Maturation Stress and Wood Properties of Poplar (Populus × euramericana cv. ‘Zhonglin46’) Tension Wood
Abstract
1. Introduction
2. Materials and Methods
2.1. Study Site and Tree Information
2.2. Released Longitudinal Maturation Strains
2.3. Sampling of Felled Trees
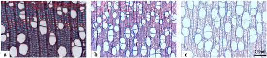
2.4. Anatomical Features
2.5. Physical and Mechanical Properties
2.6. Nano-Indentation Test
2.7. Statistical Analyses
3. Results
3.1. Released Longitudinal Maturation Strains
3.2. Anatomical Properties
3.3. Physical and Mechanical Properties
3.4. Indentation Modulus of Cell Wall
3.5. Relationships between Released Longitudinal Maturation Strains and Wood Properties
4. Discussion
5. Conclusions
Author Contributions
Funding
Data Availability Statement
Acknowledgments
Conflicts of Interest
References
- Thibaut, B.; Gril, J. Growth stresses. In Wood Quality and Its Biological Basis; Blackwell: Oxford, UK, 2003; pp. 137–156. [Google Scholar]
- Alméras, T.; Clair, B. Critical review on the mechanisms of maturation stress generation in trees. J. R. Soc. Interface 2016, 13, 20160550. [Google Scholar] [CrossRef]
- Gril, J.; Jullien, D.; Bardet, S.; Yamamoto, H. Tree growth stress and related problems. J. Wood Sci. 2017, 63, 411–432. [Google Scholar] [CrossRef]
- Mattheck, C.; Kubler, H. Wood: The internal optimization of trees. Arboric. J. Int. J. Urban For. 1995, 19, 97–110. [Google Scholar] [CrossRef]
- Clair, B.; Alteyrac, J.; Gronvold, A.; Espejo, J.; Chanson, B.; Alméras, T. Patterns of longitudinal and tangential maturation stresses in Eucalyptus nitens plantation trees. Ann. For. Sci. 2013, 70, 801–811. [Google Scholar] [CrossRef]
- Yamamoto, H.; Yoshida, M.; Okuvama, T. Growth stress controls negative gravitropism in woody plant stems. Planta 2002, 216, 280–292. [Google Scholar] [CrossRef] [PubMed]
- Huang, Y.; Chen, S.; Kuo-Huang, L.; Lee, C. Growth strain in the trunk and branches of Chamaecyparis formosensis and its influence on tree form. Tree Physiol. 2005, 25, 1119–1126. [Google Scholar] [CrossRef][Green Version]
- Alméras, T.; Thibaut, A.; Gril, J. Effect of circumferential heterogeneity of wood maturation strain, modulus of elasticity and radial growth on the regulation of stem orientation in trees. Trees 2005, 19, 457–467. [Google Scholar] [CrossRef]
- Alméras, T.; Fournier, M. Biomechanical design and long-term stability of trees: Morphological and wood traits involved in the balance between weight increase and the gravitropic reaction. J. Theor. Biol. 2009, 256, 370–381. [Google Scholar] [CrossRef]
- Alméras, T.; Derycke, M.; Jaouen, G.; Beauchêne, J.; Fournier, M. Functional diversity in gravitropic reaction among tropical seedlings in relation to ecological and developmental traits. J. Exp. Bot. 2009, 60, 4397–4410. [Google Scholar] [CrossRef]
- Yoshida, M.; Ohta, H.; Yamamoto, H.; Okuyama, T. Tensile growth stress and lignin distribution in the cell walls of yellow poplar, Liriodendron tulipifera Linn. Trees 2002, 16, 457–464. [Google Scholar] [CrossRef]
