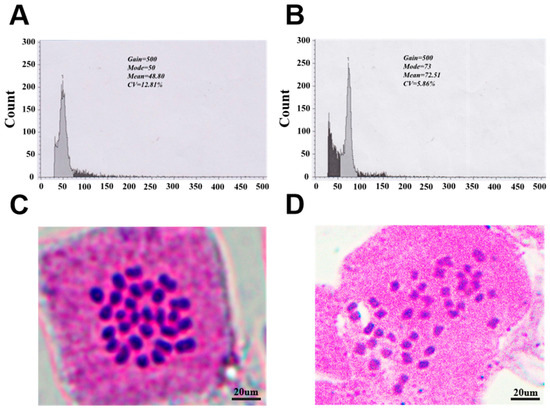
Determination of Polyploidy Level. (A). Relative DNA content analysis of diploid plants: Using the G1-phase main peak channel position as a reference (2C = 1.00), the relative DNA content was determined to be 0.98 ± 0.01 C. (B). Relative DNA content analysis of triploid plants: The relative DNA content was 1.43 ± 0.07 C, approximately 1.5-fold that of the diploid reference value. (C). Somatic chromosomes of diploid root tips (2n = 2x = 28). (D). Somatic chromosomes of triploid root tips (2n = 3x = 42).
3.4. Comparison of Growth Characteristics Between Triploid and Diploid Seedlings
Chromosome ploidy analysis confirmed that 19 triploid birch plants were successfully transplanted and survived. Growth and leaf area analysis revealed that mean leaf area and ground diameter were significantly greater in triploids than in diploid controls (p < 0.01; Figure 3A). Based on the mean values shown in Figure 3C,E, triploids showed 74.03% and 36.13% increase in leaf area and basal diameter compared to diploids. Regarding plant height, no significant differences were observed between triploids and diploids (Figure 3B,D). It should be noted that these results are based on comparisons at the family mean level. At the individual plant level, some phenotypic variation existed among the triploid individuals, and not all triploids displayed superior traits. Overall, this triploid birch population demonstrated significant overall advantages in growth traits.
Figure 3.
Comparison of triploid and diploid birch growth. (n = 19 for triploid, n = 18 for diploid). (A). Leaves of triploid and diploid birch. (B). Plants 4 months after transplanting. (C). Leaf area of triploid and diploid birch. (Welch’s t-test, p < 0.001, Hedges’ g = −2.42). (D). Plant height of triploid and diploid birch (independent samples t-test, p = 0.430, Hedges’ g = −0.26). (E). Ground diameter of triploid and diploid birch (Welch’s t-test, p < 0.001, Hedges’ g = −2.65).
4. Discussion
4.1. Optimal Pollination Window for Female Flower Stigmas
Stigma receptivity assessment is critical in plant hybridization research [17,18]. Studies indicate that elevated surface enzyme activity correlates with enhanced stigma receptivity [19,20]. For instance, studies utilizing benzidine-hydrogen peroxide staining to measure stigma enzyme activity in poplar species, including Populus alba × P. glandulosa, P. tomentosa × P. bolleana, P. alba × P. tomentosa and P. davidiana Dode, have elucidated the optimal timing for pollination [14,21]. Consistently, these studies showed that stigma transferability was optimally high during this specific developmental phase. They further underscored the correlation between pistil stigma morphology, secretion patterns, and exudate composition, contributing to the determination of optimal pollination windows for each studied tree species. In this study, we found that there was an asynchronous development of female florets in birch inflorescences. The study focused on morphological observations of female flowers situated in the central part of the inflorescence. To facilitate the rapid identification of the pistil stigma receptivity in B. pendula, we employed benzidine-hydrogen peroxide staining, which disclosed that stigma receptivity reaches its maximum when it emerges from the bracts between days 5 and 6 (see Table 1). The successful triploidisation of the female gametes in birch mainly relied on sexual hybridization and high-temperature treatment. Therefore, accurately judging the timing of stigma pollination was crucial for exploring the acquisition of triploids during high-temperature treatment.
4.2. Effectiveness and Mechanism of the High-Temperature Treatment
High-temperature-induced chromosome doubling in female gametes represents one of the most practical and cost-effective strategies for triploid breeding. As a physical stress treatment, heat shock disrupts spindle microtubule dynamics during meiosis, preventing chromosome segregation and cytokinesis, ultimately leading to gamete chromosome doubling [22,23]. This technique requires simple operational procedures, minimal environmental control, and eliminates the need for chemical mutagens or pre-developed tetraploid parents, demonstrating excellent applicability and operational safety.
This study clearly shows that applying a 40 °C treatment for 2 h or a 42 °C treatment for 1 h at 15 days after pollination (megaspore mother cell stage) resulted in the highest triploid induction rates, reaching 32.05% and 33.82%, respectively. It is particularly notable that the high-temperature treatment only produced a significant induction effect specifically during this developmental stage—the megaspore mother cell stage—which implies that cells at this phase exhibit unique sensitivity to heat shock in their cell cycle progression or gene expression patterns. However, while successfully inducing the intended chromosomal doubling effect, the high-temperature treatment also caused a certain degree of physiological disruption to female gamete development and subsequent seed formation. In this study, seed germination rates were generally lower in the treatment groups, with more pronounced reductions observed particularly under higher temperatures or longer treatment durations, indicating that the heat stress not only triggers chromosome doubling but also produces clearly observable negative impacts on cellular structure and metabolic balance.
It is necessary to further clarify that embryo abortion induced by high temperature may not be a random process. Due to the increased genomic dosage and potential gene expression imbalance, triploid embryos may differ from diploids in terms of developmental stability and adaptive capacity under heat stress, resulting in different survival probabilities following treatment. If triploid embryos do indeed possess a selective disadvantage during embryonic development, then the actual triploid seedling recovery rate may be lower than the true chromosome doubling efficiency. Therefore, subsequent research should strengthen ploidy monitoring at both embryonic and seedling stages and systematically compare survival and elimination ratios among individuals of different ploidies, in order to effectively correct for the bias caused by “post-treatment selection effects” when evaluating the actual induction efficiency.
The high-temperature induced 2n gamete technique has been used to produce triploids in various poplar species [6,24,25,26]. These studies consistently demonstrate that triploid induction efficiency depends on both the genetic background of the tree species and the specific heat shock parameters applied. In poplar, 2n female gametes generated 100% triploid progeny post-fertilization, including white poplars, Populus adenopoda Maxim, Populus sect., P. pseudo-simonii × P. nigra ‘Zheyin3#’, Populus alba × P. glandulosa, etc. [6,7,24,25,27,28]. In Eucommia ulmoides Oliver, a 45 °C treatment for 4 h achieved a triploid induction rate of 5.74% [29]. In Eucalyptus urophylla S.T. Blake, zygotic chromosome doubling was accomplished by applying 44 °C for 6 h at 25 days after pollination [30]. Compared with the present study, the observed variations in optimal treatment timing and induction efficiency among different tree species may originate from differences in the timing of megasporogenesis and embryo sac development, cellular structural responses to high temperature, as well as species-specific genetic bases of thermotolerance.
Furthermore, the direct high-temperature induction protocol established in this study demonstrates significant advantages in breeding efficiency. If the traditional tetraploid pathway were used to create triploid ‘Purple Rain’ birch, it would first require chemically induced tetraploidization, followed by an average vegetative growth period of approximately 8 years before the tetraploid plants reach flowering and can be cross-pollinated with diploid parents to produce triploids. In contrast, the high-temperature induction technique developed here is applied directly to diploid maternal parents during the critical stage of pistil development, bypassing the lengthy waiting period associated with tetraploid development. Theoretically, this approach can shorten the triploid breeding cycle by more than 6 years. This breakthrough not only significantly accelerates the selection process for triploid birch but also provides a valuable and efficient technical pathway that can serve as a reference for polyploid breeding in other woody plant species.