- Sawada, D.; Kalluri, U.C.; O’Neill, H.; Urban, V.; Langan, P.; Davison, B.; Pingali, S.V. Tension wood structure and morphology conducive for better enzymatic digestion. Biotechnol. Biofuels 2018, 11, 44. [Google Scholar] [CrossRef]
- Andersson-Gunnerås, S.; Mellerowicz, E.J.; Love, J.; Segerman, B.; Ohmiya, Y.; Coutinho, P.M.; Nilsson, P.; Henrissat, B.; Moritz, T.; Sundberg, B. Biosynthesis of cellulose-enriched tension wood in Populus: Global analysis of transcripts and metabolites identifies biochemical and developmental regulators in secondary wall biosynthesis. Plant J. 2006, 45, 144–165. [Google Scholar] [CrossRef]
- Ruelle, J.; Clair, B.; Beauchene, J.; Prevost, M.F.; Fournier, M. Tension wood and opposite wood in 21 tropical rain forest species. 2. Comparison of some anatomical and ultrastructural criteria. IAWA J. 2006, 27, 341–376. [Google Scholar] [CrossRef]
- Nistal França, F.J.; Filgueira Amorim França, T.S.; Vidaurre, G.B. Effect of growth stress and interlocked grain on splitting of seven different hybrid clones of Eucalyptus grandis × Eucalyptus urophylla wood. Holzforschung 2020, 74, 917–926. [Google Scholar] [CrossRef]
- Moya, R.; Tenorio, C.; de Ingeniería Forestal, E.; Rica, C. Reduction of effect of growth stress presence using endless screw during kiln drying and steaming and heating treatment in log before sawing. Wood Res. 2022, 67, 157–169. [Google Scholar] [CrossRef]
- Fang, C.; Guibal, D.; Clair, B.; Gril, J.; Liu, Y.; Liu, S. Relationships between growth stress and wood properties in poplar I-69 (Populus deltoides Bartr. Cv. “lux” ex i-69/55). Ann. For. Res. 2008, 65, 307. [Google Scholar] [CrossRef][Green Version]
- Yoshida, M.; Ikawa, M.; Kaneda, K.; Okayama, T. Stem tangential strain on the tension wood side of Fagus crenata saplings. J. Wood Sci. 2003, 49, 475–478. [Google Scholar] [CrossRef]
- Washusen, R.; Ilic, J.; Waugh, G. The relationship between longitudinal growth strain and the occurrence of gelatinous fibers in 10 and 11-year-old Eucalyptus globulus Labill. Holz Als Roh-Und Werkstoff 2003, 61, 299–303. [Google Scholar] [CrossRef]
- Clair, B.; Ruelle, J.; Thibaut, B. Relationship between growth stresses, mechano-physical properties and proportion of fibre with gelatinous layer in chestnut (Castanea sativa Mill.). Holzforschung 2003, 57, 189–195. [Google Scholar] [CrossRef]
- Jäger, A.; Bader, T.; Hofstetter, K.; Eberhardsteiner, J. The relation between indentation modulus, microfibril angle, and elastic properties of wood cell walls. Compos. Part A Appl. Sci. Manuf. 2011, 42, 677–685. [Google Scholar] [CrossRef]
- Arnould, O.; Capron, M.; Ramonda, M.; Laurans, F.; Alméras, T.; Pilate, G.; Clair, B. Mechanical characterisation of the developing cell wall layers of tension wood fibres by Atomic Force Microscopy. Peer Community J. 2022, 2, e39. [Google Scholar] [CrossRef]
- Wu, Y.; Wang, S.; Zhou, D.; Xing, C.; Zhang, Y. Use of nanoindentation and silviscan to determine the mechanical properties of 10 hardwood species. Wood Fiber Sci. 2009, 41, 64–73. [Google Scholar]
- Liang, R.; Zhu, Y.; Yang, X.; Gao, J.; Zhang, Y.; Cai, L. Study on the ultrastructure and properties of gelatinous layer in poplar. J. Mater. Sci. 2021, 56, 415–427. [Google Scholar] [CrossRef]