It should be noted that the logistic model established in this study between the ovary length-to-width ratio and accumulated growing degree hours (GDH), while providing a good fit to the current year’s data (R2 = 0.9529) and offering valuable morphological and thermal time indicators for determining the timing of high-temperature treatment, still has certain limitations. Since the model was constructed based solely on observational data from a single year, climatic variations across different years (such as abnormal temperatures and light changes) may affect the relationship between ovary development and GDH, potentially leading to deviations in model predictions. Therefore, the generalizability and robustness of the current model need further validation through systematic multi-year and multi-location observations. Future research should accumulate developmental and meteorological data over consecutive years to calibrate and optimize the model parameters, with the aim of establishing a more widely applicable prediction system. This will enhance the accuracy and reliability of determining the optimal timing for high-temperature treatment and promote the standardized application of this technique across different ecological regions and birch species.
In summary, this study not only identified the critical window and optimal parameters for high-temperature-induced female gamete chromosome doubling in birch but also provided a theoretical basis and technical support for in-depth analysis of the cytological mechanisms of heat shock-induced chromosome doubling and for improving the actual yield rate of triploids. Future research should focus on optimizing heat shock strategies to balance induction efficiency with normal embryo development, and on validating the applicability and stability of this method across a wider range of tree species and germplasm resources.
4.3. Selection and Performance Differences in Hybrid Triploids
Despite ample evidence showing promising growth performance among many heterozygous generations [31], not all triploid individuals obtained through hybridization exhibit desirable agronomic traits. Therefore, systematic evaluation of growth traits and stress resistance is a critical step in screening triploid germplasm with potential for commercial cultivation. As an illustration, colchicine-induced 2-year-old P. tomentosa seedlings derived from (P. alba × P. glandulosa) × P. tomentosa display significant growth vigor. However, variation among individuals exists, with the most robust triploid reaching heights of up to 4.8 m and having a ground diameter of 5.7 cm, whereas the least vigorous triploid specimen measures just 3.3 m in height and 2.9 cm in ground diameter [32]. This study also found that although the triploid population overall surpassed the diploids in leaf area and basal diameter, no significant advantage was observed in plant height, and some triploid individuals exhibited weak growth vigor, even falling below the average level of diploids. Specifically, the shortest triploid plant measured only 51 cm in height, which is 54.42% lower than the average height of diploid birch. Although this study utilized the superior B. pendula ‘Purple Rain’ hybrid lines #4-30 and #4-42 as materials and achieved chromosome doubling via high-temperature-induced female gametes, the progeny still displayed wide phenotypic variation due to genetic recombination and gene exchange inherent in sexual hybridization [33,34]. Results demonstrate that while triploid induction significantly enhances growth traits at the population level, substantial individual variation persists, potentially attributable to genetic background diversity, chromosomal combinations, or epigenetic regulation. Therefore, developing efficient early screening methods, potentially combined with marker-assisted selection, to rapidly identify superior triploid individuals is crucial for translating this technology into practical breeding. Furthermore, although this study focused on specific Betula pendula lines, the identified critical developmental stage and treatment parameters may offer valuable references for triploid induction in other birch species (such as Betula platyphylla and Betula pendula); however, systematic experimental validation across diverse germplasm remains necessary.
The novel polyploid genotypes generated through hybridization combined with high-temperature-induced chromosome doubling in female gametes effectively integrate polyploidy and heterosis, thereby presenting dual breeding benefits [6]. In the constructed hybrid population, we have already selected individuals possessing both heterosis and ploidy advantages, while eliminating those with weak growth vigor. Previous studies on triploid poplars and loquats, among other polyploid materials have substantiated that polyploid plants typically manifest traits such as vigorous growth, larger leaf size, and increased stress tolerance [35,36]. The polyploid induction method established in this study, together with the growth comparisons among different ploidy materials, is expected to provide a theoretical basis and technical support for the genetic improvement of birch.