- DeBell, D.S.; Singleton, R.; Harrington, C.A.; Gratner, B.L. Wood density and fiber length in young Populus stems: Relation to clone, age growth rate and pruning. Wood Fiber Sci. 2002, 34, 529–539. [Google Scholar]
- Ištok, I.; Potočić, N.; Šefc, B.; Sedlar, T. The Effects of Nitrogen Fertilisation on the Anatomical Properties of the Populus alba L. Clone ‘Villafranca’ Juvenile Wood. Biology 2022, 11, 1348. [Google Scholar] [CrossRef]
- Liu, Y.; Zhou, L.; Guan, Y.; Hu, J.; Zhao, Z.; Gao, H.; Liu, S. Radial variations to wood anatomical and chemical properties in eight poplar clones. Can. J. For. Res. 2022, 52, 19–26. [Google Scholar] [CrossRef]
- Ahmed, A.K.M.; Fu, Z.; Ding, C.; Jiang, L.; Han, X.; Yang, A.; Ma, Y.; Zhao, X. Growth and wood properties of a 38-year-old Populus simonii × P. Nigra plantation established with different densities in semi-arid areas of northeastern China. J. For. Res. 2019, 31, 497–506. [Google Scholar] [CrossRef]
- Zhang, L.; Liu, B.; Zhang, J.; Hu, J. Insights of molecular mechanism of xylem development in five black poplar cultivars. Front. Plant Sci. 2020, 11, 620. [Google Scholar] [CrossRef]
- Li, J.; Liu, S.; Zhou, L.; Liu, Y. Growth strain in straight and inclined Populus × euramericana cv. ‘74/76’ trees, and its relationship with selected wood properties. Eur. J. Wood Wood Prod. 2018, 76, 1715–1723. [Google Scholar] [CrossRef]
- Archer, R.R. Growth Stresses and Strains in Trees; Springer: Berlin/Heidelberg, Germany, 1987. [Google Scholar]
- Yoshida, M.; Yamamoto, H.; Okuyama, T.; Nakamura, T. Negative gravitropism and growth stress in GA3-treated branches of Prunus spachiana kitamura f. spachiana cv. Plenarosea. J. Wood Sci. 1999, 45, 368. [Google Scholar] [CrossRef]
- Grzeskowiak, V.; Sassus, F.; Fournier, M. Coloration macroscopique, retraits longitudinaux de maturation et de séchage du bois de tension du peuplier (Populus× euramericana cv I. 214). Ann. For. Sci. 1996, 53, 1083–1097. [Google Scholar] [CrossRef][Green Version]
- Standard GB/T 1929-2009; Method of Sample Logs Sawing and Test Specimens Selection for Physical and Mechanical Tests of Wood. Standards Press of China: Beijing, China, 2009.
- Badia, M.A.; Mothe, F.; Constant, T.; Nepveu, G. Assessment of tension wood detection based on shiny appearance for three poplar cultivars. Ann. For. Sci. 2005, 62, 43–49. [Google Scholar] [CrossRef]
- Cave, I.D. Theory of x-ray measurement of microfibril angle in wood. For. Prod. J. 1966, 16, 37–42. [Google Scholar]
- Standard GB/T 1933-2009; Method for Determination of the Density of Wood. Standards Press of China: Beijing, China, 2009.
- Standard GB/T 1936.1-2009; Method of Testing in Bending Strength of Wood. Standards Press of China: Beijing, China, 2009.
- Standard GB/T 1936.2-2009; Method for Determination of the Modulus of Elasticity in Static Bending of Wood. Standards Press of China: Beijing, China, 2009.
- Standard GB/T 1935-2009; Method of Testing in Compressive Strength Parallel to Grain of Wood. Standards Press of China: Beijing, China, 2009.