5. Conclusions
(1) This study established a novel method for producing triploid birch by inducing chromosome doubling in female gametes through high-temperature treatment. The results demonstrate that the optimal period for stigma pollination is 5–6 days after bract elongation, characterized by a bract opening angle greater than 60°. The key stage for inducing chromosome doubling was identified 15 days after pollination (megaspore mother cell stage). Application of a 40 °C treatment for 2 h or a 42 °C treatment for 1 h at this stage achieved the highest triploid induction rate of 33.82%.
(2) A logistic model was developed between the ovary length-to-width ratio and accumulated growing degree hours (GDH), which accurately quantified ovary development and provided reliable morphological and thermal time indicators for determining the timing of high-temperature treatment. The model showed high fitting accuracy (R2 = 0.9529), indicating that when the accumulated GDH reached approximately 2608.8 °C·h, the ovary length-to-width ratio reached half of its maximum value, corresponding to the megaspore mother cell stage. This provides a quantifiable criterion for identifying the optimal window for high-temperature induction.
(3) The successful application of this method significantly shortens the breeding cycle for triploid birch. More importantly, the critical developmental window and treatment parameters established in this study are not only applicable to different hybrid lines of Betula pendula but also provide a transferable technical framework and theoretical basis for triploid induction in other birch species (such as Betula platyphylla and Betula pendula). This technical approach effectively overcomes bottlenecks in traditional tetraploid breeding, such as long cycles and unsynchronized flowering. Combined with the established developmental model, it further enhances the accuracy and operability of determining the optimal timing for high-temperature treatment, offering an efficient and feasible new pathway for polyploid breeding in woody plants. In the future, through optimization and validation across different tree species and germplasm, this method and its supporting model are expected to play a broader role in forest genetic improvement, promoting the directional breeding of high-yield and high-quality triploid trees.
Author Contributions
Conceptualization, J.J. and H.L.; Data curation, Y.C.; Formal analysis, Y.C. and J.Z.; Methodology, J.Z.; Investigation, J.L. and S.D.; Project administration, J.J.; Resources, J.J. and H.L.; Supervision, G.L.; Writing—original draft, J.L. and Y.H.; Writing—review & editing, J.L., Y.H. and J.F. All authors have read and agreed to the published version of the manuscript.
Funding
This work was supported by the National Key Research and Development Program of China [Grant Number 2021YFD2200100].
Data Availability Statement
The data that support the findings of this study are openly available in [Zenodo] at [https://doi.org/10.5281/zenodo.17418566] (accessed on 28 October 2025).
Acknowledgments
We sincerely thank the “14th Five-Year Plan” National Key Research and Development Program for its financial support. The Key Laboratory of Forest Genetics and Breeding at Northeast Forestry University provided indispensable technical infrastructure and support for this study.
Conflicts of Interest
The authors declare that they have no conflicts of interest. The experiments were performed in accordance with all relevant Chinese laws.
Appendix A
Table A1.
Comparison between observed data and model predictions.
Table A1.
Comparison between observed data and model predictions.
| Date | Days After Pollination (d) | Accumulated GDH (°C·h) | Observed Ratio | Predicted Ratio |
|---|---|---|---|---|
| 2023/4/21 | 3 | 301 | 0.546 | 0.417 |
| 2023/4/24 | 6 | 520 | 0.601 | 0.468 |
| 2023/4/27 | 9 | 901 | 0.619 | 0.569 |
| 2023/4/30 | 12 | 1202 | 0.758 | 0.658 |
| 2023/5/3 | 15 | 2044 | 0.827 | 0.947 |
| 2023/5/6 | 18 | 2660 | 0.915 | 1.181 |
| 2023/5/9 | 21 | 3231 | 1.202 | 1.395 |
| 2023/5/12 | 24 | 4043 | 1.764 | 1.672 |
| 2023/5/15 | 27 | 4807 | 2.110 | 1.880 |
| 2023/5/18 | 30 | 5529 | 2.125 | 2.026 |
| 2023/5/21 | 33 | 6307 | 2.321 | 2.135 |
| 2023/5/24 | 36 | 7488 | 2.158 | 2.232 |
| 2023/5/27 | 39 | 8515 | 2.088 | 2.275 |
| 2023/5/30 | 42 | 9439 | 2.250 | 2.296 |
Note: The predicted values were generated by the logistic model describing the relationship between the ovary length-to-width ratio and accumulated growing degree hours (GDH). The model was fitted with a high goodness-of-fit (R2 = 0.9529, RMSE = 0.1506). GDH was calculated with a base temperature of 5 °C.