- Zhang, Y. Transitions Between Different Contact Models. J. Adhes. Sci. Technol. 2008, 22, 699–715. [Google Scholar]
- Wilson, B.F.; Gartner, B.L. Lean in red alder (Alnus rubra): Growth stress, tension wood, and righting response. Can. J. For. Res. 1996, 26, 1951–1956. [Google Scholar] [CrossRef]
- Yoshida, M.; Okuda, T.; Okuyam, T. Tension wood and growth stress induced by artificial inclination in Liriodendron tulipifera Linn. and Prunus spachiana kitamura f. ascendens Kitamura. Ann. For. Sci. 2000, 57, 739–746. [Google Scholar] [CrossRef]
- Shirai, T.; Yamamoto, H.; Yoshida, M.; Inatsugu, M.; Ko, C.; Fukushima, K.; Matsushita, Y.; Yagami, S.; Lahjie, A.M.; Sawada, M.; et al. Eccentric growth and growth stress in inclined stems of Gnetum gnemon. IAWA J. 2015, 36, 365–377. [Google Scholar] [CrossRef]
- Naghizadeh, Z.; Wessels, C.B. The effect of water availability on growth strain in Eucalyptus grandis-urophylla trees. For. Ecol. Manag. 2021, 483, 118926. [Google Scholar] [CrossRef]
- Huang, Y.S.; Chen, S.S.; Kuo-Huang, L.L.; Lee, M.C. Growth stress of Zelkova serrata and its reduction by heat treatment. For. Prod. J. 2005, 55, 88–93. [Google Scholar]
- Omonte, M.; Valenzuela, L. Longitudinal growth stresses in Eucalyptus nitens trees with sawable dimensions. Maderas Cienc. Tecnol. 2015, 17, 673–684. [Google Scholar] [CrossRef]
- Scurfield, G.; Wardrop, A.B. The nature of reaction wood. Ⅵ. The reaction anatomy of seedlings of woody perennials. Aust. J. Bot. 1962, 10, 93–105. [Google Scholar] [CrossRef]
- Baba, K.; Park, Y.W.; Kaku, T.; Kaida, R.; Takeuchi, M.; Yoshida, M.; Hosoo, Y.; Ojio, Y.; Okuyama, T.; Taniguchi, T.; et al. Xyloglucan for generating tensile stress to bend tree stem. Mol. Plant 2009, 2, 893–903. [Google Scholar] [CrossRef] [PubMed]
- Okuyama, T.; Yamamoto, H.; Yoshida, M.; Hattori, Y.; Archer, R.R. Growth stresses in tension wood: Role of microfbrils and lignifcation. Ann. Sci. For. 1994, 51, 291–300. [Google Scholar] [CrossRef]
- Ruelle, J.; Beauchene, J.; Thibaut, A.; Thibaut, B. Comparison of physical and mechanical properties of tension and opposite wood from ten tropical rainforest trees from different species. Ann. For. Sci. 2007, 64, 503–510. [Google Scholar] [CrossRef]
- Chang, S.; Quignard, F.; Alméras, T.; Clair, B. Mesoporosity changes from cambium to mature tension wood: A new step toward the understanding of maturation stress generation in trees. New Phytol. 2015, 205, 1277–1287. [Google Scholar] [CrossRef]
- Lowell, E.C.; Krahmer, R.L. Effects of lean in red alder trees on wood shrinkage and density. Wood Fiber Sci. 1993, 25, 2–7. [Google Scholar]
- Li, S.; Li, X.; Link, R.; Li, R.; Deng, L.; Schuldt, B.; Jiang, X.; Zhao, R.; Zheng, J.; Li, S.; et al. Influence of cambial age and axial height on the spatial patterns of xylem traits in Catalpa bungei, a Ring-Porous tree species native to China. Forests 2019, 10, 662. [Google Scholar] [CrossRef]
- De Boever, L.; Vansteenkiste, D.; Van Acker, J.; Stevens, M. End-use related physical and mechanical properties of selected fast-growing poplar hybrids (Populus trichocarpa × P. deltoides). Ann. For. Sci. 2007, 64, 621–630. [Google Scholar] [CrossRef]
- Kijidani, Y.M.U.J.; Kitahara, R. Variation of wood properties with height position in the stems of obi-sugi [Cryptomeria japonica] cultivars. Mokuzai Gakkaishi 2009, 55, 198–206. [Google Scholar] [CrossRef][Green Version]
- Lima Junior, M.P.D.; Biazzon, J.C.; De Araujo, V.A.; Munis, R.A.; Martins, J.C.; Cortez-Barbosa, J.; Gava, M.; Valarelli, I.D.D.; Morales, E.A.M. Mechanical properties evaluation of Eucalyptus grandis wood at three different heights by impulse excitation technique (iet). BioResources 2018, 13, 3377–3385. [Google Scholar] [CrossRef]
- Himes, A.; Leavengood, S.; Polinko, A. Variation in wood properties of hybrid poplar lumber by radial and vertical position in stem: A case study from Boardman, Oregon. Wood Fiber Sci. 2021, 53, 161–177. [Google Scholar] [CrossRef]
- Jeong, G.Y.; Zink-Sharp, A. Technical note: Anatomical variability within a loblolly pine tree under thinning management. Wood Fiber Sci. 2013, 45, 119–122. [Google Scholar]
- Gilbero, D.M.; Abasolo, W.P.; Matsuo-Ueda, M.; Yamamoto, H. Surface growth stress and wood properties of 8-year-old planted big-leaf mahogany (Swietenia macrophylla King) from different landrace provenances and trial sites in the Philippines. J. Wood Sci. 2019, 65, 35. [Google Scholar] [CrossRef]









| Tree Number | Tree Height (m) | DBH (cm) | Tilt Angle from Vertical Position (°) |
|---|---|---|---|
| 1 | 19.6 | 38.8 | 27 |
| 2 | 21.7 | 51.2 | 11 |
| 3 | 18.5 | 35.6 | 17 |
| 4 | 16.5 | 23.8 | 15 |
| 5 | 15.9 | 18.4 | 24 |
| 6 | 14.3 | 15.2 | 18 |
| 7 | 16.2 | 21.0 | 13 |
| 8 | 14.1 | 14.7 | 16 |
| 9 | 15.8 | 19.1 | 20 |
| Parameters | n | Average | SD | Max | Min | CV% |
|---|---|---|---|---|---|---|
| RLMS (%) | 189 | −0.04 | 0.03 | −0.16 | 0.00 | 75.0 |
| FL (μm) | 7990 | 1302 | 227.71 | 2343 | 508 | 17.5 |
| 2WT (μm) | 8698 | 5.73 | 1.34 | 11.69 | 2.50 | 23.4 |
| MFA (°) | 294 | 14.90 | 6.83 | 34.10 | 0.10 | 45.8 |
| PG (%) | 189 | 20.3 | 22.5 | 68.8 | 0.0 | 110.9 |
| BD (g/cm3) | 189 | 0.37 | 0.03 | 0.50 | 0.31 | 8.1 |
| MOE (MPa) | 189 | 4224 | 444.80 | 5776 | 3273 | 10.5 |
| MOR (MPa) | 189 | 49.42 | 5.47 | 64 | 24 | 11.1 |
| CS (MPa) | 189 | 35.52 | 4.29 | 47 | 22 | 12.1 |
| TW | LW | OW | |
|---|---|---|---|
| S1 | 9.5 ± 1.41 a | 9.4 ± 1.24 b | 8.6 ± 1.52 c |
| S2 | 15.6 ± 2.51 a | 15.1 ± 2.53 b | 12.2 ± 2.60 c |
| G | 16.6 ± 3.15 a | 15.5 ± 2.98 b | N.A. |
| 0.7 m | 1.5 m | 2.2 m | |
|---|---|---|---|
| S1 | 9.4 + 1.98 a | 9.3 + 1.59 a | 9.2 + 1.43 a |
| S2 | 12.1 + 2.35 a | 11.3 + 2.44 a | 11.6 + 2.53 a |
| G | 13.1 + 3.21 a | 12.8 + 2.38 a | 13.0 + 2.57 a |
| TW (0°, 50°, −60°) | LW (100°, −110°) | OW (150°, −160°) | |||||||