Table A2.
Seed germination rate with high-temperature treatments in Betula pendula ‘Purple Rain’.
Table A2.
Seed germination rate with high-temperature treatments in Betula pendula ‘Purple Rain’.
| Days After Pollination | Germination Rate % (40 °C) | Germination Rate % (42 °C) | ||
|---|---|---|---|---|
| 1 h | 2 h | 1 h | 2 h | |
| CK | 66.00 ± 1.67 f | 66.00 ± 1.67 e | 66.00 ± 1.67 f | 66 ± 1.67 e |
| 3 | 64.00 ± 2.77 ef | — | — | — |
| 6 | — | — | — | — |
| 9 | 68.00 ± 2.69 fg | 46.30 ± 2.88 bcd | — | — |
| 12 | 77.20 ± 2.16 g | 48.50 ± 2.67 cd | 25.10 ± 2.25 a | 8.50 ± 1.18 a |
| 15 | 63.00 ± 2.5 ef | 35.30 ± 2.47 ab | 32.00 ± 2.40 ab | 13.10 ± 1.51 a |
| 18 | 59.20 ± 2.46 def | 45.80 ± 2.50 bcd | 47.80 ± 2.51 de | 34.80 ± 2.36 b |
| 21 | 55.20 ± 2.52 de | 45.20 ± 2.52 bcd | 36.50 ± 2.41 bcd | 27.80 ± 2.19 b |
| 24 | 36.70 ± 2.4 b | 32.90 ± 2.32 a | 56.30 ± 2.5 ef | 52.10 ± 2.52 d |
| 27 | 42.60 ± 2.52 bc | 25.70 ± 2.13 a | 44.70 ± 2.54 cde | 27.30 ± 2.19 b |
| 30 | 42.70 ± 2.47 bc | 51.30 ± 2.50 d | 50.00 ± 2.51 e | 58.70 ± 2.46 de |
| 33 | 49.20 ± 2.52 cd | 54.10 ± 2.51 d | 33.10 ± 2.32 abc | 37.60 ± 2.42 bc |
| 36 | 36.70 ± 2.39 b | 36.30 ± 2.39 abc | 50.30 ± 2.52 e | 50.00 ± 2.52 d |
| 39 | 23.50 ± 2.08 a | 26.50 ± 2.19 a | 31.50 ± 2.34 ab | 34.90 ± 2.43 b |
| 42 | 32.90 ± 2.33 ab | 30.40 ± 2.26 a | 49.80 ± 2.53 e | 46.90 ± 2.52 cd |
Note: Germination rate data are presented as estimated marginal means ± standard errors, analyzed using generalized linear models. Different letters indicate significant differences at the p < 0.05 level following Tukey’s HSD multiple comparison test.
Figure A1.
Logistic model fitting and residual analysis of ovary aspect ratio in response to thermal time. Left panel illustrates the dynamics of the ovary length-to-width ratio along with thermal time, where diamond markers represent the observed ovary length-to-width ratios, and the purple solid line denotes the fitted curve of the logistic model. Right panel displays the residual analysis of the model; purple dots indicate the residuals of the ovary length-to-width ratio model (i.e., the differences between observed and predicted values), which are used to evaluate the model’s goodness-of-fit. A random distribution of the residuals around the zero dashed line indicates a satisfactory model fit.
Figure A1.
Logistic model fitting and residual analysis of ovary aspect ratio in response to thermal time. Left panel illustrates the dynamics of the ovary length-to-width ratio along with thermal time, where diamond markers represent the observed ovary length-to-width ratios, and the purple solid line denotes the fitted curve of the logistic model. Right panel displays the residual analysis of the model; purple dots indicate the residuals of the ovary length-to-width ratio model (i.e., the differences between observed and predicted values), which are used to evaluate the model’s goodness-of-fit. A random distribution of the residuals around the zero dashed line indicates a satisfactory model fit.