|---|---|---|---|---|---|---|---|---|---|
| p | Sig. | df | p | Sig. | df | p | Sig. | df | |
| FL | −0.071 | ns | 81 | 0.270 | * | 54 | 0.185 | ns | 54 |
| 2WT | 0.14 | ns | 81 | 0.146 | ns | 54 | 0.176 | ns | 54 |
| PG | 0.386 | ** | 81 | 0.234 | ns | 54 | −0.290 | * | 54 |
| MFA | −0.482 | ** | 81 | −0.078 | ns | 54 | 0.323 | * | 54 |
| BD | 0.267 | * | 81 | 0.340 | * | 54 | −0.169 | ns | 54 |
| MOE | 0.322 | ** | 81 | 0.205 | ns | 54 | 0.144 | ns | 54 |
| MOR | 0.303 | ** | 81 | 0.144 | ns | 54 | 0.159 | ns | 54 |
| CS | 0.027 | ns | 81 | −0.269 | * | 54 | −0.137 | ns | 54 |
| IM | 0.955 | ** | 9 | 0.523 | ns | 9 | 0.643 | ns | 9 |
| 0.7 m | 1.5 m | 2.2 m | |||||||
|---|---|---|---|---|---|---|---|---|---|
| p | Sig. | df | p | Sig. | df | p | Sig. | df | |
| FL | −0.081 | ns | 63 | 0.265 | * | 63 | −0.059 | ns | 63 |
| 2WT | 0.345 | ** | 63 | 0.065 | ns | 63 | 0.023 | ns | 63 |
| PG | 0.312 | * | 63 | 0.393 | ** | 63 | 0.24 | ns | 63 |
| MFA | −0.393 | ** | 63 | −0.179 | ns | 63 | −0.075 | ns | 63 |
| BD | 0.258 | * | 63 | 0.338 | ** | 63 | 0.159 | ns | 63 |
| MOE | 0.429 | ** | 63 | 0.497 | ** | 63 | 0.352 | ** | 63 |
| MOR | 0.444 | ** | 63 | 0.252 | * | 63 | 0.066 | ns | 63 |
| CS | −0.109 | ns | 63 | −0.105 | ns | 63 | −0.04 | ns | 63 |
| IM | 0.647 | ns | 9 | 0.005 | ns | 9 | −0.773 | * | 9 |
Disclaimer/Publisher’s Note: The statements, opinions and data contained in all publications are solely those of the individual author(s) and contributor(s) and not of MDPI and/or the editor(s). MDPI and/or the editor(s) disclaim responsibility for any injury to people or property resulting from any ideas, methods, instructions or products referred to in the content. |
© 2023 by the authors. Licensee MDPI, Basel, Switzerland. This article is an open access article distributed under the terms and conditions of the Creative Commons Attribution (CC BY) license (https://creativecommons.org/licenses/by/4.0/).
Share and Cite
Liu, Y.; Wu, X.; Zhang, J.; Liu, S.; Semple, K.; Dai, C. Maturation Stress and Wood Properties of Poplar (Populus × euramericana cv. ‘Zhonglin46’) Tension Wood. Forests 2023, 14, 1505. https://doi.org/10.3390/f14071505
Liu Y, Wu X, Zhang J, Liu S, Semple K, Dai C. Maturation Stress and Wood Properties of Poplar (Populus × euramericana cv. ‘Zhonglin46’) Tension Wood. Forests. 2023; 14(7):1505. https://doi.org/10.3390/f14071505
Chicago/Turabian StyleLiu, Yamei, Xiao Wu, Jingliang Zhang, Shengquan Liu, Katherine Semple, and Chunping Dai. 2023. "Maturation Stress and Wood Properties of Poplar (Populus × euramericana cv. ‘Zhonglin46’) Tension Wood" Forests 14, no. 7: 1505. https://doi.org/10.3390/f14071505
APA StyleLiu, Y., Wu, X., Zhang, J., Liu, S., Semple, K., & Dai, C. (2023). Maturation Stress and Wood Properties of Poplar (Populus × euramericana cv. ‘Zhonglin46’) Tension Wood. Forests, 14(7), 1505. https://doi.org/10.3390/f14071505