References
- Chen, S.; Wang, Y.; Yu, L.; Zheng, T.; Wang, S.; Yue, Z.; Jiang, J.; Kumari, S.; Zheng, C.; Tang, I.; et al. Genome Sequence and Evolution of Betula platyphylla. Hortic. Res. 2021, 8, 37. [Google Scholar] [CrossRef]
- Mu, H.-Z.; Liu, Z.-J.; Lin, L.; Li, H.-Y.; Jiang, J.; Liu, G.-F. Transcriptomic Analysis of Phenotypic Changes in Birch (Betula Platyphylla) Autotetraploids. Int. J. Mol. Sci. 2012, 13, 13012–13029. [Google Scholar] [CrossRef]
- Mu, H.; Jiang, J.; Li, H.; Liu, G. Seed Vigor, Photosynthesis and Early Growth of Saplings of Different Triploid Betula Families. Dendrobiology 2012, 68, 11–20. [Google Scholar] [CrossRef]
- Xu, H.; Liu, Y.; Jiang, J.; Liu, G.; Zhao, X. Progeny Test of Tetraploid Betula Platyphylla and Preliminary Selection of Hybrid Parents. J. For. Res. 2016, 27, 665–674. [Google Scholar] [CrossRef]
- Lin, L.; Yao, Q.; Xu, H.; Mu, H.; Jiang, J. Characteristics of the Staminate Flower and Pollen from Autotetraploid Betula platyphylla. Dendrobiology 2013, 69, 3–11. [Google Scholar] [CrossRef]
- Guo, L.; Xu, W.; Zhang, Y.; Zhang, J.; Wei, Z. Inducing Triploids and Tetraploids with High Temperatures in Populus Sect. Tacamahaca. Plant Cell Rep. 2017, 36, 313–326. [Google Scholar] [CrossRef] [PubMed]
- Kang, X.; Zhu, Z. A study on the 2n pollen vitality and germinant characteristics of white poplars. Acta Bot. Yunnanica 1997, 19, 402–406. [Google Scholar]
- Kang, X.; Zhu, Z.; Lin, H. Radiosensitivity of different ploidy pollen in poplar and its application. Acta Genet. Sin. 2000, 27, 78–82. [Google Scholar]
- Kang, N.; Bai, F.; Zhang, P.; Kang, X. Inducing chromosome doubling of embryo sac in Populus tomentosa with high temperature exposure for hybrid triploids. J. Beijing For. Univ. 2015, 37, 79–86. [Google Scholar] [CrossRef]
- Tian, M.; Li, Y.; Zhang, P.; Wang, J.; Hao, J. Pollen Chromosome Doubling Induced by High Temperature Exposure to Produce Hybrid Triploids in Populus canescens. Sci. Silvae Sin. 2018, 54, 39–47. Available online: https://kns.cnki.net/kcms2/article/abstract?v=IPzr95zWmwROtlBV1PGn_MD4Cbj5ZSsv3bTypS5VWr95QfEWWbidzeTm5eC1JopGNPH5oaSi5cbezN1uHHNF78UvHwa5Ohh_aBztLMjfzx1GL7ILwOimq8DRQybcJPbleSCMBTMlDcNjTgxrtFAqSjBP_DV29QSQypLbeEhH-JU=&uniplatform=NZKPT&language=CHS (accessed on 15 August 2025).
- Pecrix, Y.; Rallo, G.; Folzer, H.; Cigna, M.; Gudin, S.; Le Bris, M. Polyploidization Mechanisms: Temperature Environment Can Induce Diploid Gamete Formation in Rosa sp. J. Exp. Bot. 2011, 62, 3587–3597. [Google Scholar] [CrossRef]
- Wang, J.; Li, D.; Shang, F.; Kang, X. High Temperature-Induced Production of Unreduced Pollen and Its Cytological Effects in Populus. Sci. Rep. 2017, 7, 5281. [Google Scholar] [CrossRef] [PubMed]
- Wang, J.; Kang, X.; Liu, L.; Jiang, P.; Fu, G. Stigma receptivity and the optimal pollination period of Populus spp. (Section Tacamahaca). J. Beijing For. Univ. 2009, 31, 30–35. [Google Scholar] [CrossRef]
- Li, Y.; Kang, X. Stigma Receptivity and Its Detection Methods of White Poplars. Northwest Bot. J. 2007, 27, 864–870. Available online: https://kns.cnki.net/kcms2/article/abstract?v=IPzr95zWmwQLl7Nyh_YeN7HiSYNeiPJBTjfAfAUz16Mn9MD9GW2TKvo8s13XC-LLFrEyZy6XZBwuBNE3aHHoGCB-egcmlA5_yvakgKgbsC1aOhftNJjS2gYNM4ybWOQN3KmCjmPHsSXB58qWqFPrp02U99iBKHhfjdnDdRL1vnQ=&uniplatform=NZKPT&language=CHS (accessed on 15 August 2025).
- Kang, X. Trees Non-Isolated Branch and Bud Heating Treatment Device. Patent CN101057555A, 24 October 2007. [Google Scholar]
- Geng, X.; Ren, Y.; Han, Z.; Du, K.; Kang, X. Production of hybrid triploids via inducing chromosome doubling of megaspore with high temperature treatment in Leuce poplar. J. Beijing For. Univ. 2018, 40, 12–18. [Google Scholar] [CrossRef]
- Bedinger, P.A.; Broz, A.K.; Tovar-Mendez, A.; McClure, B. Pollen-Pistil Interactions and Their Role in Mate Selection. Plant Physiol. 2017, 173, 79–90. [Google Scholar] [CrossRef]
- Liu, Y.; Joly, V.; Dorion, S.; Rivoal, J.; Matton, D.P. The Plant Ovule Secretome: A Different View toward Pollen-Pistil Interactions. J. Proteome Res. 2015, 14, 4763–4775. [Google Scholar] [CrossRef]
- Maity, A.; Chakarbarty, S.K.; Pramanik, P.; Gupta, R.; Parmar, S.S.; Sharma, D.K. Response of Stigma Receptivity in CMS and Male Fertile Line of Indian Mustard (B. Juncea) under Variable Thermal Conditions. Int. J. Biometeorol. 2019, 63, 143–152. [Google Scholar] [CrossRef]
- Ramos Abril, L.N.; Pineda, L.M.; Wasek, I.; Wedzony, M.; Ceballos, H. Reproductive Biology in Cassava: Stigma Receptivity and Pollen Tube Growth. Commun. Integr. Biol. 2019, 12, 96–111. [Google Scholar] [CrossRef]
- Li, J.; Guo, C.; Li, Z.; Bai, H. Study on Stigma Receptivity and Effects of Female Flowering Branches Quality on Flower Bud Development of Populus davidiana. For. Eng. 2021, 37, 11–17. [Google Scholar] [CrossRef]
- Zhang, Z.; Kang, X. Cytological Characteristics of Numerically Unreduced Pollen Production in Populus Tomentosa Carr. Euphytica 2010, 173, 151–159. [Google Scholar] [CrossRef]
- Zhang, P.; Kang, X. Occurrence and Cytological Mechanism of Numerically Unreduced Pollen in Diploid Populus euphratica. Silvae Genet. 2013, 62, 285–291. [Google Scholar] [CrossRef]
- Lu, M.; Zhang, P.; Kang, X. Induction of 2n Female Gametes in Populus Adenopoda Maxim by High Temperature Exposure during Female Gametophyte Development. Breed. Sci. 2013, 63, 96–103. [Google Scholar] [CrossRef] [PubMed]
- Wang, J.; Kang, X.Y.; Li, D.L. High Temperature-Induced Triploid Production during Embryo Sac Development in Populus. Silvae Genet. 2012, 61, 85–93. [Google Scholar] [CrossRef]
- Li, Y.; Tian, M.; Zhang, P. Embryo Sac Chromosome Doubling in Populus alba × P. Glandulosa Induced by High Temperature Exposure to Produce Triploids. Breed. Sci. 2017, 67, 233–238. [Google Scholar] [CrossRef] [PubMed]
- Wang, J.; Kang, X.Y.; Li, D.L.; Chen, H.W.; Zhang, P.D. Induction of Diploid Eggs with Colchicine During Embryo Sac Development in Populus. Silvae Genet. 2010, 59, 40-U1. [Google Scholar] [CrossRef]
- Li, Y.; Kang, X. Triploid induction in Populus alba × P. glandulosa by chromosome doubling of female gametes. J. Beijing For. Univ. 2007, 29, 22–25. [Google Scholar] [CrossRef]
- Li, Y.; Wang, Y.; Wang, P.; Yang, J.; Kang, X. Induction of Unreduced Megaspores in Eucommia Ulmoides by High Temperature Treatment during Megasporogenesis. Euphytica 2016, 212, 515–524. [Google Scholar] [CrossRef]
- Liu, Z.; Wang, J.; Qiu, B.; Ma, Z.; Lu, T.; Kang, X.; Yang, J. Induction and Characterization of Tetraploid Through Zygotic Chromosome Doubling in Eucalyptus Urophylla. Front. Plant Sci. 2022, 13, 870698. [Google Scholar] [CrossRef]
- Liao, T.; Cheng, S.; Zhu, X.; Min, Y.; Kang, X. Effects of Triploid Status on Growth, Photosynthesis, and Leaf Area in Populus. Trees-Struct. Funct. 2016, 30, 1137–1147. [Google Scholar] [CrossRef]
- Kang, X.; Zhang, P.; Gao, P.; Zhao, F. Discovery of a new way of poplar triploids induced with colchicine after pollination. J. Beijing For. Univ. 2004, 26, 1–4. [Google Scholar] [CrossRef]
- Zhang, Z.; Gou, X.; Xun, H.; Bian, Y.; Ma, X.; Li, J.; Li, N.; Gong, L.; Feldman, M.; Liu, B.; et al. Homoeologous Exchanges Occur through Intragenic Recombination Generating Novel Transcripts and Proteins in Wheat and Other Polyploids. Proc. Natl. Acad. Sci. USA 2020, 117, 14561–14571. [Google Scholar] [CrossRef] [PubMed]
- Macaya-Sanz, D.; Suter, L.; Joseph, J.; Barbara, T.; Alba, N.; Gonzalez-Martinez, S.C.; Widmer, A.; Lexer, C. Genetic Analysis of Post-Mating Reproductive Barriers in Hybridizing European Populus Species. Heredity 2011, 107, 478–486. [Google Scholar] [CrossRef] [PubMed]
- Wu, W.; Liao, T.; Du, K.; Wei, H.; Kang, X. Transcriptome Comparison of Different Ploidy Reveals the Mechanism of Photosynthetic Efficiency Superiority of Triploid Poplar. Genomics 2021, 113, 2211–2220. [Google Scholar] [CrossRef]
- Wang, L.; Tu, M.; Li, J.; Sun, S.; Song, H.; Xu, Z.; Chen, D.; Liang, G. Photosynthetic Efficiency and Glyco-Metabolism Changes in Artificial Triploid Loquats Contribute to Heterosis Manifestation. Int. J. Mol. Sci. 2022, 23, 11337. [Google Scholar] [CrossRef]
Disclaimer/Publisher’s Note: The statements, opinions and data contained in all publications are solely those of the individual author(s) and contributor(s) and not of MDPI and/or the editor(s). MDPI and/or the editor(s) disclaim responsibility for any injury to people or property resulting from any ideas, methods, instructions or products referred to in the content. |
© 2025 by the authors. Licensee MDPI, Basel, Switzerland. This article is an open access article distributed under the terms and conditions of the Creative Commons Attribution (CC BY) license (https://creativecommons.org/licenses/by/4.0/).


